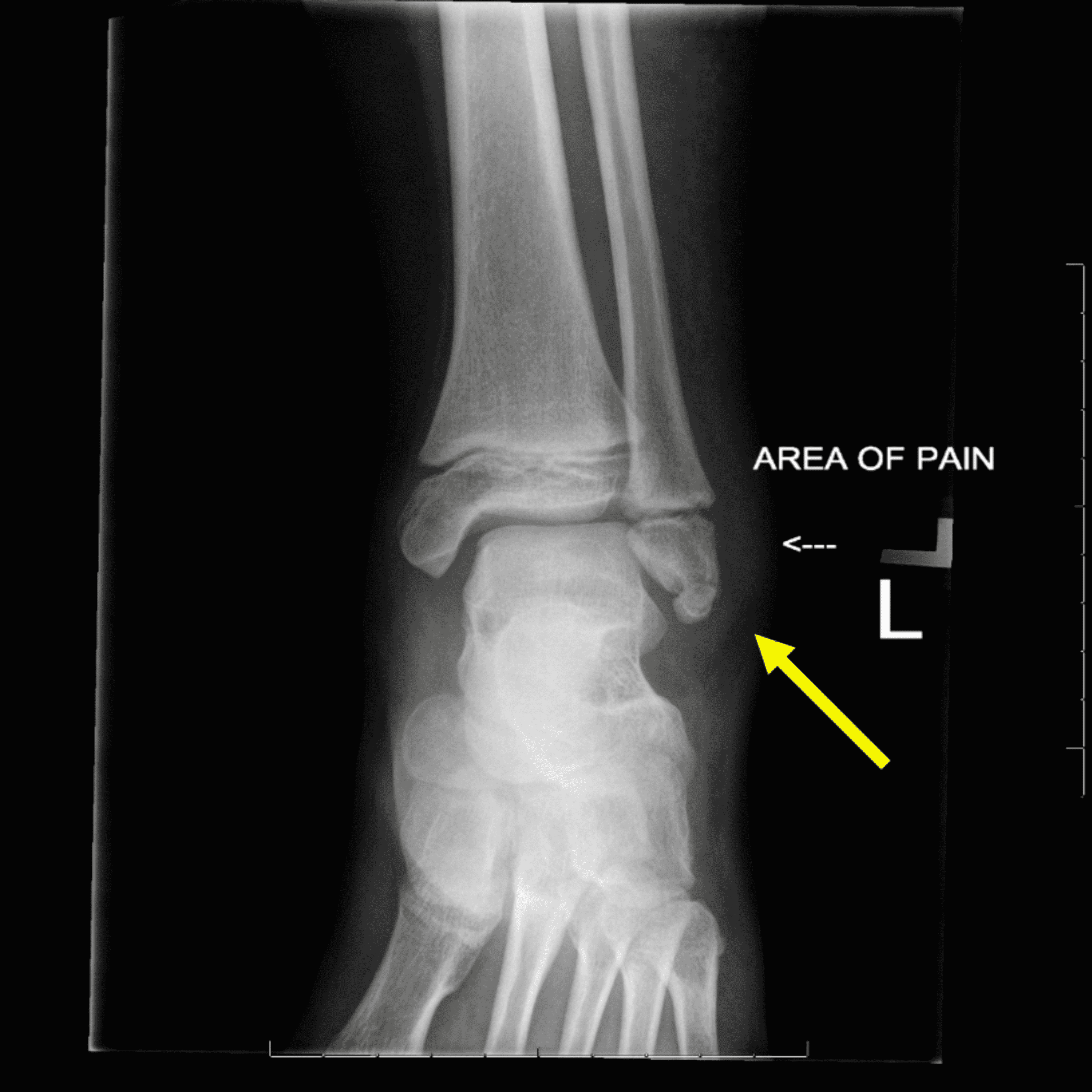
Accessory Ossicles Radiology . accessory ossicles are a common radiographic finding about the foot and ankle in children and adolescents. accessory ossicles and sesamoid bones are frequent findings in routine radiographs of the ankle and foot. They are often noted incidentally during evaluation of foot and ankle injuries, and most can be managed nonsurgically. this article describes the clinical importance of the accessory. accessory ossicles are secondary ossification centers that remain separate from the adjacent bone. accessory ossicles are usually an incidental finding on radiographs and often. our purpose is to review the imaging findings of some of the more common sesamoids and accessory. accessory ossicles are supernumerary and inconstant structures. accessory ossicles of the feet are common developmental variants with almost 40 having been described.
from faoj.org
They are often noted incidentally during evaluation of foot and ankle injuries, and most can be managed nonsurgically. accessory ossicles are usually an incidental finding on radiographs and often. accessory ossicles of the feet are common developmental variants with almost 40 having been described. this article describes the clinical importance of the accessory. accessory ossicles are supernumerary and inconstant structures. accessory ossicles and sesamoid bones are frequent findings in routine radiographs of the ankle and foot. accessory ossicles are a common radiographic finding about the foot and ankle in children and adolescents. accessory ossicles are secondary ossification centers that remain separate from the adjacent bone. our purpose is to review the imaging findings of some of the more common sesamoids and accessory.
accessory ossicle The Foot and Ankle Online Journal
Accessory Ossicles Radiology accessory ossicles are secondary ossification centers that remain separate from the adjacent bone. accessory ossicles of the feet are common developmental variants with almost 40 having been described. accessory ossicles are secondary ossification centers that remain separate from the adjacent bone. our purpose is to review the imaging findings of some of the more common sesamoids and accessory. this article describes the clinical importance of the accessory. accessory ossicles and sesamoid bones are frequent findings in routine radiographs of the ankle and foot. accessory ossicles are usually an incidental finding on radiographs and often. They are often noted incidentally during evaluation of foot and ankle injuries, and most can be managed nonsurgically. accessory ossicles are a common radiographic finding about the foot and ankle in children and adolescents. accessory ossicles are supernumerary and inconstant structures.
From www.cureus.com
Cureus Accessory Ossicles of the Foot and Ankle Disorders and a Accessory Ossicles Radiology accessory ossicles are secondary ossification centers that remain separate from the adjacent bone. accessory ossicles are a common radiographic finding about the foot and ankle in children and adolescents. this article describes the clinical importance of the accessory. accessory ossicles are supernumerary and inconstant structures. our purpose is to review the imaging findings of some. Accessory Ossicles Radiology.
From www.mdpi.com
Medicina Free FullText Accessory Ossicles in the Region of the Accessory Ossicles Radiology accessory ossicles of the feet are common developmental variants with almost 40 having been described. accessory ossicles are usually an incidental finding on radiographs and often. accessory ossicles are a common radiographic finding about the foot and ankle in children and adolescents. accessory ossicles are supernumerary and inconstant structures. our purpose is to review the. Accessory Ossicles Radiology.
From www.cureus.com
Cureus Accessory Ossicles of the Foot and Ankle Disorders and a Accessory Ossicles Radiology They are often noted incidentally during evaluation of foot and ankle injuries, and most can be managed nonsurgically. our purpose is to review the imaging findings of some of the more common sesamoids and accessory. accessory ossicles are a common radiographic finding about the foot and ankle in children and adolescents. accessory ossicles are usually an incidental. Accessory Ossicles Radiology.
From www.semanticscholar.org
Figure 4 from Rare and common ossicles of the lower extremity Imaging Accessory Ossicles Radiology this article describes the clinical importance of the accessory. accessory ossicles are secondary ossification centers that remain separate from the adjacent bone. our purpose is to review the imaging findings of some of the more common sesamoids and accessory. accessory ossicles are supernumerary and inconstant structures. accessory ossicles are usually an incidental finding on radiographs. Accessory Ossicles Radiology.
From www.cureus.com
Cureus Optimal Visualization of Os Subfibulare Using 3D Water Accessory Ossicles Radiology They are often noted incidentally during evaluation of foot and ankle injuries, and most can be managed nonsurgically. accessory ossicles and sesamoid bones are frequent findings in routine radiographs of the ankle and foot. our purpose is to review the imaging findings of some of the more common sesamoids and accessory. accessory ossicles of the feet are. Accessory Ossicles Radiology.
From radiopaedia.org
Accessory ossicles of the foot (illustration) Image Accessory Ossicles Radiology accessory ossicles of the feet are common developmental variants with almost 40 having been described. accessory ossicles are supernumerary and inconstant structures. our purpose is to review the imaging findings of some of the more common sesamoids and accessory. accessory ossicles are a common radiographic finding about the foot and ankle in children and adolescents. . Accessory Ossicles Radiology.
From radiopaedia.org
Hallux interphalangeal sesamoid bone Image Accessory Ossicles Radiology accessory ossicles of the feet are common developmental variants with almost 40 having been described. this article describes the clinical importance of the accessory. accessory ossicles are secondary ossification centers that remain separate from the adjacent bone. accessory ossicles are a common radiographic finding about the foot and ankle in children and adolescents. accessory ossicles. Accessory Ossicles Radiology.
From ar.inspiredpencil.com
Accessory Ossicles Foot Accessory Ossicles Radiology accessory ossicles of the feet are common developmental variants with almost 40 having been described. accessory ossicles are secondary ossification centers that remain separate from the adjacent bone. accessory ossicles and sesamoid bones are frequent findings in routine radiographs of the ankle and foot. accessory ossicles are supernumerary and inconstant structures. They are often noted incidentally. Accessory Ossicles Radiology.
From www.mdpi.com
Medicina Free FullText Accessory Ossicles in the Region of the Accessory Ossicles Radiology accessory ossicles are secondary ossification centers that remain separate from the adjacent bone. accessory ossicles are a common radiographic finding about the foot and ankle in children and adolescents. this article describes the clinical importance of the accessory. accessory ossicles are supernumerary and inconstant structures. accessory ossicles of the feet are common developmental variants with. Accessory Ossicles Radiology.
From www.semanticscholar.org
The wizard of os accessory ossicles from the spine and upper Accessory Ossicles Radiology accessory ossicles are a common radiographic finding about the foot and ankle in children and adolescents. accessory ossicles are supernumerary and inconstant structures. this article describes the clinical importance of the accessory. accessory ossicles of the feet are common developmental variants with almost 40 having been described. accessory ossicles are secondary ossification centers that remain. Accessory Ossicles Radiology.
From radiopaedia.org
Elbow ossification centers Image Accessory Ossicles Radiology They are often noted incidentally during evaluation of foot and ankle injuries, and most can be managed nonsurgically. accessory ossicles are usually an incidental finding on radiographs and often. this article describes the clinical importance of the accessory. accessory ossicles are a common radiographic finding about the foot and ankle in children and adolescents. accessory ossicles. Accessory Ossicles Radiology.
From faoj.org
accessory ossicle The Foot and Ankle Online Journal Accessory Ossicles Radiology accessory ossicles of the feet are common developmental variants with almost 40 having been described. this article describes the clinical importance of the accessory. accessory ossicles are supernumerary and inconstant structures. accessory ossicles are secondary ossification centers that remain separate from the adjacent bone. accessory ossicles are usually an incidental finding on radiographs and often.. Accessory Ossicles Radiology.
From telegra.ph
Accessory ossicles of the wrist Telegraph Accessory Ossicles Radiology accessory ossicles of the feet are common developmental variants with almost 40 having been described. They are often noted incidentally during evaluation of foot and ankle injuries, and most can be managed nonsurgically. accessory ossicles are usually an incidental finding on radiographs and often. this article describes the clinical importance of the accessory. our purpose is. Accessory Ossicles Radiology.
From epos.myesr.org
EPOS™ Accessory Ossicles Radiology accessory ossicles are secondary ossification centers that remain separate from the adjacent bone. They are often noted incidentally during evaluation of foot and ankle injuries, and most can be managed nonsurgically. this article describes the clinical importance of the accessory. accessory ossicles of the feet are common developmental variants with almost 40 having been described. our. Accessory Ossicles Radiology.
From www.pinterest.com
Accessory ossicle of the anterior arch of the atlas Radiology Case Accessory Ossicles Radiology They are often noted incidentally during evaluation of foot and ankle injuries, and most can be managed nonsurgically. accessory ossicles are secondary ossification centers that remain separate from the adjacent bone. accessory ossicles and sesamoid bones are frequent findings in routine radiographs of the ankle and foot. accessory ossicles of the feet are common developmental variants with. Accessory Ossicles Radiology.
From fyodynfbf.blob.core.windows.net
Wrist Accessory Ossicles Radiology at Manuel Steen blog Accessory Ossicles Radiology accessory ossicles are supernumerary and inconstant structures. They are often noted incidentally during evaluation of foot and ankle injuries, and most can be managed nonsurgically. accessory ossicles are usually an incidental finding on radiographs and often. accessory ossicles and sesamoid bones are frequent findings in routine radiographs of the ankle and foot. accessory ossicles are a. Accessory Ossicles Radiology.
From www.scielo.br
SciELO Brasil Small but troublesome accessory ossicles with Accessory Ossicles Radiology accessory ossicles are a common radiographic finding about the foot and ankle in children and adolescents. accessory ossicles of the feet are common developmental variants with almost 40 having been described. accessory ossicles are secondary ossification centers that remain separate from the adjacent bone. They are often noted incidentally during evaluation of foot and ankle injuries, and. Accessory Ossicles Radiology.
From www.semanticscholar.org
Figure 1 from The Accessory Ossicles of the Foot and Ankle ; a Accessory Ossicles Radiology our purpose is to review the imaging findings of some of the more common sesamoids and accessory. this article describes the clinical importance of the accessory. accessory ossicles are usually an incidental finding on radiographs and often. accessory ossicles of the feet are common developmental variants with almost 40 having been described. accessory ossicles are. Accessory Ossicles Radiology.
From hospinov.com
Knowing Your Accessory Foot Ossicles and Avoiding… HospinovThe Accessory Ossicles Radiology accessory ossicles are a common radiographic finding about the foot and ankle in children and adolescents. accessory ossicles of the feet are common developmental variants with almost 40 having been described. accessory ossicles are usually an incidental finding on radiographs and often. They are often noted incidentally during evaluation of foot and ankle injuries, and most can. Accessory Ossicles Radiology.
From www.cureus.com
Cureus Accessory Ossicles of the Foot and Ankle Disorders and a Accessory Ossicles Radiology accessory ossicles are usually an incidental finding on radiographs and often. accessory ossicles and sesamoid bones are frequent findings in routine radiographs of the ankle and foot. accessory ossicles are secondary ossification centers that remain separate from the adjacent bone. accessory ossicles are a common radiographic finding about the foot and ankle in children and adolescents.. Accessory Ossicles Radiology.
From www.cureus.com
Cureus Optimal Visualization of Os Subfibulare Using 3D Water Accessory Ossicles Radiology accessory ossicles are a common radiographic finding about the foot and ankle in children and adolescents. accessory ossicles are usually an incidental finding on radiographs and often. accessory ossicles are supernumerary and inconstant structures. our purpose is to review the imaging findings of some of the more common sesamoids and accessory. They are often noted incidentally. Accessory Ossicles Radiology.
From faculty.washington.edu
Common Accessory Ossicles of the Foot UW Emergency Radiology Accessory Ossicles Radiology accessory ossicles are supernumerary and inconstant structures. accessory ossicles are usually an incidental finding on radiographs and often. accessory ossicles are a common radiographic finding about the foot and ankle in children and adolescents. this article describes the clinical importance of the accessory. accessory ossicles are secondary ossification centers that remain separate from the adjacent. Accessory Ossicles Radiology.
From www.semanticscholar.org
Figure 14 from The Accessory Ossicles of the Foot and Ankle; a Accessory Ossicles Radiology accessory ossicles are secondary ossification centers that remain separate from the adjacent bone. accessory ossicles of the feet are common developmental variants with almost 40 having been described. They are often noted incidentally during evaluation of foot and ankle injuries, and most can be managed nonsurgically. our purpose is to review the imaging findings of some of. Accessory Ossicles Radiology.
From www.ajronline.org
Os Conundrum Identifying Symptomatic Sesamoids and Accessory Ossicles Accessory Ossicles Radiology accessory ossicles and sesamoid bones are frequent findings in routine radiographs of the ankle and foot. our purpose is to review the imaging findings of some of the more common sesamoids and accessory. accessory ossicles are a common radiographic finding about the foot and ankle in children and adolescents. accessory ossicles are supernumerary and inconstant structures.. Accessory Ossicles Radiology.
From www.cureus.com
Cureus Accessory Ossicles of the Foot and Ankle Disorders and a Accessory Ossicles Radiology accessory ossicles of the feet are common developmental variants with almost 40 having been described. accessory ossicles are secondary ossification centers that remain separate from the adjacent bone. our purpose is to review the imaging findings of some of the more common sesamoids and accessory. accessory ossicles are usually an incidental finding on radiographs and often.. Accessory Ossicles Radiology.
From www.semanticscholar.org
Figure 1 from The Accessory Ossicles of the Foot and Ankle; a Accessory Ossicles Radiology accessory ossicles are secondary ossification centers that remain separate from the adjacent bone. this article describes the clinical importance of the accessory. accessory ossicles are a common radiographic finding about the foot and ankle in children and adolescents. accessory ossicles of the feet are common developmental variants with almost 40 having been described. accessory ossicles. Accessory Ossicles Radiology.
From www.semanticscholar.org
The wizard of os accessory ossicles from the spine and upper Accessory Ossicles Radiology accessory ossicles are supernumerary and inconstant structures. this article describes the clinical importance of the accessory. accessory ossicles of the feet are common developmental variants with almost 40 having been described. our purpose is to review the imaging findings of some of the more common sesamoids and accessory. They are often noted incidentally during evaluation of. Accessory Ossicles Radiology.
From www.semanticscholar.org
Figure 9 from The Accessory Ossicles of the Foot and Ankle; a Accessory Ossicles Radiology accessory ossicles are secondary ossification centers that remain separate from the adjacent bone. accessory ossicles are usually an incidental finding on radiographs and often. accessory ossicles are supernumerary and inconstant structures. our purpose is to review the imaging findings of some of the more common sesamoids and accessory. accessory ossicles and sesamoid bones are frequent. Accessory Ossicles Radiology.
From epos.myesr.org
EPOS™ P0120 Accessory Ossicles Radiology accessory ossicles are a common radiographic finding about the foot and ankle in children and adolescents. this article describes the clinical importance of the accessory. accessory ossicles are supernumerary and inconstant structures. They are often noted incidentally during evaluation of foot and ankle injuries, and most can be managed nonsurgically. accessory ossicles of the feet are. Accessory Ossicles Radiology.
From www.ajronline.org
Os Conundrum Identifying Symptomatic Sesamoids and Accessory Ossicles Accessory Ossicles Radiology accessory ossicles are usually an incidental finding on radiographs and often. accessory ossicles and sesamoid bones are frequent findings in routine radiographs of the ankle and foot. this article describes the clinical importance of the accessory. accessory ossicles are supernumerary and inconstant structures. accessory ossicles of the feet are common developmental variants with almost 40. Accessory Ossicles Radiology.
From www.cureus.com
Cureus Accessory Ossicles of the Foot and Ankle Disorders and a Accessory Ossicles Radiology They are often noted incidentally during evaluation of foot and ankle injuries, and most can be managed nonsurgically. this article describes the clinical importance of the accessory. accessory ossicles are supernumerary and inconstant structures. accessory ossicles of the feet are common developmental variants with almost 40 having been described. our purpose is to review the imaging. Accessory Ossicles Radiology.
From www.pinterest.com
Ossicles of the hand Radiology Case See the full series of Accessory Ossicles Radiology accessory ossicles are a common radiographic finding about the foot and ankle in children and adolescents. accessory ossicles are usually an incidental finding on radiographs and often. accessory ossicles are secondary ossification centers that remain separate from the adjacent bone. our purpose is to review the imaging findings of some of the more common sesamoids and. Accessory Ossicles Radiology.
From ar.inspiredpencil.com
Accessory Ossicles Foot Accessory Ossicles Radiology accessory ossicles of the feet are common developmental variants with almost 40 having been described. accessory ossicles and sesamoid bones are frequent findings in routine radiographs of the ankle and foot. our purpose is to review the imaging findings of some of the more common sesamoids and accessory. accessory ossicles are usually an incidental finding on. Accessory Ossicles Radiology.
From ar.inspiredpencil.com
Accessory Ossicles Foot Accessory Ossicles Radiology accessory ossicles and sesamoid bones are frequent findings in routine radiographs of the ankle and foot. accessory ossicles are a common radiographic finding about the foot and ankle in children and adolescents. this article describes the clinical importance of the accessory. They are often noted incidentally during evaluation of foot and ankle injuries, and most can be. Accessory Ossicles Radiology.
From radiopaedia.org
Image Accessory Ossicles Radiology this article describes the clinical importance of the accessory. accessory ossicles are usually an incidental finding on radiographs and often. accessory ossicles of the feet are common developmental variants with almost 40 having been described. accessory ossicles are secondary ossification centers that remain separate from the adjacent bone. our purpose is to review the imaging. Accessory Ossicles Radiology.