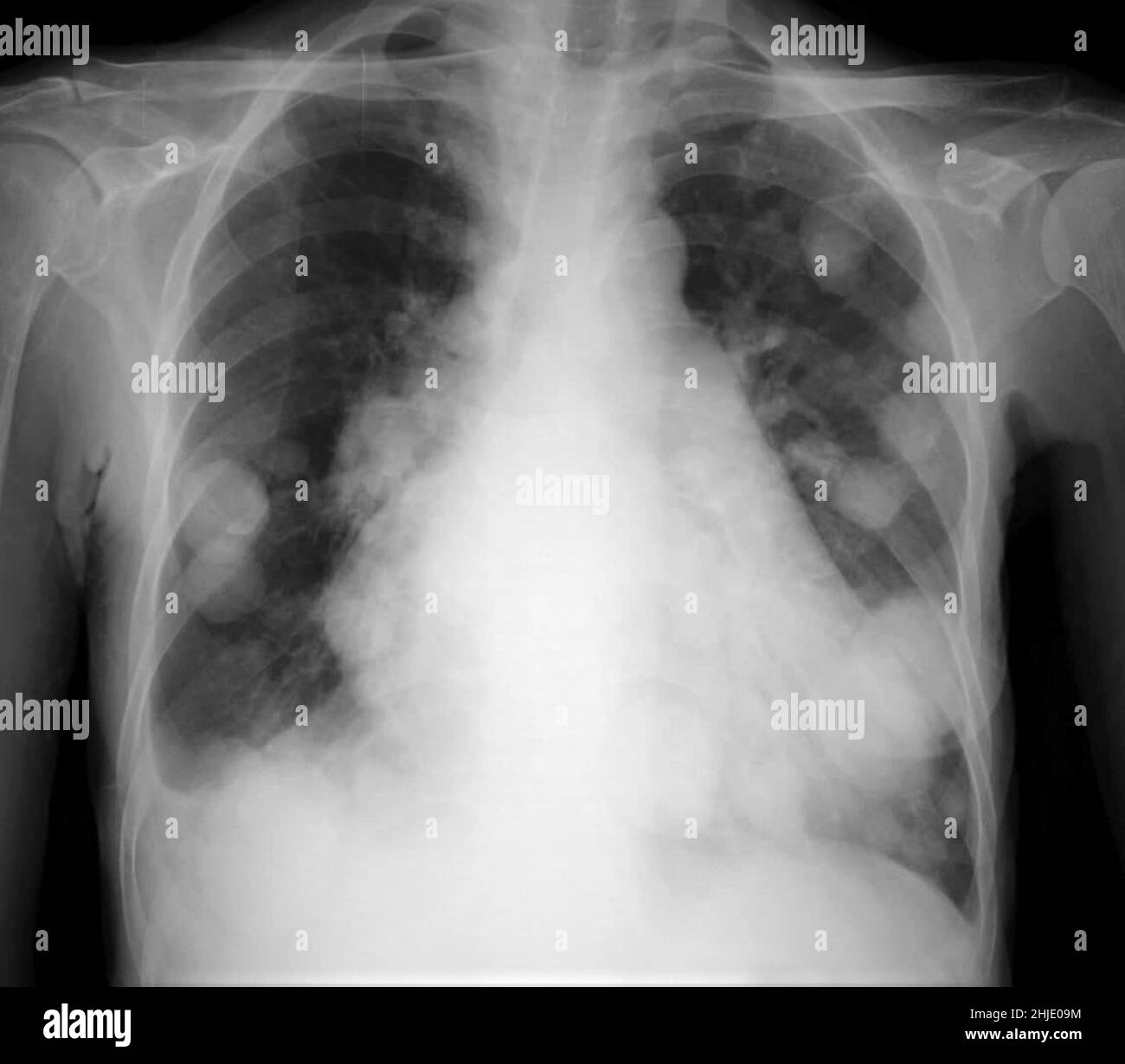
Cannon Balls X Ray . Atypical features include consolidation ,. The most obvious finding is that of numerous bilateral round hyperdensities of variable sizes of the pulmonary. — larger nodules and masses may be termed cannonball metastases.
from www.youtube.com
Atypical features include consolidation ,. — larger nodules and masses may be termed cannonball metastases. The most obvious finding is that of numerous bilateral round hyperdensities of variable sizes of the pulmonary.
Cannon Balls First 4 Levels YouTube
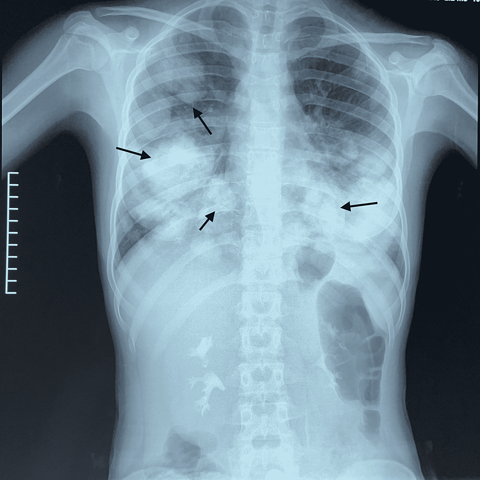
Cannon Balls X Ray — larger nodules and masses may be termed cannonball metastases. Atypical features include consolidation ,. The most obvious finding is that of numerous bilateral round hyperdensities of variable sizes of the pulmonary. — larger nodules and masses may be termed cannonball metastases.
From radiogyan.com
Causes Of Cannonball Mets Visual Mnemonics RadioGyan Cannon Balls X Ray Atypical features include consolidation ,. — larger nodules and masses may be termed cannonball metastases. The most obvious finding is that of numerous bilateral round hyperdensities of variable sizes of the pulmonary. Cannon Balls X Ray.
From www.researchgate.net
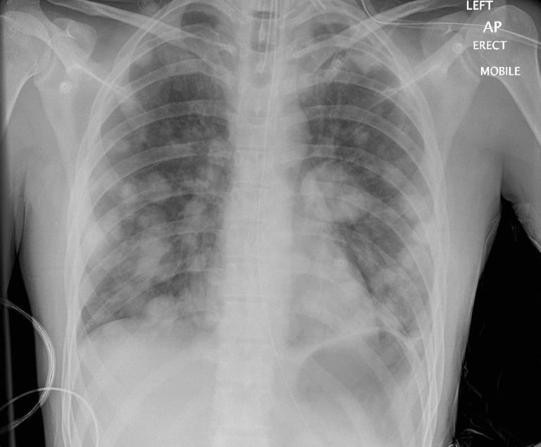
Plain chest Xray showing “cannonball” lesions. Download Scientific Cannon Balls X Ray — larger nodules and masses may be termed cannonball metastases. Atypical features include consolidation ,. The most obvious finding is that of numerous bilateral round hyperdensities of variable sizes of the pulmonary. Cannon Balls X Ray.
From www.meddean.luc.edu
Dark lung fields Cannon Balls X Ray Atypical features include consolidation ,. — larger nodules and masses may be termed cannonball metastases. The most obvious finding is that of numerous bilateral round hyperdensities of variable sizes of the pulmonary. Cannon Balls X Ray.
From litfl.com
Cannon Balls • LITFL • Oncological Quandary Cannon Balls X Ray The most obvious finding is that of numerous bilateral round hyperdensities of variable sizes of the pulmonary. — larger nodules and masses may be termed cannonball metastases. Atypical features include consolidation ,. Cannon Balls X Ray.
From chestarchives.blogspot.com
Chest Archives Chest X Ray Cannon Ball secondaries Cannon Balls X Ray The most obvious finding is that of numerous bilateral round hyperdensities of variable sizes of the pulmonary. Atypical features include consolidation ,. — larger nodules and masses may be termed cannonball metastases. Cannon Balls X Ray.
From casereports.bmj.com
Latestage melanoma presenting with cannonball metastases BMJ Case Cannon Balls X Ray Atypical features include consolidation ,. — larger nodules and masses may be termed cannonball metastases. The most obvious finding is that of numerous bilateral round hyperdensities of variable sizes of the pulmonary. Cannon Balls X Ray.
From www.keeleyhire.co.uk
War And Military Prop Hire » Cannon And Cannon Balls Keeley Hire Cannon Balls X Ray Atypical features include consolidation ,. — larger nodules and masses may be termed cannonball metastases. The most obvious finding is that of numerous bilateral round hyperdensities of variable sizes of the pulmonary. Cannon Balls X Ray.
From medizzy.com
Cannon ball is appearance on Xray MEDizzy Cannon Balls X Ray The most obvious finding is that of numerous bilateral round hyperdensities of variable sizes of the pulmonary. Atypical features include consolidation ,. — larger nodules and masses may be termed cannonball metastases. Cannon Balls X Ray.
From casereports.bmj.com
‘Cannon ball’ pulmonary metastases BMJ Case Reports Cannon Balls X Ray Atypical features include consolidation ,. The most obvious finding is that of numerous bilateral round hyperdensities of variable sizes of the pulmonary. — larger nodules and masses may be termed cannonball metastases. Cannon Balls X Ray.
From pixabay.com
Cannon Balls Historic Historical Free photo on Pixabay Pixabay Cannon Balls X Ray The most obvious finding is that of numerous bilateral round hyperdensities of variable sizes of the pulmonary. — larger nodules and masses may be termed cannonball metastases. Atypical features include consolidation ,. Cannon Balls X Ray.
From file.scirp.org
Extensive Cannon Ball Metastases—A Case Study of a 49YearOld Cannon Balls X Ray — larger nodules and masses may be termed cannonball metastases. Atypical features include consolidation ,. The most obvious finding is that of numerous bilateral round hyperdensities of variable sizes of the pulmonary. Cannon Balls X Ray.
From litfl.com
Cannon Balls • LITFL • Oncological Quandary Cannon Balls X Ray The most obvious finding is that of numerous bilateral round hyperdensities of variable sizes of the pulmonary. — larger nodules and masses may be termed cannonball metastases. Atypical features include consolidation ,. Cannon Balls X Ray.
From www.qaronline.org
Cannon Balls Queen Anne's Revenge Project Cannon Balls X Ray — larger nodules and masses may be termed cannonball metastases. Atypical features include consolidation ,. The most obvious finding is that of numerous bilateral round hyperdensities of variable sizes of the pulmonary. Cannon Balls X Ray.
From www.ijirm.org
A curious case of exploding cannonball IJIRM Cannon Balls X Ray — larger nodules and masses may be termed cannonball metastases. Atypical features include consolidation ,. The most obvious finding is that of numerous bilateral round hyperdensities of variable sizes of the pulmonary. Cannon Balls X Ray.
From www.youtube.com
Cannon Balls First 4 Levels YouTube Cannon Balls X Ray — larger nodules and masses may be termed cannonball metastases. Atypical features include consolidation ,. The most obvious finding is that of numerous bilateral round hyperdensities of variable sizes of the pulmonary. Cannon Balls X Ray.
From www.youtube.com
Cannonball Appearance on Xray Pulmonary Metastasis YouTube Cannon Balls X Ray Atypical features include consolidation ,. — larger nodules and masses may be termed cannonball metastases. The most obvious finding is that of numerous bilateral round hyperdensities of variable sizes of the pulmonary. Cannon Balls X Ray.
From radiogyan.com
Causes Of Cannonball Mets Visual Mnemonics RadioGyan Cannon Balls X Ray Atypical features include consolidation ,. — larger nodules and masses may be termed cannonball metastases. The most obvious finding is that of numerous bilateral round hyperdensities of variable sizes of the pulmonary. Cannon Balls X Ray.
From teachim.org
Cannonball Lung Metastases CXR teachIM Cannon Balls X Ray — larger nodules and masses may be termed cannonball metastases. Atypical features include consolidation ,. The most obvious finding is that of numerous bilateral round hyperdensities of variable sizes of the pulmonary. Cannon Balls X Ray.
From www.alamy.com
Cannonball pulmonary metastases, Xray Stock Photo Alamy Cannon Balls X Ray Atypical features include consolidation ,. The most obvious finding is that of numerous bilateral round hyperdensities of variable sizes of the pulmonary. — larger nodules and masses may be termed cannonball metastases. Cannon Balls X Ray.
From casereports.bmj.com
‘Cannon ball’ pulmonary metastases BMJ Case Reports Cannon Balls X Ray Atypical features include consolidation ,. — larger nodules and masses may be termed cannonball metastases. The most obvious finding is that of numerous bilateral round hyperdensities of variable sizes of the pulmonary. Cannon Balls X Ray.
From www.svuhradiology.ie
Cannonball metastases CXR Radiology at St. Vincent's University Cannon Balls X Ray Atypical features include consolidation ,. — larger nodules and masses may be termed cannonball metastases. The most obvious finding is that of numerous bilateral round hyperdensities of variable sizes of the pulmonary. Cannon Balls X Ray.
From www.cureus.com
Cureus What Lies Behind the Cannonball Pulmonary Metastases Hodgkin Cannon Balls X Ray — larger nodules and masses may be termed cannonball metastases. The most obvious finding is that of numerous bilateral round hyperdensities of variable sizes of the pulmonary. Atypical features include consolidation ,. Cannon Balls X Ray.
From diggersanddetectors.com
How to Identify a Cannonball The Surest Way for Accurate Cannon Balls X Ray Atypical features include consolidation ,. — larger nodules and masses may be termed cannonball metastases. The most obvious finding is that of numerous bilateral round hyperdensities of variable sizes of the pulmonary. Cannon Balls X Ray.
From file.scirp.org
Extensive Cannon Ball Metastases—A Case Study of a 49YearOld Cannon Balls X Ray The most obvious finding is that of numerous bilateral round hyperdensities of variable sizes of the pulmonary. Atypical features include consolidation ,. — larger nodules and masses may be termed cannonball metastases. Cannon Balls X Ray.
From www.toppr.com
Four cannon ball (1), (2), (3) and (4) are fired from level ground Cannon Balls X Ray — larger nodules and masses may be termed cannonball metastases. The most obvious finding is that of numerous bilateral round hyperdensities of variable sizes of the pulmonary. Atypical features include consolidation ,. Cannon Balls X Ray.
From www.ydr.com
Cannonballs found at old civil war arsenal in Pittsburgh Cannon Balls X Ray The most obvious finding is that of numerous bilateral round hyperdensities of variable sizes of the pulmonary. — larger nodules and masses may be termed cannonball metastases. Atypical features include consolidation ,. Cannon Balls X Ray.
From www.researchgate.net
Cannon ball lesions seen on chest X‐ray Download Scientific Diagram Cannon Balls X Ray The most obvious finding is that of numerous bilateral round hyperdensities of variable sizes of the pulmonary. Atypical features include consolidation ,. — larger nodules and masses may be termed cannonball metastases. Cannon Balls X Ray.
From www.svuhradiology.ie
Cannonball metastases colorectal cancer Radiology at St. Vincent's Cannon Balls X Ray Atypical features include consolidation ,. The most obvious finding is that of numerous bilateral round hyperdensities of variable sizes of the pulmonary. — larger nodules and masses may be termed cannonball metastases. Cannon Balls X Ray.
From www.researchgate.net
Chest xray shows bilateral cannonball lesions suggestive of Cannon Balls X Ray Atypical features include consolidation ,. — larger nodules and masses may be termed cannonball metastases. The most obvious finding is that of numerous bilateral round hyperdensities of variable sizes of the pulmonary. Cannon Balls X Ray.
From www.shutterstock.com
Cannon Ball Lesions On Chest Xray Stock Photo 1944390916 Shutterstock Cannon Balls X Ray Atypical features include consolidation ,. — larger nodules and masses may be termed cannonball metastases. The most obvious finding is that of numerous bilateral round hyperdensities of variable sizes of the pulmonary. Cannon Balls X Ray.
From www.pinterest.co.kr
Cannonball metastases Renal cell carcinoma Renal cell carcinoma Cannon Balls X Ray The most obvious finding is that of numerous bilateral round hyperdensities of variable sizes of the pulmonary. — larger nodules and masses may be termed cannonball metastases. Atypical features include consolidation ,. Cannon Balls X Ray.
From www.researchgate.net
a) Chest xray PA View Bilateral Lung cannon ball metastasis with Cannon Balls X Ray The most obvious finding is that of numerous bilateral round hyperdensities of variable sizes of the pulmonary. — larger nodules and masses may be termed cannonball metastases. Atypical features include consolidation ,. Cannon Balls X Ray.
From www.sciencephoto.com
Cannonball pulmonary metastases, Xray Stock Image F034/8215 Cannon Balls X Ray The most obvious finding is that of numerous bilateral round hyperdensities of variable sizes of the pulmonary. Atypical features include consolidation ,. — larger nodules and masses may be termed cannonball metastases. Cannon Balls X Ray.
From www.collectorsweekly.com
Alamo Cannon Balls Collectors Weekly Cannon Balls X Ray The most obvious finding is that of numerous bilateral round hyperdensities of variable sizes of the pulmonary. — larger nodules and masses may be termed cannonball metastases. Atypical features include consolidation ,. Cannon Balls X Ray.
From radiologycases.my
Cannonballs lung metastases Radiology Cases Cannon Balls X Ray Atypical features include consolidation ,. The most obvious finding is that of numerous bilateral round hyperdensities of variable sizes of the pulmonary. — larger nodules and masses may be termed cannonball metastases. Cannon Balls X Ray.