Is Grey Matter Meaning . It’s found in both the brain and spinal cord and is composed of the neuronal cell. — grey matter is a key component of the brain’s neural tissue. The grey matter and the white matter. — the central nervous system is made up of two types of tissue: — grey matter (or gray matter) makes up the outermost layer of the brain and is pinkish grey in tone, hence the name grey matter. Grey matter in the brain consists of neuron cell bodies, dendrites, and synapses. — gray matter, also spelled grey matter (british spelling) and also called substantia grisea, is the part of the brain that is controlled by the true dendrites (the short branching fibers that carry messages and impulses to the cell body) and nerve cell bodies (which bring information to the neurons). — what is gray matter? The darker tissue containing nerve fibres (= structures like threads) found in the brain and…. Gray matter consists of densely packed neurons (nerve cells). It’s called “gray” because the concentrations of neurons give it a grayish, pinkish color when stained.
from multiple-sclerosis-research.blogspot.com
The darker tissue containing nerve fibres (= structures like threads) found in the brain and…. It’s called “gray” because the concentrations of neurons give it a grayish, pinkish color when stained. The grey matter and the white matter. — the central nervous system is made up of two types of tissue: — grey matter is a key component of the brain’s neural tissue. Grey matter in the brain consists of neuron cell bodies, dendrites, and synapses. — gray matter, also spelled grey matter (british spelling) and also called substantia grisea, is the part of the brain that is controlled by the true dendrites (the short branching fibers that carry messages and impulses to the cell body) and nerve cell bodies (which bring information to the neurons). It’s found in both the brain and spinal cord and is composed of the neuronal cell. — what is gray matter? Gray matter consists of densely packed neurons (nerve cells).
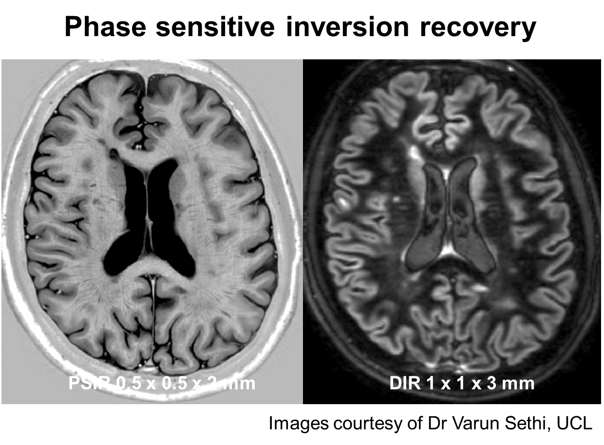
Multiple Sclerosis Research Guest post gray matter lesions in MS
Is Grey Matter Meaning — grey matter (or gray matter) makes up the outermost layer of the brain and is pinkish grey in tone, hence the name grey matter. — the central nervous system is made up of two types of tissue: Gray matter consists of densely packed neurons (nerve cells). — grey matter (or gray matter) makes up the outermost layer of the brain and is pinkish grey in tone, hence the name grey matter. — what is gray matter? It’s called “gray” because the concentrations of neurons give it a grayish, pinkish color when stained. It’s found in both the brain and spinal cord and is composed of the neuronal cell. — grey matter is a key component of the brain’s neural tissue. The darker tissue containing nerve fibres (= structures like threads) found in the brain and…. — gray matter, also spelled grey matter (british spelling) and also called substantia grisea, is the part of the brain that is controlled by the true dendrites (the short branching fibers that carry messages and impulses to the cell body) and nerve cell bodies (which bring information to the neurons). The grey matter and the white matter. Grey matter in the brain consists of neuron cell bodies, dendrites, and synapses.
From www.worldatlas.com
What Are Grey Matter And White Matter? WorldAtlas Is Grey Matter Meaning Gray matter consists of densely packed neurons (nerve cells). It’s found in both the brain and spinal cord and is composed of the neuronal cell. Grey matter in the brain consists of neuron cell bodies, dendrites, and synapses. The grey matter and the white matter. — grey matter (or gray matter) makes up the outermost layer of the brain. Is Grey Matter Meaning.
From sciencebeta.com
Grey Matter Definition Sciencebeta Is Grey Matter Meaning — the central nervous system is made up of two types of tissue: Gray matter consists of densely packed neurons (nerve cells). The grey matter and the white matter. It’s found in both the brain and spinal cord and is composed of the neuronal cell. — grey matter (or gray matter) makes up the outermost layer of the. Is Grey Matter Meaning.
From journal.frontiersin.org
Frontiers Altered Gray Matter Volume and White Matter Integrity in Is Grey Matter Meaning It’s called “gray” because the concentrations of neurons give it a grayish, pinkish color when stained. — grey matter is a key component of the brain’s neural tissue. — the central nervous system is made up of two types of tissue: — grey matter (or gray matter) makes up the outermost layer of the brain and is. Is Grey Matter Meaning.
From ellieharmony.blogspot.com
Chapter 7 6 Nervous System EllieHarmony Is Grey Matter Meaning — grey matter (or gray matter) makes up the outermost layer of the brain and is pinkish grey in tone, hence the name grey matter. The darker tissue containing nerve fibres (= structures like threads) found in the brain and…. It’s found in both the brain and spinal cord and is composed of the neuronal cell. Grey matter in. Is Grey Matter Meaning.
From blog.eyewire.org
Gray Matter vs White Matter Is Grey Matter Meaning Grey matter in the brain consists of neuron cell bodies, dendrites, and synapses. The darker tissue containing nerve fibres (= structures like threads) found in the brain and…. It’s found in both the brain and spinal cord and is composed of the neuronal cell. — gray matter, also spelled grey matter (british spelling) and also called substantia grisea, is. Is Grey Matter Meaning.
From www.themindvoyager.com
Understanding Gray Matter and White Matter The Mind Voyager Is Grey Matter Meaning — grey matter is a key component of the brain’s neural tissue. It’s called “gray” because the concentrations of neurons give it a grayish, pinkish color when stained. Grey matter in the brain consists of neuron cell bodies, dendrites, and synapses. — what is gray matter? The darker tissue containing nerve fibres (= structures like threads) found in. Is Grey Matter Meaning.
From www.youtube.com
Anatomy of Grey Matter and White Matter Protection of Human Nervous Is Grey Matter Meaning It’s found in both the brain and spinal cord and is composed of the neuronal cell. The darker tissue containing nerve fibres (= structures like threads) found in the brain and…. — gray matter, also spelled grey matter (british spelling) and also called substantia grisea, is the part of the brain that is controlled by the true dendrites (the. Is Grey Matter Meaning.
From medicineiowa.org
White matter vs. gray matter Is Grey Matter Meaning Gray matter consists of densely packed neurons (nerve cells). — the central nervous system is made up of two types of tissue: — grey matter is a key component of the brain’s neural tissue. — gray matter, also spelled grey matter (british spelling) and also called substantia grisea, is the part of the brain that is controlled. Is Grey Matter Meaning.
From ballsfasr397.weebly.com
Gray Matter Definition ballsfasr Is Grey Matter Meaning Gray matter consists of densely packed neurons (nerve cells). The darker tissue containing nerve fibres (= structures like threads) found in the brain and…. — the central nervous system is made up of two types of tissue: — gray matter, also spelled grey matter (british spelling) and also called substantia grisea, is the part of the brain that. Is Grey Matter Meaning.
From pediaa.com
Difference Between White Matter and Grey Matter Definition Is Grey Matter Meaning — the central nervous system is made up of two types of tissue: — grey matter is a key component of the brain’s neural tissue. — grey matter (or gray matter) makes up the outermost layer of the brain and is pinkish grey in tone, hence the name grey matter. Grey matter in the brain consists of. Is Grey Matter Meaning.
From yourbrain.health
Gray Matter How we process information Health, Brain and Neuroscience Is Grey Matter Meaning Gray matter consists of densely packed neurons (nerve cells). The grey matter and the white matter. — what is gray matter? — the central nervous system is made up of two types of tissue: — grey matter is a key component of the brain’s neural tissue. It’s found in both the brain and spinal cord and is. Is Grey Matter Meaning.
From study.com
Gray vs. White Matter Location, Differences & Function Lesson Is Grey Matter Meaning — the central nervous system is made up of two types of tissue: — grey matter is a key component of the brain’s neural tissue. The grey matter and the white matter. Grey matter in the brain consists of neuron cell bodies, dendrites, and synapses. It’s called “gray” because the concentrations of neurons give it a grayish, pinkish. Is Grey Matter Meaning.
From braininjuryhelp.com
Gray Matter and White Matter in the Brain Is Grey Matter Meaning — gray matter, also spelled grey matter (british spelling) and also called substantia grisea, is the part of the brain that is controlled by the true dendrites (the short branching fibers that carry messages and impulses to the cell body) and nerve cell bodies (which bring information to the neurons). Gray matter consists of densely packed neurons (nerve cells).. Is Grey Matter Meaning.
From www.teepublic.com
Gray Matter Matters Gray Matter Matters Sticker TeePublic Is Grey Matter Meaning It’s found in both the brain and spinal cord and is composed of the neuronal cell. Grey matter in the brain consists of neuron cell bodies, dendrites, and synapses. — the central nervous system is made up of two types of tissue: It’s called “gray” because the concentrations of neurons give it a grayish, pinkish color when stained. . Is Grey Matter Meaning.
From www.technologynetworks.com
Gray Matter vs White Matter Technology Networks Is Grey Matter Meaning The grey matter and the white matter. — gray matter, also spelled grey matter (british spelling) and also called substantia grisea, is the part of the brain that is controlled by the true dendrites (the short branching fibers that carry messages and impulses to the cell body) and nerve cell bodies (which bring information to the neurons). —. Is Grey Matter Meaning.
From culturebay.co
Gray Matter trailer, cast, where to watch, release date Culture Bay Is Grey Matter Meaning Grey matter in the brain consists of neuron cell bodies, dendrites, and synapses. Gray matter consists of densely packed neurons (nerve cells). It’s found in both the brain and spinal cord and is composed of the neuronal cell. It’s called “gray” because the concentrations of neurons give it a grayish, pinkish color when stained. — grey matter is a. Is Grey Matter Meaning.
From www.deviantart.com
Ultimate Grey Matter Character Sheet by Jurroth on DeviantArt Is Grey Matter Meaning The darker tissue containing nerve fibres (= structures like threads) found in the brain and…. — what is gray matter? The grey matter and the white matter. Gray matter consists of densely packed neurons (nerve cells). — gray matter, also spelled grey matter (british spelling) and also called substantia grisea, is the part of the brain that is. Is Grey Matter Meaning.
From dictionary.langeek.co
Definition & Meaning of "Grey matter" Picture Dictionary Is Grey Matter Meaning — grey matter is a key component of the brain’s neural tissue. — grey matter (or gray matter) makes up the outermost layer of the brain and is pinkish grey in tone, hence the name grey matter. — what is gray matter? It’s called “gray” because the concentrations of neurons give it a grayish, pinkish color when. Is Grey Matter Meaning.
From www.pinterest.com
Pin on TBI Life Coach Is Grey Matter Meaning Grey matter in the brain consists of neuron cell bodies, dendrites, and synapses. It’s found in both the brain and spinal cord and is composed of the neuronal cell. The grey matter and the white matter. Gray matter consists of densely packed neurons (nerve cells). — what is gray matter? — the central nervous system is made up. Is Grey Matter Meaning.
From askanydifference.com
Gray Matter vs White Matter Difference and Comparison Is Grey Matter Meaning — gray matter, also spelled grey matter (british spelling) and also called substantia grisea, is the part of the brain that is controlled by the true dendrites (the short branching fibers that carry messages and impulses to the cell body) and nerve cell bodies (which bring information to the neurons). Gray matter consists of densely packed neurons (nerve cells).. Is Grey Matter Meaning.
From greymatterlearning1.zohodesk.eu
Grey Matter Learning Sign In Is Grey Matter Meaning It’s called “gray” because the concentrations of neurons give it a grayish, pinkish color when stained. — grey matter (or gray matter) makes up the outermost layer of the brain and is pinkish grey in tone, hence the name grey matter. — grey matter is a key component of the brain’s neural tissue. The grey matter and the. Is Grey Matter Meaning.
From www.graydigitalgroup.com
What is "Gray Matter"? Gray Digital Group Is Grey Matter Meaning — the central nervous system is made up of two types of tissue: — gray matter, also spelled grey matter (british spelling) and also called substantia grisea, is the part of the brain that is controlled by the true dendrites (the short branching fibers that carry messages and impulses to the cell body) and nerve cell bodies (which. Is Grey Matter Meaning.
From slideplayer.com
Neuronal Signals. ppt download Is Grey Matter Meaning It’s found in both the brain and spinal cord and is composed of the neuronal cell. — what is gray matter? The grey matter and the white matter. Grey matter in the brain consists of neuron cell bodies, dendrites, and synapses. It’s called “gray” because the concentrations of neurons give it a grayish, pinkish color when stained. Gray matter. Is Grey Matter Meaning.
From www.youtube.com
MRI of Brain White Matter Anatomy YouTube Is Grey Matter Meaning The darker tissue containing nerve fibres (= structures like threads) found in the brain and…. The grey matter and the white matter. — gray matter, also spelled grey matter (british spelling) and also called substantia grisea, is the part of the brain that is controlled by the true dendrites (the short branching fibers that carry messages and impulses to. Is Grey Matter Meaning.
From pediaa.com
Difference Between White Matter and Grey Matter Definition Is Grey Matter Meaning It’s called “gray” because the concentrations of neurons give it a grayish, pinkish color when stained. — what is gray matter? The darker tissue containing nerve fibres (= structures like threads) found in the brain and…. The grey matter and the white matter. Grey matter in the brain consists of neuron cell bodies, dendrites, and synapses. — grey. Is Grey Matter Meaning.
From slidesharenow.blogspot.com
Difference Between White And Gray Matter slideshare Is Grey Matter Meaning — gray matter, also spelled grey matter (british spelling) and also called substantia grisea, is the part of the brain that is controlled by the true dendrites (the short branching fibers that carry messages and impulses to the cell body) and nerve cell bodies (which bring information to the neurons). — the central nervous system is made up. Is Grey Matter Meaning.
From thegreateststructureontheplanet.wordpress.com
Facts About Gray Matter The Greatest Structure on the Is Grey Matter Meaning — what is gray matter? Grey matter in the brain consists of neuron cell bodies, dendrites, and synapses. The darker tissue containing nerve fibres (= structures like threads) found in the brain and…. — grey matter (or gray matter) makes up the outermost layer of the brain and is pinkish grey in tone, hence the name grey matter.. Is Grey Matter Meaning.
From neuroscientificallychallenged.com
Intermediate grey matter definition Is Grey Matter Meaning — what is gray matter? It’s found in both the brain and spinal cord and is composed of the neuronal cell. — grey matter is a key component of the brain’s neural tissue. Gray matter consists of densely packed neurons (nerve cells). — the central nervous system is made up of two types of tissue: Grey matter. Is Grey Matter Meaning.
From www.youtube.com
Gray matter — definition of GRAY MATTER YouTube Is Grey Matter Meaning Gray matter consists of densely packed neurons (nerve cells). The darker tissue containing nerve fibres (= structures like threads) found in the brain and…. — gray matter, also spelled grey matter (british spelling) and also called substantia grisea, is the part of the brain that is controlled by the true dendrites (the short branching fibers that carry messages and. Is Grey Matter Meaning.
From www.jneurosci.org
Age Differentiation within Gray Matter, White Matter, and between Is Grey Matter Meaning — grey matter (or gray matter) makes up the outermost layer of the brain and is pinkish grey in tone, hence the name grey matter. Gray matter consists of densely packed neurons (nerve cells). — gray matter, also spelled grey matter (british spelling) and also called substantia grisea, is the part of the brain that is controlled by. Is Grey Matter Meaning.
From www.verywellhealth.com
How Gray Matter Is Affected by Dementia Is Grey Matter Meaning — the central nervous system is made up of two types of tissue: — grey matter is a key component of the brain’s neural tissue. — grey matter (or gray matter) makes up the outermost layer of the brain and is pinkish grey in tone, hence the name grey matter. It’s called “gray” because the concentrations of. Is Grey Matter Meaning.
From www.youtube.com
Grey matter Meaning YouTube Is Grey Matter Meaning — what is gray matter? — gray matter, also spelled grey matter (british spelling) and also called substantia grisea, is the part of the brain that is controlled by the true dendrites (the short branching fibers that carry messages and impulses to the cell body) and nerve cell bodies (which bring information to the neurons). The darker tissue. Is Grey Matter Meaning.
From www.worldatlas.com
What Are Grey Matter And White Matter? WorldAtlas Is Grey Matter Meaning It’s called “gray” because the concentrations of neurons give it a grayish, pinkish color when stained. The grey matter and the white matter. — gray matter, also spelled grey matter (british spelling) and also called substantia grisea, is the part of the brain that is controlled by the true dendrites (the short branching fibers that carry messages and impulses. Is Grey Matter Meaning.
From adamfaliq.com
Grijze stof vs witte stof in de hersenen Adam Faliq Is Grey Matter Meaning Grey matter in the brain consists of neuron cell bodies, dendrites, and synapses. — the central nervous system is made up of two types of tissue: — what is gray matter? The grey matter and the white matter. It’s found in both the brain and spinal cord and is composed of the neuronal cell. — gray matter,. Is Grey Matter Meaning.
From multiple-sclerosis-research.blogspot.com
Multiple Sclerosis Research Guest post gray matter lesions in MS Is Grey Matter Meaning Gray matter consists of densely packed neurons (nerve cells). The grey matter and the white matter. — what is gray matter? Grey matter in the brain consists of neuron cell bodies, dendrites, and synapses. — gray matter, also spelled grey matter (british spelling) and also called substantia grisea, is the part of the brain that is controlled by. Is Grey Matter Meaning.