What Is A Soft Palate Papilloma . Symptoms of hpv in the mouth can include small, hard, bumps or growths. These lesions are most commonly found on the labial mucosa, soft palate, and lingual frenum. It is bordered by the hard palate anteriorly, palatoglossal and palatopharyngeal muscles. Soft palate cancer is a type of throat cancer that affects your soft palate, which is the muscular area at the roof of your mouth toward. Soft palate cancer is a type of oropharyngeal cancer. Soft palate cancer is one of several kinds of. The soft palate, on the other hand, is a subsite of the oropharynx. It can cause lumps or lesions to develop in the back of the. Human papillomavirus (hpv) can affect the inside of the mouth, the tongue, and the lips. Condylomas arise through oral sex as well as. What is soft palate cancer? They may be slightly raised or. Soft palate cancer is a type of cancer that can develop from tobacco and alcohol use as well as hpv infection. Your soft palate is the back part of the roof of your mouth. It occurs when cancerous cells grow in thin, flat cells (squamous cells) in.
from www.ent-istanbul.com
These lesions are most commonly found on the labial mucosa, soft palate, and lingual frenum. Symptoms of hpv in the mouth can include small, hard, bumps or growths. Soft palate cancer is a type of cancer that can develop from tobacco and alcohol use as well as hpv infection. Soft palate cancer is one of several kinds of. They may be slightly raised or. It occurs when cancerous cells grow in thin, flat cells (squamous cells) in. It can cause lumps or lesions to develop in the back of the. Your soft palate is the back part of the roof of your mouth. Condylomas arise through oral sex as well as. What is soft palate cancer?
A Simple Partial Uvulectomy Technique Under Local Anesthesia For The
What Is A Soft Palate Papilloma It occurs when cancerous cells grow in thin, flat cells (squamous cells) in. Soft palate cancer is a type of throat cancer that affects your soft palate, which is the muscular area at the roof of your mouth toward. Condylomas arise through oral sex as well as. Human papillomavirus (hpv) can affect the inside of the mouth, the tongue, and the lips. What is soft palate cancer? Your soft palate is the back part of the roof of your mouth. Soft palate cancer is one of several kinds of. Soft palate cancer is a type of cancer that can develop from tobacco and alcohol use as well as hpv infection. It can cause lumps or lesions to develop in the back of the. They may be slightly raised or. These lesions are most commonly found on the labial mucosa, soft palate, and lingual frenum. The soft palate, on the other hand, is a subsite of the oropharynx. Symptoms of hpv in the mouth can include small, hard, bumps or growths. Soft palate cancer is a type of oropharyngeal cancer. It is bordered by the hard palate anteriorly, palatoglossal and palatopharyngeal muscles. It occurs when cancerous cells grow in thin, flat cells (squamous cells) in.
From www.sciencephoto.com
Squamous papilloma Stock Image C054/9581 Science Photo Library What Is A Soft Palate Papilloma What is soft palate cancer? Your soft palate is the back part of the roof of your mouth. It is bordered by the hard palate anteriorly, palatoglossal and palatopharyngeal muscles. Soft palate cancer is a type of cancer that can develop from tobacco and alcohol use as well as hpv infection. The soft palate, on the other hand, is a. What Is A Soft Palate Papilloma.
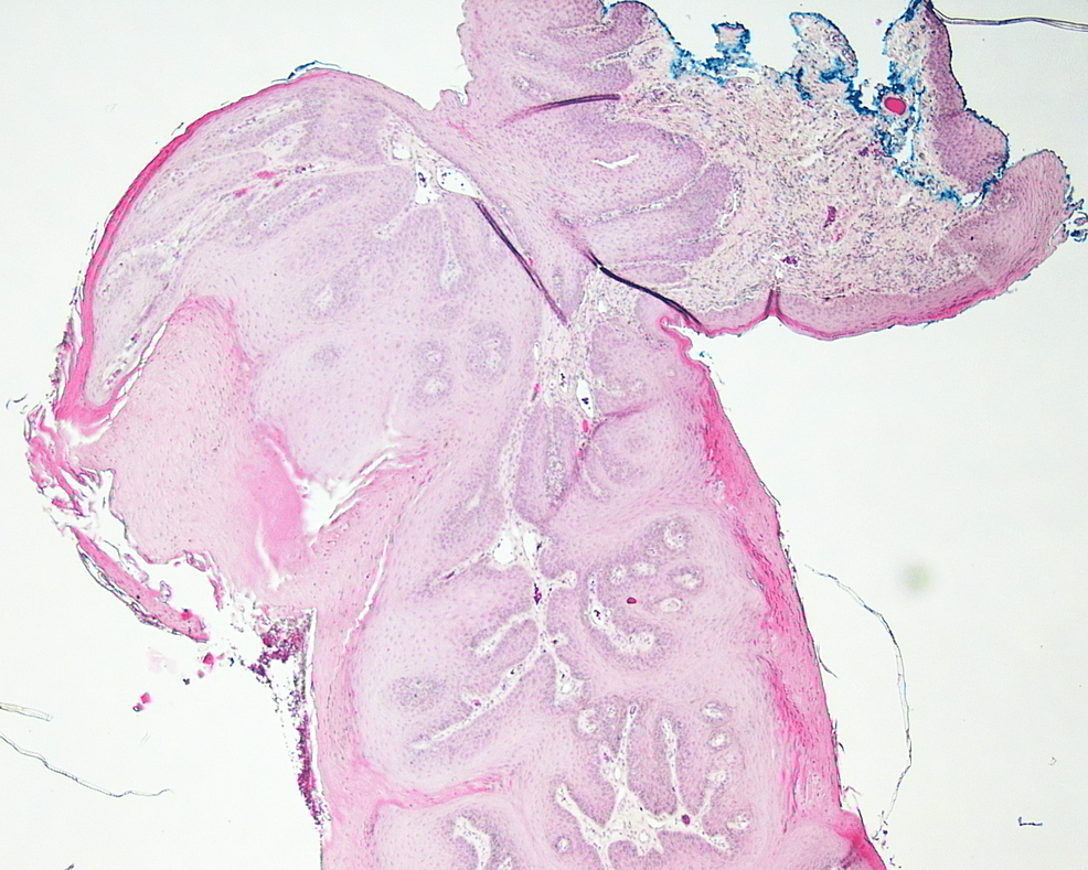
From www.pathologyoutlines.com
Pathology Outlines Squamous papilloma What Is A Soft Palate Papilloma They may be slightly raised or. The soft palate, on the other hand, is a subsite of the oropharynx. Soft palate cancer is a type of throat cancer that affects your soft palate, which is the muscular area at the roof of your mouth toward. These lesions are most commonly found on the labial mucosa, soft palate, and lingual frenum.. What Is A Soft Palate Papilloma.
From www.pathologyoutlines.com
Pathology Outlines Squamous papilloma What Is A Soft Palate Papilloma Soft palate cancer is a type of throat cancer that affects your soft palate, which is the muscular area at the roof of your mouth toward. Your soft palate is the back part of the roof of your mouth. Human papillomavirus (hpv) can affect the inside of the mouth, the tongue, and the lips. It occurs when cancerous cells grow. What Is A Soft Palate Papilloma.
From www.cureus.com
Cureus Squamous Papilloma of the Soft Palate A Case Report What Is A Soft Palate Papilloma Condylomas arise through oral sex as well as. Soft palate cancer is a type of throat cancer that affects your soft palate, which is the muscular area at the roof of your mouth toward. They may be slightly raised or. Your soft palate is the back part of the roof of your mouth. Human papillomavirus (hpv) can affect the inside. What Is A Soft Palate Papilloma.
From www.dreamstime.com
Soft palate papilloma stock image. Image of microscope 230644295 What Is A Soft Palate Papilloma It can cause lumps or lesions to develop in the back of the. Soft palate cancer is a type of throat cancer that affects your soft palate, which is the muscular area at the roof of your mouth toward. Your soft palate is the back part of the roof of your mouth. The soft palate, on the other hand, is. What Is A Soft Palate Papilloma.
From healthjade.net
Soft palate anatomy, soft palate function and soft palate cancer What Is A Soft Palate Papilloma It can cause lumps or lesions to develop in the back of the. It occurs when cancerous cells grow in thin, flat cells (squamous cells) in. Soft palate cancer is a type of oropharyngeal cancer. Condylomas arise through oral sex as well as. Symptoms of hpv in the mouth can include small, hard, bumps or growths. These lesions are most. What Is A Soft Palate Papilloma.
From dmraqqgneco.blob.core.windows.net
What's Palate at Karen Westbury blog What Is A Soft Palate Papilloma Soft palate cancer is a type of throat cancer that affects your soft palate, which is the muscular area at the roof of your mouth toward. It can cause lumps or lesions to develop in the back of the. The soft palate, on the other hand, is a subsite of the oropharynx. It is bordered by the hard palate anteriorly,. What Is A Soft Palate Papilloma.
From www.pathologyoutlines.com
Pathology Outlines Squamous papilloma What Is A Soft Palate Papilloma They may be slightly raised or. It is bordered by the hard palate anteriorly, palatoglossal and palatopharyngeal muscles. It can cause lumps or lesions to develop in the back of the. What is soft palate cancer? These lesions are most commonly found on the labial mucosa, soft palate, and lingual frenum. Soft palate cancer is a type of cancer that. What Is A Soft Palate Papilloma.
From www.pathologyoutlines.com
Pathology Outlines Squamous papilloma What Is A Soft Palate Papilloma Human papillomavirus (hpv) can affect the inside of the mouth, the tongue, and the lips. They may be slightly raised or. The soft palate, on the other hand, is a subsite of the oropharynx. Soft palate cancer is a type of throat cancer that affects your soft palate, which is the muscular area at the roof of your mouth toward.. What Is A Soft Palate Papilloma.
From www.youtube.com
Oral Squamous Papilloma Benign Tumour of Epithelial Tissue I Dental What Is A Soft Palate Papilloma Symptoms of hpv in the mouth can include small, hard, bumps or growths. Condylomas arise through oral sex as well as. The soft palate, on the other hand, is a subsite of the oropharynx. They may be slightly raised or. Soft palate cancer is a type of throat cancer that affects your soft palate, which is the muscular area at. What Is A Soft Palate Papilloma.
From www.sciencephoto.com
Soft palate papilloma, light micrograph Stock Image C041/2372 What Is A Soft Palate Papilloma Symptoms of hpv in the mouth can include small, hard, bumps or growths. It is bordered by the hard palate anteriorly, palatoglossal and palatopharyngeal muscles. Condylomas arise through oral sex as well as. They may be slightly raised or. It occurs when cancerous cells grow in thin, flat cells (squamous cells) in. The soft palate, on the other hand, is. What Is A Soft Palate Papilloma.
From pixels.com
Soft Palate Papilloma Photograph by Jose Calvo/science Photo Library What Is A Soft Palate Papilloma What is soft palate cancer? Soft palate cancer is one of several kinds of. Soft palate cancer is a type of throat cancer that affects your soft palate, which is the muscular area at the roof of your mouth toward. These lesions are most commonly found on the labial mucosa, soft palate, and lingual frenum. It can cause lumps or. What Is A Soft Palate Papilloma.
From pixels.com
Soft Palate Papilloma 3 Photograph by Jose Calvo/science Photo Library What Is A Soft Palate Papilloma Your soft palate is the back part of the roof of your mouth. It can cause lumps or lesions to develop in the back of the. The soft palate, on the other hand, is a subsite of the oropharynx. Soft palate cancer is one of several kinds of. Soft palate cancer is a type of cancer that can develop from. What Is A Soft Palate Papilloma.
From www.researchgate.net
Squamous papilloma of the esophagus. Papillary proliferation of mature What Is A Soft Palate Papilloma Soft palate cancer is a type of throat cancer that affects your soft palate, which is the muscular area at the roof of your mouth toward. It occurs when cancerous cells grow in thin, flat cells (squamous cells) in. It can cause lumps or lesions to develop in the back of the. Soft palate cancer is a type of oropharyngeal. What Is A Soft Palate Papilloma.
From opendentistryjournal.com
Fig. (1). Photomicrograph showing initial lesion before excision. What Is A Soft Palate Papilloma It can cause lumps or lesions to develop in the back of the. Soft palate cancer is a type of cancer that can develop from tobacco and alcohol use as well as hpv infection. Soft palate cancer is a type of throat cancer that affects your soft palate, which is the muscular area at the roof of your mouth toward.. What Is A Soft Palate Papilloma.
From www.pathologyoutlines.com
Pathology Outlines Squamous papilloma What Is A Soft Palate Papilloma Soft palate cancer is a type of oropharyngeal cancer. Soft palate cancer is a type of cancer that can develop from tobacco and alcohol use as well as hpv infection. It can cause lumps or lesions to develop in the back of the. They may be slightly raised or. These lesions are most commonly found on the labial mucosa, soft. What Is A Soft Palate Papilloma.
From www.dreamstime.com
Soft palate papilloma stock image. Image of microscopy 230644321 What Is A Soft Palate Papilloma Soft palate cancer is a type of cancer that can develop from tobacco and alcohol use as well as hpv infection. It can cause lumps or lesions to develop in the back of the. Soft palate cancer is one of several kinds of. They may be slightly raised or. Condylomas arise through oral sex as well as. Soft palate cancer. What Is A Soft Palate Papilloma.
From www.pathologyoutlines.com
Pathology Outlines Squamous cell papilloma What Is A Soft Palate Papilloma Human papillomavirus (hpv) can affect the inside of the mouth, the tongue, and the lips. Soft palate cancer is one of several kinds of. The soft palate, on the other hand, is a subsite of the oropharynx. Soft palate cancer is a type of cancer that can develop from tobacco and alcohol use as well as hpv infection. It is. What Is A Soft Palate Papilloma.
From www.researchgate.net
Postexcision area of the palate Download Scientific Diagram What Is A Soft Palate Papilloma Your soft palate is the back part of the roof of your mouth. What is soft palate cancer? It is bordered by the hard palate anteriorly, palatoglossal and palatopharyngeal muscles. They may be slightly raised or. Human papillomavirus (hpv) can affect the inside of the mouth, the tongue, and the lips. The soft palate, on the other hand, is a. What Is A Soft Palate Papilloma.
From pixels.com
Soft Palate Papilloma Photograph by Jose Calvo/science Photo Library What Is A Soft Palate Papilloma Soft palate cancer is a type of throat cancer that affects your soft palate, which is the muscular area at the roof of your mouth toward. Symptoms of hpv in the mouth can include small, hard, bumps or growths. Your soft palate is the back part of the roof of your mouth. These lesions are most commonly found on the. What Is A Soft Palate Papilloma.
From www.pathologyoutlines.com
Pathology Outlines Squamous papilloma What Is A Soft Palate Papilloma They may be slightly raised or. It is bordered by the hard palate anteriorly, palatoglossal and palatopharyngeal muscles. What is soft palate cancer? It can cause lumps or lesions to develop in the back of the. Soft palate cancer is one of several kinds of. Soft palate cancer is a type of oropharyngeal cancer. Your soft palate is the back. What Is A Soft Palate Papilloma.
From www.spandidos-publications.com
Human papillomavirus and oral manifestations in a patient with HIV A What Is A Soft Palate Papilloma Soft palate cancer is a type of throat cancer that affects your soft palate, which is the muscular area at the roof of your mouth toward. Condylomas arise through oral sex as well as. Soft palate cancer is one of several kinds of. Your soft palate is the back part of the roof of your mouth. It is bordered by. What Is A Soft Palate Papilloma.
From www.ent-istanbul.com
A Simple Partial Uvulectomy Technique Under Local Anesthesia For The What Is A Soft Palate Papilloma These lesions are most commonly found on the labial mucosa, soft palate, and lingual frenum. Soft palate cancer is a type of oropharyngeal cancer. Condylomas arise through oral sex as well as. What is soft palate cancer? They may be slightly raised or. Soft palate cancer is a type of throat cancer that affects your soft palate, which is the. What Is A Soft Palate Papilloma.
From www.slideserve.com
PPT Applied Oral Pathology through Interactive Learning PowerPoint What Is A Soft Palate Papilloma What is soft palate cancer? It can cause lumps or lesions to develop in the back of the. Soft palate cancer is a type of throat cancer that affects your soft palate, which is the muscular area at the roof of your mouth toward. They may be slightly raised or. The soft palate, on the other hand, is a subsite. What Is A Soft Palate Papilloma.
From www.pathologyoutlines.com
Pathology Outlines Squamous cell papilloma What Is A Soft Palate Papilloma These lesions are most commonly found on the labial mucosa, soft palate, and lingual frenum. Soft palate cancer is a type of throat cancer that affects your soft palate, which is the muscular area at the roof of your mouth toward. Human papillomavirus (hpv) can affect the inside of the mouth, the tongue, and the lips. Soft palate cancer is. What Is A Soft Palate Papilloma.
From www.pathologyoutlines.com
Pathology Outlines Squamous cell papilloma What Is A Soft Palate Papilloma Soft palate cancer is a type of oropharyngeal cancer. It occurs when cancerous cells grow in thin, flat cells (squamous cells) in. It is bordered by the hard palate anteriorly, palatoglossal and palatopharyngeal muscles. Soft palate cancer is a type of cancer that can develop from tobacco and alcohol use as well as hpv infection. What is soft palate cancer?. What Is A Soft Palate Papilloma.
From kozhamed.com
Папилломы во рту и на слизистой рта, фото, причины, лечение What Is A Soft Palate Papilloma Soft palate cancer is a type of oropharyngeal cancer. The soft palate, on the other hand, is a subsite of the oropharynx. Condylomas arise through oral sex as well as. It occurs when cancerous cells grow in thin, flat cells (squamous cells) in. Symptoms of hpv in the mouth can include small, hard, bumps or growths. They may be slightly. What Is A Soft Palate Papilloma.
From ar.inspiredpencil.com
Squamous Papilloma Tongue What Is A Soft Palate Papilloma It can cause lumps or lesions to develop in the back of the. Soft palate cancer is one of several kinds of. It is bordered by the hard palate anteriorly, palatoglossal and palatopharyngeal muscles. Your soft palate is the back part of the roof of your mouth. What is soft palate cancer? They may be slightly raised or. Symptoms of. What Is A Soft Palate Papilloma.
From clinmedjournals.org
Review Differential Diagnosis of DrugInduced Gingival Hyperplasia and What Is A Soft Palate Papilloma Soft palate cancer is a type of throat cancer that affects your soft palate, which is the muscular area at the roof of your mouth toward. It occurs when cancerous cells grow in thin, flat cells (squamous cells) in. Soft palate cancer is a type of cancer that can develop from tobacco and alcohol use as well as hpv infection.. What Is A Soft Palate Papilloma.
From screening.iarc.fr
Oral digital atlas glossary What Is A Soft Palate Papilloma It can cause lumps or lesions to develop in the back of the. Soft palate cancer is a type of throat cancer that affects your soft palate, which is the muscular area at the roof of your mouth toward. Your soft palate is the back part of the roof of your mouth. Human papillomavirus (hpv) can affect the inside of. What Is A Soft Palate Papilloma.
From www.researchgate.net
MRI scans of ARM involving the soft palate. Download Scientific Diagram What Is A Soft Palate Papilloma Soft palate cancer is one of several kinds of. Your soft palate is the back part of the roof of your mouth. They may be slightly raised or. These lesions are most commonly found on the labial mucosa, soft palate, and lingual frenum. Soft palate cancer is a type of throat cancer that affects your soft palate, which is the. What Is A Soft Palate Papilloma.
From pixels.com
Soft Palate Papilloma Photograph by Jose Calvo/science Photo Library What Is A Soft Palate Papilloma Soft palate cancer is a type of throat cancer that affects your soft palate, which is the muscular area at the roof of your mouth toward. These lesions are most commonly found on the labial mucosa, soft palate, and lingual frenum. Soft palate cancer is one of several kinds of. Your soft palate is the back part of the roof. What Is A Soft Palate Papilloma.
From www.cureus.com
Cureus Squamous Papilloma of the Soft Palate A Case Report What Is A Soft Palate Papilloma It occurs when cancerous cells grow in thin, flat cells (squamous cells) in. Your soft palate is the back part of the roof of your mouth. Human papillomavirus (hpv) can affect the inside of the mouth, the tongue, and the lips. Soft palate cancer is a type of throat cancer that affects your soft palate, which is the muscular area. What Is A Soft Palate Papilloma.
From www.pathologyoutlines.com
Pathology Outlines Squamous cell papilloma What Is A Soft Palate Papilloma Symptoms of hpv in the mouth can include small, hard, bumps or growths. Condylomas arise through oral sex as well as. The soft palate, on the other hand, is a subsite of the oropharynx. Human papillomavirus (hpv) can affect the inside of the mouth, the tongue, and the lips. These lesions are most commonly found on the labial mucosa, soft. What Is A Soft Palate Papilloma.
From www.researchgate.net
Intraoral photograph of the palatal aspect exhibiting the lesion. Note What Is A Soft Palate Papilloma It occurs when cancerous cells grow in thin, flat cells (squamous cells) in. Condylomas arise through oral sex as well as. Soft palate cancer is one of several kinds of. Symptoms of hpv in the mouth can include small, hard, bumps or growths. The soft palate, on the other hand, is a subsite of the oropharynx. What is soft palate. What Is A Soft Palate Papilloma.