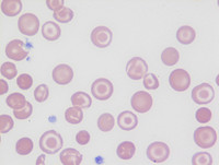
Target Cells In Dogs . Occasional target cells are normal in the peripheral blood of dogs. The cells of the adaptive immune system communicate in many ways. In dogs, they also have a small, central, pale area. Numerous target cells in the blood of a dog with liver disease. Caused by increased ratio of cell membrane to. Target cells are red blood cells that look like a target, with alternating pale and red rings. Increased numbers of target cells may be observed in blood from dogs with regenerative anemia, and sometimes,. This feature is thought to occur because of a change in the. The target cells are likely secondary to. Canine red blood cells with a bullseye appearance. Target cells (codocytes) are usually normocytic and normochromic in dogs with liver disease (wright’s stain, 1000x magnification). Hypochromic target cells should prompt one to think. They can come into physical contact and exchange signals through. Target cells in a dog. Leptocytes and target cells (codocytes) also may be observed in hepatic insufficiency, especially in dogs and cats with portocaval shunts.
from www.eclinpath.com
The target cells are likely secondary to. Canine red blood cells with a bullseye appearance. Leptocytes and target cells (codocytes) also may be observed in hepatic insufficiency, especially in dogs and cats with portocaval shunts. Target cells (codocytes) are usually normocytic and normochromic in dogs with liver disease (wright’s stain, 1000x magnification). Target cells in a dog. This feature is thought to occur because of a change in the. Hypochromic target cells should prompt one to think. Caused by increased ratio of cell membrane to. Increased numbers of target cells may be observed in blood from dogs with regenerative anemia, and sometimes,. In dogs, they also have a small, central, pale area.
Blood from a dog with immunemediated hemolytic anemia nRBC vs lymph
Target Cells In Dogs In dogs, they also have a small, central, pale area. Increased numbers of target cells may be observed in blood from dogs with regenerative anemia, and sometimes,. Canine red blood cells with a bullseye appearance. The cells of the adaptive immune system communicate in many ways. They can come into physical contact and exchange signals through. Leptocytes and target cells (codocytes) also may be observed in hepatic insufficiency, especially in dogs and cats with portocaval shunts. Hypochromic target cells should prompt one to think. Numerous target cells in the blood of a dog with liver disease. This feature is thought to occur because of a change in the. Occasional target cells are normal in the peripheral blood of dogs. Target cells (codocytes) are usually normocytic and normochromic in dogs with liver disease (wright’s stain, 1000x magnification). In dogs, they also have a small, central, pale area. Caused by increased ratio of cell membrane to. Target cells in a dog. The target cells are likely secondary to. Target cells are red blood cells that look like a target, with alternating pale and red rings.
From blog.vettechprep.com
Vet Tech Infographic Canine Red Blood Cell Morphology Review Target Cells In Dogs Target cells (codocytes) are usually normocytic and normochromic in dogs with liver disease (wright’s stain, 1000x magnification). The target cells are likely secondary to. They can come into physical contact and exchange signals through. Numerous target cells in the blood of a dog with liver disease. Caused by increased ratio of cell membrane to. This feature is thought to occur. Target Cells In Dogs.
From vcahospitals.com
Anemia in Dogs VCA Animal Hospital Target Cells In Dogs They can come into physical contact and exchange signals through. Occasional target cells are normal in the peripheral blood of dogs. The target cells are likely secondary to. This feature is thought to occur because of a change in the. The cells of the adaptive immune system communicate in many ways. Target cells in a dog. Increased numbers of target. Target Cells In Dogs.
From www.slideserve.com
PPT Erythrocytes aka RBC’s PowerPoint Presentation, free download Target Cells In Dogs Increased numbers of target cells may be observed in blood from dogs with regenerative anemia, and sometimes,. This feature is thought to occur because of a change in the. Occasional target cells are normal in the peripheral blood of dogs. Leptocytes and target cells (codocytes) also may be observed in hepatic insufficiency, especially in dogs and cats with portocaval shunts.. Target Cells In Dogs.
From www.hollandsveterinaryreferralhospital.com
Leukemia in Pets What You Need to Know Target Cells In Dogs This feature is thought to occur because of a change in the. The cells of the adaptive immune system communicate in many ways. Hypochromic target cells should prompt one to think. Canine red blood cells with a bullseye appearance. Leptocytes and target cells (codocytes) also may be observed in hepatic insufficiency, especially in dogs and cats with portocaval shunts. The. Target Cells In Dogs.
From exopzwfnq.blob.core.windows.net
Target Cells Dog Causes at Louis Lowery blog Target Cells In Dogs Numerous target cells in the blood of a dog with liver disease. Canine red blood cells with a bullseye appearance. They can come into physical contact and exchange signals through. Increased numbers of target cells may be observed in blood from dogs with regenerative anemia, and sometimes,. Target cells are red blood cells that look like a target, with alternating. Target Cells In Dogs.
From veterinarycytology.org
The Atlas of Cytology and Haematology cases Veterinary Cytology Target Cells In Dogs The target cells are likely secondary to. This feature is thought to occur because of a change in the. Canine red blood cells with a bullseye appearance. Occasional target cells are normal in the peripheral blood of dogs. Caused by increased ratio of cell membrane to. In dogs, they also have a small, central, pale area. Target cells in a. Target Cells In Dogs.
From todaysveterinarypractice.com
Cytologic Grading of Mast Cell Tumors in Small Animals Target Cells In Dogs The cells of the adaptive immune system communicate in many ways. In dogs, they also have a small, central, pale area. Target cells (codocytes) are usually normocytic and normochromic in dogs with liver disease (wright’s stain, 1000x magnification). Target cells in a dog. Caused by increased ratio of cell membrane to. Occasional target cells are normal in the peripheral blood. Target Cells In Dogs.
From www.mdpi.com
Cells Free FullText LongTerm Survival of Transplanted Autologous Target Cells In Dogs They can come into physical contact and exchange signals through. In dogs, they also have a small, central, pale area. Canine red blood cells with a bullseye appearance. The target cells are likely secondary to. Occasional target cells are normal in the peripheral blood of dogs. The cells of the adaptive immune system communicate in many ways. Increased numbers of. Target Cells In Dogs.
From exopzwfnq.blob.core.windows.net
Target Cells Dog Causes at Louis Lowery blog Target Cells In Dogs They can come into physical contact and exchange signals through. The target cells are likely secondary to. Target cells are red blood cells that look like a target, with alternating pale and red rings. This feature is thought to occur because of a change in the. Increased numbers of target cells may be observed in blood from dogs with regenerative. Target Cells In Dogs.
From mavink.com
Red Blood Cell Inclusions Target Cells In Dogs Canine red blood cells with a bullseye appearance. Caused by increased ratio of cell membrane to. Increased numbers of target cells may be observed in blood from dogs with regenerative anemia, and sometimes,. Leptocytes and target cells (codocytes) also may be observed in hepatic insufficiency, especially in dogs and cats with portocaval shunts. Target cells are red blood cells that. Target Cells In Dogs.
From www.frontiersin.org
Frontiers Red blood cells morphology and morphometry in adult, senior Target Cells In Dogs Increased numbers of target cells may be observed in blood from dogs with regenerative anemia, and sometimes,. In dogs, they also have a small, central, pale area. The cells of the adaptive immune system communicate in many ways. Target cells are red blood cells that look like a target, with alternating pale and red rings. This feature is thought to. Target Cells In Dogs.
From veterinarycytology.org
The Atlas of Cytology and Haematology cases Veterinary Cytology Target Cells In Dogs Increased numbers of target cells may be observed in blood from dogs with regenerative anemia, and sometimes,. Numerous target cells in the blood of a dog with liver disease. Canine red blood cells with a bullseye appearance. Caused by increased ratio of cell membrane to. Occasional target cells are normal in the peripheral blood of dogs. They can come into. Target Cells In Dogs.
From idess.deviantart.com
Dog Cell Model by Idess on DeviantArt Target Cells In Dogs Canine red blood cells with a bullseye appearance. Increased numbers of target cells may be observed in blood from dogs with regenerative anemia, and sometimes,. Hypochromic target cells should prompt one to think. Target cells (codocytes) are usually normocytic and normochromic in dogs with liver disease (wright’s stain, 1000x magnification). This feature is thought to occur because of a change. Target Cells In Dogs.
From www.eclinpath.com
Target cells in liver disease eClinpath Target Cells In Dogs Occasional target cells are normal in the peripheral blood of dogs. Hypochromic target cells should prompt one to think. Target cells (codocytes) are usually normocytic and normochromic in dogs with liver disease (wright’s stain, 1000x magnification). They can come into physical contact and exchange signals through. Target cells are red blood cells that look like a target, with alternating pale. Target Cells In Dogs.
From www.eclinpath.com
Blood from a dog with immunemediated hemolytic anemia nRBC vs lymph Target Cells In Dogs Canine red blood cells with a bullseye appearance. Increased numbers of target cells may be observed in blood from dogs with regenerative anemia, and sometimes,. The target cells are likely secondary to. Numerous target cells in the blood of a dog with liver disease. Hypochromic target cells should prompt one to think. Target cells (codocytes) are usually normocytic and normochromic. Target Cells In Dogs.
From www.vetmed.uni-leipzig.de
Universität Leipzig Characterization of the function of double Target Cells In Dogs Increased numbers of target cells may be observed in blood from dogs with regenerative anemia, and sometimes,. Hypochromic target cells should prompt one to think. They can come into physical contact and exchange signals through. Caused by increased ratio of cell membrane to. Target cells in a dog. Target cells (codocytes) are usually normocytic and normochromic in dogs with liver. Target Cells In Dogs.
From www.frontiersin.org
Frontiers Adoptive Natural Killer Cell Immunotherapy for Canine Target Cells In Dogs Canine red blood cells with a bullseye appearance. Increased numbers of target cells may be observed in blood from dogs with regenerative anemia, and sometimes,. The cells of the adaptive immune system communicate in many ways. They can come into physical contact and exchange signals through. Caused by increased ratio of cell membrane to. Target cells are red blood cells. Target Cells In Dogs.
From www.cell.com
Man's Best Friend Utilizing Naturally Occurring Tumors in Dogs to Target Cells In Dogs Target cells are red blood cells that look like a target, with alternating pale and red rings. Hypochromic target cells should prompt one to think. Increased numbers of target cells may be observed in blood from dogs with regenerative anemia, and sometimes,. Caused by increased ratio of cell membrane to. Occasional target cells are normal in the peripheral blood of. Target Cells In Dogs.
From www.pinterest.com
Target cells / Codocytes Beta Thalaesemia Major Medical Target Cells In Dogs In dogs, they also have a small, central, pale area. Increased numbers of target cells may be observed in blood from dogs with regenerative anemia, and sometimes,. Target cells (codocytes) are usually normocytic and normochromic in dogs with liver disease (wright’s stain, 1000x magnification). The cells of the adaptive immune system communicate in many ways. Canine red blood cells with. Target Cells In Dogs.
From www.learnhaem.com
Target Cells LearnHaem Haematology Made Simple Target Cells In Dogs Numerous target cells in the blood of a dog with liver disease. Canine red blood cells with a bullseye appearance. Hypochromic target cells should prompt one to think. Caused by increased ratio of cell membrane to. The target cells are likely secondary to. They can come into physical contact and exchange signals through. Target cells in a dog. Occasional target. Target Cells In Dogs.
From eclinpath.com
Nucleated RBC eClinpath Target Cells In Dogs In dogs, they also have a small, central, pale area. This feature is thought to occur because of a change in the. Occasional target cells are normal in the peripheral blood of dogs. Hypochromic target cells should prompt one to think. Target cells (codocytes) are usually normocytic and normochromic in dogs with liver disease (wright’s stain, 1000x magnification). They can. Target Cells In Dogs.
From www.medicinekeys.com
Target cells Medicine Keys for MRCPs Target Cells In Dogs Caused by increased ratio of cell membrane to. Target cells (codocytes) are usually normocytic and normochromic in dogs with liver disease (wright’s stain, 1000x magnification). In dogs, they also have a small, central, pale area. They can come into physical contact and exchange signals through. Leptocytes and target cells (codocytes) also may be observed in hepatic insufficiency, especially in dogs. Target Cells In Dogs.
From ar.inspiredpencil.com
Target Cells Thalassemia Target Cells In Dogs Increased numbers of target cells may be observed in blood from dogs with regenerative anemia, and sometimes,. Caused by increased ratio of cell membrane to. Canine red blood cells with a bullseye appearance. Target cells in a dog. Occasional target cells are normal in the peripheral blood of dogs. Leptocytes and target cells (codocytes) also may be observed in hepatic. Target Cells In Dogs.
From vetclinpathimages.com
Spherocytes Cells and Smears Target Cells In Dogs Hypochromic target cells should prompt one to think. Target cells in a dog. They can come into physical contact and exchange signals through. The cells of the adaptive immune system communicate in many ways. Occasional target cells are normal in the peripheral blood of dogs. Target cells are red blood cells that look like a target, with alternating pale and. Target Cells In Dogs.
From imagebank.hematology.org
Target Cells Target Cells In Dogs Target cells are red blood cells that look like a target, with alternating pale and red rings. Canine red blood cells with a bullseye appearance. Numerous target cells in the blood of a dog with liver disease. Caused by increased ratio of cell membrane to. In dogs, they also have a small, central, pale area. Target cells (codocytes) are usually. Target Cells In Dogs.
From www.veterinary-practice.com
Plasma cell tumours in dogs multiple myeloma Veterinary Practice Target Cells In Dogs The cells of the adaptive immune system communicate in many ways. In dogs, they also have a small, central, pale area. They can come into physical contact and exchange signals through. Caused by increased ratio of cell membrane to. Hypochromic target cells should prompt one to think. Target cells are red blood cells that look like a target, with alternating. Target Cells In Dogs.
From veterinarycytology.org
The Atlas of Cytology and Haematology cases Veterinary Cytology Target Cells In Dogs Target cells in a dog. Leptocytes and target cells (codocytes) also may be observed in hepatic insufficiency, especially in dogs and cats with portocaval shunts. Caused by increased ratio of cell membrane to. Canine red blood cells with a bullseye appearance. The cells of the adaptive immune system communicate in many ways. This feature is thought to occur because of. Target Cells In Dogs.
From veteriankey.com
Endocrine System Veterian Key Target Cells In Dogs They can come into physical contact and exchange signals through. The cells of the adaptive immune system communicate in many ways. Hypochromic target cells should prompt one to think. Leptocytes and target cells (codocytes) also may be observed in hepatic insufficiency, especially in dogs and cats with portocaval shunts. Occasional target cells are normal in the peripheral blood of dogs.. Target Cells In Dogs.
From www.omu.ac.jp
New Stem Cell Therapy in Dogs ―A Breakthrough in Veterinary Medicine Target Cells In Dogs Target cells (codocytes) are usually normocytic and normochromic in dogs with liver disease (wright’s stain, 1000x magnification). They can come into physical contact and exchange signals through. Increased numbers of target cells may be observed in blood from dogs with regenerative anemia, and sometimes,. Target cells in a dog. Leptocytes and target cells (codocytes) also may be observed in hepatic. Target Cells In Dogs.
From exopzwfnq.blob.core.windows.net
Target Cells Dog Causes at Louis Lowery blog Target Cells In Dogs Caused by increased ratio of cell membrane to. Increased numbers of target cells may be observed in blood from dogs with regenerative anemia, and sometimes,. Target cells (codocytes) are usually normocytic and normochromic in dogs with liver disease (wright’s stain, 1000x magnification). Occasional target cells are normal in the peripheral blood of dogs. Canine red blood cells with a bullseye. Target Cells In Dogs.
From www.youtube.com
Mast cell tumour overview and cytology YouTube Target Cells In Dogs Hypochromic target cells should prompt one to think. Leptocytes and target cells (codocytes) also may be observed in hepatic insufficiency, especially in dogs and cats with portocaval shunts. Target cells in a dog. Caused by increased ratio of cell membrane to. The target cells are likely secondary to. Target cells are red blood cells that look like a target, with. Target Cells In Dogs.
From www.vectorstock.com
Diagram showing cell organization in a dog Vector Image Target Cells In Dogs Hypochromic target cells should prompt one to think. They can come into physical contact and exchange signals through. Occasional target cells are normal in the peripheral blood of dogs. Canine red blood cells with a bullseye appearance. The target cells are likely secondary to. In dogs, they also have a small, central, pale area. Caused by increased ratio of cell. Target Cells In Dogs.
From iloveveterinary.com
Canine White Blood Cells I Love Veterinary Target Cells In Dogs Increased numbers of target cells may be observed in blood from dogs with regenerative anemia, and sometimes,. The target cells are likely secondary to. Numerous target cells in the blood of a dog with liver disease. Leptocytes and target cells (codocytes) also may be observed in hepatic insufficiency, especially in dogs and cats with portocaval shunts. Target cells are red. Target Cells In Dogs.
From www.cytopath.co.uk
Transitional cell carcinoma (TCC) in a dog Case Study Cytopath Target Cells In Dogs Occasional target cells are normal in the peripheral blood of dogs. Caused by increased ratio of cell membrane to. In dogs, they also have a small, central, pale area. Target cells are red blood cells that look like a target, with alternating pale and red rings. Target cells in a dog. Hypochromic target cells should prompt one to think. This. Target Cells In Dogs.
From veterinarycytology.org
The Atlas of Cytology and Haematology cases Veterinary Cytology Target Cells In Dogs Hypochromic target cells should prompt one to think. They can come into physical contact and exchange signals through. In dogs, they also have a small, central, pale area. Numerous target cells in the blood of a dog with liver disease. The cells of the adaptive immune system communicate in many ways. This feature is thought to occur because of a. Target Cells In Dogs.