What Is Borderline Enlarged Heart . The walls of both sides of the heart (also known as ventricles) become thin and stretched. An enlarged heart (cardiomegaly) means that your heart is bigger than normal. An enlarged heart, also known as cardiomegaly, can lead to serious health problems such as heart failure, stroke, or even sudden death. It usually doesn’t cause symptoms, so it’s usually only detected. Your heart can become enlarged when it. Your heart can become enlarged if the muscle works so hard that it thickens, or if the chambers. Mild cardiomegaly, or an enlarged heart, is usually a sign of an underlying heart condition that needs treatment. Your heart may be unusually thick or. An enlarged heart (cardiomegaly) describes a heart that’s bigger than what is typical. An enlarged heart (cardiomegaly) can be caused by damage to the heart muscle or any condition that makes the heart pump harder than usual, including pregnancy.
from entirelynourished.com
The walls of both sides of the heart (also known as ventricles) become thin and stretched. An enlarged heart (cardiomegaly) describes a heart that’s bigger than what is typical. It usually doesn’t cause symptoms, so it’s usually only detected. An enlarged heart, also known as cardiomegaly, can lead to serious health problems such as heart failure, stroke, or even sudden death. An enlarged heart (cardiomegaly) can be caused by damage to the heart muscle or any condition that makes the heart pump harder than usual, including pregnancy. Your heart can become enlarged when it. Your heart may be unusually thick or. Your heart can become enlarged if the muscle works so hard that it thickens, or if the chambers. An enlarged heart (cardiomegaly) means that your heart is bigger than normal. Mild cardiomegaly, or an enlarged heart, is usually a sign of an underlying heart condition that needs treatment.
What is Aortic Root Dilatation? Showit Blog
What Is Borderline Enlarged Heart Your heart can become enlarged if the muscle works so hard that it thickens, or if the chambers. Mild cardiomegaly, or an enlarged heart, is usually a sign of an underlying heart condition that needs treatment. An enlarged heart (cardiomegaly) can be caused by damage to the heart muscle or any condition that makes the heart pump harder than usual, including pregnancy. Your heart can become enlarged when it. The walls of both sides of the heart (also known as ventricles) become thin and stretched. It usually doesn’t cause symptoms, so it’s usually only detected. An enlarged heart, also known as cardiomegaly, can lead to serious health problems such as heart failure, stroke, or even sudden death. An enlarged heart (cardiomegaly) describes a heart that’s bigger than what is typical. Your heart may be unusually thick or. An enlarged heart (cardiomegaly) means that your heart is bigger than normal. Your heart can become enlarged if the muscle works so hard that it thickens, or if the chambers.
From sueokaxrenzoloro.blogspot.com
Borderline Enlarged coronary heart symptoms What Is Borderline Enlarged Heart Your heart can become enlarged when it. An enlarged heart (cardiomegaly) can be caused by damage to the heart muscle or any condition that makes the heart pump harder than usual, including pregnancy. An enlarged heart (cardiomegaly) means that your heart is bigger than normal. Mild cardiomegaly, or an enlarged heart, is usually a sign of an underlying heart condition. What Is Borderline Enlarged Heart.
From www.pinterest.com
Pin by Ashley on Interesting tidbits Radiology, Radiography What Is Borderline Enlarged Heart An enlarged heart, also known as cardiomegaly, can lead to serious health problems such as heart failure, stroke, or even sudden death. Mild cardiomegaly, or an enlarged heart, is usually a sign of an underlying heart condition that needs treatment. Your heart may be unusually thick or. An enlarged heart (cardiomegaly) can be caused by damage to the heart muscle. What Is Borderline Enlarged Heart.
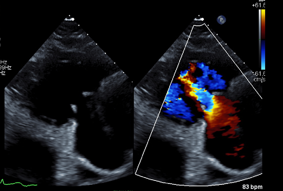
From www.researchgate.net
Transthoracic echocardiographic images demonstrating enlarged What Is Borderline Enlarged Heart Your heart may be unusually thick or. Your heart can become enlarged when it. An enlarged heart, also known as cardiomegaly, can lead to serious health problems such as heart failure, stroke, or even sudden death. An enlarged heart (cardiomegaly) describes a heart that’s bigger than what is typical. Your heart can become enlarged if the muscle works so hard. What Is Borderline Enlarged Heart.
From www.mdedge.com
Substantially enlarged cardiac silhouette MDedge Family Medicine What Is Borderline Enlarged Heart Your heart can become enlarged if the muscle works so hard that it thickens, or if the chambers. An enlarged heart (cardiomegaly) describes a heart that’s bigger than what is typical. The walls of both sides of the heart (also known as ventricles) become thin and stretched. An enlarged heart (cardiomegaly) means that your heart is bigger than normal. An. What Is Borderline Enlarged Heart.
From www.artofit.org
20 simple heart diagram Artofit What Is Borderline Enlarged Heart An enlarged heart, also known as cardiomegaly, can lead to serious health problems such as heart failure, stroke, or even sudden death. Mild cardiomegaly, or an enlarged heart, is usually a sign of an underlying heart condition that needs treatment. An enlarged heart (cardiomegaly) describes a heart that’s bigger than what is typical. The walls of both sides of the. What Is Borderline Enlarged Heart.
From my.clevelandclinic.org
Enlarged Heart (Cardiomegaly) What It Is, Symptoms & Treatment What Is Borderline Enlarged Heart Your heart may be unusually thick or. Your heart can become enlarged if the muscle works so hard that it thickens, or if the chambers. An enlarged heart (cardiomegaly) can be caused by damage to the heart muscle or any condition that makes the heart pump harder than usual, including pregnancy. An enlarged heart (cardiomegaly) describes a heart that’s bigger. What Is Borderline Enlarged Heart.
From www.mcgill.ca
Aortic Aneurysm MUHC Aortic Clinic McGill University What Is Borderline Enlarged Heart Mild cardiomegaly, or an enlarged heart, is usually a sign of an underlying heart condition that needs treatment. Your heart can become enlarged when it. An enlarged heart, also known as cardiomegaly, can lead to serious health problems such as heart failure, stroke, or even sudden death. It usually doesn’t cause symptoms, so it’s usually only detected. Your heart can. What Is Borderline Enlarged Heart.
From heart.thecommonvein.net
CXR PA Frontal and Cardiomegaly Heart What Is Borderline Enlarged Heart An enlarged heart (cardiomegaly) describes a heart that’s bigger than what is typical. Your heart may be unusually thick or. The walls of both sides of the heart (also known as ventricles) become thin and stretched. Mild cardiomegaly, or an enlarged heart, is usually a sign of an underlying heart condition that needs treatment. An enlarged heart (cardiomegaly) can be. What Is Borderline Enlarged Heart.
From www.shutterstock.com
정상적이고 확대된 심장, 심전도, 내부 전망벡터 스톡 벡터(로열티 프리) 2048858876 Shutterstock What Is Borderline Enlarged Heart An enlarged heart (cardiomegaly) can be caused by damage to the heart muscle or any condition that makes the heart pump harder than usual, including pregnancy. An enlarged heart (cardiomegaly) means that your heart is bigger than normal. Your heart may be unusually thick or. Your heart can become enlarged when it. The walls of both sides of the heart. What Is Borderline Enlarged Heart.
From www.semanticscholar.org
Figure 1 from An alerting sign Enlarged cardiac silhouette Semantic What Is Borderline Enlarged Heart An enlarged heart (cardiomegaly) can be caused by damage to the heart muscle or any condition that makes the heart pump harder than usual, including pregnancy. An enlarged heart (cardiomegaly) means that your heart is bigger than normal. An enlarged heart, also known as cardiomegaly, can lead to serious health problems such as heart failure, stroke, or even sudden death.. What Is Borderline Enlarged Heart.
From www.yashodahospitals.com
Enlarged Heart Heart Enlargement Causes Signs of Enlarged Heart What Is Borderline Enlarged Heart Your heart may be unusually thick or. Your heart can become enlarged if the muscle works so hard that it thickens, or if the chambers. An enlarged heart (cardiomegaly) describes a heart that’s bigger than what is typical. An enlarged heart (cardiomegaly) means that your heart is bigger than normal. It usually doesn’t cause symptoms, so it’s usually only detected.. What Is Borderline Enlarged Heart.
From www.everydayhealth.com
Enlarged Heart (Cardiomegaly) and Heart Failure Everyday Health What Is Borderline Enlarged Heart It usually doesn’t cause symptoms, so it’s usually only detected. Mild cardiomegaly, or an enlarged heart, is usually a sign of an underlying heart condition that needs treatment. An enlarged heart (cardiomegaly) describes a heart that’s bigger than what is typical. The walls of both sides of the heart (also known as ventricles) become thin and stretched. An enlarged heart. What Is Borderline Enlarged Heart.
From healthjade.net
Left Ventricular Hypertrophy Causes, Symptoms, Diagnosis & Treatment What Is Borderline Enlarged Heart An enlarged heart (cardiomegaly) means that your heart is bigger than normal. An enlarged heart (cardiomegaly) describes a heart that’s bigger than what is typical. An enlarged heart (cardiomegaly) can be caused by damage to the heart muscle or any condition that makes the heart pump harder than usual, including pregnancy. Your heart can become enlarged when it. It usually. What Is Borderline Enlarged Heart.
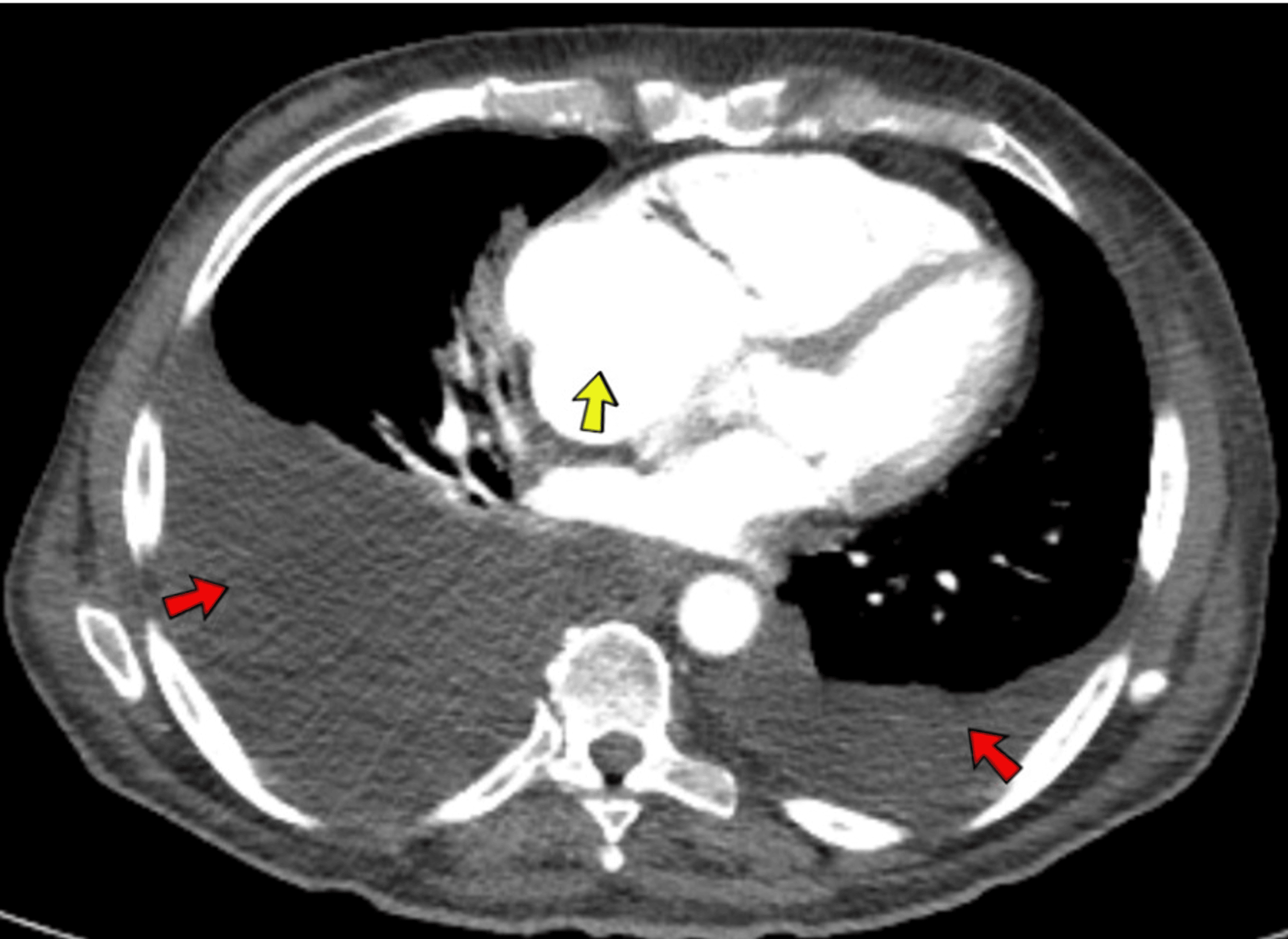
From www.cureus.com
Carcinoid Heart Syndrome With Metastatic LowGrade Neuroendocrine Tumor What Is Borderline Enlarged Heart An enlarged heart (cardiomegaly) means that your heart is bigger than normal. It usually doesn’t cause symptoms, so it’s usually only detected. Your heart can become enlarged when it. An enlarged heart, also known as cardiomegaly, can lead to serious health problems such as heart failure, stroke, or even sudden death. Mild cardiomegaly, or an enlarged heart, is usually a. What Is Borderline Enlarged Heart.
From www.flushinghospital.org
What Does it Mean to Have an Enlarged Heart ? Health Beat What Is Borderline Enlarged Heart The walls of both sides of the heart (also known as ventricles) become thin and stretched. An enlarged heart (cardiomegaly) means that your heart is bigger than normal. Mild cardiomegaly, or an enlarged heart, is usually a sign of an underlying heart condition that needs treatment. Your heart may be unusually thick or. An enlarged heart (cardiomegaly) describes a heart. What Is Borderline Enlarged Heart.
From debuglies.com
Left ventricular hypertrophy (LVH), also known as an enlarged heart, is What Is Borderline Enlarged Heart The walls of both sides of the heart (also known as ventricles) become thin and stretched. An enlarged heart (cardiomegaly) means that your heart is bigger than normal. An enlarged heart (cardiomegaly) describes a heart that’s bigger than what is typical. Your heart can become enlarged when it. It usually doesn’t cause symptoms, so it’s usually only detected. An enlarged. What Is Borderline Enlarged Heart.
From narodnatribuna.info
Enlarged Spleen Symptoms Pictures Causes Treatment What Is Borderline Enlarged Heart The walls of both sides of the heart (also known as ventricles) become thin and stretched. An enlarged heart (cardiomegaly) means that your heart is bigger than normal. Mild cardiomegaly, or an enlarged heart, is usually a sign of an underlying heart condition that needs treatment. An enlarged heart, also known as cardiomegaly, can lead to serious health problems such. What Is Borderline Enlarged Heart.
From www.frontiersin.org
Frontiers Aortic Dilatation in Patients With Bicuspid Aortic Valve What Is Borderline Enlarged Heart Your heart may be unusually thick or. Your heart can become enlarged if the muscle works so hard that it thickens, or if the chambers. It usually doesn’t cause symptoms, so it’s usually only detected. Your heart can become enlarged when it. Mild cardiomegaly, or an enlarged heart, is usually a sign of an underlying heart condition that needs treatment.. What Is Borderline Enlarged Heart.
From medium.com
CARDIOMEGALY ENLARGEMENT OF THE HEART by Kashaf Shehzad Jun, 2020 What Is Borderline Enlarged Heart Your heart can become enlarged when it. An enlarged heart (cardiomegaly) describes a heart that’s bigger than what is typical. An enlarged heart (cardiomegaly) means that your heart is bigger than normal. The walls of both sides of the heart (also known as ventricles) become thin and stretched. Mild cardiomegaly, or an enlarged heart, is usually a sign of an. What Is Borderline Enlarged Heart.
From www.cureus.com
Carcinoid Heart Syndrome With Metastatic LowGrade Neuroendocrine Tumor What Is Borderline Enlarged Heart An enlarged heart (cardiomegaly) means that your heart is bigger than normal. An enlarged heart, also known as cardiomegaly, can lead to serious health problems such as heart failure, stroke, or even sudden death. Your heart can become enlarged if the muscle works so hard that it thickens, or if the chambers. Mild cardiomegaly, or an enlarged heart, is usually. What Is Borderline Enlarged Heart.
From pulmcast.com
Reading Imaging — Pulmcast What Is Borderline Enlarged Heart Your heart can become enlarged when it. An enlarged heart (cardiomegaly) describes a heart that’s bigger than what is typical. Your heart may be unusually thick or. It usually doesn’t cause symptoms, so it’s usually only detected. An enlarged heart (cardiomegaly) can be caused by damage to the heart muscle or any condition that makes the heart pump harder than. What Is Borderline Enlarged Heart.
From bdteletalk.com
Enlarged Heart X Ray What Is Borderline Enlarged Heart Mild cardiomegaly, or an enlarged heart, is usually a sign of an underlying heart condition that needs treatment. Your heart may be unusually thick or. An enlarged heart (cardiomegaly) describes a heart that’s bigger than what is typical. Your heart can become enlarged if the muscle works so hard that it thickens, or if the chambers. The walls of both. What Is Borderline Enlarged Heart.
From www.youtube.com
Chest xray Cardiothoracic Ratio CARDIAC SIZE Cardiomegaly YouTube What Is Borderline Enlarged Heart An enlarged heart, also known as cardiomegaly, can lead to serious health problems such as heart failure, stroke, or even sudden death. The walls of both sides of the heart (also known as ventricles) become thin and stretched. Mild cardiomegaly, or an enlarged heart, is usually a sign of an underlying heart condition that needs treatment. It usually doesn’t cause. What Is Borderline Enlarged Heart.
From fyohfieso.blob.core.windows.net
Feet Very Swollen at Era Sauceda blog What Is Borderline Enlarged Heart An enlarged heart (cardiomegaly) can be caused by damage to the heart muscle or any condition that makes the heart pump harder than usual, including pregnancy. An enlarged heart (cardiomegaly) describes a heart that’s bigger than what is typical. An enlarged heart, also known as cardiomegaly, can lead to serious health problems such as heart failure, stroke, or even sudden. What Is Borderline Enlarged Heart.
From www.summithealth.com
What causes an enlarged heart? Summit Health What Is Borderline Enlarged Heart Your heart can become enlarged when it. Your heart may be unusually thick or. An enlarged heart (cardiomegaly) can be caused by damage to the heart muscle or any condition that makes the heart pump harder than usual, including pregnancy. An enlarged heart, also known as cardiomegaly, can lead to serious health problems such as heart failure, stroke, or even. What Is Borderline Enlarged Heart.
From openpress.usask.ca
Enlarged Cardiac Silhouette Undergraduate Diagnostic Imaging Fundamentals What Is Borderline Enlarged Heart Your heart can become enlarged if the muscle works so hard that it thickens, or if the chambers. An enlarged heart, also known as cardiomegaly, can lead to serious health problems such as heart failure, stroke, or even sudden death. Mild cardiomegaly, or an enlarged heart, is usually a sign of an underlying heart condition that needs treatment. It usually. What Is Borderline Enlarged Heart.
From edu.svet.gob.gt
What Causes An Enlarged Heart edu.svet.gob.gt What Is Borderline Enlarged Heart Your heart can become enlarged when it. Your heart may be unusually thick or. Mild cardiomegaly, or an enlarged heart, is usually a sign of an underlying heart condition that needs treatment. It usually doesn’t cause symptoms, so it’s usually only detected. The walls of both sides of the heart (also known as ventricles) become thin and stretched. An enlarged. What Is Borderline Enlarged Heart.
From myheart.net
Cardiomegaly Explained by a Cardiologist • MyHeart What Is Borderline Enlarged Heart An enlarged heart, also known as cardiomegaly, can lead to serious health problems such as heart failure, stroke, or even sudden death. Your heart can become enlarged if the muscle works so hard that it thickens, or if the chambers. Mild cardiomegaly, or an enlarged heart, is usually a sign of an underlying heart condition that needs treatment. The walls. What Is Borderline Enlarged Heart.
From entirelynourished.com
What is Aortic Root Dilatation? Showit Blog What Is Borderline Enlarged Heart Your heart can become enlarged when it. An enlarged heart (cardiomegaly) describes a heart that’s bigger than what is typical. Your heart may be unusually thick or. An enlarged heart, also known as cardiomegaly, can lead to serious health problems such as heart failure, stroke, or even sudden death. The walls of both sides of the heart (also known as. What Is Borderline Enlarged Heart.
From www.amjmed.com
A Classically Enlarged Cardiac Silhouette The American Journal of What Is Borderline Enlarged Heart Your heart can become enlarged when it. An enlarged heart, also known as cardiomegaly, can lead to serious health problems such as heart failure, stroke, or even sudden death. Your heart may be unusually thick or. An enlarged heart (cardiomegaly) can be caused by damage to the heart muscle or any condition that makes the heart pump harder than usual,. What Is Borderline Enlarged Heart.
From www.cureus.com
Carcinoid Heart Syndrome With Metastatic LowGrade Neuroendocrine Tumor What Is Borderline Enlarged Heart An enlarged heart (cardiomegaly) can be caused by damage to the heart muscle or any condition that makes the heart pump harder than usual, including pregnancy. An enlarged heart, also known as cardiomegaly, can lead to serious health problems such as heart failure, stroke, or even sudden death. It usually doesn’t cause symptoms, so it’s usually only detected. Your heart. What Is Borderline Enlarged Heart.
From www.cureus.com
Cureus Bovine Aortic Arch, A HighRisk Variant What Is Borderline Enlarged Heart An enlarged heart (cardiomegaly) means that your heart is bigger than normal. Your heart can become enlarged when it. An enlarged heart (cardiomegaly) describes a heart that’s bigger than what is typical. An enlarged heart (cardiomegaly) can be caused by damage to the heart muscle or any condition that makes the heart pump harder than usual, including pregnancy. Your heart. What Is Borderline Enlarged Heart.
From www.wisegeek.com
What is an Enlarged Heart? (with pictures) What Is Borderline Enlarged Heart An enlarged heart (cardiomegaly) means that your heart is bigger than normal. It usually doesn’t cause symptoms, so it’s usually only detected. Your heart may be unusually thick or. An enlarged heart (cardiomegaly) describes a heart that’s bigger than what is typical. Your heart can become enlarged if the muscle works so hard that it thickens, or if the chambers.. What Is Borderline Enlarged Heart.
From www.dreamstime.com
Xray Image Of Chest, PA Upright View. Stock Photo Image 54282227 What Is Borderline Enlarged Heart An enlarged heart (cardiomegaly) describes a heart that’s bigger than what is typical. An enlarged heart (cardiomegaly) can be caused by damage to the heart muscle or any condition that makes the heart pump harder than usual, including pregnancy. It usually doesn’t cause symptoms, so it’s usually only detected. Your heart can become enlarged if the muscle works so hard. What Is Borderline Enlarged Heart.
From www.youtube.com
How to Interpret a Chest XRay (Lesson 5 Cardiac Silhouette and What Is Borderline Enlarged Heart Mild cardiomegaly, or an enlarged heart, is usually a sign of an underlying heart condition that needs treatment. It usually doesn’t cause symptoms, so it’s usually only detected. An enlarged heart, also known as cardiomegaly, can lead to serious health problems such as heart failure, stroke, or even sudden death. The walls of both sides of the heart (also known. What Is Borderline Enlarged Heart.