Que Es Low Grade Intraepithelial Lesion Lsil . It does not mean that you. La lesión intraepitelial escamosa de bajo grado (lsil) del cuello uterino es un crecimiento anormal causado por una infección con virus del papiloma humano (vph). Recent guidelines from the american. El virus infecta células escamosas se encuentra en una parte del cuello uterino llamada zona de transformación. Those cells are collected during a pap. The tissue that covers your cervix is made up of squamous cells. Low grade squamous intraepithelial lesion (lsil) of the cervix is an abnormal growth caused by infection with human papillomavirus (hpv). The virus infects squamous cells found in a part of the cervix called the transformation zone.
from www.pathologyatlas.ca
It does not mean that you. Those cells are collected during a pap. Low grade squamous intraepithelial lesion (lsil) of the cervix is an abnormal growth caused by infection with human papillomavirus (hpv). The virus infects squamous cells found in a part of the cervix called the transformation zone. La lesión intraepitelial escamosa de bajo grado (lsil) del cuello uterino es un crecimiento anormal causado por una infección con virus del papiloma humano (vph). El virus infecta células escamosas se encuentra en una parte del cuello uterino llamada zona de transformación. The tissue that covers your cervix is made up of squamous cells. Recent guidelines from the american.
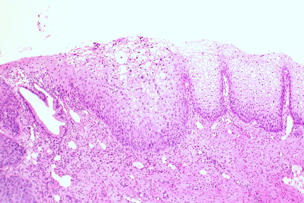
Low grade squamous intraepithelial lesion of the cervix Ottawa Atlas
Que Es Low Grade Intraepithelial Lesion Lsil The tissue that covers your cervix is made up of squamous cells. Recent guidelines from the american. It does not mean that you. The tissue that covers your cervix is made up of squamous cells. Low grade squamous intraepithelial lesion (lsil) of the cervix is an abnormal growth caused by infection with human papillomavirus (hpv). The virus infects squamous cells found in a part of the cervix called the transformation zone. Those cells are collected during a pap. El virus infecta células escamosas se encuentra en una parte del cuello uterino llamada zona de transformación. La lesión intraepitelial escamosa de bajo grado (lsil) del cuello uterino es un crecimiento anormal causado por una infección con virus del papiloma humano (vph).
From bethesda.soc.wisc.edu
Fig. 5.3 Lowgrade squamous intraepithelial lesion (LSIL). University Que Es Low Grade Intraepithelial Lesion Lsil The tissue that covers your cervix is made up of squamous cells. La lesión intraepitelial escamosa de bajo grado (lsil) del cuello uterino es un crecimiento anormal causado por una infección con virus del papiloma humano (vph). Those cells are collected during a pap. Recent guidelines from the american. Low grade squamous intraepithelial lesion (lsil) of the cervix is an. Que Es Low Grade Intraepithelial Lesion Lsil.
From bethesda.soc.wisc.edu
Fig. 5.4 Lowgrade squamous intraepithelial lesion (LSIL). University Que Es Low Grade Intraepithelial Lesion Lsil It does not mean that you. La lesión intraepitelial escamosa de bajo grado (lsil) del cuello uterino es un crecimiento anormal causado por una infección con virus del papiloma humano (vph). Recent guidelines from the american. El virus infecta células escamosas se encuentra en una parte del cuello uterino llamada zona de transformación. Those cells are collected during a pap.. Que Es Low Grade Intraepithelial Lesion Lsil.
From www.researchgate.net
Micrograph showing a lowgrade squamous intraepithelial lesion (LSIL Que Es Low Grade Intraepithelial Lesion Lsil It does not mean that you. El virus infecta células escamosas se encuentra en una parte del cuello uterino llamada zona de transformación. The tissue that covers your cervix is made up of squamous cells. Recent guidelines from the american. La lesión intraepitelial escamosa de bajo grado (lsil) del cuello uterino es un crecimiento anormal causado por una infección con. Que Es Low Grade Intraepithelial Lesion Lsil.
From bethesda.soc.wisc.edu
Fig. 8.14 Lowgrade squamous intraepithelial lesion (LSIL) University Que Es Low Grade Intraepithelial Lesion Lsil The virus infects squamous cells found in a part of the cervix called the transformation zone. Low grade squamous intraepithelial lesion (lsil) of the cervix is an abnormal growth caused by infection with human papillomavirus (hpv). It does not mean that you. Recent guidelines from the american. The tissue that covers your cervix is made up of squamous cells. La. Que Es Low Grade Intraepithelial Lesion Lsil.
From www.bosnianpathology.org
LSIL (BD SurePath liquidbased Pap Test) BosnianPathology Que Es Low Grade Intraepithelial Lesion Lsil Recent guidelines from the american. It does not mean that you. La lesión intraepitelial escamosa de bajo grado (lsil) del cuello uterino es un crecimiento anormal causado por una infección con virus del papiloma humano (vph). The virus infects squamous cells found in a part of the cervix called the transformation zone. The tissue that covers your cervix is made. Que Es Low Grade Intraepithelial Lesion Lsil.
From mungfali.com
Low Grade Squamous Intraepithelial Lesion (lsil) Cervix 329 Que Es Low Grade Intraepithelial Lesion Lsil It does not mean that you. La lesión intraepitelial escamosa de bajo grado (lsil) del cuello uterino es un crecimiento anormal causado por una infección con virus del papiloma humano (vph). The tissue that covers your cervix is made up of squamous cells. Recent guidelines from the american. Those cells are collected during a pap. The virus infects squamous cells. Que Es Low Grade Intraepithelial Lesion Lsil.
From www.researchgate.net
Photomicrograph of lowgrade squamous intraepithelial lesion (LSIL Que Es Low Grade Intraepithelial Lesion Lsil The virus infects squamous cells found in a part of the cervix called the transformation zone. Those cells are collected during a pap. Low grade squamous intraepithelial lesion (lsil) of the cervix is an abnormal growth caused by infection with human papillomavirus (hpv). Recent guidelines from the american. The tissue that covers your cervix is made up of squamous cells.. Que Es Low Grade Intraepithelial Lesion Lsil.
From www.researchgate.net
Participant flow diagram. LSIL, lowgrade squamous intraepithelial Que Es Low Grade Intraepithelial Lesion Lsil It does not mean that you. El virus infecta células escamosas se encuentra en una parte del cuello uterino llamada zona de transformación. The virus infects squamous cells found in a part of the cervix called the transformation zone. The tissue that covers your cervix is made up of squamous cells. Those cells are collected during a pap. Low grade. Que Es Low Grade Intraepithelial Lesion Lsil.
From www.flickr.com
Exocervix Lowgrade squamous intraepithelial lesion Flickr Que Es Low Grade Intraepithelial Lesion Lsil It does not mean that you. El virus infecta células escamosas se encuentra en una parte del cuello uterino llamada zona de transformación. La lesión intraepitelial escamosa de bajo grado (lsil) del cuello uterino es un crecimiento anormal causado por una infección con virus del papiloma humano (vph). The virus infects squamous cells found in a part of the cervix. Que Es Low Grade Intraepithelial Lesion Lsil.
From flickriver.com
CIN 1 (Lowgrade Squamous Intraepithelial Lesion), Squamocolumnar Que Es Low Grade Intraepithelial Lesion Lsil The virus infects squamous cells found in a part of the cervix called the transformation zone. Recent guidelines from the american. It does not mean that you. El virus infecta células escamosas se encuentra en una parte del cuello uterino llamada zona de transformación. Low grade squamous intraepithelial lesion (lsil) of the cervix is an abnormal growth caused by infection. Que Es Low Grade Intraepithelial Lesion Lsil.
From librepathology.org
Lowgrade squamous intraepithelial lesion Libre Pathology Que Es Low Grade Intraepithelial Lesion Lsil The tissue that covers your cervix is made up of squamous cells. Low grade squamous intraepithelial lesion (lsil) of the cervix is an abnormal growth caused by infection with human papillomavirus (hpv). El virus infecta células escamosas se encuentra en una parte del cuello uterino llamada zona de transformación. Those cells are collected during a pap. The virus infects squamous. Que Es Low Grade Intraepithelial Lesion Lsil.
From mungfali.com
Low Grade Squamous Intraepithelial Lesion (lsil) Cervix 329 Que Es Low Grade Intraepithelial Lesion Lsil La lesión intraepitelial escamosa de bajo grado (lsil) del cuello uterino es un crecimiento anormal causado por una infección con virus del papiloma humano (vph). El virus infecta células escamosas se encuentra en una parte del cuello uterino llamada zona de transformación. The virus infects squamous cells found in a part of the cervix called the transformation zone. The tissue. Que Es Low Grade Intraepithelial Lesion Lsil.
From bethesda.soc.wisc.edu
Fig. 5.5 Lowgrade squamous intraepithelial lesion (LSIL). University Que Es Low Grade Intraepithelial Lesion Lsil The tissue that covers your cervix is made up of squamous cells. Recent guidelines from the american. La lesión intraepitelial escamosa de bajo grado (lsil) del cuello uterino es un crecimiento anormal causado por una infección con virus del papiloma humano (vph). Those cells are collected during a pap. Low grade squamous intraepithelial lesion (lsil) of the cervix is an. Que Es Low Grade Intraepithelial Lesion Lsil.
From bethesda.soc.wisc.edu
Fig. 8.13 Lowgrade squamous intraepithelial lesion (LSIL) University Que Es Low Grade Intraepithelial Lesion Lsil Recent guidelines from the american. La lesión intraepitelial escamosa de bajo grado (lsil) del cuello uterino es un crecimiento anormal causado por una infección con virus del papiloma humano (vph). El virus infecta células escamosas se encuentra en una parte del cuello uterino llamada zona de transformación. Low grade squamous intraepithelial lesion (lsil) of the cervix is an abnormal growth. Que Es Low Grade Intraepithelial Lesion Lsil.
From stock.adobe.com
Photomicrograph (microscopic image) of cervix biopsy showing low grade Que Es Low Grade Intraepithelial Lesion Lsil El virus infecta células escamosas se encuentra en una parte del cuello uterino llamada zona de transformación. It does not mean that you. Low grade squamous intraepithelial lesion (lsil) of the cervix is an abnormal growth caused by infection with human papillomavirus (hpv). Recent guidelines from the american. The tissue that covers your cervix is made up of squamous cells.. Que Es Low Grade Intraepithelial Lesion Lsil.
From ilovepathology.com
Cervical intraepithelial neoplasia & cervical cancer Pathology Made Que Es Low Grade Intraepithelial Lesion Lsil The virus infects squamous cells found in a part of the cervix called the transformation zone. Those cells are collected during a pap. El virus infecta células escamosas se encuentra en una parte del cuello uterino llamada zona de transformación. It does not mean that you. Recent guidelines from the american. La lesión intraepitelial escamosa de bajo grado (lsil) del. Que Es Low Grade Intraepithelial Lesion Lsil.
From stock.adobe.com
Photomicrograph (microscopic image) of cervix biopsy showing low grade Que Es Low Grade Intraepithelial Lesion Lsil The tissue that covers your cervix is made up of squamous cells. La lesión intraepitelial escamosa de bajo grado (lsil) del cuello uterino es un crecimiento anormal causado por una infección con virus del papiloma humano (vph). It does not mean that you. Recent guidelines from the american. The virus infects squamous cells found in a part of the cervix. Que Es Low Grade Intraepithelial Lesion Lsil.
From www.pathologyatlas.ca
low grade squamous intraepithelial lesion Archives Atlas of Pathology Que Es Low Grade Intraepithelial Lesion Lsil Those cells are collected during a pap. La lesión intraepitelial escamosa de bajo grado (lsil) del cuello uterino es un crecimiento anormal causado por una infección con virus del papiloma humano (vph). Low grade squamous intraepithelial lesion (lsil) of the cervix is an abnormal growth caused by infection with human papillomavirus (hpv). Recent guidelines from the american. It does not. Que Es Low Grade Intraepithelial Lesion Lsil.
From www.gynecologiconcology-online.net
Clinical importance of “lowgrade squamous intraepithelial lesion Que Es Low Grade Intraepithelial Lesion Lsil La lesión intraepitelial escamosa de bajo grado (lsil) del cuello uterino es un crecimiento anormal causado por una infección con virus del papiloma humano (vph). Low grade squamous intraepithelial lesion (lsil) of the cervix is an abnormal growth caused by infection with human papillomavirus (hpv). The virus infects squamous cells found in a part of the cervix called the transformation. Que Es Low Grade Intraepithelial Lesion Lsil.
From renew-physicaltherapy.blogspot.com
Low Grade Squamous Intraepithelial Lesion Renew Physical Therapy Que Es Low Grade Intraepithelial Lesion Lsil Those cells are collected during a pap. The tissue that covers your cervix is made up of squamous cells. Recent guidelines from the american. Low grade squamous intraepithelial lesion (lsil) of the cervix is an abnormal growth caused by infection with human papillomavirus (hpv). It does not mean that you. La lesión intraepitelial escamosa de bajo grado (lsil) del cuello. Que Es Low Grade Intraepithelial Lesion Lsil.
From mungfali.com
Low Grade Squamous Intraepithelial Lesion (lsil) Cervix 329 Que Es Low Grade Intraepithelial Lesion Lsil Low grade squamous intraepithelial lesion (lsil) of the cervix is an abnormal growth caused by infection with human papillomavirus (hpv). La lesión intraepitelial escamosa de bajo grado (lsil) del cuello uterino es un crecimiento anormal causado por una infección con virus del papiloma humano (vph). It does not mean that you. Recent guidelines from the american. The tissue that covers. Que Es Low Grade Intraepithelial Lesion Lsil.
From renew-physicaltherapy.blogspot.com
Low Grade Squamous Intraepithelial Lesion Renew Physical Therapy Que Es Low Grade Intraepithelial Lesion Lsil The virus infects squamous cells found in a part of the cervix called the transformation zone. Those cells are collected during a pap. La lesión intraepitelial escamosa de bajo grado (lsil) del cuello uterino es un crecimiento anormal causado por una infección con virus del papiloma humano (vph). Low grade squamous intraepithelial lesion (lsil) of the cervix is an abnormal. Que Es Low Grade Intraepithelial Lesion Lsil.
From mungfali.com
Low Grade Squamous Intraepithelial Lesion (lsil) Cervix 329 Que Es Low Grade Intraepithelial Lesion Lsil The tissue that covers your cervix is made up of squamous cells. La lesión intraepitelial escamosa de bajo grado (lsil) del cuello uterino es un crecimiento anormal causado por una infección con virus del papiloma humano (vph). El virus infecta células escamosas se encuentra en una parte del cuello uterino llamada zona de transformación. Recent guidelines from the american. The. Que Es Low Grade Intraepithelial Lesion Lsil.
From www.youtube.com
Cervix Low grade squamous intraepithelial lesion LSIL, Pap smear YouTube Que Es Low Grade Intraepithelial Lesion Lsil Recent guidelines from the american. It does not mean that you. Those cells are collected during a pap. La lesión intraepitelial escamosa de bajo grado (lsil) del cuello uterino es un crecimiento anormal causado por una infección con virus del papiloma humano (vph). Low grade squamous intraepithelial lesion (lsil) of the cervix is an abnormal growth caused by infection with. Que Es Low Grade Intraepithelial Lesion Lsil.
From stock.adobe.com
Foto de Photo of Low grade squamous intraepithelial lesion (LSIL Que Es Low Grade Intraepithelial Lesion Lsil The virus infects squamous cells found in a part of the cervix called the transformation zone. Those cells are collected during a pap. It does not mean that you. Recent guidelines from the american. La lesión intraepitelial escamosa de bajo grado (lsil) del cuello uterino es un crecimiento anormal causado por una infección con virus del papiloma humano (vph). Low. Que Es Low Grade Intraepithelial Lesion Lsil.
From mungfali.com
Low Grade Squamous Intraepithelial Lesion (lsil) Cervix 329 Que Es Low Grade Intraepithelial Lesion Lsil The virus infects squamous cells found in a part of the cervix called the transformation zone. El virus infecta células escamosas se encuentra en una parte del cuello uterino llamada zona de transformación. The tissue that covers your cervix is made up of squamous cells. Low grade squamous intraepithelial lesion (lsil) of the cervix is an abnormal growth caused by. Que Es Low Grade Intraepithelial Lesion Lsil.
From www.pathologyatlas.ca
Low grade squamous intraepithelial lesion of the cervix Ottawa Atlas Que Es Low Grade Intraepithelial Lesion Lsil The tissue that covers your cervix is made up of squamous cells. El virus infecta células escamosas se encuentra en una parte del cuello uterino llamada zona de transformación. Those cells are collected during a pap. Low grade squamous intraepithelial lesion (lsil) of the cervix is an abnormal growth caused by infection with human papillomavirus (hpv). The virus infects squamous. Que Es Low Grade Intraepithelial Lesion Lsil.
From www.pathologyatlas.ca
Low grade squamous intraepithelial lesion of the cervix Ottawa Atlas Que Es Low Grade Intraepithelial Lesion Lsil Low grade squamous intraepithelial lesion (lsil) of the cervix is an abnormal growth caused by infection with human papillomavirus (hpv). It does not mean that you. El virus infecta células escamosas se encuentra en una parte del cuello uterino llamada zona de transformación. Those cells are collected during a pap. The virus infects squamous cells found in a part of. Que Es Low Grade Intraepithelial Lesion Lsil.
From www.flickr.com
LSIL 400X LSIL 400X Image courtesy of Department of P… Flickr Que Es Low Grade Intraepithelial Lesion Lsil Low grade squamous intraepithelial lesion (lsil) of the cervix is an abnormal growth caused by infection with human papillomavirus (hpv). La lesión intraepitelial escamosa de bajo grado (lsil) del cuello uterino es un crecimiento anormal causado por una infección con virus del papiloma humano (vph). The tissue that covers your cervix is made up of squamous cells. Recent guidelines from. Que Es Low Grade Intraepithelial Lesion Lsil.
From poe.com
What is the definition of lowgrade squamous intraepithelial lesions Que Es Low Grade Intraepithelial Lesion Lsil Low grade squamous intraepithelial lesion (lsil) of the cervix is an abnormal growth caused by infection with human papillomavirus (hpv). El virus infecta células escamosas se encuentra en una parte del cuello uterino llamada zona de transformación. La lesión intraepitelial escamosa de bajo grado (lsil) del cuello uterino es un crecimiento anormal causado por una infección con virus del papiloma. Que Es Low Grade Intraepithelial Lesion Lsil.
From mungfali.com
Low Grade Squamous Intraepithelial Lesion (lsil) Cervix 329 Que Es Low Grade Intraepithelial Lesion Lsil Recent guidelines from the american. The virus infects squamous cells found in a part of the cervix called the transformation zone. It does not mean that you. La lesión intraepitelial escamosa de bajo grado (lsil) del cuello uterino es un crecimiento anormal causado por una infección con virus del papiloma humano (vph). Low grade squamous intraepithelial lesion (lsil) of the. Que Es Low Grade Intraepithelial Lesion Lsil.
From www.pathologyatlas.ca
Low grade squamous intraepithelial lesion of the cervix Ottawa Atlas Que Es Low Grade Intraepithelial Lesion Lsil El virus infecta células escamosas se encuentra en una parte del cuello uterino llamada zona de transformación. Recent guidelines from the american. Low grade squamous intraepithelial lesion (lsil) of the cervix is an abnormal growth caused by infection with human papillomavirus (hpv). It does not mean that you. Those cells are collected during a pap. The virus infects squamous cells. Que Es Low Grade Intraepithelial Lesion Lsil.
From renew-physicaltherapy.blogspot.com
Low Grade Squamous Intraepithelial Lesion Renew Physical Therapy Que Es Low Grade Intraepithelial Lesion Lsil Those cells are collected during a pap. The tissue that covers your cervix is made up of squamous cells. Recent guidelines from the american. It does not mean that you. The virus infects squamous cells found in a part of the cervix called the transformation zone. El virus infecta células escamosas se encuentra en una parte del cuello uterino llamada. Que Es Low Grade Intraepithelial Lesion Lsil.
From bethesda.soc.wisc.edu
Fig. 5.2 Lowgrade squamous intraepithelial lesion (LSIL). University Que Es Low Grade Intraepithelial Lesion Lsil El virus infecta células escamosas se encuentra en una parte del cuello uterino llamada zona de transformación. The tissue that covers your cervix is made up of squamous cells. It does not mean that you. La lesión intraepitelial escamosa de bajo grado (lsil) del cuello uterino es un crecimiento anormal causado por una infección con virus del papiloma humano (vph).. Que Es Low Grade Intraepithelial Lesion Lsil.
From mungfali.com
Low Grade Squamous Intraepithelial Lesion (lsil) Cervix 329 Que Es Low Grade Intraepithelial Lesion Lsil Those cells are collected during a pap. The virus infects squamous cells found in a part of the cervix called the transformation zone. It does not mean that you. El virus infecta células escamosas se encuentra en una parte del cuello uterino llamada zona de transformación. The tissue that covers your cervix is made up of squamous cells. Low grade. Que Es Low Grade Intraepithelial Lesion Lsil.