Cross Table X Ray Imperforate Anus . We can still accurately identify the level of the rectum in the pelvis before embarking on a perineal operation in the neonate. Imperforate anus or anal atresia is a congenital anorectal malformation (arm) where a normal anal opening is absent at birth. Current concepts of the gross pathology and surgical management of imperforate anus are reviewed. A similar, but more humane, approach is to wait 24 hours after birth to observe for possible maximal pelvic pouch distension and then to use cross. Imperforate anus is a birth defect in which the anal opening is absent. This condition develops during the fifth to seventh weeks of pregnancy. Anal atresia, or imperforate anus, refers to a spectrum of anorectal abnormalities ranging from a membranous separation to complete absence. Anal atresia, or imperforate anus, refers to a spectrum of anorectal abnormalities ranging from a membranous separation to complete absence.
from www.bmj.com
This condition develops during the fifth to seventh weeks of pregnancy. Imperforate anus or anal atresia is a congenital anorectal malformation (arm) where a normal anal opening is absent at birth. Current concepts of the gross pathology and surgical management of imperforate anus are reviewed. We can still accurately identify the level of the rectum in the pelvis before embarking on a perineal operation in the neonate. Imperforate anus is a birth defect in which the anal opening is absent. Anal atresia, or imperforate anus, refers to a spectrum of anorectal abnormalities ranging from a membranous separation to complete absence. A similar, but more humane, approach is to wait 24 hours after birth to observe for possible maximal pelvic pouch distension and then to use cross. Anal atresia, or imperforate anus, refers to a spectrum of anorectal abnormalities ranging from a membranous separation to complete absence.
Imperforate Anus Successfully Treated The BMJ
Cross Table X Ray Imperforate Anus This condition develops during the fifth to seventh weeks of pregnancy. A similar, but more humane, approach is to wait 24 hours after birth to observe for possible maximal pelvic pouch distension and then to use cross. Current concepts of the gross pathology and surgical management of imperforate anus are reviewed. Anal atresia, or imperforate anus, refers to a spectrum of anorectal abnormalities ranging from a membranous separation to complete absence. Imperforate anus or anal atresia is a congenital anorectal malformation (arm) where a normal anal opening is absent at birth. We can still accurately identify the level of the rectum in the pelvis before embarking on a perineal operation in the neonate. Imperforate anus is a birth defect in which the anal opening is absent. This condition develops during the fifth to seventh weeks of pregnancy. Anal atresia, or imperforate anus, refers to a spectrum of anorectal abnormalities ranging from a membranous separation to complete absence.
From www.osmosis.org
Imperforate anus Osmosis Cross Table X Ray Imperforate Anus Imperforate anus or anal atresia is a congenital anorectal malformation (arm) where a normal anal opening is absent at birth. Anal atresia, or imperforate anus, refers to a spectrum of anorectal abnormalities ranging from a membranous separation to complete absence. A similar, but more humane, approach is to wait 24 hours after birth to observe for possible maximal pelvic pouch. Cross Table X Ray Imperforate Anus.
From www.medicaldevice-network.com
ProxiDiagnost N90 Digital RadiographyFluoroscopy System, USA Cross Table X Ray Imperforate Anus Imperforate anus or anal atresia is a congenital anorectal malformation (arm) where a normal anal opening is absent at birth. This condition develops during the fifth to seventh weeks of pregnancy. A similar, but more humane, approach is to wait 24 hours after birth to observe for possible maximal pelvic pouch distension and then to use cross. Current concepts of. Cross Table X Ray Imperforate Anus.
From www.osmosis.org
Imperforate anus Osmosis Cross Table X Ray Imperforate Anus Anal atresia, or imperforate anus, refers to a spectrum of anorectal abnormalities ranging from a membranous separation to complete absence. A similar, but more humane, approach is to wait 24 hours after birth to observe for possible maximal pelvic pouch distension and then to use cross. Anal atresia, or imperforate anus, refers to a spectrum of anorectal abnormalities ranging from. Cross Table X Ray Imperforate Anus.
From pubs.rsna.org
Congenital Anomalies of the Small Intestine, Colon, and Rectum Cross Table X Ray Imperforate Anus A similar, but more humane, approach is to wait 24 hours after birth to observe for possible maximal pelvic pouch distension and then to use cross. Imperforate anus or anal atresia is a congenital anorectal malformation (arm) where a normal anal opening is absent at birth. Anal atresia, or imperforate anus, refers to a spectrum of anorectal abnormalities ranging from. Cross Table X Ray Imperforate Anus.
From radiopaedia.org
Imperforate anus Image Cross Table X Ray Imperforate Anus Anal atresia, or imperforate anus, refers to a spectrum of anorectal abnormalities ranging from a membranous separation to complete absence. Anal atresia, or imperforate anus, refers to a spectrum of anorectal abnormalities ranging from a membranous separation to complete absence. Imperforate anus is a birth defect in which the anal opening is absent. Current concepts of the gross pathology and. Cross Table X Ray Imperforate Anus.
From www.osmosis.org
Lower gastrointestinal congenital malformations Notes Diagrams Cross Table X Ray Imperforate Anus We can still accurately identify the level of the rectum in the pelvis before embarking on a perineal operation in the neonate. Imperforate anus is a birth defect in which the anal opening is absent. Anal atresia, or imperforate anus, refers to a spectrum of anorectal abnormalities ranging from a membranous separation to complete absence. Current concepts of the gross. Cross Table X Ray Imperforate Anus.
From onlinelibrary.wiley.com
Sonography for an Imperforate Anus Approach, Timing of the Examination Cross Table X Ray Imperforate Anus Anal atresia, or imperforate anus, refers to a spectrum of anorectal abnormalities ranging from a membranous separation to complete absence. Imperforate anus is a birth defect in which the anal opening is absent. Current concepts of the gross pathology and surgical management of imperforate anus are reviewed. We can still accurately identify the level of the rectum in the pelvis. Cross Table X Ray Imperforate Anus.
From www.frontiersin.org
Frontiers Anorectal malformation combined with Hirschsprung's disease Cross Table X Ray Imperforate Anus Current concepts of the gross pathology and surgical management of imperforate anus are reviewed. Anal atresia, or imperforate anus, refers to a spectrum of anorectal abnormalities ranging from a membranous separation to complete absence. We can still accurately identify the level of the rectum in the pelvis before embarking on a perineal operation in the neonate. Anal atresia, or imperforate. Cross Table X Ray Imperforate Anus.
From www.scribd.com
Prone CrossTable Lateral View An Alternative To The Invertogram in Cross Table X Ray Imperforate Anus Current concepts of the gross pathology and surgical management of imperforate anus are reviewed. Imperforate anus or anal atresia is a congenital anorectal malformation (arm) where a normal anal opening is absent at birth. Anal atresia, or imperforate anus, refers to a spectrum of anorectal abnormalities ranging from a membranous separation to complete absence. Imperforate anus is a birth defect. Cross Table X Ray Imperforate Anus.
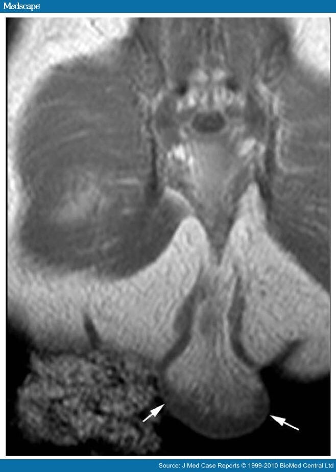
From www.medscape.com
Imperforate Anus With a Rectovestibular Fistula and Pseudotail Cross Table X Ray Imperforate Anus A similar, but more humane, approach is to wait 24 hours after birth to observe for possible maximal pelvic pouch distension and then to use cross. Current concepts of the gross pathology and surgical management of imperforate anus are reviewed. Imperforate anus or anal atresia is a congenital anorectal malformation (arm) where a normal anal opening is absent at birth.. Cross Table X Ray Imperforate Anus.
From www.researchgate.net
Crosstable xray with Hagar dilator in anal canal showing high Cross Table X Ray Imperforate Anus A similar, but more humane, approach is to wait 24 hours after birth to observe for possible maximal pelvic pouch distension and then to use cross. Anal atresia, or imperforate anus, refers to a spectrum of anorectal abnormalities ranging from a membranous separation to complete absence. Imperforate anus is a birth defect in which the anal opening is absent. This. Cross Table X Ray Imperforate Anus.
From www.bmj.com
Imperforate Anus Successfully Treated The BMJ Cross Table X Ray Imperforate Anus Imperforate anus or anal atresia is a congenital anorectal malformation (arm) where a normal anal opening is absent at birth. Current concepts of the gross pathology and surgical management of imperforate anus are reviewed. Anal atresia, or imperforate anus, refers to a spectrum of anorectal abnormalities ranging from a membranous separation to complete absence. A similar, but more humane, approach. Cross Table X Ray Imperforate Anus.
From www.osmosis.org
Imperforate anus Osmosis Cross Table X Ray Imperforate Anus This condition develops during the fifth to seventh weeks of pregnancy. We can still accurately identify the level of the rectum in the pelvis before embarking on a perineal operation in the neonate. Anal atresia, or imperforate anus, refers to a spectrum of anorectal abnormalities ranging from a membranous separation to complete absence. A similar, but more humane, approach is. Cross Table X Ray Imperforate Anus.
From www.jpedsurg.org
Laparoscopically assisted anorectal pullthrough for high imperforate Cross Table X Ray Imperforate Anus A similar, but more humane, approach is to wait 24 hours after birth to observe for possible maximal pelvic pouch distension and then to use cross. This condition develops during the fifth to seventh weeks of pregnancy. Anal atresia, or imperforate anus, refers to a spectrum of anorectal abnormalities ranging from a membranous separation to complete absence. Imperforate anus is. Cross Table X Ray Imperforate Anus.
From journals.sagepub.com
Evaluation of version of acetabular component following total hip Cross Table X Ray Imperforate Anus A similar, but more humane, approach is to wait 24 hours after birth to observe for possible maximal pelvic pouch distension and then to use cross. Anal atresia, or imperforate anus, refers to a spectrum of anorectal abnormalities ranging from a membranous separation to complete absence. Imperforate anus or anal atresia is a congenital anorectal malformation (arm) where a normal. Cross Table X Ray Imperforate Anus.
From epos.myesr.org
EPOS™ Cross Table X Ray Imperforate Anus Imperforate anus or anal atresia is a congenital anorectal malformation (arm) where a normal anal opening is absent at birth. A similar, but more humane, approach is to wait 24 hours after birth to observe for possible maximal pelvic pouch distension and then to use cross. Imperforate anus is a birth defect in which the anal opening is absent. Anal. Cross Table X Ray Imperforate Anus.
From www.jpedsurg.org
Imperforate anus, malrotation, and Hirschsprung's disease with double Cross Table X Ray Imperforate Anus This condition develops during the fifth to seventh weeks of pregnancy. Current concepts of the gross pathology and surgical management of imperforate anus are reviewed. Imperforate anus or anal atresia is a congenital anorectal malformation (arm) where a normal anal opening is absent at birth. Anal atresia, or imperforate anus, refers to a spectrum of anorectal abnormalities ranging from a. Cross Table X Ray Imperforate Anus.
From www.jpedsurg.org
Is measuring the residual rectourethral fistula during laparoscopically Cross Table X Ray Imperforate Anus Anal atresia, or imperforate anus, refers to a spectrum of anorectal abnormalities ranging from a membranous separation to complete absence. A similar, but more humane, approach is to wait 24 hours after birth to observe for possible maximal pelvic pouch distension and then to use cross. We can still accurately identify the level of the rectum in the pelvis before. Cross Table X Ray Imperforate Anus.
From www.medicalexpo.com
Heightadjustable Xray table ANTARIX IMX4A, IMX4B IMAGO Cross Table X Ray Imperforate Anus This condition develops during the fifth to seventh weeks of pregnancy. A similar, but more humane, approach is to wait 24 hours after birth to observe for possible maximal pelvic pouch distension and then to use cross. We can still accurately identify the level of the rectum in the pelvis before embarking on a perineal operation in the neonate. Anal. Cross Table X Ray Imperforate Anus.
From www.osmosis.org
Imperforate anus Osmosis Cross Table X Ray Imperforate Anus Imperforate anus or anal atresia is a congenital anorectal malformation (arm) where a normal anal opening is absent at birth. Current concepts of the gross pathology and surgical management of imperforate anus are reviewed. This condition develops during the fifth to seventh weeks of pregnancy. A similar, but more humane, approach is to wait 24 hours after birth to observe. Cross Table X Ray Imperforate Anus.
From bmcpediatr.biomedcentral.com
Prenatal diagnosis of congenital megalourethra with imperforate anus Cross Table X Ray Imperforate Anus A similar, but more humane, approach is to wait 24 hours after birth to observe for possible maximal pelvic pouch distension and then to use cross. We can still accurately identify the level of the rectum in the pelvis before embarking on a perineal operation in the neonate. This condition develops during the fifth to seventh weeks of pregnancy. Imperforate. Cross Table X Ray Imperforate Anus.
From www.frontiersin.org
Frontiers Factors contributing to emotional distress when caring for Cross Table X Ray Imperforate Anus A similar, but more humane, approach is to wait 24 hours after birth to observe for possible maximal pelvic pouch distension and then to use cross. We can still accurately identify the level of the rectum in the pelvis before embarking on a perineal operation in the neonate. Imperforate anus or anal atresia is a congenital anorectal malformation (arm) where. Cross Table X Ray Imperforate Anus.
From journals.sagepub.com
Evaluation of version of acetabular component following total hip Cross Table X Ray Imperforate Anus This condition develops during the fifth to seventh weeks of pregnancy. Current concepts of the gross pathology and surgical management of imperforate anus are reviewed. Anal atresia, or imperforate anus, refers to a spectrum of anorectal abnormalities ranging from a membranous separation to complete absence. We can still accurately identify the level of the rectum in the pelvis before embarking. Cross Table X Ray Imperforate Anus.
From www.cancertherapyadvisor.com
Necrotizing enterocolitis Cancer Therapy Advisor Cross Table X Ray Imperforate Anus We can still accurately identify the level of the rectum in the pelvis before embarking on a perineal operation in the neonate. Imperforate anus or anal atresia is a congenital anorectal malformation (arm) where a normal anal opening is absent at birth. Current concepts of the gross pathology and surgical management of imperforate anus are reviewed. Anal atresia, or imperforate. Cross Table X Ray Imperforate Anus.
From www.mottchildren.org
MRI Guided Surgery for Children with Imperforate Anus CS Mott Cross Table X Ray Imperforate Anus Anal atresia, or imperforate anus, refers to a spectrum of anorectal abnormalities ranging from a membranous separation to complete absence. This condition develops during the fifth to seventh weeks of pregnancy. Imperforate anus or anal atresia is a congenital anorectal malformation (arm) where a normal anal opening is absent at birth. Imperforate anus is a birth defect in which the. Cross Table X Ray Imperforate Anus.
From www.slideserve.com
PPT Imperforate Anus PowerPoint Presentation, free download ID6919535 Cross Table X Ray Imperforate Anus Imperforate anus or anal atresia is a congenital anorectal malformation (arm) where a normal anal opening is absent at birth. Anal atresia, or imperforate anus, refers to a spectrum of anorectal abnormalities ranging from a membranous separation to complete absence. A similar, but more humane, approach is to wait 24 hours after birth to observe for possible maximal pelvic pouch. Cross Table X Ray Imperforate Anus.
From www.jpedsurg.org
A newborn with caudal duplication and duplex imperforate anus Journal Cross Table X Ray Imperforate Anus Anal atresia, or imperforate anus, refers to a spectrum of anorectal abnormalities ranging from a membranous separation to complete absence. This condition develops during the fifth to seventh weeks of pregnancy. Imperforate anus or anal atresia is a congenital anorectal malformation (arm) where a normal anal opening is absent at birth. We can still accurately identify the level of the. Cross Table X Ray Imperforate Anus.
From www.medscape.com
Imperforate Anus With a Rectovestibular Fistula and Pseudotail Cross Table X Ray Imperforate Anus Anal atresia, or imperforate anus, refers to a spectrum of anorectal abnormalities ranging from a membranous separation to complete absence. Imperforate anus or anal atresia is a congenital anorectal malformation (arm) where a normal anal opening is absent at birth. Current concepts of the gross pathology and surgical management of imperforate anus are reviewed. This condition develops during the fifth. Cross Table X Ray Imperforate Anus.
From www.orthobullets.com
Hip Radiographic Evaluation Adult Recon Orthobullets Cross Table X Ray Imperforate Anus Imperforate anus is a birth defect in which the anal opening is absent. Current concepts of the gross pathology and surgical management of imperforate anus are reviewed. Anal atresia, or imperforate anus, refers to a spectrum of anorectal abnormalities ranging from a membranous separation to complete absence. Imperforate anus or anal atresia is a congenital anorectal malformation (arm) where a. Cross Table X Ray Imperforate Anus.
From epos.myesr.org
EPOS™ Cross Table X Ray Imperforate Anus Current concepts of the gross pathology and surgical management of imperforate anus are reviewed. Imperforate anus is a birth defect in which the anal opening is absent. Anal atresia, or imperforate anus, refers to a spectrum of anorectal abnormalities ranging from a membranous separation to complete absence. We can still accurately identify the level of the rectum in the pelvis. Cross Table X Ray Imperforate Anus.
From www.jpedsurg.org
resonance imagingguided laparoscopicassisted anorectoplasty Cross Table X Ray Imperforate Anus Imperforate anus is a birth defect in which the anal opening is absent. This condition develops during the fifth to seventh weeks of pregnancy. Current concepts of the gross pathology and surgical management of imperforate anus are reviewed. A similar, but more humane, approach is to wait 24 hours after birth to observe for possible maximal pelvic pouch distension and. Cross Table X Ray Imperforate Anus.
From fineartamerica.com
Invertogram Xray Photograph by Rajaaisya/science Photo Library Fine Cross Table X Ray Imperforate Anus A similar, but more humane, approach is to wait 24 hours after birth to observe for possible maximal pelvic pouch distension and then to use cross. We can still accurately identify the level of the rectum in the pelvis before embarking on a perineal operation in the neonate. Current concepts of the gross pathology and surgical management of imperforate anus. Cross Table X Ray Imperforate Anus.
From www.medscape.com
Imperforate Anus With a Rectovestibular Fistula and Pseudotail Cross Table X Ray Imperforate Anus This condition develops during the fifth to seventh weeks of pregnancy. Anal atresia, or imperforate anus, refers to a spectrum of anorectal abnormalities ranging from a membranous separation to complete absence. Current concepts of the gross pathology and surgical management of imperforate anus are reviewed. We can still accurately identify the level of the rectum in the pelvis before embarking. Cross Table X Ray Imperforate Anus.
From www.verywellhealth.com
Imperforate Anus Types, Symptoms, Causes, and Treatment Cross Table X Ray Imperforate Anus We can still accurately identify the level of the rectum in the pelvis before embarking on a perineal operation in the neonate. A similar, but more humane, approach is to wait 24 hours after birth to observe for possible maximal pelvic pouch distension and then to use cross. Imperforate anus is a birth defect in which the anal opening is. Cross Table X Ray Imperforate Anus.
From www.universalimaginginc.com
Companion Animal Digital Xray Tables Universal Imaging Inc Cross Table X Ray Imperforate Anus Current concepts of the gross pathology and surgical management of imperforate anus are reviewed. Imperforate anus or anal atresia is a congenital anorectal malformation (arm) where a normal anal opening is absent at birth. Anal atresia, or imperforate anus, refers to a spectrum of anorectal abnormalities ranging from a membranous separation to complete absence. This condition develops during the fifth. Cross Table X Ray Imperforate Anus.