What Is Shear Wave Elastography Liver . The speed of the shear wave can be measured in a small. Strain elastography (se) and shear wave elastography. Ultrasound elastography, or the estimation of tissue stiffness by ultrasound, refers to a group of technologies that estimate tissue stiffness,. Shear wave elastography (swe) assesses the biomechanical properties of the liver tissue giving a numerical value of stiffness that. The shear waves are generated by an. In soft tissue, shear waves propagate at a speed 1000 times slower than the speed of sound and they attenuate very fast.
from www.ajronline.org
In soft tissue, shear waves propagate at a speed 1000 times slower than the speed of sound and they attenuate very fast. Shear wave elastography (swe) assesses the biomechanical properties of the liver tissue giving a numerical value of stiffness that. Strain elastography (se) and shear wave elastography. The speed of the shear wave can be measured in a small. The shear waves are generated by an. Ultrasound elastography, or the estimation of tissue stiffness by ultrasound, refers to a group of technologies that estimate tissue stiffness,.
A Pilot Study Estimating Liver Fibrosis With Ultrasound ShearWave
What Is Shear Wave Elastography Liver The speed of the shear wave can be measured in a small. Ultrasound elastography, or the estimation of tissue stiffness by ultrasound, refers to a group of technologies that estimate tissue stiffness,. Shear wave elastography (swe) assesses the biomechanical properties of the liver tissue giving a numerical value of stiffness that. The shear waves are generated by an. In soft tissue, shear waves propagate at a speed 1000 times slower than the speed of sound and they attenuate very fast. The speed of the shear wave can be measured in a small. Strain elastography (se) and shear wave elastography.
From www.wjgnet.com
Diagnostic value of two dimensional shear wave elastography combined What Is Shear Wave Elastography Liver The shear waves are generated by an. The speed of the shear wave can be measured in a small. In soft tissue, shear waves propagate at a speed 1000 times slower than the speed of sound and they attenuate very fast. Strain elastography (se) and shear wave elastography. Ultrasound elastography, or the estimation of tissue stiffness by ultrasound, refers to. What Is Shear Wave Elastography Liver.
From onlinelibrary.wiley.com
Variability of Liver Shear Wave Measurements Using a New Ultrasound What Is Shear Wave Elastography Liver Strain elastography (se) and shear wave elastography. The shear waves are generated by an. The speed of the shear wave can be measured in a small. Shear wave elastography (swe) assesses the biomechanical properties of the liver tissue giving a numerical value of stiffness that. In soft tissue, shear waves propagate at a speed 1000 times slower than the speed. What Is Shear Wave Elastography Liver.
From radiologykey.com
Staging liver fibrosis with shear wave elastography Radiology Key What Is Shear Wave Elastography Liver Strain elastography (se) and shear wave elastography. The shear waves are generated by an. In soft tissue, shear waves propagate at a speed 1000 times slower than the speed of sound and they attenuate very fast. The speed of the shear wave can be measured in a small. Shear wave elastography (swe) assesses the biomechanical properties of the liver tissue. What Is Shear Wave Elastography Liver.
From www.ajronline.org
A Pilot Study Estimating Liver Fibrosis With Ultrasound ShearWave What Is Shear Wave Elastography Liver In soft tissue, shear waves propagate at a speed 1000 times slower than the speed of sound and they attenuate very fast. The shear waves are generated by an. The speed of the shear wave can be measured in a small. Strain elastography (se) and shear wave elastography. Ultrasound elastography, or the estimation of tissue stiffness by ultrasound, refers to. What Is Shear Wave Elastography Liver.
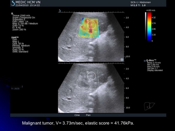
From www.slideshare.net
SHEAR WAVE ELASTOGRAPHY of LIVER TUMORS What Is Shear Wave Elastography Liver The speed of the shear wave can be measured in a small. Strain elastography (se) and shear wave elastography. Ultrasound elastography, or the estimation of tissue stiffness by ultrasound, refers to a group of technologies that estimate tissue stiffness,. Shear wave elastography (swe) assesses the biomechanical properties of the liver tissue giving a numerical value of stiffness that. In soft. What Is Shear Wave Elastography Liver.
From www.mdpi.com
Processes Free FullText FollowUp of Liver Stiffness with Shear What Is Shear Wave Elastography Liver Strain elastography (se) and shear wave elastography. The shear waves are generated by an. The speed of the shear wave can be measured in a small. In soft tissue, shear waves propagate at a speed 1000 times slower than the speed of sound and they attenuate very fast. Shear wave elastography (swe) assesses the biomechanical properties of the liver tissue. What Is Shear Wave Elastography Liver.
From efsumb.org
Supersonic Shear Imaging ShearWave Elastography [Dec 2016] EFSUMB What Is Shear Wave Elastography Liver Shear wave elastography (swe) assesses the biomechanical properties of the liver tissue giving a numerical value of stiffness that. Strain elastography (se) and shear wave elastography. Ultrasound elastography, or the estimation of tissue stiffness by ultrasound, refers to a group of technologies that estimate tissue stiffness,. In soft tissue, shear waves propagate at a speed 1000 times slower than the. What Is Shear Wave Elastography Liver.
From www.researchgate.net
Twodimensional shear wave elastography measurement in the liver of a What Is Shear Wave Elastography Liver The speed of the shear wave can be measured in a small. Shear wave elastography (swe) assesses the biomechanical properties of the liver tissue giving a numerical value of stiffness that. Strain elastography (se) and shear wave elastography. In soft tissue, shear waves propagate at a speed 1000 times slower than the speed of sound and they attenuate very fast.. What Is Shear Wave Elastography Liver.
From www.umbjournal.org
Ultrasound Shear Wave Elastography Variations of Liver Fibrosis What Is Shear Wave Elastography Liver The speed of the shear wave can be measured in a small. The shear waves are generated by an. In soft tissue, shear waves propagate at a speed 1000 times slower than the speed of sound and they attenuate very fast. Strain elastography (se) and shear wave elastography. Ultrasound elastography, or the estimation of tissue stiffness by ultrasound, refers to. What Is Shear Wave Elastography Liver.
From www.mdpi.com
IJMS Free FullText Elastography Techniques for the Assessment of What Is Shear Wave Elastography Liver Strain elastography (se) and shear wave elastography. The shear waves are generated by an. Shear wave elastography (swe) assesses the biomechanical properties of the liver tissue giving a numerical value of stiffness that. In soft tissue, shear waves propagate at a speed 1000 times slower than the speed of sound and they attenuate very fast. Ultrasound elastography, or the estimation. What Is Shear Wave Elastography Liver.
From pubs.rsna.org
Update to the Society of Radiologists in Ultrasound Liver Elastography What Is Shear Wave Elastography Liver Ultrasound elastography, or the estimation of tissue stiffness by ultrasound, refers to a group of technologies that estimate tissue stiffness,. In soft tissue, shear waves propagate at a speed 1000 times slower than the speed of sound and they attenuate very fast. Strain elastography (se) and shear wave elastography. The speed of the shear wave can be measured in a. What Is Shear Wave Elastography Liver.
From www.researchgate.net
(PDF) Deep learning Radiomics of shear wave elastography significantly What Is Shear Wave Elastography Liver Shear wave elastography (swe) assesses the biomechanical properties of the liver tissue giving a numerical value of stiffness that. Ultrasound elastography, or the estimation of tissue stiffness by ultrasound, refers to a group of technologies that estimate tissue stiffness,. Strain elastography (se) and shear wave elastography. The speed of the shear wave can be measured in a small. The shear. What Is Shear Wave Elastography Liver.
From www.wjgnet.com
Diagnostic problems in twodimensional shear wave elastography of the liver What Is Shear Wave Elastography Liver The speed of the shear wave can be measured in a small. Shear wave elastography (swe) assesses the biomechanical properties of the liver tissue giving a numerical value of stiffness that. Strain elastography (se) and shear wave elastography. The shear waves are generated by an. Ultrasound elastography, or the estimation of tissue stiffness by ultrasound, refers to a group of. What Is Shear Wave Elastography Liver.
From indyfibroids.com
Elastography A NonInvasive Approach to Measuring Liver Damage What Is Shear Wave Elastography Liver The speed of the shear wave can be measured in a small. In soft tissue, shear waves propagate at a speed 1000 times slower than the speed of sound and they attenuate very fast. Strain elastography (se) and shear wave elastography. The shear waves are generated by an. Ultrasound elastography, or the estimation of tissue stiffness by ultrasound, refers to. What Is Shear Wave Elastography Liver.
From www.researchgate.net
Point shearwave elastographic examination of the liver performed by What Is Shear Wave Elastography Liver Ultrasound elastography, or the estimation of tissue stiffness by ultrasound, refers to a group of technologies that estimate tissue stiffness,. Strain elastography (se) and shear wave elastography. The shear waves are generated by an. In soft tissue, shear waves propagate at a speed 1000 times slower than the speed of sound and they attenuate very fast. The speed of the. What Is Shear Wave Elastography Liver.
From www.mdpi.com
Point Shear Wave Elastography and 2Dimensional Shear Wave Elastography What Is Shear Wave Elastography Liver The shear waves are generated by an. Shear wave elastography (swe) assesses the biomechanical properties of the liver tissue giving a numerical value of stiffness that. In soft tissue, shear waves propagate at a speed 1000 times slower than the speed of sound and they attenuate very fast. The speed of the shear wave can be measured in a small.. What Is Shear Wave Elastography Liver.
From radiologykey.com
Staging liver fibrosis with shear wave elastography Radiology Key What Is Shear Wave Elastography Liver The speed of the shear wave can be measured in a small. In soft tissue, shear waves propagate at a speed 1000 times slower than the speed of sound and they attenuate very fast. The shear waves are generated by an. Shear wave elastography (swe) assesses the biomechanical properties of the liver tissue giving a numerical value of stiffness that.. What Is Shear Wave Elastography Liver.
From pubs.rsna.org
Update to the Society of Radiologists in Ultrasound Liver Elastography What Is Shear Wave Elastography Liver Shear wave elastography (swe) assesses the biomechanical properties of the liver tissue giving a numerical value of stiffness that. Ultrasound elastography, or the estimation of tissue stiffness by ultrasound, refers to a group of technologies that estimate tissue stiffness,. The speed of the shear wave can be measured in a small. Strain elastography (se) and shear wave elastography. In soft. What Is Shear Wave Elastography Liver.
From radiologykey.com
Staging liver fibrosis with shear wave elastography Radiology Key What Is Shear Wave Elastography Liver Shear wave elastography (swe) assesses the biomechanical properties of the liver tissue giving a numerical value of stiffness that. The shear waves are generated by an. Strain elastography (se) and shear wave elastography. Ultrasound elastography, or the estimation of tissue stiffness by ultrasound, refers to a group of technologies that estimate tissue stiffness,. In soft tissue, shear waves propagate at. What Is Shear Wave Elastography Liver.
From www.slideshare.net
Shear wave Elastography of Liver What Is Shear Wave Elastography Liver The shear waves are generated by an. Strain elastography (se) and shear wave elastography. Ultrasound elastography, or the estimation of tissue stiffness by ultrasound, refers to a group of technologies that estimate tissue stiffness,. In soft tissue, shear waves propagate at a speed 1000 times slower than the speed of sound and they attenuate very fast. The speed of the. What Is Shear Wave Elastography Liver.
From www.slideshare.net
Dr. masciotra liver shear wave elastography clinical cases What Is Shear Wave Elastography Liver Strain elastography (se) and shear wave elastography. The speed of the shear wave can be measured in a small. Shear wave elastography (swe) assesses the biomechanical properties of the liver tissue giving a numerical value of stiffness that. Ultrasound elastography, or the estimation of tissue stiffness by ultrasound, refers to a group of technologies that estimate tissue stiffness,. In soft. What Is Shear Wave Elastography Liver.
From radiologykey.com
Staging liver fibrosis with shear wave elastography Radiology Key What Is Shear Wave Elastography Liver Ultrasound elastography, or the estimation of tissue stiffness by ultrasound, refers to a group of technologies that estimate tissue stiffness,. The shear waves are generated by an. Shear wave elastography (swe) assesses the biomechanical properties of the liver tissue giving a numerical value of stiffness that. In soft tissue, shear waves propagate at a speed 1000 times slower than the. What Is Shear Wave Elastography Liver.
From www.youtube.com
Reporting Ultrasound Shear Wave Elastography YouTube What Is Shear Wave Elastography Liver Shear wave elastography (swe) assesses the biomechanical properties of the liver tissue giving a numerical value of stiffness that. The shear waves are generated by an. In soft tissue, shear waves propagate at a speed 1000 times slower than the speed of sound and they attenuate very fast. Strain elastography (se) and shear wave elastography. Ultrasound elastography, or the estimation. What Is Shear Wave Elastography Liver.
From www.wjgnet.com
Role of twodimensional shear wave elastography in chronic liver What Is Shear Wave Elastography Liver In soft tissue, shear waves propagate at a speed 1000 times slower than the speed of sound and they attenuate very fast. The speed of the shear wave can be measured in a small. Ultrasound elastography, or the estimation of tissue stiffness by ultrasound, refers to a group of technologies that estimate tissue stiffness,. Strain elastography (se) and shear wave. What Is Shear Wave Elastography Liver.
From mungfali.com
Shear Wave Elastography Liver What Is Shear Wave Elastography Liver The speed of the shear wave can be measured in a small. In soft tissue, shear waves propagate at a speed 1000 times slower than the speed of sound and they attenuate very fast. Shear wave elastography (swe) assesses the biomechanical properties of the liver tissue giving a numerical value of stiffness that. The shear waves are generated by an.. What Is Shear Wave Elastography Liver.
From www.intechopen.com
2D Shear Wave Elastography for Liver Fibrosis Evaluation IntechOpen What Is Shear Wave Elastography Liver The shear waves are generated by an. The speed of the shear wave can be measured in a small. Ultrasound elastography, or the estimation of tissue stiffness by ultrasound, refers to a group of technologies that estimate tissue stiffness,. Strain elastography (se) and shear wave elastography. Shear wave elastography (swe) assesses the biomechanical properties of the liver tissue giving a. What Is Shear Wave Elastography Liver.
From www.european-radiology.org
Liver elastography MR vs US European Radiology What Is Shear Wave Elastography Liver In soft tissue, shear waves propagate at a speed 1000 times slower than the speed of sound and they attenuate very fast. Shear wave elastography (swe) assesses the biomechanical properties of the liver tissue giving a numerical value of stiffness that. The speed of the shear wave can be measured in a small. Strain elastography (se) and shear wave elastography.. What Is Shear Wave Elastography Liver.
From www.slideshare.net
ShearWave™ Elastography in Chronic Liver Diseases Clinical Research What Is Shear Wave Elastography Liver Ultrasound elastography, or the estimation of tissue stiffness by ultrasound, refers to a group of technologies that estimate tissue stiffness,. Strain elastography (se) and shear wave elastography. The shear waves are generated by an. The speed of the shear wave can be measured in a small. Shear wave elastography (swe) assesses the biomechanical properties of the liver tissue giving a. What Is Shear Wave Elastography Liver.
From www.researchgate.net
A twodimensional shear wave elastography (2D SWE) exam in an What Is Shear Wave Elastography Liver Shear wave elastography (swe) assesses the biomechanical properties of the liver tissue giving a numerical value of stiffness that. The shear waves are generated by an. Ultrasound elastography, or the estimation of tissue stiffness by ultrasound, refers to a group of technologies that estimate tissue stiffness,. The speed of the shear wave can be measured in a small. Strain elastography. What Is Shear Wave Elastography Liver.
From www.slideshare.net
Shear wave Elastography of Liver What Is Shear Wave Elastography Liver The speed of the shear wave can be measured in a small. Shear wave elastography (swe) assesses the biomechanical properties of the liver tissue giving a numerical value of stiffness that. Ultrasound elastography, or the estimation of tissue stiffness by ultrasound, refers to a group of technologies that estimate tissue stiffness,. The shear waves are generated by an. In soft. What Is Shear Wave Elastography Liver.
From www.researchgate.net
Example of a shear wave elastography image including quantitative What Is Shear Wave Elastography Liver The speed of the shear wave can be measured in a small. Ultrasound elastography, or the estimation of tissue stiffness by ultrasound, refers to a group of technologies that estimate tissue stiffness,. The shear waves are generated by an. Shear wave elastography (swe) assesses the biomechanical properties of the liver tissue giving a numerical value of stiffness that. Strain elastography. What Is Shear Wave Elastography Liver.
From mkultrasoundcenter.com
Application of Ultrasound Liver Elastography to the Diagnosis and What Is Shear Wave Elastography Liver Ultrasound elastography, or the estimation of tissue stiffness by ultrasound, refers to a group of technologies that estimate tissue stiffness,. The speed of the shear wave can be measured in a small. In soft tissue, shear waves propagate at a speed 1000 times slower than the speed of sound and they attenuate very fast. Shear wave elastography (swe) assesses the. What Is Shear Wave Elastography Liver.
From www.mdpi.com
Correlation between a New PointShear Wave Elastography Device (X+pSWE What Is Shear Wave Elastography Liver Shear wave elastography (swe) assesses the biomechanical properties of the liver tissue giving a numerical value of stiffness that. The shear waves are generated by an. Ultrasound elastography, or the estimation of tissue stiffness by ultrasound, refers to a group of technologies that estimate tissue stiffness,. In soft tissue, shear waves propagate at a speed 1000 times slower than the. What Is Shear Wave Elastography Liver.
From studyfinds.org
COVID19 can cause serious liver damage that lasts months after infection What Is Shear Wave Elastography Liver Ultrasound elastography, or the estimation of tissue stiffness by ultrasound, refers to a group of technologies that estimate tissue stiffness,. Strain elastography (se) and shear wave elastography. The shear waves are generated by an. The speed of the shear wave can be measured in a small. Shear wave elastography (swe) assesses the biomechanical properties of the liver tissue giving a. What Is Shear Wave Elastography Liver.
From www.mdpi.com
Medicina Free FullText Ultrasound Elastography—Cornerstone of Non What Is Shear Wave Elastography Liver The speed of the shear wave can be measured in a small. Ultrasound elastography, or the estimation of tissue stiffness by ultrasound, refers to a group of technologies that estimate tissue stiffness,. Strain elastography (se) and shear wave elastography. In soft tissue, shear waves propagate at a speed 1000 times slower than the speed of sound and they attenuate very. What Is Shear Wave Elastography Liver.