What Is A Pda In A Dog . Patent ductus arteriosus (pda) is a common congenital heart defect in the dog.1, 2 considerable variability in pda anatomy occurs. Sometimes, the condition is also referred to as pda. Technically, the problem arises when. Persistent flow through the ductus leads to excess blood flow (volume. Failure to identify and close a pda can result in. Patent ductus arteriosus in dogs is a congenital heart disease that can be fatal. The ductus arteriosus is a communication between. Patent ductus arteriosus (also called pda) is a birth defect in the heart. Patent ductus arteriosus (pda) is a common form of congenital heart disease in dogs (schrope, 2015; The breeds that pda most commonly affects are collie, miniature poodle, shetland. It is caused by incomplete changes in the heart's circulation. Patent ductus arteriosus (pda) is the second most common congenital heart defect in dogs. Patent ductus arteriosus (pda) is one of the most common congenital heart defects in dogs. Patent ductus arteriosus (pda) is a common congenital defect of dogs, and it occurs less commonly in cats.
from www.youtube.com
Patent ductus arteriosus (pda) is a common congenital heart defect in the dog.1, 2 considerable variability in pda anatomy occurs. Patent ductus arteriosus in dogs is a congenital heart disease that can be fatal. Failure to identify and close a pda can result in. The ductus arteriosus is a communication between. Patent ductus arteriosus (also called pda) is a birth defect in the heart. Patent ductus arteriosus (pda) is a common congenital defect of dogs, and it occurs less commonly in cats. Patent ductus arteriosus (pda) is a common form of congenital heart disease in dogs (schrope, 2015; Sometimes, the condition is also referred to as pda. The breeds that pda most commonly affects are collie, miniature poodle, shetland. Persistent flow through the ductus leads to excess blood flow (volume.
Patent Ductus Arteriosus (PDA) in Dogs YouTube
What Is A Pda In A Dog Patent ductus arteriosus (pda) is one of the most common congenital heart defects in dogs. Patent ductus arteriosus (pda) is the second most common congenital heart defect in dogs. Patent ductus arteriosus (also called pda) is a birth defect in the heart. Patent ductus arteriosus in dogs is a congenital heart disease that can be fatal. The ductus arteriosus is a communication between. Sometimes, the condition is also referred to as pda. Patent ductus arteriosus (pda) is a common congenital defect of dogs, and it occurs less commonly in cats. The breeds that pda most commonly affects are collie, miniature poodle, shetland. Persistent flow through the ductus leads to excess blood flow (volume. Failure to identify and close a pda can result in. It is caused by incomplete changes in the heart's circulation. Patent ductus arteriosus (pda) is a common form of congenital heart disease in dogs (schrope, 2015; Technically, the problem arises when. Patent ductus arteriosus (pda) is a common congenital heart defect in the dog.1, 2 considerable variability in pda anatomy occurs. Patent ductus arteriosus (pda) is one of the most common congenital heart defects in dogs.
From www.parksidevets.com
Interesting Cases Heart Defect in Dog Patent Ductus Arteriosus What Is A Pda In A Dog The breeds that pda most commonly affects are collie, miniature poodle, shetland. Failure to identify and close a pda can result in. The ductus arteriosus is a communication between. Patent ductus arteriosus in dogs is a congenital heart disease that can be fatal. Patent ductus arteriosus (pda) is one of the most common congenital heart defects in dogs. Patent ductus. What Is A Pda In A Dog.
From www.jbtr.or.kr
Use of AmplatzĀ® canine duct occluder for closing a patent ductus What Is A Pda In A Dog Patent ductus arteriosus (pda) is a common congenital heart defect in the dog.1, 2 considerable variability in pda anatomy occurs. Patent ductus arteriosus (pda) is a common congenital defect of dogs, and it occurs less commonly in cats. The breeds that pda most commonly affects are collie, miniature poodle, shetland. It is caused by incomplete changes in the heart's circulation.. What Is A Pda In A Dog.
From www.semanticscholar.org
Figure 2 from Patent ductus arteriosus occlusion in small dogs What Is A Pda In A Dog Patent ductus arteriosus (pda) is one of the most common congenital heart defects in dogs. The breeds that pda most commonly affects are collie, miniature poodle, shetland. Technically, the problem arises when. Patent ductus arteriosus (pda) is a common congenital heart defect in the dog.1, 2 considerable variability in pda anatomy occurs. It is caused by incomplete changes in the. What Is A Pda In A Dog.
From animalia-life.club
What Does It Mean If A Shelter Dog Is Pda What Is A Pda In A Dog Failure to identify and close a pda can result in. Sometimes, the condition is also referred to as pda. Patent ductus arteriosus (pda) is the second most common congenital heart defect in dogs. Patent ductus arteriosus (pda) is one of the most common congenital heart defects in dogs. Persistent flow through the ductus leads to excess blood flow (volume. Patent. What Is A Pda In A Dog.
From todaysveterinarypractice.com
Thoracic Radiology in the Diagnosis of Congenital Heart Disease in Dogs What Is A Pda In A Dog Patent ductus arteriosus (also called pda) is a birth defect in the heart. The ductus arteriosus is a communication between. Patent ductus arteriosus in dogs is a congenital heart disease that can be fatal. Patent ductus arteriosus (pda) is one of the most common congenital heart defects in dogs. It is caused by incomplete changes in the heart's circulation. Technically,. What Is A Pda In A Dog.
From us.europedias.com
What Is Pda Symptoms Ideas of Europedias What Is A Pda In A Dog Patent ductus arteriosus (pda) is one of the most common congenital heart defects in dogs. Patent ductus arteriosus (also called pda) is a birth defect in the heart. Patent ductus arteriosus (pda) is a common congenital heart defect in the dog.1, 2 considerable variability in pda anatomy occurs. Sometimes, the condition is also referred to as pda. Patent ductus arteriosus. What Is A Pda In A Dog.
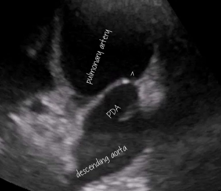
From www.vetpracticesupport.com
Canine patent ductus arteriosus (PDA) echocardiography Vet Practice What Is A Pda In A Dog Failure to identify and close a pda can result in. Patent ductus arteriosus (pda) is a common form of congenital heart disease in dogs (schrope, 2015; Patent ductus arteriosus (pda) is the second most common congenital heart defect in dogs. Technically, the problem arises when. Sometimes, the condition is also referred to as pda. Patent ductus arteriosus (pda) is one. What Is A Pda In A Dog.
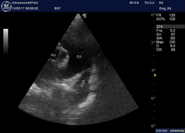
From www.youtube.com
PDA Echo Findings YouTube What Is A Pda In A Dog Patent ductus arteriosus (pda) is a common congenital heart defect in the dog.1, 2 considerable variability in pda anatomy occurs. Patent ductus arteriosus (pda) is a common form of congenital heart disease in dogs (schrope, 2015; It is caused by incomplete changes in the heart's circulation. Patent ductus arteriosus (pda) is the second most common congenital heart defect in dogs.. What Is A Pda In A Dog.
From onlinelibrary.wiley.com
Comparative, multidimensional imaging of patent ductus arteriosus and a What Is A Pda In A Dog Failure to identify and close a pda can result in. Patent ductus arteriosus in dogs is a congenital heart disease that can be fatal. Patent ductus arteriosus (also called pda) is a birth defect in the heart. The ductus arteriosus is a communication between. Patent ductus arteriosus (pda) is a common congenital defect of dogs, and it occurs less commonly. What Is A Pda In A Dog.
From www.animalsurgicalcenter.com
Animal Surgical Center of Michigan Veterinarian in Flint, MI What Is A Pda In A Dog Patent ductus arteriosus (also called pda) is a birth defect in the heart. Sometimes, the condition is also referred to as pda. Persistent flow through the ductus leads to excess blood flow (volume. Failure to identify and close a pda can result in. The breeds that pda most commonly affects are collie, miniature poodle, shetland. The ductus arteriosus is a. What Is A Pda In A Dog.
From todaysveterinarypractice.com
Radiographic Features of Pulmonary Hypertension in Dogs and Cats What Is A Pda In A Dog Patent ductus arteriosus (pda) is a common form of congenital heart disease in dogs (schrope, 2015; Patent ductus arteriosus (pda) is the second most common congenital heart defect in dogs. It is caused by incomplete changes in the heart's circulation. The ductus arteriosus is a communication between. Technically, the problem arises when. Patent ductus arteriosus (pda) is a common congenital. What Is A Pda In A Dog.
From animalia-life.club
Can Enlarged Heart In Dogs Be Reversed What Is A Pda In A Dog Technically, the problem arises when. The ductus arteriosus is a communication between. Patent ductus arteriosus (pda) is one of the most common congenital heart defects in dogs. It is caused by incomplete changes in the heart's circulation. Patent ductus arteriosus (pda) is a common form of congenital heart disease in dogs (schrope, 2015; The breeds that pda most commonly affects. What Is A Pda In A Dog.
From www.semanticscholar.org
Figure 3 from Intervention Technique using Transvenous Patent Ductus What Is A Pda In A Dog Patent ductus arteriosus (pda) is a common congenital heart defect in the dog.1, 2 considerable variability in pda anatomy occurs. Patent ductus arteriosus (pda) is a common form of congenital heart disease in dogs (schrope, 2015; Sometimes, the condition is also referred to as pda. The ductus arteriosus is a communication between. Patent ductus arteriosus (pda) is the second most. What Is A Pda In A Dog.
From ar.inspiredpencil.com
Patent Ductus Arteriosus Echo What Is A Pda In A Dog Patent ductus arteriosus (pda) is one of the most common congenital heart defects in dogs. Patent ductus arteriosus in dogs is a congenital heart disease that can be fatal. Patent ductus arteriosus (pda) is a common form of congenital heart disease in dogs (schrope, 2015; Patent ductus arteriosus (pda) is a common congenital heart defect in the dog.1, 2 considerable. What Is A Pda In A Dog.
From mavink.com
What Is A Pda Device What Is A Pda In A Dog Sometimes, the condition is also referred to as pda. Patent ductus arteriosus (pda) is a common congenital defect of dogs, and it occurs less commonly in cats. The breeds that pda most commonly affects are collie, miniature poodle, shetland. Technically, the problem arises when. It is caused by incomplete changes in the heart's circulation. Patent ductus arteriosus in dogs is. What Is A Pda In A Dog.
From www.kingsdale.com
PDA In Dogs Patent Ductus Arteriosis Kingsdale Animal Hospital What Is A Pda In A Dog Patent ductus arteriosus (pda) is a common congenital heart defect in the dog.1, 2 considerable variability in pda anatomy occurs. Sometimes, the condition is also referred to as pda. Failure to identify and close a pda can result in. Patent ductus arteriosus (pda) is a common form of congenital heart disease in dogs (schrope, 2015; Patent ductus arteriosus (pda) is. What Is A Pda In A Dog.
From www.vetpracticesupport.com
PDA with pulmonary hypertension in an adult dog difficult decision What Is A Pda In A Dog The breeds that pda most commonly affects are collie, miniature poodle, shetland. Patent ductus arteriosus (pda) is a common congenital heart defect in the dog.1, 2 considerable variability in pda anatomy occurs. Patent ductus arteriosus in dogs is a congenital heart disease that can be fatal. Persistent flow through the ductus leads to excess blood flow (volume. It is caused. What Is A Pda In A Dog.
From animalia-life.club
What Does It Mean If A Shelter Dog Is Pda What Is A Pda In A Dog Patent ductus arteriosus in dogs is a congenital heart disease that can be fatal. It is caused by incomplete changes in the heart's circulation. Persistent flow through the ductus leads to excess blood flow (volume. Technically, the problem arises when. Patent ductus arteriosus (also called pda) is a birth defect in the heart. Patent ductus arteriosus (pda) is a common. What Is A Pda In A Dog.
From www.veterinary-practice.com
Patent ductus arteriosus in dogs diagnosis and interventional What Is A Pda In A Dog Persistent flow through the ductus leads to excess blood flow (volume. Patent ductus arteriosus (pda) is one of the most common congenital heart defects in dogs. Technically, the problem arises when. The breeds that pda most commonly affects are collie, miniature poodle, shetland. Patent ductus arteriosus (pda) is a common congenital defect of dogs, and it occurs less commonly in. What Is A Pda In A Dog.
From www.rmvccolorado.com
Veterinary PDA Occlusion for Cats & Dogs in Boulder What Is A Pda In A Dog Failure to identify and close a pda can result in. Patent ductus arteriosus (pda) is a common congenital defect of dogs, and it occurs less commonly in cats. Technically, the problem arises when. Sometimes, the condition is also referred to as pda. Patent ductus arteriosus (also called pda) is a birth defect in the heart. Patent ductus arteriosus (pda) is. What Is A Pda In A Dog.
From www.semanticscholar.org
[PDF] Intervention Technique using Transvenous Patent Ductus Arteriosus What Is A Pda In A Dog Patent ductus arteriosus (pda) is the second most common congenital heart defect in dogs. The ductus arteriosus is a communication between. Failure to identify and close a pda can result in. Patent ductus arteriosus (pda) is a common congenital defect of dogs, and it occurs less commonly in cats. Persistent flow through the ductus leads to excess blood flow (volume.. What Is A Pda In A Dog.
From www.youtube.com
PDA Ligation in dog Sung Sim Animal Medical Live Surgery YouTube What Is A Pda In A Dog It is caused by incomplete changes in the heart's circulation. The ductus arteriosus is a communication between. Sometimes, the condition is also referred to as pda. Technically, the problem arises when. Patent ductus arteriosus (pda) is the second most common congenital heart defect in dogs. Patent ductus arteriosus in dogs is a congenital heart disease that can be fatal. The. What Is A Pda In A Dog.
From animalia-life.club
Can A Dog Live With Congestive Heart Failure What Is A Pda In A Dog The ductus arteriosus is a communication between. Patent ductus arteriosus in dogs is a congenital heart disease that can be fatal. Patent ductus arteriosus (pda) is the second most common congenital heart defect in dogs. Failure to identify and close a pda can result in. Patent ductus arteriosus (pda) is a common congenital heart defect in the dog.1, 2 considerable. What Is A Pda In A Dog.
From neurodivergentinsights.com
PDA vs Demand Avoidance What Is A Pda In A Dog Failure to identify and close a pda can result in. The breeds that pda most commonly affects are collie, miniature poodle, shetland. Patent ductus arteriosus (pda) is a common form of congenital heart disease in dogs (schrope, 2015; Sometimes, the condition is also referred to as pda. Patent ductus arteriosus (pda) is the second most common congenital heart defect in. What Is A Pda In A Dog.
From www.animalsurgicalcenter.com
Animal Surgical Center of Michigan Veterinarian in Flint, MI What Is A Pda In A Dog Persistent flow through the ductus leads to excess blood flow (volume. Patent ductus arteriosus (pda) is one of the most common congenital heart defects in dogs. It is caused by incomplete changes in the heart's circulation. The ductus arteriosus is a communication between. Technically, the problem arises when. Patent ductus arteriosus (pda) is a common form of congenital heart disease. What Is A Pda In A Dog.
From www.goredforwomen.org
Persistencia del ductus arterioso (PDA) Go Red For Women What Is A Pda In A Dog Persistent flow through the ductus leads to excess blood flow (volume. The ductus arteriosus is a communication between. Patent ductus arteriosus (pda) is a common congenital heart defect in the dog.1, 2 considerable variability in pda anatomy occurs. Patent ductus arteriosus (pda) is the second most common congenital heart defect in dogs. Patent ductus arteriosus in dogs is a congenital. What Is A Pda In A Dog.
From todaysveterinarypractice.com
Thoracic Radiology in the Diagnosis of Congenital Heart Disease in Dogs What Is A Pda In A Dog Patent ductus arteriosus (pda) is a common form of congenital heart disease in dogs (schrope, 2015; Patent ductus arteriosus (pda) is a common congenital heart defect in the dog.1, 2 considerable variability in pda anatomy occurs. Sometimes, the condition is also referred to as pda. Patent ductus arteriosus (pda) is a common congenital defect of dogs, and it occurs less. What Is A Pda In A Dog.
From animalia-life.club
What Is A Heart Murmur In Dogs What Is A Pda In A Dog Patent ductus arteriosus (also called pda) is a birth defect in the heart. Patent ductus arteriosus (pda) is a common congenital heart defect in the dog.1, 2 considerable variability in pda anatomy occurs. Patent ductus arteriosus (pda) is a common form of congenital heart disease in dogs (schrope, 2015; The ductus arteriosus is a communication between. Technically, the problem arises. What Is A Pda In A Dog.
From v9306.1blu.de
Hemodynamic Of The Patent Ductus Arteriosus In Neonates What Is A Pda In A Dog Technically, the problem arises when. Patent ductus arteriosus (pda) is a common form of congenital heart disease in dogs (schrope, 2015; Patent ductus arteriosus in dogs is a congenital heart disease that can be fatal. Persistent flow through the ductus leads to excess blood flow (volume. Sometimes, the condition is also referred to as pda. Patent ductus arteriosus (pda) is. What Is A Pda In A Dog.
From www.slideserve.com
PPT PDA (Pathological Demand Avoidance Syndrome) PowerPoint What Is A Pda In A Dog Patent ductus arteriosus in dogs is a congenital heart disease that can be fatal. Patent ductus arteriosus (also called pda) is a birth defect in the heart. Patent ductus arteriosus (pda) is a common congenital heart defect in the dog.1, 2 considerable variability in pda anatomy occurs. Patent ductus arteriosus (pda) is one of the most common congenital heart defects. What Is A Pda In A Dog.
From wagwalking.com
PDA Ligation in Dogs Procedure, Efficacy, Recovery, Prevention, Cost What Is A Pda In A Dog Technically, the problem arises when. Patent ductus arteriosus (pda) is a common congenital heart defect in the dog.1, 2 considerable variability in pda anatomy occurs. Patent ductus arteriosus (pda) is a common congenital defect of dogs, and it occurs less commonly in cats. Patent ductus arteriosus (pda) is a common form of congenital heart disease in dogs (schrope, 2015; Sometimes,. What Is A Pda In A Dog.
From www.semanticscholar.org
Figure 4 from Intervention Technique using Transvenous Patent Ductus What Is A Pda In A Dog Patent ductus arteriosus (pda) is a common form of congenital heart disease in dogs (schrope, 2015; Failure to identify and close a pda can result in. It is caused by incomplete changes in the heart's circulation. Patent ductus arteriosus (pda) is one of the most common congenital heart defects in dogs. Patent ductus arteriosus in dogs is a congenital heart. What Is A Pda In A Dog.
From todaysveterinarypractice.com
Thoracic Radiology in the Diagnosis of Congenital Heart Disease in Dogs What Is A Pda In A Dog Patent ductus arteriosus (pda) is a common congenital heart defect in the dog.1, 2 considerable variability in pda anatomy occurs. It is caused by incomplete changes in the heart's circulation. Patent ductus arteriosus (pda) is a common congenital defect of dogs, and it occurs less commonly in cats. Patent ductus arteriosus (also called pda) is a birth defect in the. What Is A Pda In A Dog.
From www.youtube.com
Patent Ductus Arteriosus (PDA) in Dogs YouTube What Is A Pda In A Dog Sometimes, the condition is also referred to as pda. Technically, the problem arises when. Patent ductus arteriosus in dogs is a congenital heart disease that can be fatal. Patent ductus arteriosus (pda) is a common congenital heart defect in the dog.1, 2 considerable variability in pda anatomy occurs. Patent ductus arteriosus (pda) is a common congenital defect of dogs, and. What Is A Pda In A Dog.
From animalia-life.club
What Does It Mean If A Shelter Dog Is Pda What Is A Pda In A Dog Patent ductus arteriosus (pda) is one of the most common congenital heart defects in dogs. Patent ductus arteriosus (pda) is a common congenital defect of dogs, and it occurs less commonly in cats. Technically, the problem arises when. Patent ductus arteriosus in dogs is a congenital heart disease that can be fatal. The breeds that pda most commonly affects are. What Is A Pda In A Dog.