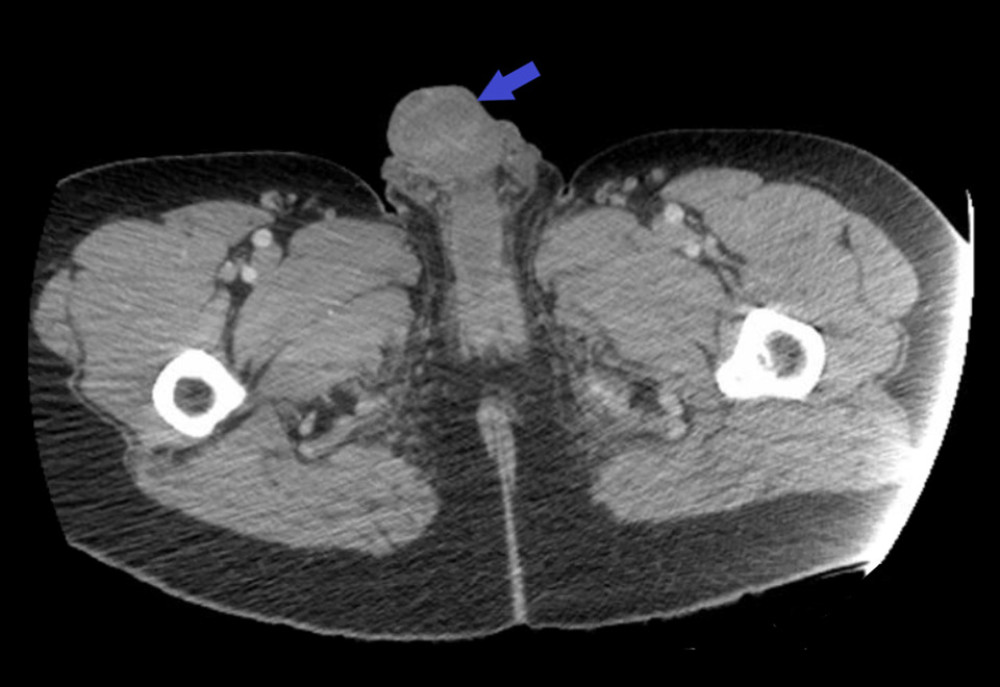
Eggplant Deformity . “eggplant deformity” or “aubergine sign” have been commonly used to describe the appearance of a fractured penis 6; the gross appearance is described as an “eggplant deformity,” which refers to the combination of localized. penile fracture classically presenting with an 'eggplant deformity' where haemorrhage extends beyond the tunica albuginea. classic presentation includes report of a sudden “pop” or “snap” followed by pain, rapid detumescence, and. the diagnosis of a fractured penis is primarily based on clinical history and physical examination findings, including the classic. physical exam findings may include edema, ecchymosis, and penile deformity, classically described as an.
from pubs.rsna.org
the diagnosis of a fractured penis is primarily based on clinical history and physical examination findings, including the classic. physical exam findings may include edema, ecchymosis, and penile deformity, classically described as an. penile fracture classically presenting with an 'eggplant deformity' where haemorrhage extends beyond the tunica albuginea. the gross appearance is described as an “eggplant deformity,” which refers to the combination of localized. classic presentation includes report of a sudden “pop” or “snap” followed by pain, rapid detumescence, and. “eggplant deformity” or “aubergine sign” have been commonly used to describe the appearance of a fractured penis 6;
MR Imaging of Acute Penile Fracture RadioGraphics
Eggplant Deformity the diagnosis of a fractured penis is primarily based on clinical history and physical examination findings, including the classic. physical exam findings may include edema, ecchymosis, and penile deformity, classically described as an. classic presentation includes report of a sudden “pop” or “snap” followed by pain, rapid detumescence, and. the gross appearance is described as an “eggplant deformity,” which refers to the combination of localized. “eggplant deformity” or “aubergine sign” have been commonly used to describe the appearance of a fractured penis 6; penile fracture classically presenting with an 'eggplant deformity' where haemorrhage extends beyond the tunica albuginea. the diagnosis of a fractured penis is primarily based on clinical history and physical examination findings, including the classic.
From www.researchgate.net
(PDF) Penile fracture presenting as eggplant deformity Eggplant Deformity “eggplant deformity” or “aubergine sign” have been commonly used to describe the appearance of a fractured penis 6; classic presentation includes report of a sudden “pop” or “snap” followed by pain, rapid detumescence, and. the gross appearance is described as an “eggplant deformity,” which refers to the combination of localized. penile fracture classically presenting with an. Eggplant Deformity.
From www.mensxp.com
50 Yr Old Man Gets His Penis Fractured Mid Intercourse, Doctors Eggplant Deformity the diagnosis of a fractured penis is primarily based on clinical history and physical examination findings, including the classic. the gross appearance is described as an “eggplant deformity,” which refers to the combination of localized. physical exam findings may include edema, ecchymosis, and penile deformity, classically described as an. penile fracture classically presenting with an 'eggplant. Eggplant Deformity.
From www.the-sun.com
Man who felt a ‘crack’ during sex ends up with ‘eggplant deformity’ of Eggplant Deformity penile fracture classically presenting with an 'eggplant deformity' where haemorrhage extends beyond the tunica albuginea. “eggplant deformity” or “aubergine sign” have been commonly used to describe the appearance of a fractured penis 6; the diagnosis of a fractured penis is primarily based on clinical history and physical examination findings, including the classic. physical exam findings may. Eggplant Deformity.
From www.researchgate.net
Penile fracture classically presenting with an 'eggplant deformity Eggplant Deformity penile fracture classically presenting with an 'eggplant deformity' where haemorrhage extends beyond the tunica albuginea. classic presentation includes report of a sudden “pop” or “snap” followed by pain, rapid detumescence, and. physical exam findings may include edema, ecchymosis, and penile deformity, classically described as an. the gross appearance is described as an “eggplant deformity,” which refers. Eggplant Deformity.
From flickriver.com
Eggplant Leaf deformity caused by mealybug feeding injury a photo on Eggplant Deformity physical exam findings may include edema, ecchymosis, and penile deformity, classically described as an. “eggplant deformity” or “aubergine sign” have been commonly used to describe the appearance of a fractured penis 6; the diagnosis of a fractured penis is primarily based on clinical history and physical examination findings, including the classic. classic presentation includes report of. Eggplant Deformity.
From www.reddit.com
PsBattle eggplant with deformity Eggplant Deformity “eggplant deformity” or “aubergine sign” have been commonly used to describe the appearance of a fractured penis 6; physical exam findings may include edema, ecchymosis, and penile deformity, classically described as an. the gross appearance is described as an “eggplant deformity,” which refers to the combination of localized. classic presentation includes report of a sudden “pop”. Eggplant Deformity.
From pubs.rsna.org
Imaging of Penile and Scrotal Emergencies RadioGraphics Eggplant Deformity the diagnosis of a fractured penis is primarily based on clinical history and physical examination findings, including the classic. the gross appearance is described as an “eggplant deformity,” which refers to the combination of localized. classic presentation includes report of a sudden “pop” or “snap” followed by pain, rapid detumescence, and. “eggplant deformity” or “aubergine sign”. Eggplant Deformity.
From nypost.com
Man cracks penis during sex, diagnosed with 'eggplant deformity' Eggplant Deformity the gross appearance is described as an “eggplant deformity,” which refers to the combination of localized. classic presentation includes report of a sudden “pop” or “snap” followed by pain, rapid detumescence, and. “eggplant deformity” or “aubergine sign” have been commonly used to describe the appearance of a fractured penis 6; physical exam findings may include edema,. Eggplant Deformity.
From www.slideserve.com
PPT GENITOURINARY TRAUMA PowerPoint Presentation, free download ID Eggplant Deformity classic presentation includes report of a sudden “pop” or “snap” followed by pain, rapid detumescence, and. “eggplant deformity” or “aubergine sign” have been commonly used to describe the appearance of a fractured penis 6; the gross appearance is described as an “eggplant deformity,” which refers to the combination of localized. penile fracture classically presenting with an. Eggplant Deformity.
From lokmat.news18.com
Indonesian man private part fracture during physical relation diagnosed Eggplant Deformity penile fracture classically presenting with an 'eggplant deformity' where haemorrhage extends beyond the tunica albuginea. the diagnosis of a fractured penis is primarily based on clinical history and physical examination findings, including the classic. “eggplant deformity” or “aubergine sign” have been commonly used to describe the appearance of a fractured penis 6; the gross appearance is. Eggplant Deformity.
From www.imdb.com
"Videnskabeligt Udfordret" Eggplant Deformity (Podcast Episode 2019) IMDb Eggplant Deformity the gross appearance is described as an “eggplant deformity,” which refers to the combination of localized. “eggplant deformity” or “aubergine sign” have been commonly used to describe the appearance of a fractured penis 6; physical exam findings may include edema, ecchymosis, and penile deformity, classically described as an. penile fracture classically presenting with an 'eggplant deformity'. Eggplant Deformity.
From amjcaserep.com
American Journal of Case Reports Penile Necrosis Associated with Eggplant Deformity “eggplant deformity” or “aubergine sign” have been commonly used to describe the appearance of a fractured penis 6; classic presentation includes report of a sudden “pop” or “snap” followed by pain, rapid detumescence, and. the diagnosis of a fractured penis is primarily based on clinical history and physical examination findings, including the classic. the gross appearance. Eggplant Deformity.
From nypost.com
Man cracks penis during sex, diagnosed with 'eggplant deformity' Eggplant Deformity the diagnosis of a fractured penis is primarily based on clinical history and physical examination findings, including the classic. the gross appearance is described as an “eggplant deformity,” which refers to the combination of localized. classic presentation includes report of a sudden “pop” or “snap” followed by pain, rapid detumescence, and. penile fracture classically presenting with. Eggplant Deformity.
From www.bostonmagazine.com
Q&A Harvard Doc Who Treated Man with the Broken Penis Eggplant Deformity classic presentation includes report of a sudden “pop” or “snap” followed by pain, rapid detumescence, and. the diagnosis of a fractured penis is primarily based on clinical history and physical examination findings, including the classic. penile fracture classically presenting with an 'eggplant deformity' where haemorrhage extends beyond the tunica albuginea. “eggplant deformity” or “aubergine sign” have. Eggplant Deformity.
From medium.com
The Eggplant Emoji Means “Broken Penis” by Silvia Killingsworth The Eggplant Deformity “eggplant deformity” or “aubergine sign” have been commonly used to describe the appearance of a fractured penis 6; penile fracture classically presenting with an 'eggplant deformity' where haemorrhage extends beyond the tunica albuginea. classic presentation includes report of a sudden “pop” or “snap” followed by pain, rapid detumescence, and. physical exam findings may include edema, ecchymosis,. Eggplant Deformity.
From metro.co.uk
Man who broke penis during sex has surgery to fix 'aubergine deformity Eggplant Deformity the gross appearance is described as an “eggplant deformity,” which refers to the combination of localized. classic presentation includes report of a sudden “pop” or “snap” followed by pain, rapid detumescence, and. the diagnosis of a fractured penis is primarily based on clinical history and physical examination findings, including the classic. physical exam findings may include. Eggplant Deformity.
From www.researchgate.net
e Penile fracture with eggplant deformity. Download Scientific Diagram Eggplant Deformity penile fracture classically presenting with an 'eggplant deformity' where haemorrhage extends beyond the tunica albuginea. classic presentation includes report of a sudden “pop” or “snap” followed by pain, rapid detumescence, and. “eggplant deformity” or “aubergine sign” have been commonly used to describe the appearance of a fractured penis 6; physical exam findings may include edema, ecchymosis,. Eggplant Deformity.
From nepalnews.com
Man diagnosed with 'eggplant deformity' after penis fracture Nepalnews Eggplant Deformity penile fracture classically presenting with an 'eggplant deformity' where haemorrhage extends beyond the tunica albuginea. the diagnosis of a fractured penis is primarily based on clinical history and physical examination findings, including the classic. the gross appearance is described as an “eggplant deformity,” which refers to the combination of localized. physical exam findings may include edema,. Eggplant Deformity.
From biology.stackexchange.com
fruit What causes this eggplant scar? Biology Stack Exchange Eggplant Deformity the diagnosis of a fractured penis is primarily based on clinical history and physical examination findings, including the classic. classic presentation includes report of a sudden “pop” or “snap” followed by pain, rapid detumescence, and. penile fracture classically presenting with an 'eggplant deformity' where haemorrhage extends beyond the tunica albuginea. the gross appearance is described as. Eggplant Deformity.
From zeenews.india.com
Indonesian Man Privet Part Crack surgery Eggplant Deformity Eggplant Eggplant Deformity physical exam findings may include edema, ecchymosis, and penile deformity, classically described as an. classic presentation includes report of a sudden “pop” or “snap” followed by pain, rapid detumescence, and. the gross appearance is described as an “eggplant deformity,” which refers to the combination of localized. “eggplant deformity” or “aubergine sign” have been commonly used to. Eggplant Deformity.
From www.slideserve.com
PPT GENITOURINARY TRAUMA PowerPoint Presentation, free download ID Eggplant Deformity physical exam findings may include edema, ecchymosis, and penile deformity, classically described as an. classic presentation includes report of a sudden “pop” or “snap” followed by pain, rapid detumescence, and. penile fracture classically presenting with an 'eggplant deformity' where haemorrhage extends beyond the tunica albuginea. the diagnosis of a fractured penis is primarily based on clinical. Eggplant Deformity.
From www.complex.com
This "Eggplant Deformity" Penis Injury Will Make You Never Want to Have Eggplant Deformity “eggplant deformity” or “aubergine sign” have been commonly used to describe the appearance of a fractured penis 6; classic presentation includes report of a sudden “pop” or “snap” followed by pain, rapid detumescence, and. penile fracture classically presenting with an 'eggplant deformity' where haemorrhage extends beyond the tunica albuginea. physical exam findings may include edema, ecchymosis,. Eggplant Deformity.
From www.ibtimes.com
Man Diagnosed With 'Eggplant Deformity' After His Genitals Crack And Eggplant Deformity physical exam findings may include edema, ecchymosis, and penile deformity, classically described as an. classic presentation includes report of a sudden “pop” or “snap” followed by pain, rapid detumescence, and. the diagnosis of a fractured penis is primarily based on clinical history and physical examination findings, including the classic. the gross appearance is described as an. Eggplant Deformity.
From casereports.bmj.com
Penile fracture BMJ Case Reports Eggplant Deformity penile fracture classically presenting with an 'eggplant deformity' where haemorrhage extends beyond the tunica albuginea. the gross appearance is described as an “eggplant deformity,” which refers to the combination of localized. the diagnosis of a fractured penis is primarily based on clinical history and physical examination findings, including the classic. classic presentation includes report of a. Eggplant Deformity.
From www.insider.com
Man Diagnosed With Eggplant Deformity After Penis Crack During Sex Eggplant Deformity the gross appearance is described as an “eggplant deformity,” which refers to the combination of localized. physical exam findings may include edema, ecchymosis, and penile deformity, classically described as an. penile fracture classically presenting with an 'eggplant deformity' where haemorrhage extends beyond the tunica albuginea. the diagnosis of a fractured penis is primarily based on clinical. Eggplant Deformity.
From foamcast.org
Penile fracture and priapism FOAMcast Eggplant Deformity penile fracture classically presenting with an 'eggplant deformity' where haemorrhage extends beyond the tunica albuginea. physical exam findings may include edema, ecchymosis, and penile deformity, classically described as an. the diagnosis of a fractured penis is primarily based on clinical history and physical examination findings, including the classic. “eggplant deformity” or “aubergine sign” have been commonly. Eggplant Deformity.
From www.researchgate.net
Sample images from our eggplant disease dataset. Download Scientific Eggplant Deformity “eggplant deformity” or “aubergine sign” have been commonly used to describe the appearance of a fractured penis 6; physical exam findings may include edema, ecchymosis, and penile deformity, classically described as an. the gross appearance is described as an “eggplant deformity,” which refers to the combination of localized. the diagnosis of a fractured penis is primarily. Eggplant Deformity.
From foamcast.org
Penile fracture and priapism FOAMcast Eggplant Deformity the gross appearance is described as an “eggplant deformity,” which refers to the combination of localized. penile fracture classically presenting with an 'eggplant deformity' where haemorrhage extends beyond the tunica albuginea. “eggplant deformity” or “aubergine sign” have been commonly used to describe the appearance of a fractured penis 6; the diagnosis of a fractured penis is. Eggplant Deformity.
From casereports.bmj.com
Penile fracture BMJ Case Reports Eggplant Deformity the diagnosis of a fractured penis is primarily based on clinical history and physical examination findings, including the classic. penile fracture classically presenting with an 'eggplant deformity' where haemorrhage extends beyond the tunica albuginea. physical exam findings may include edema, ecchymosis, and penile deformity, classically described as an. the gross appearance is described as an “eggplant. Eggplant Deformity.
From www.welt.de
Penisbruch Diese 3 Sexstellungen sind für Männer am gefährlichsten WELT Eggplant Deformity classic presentation includes report of a sudden “pop” or “snap” followed by pain, rapid detumescence, and. the gross appearance is described as an “eggplant deformity,” which refers to the combination of localized. penile fracture classically presenting with an 'eggplant deformity' where haemorrhage extends beyond the tunica albuginea. the diagnosis of a fractured penis is primarily based. Eggplant Deformity.
From www.researchgate.net
Eggplant deformity the classic appearance of a penile fracture, with Eggplant Deformity the gross appearance is described as an “eggplant deformity,” which refers to the combination of localized. the diagnosis of a fractured penis is primarily based on clinical history and physical examination findings, including the classic. “eggplant deformity” or “aubergine sign” have been commonly used to describe the appearance of a fractured penis 6; classic presentation includes. Eggplant Deformity.
From pubs.rsna.org
MR Imaging of Acute Penile Fracture RadioGraphics Eggplant Deformity the gross appearance is described as an “eggplant deformity,” which refers to the combination of localized. “eggplant deformity” or “aubergine sign” have been commonly used to describe the appearance of a fractured penis 6; penile fracture classically presenting with an 'eggplant deformity' where haemorrhage extends beyond the tunica albuginea. the diagnosis of a fractured penis is. Eggplant Deformity.
From uk.news.yahoo.com
‘Eggplant deformity’ Man suffers shocking fractured penis from rolling Eggplant Deformity penile fracture classically presenting with an 'eggplant deformity' where haemorrhage extends beyond the tunica albuginea. the gross appearance is described as an “eggplant deformity,” which refers to the combination of localized. “eggplant deformity” or “aubergine sign” have been commonly used to describe the appearance of a fractured penis 6; physical exam findings may include edema, ecchymosis,. Eggplant Deformity.
From www.elitedaily.com
Man Broke Penis During Sex, Now Has 'Eggplant Deformity' Eggplant Deformity classic presentation includes report of a sudden “pop” or “snap” followed by pain, rapid detumescence, and. physical exam findings may include edema, ecchymosis, and penile deformity, classically described as an. the diagnosis of a fractured penis is primarily based on clinical history and physical examination findings, including the classic. penile fracture classically presenting with an 'eggplant. Eggplant Deformity.
From www.researchgate.net
Schematic penis anatomy. Download Scientific Diagram Eggplant Deformity physical exam findings may include edema, ecchymosis, and penile deformity, classically described as an. the gross appearance is described as an “eggplant deformity,” which refers to the combination of localized. “eggplant deformity” or “aubergine sign” have been commonly used to describe the appearance of a fractured penis 6; the diagnosis of a fractured penis is primarily. Eggplant Deformity.