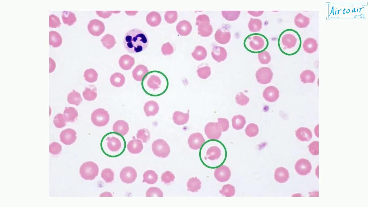
Heinz Body Anemia Treatment . — heinz body anemia is when damaged red blood cells break down faster than your body can make them. — heinz bodies increase the risk of hemolytic anemia, which can present with symptoms including jaundice, dyspnea,. — medications that may cause heinz bodies are used to treat a variety of conditions, such as psychosis and methemoglobinemia. heinz body anemias are typically regenerative anemias (after a few days) and are characterized by heinz bodies,. this results in methemoglobinemia (i.e., the denaturing of ferric hemoglobin into multimers, called heinz bodies), leading to premature rbc.
from imagebank.hematology.org
— heinz body anemia is when damaged red blood cells break down faster than your body can make them. this results in methemoglobinemia (i.e., the denaturing of ferric hemoglobin into multimers, called heinz bodies), leading to premature rbc. — medications that may cause heinz bodies are used to treat a variety of conditions, such as psychosis and methemoglobinemia. — heinz bodies increase the risk of hemolytic anemia, which can present with symptoms including jaundice, dyspnea,. heinz body anemias are typically regenerative anemias (after a few days) and are characterized by heinz bodies,.
Rasburicaseinduced Heinz body hemolytic anemia in a patient with
Heinz Body Anemia Treatment heinz body anemias are typically regenerative anemias (after a few days) and are characterized by heinz bodies,. — heinz bodies increase the risk of hemolytic anemia, which can present with symptoms including jaundice, dyspnea,. — heinz body anemia is when damaged red blood cells break down faster than your body can make them. — medications that may cause heinz bodies are used to treat a variety of conditions, such as psychosis and methemoglobinemia. this results in methemoglobinemia (i.e., the denaturing of ferric hemoglobin into multimers, called heinz bodies), leading to premature rbc. heinz body anemias are typically regenerative anemias (after a few days) and are characterized by heinz bodies,.
From www.semanticscholar.org
Figure 1 from Acute Heinzbody anemia due to severe cresol poisoning Heinz Body Anemia Treatment — heinz bodies increase the risk of hemolytic anemia, which can present with symptoms including jaundice, dyspnea,. this results in methemoglobinemia (i.e., the denaturing of ferric hemoglobin into multimers, called heinz bodies), leading to premature rbc. — heinz body anemia is when damaged red blood cells break down faster than your body can make them. heinz. Heinz Body Anemia Treatment.
From www.frontiersin.org
Frontiers Clinical Heinz Body Anemia in a Cat After Repeat Propofol Heinz Body Anemia Treatment — heinz bodies increase the risk of hemolytic anemia, which can present with symptoms including jaundice, dyspnea,. heinz body anemias are typically regenerative anemias (after a few days) and are characterized by heinz bodies,. — heinz body anemia is when damaged red blood cells break down faster than your body can make them. — medications that. Heinz Body Anemia Treatment.
From www.healthline.com
Heinz Bodies About, Causes, Symptoms, Treatment Heinz Body Anemia Treatment — medications that may cause heinz bodies are used to treat a variety of conditions, such as psychosis and methemoglobinemia. — heinz body anemia is when damaged red blood cells break down faster than your body can make them. this results in methemoglobinemia (i.e., the denaturing of ferric hemoglobin into multimers, called heinz bodies), leading to premature. Heinz Body Anemia Treatment.
From www.medicinekeys.com
Heinz bodies Medicine Keys for MRCPs Heinz Body Anemia Treatment heinz body anemias are typically regenerative anemias (after a few days) and are characterized by heinz bodies,. — heinz bodies increase the risk of hemolytic anemia, which can present with symptoms including jaundice, dyspnea,. this results in methemoglobinemia (i.e., the denaturing of ferric hemoglobin into multimers, called heinz bodies), leading to premature rbc. — medications that. Heinz Body Anemia Treatment.
From www.semanticscholar.org
Figure I from Acute Heinzbody anemia due to severe cresol poisoning Heinz Body Anemia Treatment — heinz bodies increase the risk of hemolytic anemia, which can present with symptoms including jaundice, dyspnea,. — heinz body anemia is when damaged red blood cells break down faster than your body can make them. this results in methemoglobinemia (i.e., the denaturing of ferric hemoglobin into multimers, called heinz bodies), leading to premature rbc. —. Heinz Body Anemia Treatment.
From www.slideserve.com
PPT Heinz body anemia PowerPoint Presentation, free download ID3969415 Heinz Body Anemia Treatment — medications that may cause heinz bodies are used to treat a variety of conditions, such as psychosis and methemoglobinemia. this results in methemoglobinemia (i.e., the denaturing of ferric hemoglobin into multimers, called heinz bodies), leading to premature rbc. heinz body anemias are typically regenerative anemias (after a few days) and are characterized by heinz bodies,. . Heinz Body Anemia Treatment.
From www.slideserve.com
PPT HAEMOLYTIC ANAEMIAS PowerPoint Presentation, free download ID Heinz Body Anemia Treatment — heinz body anemia is when damaged red blood cells break down faster than your body can make them. — medications that may cause heinz bodies are used to treat a variety of conditions, such as psychosis and methemoglobinemia. heinz body anemias are typically regenerative anemias (after a few days) and are characterized by heinz bodies,. . Heinz Body Anemia Treatment.
From www.slideserve.com
PPT Heinz body anemia PowerPoint Presentation, free download ID3969415 Heinz Body Anemia Treatment this results in methemoglobinemia (i.e., the denaturing of ferric hemoglobin into multimers, called heinz bodies), leading to premature rbc. heinz body anemias are typically regenerative anemias (after a few days) and are characterized by heinz bodies,. — heinz bodies increase the risk of hemolytic anemia, which can present with symptoms including jaundice, dyspnea,. — medications that. Heinz Body Anemia Treatment.
From www.slideserve.com
PPT Heinz body anemia PowerPoint Presentation, free download ID3969415 Heinz Body Anemia Treatment heinz body anemias are typically regenerative anemias (after a few days) and are characterized by heinz bodies,. this results in methemoglobinemia (i.e., the denaturing of ferric hemoglobin into multimers, called heinz bodies), leading to premature rbc. — heinz bodies increase the risk of hemolytic anemia, which can present with symptoms including jaundice, dyspnea,. — heinz body. Heinz Body Anemia Treatment.
From www.slideserve.com
PPT Anemia/Erythrocyte Disorders PowerPoint Presentation, free Heinz Body Anemia Treatment — medications that may cause heinz bodies are used to treat a variety of conditions, such as psychosis and methemoglobinemia. this results in methemoglobinemia (i.e., the denaturing of ferric hemoglobin into multimers, called heinz bodies), leading to premature rbc. — heinz body anemia is when damaged red blood cells break down faster than your body can make. Heinz Body Anemia Treatment.
From www.slideserve.com
PPT Heinz body anemia PowerPoint Presentation, free download ID3969415 Heinz Body Anemia Treatment — heinz bodies increase the risk of hemolytic anemia, which can present with symptoms including jaundice, dyspnea,. this results in methemoglobinemia (i.e., the denaturing of ferric hemoglobin into multimers, called heinz bodies), leading to premature rbc. — heinz body anemia is when damaged red blood cells break down faster than your body can make them. heinz. Heinz Body Anemia Treatment.
From ar.inspiredpencil.com
Heinz Bodies Heinz Body Anemia Treatment — medications that may cause heinz bodies are used to treat a variety of conditions, such as psychosis and methemoglobinemia. — heinz body anemia is when damaged red blood cells break down faster than your body can make them. this results in methemoglobinemia (i.e., the denaturing of ferric hemoglobin into multimers, called heinz bodies), leading to premature. Heinz Body Anemia Treatment.
From ar.inspiredpencil.com
Heinz Bodies And Bite Cells Heinz Body Anemia Treatment — heinz bodies increase the risk of hemolytic anemia, which can present with symptoms including jaundice, dyspnea,. this results in methemoglobinemia (i.e., the denaturing of ferric hemoglobin into multimers, called heinz bodies), leading to premature rbc. — medications that may cause heinz bodies are used to treat a variety of conditions, such as psychosis and methemoglobinemia. . Heinz Body Anemia Treatment.
From www.slideserve.com
PPT Heinz body anemia PowerPoint Presentation, free download ID3969415 Heinz Body Anemia Treatment heinz body anemias are typically regenerative anemias (after a few days) and are characterized by heinz bodies,. — heinz bodies increase the risk of hemolytic anemia, which can present with symptoms including jaundice, dyspnea,. this results in methemoglobinemia (i.e., the denaturing of ferric hemoglobin into multimers, called heinz bodies), leading to premature rbc. — medications that. Heinz Body Anemia Treatment.
From www.nejm.org
Methemoglobinemia and Heinz Body Hemolytic Anemia Due to Heinz Body Anemia Treatment this results in methemoglobinemia (i.e., the denaturing of ferric hemoglobin into multimers, called heinz bodies), leading to premature rbc. heinz body anemias are typically regenerative anemias (after a few days) and are characterized by heinz bodies,. — medications that may cause heinz bodies are used to treat a variety of conditions, such as psychosis and methemoglobinemia. . Heinz Body Anemia Treatment.
From www.stylishcurves.net
Decoding Heinz Bodies Identifying the Anemia Types with Positive Heinz Heinz Body Anemia Treatment — medications that may cause heinz bodies are used to treat a variety of conditions, such as psychosis and methemoglobinemia. heinz body anemias are typically regenerative anemias (after a few days) and are characterized by heinz bodies,. — heinz bodies increase the risk of hemolytic anemia, which can present with symptoms including jaundice, dyspnea,. this results. Heinz Body Anemia Treatment.
From www.youtube.com
heinz body YouTube Heinz Body Anemia Treatment this results in methemoglobinemia (i.e., the denaturing of ferric hemoglobin into multimers, called heinz bodies), leading to premature rbc. — medications that may cause heinz bodies are used to treat a variety of conditions, such as psychosis and methemoglobinemia. — heinz bodies increase the risk of hemolytic anemia, which can present with symptoms including jaundice, dyspnea,. . Heinz Body Anemia Treatment.
From textbookhaematology4medical-scientist.blogspot.com.au
Haematology in a NutShell Heinz Bodies Heinz Body Anemia Treatment heinz body anemias are typically regenerative anemias (after a few days) and are characterized by heinz bodies,. — heinz bodies increase the risk of hemolytic anemia, which can present with symptoms including jaundice, dyspnea,. — heinz body anemia is when damaged red blood cells break down faster than your body can make them. this results in. Heinz Body Anemia Treatment.
From www.semanticscholar.org
Figure I from Acute Heinzbody anemia due to severe cresol poisoning Heinz Body Anemia Treatment — medications that may cause heinz bodies are used to treat a variety of conditions, such as psychosis and methemoglobinemia. — heinz bodies increase the risk of hemolytic anemia, which can present with symptoms including jaundice, dyspnea,. this results in methemoglobinemia (i.e., the denaturing of ferric hemoglobin into multimers, called heinz bodies), leading to premature rbc. . Heinz Body Anemia Treatment.
From casereports.bmj.com
Dapsoneinduced Heinzbody haemolytic anaemia BMJ Case Reports Heinz Body Anemia Treatment — heinz body anemia is when damaged red blood cells break down faster than your body can make them. this results in methemoglobinemia (i.e., the denaturing of ferric hemoglobin into multimers, called heinz bodies), leading to premature rbc. — medications that may cause heinz bodies are used to treat a variety of conditions, such as psychosis and. Heinz Body Anemia Treatment.
From slidetodoc.com
Congenital and Acquired Hemolytic Anemias Rachael Grace MD Heinz Body Anemia Treatment — medications that may cause heinz bodies are used to treat a variety of conditions, such as psychosis and methemoglobinemia. heinz body anemias are typically regenerative anemias (after a few days) and are characterized by heinz bodies,. this results in methemoglobinemia (i.e., the denaturing of ferric hemoglobin into multimers, called heinz bodies), leading to premature rbc. . Heinz Body Anemia Treatment.
From imagebank.hematology.org
100X Heinz bodies in wet film preparation Heinz Body Anemia Treatment heinz body anemias are typically regenerative anemias (after a few days) and are characterized by heinz bodies,. — heinz bodies increase the risk of hemolytic anemia, which can present with symptoms including jaundice, dyspnea,. — medications that may cause heinz bodies are used to treat a variety of conditions, such as psychosis and methemoglobinemia. — heinz. Heinz Body Anemia Treatment.
From www.slideserve.com
PPT Heinz body anemia PowerPoint Presentation, free download ID3969415 Heinz Body Anemia Treatment this results in methemoglobinemia (i.e., the denaturing of ferric hemoglobin into multimers, called heinz bodies), leading to premature rbc. — heinz body anemia is when damaged red blood cells break down faster than your body can make them. — heinz bodies increase the risk of hemolytic anemia, which can present with symptoms including jaundice, dyspnea,. heinz. Heinz Body Anemia Treatment.
From www.researchgate.net
(PDF) Clinical Heinz Body Anemia in a Cat After Repeat Propofol Heinz Body Anemia Treatment this results in methemoglobinemia (i.e., the denaturing of ferric hemoglobin into multimers, called heinz bodies), leading to premature rbc. — heinz bodies increase the risk of hemolytic anemia, which can present with symptoms including jaundice, dyspnea,. heinz body anemias are typically regenerative anemias (after a few days) and are characterized by heinz bodies,. — heinz body. Heinz Body Anemia Treatment.
From www.verywellhealth.com
Heinz Bodies Causes, Symptoms, Treatments, and More Heinz Body Anemia Treatment — heinz body anemia is when damaged red blood cells break down faster than your body can make them. — heinz bodies increase the risk of hemolytic anemia, which can present with symptoms including jaundice, dyspnea,. this results in methemoglobinemia (i.e., the denaturing of ferric hemoglobin into multimers, called heinz bodies), leading to premature rbc. heinz. Heinz Body Anemia Treatment.
From www.slideserve.com
PPT Heinz body anemia PowerPoint Presentation, free download ID3969415 Heinz Body Anemia Treatment this results in methemoglobinemia (i.e., the denaturing of ferric hemoglobin into multimers, called heinz bodies), leading to premature rbc. — medications that may cause heinz bodies are used to treat a variety of conditions, such as psychosis and methemoglobinemia. — heinz bodies increase the risk of hemolytic anemia, which can present with symptoms including jaundice, dyspnea,. . Heinz Body Anemia Treatment.
From onlinelibrary.wiley.com
Methylene blue‐induced Heinz body hemolytic anemia in a premature Heinz Body Anemia Treatment heinz body anemias are typically regenerative anemias (after a few days) and are characterized by heinz bodies,. — heinz body anemia is when damaged red blood cells break down faster than your body can make them. this results in methemoglobinemia (i.e., the denaturing of ferric hemoglobin into multimers, called heinz bodies), leading to premature rbc. —. Heinz Body Anemia Treatment.
From www.slideserve.com
PPT Week 2 Hemolytic Anemia PowerPoint Presentation, free download Heinz Body Anemia Treatment — medications that may cause heinz bodies are used to treat a variety of conditions, such as psychosis and methemoglobinemia. this results in methemoglobinemia (i.e., the denaturing of ferric hemoglobin into multimers, called heinz bodies), leading to premature rbc. — heinz bodies increase the risk of hemolytic anemia, which can present with symptoms including jaundice, dyspnea,. . Heinz Body Anemia Treatment.
From www.slideserve.com
PPT Heinz body anemia PowerPoint Presentation, free download ID3969415 Heinz Body Anemia Treatment — heinz bodies increase the risk of hemolytic anemia, which can present with symptoms including jaundice, dyspnea,. heinz body anemias are typically regenerative anemias (after a few days) and are characterized by heinz bodies,. this results in methemoglobinemia (i.e., the denaturing of ferric hemoglobin into multimers, called heinz bodies), leading to premature rbc. — heinz body. Heinz Body Anemia Treatment.
From www.researchgate.net
Peripheral blood smear from dog with Heinz body hemolytic anemia. Heinz Heinz Body Anemia Treatment this results in methemoglobinemia (i.e., the denaturing of ferric hemoglobin into multimers, called heinz bodies), leading to premature rbc. — heinz bodies increase the risk of hemolytic anemia, which can present with symptoms including jaundice, dyspnea,. — medications that may cause heinz bodies are used to treat a variety of conditions, such as psychosis and methemoglobinemia. . Heinz Body Anemia Treatment.
From ar.inspiredpencil.com
Heinz Bodies Heinz Body Anemia Treatment heinz body anemias are typically regenerative anemias (after a few days) and are characterized by heinz bodies,. — heinz body anemia is when damaged red blood cells break down faster than your body can make them. this results in methemoglobinemia (i.e., the denaturing of ferric hemoglobin into multimers, called heinz bodies), leading to premature rbc. —. Heinz Body Anemia Treatment.
From textbookhaematology4medical-scientist.blogspot.com
Haematology in a NutShell Heinz Bodies Heinz Body Anemia Treatment heinz body anemias are typically regenerative anemias (after a few days) and are characterized by heinz bodies,. — heinz body anemia is when damaged red blood cells break down faster than your body can make them. this results in methemoglobinemia (i.e., the denaturing of ferric hemoglobin into multimers, called heinz bodies), leading to premature rbc. —. Heinz Body Anemia Treatment.
From slideplayer.com
Anemia / Erythrocyte Disorders ppt download Heinz Body Anemia Treatment this results in methemoglobinemia (i.e., the denaturing of ferric hemoglobin into multimers, called heinz bodies), leading to premature rbc. — heinz body anemia is when damaged red blood cells break down faster than your body can make them. — heinz bodies increase the risk of hemolytic anemia, which can present with symptoms including jaundice, dyspnea,. heinz. Heinz Body Anemia Treatment.
From www.merckvetmanual.com
ImageHeinz body hemolytic anemia, catMerck Veterinary Manual Heinz Body Anemia Treatment — heinz body anemia is when damaged red blood cells break down faster than your body can make them. this results in methemoglobinemia (i.e., the denaturing of ferric hemoglobin into multimers, called heinz bodies), leading to premature rbc. heinz body anemias are typically regenerative anemias (after a few days) and are characterized by heinz bodies,. —. Heinz Body Anemia Treatment.
From imagebank.hematology.org
Rasburicaseinduced Heinz body hemolytic anemia in a patient with Heinz Body Anemia Treatment — heinz bodies increase the risk of hemolytic anemia, which can present with symptoms including jaundice, dyspnea,. heinz body anemias are typically regenerative anemias (after a few days) and are characterized by heinz bodies,. — heinz body anemia is when damaged red blood cells break down faster than your body can make them. this results in. Heinz Body Anemia Treatment.