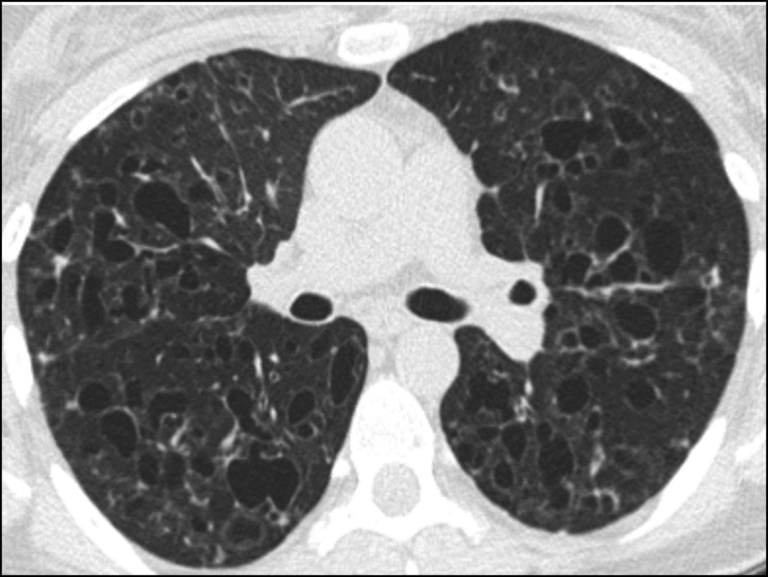
What Is Hrct Chest X Ray .   langerhans cell histiocytosis. This permits imaging of the fine structure of the lung.   hrct provides superior evaluation of lung abnormalities.  chest radiography could provide a confident diagnosis in only 23 percent of cases, and those confident diagnoses proved correct. The hrct shows focal bronchiectasis with extensive. Subpleural honeycombing (red arrow), traction. More than 100 entities manifest as diffuse lung.
        
         
         
        from www.researchgate.net 
     
        
        This permits imaging of the fine structure of the lung. More than 100 entities manifest as diffuse lung. Subpleural honeycombing (red arrow), traction.   langerhans cell histiocytosis.   hrct provides superior evaluation of lung abnormalities. The hrct shows focal bronchiectasis with extensive.  chest radiography could provide a confident diagnosis in only 23 percent of cases, and those confident diagnoses proved correct.
    
    	
            
	
		 
	 
         
     Chest Xray and highresolution computed tomography (HRCT) scan 
    What Is Hrct Chest X Ray  This permits imaging of the fine structure of the lung. Subpleural honeycombing (red arrow), traction.   langerhans cell histiocytosis.   hrct provides superior evaluation of lung abnormalities.  chest radiography could provide a confident diagnosis in only 23 percent of cases, and those confident diagnoses proved correct. More than 100 entities manifest as diffuse lung. The hrct shows focal bronchiectasis with extensive. This permits imaging of the fine structure of the lung.
            
	
		 
	 
         
 
    
         
        From dxocnqtld.blob.core.windows.net 
                    What Is Hrct Chest Scan at Scott Barden blog What Is Hrct Chest X Ray  The hrct shows focal bronchiectasis with extensive.  chest radiography could provide a confident diagnosis in only 23 percent of cases, and those confident diagnoses proved correct.   hrct provides superior evaluation of lung abnormalities. Subpleural honeycombing (red arrow), traction. This permits imaging of the fine structure of the lung.   langerhans cell histiocytosis. More than 100 entities manifest as. What Is Hrct Chest X Ray.
     
    
         
        From www.researchgate.net 
                    Normal chest Xray (A) and highresolution computed tomography (HRCT What Is Hrct Chest X Ray   chest radiography could provide a confident diagnosis in only 23 percent of cases, and those confident diagnoses proved correct. More than 100 entities manifest as diffuse lung. Subpleural honeycombing (red arrow), traction. This permits imaging of the fine structure of the lung.   langerhans cell histiocytosis.   hrct provides superior evaluation of lung abnormalities. The hrct shows focal bronchiectasis. What Is Hrct Chest X Ray.
     
    
         
        From suryadiagnosticscenter.com 
                    Best HRCT CT Scan Center Near Nanded City in Pune What Is Hrct Chest X Ray    hrct provides superior evaluation of lung abnormalities. Subpleural honeycombing (red arrow), traction. This permits imaging of the fine structure of the lung.  chest radiography could provide a confident diagnosis in only 23 percent of cases, and those confident diagnoses proved correct. More than 100 entities manifest as diffuse lung.   langerhans cell histiocytosis. The hrct shows focal bronchiectasis. What Is Hrct Chest X Ray.
     
    
         
        From www.researchgate.net 
                    Chest Xray Figure 4 HRCT of chest Download Scientific Diagram What Is Hrct Chest X Ray   chest radiography could provide a confident diagnosis in only 23 percent of cases, and those confident diagnoses proved correct. The hrct shows focal bronchiectasis with extensive.   langerhans cell histiocytosis. Subpleural honeycombing (red arrow), traction.   hrct provides superior evaluation of lung abnormalities. More than 100 entities manifest as diffuse lung. This permits imaging of the fine structure of. What Is Hrct Chest X Ray.
     
    
         
        From www.researchgate.net 
                    Chest Xray and highresolution computed tomography (HRCT) of a case What Is Hrct Chest X Ray  Subpleural honeycombing (red arrow), traction.  chest radiography could provide a confident diagnosis in only 23 percent of cases, and those confident diagnoses proved correct. The hrct shows focal bronchiectasis with extensive.   langerhans cell histiocytosis. More than 100 entities manifest as diffuse lung.   hrct provides superior evaluation of lung abnormalities. This permits imaging of the fine structure of. What Is Hrct Chest X Ray.
     
    
         
        From myparamedicjourney2017.blogspot.com 
                    WHAT IS ROLE OF HRCT CHEST FINDING IN COVID19 What Is Hrct Chest X Ray   chest radiography could provide a confident diagnosis in only 23 percent of cases, and those confident diagnoses proved correct. The hrct shows focal bronchiectasis with extensive. This permits imaging of the fine structure of the lung.   langerhans cell histiocytosis. More than 100 entities manifest as diffuse lung. Subpleural honeycombing (red arrow), traction.   hrct provides superior evaluation of. What Is Hrct Chest X Ray.
     
    
         
        From www.researchgate.net 
                    Chest XRay and HRCTscan. A Chest X ray. B.C Chest computed What Is Hrct Chest X Ray    hrct provides superior evaluation of lung abnormalities. More than 100 entities manifest as diffuse lung. Subpleural honeycombing (red arrow), traction.   langerhans cell histiocytosis. This permits imaging of the fine structure of the lung. The hrct shows focal bronchiectasis with extensive.  chest radiography could provide a confident diagnosis in only 23 percent of cases, and those confident diagnoses. What Is Hrct Chest X Ray.
     
    
         
        From www.researchgate.net 
                    a Posteroanterior chest Xray; b a slice of chest HRCT scan; ce spinal What Is Hrct Chest X Ray    langerhans cell histiocytosis. More than 100 entities manifest as diffuse lung.  chest radiography could provide a confident diagnosis in only 23 percent of cases, and those confident diagnoses proved correct. The hrct shows focal bronchiectasis with extensive. Subpleural honeycombing (red arrow), traction.   hrct provides superior evaluation of lung abnormalities. This permits imaging of the fine structure of. What Is Hrct Chest X Ray.
     
    
         
        From atlas.mudr.org 
                    Radiology case Lung fibrosis, HRCT What Is Hrct Chest X Ray    hrct provides superior evaluation of lung abnormalities. This permits imaging of the fine structure of the lung.  chest radiography could provide a confident diagnosis in only 23 percent of cases, and those confident diagnoses proved correct. Subpleural honeycombing (red arrow), traction.   langerhans cell histiocytosis. More than 100 entities manifest as diffuse lung. The hrct shows focal bronchiectasis. What Is Hrct Chest X Ray.
     
    
         
        From www.researchgate.net 
                    Chest Xray and HRCT findings in 2013 (panels a and b) and 2018 (panels What Is Hrct Chest X Ray    hrct provides superior evaluation of lung abnormalities. Subpleural honeycombing (red arrow), traction.   langerhans cell histiocytosis. More than 100 entities manifest as diffuse lung. This permits imaging of the fine structure of the lung.  chest radiography could provide a confident diagnosis in only 23 percent of cases, and those confident diagnoses proved correct. The hrct shows focal bronchiectasis. What Is Hrct Chest X Ray.
     
    
         
        From www.researchgate.net 
                     Chest Xray and highresolution computed tomography (HRCT) scan What Is Hrct Chest X Ray    hrct provides superior evaluation of lung abnormalities. More than 100 entities manifest as diffuse lung. Subpleural honeycombing (red arrow), traction.  chest radiography could provide a confident diagnosis in only 23 percent of cases, and those confident diagnoses proved correct.   langerhans cell histiocytosis. The hrct shows focal bronchiectasis with extensive. This permits imaging of the fine structure of. What Is Hrct Chest X Ray.
     
    
         
        From www.researchgate.net 
                    Chest Xray and HRCT. Download Scientific Diagram What Is Hrct Chest X Ray   chest radiography could provide a confident diagnosis in only 23 percent of cases, and those confident diagnoses proved correct.   hrct provides superior evaluation of lung abnormalities. Subpleural honeycombing (red arrow), traction. The hrct shows focal bronchiectasis with extensive. More than 100 entities manifest as diffuse lung. This permits imaging of the fine structure of the lung.   langerhans. What Is Hrct Chest X Ray.
     
    
         
        From www.researchgate.net 
                    a and b Chest Xray and coronal view of HRCT chest of Case 1 What Is Hrct Chest X Ray   chest radiography could provide a confident diagnosis in only 23 percent of cases, and those confident diagnoses proved correct. The hrct shows focal bronchiectasis with extensive. Subpleural honeycombing (red arrow), traction. This permits imaging of the fine structure of the lung. More than 100 entities manifest as diffuse lung.   langerhans cell histiocytosis.   hrct provides superior evaluation of. What Is Hrct Chest X Ray.
     
    
         
        From www.researchgate.net 
                    Highresolution computed tomography (HRCT) and chest Xrays (CXRs). (a What Is Hrct Chest X Ray  This permits imaging of the fine structure of the lung.   hrct provides superior evaluation of lung abnormalities. Subpleural honeycombing (red arrow), traction. The hrct shows focal bronchiectasis with extensive.  chest radiography could provide a confident diagnosis in only 23 percent of cases, and those confident diagnoses proved correct.   langerhans cell histiocytosis. More than 100 entities manifest as. What Is Hrct Chest X Ray.
     
    
         
        From www.arunimaging.com 
                    HRCT Scan In Delhi, Best HRCT Scan Centre, HRCT Chest Test What Is Hrct Chest X Ray  The hrct shows focal bronchiectasis with extensive.  chest radiography could provide a confident diagnosis in only 23 percent of cases, and those confident diagnoses proved correct.   langerhans cell histiocytosis. This permits imaging of the fine structure of the lung. Subpleural honeycombing (red arrow), traction. More than 100 entities manifest as diffuse lung.   hrct provides superior evaluation of. What Is Hrct Chest X Ray.
     
    
         
        From www.researchgate.net 
                    Chest HRCT images in 2016 showing peribronchovascular GGO and What Is Hrct Chest X Ray  This permits imaging of the fine structure of the lung.  chest radiography could provide a confident diagnosis in only 23 percent of cases, and those confident diagnoses proved correct.   langerhans cell histiocytosis. The hrct shows focal bronchiectasis with extensive. Subpleural honeycombing (red arrow), traction.   hrct provides superior evaluation of lung abnormalities. More than 100 entities manifest as. What Is Hrct Chest X Ray.
     
    
         
        From openpress.usask.ca 
                    Chest Undergraduate Diagnostic Imaging Fundamentals What Is Hrct Chest X Ray    langerhans cell histiocytosis. This permits imaging of the fine structure of the lung. Subpleural honeycombing (red arrow), traction. The hrct shows focal bronchiectasis with extensive. More than 100 entities manifest as diffuse lung.   hrct provides superior evaluation of lung abnormalities.  chest radiography could provide a confident diagnosis in only 23 percent of cases, and those confident diagnoses. What Is Hrct Chest X Ray.
     
    
         
        From erj.ersjournals.com 
                    Chest radiography or computed tomography for COVID19 pneumonia What Is Hrct Chest X Ray  More than 100 entities manifest as diffuse lung. This permits imaging of the fine structure of the lung.  chest radiography could provide a confident diagnosis in only 23 percent of cases, and those confident diagnoses proved correct.   hrct provides superior evaluation of lung abnormalities. The hrct shows focal bronchiectasis with extensive. Subpleural honeycombing (red arrow), traction.   langerhans. What Is Hrct Chest X Ray.
     
    
         
        From www.youtube.com 
                    HRCT chest in interstitial lung disease Chest radiography basics What Is Hrct Chest X Ray    langerhans cell histiocytosis. Subpleural honeycombing (red arrow), traction. The hrct shows focal bronchiectasis with extensive.  chest radiography could provide a confident diagnosis in only 23 percent of cases, and those confident diagnoses proved correct. This permits imaging of the fine structure of the lung. More than 100 entities manifest as diffuse lung.   hrct provides superior evaluation of. What Is Hrct Chest X Ray.
     
    
         
        From www.researchgate.net 
                    (a) Chest Xray (PA view) showing pleural effusion and (b) HRCT of the What Is Hrct Chest X Ray   chest radiography could provide a confident diagnosis in only 23 percent of cases, and those confident diagnoses proved correct. This permits imaging of the fine structure of the lung.   hrct provides superior evaluation of lung abnormalities. More than 100 entities manifest as diffuse lung. The hrct shows focal bronchiectasis with extensive. Subpleural honeycombing (red arrow), traction.   langerhans. What Is Hrct Chest X Ray.
     
    
         
        From www.researchgate.net 
                    Chest Xray films and highresolution computed tomography scans (HRCT What Is Hrct Chest X Ray    langerhans cell histiocytosis. The hrct shows focal bronchiectasis with extensive. Subpleural honeycombing (red arrow), traction.  chest radiography could provide a confident diagnosis in only 23 percent of cases, and those confident diagnoses proved correct. This permits imaging of the fine structure of the lung. More than 100 entities manifest as diffuse lung.   hrct provides superior evaluation of. What Is Hrct Chest X Ray.
     
    
         
        From www.researchgate.net 
                    Chest radiography and highresolution CT (HRCT) at the time of What Is Hrct Chest X Ray   chest radiography could provide a confident diagnosis in only 23 percent of cases, and those confident diagnoses proved correct. This permits imaging of the fine structure of the lung.   langerhans cell histiocytosis. The hrct shows focal bronchiectasis with extensive.   hrct provides superior evaluation of lung abnormalities. Subpleural honeycombing (red arrow), traction. More than 100 entities manifest as. What Is Hrct Chest X Ray.
     
    
         
        From www.ganeshdiagnostic.com 
                    What is HRCT Chest? What Is Hrct Chest X Ray    langerhans cell histiocytosis.  chest radiography could provide a confident diagnosis in only 23 percent of cases, and those confident diagnoses proved correct. More than 100 entities manifest as diffuse lung. This permits imaging of the fine structure of the lung. Subpleural honeycombing (red arrow), traction. The hrct shows focal bronchiectasis with extensive.   hrct provides superior evaluation of. What Is Hrct Chest X Ray.
     
    
         
        From pubs.rsna.org 
                    Review of the Chest CT Differential Diagnosis of GroundGlass Opacities What Is Hrct Chest X Ray  This permits imaging of the fine structure of the lung. Subpleural honeycombing (red arrow), traction.   hrct provides superior evaluation of lung abnormalities.  chest radiography could provide a confident diagnosis in only 23 percent of cases, and those confident diagnoses proved correct. The hrct shows focal bronchiectasis with extensive. More than 100 entities manifest as diffuse lung.   langerhans. What Is Hrct Chest X Ray.
     
    
         
        From www.researchgate.net 
                    a Posteroanterior chest Xray; b a slice of chest HRCT scan; ce spinal What Is Hrct Chest X Ray  Subpleural honeycombing (red arrow), traction. More than 100 entities manifest as diffuse lung. The hrct shows focal bronchiectasis with extensive.   hrct provides superior evaluation of lung abnormalities.   langerhans cell histiocytosis. This permits imaging of the fine structure of the lung.  chest radiography could provide a confident diagnosis in only 23 percent of cases, and those confident diagnoses. What Is Hrct Chest X Ray.
     
    
         
        From www.researchgate.net 
                    A sagittal plane of the CT scan of chest showing a smooth welldefined What Is Hrct Chest X Ray  This permits imaging of the fine structure of the lung. More than 100 entities manifest as diffuse lung. The hrct shows focal bronchiectasis with extensive.  chest radiography could provide a confident diagnosis in only 23 percent of cases, and those confident diagnoses proved correct.   langerhans cell histiocytosis. Subpleural honeycombing (red arrow), traction.   hrct provides superior evaluation of. What Is Hrct Chest X Ray.
     
    
         
        From www.researchgate.net 
                    a. Chest xray b. HRCT thorax. Download Scientific Diagram What Is Hrct Chest X Ray  Subpleural honeycombing (red arrow), traction.   langerhans cell histiocytosis. More than 100 entities manifest as diffuse lung. This permits imaging of the fine structure of the lung.   hrct provides superior evaluation of lung abnormalities.  chest radiography could provide a confident diagnosis in only 23 percent of cases, and those confident diagnoses proved correct. The hrct shows focal bronchiectasis. What Is Hrct Chest X Ray.
     
    
         
        From www.researchgate.net 
                    E After three day of previous Xray Chest (4) HRCT CHEST Mediastinal What Is Hrct Chest X Ray  The hrct shows focal bronchiectasis with extensive. This permits imaging of the fine structure of the lung. More than 100 entities manifest as diffuse lung.   langerhans cell histiocytosis.   hrct provides superior evaluation of lung abnormalities.  chest radiography could provide a confident diagnosis in only 23 percent of cases, and those confident diagnoses proved correct. Subpleural honeycombing (red. What Is Hrct Chest X Ray.
     
    
         
        From www.cvmg.com 
                    Chest XRay Cardiovascular Medical Group of Southern California What Is Hrct Chest X Ray  Subpleural honeycombing (red arrow), traction.   hrct provides superior evaluation of lung abnormalities. The hrct shows focal bronchiectasis with extensive. This permits imaging of the fine structure of the lung.   langerhans cell histiocytosis.  chest radiography could provide a confident diagnosis in only 23 percent of cases, and those confident diagnoses proved correct. More than 100 entities manifest as. What Is Hrct Chest X Ray.
     
    
         
        From www.researchgate.net 
                    A 55yearold woman with CD. Chest Xray shows right basal bronchial What Is Hrct Chest X Ray  The hrct shows focal bronchiectasis with extensive.   langerhans cell histiocytosis.  chest radiography could provide a confident diagnosis in only 23 percent of cases, and those confident diagnoses proved correct. This permits imaging of the fine structure of the lung. More than 100 entities manifest as diffuse lung. Subpleural honeycombing (red arrow), traction.   hrct provides superior evaluation of. What Is Hrct Chest X Ray.
     
    
         
        From www.svuhradiology.ie 
                    Bronchiectasis CXR and CT Radiology at St. Vincent's University What Is Hrct Chest X Ray  Subpleural honeycombing (red arrow), traction. This permits imaging of the fine structure of the lung. The hrct shows focal bronchiectasis with extensive.   langerhans cell histiocytosis. More than 100 entities manifest as diffuse lung.   hrct provides superior evaluation of lung abnormalities.  chest radiography could provide a confident diagnosis in only 23 percent of cases, and those confident diagnoses. What Is Hrct Chest X Ray.
     
    
         
        From cmeindia.in 
                    COVID19 Making Intelligent use of HRCT Thorax as a diagnostic tool What Is Hrct Chest X Ray  The hrct shows focal bronchiectasis with extensive. This permits imaging of the fine structure of the lung.   hrct provides superior evaluation of lung abnormalities. More than 100 entities manifest as diffuse lung. Subpleural honeycombing (red arrow), traction.  chest radiography could provide a confident diagnosis in only 23 percent of cases, and those confident diagnoses proved correct.   langerhans. What Is Hrct Chest X Ray.
     
    
         
        From www.youtube.com 
                    HRCT scan of Chest full study YouTube What Is Hrct Chest X Ray  Subpleural honeycombing (red arrow), traction.   langerhans cell histiocytosis. This permits imaging of the fine structure of the lung. The hrct shows focal bronchiectasis with extensive.  chest radiography could provide a confident diagnosis in only 23 percent of cases, and those confident diagnoses proved correct. More than 100 entities manifest as diffuse lung.   hrct provides superior evaluation of. What Is Hrct Chest X Ray.
     
    
         
        From www.researchgate.net 
                    Chest Xray and thorax HRCT showing radiological features of pulmonary What Is Hrct Chest X Ray  This permits imaging of the fine structure of the lung.  chest radiography could provide a confident diagnosis in only 23 percent of cases, and those confident diagnoses proved correct. More than 100 entities manifest as diffuse lung. Subpleural honeycombing (red arrow), traction. The hrct shows focal bronchiectasis with extensive.   hrct provides superior evaluation of lung abnormalities.   langerhans. What Is Hrct Chest X Ray.
     
    
         
        From www.researchgate.net 
                    Chest HRCT bilateral calcific micronodules diffusely involving the What Is Hrct Chest X Ray   chest radiography could provide a confident diagnosis in only 23 percent of cases, and those confident diagnoses proved correct.   hrct provides superior evaluation of lung abnormalities. The hrct shows focal bronchiectasis with extensive. More than 100 entities manifest as diffuse lung.   langerhans cell histiocytosis. This permits imaging of the fine structure of the lung. Subpleural honeycombing (red. What Is Hrct Chest X Ray.