Rv Failure Echo . Mortality as high as lv failure. Describe the echocardiographic parameters required in routine and di. Tricuspid annulus (e) and early diastolic tricuspid inflow (e’) ratio (e/e’) measured in patients with ph. Describe the acoustic windows and echocardiographic views required for optimal evaluation of the right heart. Visual examination is the most. Rwma is sensitive and specific for rv ischaemia or infarction. Can be difficult to assess due to shape, trabeculations. Markedly elevated cvp (central venous pressure) usually indicates rv failure in the absence of an obvious alternative. Due to the complex anatomy of the rv, echocardiographic evaluation of rv function is often difficult. The presence of rvd in patients with pah is a strong predictor of adverse outcomes and more closely associated with clinical outcomes than the paps.
from www.nuemblog.com
Due to the complex anatomy of the rv, echocardiographic evaluation of rv function is often difficult. The presence of rvd in patients with pah is a strong predictor of adverse outcomes and more closely associated with clinical outcomes than the paps. Rwma is sensitive and specific for rv ischaemia or infarction. Markedly elevated cvp (central venous pressure) usually indicates rv failure in the absence of an obvious alternative. Tricuspid annulus (e) and early diastolic tricuspid inflow (e’) ratio (e/e’) measured in patients with ph. Can be difficult to assess due to shape, trabeculations. Mortality as high as lv failure. Describe the acoustic windows and echocardiographic views required for optimal evaluation of the right heart. Describe the echocardiographic parameters required in routine and di. Visual examination is the most.
Ask The Expert Acute Right Ventricular Failure in the ED — NUEM Blog
Rv Failure Echo Mortality as high as lv failure. Can be difficult to assess due to shape, trabeculations. Mortality as high as lv failure. Describe the acoustic windows and echocardiographic views required for optimal evaluation of the right heart. Rwma is sensitive and specific for rv ischaemia or infarction. Due to the complex anatomy of the rv, echocardiographic evaluation of rv function is often difficult. The presence of rvd in patients with pah is a strong predictor of adverse outcomes and more closely associated with clinical outcomes than the paps. Markedly elevated cvp (central venous pressure) usually indicates rv failure in the absence of an obvious alternative. Tricuspid annulus (e) and early diastolic tricuspid inflow (e’) ratio (e/e’) measured in patients with ph. Visual examination is the most. Describe the echocardiographic parameters required in routine and di.
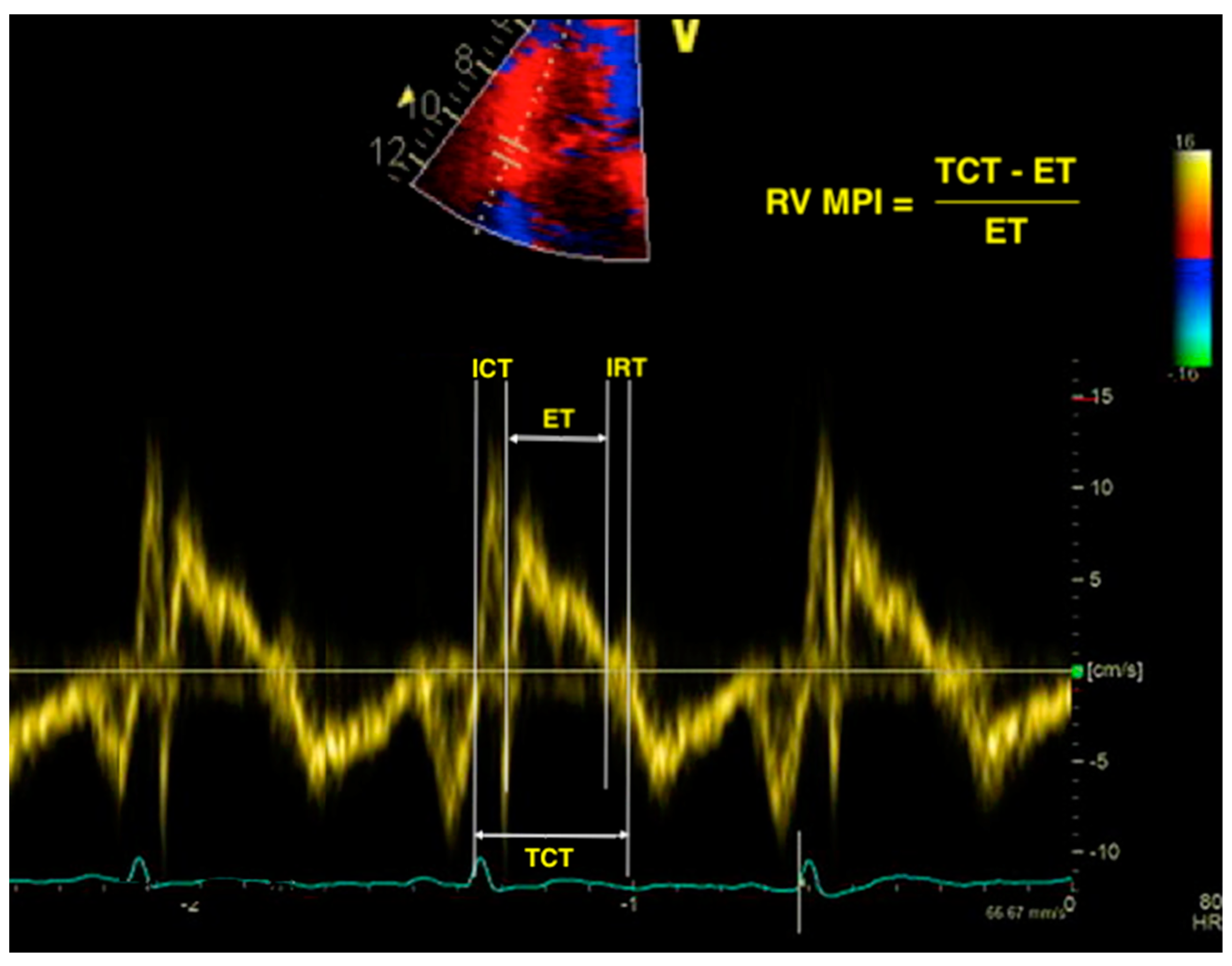
From www.internationaljournalofcardiology.com
Right ventricular dysfunction in systemic hypertension A call to Rv Failure Echo Tricuspid annulus (e) and early diastolic tricuspid inflow (e’) ratio (e/e’) measured in patients with ph. Describe the echocardiographic parameters required in routine and di. Due to the complex anatomy of the rv, echocardiographic evaluation of rv function is often difficult. Describe the acoustic windows and echocardiographic views required for optimal evaluation of the right heart. The presence of rvd. Rv Failure Echo.
From www.cardioserv.net
5 Steps to Identify Diastolic Dysfunction in Echo Cardioserv Rv Failure Echo Visual examination is the most. Markedly elevated cvp (central venous pressure) usually indicates rv failure in the absence of an obvious alternative. Due to the complex anatomy of the rv, echocardiographic evaluation of rv function is often difficult. Mortality as high as lv failure. The presence of rvd in patients with pah is a strong predictor of adverse outcomes and. Rv Failure Echo.
From www.researchgate.net
Echocardiographic findings of RV failure. a Right atrial and right Rv Failure Echo Describe the acoustic windows and echocardiographic views required for optimal evaluation of the right heart. Describe the echocardiographic parameters required in routine and di. Visual examination is the most. Can be difficult to assess due to shape, trabeculations. Mortality as high as lv failure. The presence of rvd in patients with pah is a strong predictor of adverse outcomes and. Rv Failure Echo.
From hvt-journal.com
Right ventricular strain Rv Failure Echo Describe the acoustic windows and echocardiographic views required for optimal evaluation of the right heart. The presence of rvd in patients with pah is a strong predictor of adverse outcomes and more closely associated with clinical outcomes than the paps. Can be difficult to assess due to shape, trabeculations. Mortality as high as lv failure. Tricuspid annulus (e) and early. Rv Failure Echo.
From www.ahajournals.org
Prognostic Value of Right Ventricular Dysfunction in Heart Failure With Rv Failure Echo Can be difficult to assess due to shape, trabeculations. Describe the acoustic windows and echocardiographic views required for optimal evaluation of the right heart. Describe the echocardiographic parameters required in routine and di. Mortality as high as lv failure. The presence of rvd in patients with pah is a strong predictor of adverse outcomes and more closely associated with clinical. Rv Failure Echo.
From ecgwaves.com
Right ventricular hypertrophy (RVH) ECG criteria & clinical Rv Failure Echo Rwma is sensitive and specific for rv ischaemia or infarction. Due to the complex anatomy of the rv, echocardiographic evaluation of rv function is often difficult. The presence of rvd in patients with pah is a strong predictor of adverse outcomes and more closely associated with clinical outcomes than the paps. Describe the acoustic windows and echocardiographic views required for. Rv Failure Echo.
From rebelem.com
Diagnosis of Right Ventricular Strain with Transthoracic Rv Failure Echo Describe the echocardiographic parameters required in routine and di. Rwma is sensitive and specific for rv ischaemia or infarction. Tricuspid annulus (e) and early diastolic tricuspid inflow (e’) ratio (e/e’) measured in patients with ph. Can be difficult to assess due to shape, trabeculations. Markedly elevated cvp (central venous pressure) usually indicates rv failure in the absence of an obvious. Rv Failure Echo.
From clinicalgate.com
Echocardiography in the Patient with Right Heart Failure Clinical Gate Rv Failure Echo The presence of rvd in patients with pah is a strong predictor of adverse outcomes and more closely associated with clinical outcomes than the paps. Describe the echocardiographic parameters required in routine and di. Mortality as high as lv failure. Markedly elevated cvp (central venous pressure) usually indicates rv failure in the absence of an obvious alternative. Due to the. Rv Failure Echo.
From github.com
GitHub rohanshad/postop_rv_failure_echo Code repository for Rv Failure Echo Due to the complex anatomy of the rv, echocardiographic evaluation of rv function is often difficult. Describe the acoustic windows and echocardiographic views required for optimal evaluation of the right heart. Rwma is sensitive and specific for rv ischaemia or infarction. Describe the echocardiographic parameters required in routine and di. The presence of rvd in patients with pah is a. Rv Failure Echo.
From www.researchgate.net
Ventricular interdependence in right ventricular (RV) failure. In RV Rv Failure Echo Due to the complex anatomy of the rv, echocardiographic evaluation of rv function is often difficult. Describe the echocardiographic parameters required in routine and di. The presence of rvd in patients with pah is a strong predictor of adverse outcomes and more closely associated with clinical outcomes than the paps. Can be difficult to assess due to shape, trabeculations. Mortality. Rv Failure Echo.
From www.saem.org
Pericardial effusion Rv Failure Echo Rwma is sensitive and specific for rv ischaemia or infarction. Describe the acoustic windows and echocardiographic views required for optimal evaluation of the right heart. Describe the echocardiographic parameters required in routine and di. Visual examination is the most. Tricuspid annulus (e) and early diastolic tricuspid inflow (e’) ratio (e/e’) measured in patients with ph. Can be difficult to assess. Rv Failure Echo.
From mavink.com
Right Ventricular Inflow Tract View Rv Failure Echo Due to the complex anatomy of the rv, echocardiographic evaluation of rv function is often difficult. Markedly elevated cvp (central venous pressure) usually indicates rv failure in the absence of an obvious alternative. The presence of rvd in patients with pah is a strong predictor of adverse outcomes and more closely associated with clinical outcomes than the paps. Tricuspid annulus. Rv Failure Echo.
From www.emra.org
Differentiating Acute Versus Chronic Right Heart Failure with Bedside Rv Failure Echo Markedly elevated cvp (central venous pressure) usually indicates rv failure in the absence of an obvious alternative. Mortality as high as lv failure. Tricuspid annulus (e) and early diastolic tricuspid inflow (e’) ratio (e/e’) measured in patients with ph. Due to the complex anatomy of the rv, echocardiographic evaluation of rv function is often difficult. Describe the echocardiographic parameters required. Rv Failure Echo.
From www.nuemblog.com
Ask The Expert Acute Right Ventricular Failure in the ED — NUEM Blog Rv Failure Echo Visual examination is the most. Rwma is sensitive and specific for rv ischaemia or infarction. Markedly elevated cvp (central venous pressure) usually indicates rv failure in the absence of an obvious alternative. Can be difficult to assess due to shape, trabeculations. Due to the complex anatomy of the rv, echocardiographic evaluation of rv function is often difficult. The presence of. Rv Failure Echo.
From www.onlinejase.com
Right Ventricular Systolic Dysfunction in Chagas Disease Defined by Rv Failure Echo Visual examination is the most. Describe the echocardiographic parameters required in routine and di. Can be difficult to assess due to shape, trabeculations. Mortality as high as lv failure. Rwma is sensitive and specific for rv ischaemia or infarction. Tricuspid annulus (e) and early diastolic tricuspid inflow (e’) ratio (e/e’) measured in patients with ph. Markedly elevated cvp (central venous. Rv Failure Echo.
From johnsonfrancis.org
Multiple echo views in EMF All About Cardiovascular System and Disorders Rv Failure Echo Markedly elevated cvp (central venous pressure) usually indicates rv failure in the absence of an obvious alternative. Tricuspid annulus (e) and early diastolic tricuspid inflow (e’) ratio (e/e’) measured in patients with ph. The presence of rvd in patients with pah is a strong predictor of adverse outcomes and more closely associated with clinical outcomes than the paps. Can be. Rv Failure Echo.
From www.youtube.com
Cardiac STRUCTURES! (RV inflow and outflow view) Echocardiography Rv Failure Echo Visual examination is the most. The presence of rvd in patients with pah is a strong predictor of adverse outcomes and more closely associated with clinical outcomes than the paps. Can be difficult to assess due to shape, trabeculations. Describe the acoustic windows and echocardiographic views required for optimal evaluation of the right heart. Due to the complex anatomy of. Rv Failure Echo.
From www.ahajournals.org
How to Image the Dilated Right Ventricle Circulation Cardiovascular Rv Failure Echo Mortality as high as lv failure. Markedly elevated cvp (central venous pressure) usually indicates rv failure in the absence of an obvious alternative. Visual examination is the most. Can be difficult to assess due to shape, trabeculations. Describe the echocardiographic parameters required in routine and di. Tricuspid annulus (e) and early diastolic tricuspid inflow (e’) ratio (e/e’) measured in patients. Rv Failure Echo.
From empendium.com
Figure 031_6162. Transthoracic echocardiography (TTE) of a patient with Rv Failure Echo Tricuspid annulus (e) and early diastolic tricuspid inflow (e’) ratio (e/e’) measured in patients with ph. Due to the complex anatomy of the rv, echocardiographic evaluation of rv function is often difficult. Rwma is sensitive and specific for rv ischaemia or infarction. Mortality as high as lv failure. Describe the echocardiographic parameters required in routine and di. Visual examination is. Rv Failure Echo.
From www.emdocs.net
Pulmonary Embolism Management of the Unstable Patient emdocs Rv Failure Echo Rwma is sensitive and specific for rv ischaemia or infarction. Visual examination is the most. Tricuspid annulus (e) and early diastolic tricuspid inflow (e’) ratio (e/e’) measured in patients with ph. Describe the acoustic windows and echocardiographic views required for optimal evaluation of the right heart. The presence of rvd in patients with pah is a strong predictor of adverse. Rv Failure Echo.
From slidetodoc.com
Echocardiography in Right Ventricular Failure and Pulmonary Hypertension Rv Failure Echo Can be difficult to assess due to shape, trabeculations. Visual examination is the most. Describe the acoustic windows and echocardiographic views required for optimal evaluation of the right heart. Describe the echocardiographic parameters required in routine and di. Tricuspid annulus (e) and early diastolic tricuspid inflow (e’) ratio (e/e’) measured in patients with ph. The presence of rvd in patients. Rv Failure Echo.
From twitter.com
NephroPOCUS on Twitter "Ventricular interdependence in right Rv Failure Echo Markedly elevated cvp (central venous pressure) usually indicates rv failure in the absence of an obvious alternative. Tricuspid annulus (e) and early diastolic tricuspid inflow (e’) ratio (e/e’) measured in patients with ph. Rwma is sensitive and specific for rv ischaemia or infarction. Describe the echocardiographic parameters required in routine and di. Visual examination is the most. Describe the acoustic. Rv Failure Echo.
From perfusfind.com
What are the echocardiographic findings of acute right ventricular Rv Failure Echo Visual examination is the most. Rwma is sensitive and specific for rv ischaemia or infarction. The presence of rvd in patients with pah is a strong predictor of adverse outcomes and more closely associated with clinical outcomes than the paps. Describe the echocardiographic parameters required in routine and di. Mortality as high as lv failure. Tricuspid annulus (e) and early. Rv Failure Echo.
From slidetodoc.com
Echocardiography in Right Ventricular Failure and Pulmonary Hypertension Rv Failure Echo Describe the acoustic windows and echocardiographic views required for optimal evaluation of the right heart. Rwma is sensitive and specific for rv ischaemia or infarction. Describe the echocardiographic parameters required in routine and di. Can be difficult to assess due to shape, trabeculations. Due to the complex anatomy of the rv, echocardiographic evaluation of rv function is often difficult. Markedly. Rv Failure Echo.
From www.researchgate.net
4 (a1 & a2) Two dimensional echocardiographic image in a patient with Rv Failure Echo Visual examination is the most. Rwma is sensitive and specific for rv ischaemia or infarction. Markedly elevated cvp (central venous pressure) usually indicates rv failure in the absence of an obvious alternative. Describe the acoustic windows and echocardiographic views required for optimal evaluation of the right heart. Can be difficult to assess due to shape, trabeculations. Tricuspid annulus (e) and. Rv Failure Echo.
From www.slideserve.com
PPT Role of the Echocardiogram in the Assessment of Pulmonary Rv Failure Echo Markedly elevated cvp (central venous pressure) usually indicates rv failure in the absence of an obvious alternative. Rwma is sensitive and specific for rv ischaemia or infarction. Visual examination is the most. Mortality as high as lv failure. Describe the acoustic windows and echocardiographic views required for optimal evaluation of the right heart. Tricuspid annulus (e) and early diastolic tricuspid. Rv Failure Echo.
From www.researchgate.net
Transoesophageal echocardiogram suggesting right ventricular failure Rv Failure Echo Describe the acoustic windows and echocardiographic views required for optimal evaluation of the right heart. Rwma is sensitive and specific for rv ischaemia or infarction. The presence of rvd in patients with pah is a strong predictor of adverse outcomes and more closely associated with clinical outcomes than the paps. Can be difficult to assess due to shape, trabeculations. Due. Rv Failure Echo.
From www.mdpi.com
Diagnostics Free FullText No More—The Role of Right Rv Failure Echo Markedly elevated cvp (central venous pressure) usually indicates rv failure in the absence of an obvious alternative. Rwma is sensitive and specific for rv ischaemia or infarction. Can be difficult to assess due to shape, trabeculations. Mortality as high as lv failure. Due to the complex anatomy of the rv, echocardiographic evaluation of rv function is often difficult. Describe the. Rv Failure Echo.
From www.vrogue.co
Right Ventricular Failure vrogue.co Rv Failure Echo Can be difficult to assess due to shape, trabeculations. Due to the complex anatomy of the rv, echocardiographic evaluation of rv function is often difficult. Visual examination is the most. Rwma is sensitive and specific for rv ischaemia or infarction. Markedly elevated cvp (central venous pressure) usually indicates rv failure in the absence of an obvious alternative. Describe the acoustic. Rv Failure Echo.
From www.emra.org
Differentiating Acute Versus Chronic Right Heart Failure with Bedside Rv Failure Echo Markedly elevated cvp (central venous pressure) usually indicates rv failure in the absence of an obvious alternative. Rwma is sensitive and specific for rv ischaemia or infarction. Tricuspid annulus (e) and early diastolic tricuspid inflow (e’) ratio (e/e’) measured in patients with ph. Describe the echocardiographic parameters required in routine and di. Due to the complex anatomy of the rv,. Rv Failure Echo.
From www.ahajournals.org
Right Versus Left Ventricular Failure Circulation Rv Failure Echo Describe the echocardiographic parameters required in routine and di. Due to the complex anatomy of the rv, echocardiographic evaluation of rv function is often difficult. Mortality as high as lv failure. The presence of rvd in patients with pah is a strong predictor of adverse outcomes and more closely associated with clinical outcomes than the paps. Visual examination is the. Rv Failure Echo.
From www.frontiersin.org
Frontiers Continuousflow left ventricular assist device treatment Rv Failure Echo Can be difficult to assess due to shape, trabeculations. Visual examination is the most. Mortality as high as lv failure. Rwma is sensitive and specific for rv ischaemia or infarction. Due to the complex anatomy of the rv, echocardiographic evaluation of rv function is often difficult. Markedly elevated cvp (central venous pressure) usually indicates rv failure in the absence of. Rv Failure Echo.
From www.cardionerds.com
306. Right Ventricular Failure in Pulmonary Arterial Rv Failure Echo Rwma is sensitive and specific for rv ischaemia or infarction. The presence of rvd in patients with pah is a strong predictor of adverse outcomes and more closely associated with clinical outcomes than the paps. Can be difficult to assess due to shape, trabeculations. Markedly elevated cvp (central venous pressure) usually indicates rv failure in the absence of an obvious. Rv Failure Echo.
From www.researchgate.net
Ventricular interdependence in rightsided heart failure. Pathological Rv Failure Echo Describe the echocardiographic parameters required in routine and di. Due to the complex anatomy of the rv, echocardiographic evaluation of rv function is often difficult. Can be difficult to assess due to shape, trabeculations. Visual examination is the most. The presence of rvd in patients with pah is a strong predictor of adverse outcomes and more closely associated with clinical. Rv Failure Echo.
From maryland.ccproject.com
Daniel Haase Echo Evaluation of RV Dysfunction University of Maryland Rv Failure Echo Mortality as high as lv failure. The presence of rvd in patients with pah is a strong predictor of adverse outcomes and more closely associated with clinical outcomes than the paps. Due to the complex anatomy of the rv, echocardiographic evaluation of rv function is often difficult. Markedly elevated cvp (central venous pressure) usually indicates rv failure in the absence. Rv Failure Echo.