What Is A Stump Tooth . This shade guide, which can be ordered from any major dental supplier, needs to be a part of any anterior ceramic case. So it increases the chances of infections. The cap replaces the structure, support, and aesthetics of the original tooth. There are several noticeable signs when tooth decay occurs under a dental crown. Taking a stump shade during your preparation is as important as providing us with an accurate impression. Sharpening the teeth is a. Stump grinders are essential tools for removing unwanted tree stumps, but over time, the teeth on the grinder can become dull and ineffective. Sometimes, simply brushing a sensitive tooth can be a painful. A crown is a covering or cap that fits over the stub of a tooth. Whenever a tooth breaks off at its gum line, the inner part of the teeth gets exposed. By giving your ceramist a stump. Therefore, it is not safe to leave a broken. A stump shade will give your technician a fighting chance.
from www.manchestereveningnews.co.uk
There are several noticeable signs when tooth decay occurs under a dental crown. Taking a stump shade during your preparation is as important as providing us with an accurate impression. A crown is a covering or cap that fits over the stub of a tooth. This shade guide, which can be ordered from any major dental supplier, needs to be a part of any anterior ceramic case. Sometimes, simply brushing a sensitive tooth can be a painful. Sharpening the teeth is a. Therefore, it is not safe to leave a broken. So it increases the chances of infections. By giving your ceramist a stump. Whenever a tooth breaks off at its gum line, the inner part of the teeth gets exposed.
'Ruined forever' Mum's teeth left as tiny stumps after 'devastating
What Is A Stump Tooth The cap replaces the structure, support, and aesthetics of the original tooth. A stump shade will give your technician a fighting chance. Taking a stump shade during your preparation is as important as providing us with an accurate impression. The cap replaces the structure, support, and aesthetics of the original tooth. Sometimes, simply brushing a sensitive tooth can be a painful. So it increases the chances of infections. Therefore, it is not safe to leave a broken. Whenever a tooth breaks off at its gum line, the inner part of the teeth gets exposed. Stump grinders are essential tools for removing unwanted tree stumps, but over time, the teeth on the grinder can become dull and ineffective. A crown is a covering or cap that fits over the stub of a tooth. By giving your ceramist a stump. There are several noticeable signs when tooth decay occurs under a dental crown. This shade guide, which can be ordered from any major dental supplier, needs to be a part of any anterior ceramic case. Sharpening the teeth is a.
From pocketdentistry.com
31 Overdentures Pocket Dentistry What Is A Stump Tooth So it increases the chances of infections. Stump grinders are essential tools for removing unwanted tree stumps, but over time, the teeth on the grinder can become dull and ineffective. This shade guide, which can be ordered from any major dental supplier, needs to be a part of any anterior ceramic case. Therefore, it is not safe to leave a. What Is A Stump Tooth.
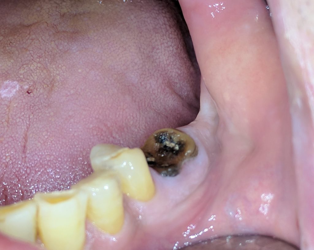
From www.laurichdentistry.com
How Much Tooth is Needed for a Dental Crown? Laurich Dentistry What Is A Stump Tooth By giving your ceramist a stump. So it increases the chances of infections. Sharpening the teeth is a. Taking a stump shade during your preparation is as important as providing us with an accurate impression. This shade guide, which can be ordered from any major dental supplier, needs to be a part of any anterior ceramic case. There are several. What Is A Stump Tooth.
From leeannbrady.com
Stump Shade Photograph Lee Ann Brady DMD What Is A Stump Tooth Therefore, it is not safe to leave a broken. This shade guide, which can be ordered from any major dental supplier, needs to be a part of any anterior ceramic case. Whenever a tooth breaks off at its gum line, the inner part of the teeth gets exposed. By giving your ceramist a stump. Stump grinders are essential tools for. What Is A Stump Tooth.
From www.youtube.com
Severely infected root stump of upper molar extraction YouTube What Is A Stump Tooth By giving your ceramist a stump. The cap replaces the structure, support, and aesthetics of the original tooth. Whenever a tooth breaks off at its gum line, the inner part of the teeth gets exposed. This shade guide, which can be ordered from any major dental supplier, needs to be a part of any anterior ceramic case. Sharpening the teeth. What Is A Stump Tooth.
From www.researchgate.net
Anterior viewstump shade selection Download Scientific Diagram What Is A Stump Tooth So it increases the chances of infections. Stump grinders are essential tools for removing unwanted tree stumps, but over time, the teeth on the grinder can become dull and ineffective. A crown is a covering or cap that fits over the stub of a tooth. This shade guide, which can be ordered from any major dental supplier, needs to be. What Is A Stump Tooth.
From www.manchestereveningnews.co.uk
'Ruined forever' Mum's teeth left as tiny stumps after 'devastating What Is A Stump Tooth So it increases the chances of infections. The cap replaces the structure, support, and aesthetics of the original tooth. Sharpening the teeth is a. A stump shade will give your technician a fighting chance. By giving your ceramist a stump. Taking a stump shade during your preparation is as important as providing us with an accurate impression. Whenever a tooth. What Is A Stump Tooth.
From www.kuraraynoritake.eu
Clinical Cases What Is A Stump Tooth By giving your ceramist a stump. There are several noticeable signs when tooth decay occurs under a dental crown. The cap replaces the structure, support, and aesthetics of the original tooth. So it increases the chances of infections. A stump shade will give your technician a fighting chance. A crown is a covering or cap that fits over the stub. What Is A Stump Tooth.
From lspindelnycdds.blogspot.com
Ask Dr. Spindel Should a tooth thats broken to the gum line be fixed? What Is A Stump Tooth Therefore, it is not safe to leave a broken. So it increases the chances of infections. A crown is a covering or cap that fits over the stub of a tooth. There are several noticeable signs when tooth decay occurs under a dental crown. The cap replaces the structure, support, and aesthetics of the original tooth. Stump grinders are essential. What Is A Stump Tooth.
From www.youtube.com
How to extract molar root stumps46dentist YouTube What Is A Stump Tooth Sometimes, simply brushing a sensitive tooth can be a painful. Stump grinders are essential tools for removing unwanted tree stumps, but over time, the teeth on the grinder can become dull and ineffective. The cap replaces the structure, support, and aesthetics of the original tooth. There are several noticeable signs when tooth decay occurs under a dental crown. Whenever a. What Is A Stump Tooth.
From medeco.de
Peg and stump structures What Is A Stump Tooth Therefore, it is not safe to leave a broken. This shade guide, which can be ordered from any major dental supplier, needs to be a part of any anterior ceramic case. So it increases the chances of infections. A crown is a covering or cap that fits over the stub of a tooth. Whenever a tooth breaks off at its. What Is A Stump Tooth.
From www.thesuperdentists.com
Early Stages of Tooth Decay Spotting Tooth Decay Symptoms What Is A Stump Tooth A crown is a covering or cap that fits over the stub of a tooth. The cap replaces the structure, support, and aesthetics of the original tooth. Whenever a tooth breaks off at its gum line, the inner part of the teeth gets exposed. Therefore, it is not safe to leave a broken. Sometimes, simply brushing a sensitive tooth can. What Is A Stump Tooth.
From www.istockphoto.com
Golden Stump Pin Tab On Canaine Tooth Medically Accurate Dental 3d What Is A Stump Tooth A stump shade will give your technician a fighting chance. Therefore, it is not safe to leave a broken. Sometimes, simply brushing a sensitive tooth can be a painful. Sharpening the teeth is a. A crown is a covering or cap that fits over the stub of a tooth. Taking a stump shade during your preparation is as important as. What Is A Stump Tooth.
From leeannbrady.com
Single Tooth Bleaching The Perfect Tray Lee Ann Brady DMD What Is A Stump Tooth So it increases the chances of infections. Stump grinders are essential tools for removing unwanted tree stumps, but over time, the teeth on the grinder can become dull and ineffective. A crown is a covering or cap that fits over the stub of a tooth. This shade guide, which can be ordered from any major dental supplier, needs to be. What Is A Stump Tooth.
From www.robustdental.com
Shade and Anatomy of dental cases Robust Dental Lab What Is A Stump Tooth Taking a stump shade during your preparation is as important as providing us with an accurate impression. There are several noticeable signs when tooth decay occurs under a dental crown. The cap replaces the structure, support, and aesthetics of the original tooth. Sharpening the teeth is a. Sometimes, simply brushing a sensitive tooth can be a painful. By giving your. What Is A Stump Tooth.
From mavink.com
Classification Of Tooth Fracture What Is A Stump Tooth A crown is a covering or cap that fits over the stub of a tooth. A stump shade will give your technician a fighting chance. Sometimes, simply brushing a sensitive tooth can be a painful. Whenever a tooth breaks off at its gum line, the inner part of the teeth gets exposed. So it increases the chances of infections. Therefore,. What Is A Stump Tooth.
From thefuturedentistry.com
Fundamentals of Tooth Preparation Focus Dentistry What Is A Stump Tooth Sometimes, simply brushing a sensitive tooth can be a painful. Sharpening the teeth is a. Stump grinders are essential tools for removing unwanted tree stumps, but over time, the teeth on the grinder can become dull and ineffective. A crown is a covering or cap that fits over the stub of a tooth. Whenever a tooth breaks off at its. What Is A Stump Tooth.
From www.inhousedentalstudio.com
Case 13, e.max veneers 710 InHouse Dental Studio What Is A Stump Tooth A crown is a covering or cap that fits over the stub of a tooth. Stump grinders are essential tools for removing unwanted tree stumps, but over time, the teeth on the grinder can become dull and ineffective. So it increases the chances of infections. Taking a stump shade during your preparation is as important as providing us with an. What Is A Stump Tooth.
From stock.adobe.com
Stump pin tab on canaine tooth. Medically accurate dental 3D What Is A Stump Tooth Stump grinders are essential tools for removing unwanted tree stumps, but over time, the teeth on the grinder can become dull and ineffective. A crown is a covering or cap that fits over the stub of a tooth. So it increases the chances of infections. Taking a stump shade during your preparation is as important as providing us with an. What Is A Stump Tooth.
From www.dreamstime.com
Teeth stump and implants stock image. Image of denture 94577145 What Is A Stump Tooth The cap replaces the structure, support, and aesthetics of the original tooth. Taking a stump shade during your preparation is as important as providing us with an accurate impression. There are several noticeable signs when tooth decay occurs under a dental crown. So it increases the chances of infections. Sometimes, simply brushing a sensitive tooth can be a painful. A. What Is A Stump Tooth.
From www.dreamstime.com
Teeth stump stock image. Image of care, crown, hygiene 34815997 What Is A Stump Tooth This shade guide, which can be ordered from any major dental supplier, needs to be a part of any anterior ceramic case. Taking a stump shade during your preparation is as important as providing us with an accurate impression. Stump grinders are essential tools for removing unwanted tree stumps, but over time, the teeth on the grinder can become dull. What Is A Stump Tooth.
From aliviodentalcare.com
Injured Tooth What Should I Do? Dentist Downers Grove General What Is A Stump Tooth There are several noticeable signs when tooth decay occurs under a dental crown. Stump grinders are essential tools for removing unwanted tree stumps, but over time, the teeth on the grinder can become dull and ineffective. Sometimes, simply brushing a sensitive tooth can be a painful. This shade guide, which can be ordered from any major dental supplier, needs to. What Is A Stump Tooth.
From www.istockphoto.com
Dental Stump Pin Tab On Canaine Tooth Medically Accurate Dental 3d What Is A Stump Tooth So it increases the chances of infections. A stump shade will give your technician a fighting chance. Sharpening the teeth is a. Sometimes, simply brushing a sensitive tooth can be a painful. Stump grinders are essential tools for removing unwanted tree stumps, but over time, the teeth on the grinder can become dull and ineffective. Therefore, it is not safe. What Is A Stump Tooth.
From www.dreamstime.com
Teeth stump and implant stock image. Image of premolar 94577131 What Is A Stump Tooth A crown is a covering or cap that fits over the stub of a tooth. A stump shade will give your technician a fighting chance. Sometimes, simply brushing a sensitive tooth can be a painful. Therefore, it is not safe to leave a broken. Whenever a tooth breaks off at its gum line, the inner part of the teeth gets. What Is A Stump Tooth.
From www.newseasondental.com
Smile Gallery New Season Dental What Is A Stump Tooth The cap replaces the structure, support, and aesthetics of the original tooth. Whenever a tooth breaks off at its gum line, the inner part of the teeth gets exposed. Therefore, it is not safe to leave a broken. So it increases the chances of infections. There are several noticeable signs when tooth decay occurs under a dental crown. Sharpening the. What Is A Stump Tooth.
From www.inhousedentalstudio.com
Case 17, Esthetic Treatment of 611 with e.max Crowns InHouse Dental What Is A Stump Tooth By giving your ceramist a stump. Therefore, it is not safe to leave a broken. So it increases the chances of infections. This shade guide, which can be ordered from any major dental supplier, needs to be a part of any anterior ceramic case. Whenever a tooth breaks off at its gum line, the inner part of the teeth gets. What Is A Stump Tooth.
From www.clarencetam.co.nz
Dark Stump Shades Restored with Vitalescence What Is A Stump Tooth Whenever a tooth breaks off at its gum line, the inner part of the teeth gets exposed. A crown is a covering or cap that fits over the stub of a tooth. Sometimes, simply brushing a sensitive tooth can be a painful. Taking a stump shade during your preparation is as important as providing us with an accurate impression. This. What Is A Stump Tooth.
From www.inhousedentalstudio.com
Blog InHouse Dental Studio 40 W. Elm St. Greenwich, Connecticut What Is A Stump Tooth Taking a stump shade during your preparation is as important as providing us with an accurate impression. So it increases the chances of infections. This shade guide, which can be ordered from any major dental supplier, needs to be a part of any anterior ceramic case. Sharpening the teeth is a. Therefore, it is not safe to leave a broken.. What Is A Stump Tooth.
From logy.ai
Dental Terminology and Definitions Report 2 Logy.AI What Is A Stump Tooth Sharpening the teeth is a. This shade guide, which can be ordered from any major dental supplier, needs to be a part of any anterior ceramic case. By giving your ceramist a stump. So it increases the chances of infections. There are several noticeable signs when tooth decay occurs under a dental crown. Stump grinders are essential tools for removing. What Is A Stump Tooth.
From www.dreamstime.com
Demonstration Model of Tooth, Stump, Implant, Prosthesis, Prosthetic What Is A Stump Tooth A crown is a covering or cap that fits over the stub of a tooth. This shade guide, which can be ordered from any major dental supplier, needs to be a part of any anterior ceramic case. There are several noticeable signs when tooth decay occurs under a dental crown. Sometimes, simply brushing a sensitive tooth can be a painful.. What Is A Stump Tooth.
From www.oralhealthgroup.com
Immediate Implant A Case Report Oral Health Group What Is A Stump Tooth So it increases the chances of infections. A stump shade will give your technician a fighting chance. Whenever a tooth breaks off at its gum line, the inner part of the teeth gets exposed. This shade guide, which can be ordered from any major dental supplier, needs to be a part of any anterior ceramic case. Sharpening the teeth is. What Is A Stump Tooth.
From dentagama.com
Exposed tooth root What may I expect now News Dentagama What Is A Stump Tooth Sharpening the teeth is a. A crown is a covering or cap that fits over the stub of a tooth. Whenever a tooth breaks off at its gum line, the inner part of the teeth gets exposed. So it increases the chances of infections. Sometimes, simply brushing a sensitive tooth can be a painful. There are several noticeable signs when. What Is A Stump Tooth.
From www.healthydentalalternatives.com
Root Canal Alternative holistic biologic iaomt dentist charlotte nc What Is A Stump Tooth The cap replaces the structure, support, and aesthetics of the original tooth. Therefore, it is not safe to leave a broken. Whenever a tooth breaks off at its gum line, the inner part of the teeth gets exposed. Taking a stump shade during your preparation is as important as providing us with an accurate impression. This shade guide, which can. What Is A Stump Tooth.
From www.quintpub.net
Current Challenges in Color Quintessence Publishing Blog What Is A Stump Tooth By giving your ceramist a stump. A stump shade will give your technician a fighting chance. A crown is a covering or cap that fits over the stub of a tooth. Stump grinders are essential tools for removing unwanted tree stumps, but over time, the teeth on the grinder can become dull and ineffective. Therefore, it is not safe to. What Is A Stump Tooth.
From medeco.de
Peg and stump structures What Is A Stump Tooth By giving your ceramist a stump. Whenever a tooth breaks off at its gum line, the inner part of the teeth gets exposed. Taking a stump shade during your preparation is as important as providing us with an accurate impression. A stump shade will give your technician a fighting chance. This shade guide, which can be ordered from any major. What Is A Stump Tooth.
From www.teethtalkgirl.com
5 Stages Of An Abscessed Tooth & What To Do What Is A Stump Tooth Whenever a tooth breaks off at its gum line, the inner part of the teeth gets exposed. By giving your ceramist a stump. Taking a stump shade during your preparation is as important as providing us with an accurate impression. There are several noticeable signs when tooth decay occurs under a dental crown. A stump shade will give your technician. What Is A Stump Tooth.