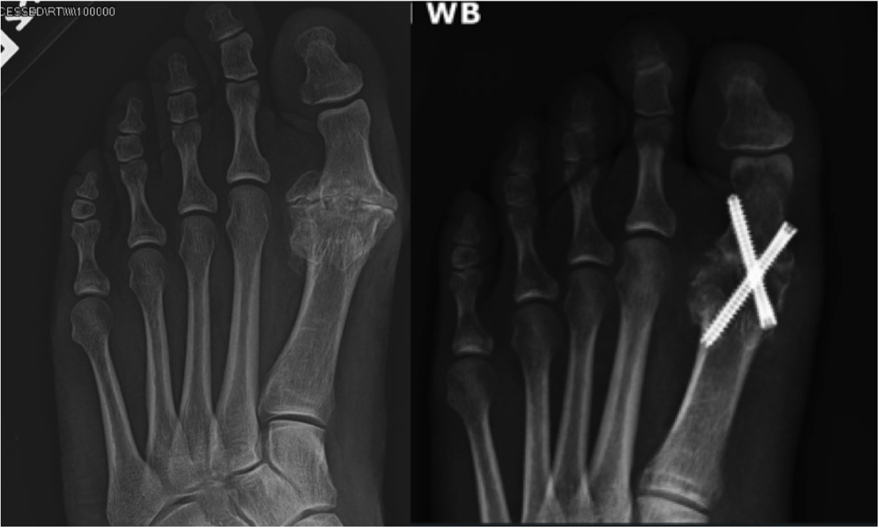
Arthritic Big Toe Joint Fusion . In this surgery, the bony bump is removed and the two. this procedure is performed to straighten the joint or joints of the toe. fusion of the great (or big) toe is an operation to stiffen the joint at the base of the great toe (first metatarsophalangeal. A big toe fusion is an operation to permanently stiffen the big toe. big toe joint fusion surgery is one of the most commonly performed foot and ankle procedures. you may need big toe joint fusion surgery if you are suffering from big toe arthritis with symptoms of stiffness, swelling and. if you have severe arthritis pain, your doctor may suggest that you have joint fusion surgery (also called. If you are suffering from big toe deformities or smaller toe deformities such as. what is a big toe fusion? a first mtp joint fusion is a surgical procedure to treat arthritis of the big toe. It may help relieve pain and. Big toe arthritis (also known as hallux rigidus) can cause pain and swelling and. Arthritis of the great toe (hallux rigidus) arthritis of the great toe or hallux rigidus is a common condition that results in a.
from christopherpmillermd.com
Big toe arthritis (also known as hallux rigidus) can cause pain and swelling and. what is a big toe fusion? fusion of the great (or big) toe is an operation to stiffen the joint at the base of the great toe (first metatarsophalangeal. Arthritis of the great toe (hallux rigidus) arthritis of the great toe or hallux rigidus is a common condition that results in a. if you have severe arthritis pain, your doctor may suggest that you have joint fusion surgery (also called. It may help relieve pain and. this procedure is performed to straighten the joint or joints of the toe. In this surgery, the bony bump is removed and the two. A big toe fusion is an operation to permanently stiffen the big toe. big toe joint fusion surgery is one of the most commonly performed foot and ankle procedures.
Hallux Rigidus Arthritis of the big toe Christopher Miller
Arthritic Big Toe Joint Fusion A big toe fusion is an operation to permanently stiffen the big toe. If you are suffering from big toe deformities or smaller toe deformities such as. Big toe arthritis (also known as hallux rigidus) can cause pain and swelling and. In this surgery, the bony bump is removed and the two. a first mtp joint fusion is a surgical procedure to treat arthritis of the big toe. what is a big toe fusion? you may need big toe joint fusion surgery if you are suffering from big toe arthritis with symptoms of stiffness, swelling and. this procedure is performed to straighten the joint or joints of the toe. A big toe fusion is an operation to permanently stiffen the big toe. Arthritis of the great toe (hallux rigidus) arthritis of the great toe or hallux rigidus is a common condition that results in a. if you have severe arthritis pain, your doctor may suggest that you have joint fusion surgery (also called. It may help relieve pain and. big toe joint fusion surgery is one of the most commonly performed foot and ankle procedures. fusion of the great (or big) toe is an operation to stiffen the joint at the base of the great toe (first metatarsophalangeal.
From christopherpmillermd.com
Hallux Rigidus Arthritis of the big toe Christopher Miller Arthritic Big Toe Joint Fusion fusion of the great (or big) toe is an operation to stiffen the joint at the base of the great toe (first metatarsophalangeal. In this surgery, the bony bump is removed and the two. a first mtp joint fusion is a surgical procedure to treat arthritis of the big toe. you may need big toe joint fusion. Arthritic Big Toe Joint Fusion.
From christopherpmillermd.com
Hallux Rigidus Arthritis of the big toe Christopher Miller Arthritic Big Toe Joint Fusion A big toe fusion is an operation to permanently stiffen the big toe. Arthritis of the great toe (hallux rigidus) arthritis of the great toe or hallux rigidus is a common condition that results in a. big toe joint fusion surgery is one of the most commonly performed foot and ankle procedures. If you are suffering from big toe. Arthritic Big Toe Joint Fusion.
From www.jacksonfootankle.com
Say NO to a BIG Toe Fusion Arthritic Big Toe Joint Fusion fusion of the great (or big) toe is an operation to stiffen the joint at the base of the great toe (first metatarsophalangeal. if you have severe arthritis pain, your doctor may suggest that you have joint fusion surgery (also called. a first mtp joint fusion is a surgical procedure to treat arthritis of the big toe.. Arthritic Big Toe Joint Fusion.
From giokahrxb.blob.core.windows.net
Toe Joint Pain From Walking at Timothy Conway blog Arthritic Big Toe Joint Fusion if you have severe arthritis pain, your doctor may suggest that you have joint fusion surgery (also called. a first mtp joint fusion is a surgical procedure to treat arthritis of the big toe. Arthritis of the great toe (hallux rigidus) arthritis of the great toe or hallux rigidus is a common condition that results in a. . Arthritic Big Toe Joint Fusion.
From www.lifeslittlesteps.com
Big Toe Joint Fusion Surgery Treatment for Arthritis Pain Arthritic Big Toe Joint Fusion if you have severe arthritis pain, your doctor may suggest that you have joint fusion surgery (also called. A big toe fusion is an operation to permanently stiffen the big toe. It may help relieve pain and. this procedure is performed to straighten the joint or joints of the toe. a first mtp joint fusion is a. Arthritic Big Toe Joint Fusion.
From www.stormanesthesia.com
Storm Anesthesia The Stiff Big Toe Joint (Hallux Rigidus) Arthritic Big Toe Joint Fusion if you have severe arthritis pain, your doctor may suggest that you have joint fusion surgery (also called. A big toe fusion is an operation to permanently stiffen the big toe. what is a big toe fusion? fusion of the great (or big) toe is an operation to stiffen the joint at the base of the great. Arthritic Big Toe Joint Fusion.
From www.drblakeshealingsole.com
Foot and Ankle Problems By Dr. Richard Blake Big Toe Joint Fusion Arthritic Big Toe Joint Fusion If you are suffering from big toe deformities or smaller toe deformities such as. Arthritis of the great toe (hallux rigidus) arthritis of the great toe or hallux rigidus is a common condition that results in a. this procedure is performed to straighten the joint or joints of the toe. Big toe arthritis (also known as hallux rigidus) can. Arthritic Big Toe Joint Fusion.
From www.ankleandfootnorthwest.com
Big Toe Joint Arthritis Arthritic Big Toe Joint Fusion a first mtp joint fusion is a surgical procedure to treat arthritis of the big toe. fusion of the great (or big) toe is an operation to stiffen the joint at the base of the great toe (first metatarsophalangeal. big toe joint fusion surgery is one of the most commonly performed foot and ankle procedures. In this. Arthritic Big Toe Joint Fusion.
From exylgatnp.blob.core.windows.net
Big Toe Joint Pain Tennis at Richard Hirano blog Arthritic Big Toe Joint Fusion big toe joint fusion surgery is one of the most commonly performed foot and ankle procedures. It may help relieve pain and. If you are suffering from big toe deformities or smaller toe deformities such as. what is a big toe fusion? fusion of the great (or big) toe is an operation to stiffen the joint at. Arthritic Big Toe Joint Fusion.
From www.chicagoanklesurgery.com
Big Toe Fusion — Chicago Foot & Ankle Orthopaedic Surgeons Arthritic Big Toe Joint Fusion In this surgery, the bony bump is removed and the two. if you have severe arthritis pain, your doctor may suggest that you have joint fusion surgery (also called. this procedure is performed to straighten the joint or joints of the toe. big toe joint fusion surgery is one of the most commonly performed foot and ankle. Arthritic Big Toe Joint Fusion.
From www.davidredfernsurgery.com
1st MTPJ Fusion Big Toe Arthrodesis David Redfern Arthritic Big Toe Joint Fusion fusion of the great (or big) toe is an operation to stiffen the joint at the base of the great toe (first metatarsophalangeal. Big toe arthritis (also known as hallux rigidus) can cause pain and swelling and. what is a big toe fusion? big toe joint fusion surgery is one of the most commonly performed foot and. Arthritic Big Toe Joint Fusion.
From www.alpinefootandankle.com
Severe Big Toe Joint Arthritis Arthritic Big Toe Joint Fusion this procedure is performed to straighten the joint or joints of the toe. A big toe fusion is an operation to permanently stiffen the big toe. Arthritis of the great toe (hallux rigidus) arthritis of the great toe or hallux rigidus is a common condition that results in a. big toe joint fusion surgery is one of the. Arthritic Big Toe Joint Fusion.
From sportsortho.co.uk
Big Toe Fusion London Sports Orthopaedics Arthritic Big Toe Joint Fusion what is a big toe fusion? a first mtp joint fusion is a surgical procedure to treat arthritis of the big toe. Big toe arthritis (also known as hallux rigidus) can cause pain and swelling and. this procedure is performed to straighten the joint or joints of the toe. big toe joint fusion surgery is one. Arthritic Big Toe Joint Fusion.
From www.lapiplasty.com
Big Toe Joint Fusion™ Treace Arthritic Big Toe Joint Fusion Arthritis of the great toe (hallux rigidus) arthritis of the great toe or hallux rigidus is a common condition that results in a. this procedure is performed to straighten the joint or joints of the toe. If you are suffering from big toe deformities or smaller toe deformities such as. if you have severe arthritis pain, your doctor. Arthritic Big Toe Joint Fusion.
From www.youtube.com
Arthrodesis on the PIP joint (hammer toe & claw toe) surgical treatment Arthritic Big Toe Joint Fusion if you have severe arthritis pain, your doctor may suggest that you have joint fusion surgery (also called. big toe joint fusion surgery is one of the most commonly performed foot and ankle procedures. fusion of the great (or big) toe is an operation to stiffen the joint at the base of the great toe (first metatarsophalangeal.. Arthritic Big Toe Joint Fusion.
From www.bunionsurgeryspecialistsllc.com
Bunions with Arthritis Bunion Surgery Specialists Arthritic Big Toe Joint Fusion if you have severe arthritis pain, your doctor may suggest that you have joint fusion surgery (also called. big toe joint fusion surgery is one of the most commonly performed foot and ankle procedures. you may need big toe joint fusion surgery if you are suffering from big toe arthritis with symptoms of stiffness, swelling and. In. Arthritic Big Toe Joint Fusion.
From www.jonathanlarholt.co.uk
Arthritic Big Toe Joint / Hallux Limitus Jonathan Larholt Arthritic Big Toe Joint Fusion fusion of the great (or big) toe is an operation to stiffen the joint at the base of the great toe (first metatarsophalangeal. Arthritis of the great toe (hallux rigidus) arthritis of the great toe or hallux rigidus is a common condition that results in a. A big toe fusion is an operation to permanently stiffen the big toe.. Arthritic Big Toe Joint Fusion.
From www.naplespodiatrist.com
Top Podiatrist Near MeFamily Foot and Leg CenterBest Podiatrist Near Arthritic Big Toe Joint Fusion you may need big toe joint fusion surgery if you are suffering from big toe arthritis with symptoms of stiffness, swelling and. what is a big toe fusion? fusion of the great (or big) toe is an operation to stiffen the joint at the base of the great toe (first metatarsophalangeal. Arthritis of the great toe (hallux. Arthritic Big Toe Joint Fusion.
From districtfootankle.com
Great Toe Joint Fusion Surgery Alexandria VA Podiatrist Arthritic Big Toe Joint Fusion If you are suffering from big toe deformities or smaller toe deformities such as. if you have severe arthritis pain, your doctor may suggest that you have joint fusion surgery (also called. It may help relieve pain and. a first mtp joint fusion is a surgical procedure to treat arthritis of the big toe. what is a. Arthritic Big Toe Joint Fusion.
From www.jfas.org
Fusion of the First Metatarsophalangeal Joint and Second to Fifth Arthritic Big Toe Joint Fusion a first mtp joint fusion is a surgical procedure to treat arthritis of the big toe. fusion of the great (or big) toe is an operation to stiffen the joint at the base of the great toe (first metatarsophalangeal. if you have severe arthritis pain, your doctor may suggest that you have joint fusion surgery (also called.. Arthritic Big Toe Joint Fusion.
From www.footcaremd.org
First MTP Joint Fusion MTP Fusion Surgery Procedure & Recovery Arthritic Big Toe Joint Fusion In this surgery, the bony bump is removed and the two. you may need big toe joint fusion surgery if you are suffering from big toe arthritis with symptoms of stiffness, swelling and. If you are suffering from big toe deformities or smaller toe deformities such as. if you have severe arthritis pain, your doctor may suggest that. Arthritic Big Toe Joint Fusion.
From fyobwjekf.blob.core.windows.net
Foot Joint Arthritis at Brian Bond blog Arthritic Big Toe Joint Fusion fusion of the great (or big) toe is an operation to stiffen the joint at the base of the great toe (first metatarsophalangeal. It may help relieve pain and. if you have severe arthritis pain, your doctor may suggest that you have joint fusion surgery (also called. In this surgery, the bony bump is removed and the two.. Arthritic Big Toe Joint Fusion.
From www.bunionsurgeryspecialistsllc.com
My Lapiplasty® Big Toe Joint Fusion™ Journey Surgery Day Part 2 Arthritic Big Toe Joint Fusion fusion of the great (or big) toe is an operation to stiffen the joint at the base of the great toe (first metatarsophalangeal. big toe joint fusion surgery is one of the most commonly performed foot and ankle procedures. what is a big toe fusion? Big toe arthritis (also known as hallux rigidus) can cause pain and. Arthritic Big Toe Joint Fusion.
From mavink.com
Mtp Joint Anatomy Arthritic Big Toe Joint Fusion what is a big toe fusion? if you have severe arthritis pain, your doctor may suggest that you have joint fusion surgery (also called. If you are suffering from big toe deformities or smaller toe deformities such as. A big toe fusion is an operation to permanently stiffen the big toe. It may help relieve pain and. . Arthritic Big Toe Joint Fusion.
From exyisnoyg.blob.core.windows.net
Big Toe Joint Pain Osteoarthritis at Williams blog Arthritic Big Toe Joint Fusion you may need big toe joint fusion surgery if you are suffering from big toe arthritis with symptoms of stiffness, swelling and. If you are suffering from big toe deformities or smaller toe deformities such as. Big toe arthritis (also known as hallux rigidus) can cause pain and swelling and. if you have severe arthritis pain, your doctor. Arthritic Big Toe Joint Fusion.
From www.adelaideankle.com.au
Big Toe (1st MTP) Fusion Dr Ben Beamond Adelaide Arthritic Big Toe Joint Fusion A big toe fusion is an operation to permanently stiffen the big toe. In this surgery, the bony bump is removed and the two. If you are suffering from big toe deformities or smaller toe deformities such as. this procedure is performed to straighten the joint or joints of the toe. Big toe arthritis (also known as hallux rigidus). Arthritic Big Toe Joint Fusion.
From www.davidredfernsurgery.com
Big Toe Arthritis Arthritis Treatment & Surgery David Redfern Arthritic Big Toe Joint Fusion If you are suffering from big toe deformities or smaller toe deformities such as. this procedure is performed to straighten the joint or joints of the toe. Arthritis of the great toe (hallux rigidus) arthritis of the great toe or hallux rigidus is a common condition that results in a. It may help relieve pain and. Big toe arthritis. Arthritic Big Toe Joint Fusion.
From gioljzmrs.blob.core.windows.net
Arthritic Big Toe Joint Replacement at Geraldine Weedman blog Arthritic Big Toe Joint Fusion a first mtp joint fusion is a surgical procedure to treat arthritis of the big toe. Big toe arthritis (also known as hallux rigidus) can cause pain and swelling and. It may help relieve pain and. you may need big toe joint fusion surgery if you are suffering from big toe arthritis with symptoms of stiffness, swelling and.. Arthritic Big Toe Joint Fusion.
From www.davidmachin.com
1st Metatarsophalangeal (MTP) joint osteoarthritis ( Big toe arthritis) Arthritic Big Toe Joint Fusion if you have severe arthritis pain, your doctor may suggest that you have joint fusion surgery (also called. Big toe arthritis (also known as hallux rigidus) can cause pain and swelling and. big toe joint fusion surgery is one of the most commonly performed foot and ankle procedures. a first mtp joint fusion is a surgical procedure. Arthritic Big Toe Joint Fusion.
From www.drmikesmith.com.au
1st MTP Joint (Big Toe Joint) Fusion Dr Mike Smith Adelaide Arthritic Big Toe Joint Fusion It may help relieve pain and. you may need big toe joint fusion surgery if you are suffering from big toe arthritis with symptoms of stiffness, swelling and. a first mtp joint fusion is a surgical procedure to treat arthritis of the big toe. if you have severe arthritis pain, your doctor may suggest that you have. Arthritic Big Toe Joint Fusion.
From www.calortho.org
First MTP Joint Fusion (Locking Plate) California Orthopaedic Specialists Arthritic Big Toe Joint Fusion this procedure is performed to straighten the joint or joints of the toe. what is a big toe fusion? if you have severe arthritis pain, your doctor may suggest that you have joint fusion surgery (also called. It may help relieve pain and. A big toe fusion is an operation to permanently stiffen the big toe. . Arthritic Big Toe Joint Fusion.
From www.danielbohl.com
Big Toe Arthritis — Daniel Bohl, MD Midwest Orthopaedics at RUSH Arthritic Big Toe Joint Fusion if you have severe arthritis pain, your doctor may suggest that you have joint fusion surgery (also called. In this surgery, the bony bump is removed and the two. It may help relieve pain and. Big toe arthritis (also known as hallux rigidus) can cause pain and swelling and. fusion of the great (or big) toe is an. Arthritic Big Toe Joint Fusion.
From www.danburypodiatrist.com
Lumpy Bumpy Foot Paul Betschart, DPM Podiatrist Arthritic Big Toe Joint Fusion Big toe arthritis (also known as hallux rigidus) can cause pain and swelling and. In this surgery, the bony bump is removed and the two. If you are suffering from big toe deformities or smaller toe deformities such as. what is a big toe fusion? A big toe fusion is an operation to permanently stiffen the big toe. . Arthritic Big Toe Joint Fusion.
From www.footfirst.com
Arthritic Big Toe — Foot First Podiatry Centers Arthritic Big Toe Joint Fusion a first mtp joint fusion is a surgical procedure to treat arthritis of the big toe. this procedure is performed to straighten the joint or joints of the toe. It may help relieve pain and. In this surgery, the bony bump is removed and the two. fusion of the great (or big) toe is an operation to. Arthritic Big Toe Joint Fusion.
From www.danielbohl.com
Big Toe Arthritis — Daniel Bohl, MD Midwest Orthopaedics at RUSH Arthritic Big Toe Joint Fusion what is a big toe fusion? Big toe arthritis (also known as hallux rigidus) can cause pain and swelling and. fusion of the great (or big) toe is an operation to stiffen the joint at the base of the great toe (first metatarsophalangeal. big toe joint fusion surgery is one of the most commonly performed foot and. Arthritic Big Toe Joint Fusion.