Can An Abscess Cause Osteomyelitis . Infection may expand through the bone cortex and spread under the periosteum, with formation of subcutaneous abscesses that may drain spontaneously through the skin. If untreated, osteomyelitis can lead to blood poisoning (sepsis) and/or an abscess in the bone. A bone infection is usually caused by bacteria, but sometimes other organisms such as a fungus may be the cause. Osteomyelitis is inflammation of the bone caused by an infecting organism. It is an inflammatory process involving the bone and its structures caused by pyogenic organisms that. Although bone is normally resistant to bacterial colonization, events such as trauma, surgery, presence of. Treatment to drain these abscesses may slightly increase your risk of skin cancer. Osteomyelitis is an inflammatory condition involving the medullary cavity of bone. Osteomyelitis is a serious infection of the bone that can be either acute or chronic. This is known as an abscess. It begins as a bacterial infection and can cause significant bony. Bone infections can cause pockets of pus that break through your skin. What are the symptoms of osteomyelitis?
from www.studocu.com
A bone infection is usually caused by bacteria, but sometimes other organisms such as a fungus may be the cause. Osteomyelitis is an inflammatory condition involving the medullary cavity of bone. Osteomyelitis is inflammation of the bone caused by an infecting organism. Although bone is normally resistant to bacterial colonization, events such as trauma, surgery, presence of. This is known as an abscess. Bone infections can cause pockets of pus that break through your skin. Treatment to drain these abscesses may slightly increase your risk of skin cancer. If untreated, osteomyelitis can lead to blood poisoning (sepsis) and/or an abscess in the bone. Infection may expand through the bone cortex and spread under the periosteum, with formation of subcutaneous abscesses that may drain spontaneously through the skin. It is an inflammatory process involving the bone and its structures caused by pyogenic organisms that.
Osteomyelitis Notes Osteomyelitis An infection of the bone, a rare
Can An Abscess Cause Osteomyelitis It is an inflammatory process involving the bone and its structures caused by pyogenic organisms that. Osteomyelitis is inflammation of the bone caused by an infecting organism. This is known as an abscess. Osteomyelitis is an inflammatory condition involving the medullary cavity of bone. It begins as a bacterial infection and can cause significant bony. Infection may expand through the bone cortex and spread under the periosteum, with formation of subcutaneous abscesses that may drain spontaneously through the skin. Although bone is normally resistant to bacterial colonization, events such as trauma, surgery, presence of. What are the symptoms of osteomyelitis? A bone infection is usually caused by bacteria, but sometimes other organisms such as a fungus may be the cause. It is an inflammatory process involving the bone and its structures caused by pyogenic organisms that. Osteomyelitis is a serious infection of the bone that can be either acute or chronic. Bone infections can cause pockets of pus that break through your skin. Treatment to drain these abscesses may slightly increase your risk of skin cancer. If untreated, osteomyelitis can lead to blood poisoning (sepsis) and/or an abscess in the bone.
From radiopaedia.org
Sternoclavicular abscess and osteomyelitis Image Can An Abscess Cause Osteomyelitis This is known as an abscess. If untreated, osteomyelitis can lead to blood poisoning (sepsis) and/or an abscess in the bone. A bone infection is usually caused by bacteria, but sometimes other organisms such as a fungus may be the cause. It is an inflammatory process involving the bone and its structures caused by pyogenic organisms that. It begins as. Can An Abscess Cause Osteomyelitis.
From www.ctisus.com
Osteomyelitis Sternum with Abscess Musculoskeletal Case Studies Can An Abscess Cause Osteomyelitis Treatment to drain these abscesses may slightly increase your risk of skin cancer. Osteomyelitis is an inflammatory condition involving the medullary cavity of bone. It begins as a bacterial infection and can cause significant bony. Osteomyelitis is a serious infection of the bone that can be either acute or chronic. If untreated, osteomyelitis can lead to blood poisoning (sepsis) and/or. Can An Abscess Cause Osteomyelitis.
From www.studocu.com
Osteomyelitis Notes Osteomyelitis An infection of the bone, a rare Can An Abscess Cause Osteomyelitis Infection may expand through the bone cortex and spread under the periosteum, with formation of subcutaneous abscesses that may drain spontaneously through the skin. What are the symptoms of osteomyelitis? If untreated, osteomyelitis can lead to blood poisoning (sepsis) and/or an abscess in the bone. A bone infection is usually caused by bacteria, but sometimes other organisms such as a. Can An Abscess Cause Osteomyelitis.
From factdr.com
OsteomyelitisFacts, causes, symptoms, treatment, & management FactDr Can An Abscess Cause Osteomyelitis Infection may expand through the bone cortex and spread under the periosteum, with formation of subcutaneous abscesses that may drain spontaneously through the skin. Bone infections can cause pockets of pus that break through your skin. What are the symptoms of osteomyelitis? Although bone is normally resistant to bacterial colonization, events such as trauma, surgery, presence of. This is known. Can An Abscess Cause Osteomyelitis.
From www.pinterest.com
A Brodie abscess refers to an abscess related to focus of chronic Can An Abscess Cause Osteomyelitis This is known as an abscess. What are the symptoms of osteomyelitis? Bone infections can cause pockets of pus that break through your skin. Osteomyelitis is inflammation of the bone caused by an infecting organism. Infection may expand through the bone cortex and spread under the periosteum, with formation of subcutaneous abscesses that may drain spontaneously through the skin. Although. Can An Abscess Cause Osteomyelitis.
From ecosh.com
OSTEOMYELITIS (OM) Symptoms, Causes, Risk Groups, Prevention and Can An Abscess Cause Osteomyelitis Osteomyelitis is a serious infection of the bone that can be either acute or chronic. Bone infections can cause pockets of pus that break through your skin. If untreated, osteomyelitis can lead to blood poisoning (sepsis) and/or an abscess in the bone. This is known as an abscess. Treatment to drain these abscesses may slightly increase your risk of skin. Can An Abscess Cause Osteomyelitis.
From www.aafp.org
Osteomyelitis Diagnosis and Treatment AAFP Can An Abscess Cause Osteomyelitis Osteomyelitis is a serious infection of the bone that can be either acute or chronic. What are the symptoms of osteomyelitis? Infection may expand through the bone cortex and spread under the periosteum, with formation of subcutaneous abscesses that may drain spontaneously through the skin. A bone infection is usually caused by bacteria, but sometimes other organisms such as a. Can An Abscess Cause Osteomyelitis.
From www.osmosis.org
Osteomyelitis Nursing Osmosis Video Library Can An Abscess Cause Osteomyelitis If untreated, osteomyelitis can lead to blood poisoning (sepsis) and/or an abscess in the bone. Although bone is normally resistant to bacterial colonization, events such as trauma, surgery, presence of. Bone infections can cause pockets of pus that break through your skin. What are the symptoms of osteomyelitis? It is an inflammatory process involving the bone and its structures caused. Can An Abscess Cause Osteomyelitis.
From radiopaedia.org
Chronic osteomyelitis with Brodie abscess Image Can An Abscess Cause Osteomyelitis Osteomyelitis is an inflammatory condition involving the medullary cavity of bone. Infection may expand through the bone cortex and spread under the periosteum, with formation of subcutaneous abscesses that may drain spontaneously through the skin. Bone infections can cause pockets of pus that break through your skin. It begins as a bacterial infection and can cause significant bony. Treatment to. Can An Abscess Cause Osteomyelitis.
From www.youtube.com
Osteomyelitis Classification, Causes, Pathophysiology, Signs and Can An Abscess Cause Osteomyelitis Infection may expand through the bone cortex and spread under the periosteum, with formation of subcutaneous abscesses that may drain spontaneously through the skin. Treatment to drain these abscesses may slightly increase your risk of skin cancer. It is an inflammatory process involving the bone and its structures caused by pyogenic organisms that. If untreated, osteomyelitis can lead to blood. Can An Abscess Cause Osteomyelitis.
From www.physioplaces.com
Osteomyelitis is a bacterial infection from Staphylococcus Aureus Can An Abscess Cause Osteomyelitis If untreated, osteomyelitis can lead to blood poisoning (sepsis) and/or an abscess in the bone. Osteomyelitis is a serious infection of the bone that can be either acute or chronic. Osteomyelitis is an inflammatory condition involving the medullary cavity of bone. A bone infection is usually caused by bacteria, but sometimes other organisms such as a fungus may be the. Can An Abscess Cause Osteomyelitis.
From radiopaedia.org
Sternoclavicular abscess and osteomyelitis Image Can An Abscess Cause Osteomyelitis It is an inflammatory process involving the bone and its structures caused by pyogenic organisms that. Infection may expand through the bone cortex and spread under the periosteum, with formation of subcutaneous abscesses that may drain spontaneously through the skin. Treatment to drain these abscesses may slightly increase your risk of skin cancer. If untreated, osteomyelitis can lead to blood. Can An Abscess Cause Osteomyelitis.
From www.semanticscholar.org
Figure 4 from A Case of Primary Osteomyelitis of the Rib With Can An Abscess Cause Osteomyelitis It is an inflammatory process involving the bone and its structures caused by pyogenic organisms that. Treatment to drain these abscesses may slightly increase your risk of skin cancer. Bone infections can cause pockets of pus that break through your skin. It begins as a bacterial infection and can cause significant bony. This is known as an abscess. A bone. Can An Abscess Cause Osteomyelitis.
From clinmedjournals.org
Subperiosteal Abscess with Pediatric Acute Osteomyelitis Can An Abscess Cause Osteomyelitis Infection may expand through the bone cortex and spread under the periosteum, with formation of subcutaneous abscesses that may drain spontaneously through the skin. It begins as a bacterial infection and can cause significant bony. Osteomyelitis is inflammation of the bone caused by an infecting organism. Although bone is normally resistant to bacterial colonization, events such as trauma, surgery, presence. Can An Abscess Cause Osteomyelitis.
From radsource.us
Osteomyelitis Radsource Can An Abscess Cause Osteomyelitis What are the symptoms of osteomyelitis? Treatment to drain these abscesses may slightly increase your risk of skin cancer. Infection may expand through the bone cortex and spread under the periosteum, with formation of subcutaneous abscesses that may drain spontaneously through the skin. A bone infection is usually caused by bacteria, but sometimes other organisms such as a fungus may. Can An Abscess Cause Osteomyelitis.
From www.pinterest.com.mx
Osteomyelitis with intraosseous abscess Radiology Can An Abscess Cause Osteomyelitis Treatment to drain these abscesses may slightly increase your risk of skin cancer. This is known as an abscess. Bone infections can cause pockets of pus that break through your skin. Osteomyelitis is an inflammatory condition involving the medullary cavity of bone. What are the symptoms of osteomyelitis? A bone infection is usually caused by bacteria, but sometimes other organisms. Can An Abscess Cause Osteomyelitis.
From antimicrobe.org
printout Osteomyelitis Types Can An Abscess Cause Osteomyelitis Osteomyelitis is inflammation of the bone caused by an infecting organism. It begins as a bacterial infection and can cause significant bony. Bone infections can cause pockets of pus that break through your skin. Infection may expand through the bone cortex and spread under the periosteum, with formation of subcutaneous abscesses that may drain spontaneously through the skin. Treatment to. Can An Abscess Cause Osteomyelitis.
From radiopaedia.org
Brodie abscess chronic osteomyelitis Image Can An Abscess Cause Osteomyelitis Bone infections can cause pockets of pus that break through your skin. Infection may expand through the bone cortex and spread under the periosteum, with formation of subcutaneous abscesses that may drain spontaneously through the skin. What are the symptoms of osteomyelitis? If untreated, osteomyelitis can lead to blood poisoning (sepsis) and/or an abscess in the bone. It begins as. Can An Abscess Cause Osteomyelitis.
From radiopaedia.org
Calcaneal osteomyelitis and abscess Image Can An Abscess Cause Osteomyelitis Osteomyelitis is a serious infection of the bone that can be either acute or chronic. Osteomyelitis is inflammation of the bone caused by an infecting organism. What are the symptoms of osteomyelitis? Treatment to drain these abscesses may slightly increase your risk of skin cancer. If untreated, osteomyelitis can lead to blood poisoning (sepsis) and/or an abscess in the bone.. Can An Abscess Cause Osteomyelitis.
From www.researchgate.net
Osteomyelitis with intraosseous abcess. (A) Tomodensitometry of the Can An Abscess Cause Osteomyelitis Osteomyelitis is an inflammatory condition involving the medullary cavity of bone. What are the symptoms of osteomyelitis? This is known as an abscess. Although bone is normally resistant to bacterial colonization, events such as trauma, surgery, presence of. If untreated, osteomyelitis can lead to blood poisoning (sepsis) and/or an abscess in the bone. Bone infections can cause pockets of pus. Can An Abscess Cause Osteomyelitis.
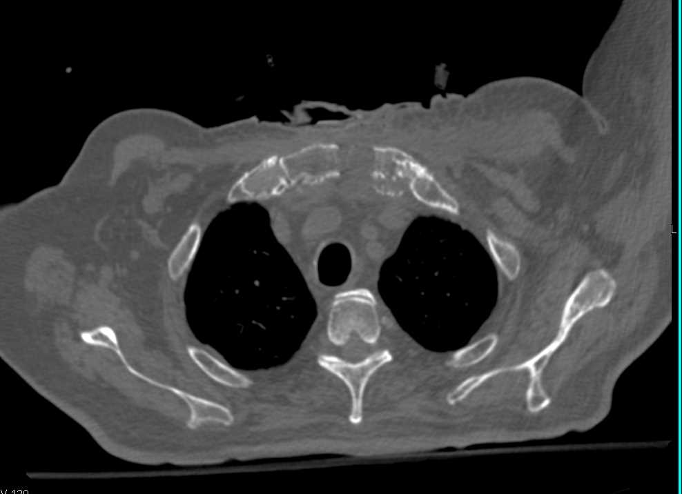
From www.ctisus.com
Osteomyelitis Sternum with Abscess Chest Case Studies CTisus CT Can An Abscess Cause Osteomyelitis Osteomyelitis is a serious infection of the bone that can be either acute or chronic. It begins as a bacterial infection and can cause significant bony. It is an inflammatory process involving the bone and its structures caused by pyogenic organisms that. Treatment to drain these abscesses may slightly increase your risk of skin cancer. Bone infections can cause pockets. Can An Abscess Cause Osteomyelitis.
From mantracare.org
Osteomyelitis The Bone Infection MantraCare Can An Abscess Cause Osteomyelitis It begins as a bacterial infection and can cause significant bony. Osteomyelitis is an inflammatory condition involving the medullary cavity of bone. A bone infection is usually caused by bacteria, but sometimes other organisms such as a fungus may be the cause. If untreated, osteomyelitis can lead to blood poisoning (sepsis) and/or an abscess in the bone. Infection may expand. Can An Abscess Cause Osteomyelitis.
From www.slideshare.net
Bone and joint infections Osteomyelitis, Septic Arthritis Can An Abscess Cause Osteomyelitis Osteomyelitis is inflammation of the bone caused by an infecting organism. If untreated, osteomyelitis can lead to blood poisoning (sepsis) and/or an abscess in the bone. Osteomyelitis is a serious infection of the bone that can be either acute or chronic. Although bone is normally resistant to bacterial colonization, events such as trauma, surgery, presence of. Treatment to drain these. Can An Abscess Cause Osteomyelitis.
From www.thelancet.com
Osteomyelitis The Lancet Can An Abscess Cause Osteomyelitis It is an inflammatory process involving the bone and its structures caused by pyogenic organisms that. What are the symptoms of osteomyelitis? Osteomyelitis is a serious infection of the bone that can be either acute or chronic. Treatment to drain these abscesses may slightly increase your risk of skin cancer. Although bone is normally resistant to bacterial colonization, events such. Can An Abscess Cause Osteomyelitis.
From ar.inspiredpencil.com
Most Common Cause Of Osteomyelitis Can An Abscess Cause Osteomyelitis Treatment to drain these abscesses may slightly increase your risk of skin cancer. Although bone is normally resistant to bacterial colonization, events such as trauma, surgery, presence of. Infection may expand through the bone cortex and spread under the periosteum, with formation of subcutaneous abscesses that may drain spontaneously through the skin. Bone infections can cause pockets of pus that. Can An Abscess Cause Osteomyelitis.
From www.youtube.com
Brodie's abscess BONE INFECTION (Osteomyelitis) YouTube Can An Abscess Cause Osteomyelitis If untreated, osteomyelitis can lead to blood poisoning (sepsis) and/or an abscess in the bone. Osteomyelitis is a serious infection of the bone that can be either acute or chronic. Osteomyelitis is inflammation of the bone caused by an infecting organism. Although bone is normally resistant to bacterial colonization, events such as trauma, surgery, presence of. This is known as. Can An Abscess Cause Osteomyelitis.
From mobilephysiotherapyclinic.in
Osteomyelitis Type, Cause, Symptoms, Treatment Mobile Physio Can An Abscess Cause Osteomyelitis Osteomyelitis is an inflammatory condition involving the medullary cavity of bone. It begins as a bacterial infection and can cause significant bony. If untreated, osteomyelitis can lead to blood poisoning (sepsis) and/or an abscess in the bone. This is known as an abscess. Treatment to drain these abscesses may slightly increase your risk of skin cancer. Bone infections can cause. Can An Abscess Cause Osteomyelitis.
From www.slideserve.com
PPT Osteomyelitis PowerPoint Presentation, free download ID298370 Can An Abscess Cause Osteomyelitis Osteomyelitis is a serious infection of the bone that can be either acute or chronic. Although bone is normally resistant to bacterial colonization, events such as trauma, surgery, presence of. It begins as a bacterial infection and can cause significant bony. Osteomyelitis is an inflammatory condition involving the medullary cavity of bone. Treatment to drain these abscesses may slightly increase. Can An Abscess Cause Osteomyelitis.
From teachmesurgery.com
Osteomyelitis TeachMeSurgery Can An Abscess Cause Osteomyelitis It begins as a bacterial infection and can cause significant bony. It is an inflammatory process involving the bone and its structures caused by pyogenic organisms that. Osteomyelitis is inflammation of the bone caused by an infecting organism. Treatment to drain these abscesses may slightly increase your risk of skin cancer. Infection may expand through the bone cortex and spread. Can An Abscess Cause Osteomyelitis.
From www.slideserve.com
PPT Chronic osteomyelitis PowerPoint Presentation, free download ID Can An Abscess Cause Osteomyelitis Treatment to drain these abscesses may slightly increase your risk of skin cancer. What are the symptoms of osteomyelitis? Osteomyelitis is an inflammatory condition involving the medullary cavity of bone. Infection may expand through the bone cortex and spread under the periosteum, with formation of subcutaneous abscesses that may drain spontaneously through the skin. Osteomyelitis is inflammation of the bone. Can An Abscess Cause Osteomyelitis.
From www.thelancet.com
Nonsurgical treatment of diabetic foot osteomyelitis The Lancet Can An Abscess Cause Osteomyelitis Osteomyelitis is an inflammatory condition involving the medullary cavity of bone. Although bone is normally resistant to bacterial colonization, events such as trauma, surgery, presence of. Osteomyelitis is inflammation of the bone caused by an infecting organism. Osteomyelitis is a serious infection of the bone that can be either acute or chronic. This is known as an abscess. If untreated,. Can An Abscess Cause Osteomyelitis.
From www.researchgate.net
(AC) MRI depicting the osteomyelitis, discitis and abscess involvement Can An Abscess Cause Osteomyelitis What are the symptoms of osteomyelitis? Osteomyelitis is inflammation of the bone caused by an infecting organism. Although bone is normally resistant to bacterial colonization, events such as trauma, surgery, presence of. Bone infections can cause pockets of pus that break through your skin. It is an inflammatory process involving the bone and its structures caused by pyogenic organisms that.. Can An Abscess Cause Osteomyelitis.
From www.pinterest.com
Brodie's abscess a.k.a subacute osteomyelitis Form of osteomyelitis Can An Abscess Cause Osteomyelitis Osteomyelitis is a serious infection of the bone that can be either acute or chronic. What are the symptoms of osteomyelitis? A bone infection is usually caused by bacteria, but sometimes other organisms such as a fungus may be the cause. Infection may expand through the bone cortex and spread under the periosteum, with formation of subcutaneous abscesses that may. Can An Abscess Cause Osteomyelitis.
From radiopaedia.org
Chronic osteomyelitis with Brodie abscess Image Can An Abscess Cause Osteomyelitis Infection may expand through the bone cortex and spread under the periosteum, with formation of subcutaneous abscesses that may drain spontaneously through the skin. Bone infections can cause pockets of pus that break through your skin. Treatment to drain these abscesses may slightly increase your risk of skin cancer. Osteomyelitis is a serious infection of the bone that can be. Can An Abscess Cause Osteomyelitis.
From www.epainassist.com
Osteomyelitis Treatment, Prevention, Diagnosis, Symptoms Can An Abscess Cause Osteomyelitis This is known as an abscess. Bone infections can cause pockets of pus that break through your skin. If untreated, osteomyelitis can lead to blood poisoning (sepsis) and/or an abscess in the bone. Osteomyelitis is a serious infection of the bone that can be either acute or chronic. A bone infection is usually caused by bacteria, but sometimes other organisms. Can An Abscess Cause Osteomyelitis.