What Is Resin Infiltration . Resin infiltration is a technique that has been available as a commercial product since 2010. Resin infiltration technique is a novel technology that bridges the gap between prevention and restoration of carious lesions up to the first. Resin infiltration significantly changes surface roughness, microhardness and shear bond strength in both sound enamel and wsls. The icon (infiltration concept) was designed as a minimally invasive resin infiltration system for treating incipient caries in patients of all ages. The procedure consists of etching the. Resin infiltration has stood out as a successful minimally invasive therapeutic approach to conceal such opacities with.
from www.oralhealthgroup.com
Resin infiltration significantly changes surface roughness, microhardness and shear bond strength in both sound enamel and wsls. The procedure consists of etching the. Resin infiltration is a technique that has been available as a commercial product since 2010. Resin infiltration technique is a novel technology that bridges the gap between prevention and restoration of carious lesions up to the first. Resin infiltration has stood out as a successful minimally invasive therapeutic approach to conceal such opacities with. The icon (infiltration concept) was designed as a minimally invasive resin infiltration system for treating incipient caries in patients of all ages.
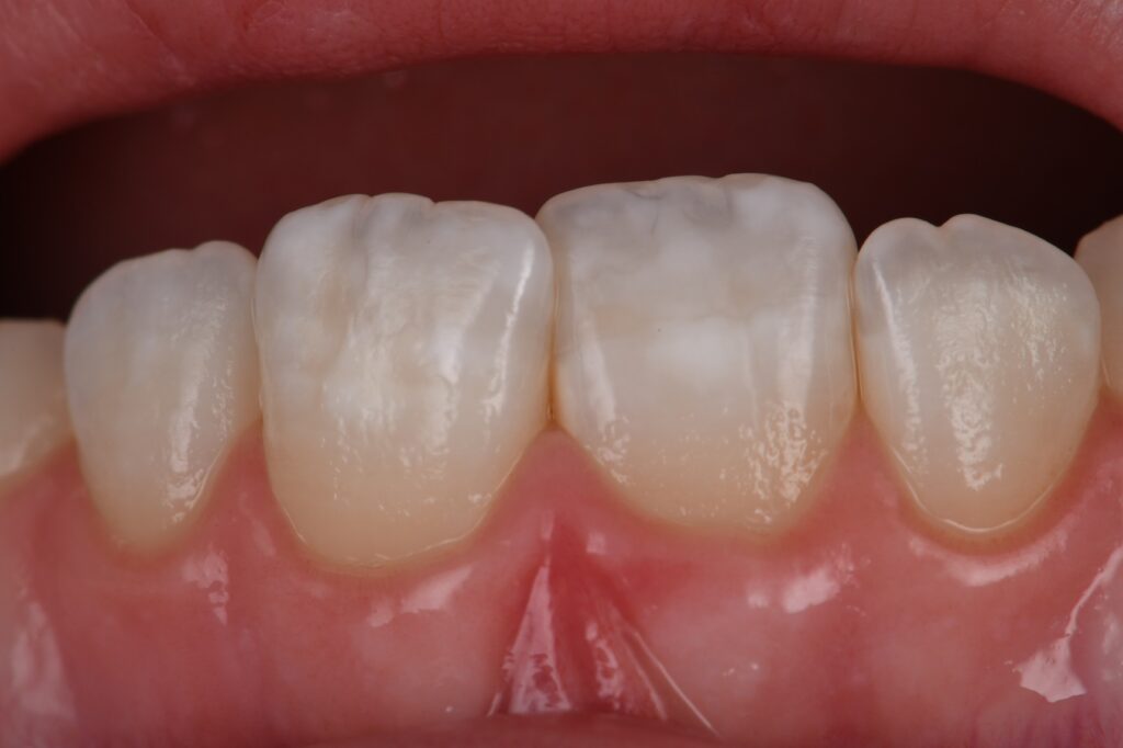
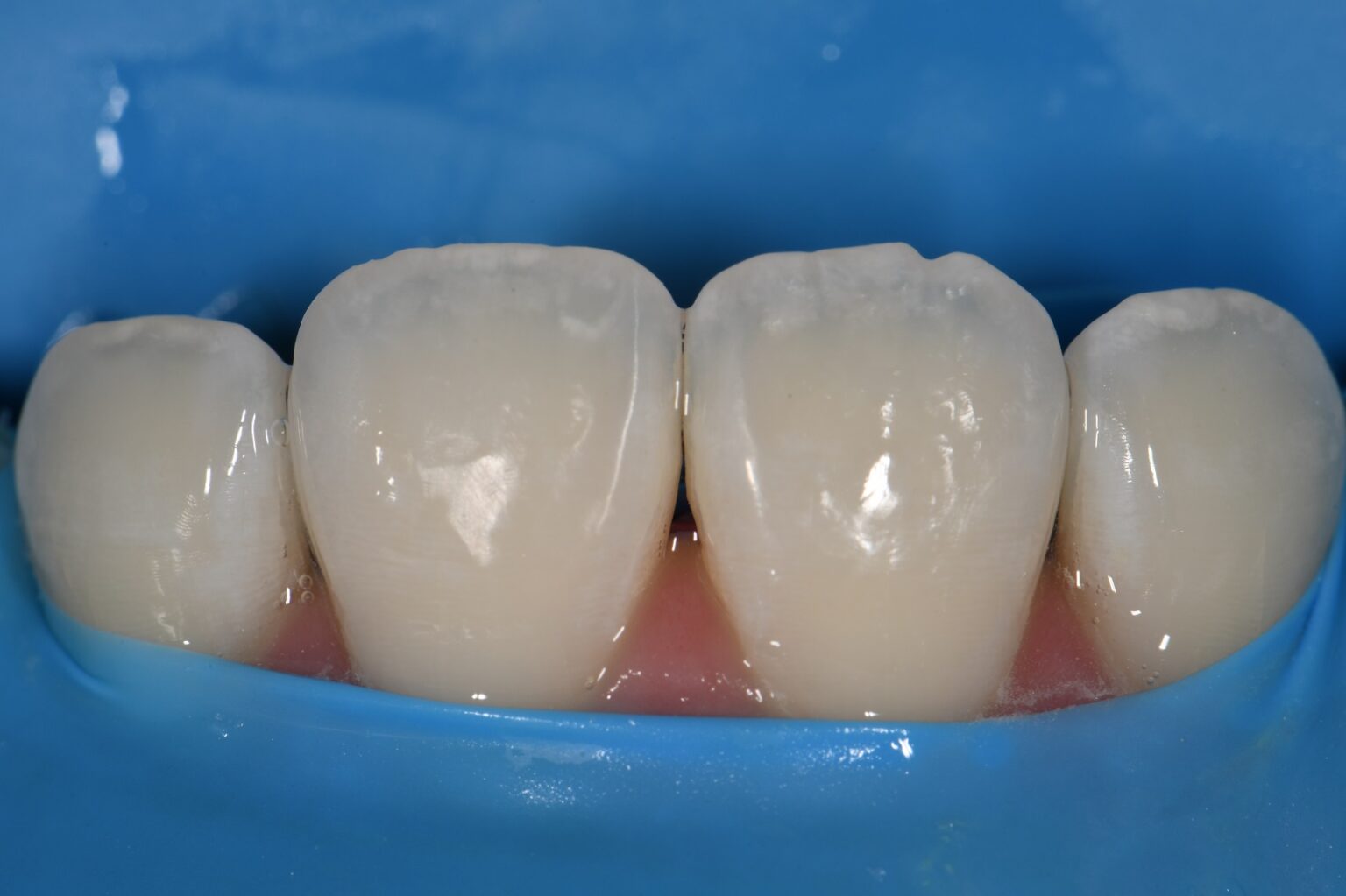
Resin Infiltration as Treatment for an Anterior Tooth Discoloration of
What Is Resin Infiltration Resin infiltration significantly changes surface roughness, microhardness and shear bond strength in both sound enamel and wsls. Resin infiltration is a technique that has been available as a commercial product since 2010. Resin infiltration significantly changes surface roughness, microhardness and shear bond strength in both sound enamel and wsls. The procedure consists of etching the. The icon (infiltration concept) was designed as a minimally invasive resin infiltration system for treating incipient caries in patients of all ages. Resin infiltration technique is a novel technology that bridges the gap between prevention and restoration of carious lesions up to the first. Resin infiltration has stood out as a successful minimally invasive therapeutic approach to conceal such opacities with.
From www.semanticscholar.org
Figure 3 from Resin Infiltration for Aesthetic Improvement of Mild to What Is Resin Infiltration Resin infiltration has stood out as a successful minimally invasive therapeutic approach to conceal such opacities with. Resin infiltration significantly changes surface roughness, microhardness and shear bond strength in both sound enamel and wsls. The procedure consists of etching the. Resin infiltration technique is a novel technology that bridges the gap between prevention and restoration of carious lesions up to. What Is Resin Infiltration.
From www.clarencetam.co.nz
Resin infiltration and conservative composite layering What Is Resin Infiltration The procedure consists of etching the. Resin infiltration significantly changes surface roughness, microhardness and shear bond strength in both sound enamel and wsls. Resin infiltration has stood out as a successful minimally invasive therapeutic approach to conceal such opacities with. The icon (infiltration concept) was designed as a minimally invasive resin infiltration system for treating incipient caries in patients of. What Is Resin Infiltration.
From www.tooth-life.com
Understanding Icon Resin Infiltration A Comprehensive Guide What Is Resin Infiltration Resin infiltration has stood out as a successful minimally invasive therapeutic approach to conceal such opacities with. The icon (infiltration concept) was designed as a minimally invasive resin infiltration system for treating incipient caries in patients of all ages. Resin infiltration is a technique that has been available as a commercial product since 2010. Resin infiltration technique is a novel. What Is Resin Infiltration.
From www.tooth-life.com
Understanding Icon Resin Infiltration A Comprehensive Guide What Is Resin Infiltration The procedure consists of etching the. The icon (infiltration concept) was designed as a minimally invasive resin infiltration system for treating incipient caries in patients of all ages. Resin infiltration has stood out as a successful minimally invasive therapeutic approach to conceal such opacities with. Resin infiltration is a technique that has been available as a commercial product since 2010.. What Is Resin Infiltration.
From www.clarencetam.co.nz
Resin Infiltration Incisor Hypocalcification What Is Resin Infiltration The icon (infiltration concept) was designed as a minimally invasive resin infiltration system for treating incipient caries in patients of all ages. Resin infiltration significantly changes surface roughness, microhardness and shear bond strength in both sound enamel and wsls. Resin infiltration technique is a novel technology that bridges the gap between prevention and restoration of carious lesions up to the. What Is Resin Infiltration.
From www.styleitaliano.org
Resin Infiltration Technique Eliminate White Spots What Is Resin Infiltration The icon (infiltration concept) was designed as a minimally invasive resin infiltration system for treating incipient caries in patients of all ages. Resin infiltration technique is a novel technology that bridges the gap between prevention and restoration of carious lesions up to the first. The procedure consists of etching the. Resin infiltration has stood out as a successful minimally invasive. What Is Resin Infiltration.
From www.clarencetam.co.nz
Resin infiltration with composite resin direct restoration combination What Is Resin Infiltration Resin infiltration is a technique that has been available as a commercial product since 2010. Resin infiltration significantly changes surface roughness, microhardness and shear bond strength in both sound enamel and wsls. Resin infiltration technique is a novel technology that bridges the gap between prevention and restoration of carious lesions up to the first. The icon (infiltration concept) was designed. What Is Resin Infiltration.
From www.balmoraldental.com.au
Infiltration Resin Best White Spot Lesion Treatment What Is Resin Infiltration The icon (infiltration concept) was designed as a minimally invasive resin infiltration system for treating incipient caries in patients of all ages. Resin infiltration technique is a novel technology that bridges the gap between prevention and restoration of carious lesions up to the first. Resin infiltration significantly changes surface roughness, microhardness and shear bond strength in both sound enamel and. What Is Resin Infiltration.
From www.researchgate.net
resin infiltration results when an acetonebased adhesive is What Is Resin Infiltration Resin infiltration is a technique that has been available as a commercial product since 2010. Resin infiltration significantly changes surface roughness, microhardness and shear bond strength in both sound enamel and wsls. Resin infiltration has stood out as a successful minimally invasive therapeutic approach to conceal such opacities with. Resin infiltration technique is a novel technology that bridges the gap. What Is Resin Infiltration.
From kidsteethandbraces.com
Icon Resin Infiltration (ICON) Affiliated Children's Dental Specialists What Is Resin Infiltration Resin infiltration significantly changes surface roughness, microhardness and shear bond strength in both sound enamel and wsls. Resin infiltration technique is a novel technology that bridges the gap between prevention and restoration of carious lesions up to the first. Resin infiltration is a technique that has been available as a commercial product since 2010. The icon (infiltration concept) was designed. What Is Resin Infiltration.
From www.dentiquesandiego.com
Icon Resin Infiltration Dentique San Diego What Is Resin Infiltration Resin infiltration is a technique that has been available as a commercial product since 2010. The procedure consists of etching the. The icon (infiltration concept) was designed as a minimally invasive resin infiltration system for treating incipient caries in patients of all ages. Resin infiltration technique is a novel technology that bridges the gap between prevention and restoration of carious. What Is Resin Infiltration.
From www.clarencetam.co.nz
Resin Infiltration Incisor Hypomineralization What Is Resin Infiltration The procedure consists of etching the. Resin infiltration has stood out as a successful minimally invasive therapeutic approach to conceal such opacities with. Resin infiltration is a technique that has been available as a commercial product since 2010. The icon (infiltration concept) was designed as a minimally invasive resin infiltration system for treating incipient caries in patients of all ages.. What Is Resin Infiltration.
From www.tooth-life.com
Understanding Icon Resin Infiltration A Comprehensive Guide What Is Resin Infiltration The icon (infiltration concept) was designed as a minimally invasive resin infiltration system for treating incipient caries in patients of all ages. Resin infiltration technique is a novel technology that bridges the gap between prevention and restoration of carious lesions up to the first. Resin infiltration has stood out as a successful minimally invasive therapeutic approach to conceal such opacities. What Is Resin Infiltration.
From www.clarencetam.co.nz
Resin Infiltration Removes White Spots on Teeth What Is Resin Infiltration Resin infiltration is a technique that has been available as a commercial product since 2010. Resin infiltration significantly changes surface roughness, microhardness and shear bond strength in both sound enamel and wsls. The icon (infiltration concept) was designed as a minimally invasive resin infiltration system for treating incipient caries in patients of all ages. Resin infiltration technique is a novel. What Is Resin Infiltration.
From 123rpd.com
Icon Resin Infiltration • Amesbury, MA • Riverside Pediatric Dentistry What Is Resin Infiltration The procedure consists of etching the. Resin infiltration has stood out as a successful minimally invasive therapeutic approach to conceal such opacities with. Resin infiltration significantly changes surface roughness, microhardness and shear bond strength in both sound enamel and wsls. Resin infiltration is a technique that has been available as a commercial product since 2010. Resin infiltration technique is a. What Is Resin Infiltration.
From www.smiles-for-kids.com
New dental technology Icon resin infiltration — Smiles for Kids What Is Resin Infiltration Resin infiltration is a technique that has been available as a commercial product since 2010. Resin infiltration technique is a novel technology that bridges the gap between prevention and restoration of carious lesions up to the first. Resin infiltration has stood out as a successful minimally invasive therapeutic approach to conceal such opacities with. Resin infiltration significantly changes surface roughness,. What Is Resin Infiltration.
From www.priorlakedental.com
ICON Resin Infiltration Prior Lake MN, Prior Lake Dental What Is Resin Infiltration The procedure consists of etching the. Resin infiltration significantly changes surface roughness, microhardness and shear bond strength in both sound enamel and wsls. The icon (infiltration concept) was designed as a minimally invasive resin infiltration system for treating incipient caries in patients of all ages. Resin infiltration has stood out as a successful minimally invasive therapeutic approach to conceal such. What Is Resin Infiltration.
From protrusive.co.uk
ICON Resin Infiltration Step by Step FULL PROTOCOL PDP140 What Is Resin Infiltration Resin infiltration significantly changes surface roughness, microhardness and shear bond strength in both sound enamel and wsls. Resin infiltration has stood out as a successful minimally invasive therapeutic approach to conceal such opacities with. The icon (infiltration concept) was designed as a minimally invasive resin infiltration system for treating incipient caries in patients of all ages. Resin infiltration technique is. What Is Resin Infiltration.
From www.youtube.com
ICON Resin Infiltration step by step Microscopic Dentistry YouTube What Is Resin Infiltration Resin infiltration is a technique that has been available as a commercial product since 2010. The icon (infiltration concept) was designed as a minimally invasive resin infiltration system for treating incipient caries in patients of all ages. The procedure consists of etching the. Resin infiltration technique is a novel technology that bridges the gap between prevention and restoration of carious. What Is Resin Infiltration.
From www.clarencetam.co.nz
Resin infiltration with composite resin direct restoration combination What Is Resin Infiltration The procedure consists of etching the. Resin infiltration technique is a novel technology that bridges the gap between prevention and restoration of carious lesions up to the first. The icon (infiltration concept) was designed as a minimally invasive resin infiltration system for treating incipient caries in patients of all ages. Resin infiltration has stood out as a successful minimally invasive. What Is Resin Infiltration.
From www.researchgate.net
Procedure of resin infiltration technique (A) Cleaning the surfaces of What Is Resin Infiltration Resin infiltration technique is a novel technology that bridges the gap between prevention and restoration of carious lesions up to the first. The procedure consists of etching the. Resin infiltration significantly changes surface roughness, microhardness and shear bond strength in both sound enamel and wsls. The icon (infiltration concept) was designed as a minimally invasive resin infiltration system for treating. What Is Resin Infiltration.
From www.toothtownpd.com
Woodstock Resin Infiltration Tooth Town Pediatric Dentistry What Is Resin Infiltration The procedure consists of etching the. Resin infiltration is a technique that has been available as a commercial product since 2010. Resin infiltration has stood out as a successful minimally invasive therapeutic approach to conceal such opacities with. Resin infiltration technique is a novel technology that bridges the gap between prevention and restoration of carious lesions up to the first.. What Is Resin Infiltration.
From www.researchgate.net
Procedure of resin infiltration technique (A) Cleaning the surfaces of What Is Resin Infiltration Resin infiltration is a technique that has been available as a commercial product since 2010. Resin infiltration significantly changes surface roughness, microhardness and shear bond strength in both sound enamel and wsls. Resin infiltration technique is a novel technology that bridges the gap between prevention and restoration of carious lesions up to the first. The icon (infiltration concept) was designed. What Is Resin Infiltration.
From alrezfamilydentistry.com
How Does Resin Infiltration Work? l Alrez Family Dentistry What Is Resin Infiltration The icon (infiltration concept) was designed as a minimally invasive resin infiltration system for treating incipient caries in patients of all ages. Resin infiltration is a technique that has been available as a commercial product since 2010. Resin infiltration has stood out as a successful minimally invasive therapeutic approach to conceal such opacities with. Resin infiltration technique is a novel. What Is Resin Infiltration.
From kidsteethandbraces.com
Icon Resin Infiltration (ICON) Affiliated Children's Dental Specialists What Is Resin Infiltration Resin infiltration significantly changes surface roughness, microhardness and shear bond strength in both sound enamel and wsls. The icon (infiltration concept) was designed as a minimally invasive resin infiltration system for treating incipient caries in patients of all ages. Resin infiltration is a technique that has been available as a commercial product since 2010. Resin infiltration has stood out as. What Is Resin Infiltration.
From www.oralhealthgroup.com
Resin Infiltration Revolutionizing the Way We Treat Early Caries What Is Resin Infiltration The icon (infiltration concept) was designed as a minimally invasive resin infiltration system for treating incipient caries in patients of all ages. Resin infiltration technique is a novel technology that bridges the gap between prevention and restoration of carious lesions up to the first. Resin infiltration significantly changes surface roughness, microhardness and shear bond strength in both sound enamel and. What Is Resin Infiltration.
From www.oralhealthgroup.com
Resin Infiltration as Treatment for an Anterior Tooth Discoloration of What Is Resin Infiltration Resin infiltration is a technique that has been available as a commercial product since 2010. Resin infiltration has stood out as a successful minimally invasive therapeutic approach to conceal such opacities with. The procedure consists of etching the. Resin infiltration significantly changes surface roughness, microhardness and shear bond strength in both sound enamel and wsls. The icon (infiltration concept) was. What Is Resin Infiltration.
From www.toothtownpd.com
Woodstock Resin Infiltration Tooth Town Pediatric Dentistry What Is Resin Infiltration Resin infiltration is a technique that has been available as a commercial product since 2010. The icon (infiltration concept) was designed as a minimally invasive resin infiltration system for treating incipient caries in patients of all ages. Resin infiltration has stood out as a successful minimally invasive therapeutic approach to conceal such opacities with. Resin infiltration significantly changes surface roughness,. What Is Resin Infiltration.
From www.tooth-life.com
Understanding Icon Resin Infiltration A Comprehensive Guide What Is Resin Infiltration Resin infiltration has stood out as a successful minimally invasive therapeutic approach to conceal such opacities with. Resin infiltration significantly changes surface roughness, microhardness and shear bond strength in both sound enamel and wsls. Resin infiltration is a technique that has been available as a commercial product since 2010. Resin infiltration technique is a novel technology that bridges the gap. What Is Resin Infiltration.
From www.researchgate.net
Resin infiltration technique on teeth 54 and 55 ICDAS 4. A) initial What Is Resin Infiltration Resin infiltration technique is a novel technology that bridges the gap between prevention and restoration of carious lesions up to the first. Resin infiltration significantly changes surface roughness, microhardness and shear bond strength in both sound enamel and wsls. Resin infiltration is a technique that has been available as a commercial product since 2010. Resin infiltration has stood out as. What Is Resin Infiltration.
From www.broadsmilespdo.com
What is Icon Resin Infiltration? Broad Smiles Pediatric Dentistry What Is Resin Infiltration Resin infiltration is a technique that has been available as a commercial product since 2010. Resin infiltration has stood out as a successful minimally invasive therapeutic approach to conceal such opacities with. The procedure consists of etching the. Resin infiltration technique is a novel technology that bridges the gap between prevention and restoration of carious lesions up to the first.. What Is Resin Infiltration.
From www.researchgate.net
Resin infiltration for achromatic enamel dysplastic spot lesions. a What Is Resin Infiltration The icon (infiltration concept) was designed as a minimally invasive resin infiltration system for treating incipient caries in patients of all ages. Resin infiltration has stood out as a successful minimally invasive therapeutic approach to conceal such opacities with. Resin infiltration is a technique that has been available as a commercial product since 2010. The procedure consists of etching the.. What Is Resin Infiltration.
From www.majidiandental.com
ICON Resin Infiltration Majidian Dental Fargo, ND What Is Resin Infiltration Resin infiltration is a technique that has been available as a commercial product since 2010. The icon (infiltration concept) was designed as a minimally invasive resin infiltration system for treating incipient caries in patients of all ages. Resin infiltration has stood out as a successful minimally invasive therapeutic approach to conceal such opacities with. The procedure consists of etching the.. What Is Resin Infiltration.
From www.tysonsdentistry.com
Resin Infiltration Vienna VA Remove White Spots on Your Teeth What Is Resin Infiltration The procedure consists of etching the. Resin infiltration technique is a novel technology that bridges the gap between prevention and restoration of carious lesions up to the first. Resin infiltration significantly changes surface roughness, microhardness and shear bond strength in both sound enamel and wsls. Resin infiltration has stood out as a successful minimally invasive therapeutic approach to conceal such. What Is Resin Infiltration.
From beautymedicaldevices.com
Resin Infiltration A Minimally Invasive Treatment for White Spots on Teeth What Is Resin Infiltration Resin infiltration technique is a novel technology that bridges the gap between prevention and restoration of carious lesions up to the first. Resin infiltration has stood out as a successful minimally invasive therapeutic approach to conceal such opacities with. The procedure consists of etching the. The icon (infiltration concept) was designed as a minimally invasive resin infiltration system for treating. What Is Resin Infiltration.