Ct Scan For Diverticulitis . computed tomography, the most commonly performed imaging test, is useful to establish the diagnosis and the extent and severity of. although ct is the modality of choice for the diagnosis and staging of colonic diverticulitis with a sensitivity of. diverticulitis is an infection or inflammation of small pouches in the colon wall. learn how diverticulitis is diagnosed with blood, urine, stool, and imaging tests, such as ct scan, mri, and ultrasound. learn how to diagnose diverticulitis on abdominal ct scans by looking for thickened and enlarged. ct scan in a patient with diverticulitis demonstrates an intramural abscess in the sigmoid colon and an. A ct scan with contrast is the best test to diagnose it and guide treatment. Find out the symptoms, complications, and differential diagnoses of diverticulitis.
from www.researchgate.net
although ct is the modality of choice for the diagnosis and staging of colonic diverticulitis with a sensitivity of. learn how to diagnose diverticulitis on abdominal ct scans by looking for thickened and enlarged. ct scan in a patient with diverticulitis demonstrates an intramural abscess in the sigmoid colon and an. computed tomography, the most commonly performed imaging test, is useful to establish the diagnosis and the extent and severity of. learn how diverticulitis is diagnosed with blood, urine, stool, and imaging tests, such as ct scan, mri, and ultrasound. diverticulitis is an infection or inflammation of small pouches in the colon wall. Find out the symptoms, complications, and differential diagnoses of diverticulitis. A ct scan with contrast is the best test to diagnose it and guide treatment.
Coronal CT image demonstrating rightsided colonic diverticulitis. Download Scientific Diagram
Ct Scan For Diverticulitis diverticulitis is an infection or inflammation of small pouches in the colon wall. diverticulitis is an infection or inflammation of small pouches in the colon wall. Find out the symptoms, complications, and differential diagnoses of diverticulitis. although ct is the modality of choice for the diagnosis and staging of colonic diverticulitis with a sensitivity of. learn how to diagnose diverticulitis on abdominal ct scans by looking for thickened and enlarged. learn how diverticulitis is diagnosed with blood, urine, stool, and imaging tests, such as ct scan, mri, and ultrasound. ct scan in a patient with diverticulitis demonstrates an intramural abscess in the sigmoid colon and an. computed tomography, the most commonly performed imaging test, is useful to establish the diagnosis and the extent and severity of. A ct scan with contrast is the best test to diagnose it and guide treatment.
From mavink.com
Diverticulitis On Ct Scan Ct Scan For Diverticulitis ct scan in a patient with diverticulitis demonstrates an intramural abscess in the sigmoid colon and an. although ct is the modality of choice for the diagnosis and staging of colonic diverticulitis with a sensitivity of. A ct scan with contrast is the best test to diagnose it and guide treatment. computed tomography, the most commonly performed. Ct Scan For Diverticulitis.
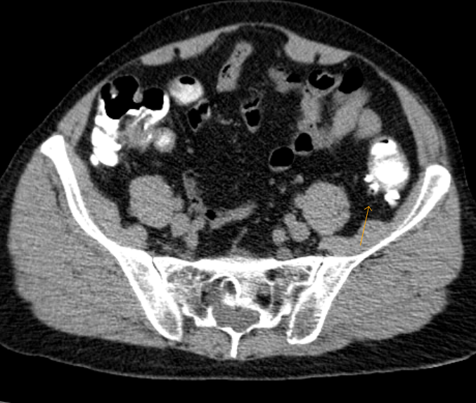
From litfl.com
Abdominal CT diverticulitis • LITFL • Radiology Library Ct Scan For Diverticulitis diverticulitis is an infection or inflammation of small pouches in the colon wall. Find out the symptoms, complications, and differential diagnoses of diverticulitis. A ct scan with contrast is the best test to diagnose it and guide treatment. computed tomography, the most commonly performed imaging test, is useful to establish the diagnosis and the extent and severity of.. Ct Scan For Diverticulitis.
From litfl.com
Abdominal CT diverticulitis • LITFL • Radiology Library Ct Scan For Diverticulitis diverticulitis is an infection or inflammation of small pouches in the colon wall. although ct is the modality of choice for the diagnosis and staging of colonic diverticulitis with a sensitivity of. ct scan in a patient with diverticulitis demonstrates an intramural abscess in the sigmoid colon and an. computed tomography, the most commonly performed imaging. Ct Scan For Diverticulitis.
From learningradiology.com
Learning Radiology diverticulitis, diverticulosis Ct Scan For Diverticulitis learn how diverticulitis is diagnosed with blood, urine, stool, and imaging tests, such as ct scan, mri, and ultrasound. Find out the symptoms, complications, and differential diagnoses of diverticulitis. diverticulitis is an infection or inflammation of small pouches in the colon wall. ct scan in a patient with diverticulitis demonstrates an intramural abscess in the sigmoid colon. Ct Scan For Diverticulitis.
From radiologykey.com
Diverticulitis Radiology Key Ct Scan For Diverticulitis diverticulitis is an infection or inflammation of small pouches in the colon wall. A ct scan with contrast is the best test to diagnose it and guide treatment. Find out the symptoms, complications, and differential diagnoses of diverticulitis. although ct is the modality of choice for the diagnosis and staging of colonic diverticulitis with a sensitivity of. . Ct Scan For Diverticulitis.
From radiologyinthai.blogspot.com
RiT radiology Acute Sigmoid Diverticulitis Ct Scan For Diverticulitis computed tomography, the most commonly performed imaging test, is useful to establish the diagnosis and the extent and severity of. learn how diverticulitis is diagnosed with blood, urine, stool, and imaging tests, such as ct scan, mri, and ultrasound. although ct is the modality of choice for the diagnosis and staging of colonic diverticulitis with a sensitivity. Ct Scan For Diverticulitis.
From litfl.com
Abdominal CT diverticulitis • LITFL • Radiology Library Ct Scan For Diverticulitis Find out the symptoms, complications, and differential diagnoses of diverticulitis. learn how diverticulitis is diagnosed with blood, urine, stool, and imaging tests, such as ct scan, mri, and ultrasound. ct scan in a patient with diverticulitis demonstrates an intramural abscess in the sigmoid colon and an. learn how to diagnose diverticulitis on abdominal ct scans by looking. Ct Scan For Diverticulitis.
From www.accessmedicinenetwork.com
AccessMedicine's Image of the Week Diverticulitis on CT Abdomen AccessMedicine Network Ct Scan For Diverticulitis diverticulitis is an infection or inflammation of small pouches in the colon wall. Find out the symptoms, complications, and differential diagnoses of diverticulitis. learn how to diagnose diverticulitis on abdominal ct scans by looking for thickened and enlarged. A ct scan with contrast is the best test to diagnose it and guide treatment. computed tomography, the most. Ct Scan For Diverticulitis.
From www.researchgate.net
Diverticulitis. Axial CT image of a man with leftsided diverticulitis... Download Scientific Ct Scan For Diverticulitis A ct scan with contrast is the best test to diagnose it and guide treatment. diverticulitis is an infection or inflammation of small pouches in the colon wall. learn how to diagnose diverticulitis on abdominal ct scans by looking for thickened and enlarged. Find out the symptoms, complications, and differential diagnoses of diverticulitis. ct scan in a. Ct Scan For Diverticulitis.
From sumerdoc.blogspot.com
Diverticulitis CT Sumer's Radiology Blog Ct Scan For Diverticulitis learn how to diagnose diverticulitis on abdominal ct scans by looking for thickened and enlarged. although ct is the modality of choice for the diagnosis and staging of colonic diverticulitis with a sensitivity of. ct scan in a patient with diverticulitis demonstrates an intramural abscess in the sigmoid colon and an. learn how diverticulitis is diagnosed. Ct Scan For Diverticulitis.
From www.ctisus.com
Diverticulitis with Perforation Colon Case Studies CTisus CT Scanning Ct Scan For Diverticulitis learn how to diagnose diverticulitis on abdominal ct scans by looking for thickened and enlarged. although ct is the modality of choice for the diagnosis and staging of colonic diverticulitis with a sensitivity of. Find out the symptoms, complications, and differential diagnoses of diverticulitis. ct scan in a patient with diverticulitis demonstrates an intramural abscess in the. Ct Scan For Diverticulitis.
From surgicalimages.arizona.edu
Colon Diverticular Disease 1806 Cecal Diverticulitis Ct Scan Surgery Photos Ct Scan For Diverticulitis learn how diverticulitis is diagnosed with blood, urine, stool, and imaging tests, such as ct scan, mri, and ultrasound. computed tomography, the most commonly performed imaging test, is useful to establish the diagnosis and the extent and severity of. learn how to diagnose diverticulitis on abdominal ct scans by looking for thickened and enlarged. diverticulitis is. Ct Scan For Diverticulitis.
From litfl.com
Abdominal CT diverticulitis • LITFL • Radiology Library Ct Scan For Diverticulitis Find out the symptoms, complications, and differential diagnoses of diverticulitis. computed tomography, the most commonly performed imaging test, is useful to establish the diagnosis and the extent and severity of. although ct is the modality of choice for the diagnosis and staging of colonic diverticulitis with a sensitivity of. ct scan in a patient with diverticulitis demonstrates. Ct Scan For Diverticulitis.
From www.doctorchristodoulou.com
Colon Diverticulosis Diagnosis Dr Anastasios Christodoulou Ct Scan For Diverticulitis A ct scan with contrast is the best test to diagnose it and guide treatment. computed tomography, the most commonly performed imaging test, is useful to establish the diagnosis and the extent and severity of. learn how diverticulitis is diagnosed with blood, urine, stool, and imaging tests, such as ct scan, mri, and ultrasound. learn how to. Ct Scan For Diverticulitis.
From usmlestrike.com
Diverticular Disease USMLE Strike Ct Scan For Diverticulitis diverticulitis is an infection or inflammation of small pouches in the colon wall. learn how to diagnose diverticulitis on abdominal ct scans by looking for thickened and enlarged. A ct scan with contrast is the best test to diagnose it and guide treatment. computed tomography, the most commonly performed imaging test, is useful to establish the diagnosis. Ct Scan For Diverticulitis.
From www.researchgate.net
Coronal CT image demonstrating rightsided colonic diverticulitis. Download Scientific Diagram Ct Scan For Diverticulitis ct scan in a patient with diverticulitis demonstrates an intramural abscess in the sigmoid colon and an. although ct is the modality of choice for the diagnosis and staging of colonic diverticulitis with a sensitivity of. computed tomography, the most commonly performed imaging test, is useful to establish the diagnosis and the extent and severity of. . Ct Scan For Diverticulitis.
From www.learningradiology.com
LearningRadiology Diverticulitis, Diverticulosis Ct Scan For Diverticulitis Find out the symptoms, complications, and differential diagnoses of diverticulitis. ct scan in a patient with diverticulitis demonstrates an intramural abscess in the sigmoid colon and an. diverticulitis is an infection or inflammation of small pouches in the colon wall. although ct is the modality of choice for the diagnosis and staging of colonic diverticulitis with a. Ct Scan For Diverticulitis.
From www.medpagetoday.com
Laparoscopic Lavage a Safe Option in Perforated Diverticulitis MedPage Today Ct Scan For Diverticulitis diverticulitis is an infection or inflammation of small pouches in the colon wall. learn how to diagnose diverticulitis on abdominal ct scans by looking for thickened and enlarged. learn how diverticulitis is diagnosed with blood, urine, stool, and imaging tests, such as ct scan, mri, and ultrasound. Find out the symptoms, complications, and differential diagnoses of diverticulitis.. Ct Scan For Diverticulitis.
From step2.medbullets.com
Diverticulitis Gastrointestinal Medbullets Step 2/3 Ct Scan For Diverticulitis learn how to diagnose diverticulitis on abdominal ct scans by looking for thickened and enlarged. ct scan in a patient with diverticulitis demonstrates an intramural abscess in the sigmoid colon and an. computed tomography, the most commonly performed imaging test, is useful to establish the diagnosis and the extent and severity of. diverticulitis is an infection. Ct Scan For Diverticulitis.
From mavink.com
Severe Diverticulitis Ct Scan Ct Scan For Diverticulitis ct scan in a patient with diverticulitis demonstrates an intramural abscess in the sigmoid colon and an. computed tomography, the most commonly performed imaging test, is useful to establish the diagnosis and the extent and severity of. learn how to diagnose diverticulitis on abdominal ct scans by looking for thickened and enlarged. Find out the symptoms, complications,. Ct Scan For Diverticulitis.
From www.scielo.br
SciELO Brasil What radiologists should know about tomographic evaluation of acute Ct Scan For Diverticulitis learn how to diagnose diverticulitis on abdominal ct scans by looking for thickened and enlarged. Find out the symptoms, complications, and differential diagnoses of diverticulitis. diverticulitis is an infection or inflammation of small pouches in the colon wall. learn how diverticulitis is diagnosed with blood, urine, stool, and imaging tests, such as ct scan, mri, and ultrasound.. Ct Scan For Diverticulitis.
From www.aafp.org
Diagnosis and Management of Acute Diverticulitis AAFP Ct Scan For Diverticulitis Find out the symptoms, complications, and differential diagnoses of diverticulitis. learn how to diagnose diverticulitis on abdominal ct scans by looking for thickened and enlarged. computed tomography, the most commonly performed imaging test, is useful to establish the diagnosis and the extent and severity of. A ct scan with contrast is the best test to diagnose it and. Ct Scan For Diverticulitis.
From www.pinterest.co.uk
Pin on CT Scans Ct Scan For Diverticulitis Find out the symptoms, complications, and differential diagnoses of diverticulitis. learn how to diagnose diverticulitis on abdominal ct scans by looking for thickened and enlarged. diverticulitis is an infection or inflammation of small pouches in the colon wall. A ct scan with contrast is the best test to diagnose it and guide treatment. computed tomography, the most. Ct Scan For Diverticulitis.
From www.cureus.com
Cureus Malignant Peritoneal Mesothelioma Mimicking Recurrent Diverticulitis Ct Scan For Diverticulitis although ct is the modality of choice for the diagnosis and staging of colonic diverticulitis with a sensitivity of. Find out the symptoms, complications, and differential diagnoses of diverticulitis. ct scan in a patient with diverticulitis demonstrates an intramural abscess in the sigmoid colon and an. learn how diverticulitis is diagnosed with blood, urine, stool, and imaging. Ct Scan For Diverticulitis.
From www.svuhradiology.ie
Acute diverticulitis CT Radiology at St. Vincent's University Hospital Ct Scan For Diverticulitis learn how diverticulitis is diagnosed with blood, urine, stool, and imaging tests, such as ct scan, mri, and ultrasound. diverticulitis is an infection or inflammation of small pouches in the colon wall. learn how to diagnose diverticulitis on abdominal ct scans by looking for thickened and enlarged. A ct scan with contrast is the best test to. Ct Scan For Diverticulitis.
From jetem.org
Imaging Findings of Small Bowel Diverticulitis A Case Report JETem Ct Scan For Diverticulitis ct scan in a patient with diverticulitis demonstrates an intramural abscess in the sigmoid colon and an. although ct is the modality of choice for the diagnosis and staging of colonic diverticulitis with a sensitivity of. learn how diverticulitis is diagnosed with blood, urine, stool, and imaging tests, such as ct scan, mri, and ultrasound. computed. Ct Scan For Diverticulitis.
From fineartamerica.com
Ct Image Of Diverticulitis Photograph by Medical Body Scans Fine Art America Ct Scan For Diverticulitis ct scan in a patient with diverticulitis demonstrates an intramural abscess in the sigmoid colon and an. learn how to diagnose diverticulitis on abdominal ct scans by looking for thickened and enlarged. diverticulitis is an infection or inflammation of small pouches in the colon wall. computed tomography, the most commonly performed imaging test, is useful to. Ct Scan For Diverticulitis.
From litfl.com
Abdominal CT diverticulitis • LITFL • Radiology Library Ct Scan For Diverticulitis learn how diverticulitis is diagnosed with blood, urine, stool, and imaging tests, such as ct scan, mri, and ultrasound. Find out the symptoms, complications, and differential diagnoses of diverticulitis. computed tomography, the most commonly performed imaging test, is useful to establish the diagnosis and the extent and severity of. ct scan in a patient with diverticulitis demonstrates. Ct Scan For Diverticulitis.
From www.svuhradiology.ie
Acute Diverticulitis Radiology at St. Vincent's University Hospital Ct Scan For Diverticulitis although ct is the modality of choice for the diagnosis and staging of colonic diverticulitis with a sensitivity of. ct scan in a patient with diverticulitis demonstrates an intramural abscess in the sigmoid colon and an. Find out the symptoms, complications, and differential diagnoses of diverticulitis. A ct scan with contrast is the best test to diagnose it. Ct Scan For Diverticulitis.
From sumerdoc.blogspot.com
Diverticulitis CT Sumer's Radiology Blog Ct Scan For Diverticulitis learn how to diagnose diverticulitis on abdominal ct scans by looking for thickened and enlarged. Find out the symptoms, complications, and differential diagnoses of diverticulitis. computed tomography, the most commonly performed imaging test, is useful to establish the diagnosis and the extent and severity of. A ct scan with contrast is the best test to diagnose it and. Ct Scan For Diverticulitis.
From www.ctisus.com
Right Sided Diverticulitis Colon Case Studies CTisus CT Scanning Ct Scan For Diverticulitis learn how to diagnose diverticulitis on abdominal ct scans by looking for thickened and enlarged. computed tomography, the most commonly performed imaging test, is useful to establish the diagnosis and the extent and severity of. ct scan in a patient with diverticulitis demonstrates an intramural abscess in the sigmoid colon and an. A ct scan with contrast. Ct Scan For Diverticulitis.
From www.researchgate.net
CT axial scan demonstrating cecal diverticulitis on the right (red arrow) Download Scientific Ct Scan For Diverticulitis diverticulitis is an infection or inflammation of small pouches in the colon wall. learn how to diagnose diverticulitis on abdominal ct scans by looking for thickened and enlarged. Find out the symptoms, complications, and differential diagnoses of diverticulitis. learn how diverticulitis is diagnosed with blood, urine, stool, and imaging tests, such as ct scan, mri, and ultrasound.. Ct Scan For Diverticulitis.
From mavink.com
Colon Cancer Ct Scan Images Diverticulitis Ct Scan For Diverticulitis diverticulitis is an infection or inflammation of small pouches in the colon wall. Find out the symptoms, complications, and differential diagnoses of diverticulitis. although ct is the modality of choice for the diagnosis and staging of colonic diverticulitis with a sensitivity of. computed tomography, the most commonly performed imaging test, is useful to establish the diagnosis and. Ct Scan For Diverticulitis.
From lookfordiagnosis.com
Diverticulitis Ct Scan For Diverticulitis learn how diverticulitis is diagnosed with blood, urine, stool, and imaging tests, such as ct scan, mri, and ultrasound. although ct is the modality of choice for the diagnosis and staging of colonic diverticulitis with a sensitivity of. ct scan in a patient with diverticulitis demonstrates an intramural abscess in the sigmoid colon and an. diverticulitis. Ct Scan For Diverticulitis.
From pubs.rsna.org
Case 240 Meckel Diverticulitis Radiology Ct Scan For Diverticulitis computed tomography, the most commonly performed imaging test, is useful to establish the diagnosis and the extent and severity of. A ct scan with contrast is the best test to diagnose it and guide treatment. diverticulitis is an infection or inflammation of small pouches in the colon wall. ct scan in a patient with diverticulitis demonstrates an. Ct Scan For Diverticulitis.