Is A Growth Plate A Bone . If not treated properly, they can affect bone growth. A fracture of the growth plate is an injury to the soft tissue at the end of long bones in children and teens. Growth plates are areas of cartilage at the ends of the body’s long bones. Because the growth plates are the last portion of a child’s bones to harden (ossify), they are particularly vulnerable. The growth plate is the cartilaginous portion of long bones where the longitudinal growth of the bone takes place. The epiphyseal plate, also known as the growth plate, is a thin layer of hyaline cartilage found in the epiphysis, or end, of a. The growth plate is the cartilaginous portion of long bones where the longitudinal growth of the bone takes place.
from fineartamerica.com
The growth plate is the cartilaginous portion of long bones where the longitudinal growth of the bone takes place. Because the growth plates are the last portion of a child’s bones to harden (ossify), they are particularly vulnerable. A fracture of the growth plate is an injury to the soft tissue at the end of long bones in children and teens. The growth plate is the cartilaginous portion of long bones where the longitudinal growth of the bone takes place. The epiphyseal plate, also known as the growth plate, is a thin layer of hyaline cartilage found in the epiphysis, or end, of a. Growth plates are areas of cartilage at the ends of the body’s long bones. If not treated properly, they can affect bone growth.
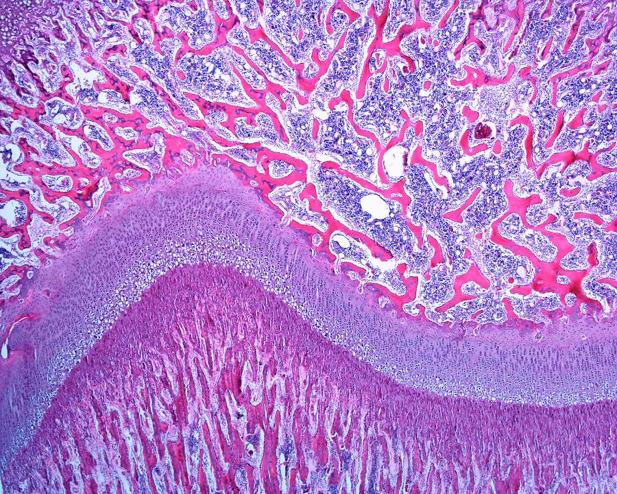
Bone Growth Plate Photograph by Jose Calvo / Science Photo Library
Is A Growth Plate A Bone A fracture of the growth plate is an injury to the soft tissue at the end of long bones in children and teens. The growth plate is the cartilaginous portion of long bones where the longitudinal growth of the bone takes place. A fracture of the growth plate is an injury to the soft tissue at the end of long bones in children and teens. If not treated properly, they can affect bone growth. The growth plate is the cartilaginous portion of long bones where the longitudinal growth of the bone takes place. The epiphyseal plate, also known as the growth plate, is a thin layer of hyaline cartilage found in the epiphysis, or end, of a. Because the growth plates are the last portion of a child’s bones to harden (ossify), they are particularly vulnerable. Growth plates are areas of cartilage at the ends of the body’s long bones.
From www.researchgate.net
Epiphyseal plate growth. Five zones of epiphyseal growth plate Is A Growth Plate A Bone The epiphyseal plate, also known as the growth plate, is a thin layer of hyaline cartilage found in the epiphysis, or end, of a. Because the growth plates are the last portion of a child’s bones to harden (ossify), they are particularly vulnerable. The growth plate is the cartilaginous portion of long bones where the longitudinal growth of the bone. Is A Growth Plate A Bone.
From orthoinfo.aaos.org
Lower Limb Length Discrepancy OrthoInfo AAOS Is A Growth Plate A Bone The growth plate is the cartilaginous portion of long bones where the longitudinal growth of the bone takes place. The growth plate is the cartilaginous portion of long bones where the longitudinal growth of the bone takes place. A fracture of the growth plate is an injury to the soft tissue at the end of long bones in children and. Is A Growth Plate A Bone.
From www.naturalheightgrowth.com
Grow Taller Using Sequential And Double Growth Plate Implantations Is A Growth Plate A Bone Growth plates are areas of cartilage at the ends of the body’s long bones. The epiphyseal plate, also known as the growth plate, is a thin layer of hyaline cartilage found in the epiphysis, or end, of a. The growth plate is the cartilaginous portion of long bones where the longitudinal growth of the bone takes place. If not treated. Is A Growth Plate A Bone.
From quizlet.com
3 BONES Epiphyseal Plate Growth Zones Diagram Diagram Quizlet Is A Growth Plate A Bone A fracture of the growth plate is an injury to the soft tissue at the end of long bones in children and teens. Because the growth plates are the last portion of a child’s bones to harden (ossify), they are particularly vulnerable. If not treated properly, they can affect bone growth. The epiphyseal plate, also known as the growth plate,. Is A Growth Plate A Bone.
From www.bonetalks.com
Kids Growth Plate Injury — Bone Talks Is A Growth Plate A Bone The epiphyseal plate, also known as the growth plate, is a thin layer of hyaline cartilage found in the epiphysis, or end, of a. Because the growth plates are the last portion of a child’s bones to harden (ossify), they are particularly vulnerable. The growth plate is the cartilaginous portion of long bones where the longitudinal growth of the bone. Is A Growth Plate A Bone.
From animalbiosciences.uoguelph.ca
LEC25 Is A Growth Plate A Bone Growth plates are areas of cartilage at the ends of the body’s long bones. If not treated properly, they can affect bone growth. The growth plate is the cartilaginous portion of long bones where the longitudinal growth of the bone takes place. The growth plate is the cartilaginous portion of long bones where the longitudinal growth of the bone takes. Is A Growth Plate A Bone.
From fineartamerica.com
Epiphyseal Growth Plate Photograph by Jose Calvo / Science Photo Is A Growth Plate A Bone If not treated properly, they can affect bone growth. The epiphyseal plate, also known as the growth plate, is a thin layer of hyaline cartilage found in the epiphysis, or end, of a. A fracture of the growth plate is an injury to the soft tissue at the end of long bones in children and teens. The growth plate is. Is A Growth Plate A Bone.
From healthjade.com
Growth Plate Fracture Causes, Types, Symptoms,Treatment Is A Growth Plate A Bone The growth plate is the cartilaginous portion of long bones where the longitudinal growth of the bone takes place. Growth plates are areas of cartilage at the ends of the body’s long bones. The growth plate is the cartilaginous portion of long bones where the longitudinal growth of the bone takes place. If not treated properly, they can affect bone. Is A Growth Plate A Bone.
From www.alamy.com
Light micrograph of the epiphyseal growth plate of a developing long Is A Growth Plate A Bone The growth plate is the cartilaginous portion of long bones where the longitudinal growth of the bone takes place. A fracture of the growth plate is an injury to the soft tissue at the end of long bones in children and teens. The epiphyseal plate, also known as the growth plate, is a thin layer of hyaline cartilage found in. Is A Growth Plate A Bone.
From www.slideserve.com
PPT GROWTH HORMONE PowerPoint Presentation, free download ID2765002 Is A Growth Plate A Bone The growth plate is the cartilaginous portion of long bones where the longitudinal growth of the bone takes place. Because the growth plates are the last portion of a child’s bones to harden (ossify), they are particularly vulnerable. If not treated properly, they can affect bone growth. A fracture of the growth plate is an injury to the soft tissue. Is A Growth Plate A Bone.
From pixels.com
Epiphyseal Growth Plate Photograph by Jose Calvo / Science Photo Is A Growth Plate A Bone A fracture of the growth plate is an injury to the soft tissue at the end of long bones in children and teens. Because the growth plates are the last portion of a child’s bones to harden (ossify), they are particularly vulnerable. If not treated properly, they can affect bone growth. The growth plate is the cartilaginous portion of long. Is A Growth Plate A Bone.
From pixels.com
Bone Growth Plate Photograph by Jose Calvo / Science Photo Library Pixels Is A Growth Plate A Bone If not treated properly, they can affect bone growth. Because the growth plates are the last portion of a child’s bones to harden (ossify), they are particularly vulnerable. Growth plates are areas of cartilage at the ends of the body’s long bones. The epiphyseal plate, also known as the growth plate, is a thin layer of hyaline cartilage found in. Is A Growth Plate A Bone.
From nwcchap.blogspot.com
hap study blog The Epiphyseal Plate Is A Growth Plate A Bone The growth plate is the cartilaginous portion of long bones where the longitudinal growth of the bone takes place. Because the growth plates are the last portion of a child’s bones to harden (ossify), they are particularly vulnerable. A fracture of the growth plate is an injury to the soft tissue at the end of long bones in children and. Is A Growth Plate A Bone.
From www.aranahillsphysiotherapy.com.au
Growing pains, growth plates and top tips on how to manage them Is A Growth Plate A Bone If not treated properly, they can affect bone growth. The growth plate is the cartilaginous portion of long bones where the longitudinal growth of the bone takes place. Growth plates are areas of cartilage at the ends of the body’s long bones. The epiphyseal plate, also known as the growth plate, is a thin layer of hyaline cartilage found in. Is A Growth Plate A Bone.
From bonniefarrell.blogspot.com
Long Bone Diagram Epiphyseal Plate 38 2d Growth Of Bone Biology Is A Growth Plate A Bone A fracture of the growth plate is an injury to the soft tissue at the end of long bones in children and teens. Growth plates are areas of cartilage at the ends of the body’s long bones. Because the growth plates are the last portion of a child’s bones to harden (ossify), they are particularly vulnerable. The growth plate is. Is A Growth Plate A Bone.
From fineartamerica.com
Bone Growth Photograph by Science Source Is A Growth Plate A Bone Because the growth plates are the last portion of a child’s bones to harden (ossify), they are particularly vulnerable. The growth plate is the cartilaginous portion of long bones where the longitudinal growth of the bone takes place. If not treated properly, they can affect bone growth. A fracture of the growth plate is an injury to the soft tissue. Is A Growth Plate A Bone.
From teachmesurgery.com
Growth Plate Fractures TeachMeSurgery Is A Growth Plate A Bone The epiphyseal plate, also known as the growth plate, is a thin layer of hyaline cartilage found in the epiphysis, or end, of a. If not treated properly, they can affect bone growth. Growth plates are areas of cartilage at the ends of the body’s long bones. The growth plate is the cartilaginous portion of long bones where the longitudinal. Is A Growth Plate A Bone.
From www.vrogue.co
Long Bone Labeled Epiphyseal Plate Structure Of Bones vrogue.co Is A Growth Plate A Bone If not treated properly, they can affect bone growth. The growth plate is the cartilaginous portion of long bones where the longitudinal growth of the bone takes place. The epiphyseal plate, also known as the growth plate, is a thin layer of hyaline cartilage found in the epiphysis, or end, of a. The growth plate is the cartilaginous portion of. Is A Growth Plate A Bone.
From www.myxxgirl.com
Growth Plate Diagram Histology Cartilage And Bone Skeletal System My Is A Growth Plate A Bone Because the growth plates are the last portion of a child’s bones to harden (ossify), they are particularly vulnerable. A fracture of the growth plate is an injury to the soft tissue at the end of long bones in children and teens. The growth plate is the cartilaginous portion of long bones where the longitudinal growth of the bone takes. Is A Growth Plate A Bone.
From www.childrenshospital.org
Growth Plate Fractures Boston Children's Hospital Is A Growth Plate A Bone Growth plates are areas of cartilage at the ends of the body’s long bones. The growth plate is the cartilaginous portion of long bones where the longitudinal growth of the bone takes place. A fracture of the growth plate is an injury to the soft tissue at the end of long bones in children and teens. The epiphyseal plate, also. Is A Growth Plate A Bone.
From www.vrogue.co
The Three Epiphyseal Regions Of A Bone Steve Gallik vrogue.co Is A Growth Plate A Bone The growth plate is the cartilaginous portion of long bones where the longitudinal growth of the bone takes place. Because the growth plates are the last portion of a child’s bones to harden (ossify), they are particularly vulnerable. The growth plate is the cartilaginous portion of long bones where the longitudinal growth of the bone takes place. The epiphyseal plate,. Is A Growth Plate A Bone.
From pixels.com
Bone Growth Plate Photograph by Microscape Pixels Is A Growth Plate A Bone The epiphyseal plate, also known as the growth plate, is a thin layer of hyaline cartilage found in the epiphysis, or end, of a. Growth plates are areas of cartilage at the ends of the body’s long bones. The growth plate is the cartilaginous portion of long bones where the longitudinal growth of the bone takes place. If not treated. Is A Growth Plate A Bone.
From pixels.com
Bone Growth Plate Photograph by Jose Calvo / Science Photo Library Pixels Is A Growth Plate A Bone The growth plate is the cartilaginous portion of long bones where the longitudinal growth of the bone takes place. The epiphyseal plate, also known as the growth plate, is a thin layer of hyaline cartilage found in the epiphysis, or end, of a. Growth plates are areas of cartilage at the ends of the body’s long bones. The growth plate. Is A Growth Plate A Bone.
From medium.com
Growth Plates Physis,Epiphysis, & Apophysis by Nabil Ebraheim Medium Is A Growth Plate A Bone The epiphyseal plate, also known as the growth plate, is a thin layer of hyaline cartilage found in the epiphysis, or end, of a. The growth plate is the cartilaginous portion of long bones where the longitudinal growth of the bone takes place. The growth plate is the cartilaginous portion of long bones where the longitudinal growth of the bone. Is A Growth Plate A Bone.
From www.caringmedical.com
Growth plate injuries Caring Medical Florida Is A Growth Plate A Bone The growth plate is the cartilaginous portion of long bones where the longitudinal growth of the bone takes place. A fracture of the growth plate is an injury to the soft tissue at the end of long bones in children and teens. The growth plate is the cartilaginous portion of long bones where the longitudinal growth of the bone takes. Is A Growth Plate A Bone.
From healthjade.net
Growth Plate Fracture Causes, Types, Symptoms,Treatment Is A Growth Plate A Bone The growth plate is the cartilaginous portion of long bones where the longitudinal growth of the bone takes place. If not treated properly, they can affect bone growth. The epiphyseal plate, also known as the growth plate, is a thin layer of hyaline cartilage found in the epiphysis, or end, of a. A fracture of the growth plate is an. Is A Growth Plate A Bone.
From fineartamerica.com
Bone Growth Plate Photograph by Jose Calvo / Science Photo Library Is A Growth Plate A Bone Growth plates are areas of cartilage at the ends of the body’s long bones. The epiphyseal plate, also known as the growth plate, is a thin layer of hyaline cartilage found in the epiphysis, or end, of a. The growth plate is the cartilaginous portion of long bones where the longitudinal growth of the bone takes place. If not treated. Is A Growth Plate A Bone.
From www.researchgate.net
Growth plates in bones and height variation. The growth plate is a Is A Growth Plate A Bone Because the growth plates are the last portion of a child’s bones to harden (ossify), they are particularly vulnerable. The growth plate is the cartilaginous portion of long bones where the longitudinal growth of the bone takes place. The growth plate is the cartilaginous portion of long bones where the longitudinal growth of the bone takes place. The epiphyseal plate,. Is A Growth Plate A Bone.
From www.wosm.com
Growth Plate Injuries in Children Washington Orthopaedics & Sports Is A Growth Plate A Bone Growth plates are areas of cartilage at the ends of the body’s long bones. The epiphyseal plate, also known as the growth plate, is a thin layer of hyaline cartilage found in the epiphysis, or end, of a. The growth plate is the cartilaginous portion of long bones where the longitudinal growth of the bone takes place. Because the growth. Is A Growth Plate A Bone.
From www.mayoclinic.org
Growth plate fractures Symptoms and causes Mayo Clinic Is A Growth Plate A Bone The growth plate is the cartilaginous portion of long bones where the longitudinal growth of the bone takes place. Because the growth plates are the last portion of a child’s bones to harden (ossify), they are particularly vulnerable. The growth plate is the cartilaginous portion of long bones where the longitudinal growth of the bone takes place. The epiphyseal plate,. Is A Growth Plate A Bone.
From wikimsk.org
Growth Plate (Physis) Fractures WikiMSK Is A Growth Plate A Bone If not treated properly, they can affect bone growth. The epiphyseal plate, also known as the growth plate, is a thin layer of hyaline cartilage found in the epiphysis, or end, of a. Growth plates are areas of cartilage at the ends of the body’s long bones. The growth plate is the cartilaginous portion of long bones where the longitudinal. Is A Growth Plate A Bone.
From askabiologist.asu.edu
Timing of Limb Growth Ask A Biologist Is A Growth Plate A Bone If not treated properly, they can affect bone growth. The growth plate is the cartilaginous portion of long bones where the longitudinal growth of the bone takes place. The epiphyseal plate, also known as the growth plate, is a thin layer of hyaline cartilage found in the epiphysis, or end, of a. Growth plates are areas of cartilage at the. Is A Growth Plate A Bone.
From mavink.com
Zones Of Bone Growth Is A Growth Plate A Bone A fracture of the growth plate is an injury to the soft tissue at the end of long bones in children and teens. The growth plate is the cartilaginous portion of long bones where the longitudinal growth of the bone takes place. The epiphyseal plate, also known as the growth plate, is a thin layer of hyaline cartilage found in. Is A Growth Plate A Bone.
From teachmephysiology.com
Bone Ossification Process Histology TeachMePhysiology Is A Growth Plate A Bone If not treated properly, they can affect bone growth. A fracture of the growth plate is an injury to the soft tissue at the end of long bones in children and teens. The growth plate is the cartilaginous portion of long bones where the longitudinal growth of the bone takes place. Because the growth plates are the last portion of. Is A Growth Plate A Bone.
From www.researchgate.net
Diagram of a growth plate. Illustration represents the different Is A Growth Plate A Bone Growth plates are areas of cartilage at the ends of the body’s long bones. The growth plate is the cartilaginous portion of long bones where the longitudinal growth of the bone takes place. Because the growth plates are the last portion of a child’s bones to harden (ossify), they are particularly vulnerable. The epiphyseal plate, also known as the growth. Is A Growth Plate A Bone.