Adhesive Capsulitis Tests And Measures . Adhesive capsulitis, also known as frozen shoulder, is a condition characterized by pain and significant loss of both active range of motion (arom) and passive range of motion. Frozen shoulder, also called adhesive capsulitis, is a condition involving pain and stiffness in your shoulder joint. Adhesive capsulitis is diagnosed by numerous physical characteristics including a thickening of the synovial capsule, adhesions. A significant loss of passive range of. Adhesive capsulitis is characterized by a painful, gradual loss of both active and passive glenohumeral motion in multiple planes. Symptoms usually start slowly and get worse over time. Adhesive capsulitis, also known as frozen shoulder, is an inflammatory condition characterized by shoulder stiffness and pain. Frozen shoulder, often referred to as adhesive capsulitis (ac), is characterized by initially painful and later progressively restricted active and.
from pauljarrett.info
Adhesive capsulitis is diagnosed by numerous physical characteristics including a thickening of the synovial capsule, adhesions. Symptoms usually start slowly and get worse over time. Frozen shoulder, also called adhesive capsulitis, is a condition involving pain and stiffness in your shoulder joint. Adhesive capsulitis, also known as frozen shoulder, is an inflammatory condition characterized by shoulder stiffness and pain. Frozen shoulder, often referred to as adhesive capsulitis (ac), is characterized by initially painful and later progressively restricted active and. Adhesive capsulitis is characterized by a painful, gradual loss of both active and passive glenohumeral motion in multiple planes. A significant loss of passive range of. Adhesive capsulitis, also known as frozen shoulder, is a condition characterized by pain and significant loss of both active range of motion (arom) and passive range of motion.
Adhesive Capsulitis Dr Paul Jarrett, Orthopaedic Surgeon Perth
Adhesive Capsulitis Tests And Measures Frozen shoulder, often referred to as adhesive capsulitis (ac), is characterized by initially painful and later progressively restricted active and. Adhesive capsulitis is characterized by a painful, gradual loss of both active and passive glenohumeral motion in multiple planes. A significant loss of passive range of. Frozen shoulder, often referred to as adhesive capsulitis (ac), is characterized by initially painful and later progressively restricted active and. Frozen shoulder, also called adhesive capsulitis, is a condition involving pain and stiffness in your shoulder joint. Adhesive capsulitis, also known as frozen shoulder, is an inflammatory condition characterized by shoulder stiffness and pain. Symptoms usually start slowly and get worse over time. Adhesive capsulitis is diagnosed by numerous physical characteristics including a thickening of the synovial capsule, adhesions. Adhesive capsulitis, also known as frozen shoulder, is a condition characterized by pain and significant loss of both active range of motion (arom) and passive range of motion.
From www.youtube.com
Shoulder Abduction Passive ROM Test I 오십견 평가 I Adhesive Capsulitis Adhesive Capsulitis Tests And Measures Frozen shoulder, also called adhesive capsulitis, is a condition involving pain and stiffness in your shoulder joint. Adhesive capsulitis, also known as frozen shoulder, is an inflammatory condition characterized by shoulder stiffness and pain. Adhesive capsulitis is diagnosed by numerous physical characteristics including a thickening of the synovial capsule, adhesions. Frozen shoulder, often referred to as adhesive capsulitis (ac), is. Adhesive Capsulitis Tests And Measures.
From www.physicaltherapy.com
Adhesive Capsulitis David Nolan Geriatrics Orthopedics 2194 Adhesive Capsulitis Tests And Measures Adhesive capsulitis is characterized by a painful, gradual loss of both active and passive glenohumeral motion in multiple planes. A significant loss of passive range of. Adhesive capsulitis, also known as frozen shoulder, is an inflammatory condition characterized by shoulder stiffness and pain. Frozen shoulder, often referred to as adhesive capsulitis (ac), is characterized by initially painful and later progressively. Adhesive Capsulitis Tests And Measures.
From www.sports-health.com
Adhesive Capsulitis Definition Sports InjuryRelated Medical Glossary Adhesive Capsulitis Tests And Measures Adhesive capsulitis is characterized by a painful, gradual loss of both active and passive glenohumeral motion in multiple planes. Symptoms usually start slowly and get worse over time. Frozen shoulder, often referred to as adhesive capsulitis (ac), is characterized by initially painful and later progressively restricted active and. Frozen shoulder, also called adhesive capsulitis, is a condition involving pain and. Adhesive Capsulitis Tests And Measures.
From www.aafp.org
Adhesive Capsulitis A Review AAFP Adhesive Capsulitis Tests And Measures Adhesive capsulitis, also known as frozen shoulder, is an inflammatory condition characterized by shoulder stiffness and pain. Symptoms usually start slowly and get worse over time. Adhesive capsulitis is diagnosed by numerous physical characteristics including a thickening of the synovial capsule, adhesions. Frozen shoulder, also called adhesive capsulitis, is a condition involving pain and stiffness in your shoulder joint. Adhesive. Adhesive Capsulitis Tests And Measures.
From www.studocu.com
Adhesive capsulitis Physiology Studocu Adhesive Capsulitis Tests And Measures Adhesive capsulitis, also known as frozen shoulder, is an inflammatory condition characterized by shoulder stiffness and pain. Frozen shoulder, also called adhesive capsulitis, is a condition involving pain and stiffness in your shoulder joint. Adhesive capsulitis is diagnosed by numerous physical characteristics including a thickening of the synovial capsule, adhesions. Symptoms usually start slowly and get worse over time. A. Adhesive Capsulitis Tests And Measures.
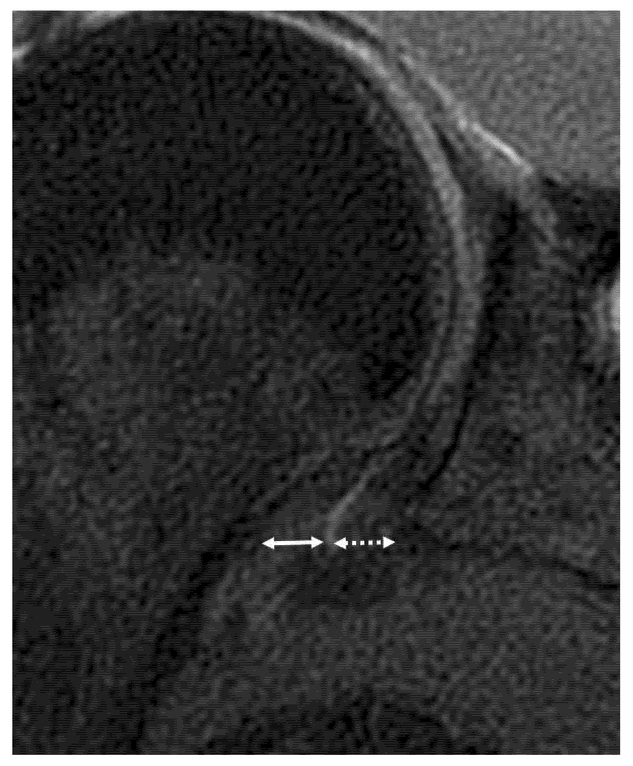
From www.mdpi.com
JCM Free FullText MR Imaging Biomarkers for Clinical Impairment Adhesive Capsulitis Tests And Measures Adhesive capsulitis, also known as frozen shoulder, is a condition characterized by pain and significant loss of both active range of motion (arom) and passive range of motion. Adhesive capsulitis is diagnosed by numerous physical characteristics including a thickening of the synovial capsule, adhesions. Adhesive capsulitis, also known as frozen shoulder, is an inflammatory condition characterized by shoulder stiffness and. Adhesive Capsulitis Tests And Measures.
From www.researchgate.net
(PDF) Patientreported measures of quality of life and functional Adhesive Capsulitis Tests And Measures Frozen shoulder, also called adhesive capsulitis, is a condition involving pain and stiffness in your shoulder joint. Symptoms usually start slowly and get worse over time. Frozen shoulder, often referred to as adhesive capsulitis (ac), is characterized by initially painful and later progressively restricted active and. Adhesive capsulitis, also known as frozen shoulder, is a condition characterized by pain and. Adhesive Capsulitis Tests And Measures.
From www.aafp.org
Adhesive Capsulitis A Review AAFP Adhesive Capsulitis Tests And Measures Adhesive capsulitis, also known as frozen shoulder, is a condition characterized by pain and significant loss of both active range of motion (arom) and passive range of motion. A significant loss of passive range of. Frozen shoulder, also called adhesive capsulitis, is a condition involving pain and stiffness in your shoulder joint. Adhesive capsulitis is characterized by a painful, gradual. Adhesive Capsulitis Tests And Measures.
From aidmyrotatorcuff.com
Frozen Shoulder (Adhesive Capsulitis) Treatments Adhesive Capsulitis Tests And Measures Symptoms usually start slowly and get worse over time. Adhesive capsulitis is diagnosed by numerous physical characteristics including a thickening of the synovial capsule, adhesions. Adhesive capsulitis is characterized by a painful, gradual loss of both active and passive glenohumeral motion in multiple planes. Adhesive capsulitis, also known as frozen shoulder, is an inflammatory condition characterized by shoulder stiffness and. Adhesive Capsulitis Tests And Measures.
From www.studypool.com
SOLUTION Shoulder institute adhesive capsulitis Studypool Adhesive Capsulitis Tests And Measures Adhesive capsulitis, also known as frozen shoulder, is an inflammatory condition characterized by shoulder stiffness and pain. Frozen shoulder, often referred to as adhesive capsulitis (ac), is characterized by initially painful and later progressively restricted active and. Adhesive capsulitis is diagnosed by numerous physical characteristics including a thickening of the synovial capsule, adhesions. Adhesive capsulitis is characterized by a painful,. Adhesive Capsulitis Tests And Measures.
From www.orthoinfo.org
Frozen Shoulder Adhesive Capsulitis OrthoInfo AAOS Adhesive Capsulitis Tests And Measures Frozen shoulder, often referred to as adhesive capsulitis (ac), is characterized by initially painful and later progressively restricted active and. Adhesive capsulitis, also known as frozen shoulder, is a condition characterized by pain and significant loss of both active range of motion (arom) and passive range of motion. Adhesive capsulitis is characterized by a painful, gradual loss of both active. Adhesive Capsulitis Tests And Measures.
From www.nysora.com
Case Study Adhesive Capsulitis Injection NYSORA NYSORA Adhesive Capsulitis Tests And Measures Adhesive capsulitis is diagnosed by numerous physical characteristics including a thickening of the synovial capsule, adhesions. Symptoms usually start slowly and get worse over time. Frozen shoulder, often referred to as adhesive capsulitis (ac), is characterized by initially painful and later progressively restricted active and. Adhesive capsulitis is characterized by a painful, gradual loss of both active and passive glenohumeral. Adhesive Capsulitis Tests And Measures.
From www.etsy.com
Adhesive Capsulitis Clinical Practice Guideline Study Guide, Physical Adhesive Capsulitis Tests And Measures Adhesive capsulitis, also known as frozen shoulder, is a condition characterized by pain and significant loss of both active range of motion (arom) and passive range of motion. Frozen shoulder, often referred to as adhesive capsulitis (ac), is characterized by initially painful and later progressively restricted active and. Adhesive capsulitis is characterized by a painful, gradual loss of both active. Adhesive Capsulitis Tests And Measures.
From www.indianradiology.com
Adhesive Capsulitis MRI Sumer's Radiology Blog Adhesive Capsulitis Tests And Measures Adhesive capsulitis, also known as frozen shoulder, is an inflammatory condition characterized by shoulder stiffness and pain. Adhesive capsulitis is diagnosed by numerous physical characteristics including a thickening of the synovial capsule, adhesions. Adhesive capsulitis, also known as frozen shoulder, is a condition characterized by pain and significant loss of both active range of motion (arom) and passive range of. Adhesive Capsulitis Tests And Measures.
From www.slideserve.com
PPT Adhesive Capsulitis (Frozen Shoulder) PowerPoint Presentation Adhesive Capsulitis Tests And Measures Adhesive capsulitis is diagnosed by numerous physical characteristics including a thickening of the synovial capsule, adhesions. Symptoms usually start slowly and get worse over time. Frozen shoulder, often referred to as adhesive capsulitis (ac), is characterized by initially painful and later progressively restricted active and. Adhesive capsulitis is characterized by a painful, gradual loss of both active and passive glenohumeral. Adhesive Capsulitis Tests And Measures.
From pauljarrett.info
Adhesive Capsulitis Dr Paul Jarrett, Orthopaedic Surgeon Perth Adhesive Capsulitis Tests And Measures Frozen shoulder, also called adhesive capsulitis, is a condition involving pain and stiffness in your shoulder joint. Adhesive capsulitis, also known as frozen shoulder, is a condition characterized by pain and significant loss of both active range of motion (arom) and passive range of motion. Symptoms usually start slowly and get worse over time. Adhesive capsulitis is characterized by a. Adhesive Capsulitis Tests And Measures.
From kneehipandshoulder.com
Adhesive capsulitis Sudhir Rao Knee Hip and Shoulder surgeon Adhesive Capsulitis Tests And Measures Symptoms usually start slowly and get worse over time. Frozen shoulder, often referred to as adhesive capsulitis (ac), is characterized by initially painful and later progressively restricted active and. Adhesive capsulitis is characterized by a painful, gradual loss of both active and passive glenohumeral motion in multiple planes. Adhesive capsulitis, also known as frozen shoulder, is an inflammatory condition characterized. Adhesive Capsulitis Tests And Measures.
From musculoskeletalkey.com
Adhesive Capsulitis Musculoskeletal Key Adhesive Capsulitis Tests And Measures Symptoms usually start slowly and get worse over time. Adhesive capsulitis, also known as frozen shoulder, is a condition characterized by pain and significant loss of both active range of motion (arom) and passive range of motion. A significant loss of passive range of. Frozen shoulder, often referred to as adhesive capsulitis (ac), is characterized by initially painful and later. Adhesive Capsulitis Tests And Measures.
From www.chiropracticonlinece.com
Unit 4 Adhesive Capsulitis (Frozen Shoulder)lifewestmsdv210u423 Adhesive Capsulitis Tests And Measures Symptoms usually start slowly and get worse over time. Frozen shoulder, also called adhesive capsulitis, is a condition involving pain and stiffness in your shoulder joint. Adhesive capsulitis is diagnosed by numerous physical characteristics including a thickening of the synovial capsule, adhesions. Adhesive capsulitis, also known as frozen shoulder, is a condition characterized by pain and significant loss of both. Adhesive Capsulitis Tests And Measures.
From www.mdpi.com
JCM Free FullText MR Imaging Biomarkers for Clinical Impairment Adhesive Capsulitis Tests And Measures Adhesive capsulitis, also known as frozen shoulder, is an inflammatory condition characterized by shoulder stiffness and pain. A significant loss of passive range of. Adhesive capsulitis, also known as frozen shoulder, is a condition characterized by pain and significant loss of both active range of motion (arom) and passive range of motion. Frozen shoulder, often referred to as adhesive capsulitis. Adhesive Capsulitis Tests And Measures.
From adhesivesandchemicals.com
What Is Adhesive Capsulitis Detailed Information Adhesive Capsulitis Tests And Measures Frozen shoulder, often referred to as adhesive capsulitis (ac), is characterized by initially painful and later progressively restricted active and. Frozen shoulder, also called adhesive capsulitis, is a condition involving pain and stiffness in your shoulder joint. Adhesive capsulitis is diagnosed by numerous physical characteristics including a thickening of the synovial capsule, adhesions. Adhesive capsulitis, also known as frozen shoulder,. Adhesive Capsulitis Tests And Measures.
From www.ebtc.ie
Adhesive Capsulitis of the Shoulder Therapists in Galway Therapists Adhesive Capsulitis Tests And Measures A significant loss of passive range of. Frozen shoulder, often referred to as adhesive capsulitis (ac), is characterized by initially painful and later progressively restricted active and. Frozen shoulder, also called adhesive capsulitis, is a condition involving pain and stiffness in your shoulder joint. Symptoms usually start slowly and get worse over time. Adhesive capsulitis, also known as frozen shoulder,. Adhesive Capsulitis Tests And Measures.
From www.slideserve.com
PPT Mrs. Freeze PowerPoint Presentation, free download ID5752883 Adhesive Capsulitis Tests And Measures Adhesive capsulitis, also known as frozen shoulder, is an inflammatory condition characterized by shoulder stiffness and pain. Symptoms usually start slowly and get worse over time. Adhesive capsulitis, also known as frozen shoulder, is a condition characterized by pain and significant loss of both active range of motion (arom) and passive range of motion. A significant loss of passive range. Adhesive Capsulitis Tests And Measures.
From www.aafp.org
Adhesive Capsulitis Diagnosis and Management AAFP Adhesive Capsulitis Tests And Measures Frozen shoulder, often referred to as adhesive capsulitis (ac), is characterized by initially painful and later progressively restricted active and. Frozen shoulder, also called adhesive capsulitis, is a condition involving pain and stiffness in your shoulder joint. Symptoms usually start slowly and get worse over time. Adhesive capsulitis is diagnosed by numerous physical characteristics including a thickening of the synovial. Adhesive Capsulitis Tests And Measures.
From www.mdpi.com
IJERPH Free FullText Biomechanical Asymmetry of Strength and Adhesive Capsulitis Tests And Measures A significant loss of passive range of. Frozen shoulder, also called adhesive capsulitis, is a condition involving pain and stiffness in your shoulder joint. Adhesive capsulitis is diagnosed by numerous physical characteristics including a thickening of the synovial capsule, adhesions. Adhesive capsulitis, also known as frozen shoulder, is a condition characterized by pain and significant loss of both active range. Adhesive Capsulitis Tests And Measures.
From www.indianradiology.com
Adhesive Capsulitis MRI Sumer's Radiology Blog Adhesive Capsulitis Tests And Measures Adhesive capsulitis, also known as frozen shoulder, is a condition characterized by pain and significant loss of both active range of motion (arom) and passive range of motion. Adhesive capsulitis is characterized by a painful, gradual loss of both active and passive glenohumeral motion in multiple planes. Adhesive capsulitis, also known as frozen shoulder, is an inflammatory condition characterized by. Adhesive Capsulitis Tests And Measures.
From www.sportsmedreview.com
Capsular Distension for Adhesive Capsulitis Sports Medicine Review Adhesive Capsulitis Tests And Measures Symptoms usually start slowly and get worse over time. Adhesive capsulitis, also known as frozen shoulder, is an inflammatory condition characterized by shoulder stiffness and pain. Adhesive capsulitis is diagnosed by numerous physical characteristics including a thickening of the synovial capsule, adhesions. Adhesive capsulitis, also known as frozen shoulder, is a condition characterized by pain and significant loss of both. Adhesive Capsulitis Tests And Measures.
From exercises.physio-pedia.com
Adhesive Capsulitis Rehab My Patient Adhesive Capsulitis Tests And Measures Frozen shoulder, also called adhesive capsulitis, is a condition involving pain and stiffness in your shoulder joint. Adhesive capsulitis is characterized by a painful, gradual loss of both active and passive glenohumeral motion in multiple planes. Adhesive capsulitis, also known as frozen shoulder, is a condition characterized by pain and significant loss of both active range of motion (arom) and. Adhesive Capsulitis Tests And Measures.
From www.aafp.org
Adhesive Capsulitis A Review AAFP Adhesive Capsulitis Tests And Measures Symptoms usually start slowly and get worse over time. Adhesive capsulitis, also known as frozen shoulder, is a condition characterized by pain and significant loss of both active range of motion (arom) and passive range of motion. Adhesive capsulitis is diagnosed by numerous physical characteristics including a thickening of the synovial capsule, adhesions. Adhesive capsulitis is characterized by a painful,. Adhesive Capsulitis Tests And Measures.
From www.slideserve.com
PPT Adhesive Capsulitis PowerPoint Presentation, free download ID Adhesive Capsulitis Tests And Measures Adhesive capsulitis, also known as frozen shoulder, is an inflammatory condition characterized by shoulder stiffness and pain. Adhesive capsulitis, also known as frozen shoulder, is a condition characterized by pain and significant loss of both active range of motion (arom) and passive range of motion. Symptoms usually start slowly and get worse over time. Adhesive capsulitis is diagnosed by numerous. Adhesive Capsulitis Tests And Measures.
From www.youtube.com
Coracoid Pain Test Adhesive Capsulitis Diagnosis YouTube Adhesive Capsulitis Tests And Measures Adhesive capsulitis is characterized by a painful, gradual loss of both active and passive glenohumeral motion in multiple planes. Symptoms usually start slowly and get worse over time. Frozen shoulder, also called adhesive capsulitis, is a condition involving pain and stiffness in your shoulder joint. A significant loss of passive range of. Adhesive capsulitis is diagnosed by numerous physical characteristics. Adhesive Capsulitis Tests And Measures.
From www.cancertherapyadvisor.com
Adhesive Capsulitis Evaluation and Management Cancer Therapy Advisor Adhesive Capsulitis Tests And Measures Adhesive capsulitis, also known as frozen shoulder, is an inflammatory condition characterized by shoulder stiffness and pain. Adhesive capsulitis, also known as frozen shoulder, is a condition characterized by pain and significant loss of both active range of motion (arom) and passive range of motion. Frozen shoulder, also called adhesive capsulitis, is a condition involving pain and stiffness in your. Adhesive Capsulitis Tests And Measures.
From www.raynersmale.com
Adhesive Capsulitis Pathology & Assessment — Rayner & Smale Adhesive Capsulitis Tests And Measures Frozen shoulder, also called adhesive capsulitis, is a condition involving pain and stiffness in your shoulder joint. A significant loss of passive range of. Adhesive capsulitis is diagnosed by numerous physical characteristics including a thickening of the synovial capsule, adhesions. Adhesive capsulitis, also known as frozen shoulder, is an inflammatory condition characterized by shoulder stiffness and pain. Adhesive capsulitis is. Adhesive Capsulitis Tests And Measures.
From www.osmifw.com
Pain from a Frozen Shoulder Adhesive Capsulitis Adhesive Capsulitis Tests And Measures Adhesive capsulitis, also known as frozen shoulder, is a condition characterized by pain and significant loss of both active range of motion (arom) and passive range of motion. Adhesive capsulitis, also known as frozen shoulder, is an inflammatory condition characterized by shoulder stiffness and pain. Symptoms usually start slowly and get worse over time. A significant loss of passive range. Adhesive Capsulitis Tests And Measures.
From www.sportsmedreview.com
MRI Findings in Adhesive Capsulitis of the Shoulder Sports Medicine Adhesive Capsulitis Tests And Measures Symptoms usually start slowly and get worse over time. Adhesive capsulitis, also known as frozen shoulder, is a condition characterized by pain and significant loss of both active range of motion (arom) and passive range of motion. Adhesive capsulitis, also known as frozen shoulder, is an inflammatory condition characterized by shoulder stiffness and pain. Adhesive capsulitis is diagnosed by numerous. Adhesive Capsulitis Tests And Measures.