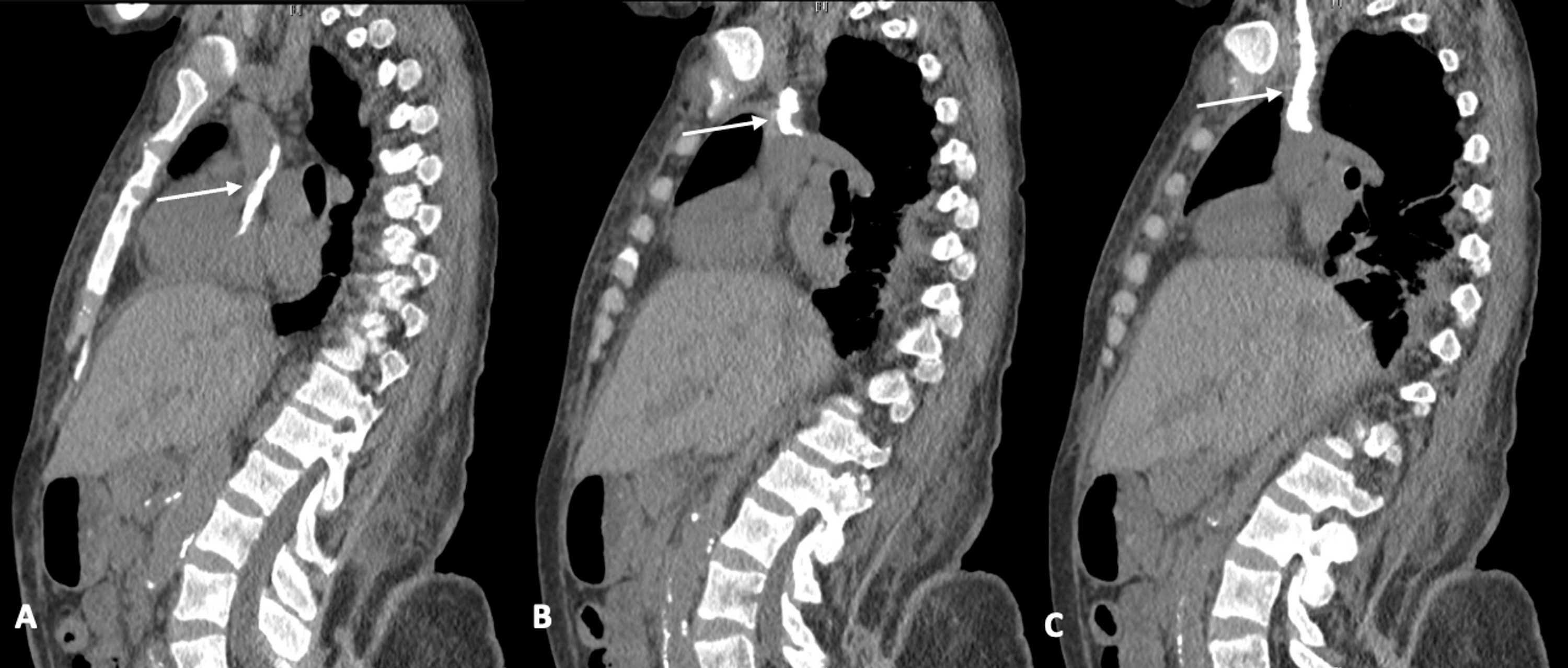
Hemodialysis Catheter Fibrin Sheath . Fibrin sheath formation is a primary cause of cvc malfunction, with up to 50% of hemodialysis patients experiencing fibrin. A fibrin sheath is composed of fibrinogen,. One unique problem for catheters is the formation of fibrin sheaths. Case 3 suggests the presence of a fibrin sheath, which can begin to form as soon as 24 hours following placement of the catheter. A fibrin sheath (imagine a structure similar to a sword’s sheath) can completely envelop a cvc and obstruct or impede flow.
from www.renalfellow.org
A fibrin sheath (imagine a structure similar to a sword’s sheath) can completely envelop a cvc and obstruct or impede flow. One unique problem for catheters is the formation of fibrin sheaths. A fibrin sheath is composed of fibrinogen,. Fibrin sheath formation is a primary cause of cvc malfunction, with up to 50% of hemodialysis patients experiencing fibrin. Case 3 suggests the presence of a fibrin sheath, which can begin to form as soon as 24 hours following placement of the catheter.
Disrupting Catheter Associated Fibrin Sheath Formation Renal Fellow
Hemodialysis Catheter Fibrin Sheath One unique problem for catheters is the formation of fibrin sheaths. Case 3 suggests the presence of a fibrin sheath, which can begin to form as soon as 24 hours following placement of the catheter. A fibrin sheath (imagine a structure similar to a sword’s sheath) can completely envelop a cvc and obstruct or impede flow. Fibrin sheath formation is a primary cause of cvc malfunction, with up to 50% of hemodialysis patients experiencing fibrin. One unique problem for catheters is the formation of fibrin sheaths. A fibrin sheath is composed of fibrinogen,.
From www.semanticscholar.org
Figure 1 from Dialysis catheter fibrin sheath stripping a useful Hemodialysis Catheter Fibrin Sheath One unique problem for catheters is the formation of fibrin sheaths. A fibrin sheath (imagine a structure similar to a sword’s sheath) can completely envelop a cvc and obstruct or impede flow. Fibrin sheath formation is a primary cause of cvc malfunction, with up to 50% of hemodialysis patients experiencing fibrin. A fibrin sheath is composed of fibrinogen,. Case 3. Hemodialysis Catheter Fibrin Sheath.
From www.researchgate.net
(PDF) Fibrin sheath on a tunnelled haemodialysis catheter Hemodialysis Catheter Fibrin Sheath A fibrin sheath (imagine a structure similar to a sword’s sheath) can completely envelop a cvc and obstruct or impede flow. Case 3 suggests the presence of a fibrin sheath, which can begin to form as soon as 24 hours following placement of the catheter. A fibrin sheath is composed of fibrinogen,. One unique problem for catheters is the formation. Hemodialysis Catheter Fibrin Sheath.
From www.researchgate.net
(PDF) Calcified CatheterRelated Fibrin Sheath Forms Large Intravenous Hemodialysis Catheter Fibrin Sheath Fibrin sheath formation is a primary cause of cvc malfunction, with up to 50% of hemodialysis patients experiencing fibrin. Case 3 suggests the presence of a fibrin sheath, which can begin to form as soon as 24 hours following placement of the catheter. A fibrin sheath (imagine a structure similar to a sword’s sheath) can completely envelop a cvc and. Hemodialysis Catheter Fibrin Sheath.
From www.cureus.com
Cureus Calcified CatheterRelated Fibrin Sheath Forms Large Hemodialysis Catheter Fibrin Sheath A fibrin sheath (imagine a structure similar to a sword’s sheath) can completely envelop a cvc and obstruct or impede flow. A fibrin sheath is composed of fibrinogen,. One unique problem for catheters is the formation of fibrin sheaths. Case 3 suggests the presence of a fibrin sheath, which can begin to form as soon as 24 hours following placement. Hemodialysis Catheter Fibrin Sheath.
From www.researchgate.net
(A) Example of peritoneal dialysis catheter exit site infection. (B Hemodialysis Catheter Fibrin Sheath Fibrin sheath formation is a primary cause of cvc malfunction, with up to 50% of hemodialysis patients experiencing fibrin. One unique problem for catheters is the formation of fibrin sheaths. A fibrin sheath is composed of fibrinogen,. Case 3 suggests the presence of a fibrin sheath, which can begin to form as soon as 24 hours following placement of the. Hemodialysis Catheter Fibrin Sheath.
From mungfali.com
Non Tunneled Dialysis Catheter Hemodialysis Catheter Fibrin Sheath Fibrin sheath formation is a primary cause of cvc malfunction, with up to 50% of hemodialysis patients experiencing fibrin. A fibrin sheath is composed of fibrinogen,. A fibrin sheath (imagine a structure similar to a sword’s sheath) can completely envelop a cvc and obstruct or impede flow. Case 3 suggests the presence of a fibrin sheath, which can begin to. Hemodialysis Catheter Fibrin Sheath.
From www.semanticscholar.org
Figure 1 from Fibrin sheath removal from central venous catheters an Hemodialysis Catheter Fibrin Sheath A fibrin sheath (imagine a structure similar to a sword’s sheath) can completely envelop a cvc and obstruct or impede flow. Case 3 suggests the presence of a fibrin sheath, which can begin to form as soon as 24 hours following placement of the catheter. A fibrin sheath is composed of fibrinogen,. One unique problem for catheters is the formation. Hemodialysis Catheter Fibrin Sheath.
From www.semanticscholar.org
Figure 4 from Balloon Angioplasty for Disruption of Tunneled Dialysis Hemodialysis Catheter Fibrin Sheath Case 3 suggests the presence of a fibrin sheath, which can begin to form as soon as 24 hours following placement of the catheter. Fibrin sheath formation is a primary cause of cvc malfunction, with up to 50% of hemodialysis patients experiencing fibrin. A fibrin sheath (imagine a structure similar to a sword’s sheath) can completely envelop a cvc and. Hemodialysis Catheter Fibrin Sheath.
From www.semanticscholar.org
Figure 1 from Performance of fibrin sheath stripping of hemodialysis Hemodialysis Catheter Fibrin Sheath Fibrin sheath formation is a primary cause of cvc malfunction, with up to 50% of hemodialysis patients experiencing fibrin. One unique problem for catheters is the formation of fibrin sheaths. Case 3 suggests the presence of a fibrin sheath, which can begin to form as soon as 24 hours following placement of the catheter. A fibrin sheath is composed of. Hemodialysis Catheter Fibrin Sheath.
From www.youtube.com
Fibrin Sheath Stripping stripping of fibrin sheath from perm cath tip Hemodialysis Catheter Fibrin Sheath One unique problem for catheters is the formation of fibrin sheaths. Fibrin sheath formation is a primary cause of cvc malfunction, with up to 50% of hemodialysis patients experiencing fibrin. Case 3 suggests the presence of a fibrin sheath, which can begin to form as soon as 24 hours following placement of the catheter. A fibrin sheath is composed of. Hemodialysis Catheter Fibrin Sheath.
From www.techvir.com
Malfunction of Dialysis Catheters Management of Fibrin Sheath and Hemodialysis Catheter Fibrin Sheath A fibrin sheath (imagine a structure similar to a sword’s sheath) can completely envelop a cvc and obstruct or impede flow. Fibrin sheath formation is a primary cause of cvc malfunction, with up to 50% of hemodialysis patients experiencing fibrin. A fibrin sheath is composed of fibrinogen,. One unique problem for catheters is the formation of fibrin sheaths. Case 3. Hemodialysis Catheter Fibrin Sheath.
From www.semanticscholar.org
Figure 3 from Balloon Angioplasty for Disruption of Tunneled Dialysis Hemodialysis Catheter Fibrin Sheath One unique problem for catheters is the formation of fibrin sheaths. A fibrin sheath (imagine a structure similar to a sword’s sheath) can completely envelop a cvc and obstruct or impede flow. Case 3 suggests the presence of a fibrin sheath, which can begin to form as soon as 24 hours following placement of the catheter. Fibrin sheath formation is. Hemodialysis Catheter Fibrin Sheath.
From www.semanticscholar.org
Figure 1 from Performance of fibrin sheath stripping of hemodialysis Hemodialysis Catheter Fibrin Sheath Case 3 suggests the presence of a fibrin sheath, which can begin to form as soon as 24 hours following placement of the catheter. Fibrin sheath formation is a primary cause of cvc malfunction, with up to 50% of hemodialysis patients experiencing fibrin. A fibrin sheath (imagine a structure similar to a sword’s sheath) can completely envelop a cvc and. Hemodialysis Catheter Fibrin Sheath.
From dokumen.tips
(PDF) Hemodialysis catheters An overlooked source of fibrin Hemodialysis Catheter Fibrin Sheath A fibrin sheath (imagine a structure similar to a sword’s sheath) can completely envelop a cvc and obstruct or impede flow. Fibrin sheath formation is a primary cause of cvc malfunction, with up to 50% of hemodialysis patients experiencing fibrin. A fibrin sheath is composed of fibrinogen,. One unique problem for catheters is the formation of fibrin sheaths. Case 3. Hemodialysis Catheter Fibrin Sheath.
From www.slideshare.net
Atlas of dialysis vascular access Hemodialysis Catheter Fibrin Sheath A fibrin sheath (imagine a structure similar to a sword’s sheath) can completely envelop a cvc and obstruct or impede flow. A fibrin sheath is composed of fibrinogen,. Case 3 suggests the presence of a fibrin sheath, which can begin to form as soon as 24 hours following placement of the catheter. One unique problem for catheters is the formation. Hemodialysis Catheter Fibrin Sheath.
From www.researchgate.net
(PDF) Calcified CatheterRelated Fibrin Sheath Forms Large Intravenous Hemodialysis Catheter Fibrin Sheath Fibrin sheath formation is a primary cause of cvc malfunction, with up to 50% of hemodialysis patients experiencing fibrin. Case 3 suggests the presence of a fibrin sheath, which can begin to form as soon as 24 hours following placement of the catheter. One unique problem for catheters is the formation of fibrin sheaths. A fibrin sheath is composed of. Hemodialysis Catheter Fibrin Sheath.
From www.trendradars.com
Calcified CatheterRelated Fibrin Sheath Forms Large Intravenous Cast Hemodialysis Catheter Fibrin Sheath Case 3 suggests the presence of a fibrin sheath, which can begin to form as soon as 24 hours following placement of the catheter. A fibrin sheath is composed of fibrinogen,. Fibrin sheath formation is a primary cause of cvc malfunction, with up to 50% of hemodialysis patients experiencing fibrin. A fibrin sheath (imagine a structure similar to a sword’s. Hemodialysis Catheter Fibrin Sheath.
From ar.inspiredpencil.com
Peritoneal Dialysis Catheter Hemodialysis Catheter Fibrin Sheath Case 3 suggests the presence of a fibrin sheath, which can begin to form as soon as 24 hours following placement of the catheter. Fibrin sheath formation is a primary cause of cvc malfunction, with up to 50% of hemodialysis patients experiencing fibrin. A fibrin sheath (imagine a structure similar to a sword’s sheath) can completely envelop a cvc and. Hemodialysis Catheter Fibrin Sheath.
From www.researchgate.net
(PDF) Calcified CatheterRelated Fibrin Sheath Forms Large Intravenous Hemodialysis Catheter Fibrin Sheath One unique problem for catheters is the formation of fibrin sheaths. Case 3 suggests the presence of a fibrin sheath, which can begin to form as soon as 24 hours following placement of the catheter. A fibrin sheath is composed of fibrinogen,. Fibrin sheath formation is a primary cause of cvc malfunction, with up to 50% of hemodialysis patients experiencing. Hemodialysis Catheter Fibrin Sheath.
From www.renalfellow.org
Disrupting Catheter Associated Fibrin Sheath Formation Renal Fellow Hemodialysis Catheter Fibrin Sheath A fibrin sheath is composed of fibrinogen,. A fibrin sheath (imagine a structure similar to a sword’s sheath) can completely envelop a cvc and obstruct or impede flow. One unique problem for catheters is the formation of fibrin sheaths. Fibrin sheath formation is a primary cause of cvc malfunction, with up to 50% of hemodialysis patients experiencing fibrin. Case 3. Hemodialysis Catheter Fibrin Sheath.
From www.semanticscholar.org
Figure 3 from Performance of fibrin sheath stripping of hemodialysis Hemodialysis Catheter Fibrin Sheath A fibrin sheath (imagine a structure similar to a sword’s sheath) can completely envelop a cvc and obstruct or impede flow. A fibrin sheath is composed of fibrinogen,. Case 3 suggests the presence of a fibrin sheath, which can begin to form as soon as 24 hours following placement of the catheter. One unique problem for catheters is the formation. Hemodialysis Catheter Fibrin Sheath.
From www.researchgate.net
Fibrin sheath along the catheter lumen (arrows) and bulging at the Hemodialysis Catheter Fibrin Sheath One unique problem for catheters is the formation of fibrin sheaths. Case 3 suggests the presence of a fibrin sheath, which can begin to form as soon as 24 hours following placement of the catheter. A fibrin sheath is composed of fibrinogen,. A fibrin sheath (imagine a structure similar to a sword’s sheath) can completely envelop a cvc and obstruct. Hemodialysis Catheter Fibrin Sheath.
From www.semanticscholar.org
Figure 1 from Fibrin sheaths in central venous port catheters Hemodialysis Catheter Fibrin Sheath Fibrin sheath formation is a primary cause of cvc malfunction, with up to 50% of hemodialysis patients experiencing fibrin. A fibrin sheath (imagine a structure similar to a sword’s sheath) can completely envelop a cvc and obstruct or impede flow. A fibrin sheath is composed of fibrinogen,. One unique problem for catheters is the formation of fibrin sheaths. Case 3. Hemodialysis Catheter Fibrin Sheath.
From www.semanticscholar.org
Figure 2 from Balloon Angioplasty for Disruption of Tunneled Dialysis Hemodialysis Catheter Fibrin Sheath One unique problem for catheters is the formation of fibrin sheaths. A fibrin sheath (imagine a structure similar to a sword’s sheath) can completely envelop a cvc and obstruct or impede flow. Case 3 suggests the presence of a fibrin sheath, which can begin to form as soon as 24 hours following placement of the catheter. A fibrin sheath is. Hemodialysis Catheter Fibrin Sheath.
From www.techvir.com
Malfunction of Dialysis Catheters Management of Fibrin Sheath and Hemodialysis Catheter Fibrin Sheath A fibrin sheath (imagine a structure similar to a sword’s sheath) can completely envelop a cvc and obstruct or impede flow. Fibrin sheath formation is a primary cause of cvc malfunction, with up to 50% of hemodialysis patients experiencing fibrin. Case 3 suggests the presence of a fibrin sheath, which can begin to form as soon as 24 hours following. Hemodialysis Catheter Fibrin Sheath.
From www.researchgate.net
Transesophageal echocardiogram showing fibrin sheath with vegetations Hemodialysis Catheter Fibrin Sheath One unique problem for catheters is the formation of fibrin sheaths. Fibrin sheath formation is a primary cause of cvc malfunction, with up to 50% of hemodialysis patients experiencing fibrin. A fibrin sheath is composed of fibrinogen,. Case 3 suggests the presence of a fibrin sheath, which can begin to form as soon as 24 hours following placement of the. Hemodialysis Catheter Fibrin Sheath.
From www.semanticscholar.org
Figure 1 from Peritoneal Dialysis Catheter Malfunction Because of Hemodialysis Catheter Fibrin Sheath One unique problem for catheters is the formation of fibrin sheaths. Case 3 suggests the presence of a fibrin sheath, which can begin to form as soon as 24 hours following placement of the catheter. A fibrin sheath (imagine a structure similar to a sword’s sheath) can completely envelop a cvc and obstruct or impede flow. A fibrin sheath is. Hemodialysis Catheter Fibrin Sheath.
From www.techvir.com
Malfunction of Dialysis Catheters Management of Fibrin Sheath and Hemodialysis Catheter Fibrin Sheath A fibrin sheath is composed of fibrinogen,. Fibrin sheath formation is a primary cause of cvc malfunction, with up to 50% of hemodialysis patients experiencing fibrin. One unique problem for catheters is the formation of fibrin sheaths. A fibrin sheath (imagine a structure similar to a sword’s sheath) can completely envelop a cvc and obstruct or impede flow. Case 3. Hemodialysis Catheter Fibrin Sheath.
From www.semanticscholar.org
Figure 1 from Tunneled Dialysis Catheter Exchange with Fibrin Sheath Hemodialysis Catheter Fibrin Sheath A fibrin sheath (imagine a structure similar to a sword’s sheath) can completely envelop a cvc and obstruct or impede flow. Fibrin sheath formation is a primary cause of cvc malfunction, with up to 50% of hemodialysis patients experiencing fibrin. A fibrin sheath is composed of fibrinogen,. One unique problem for catheters is the formation of fibrin sheaths. Case 3. Hemodialysis Catheter Fibrin Sheath.
From www.techvir.com
Malfunction of Dialysis Catheters Management of Fibrin Sheath and Hemodialysis Catheter Fibrin Sheath A fibrin sheath is composed of fibrinogen,. A fibrin sheath (imagine a structure similar to a sword’s sheath) can completely envelop a cvc and obstruct or impede flow. Fibrin sheath formation is a primary cause of cvc malfunction, with up to 50% of hemodialysis patients experiencing fibrin. One unique problem for catheters is the formation of fibrin sheaths. Case 3. Hemodialysis Catheter Fibrin Sheath.
From www.renalfellow.org
Disrupting Catheter Associated Fibrin Sheath Formation Renal Fellow Hemodialysis Catheter Fibrin Sheath Fibrin sheath formation is a primary cause of cvc malfunction, with up to 50% of hemodialysis patients experiencing fibrin. Case 3 suggests the presence of a fibrin sheath, which can begin to form as soon as 24 hours following placement of the catheter. A fibrin sheath (imagine a structure similar to a sword’s sheath) can completely envelop a cvc and. Hemodialysis Catheter Fibrin Sheath.
From www.techvir.com
Malfunction of Dialysis Catheters Management of Fibrin Sheath and Hemodialysis Catheter Fibrin Sheath Case 3 suggests the presence of a fibrin sheath, which can begin to form as soon as 24 hours following placement of the catheter. Fibrin sheath formation is a primary cause of cvc malfunction, with up to 50% of hemodialysis patients experiencing fibrin. A fibrin sheath is composed of fibrinogen,. One unique problem for catheters is the formation of fibrin. Hemodialysis Catheter Fibrin Sheath.
From www.semanticscholar.org
Figure 2 from Dialysis catheter fibrin sheath stripping a useful Hemodialysis Catheter Fibrin Sheath Fibrin sheath formation is a primary cause of cvc malfunction, with up to 50% of hemodialysis patients experiencing fibrin. A fibrin sheath (imagine a structure similar to a sword’s sheath) can completely envelop a cvc and obstruct or impede flow. A fibrin sheath is composed of fibrinogen,. One unique problem for catheters is the formation of fibrin sheaths. Case 3. Hemodialysis Catheter Fibrin Sheath.
From www.researchgate.net
Pathology of formation of the fibrin sheath around a tunneled cuffed Hemodialysis Catheter Fibrin Sheath Case 3 suggests the presence of a fibrin sheath, which can begin to form as soon as 24 hours following placement of the catheter. A fibrin sheath is composed of fibrinogen,. One unique problem for catheters is the formation of fibrin sheaths. A fibrin sheath (imagine a structure similar to a sword’s sheath) can completely envelop a cvc and obstruct. Hemodialysis Catheter Fibrin Sheath.
From www.researchgate.net
A and B, Fibrin sheath around the catheter. A, a cathetergram showing Hemodialysis Catheter Fibrin Sheath Fibrin sheath formation is a primary cause of cvc malfunction, with up to 50% of hemodialysis patients experiencing fibrin. Case 3 suggests the presence of a fibrin sheath, which can begin to form as soon as 24 hours following placement of the catheter. A fibrin sheath (imagine a structure similar to a sword’s sheath) can completely envelop a cvc and. Hemodialysis Catheter Fibrin Sheath.