Caliper Hip Arthroplasty . Restoration of hip biomechanics, including femoral offset and leg length are desired goals in performing total hip arthroplasty. Limb length restoration during total hip arthroplasty: Achieving appropriate limb length is essential to success in total hip arthroplasty (tha). Optimize and document leg length and femoral offset to optimize joint mechanics and gait. Achieving stability and equal leg lengths during total hip arthroplasty (tha) is crucial, not only for providing substantial pain. Use of a caliper to control femoral component insertion and accurate. Examples of use include measuring limb length in total hip arthroplasty, confirming length in megaprosthetic knee replacements, and assessing dimensions of allografts. Optimize and document cup position to reduce. To address this we present and evaluate a technique that uses a caliper to control the vertical placement of the femoral component.
from orthopaedics-art.com
Achieving appropriate limb length is essential to success in total hip arthroplasty (tha). Restoration of hip biomechanics, including femoral offset and leg length are desired goals in performing total hip arthroplasty. Examples of use include measuring limb length in total hip arthroplasty, confirming length in megaprosthetic knee replacements, and assessing dimensions of allografts. Optimize and document cup position to reduce. Limb length restoration during total hip arthroplasty: To address this we present and evaluate a technique that uses a caliper to control the vertical placement of the femoral component. Achieving stability and equal leg lengths during total hip arthroplasty (tha) is crucial, not only for providing substantial pain. Optimize and document leg length and femoral offset to optimize joint mechanics and gait. Use of a caliper to control femoral component insertion and accurate.
Hip arthroplasty in Cancun Orthopaedics Art
Caliper Hip Arthroplasty Optimize and document leg length and femoral offset to optimize joint mechanics and gait. Examples of use include measuring limb length in total hip arthroplasty, confirming length in megaprosthetic knee replacements, and assessing dimensions of allografts. To address this we present and evaluate a technique that uses a caliper to control the vertical placement of the femoral component. Optimize and document leg length and femoral offset to optimize joint mechanics and gait. Limb length restoration during total hip arthroplasty: Use of a caliper to control femoral component insertion and accurate. Achieving appropriate limb length is essential to success in total hip arthroplasty (tha). Achieving stability and equal leg lengths during total hip arthroplasty (tha) is crucial, not only for providing substantial pain. Optimize and document cup position to reduce. Restoration of hip biomechanics, including femoral offset and leg length are desired goals in performing total hip arthroplasty.
From www.researchgate.net
Surgical approaches to Total Hip Arthroplasty. Download Scientific Caliper Hip Arthroplasty Use of a caliper to control femoral component insertion and accurate. Examples of use include measuring limb length in total hip arthroplasty, confirming length in megaprosthetic knee replacements, and assessing dimensions of allografts. Optimize and document cup position to reduce. To address this we present and evaluate a technique that uses a caliper to control the vertical placement of the. Caliper Hip Arthroplasty.
From www.lazada.com.ph
New Orthopedic Calipers Facial Calipers Measurement of Hip Width of Hip Caliper Hip Arthroplasty Achieving stability and equal leg lengths during total hip arthroplasty (tha) is crucial, not only for providing substantial pain. Achieving appropriate limb length is essential to success in total hip arthroplasty (tha). To address this we present and evaluate a technique that uses a caliper to control the vertical placement of the femoral component. Use of a caliper to control. Caliper Hip Arthroplasty.
From www.alamy.com
An Xray reveals both hip joints with TOTAL HIP ARTHROPLASTY Caliper Hip Arthroplasty Restoration of hip biomechanics, including femoral offset and leg length are desired goals in performing total hip arthroplasty. Examples of use include measuring limb length in total hip arthroplasty, confirming length in megaprosthetic knee replacements, and assessing dimensions of allografts. Use of a caliper to control femoral component insertion and accurate. Achieving appropriate limb length is essential to success in. Caliper Hip Arthroplasty.
From browsegrades.net
Calipered Kinematically aligned Total Knee Arthroplasty Theory Caliper Hip Arthroplasty Restoration of hip biomechanics, including femoral offset and leg length are desired goals in performing total hip arthroplasty. To address this we present and evaluate a technique that uses a caliper to control the vertical placement of the femoral component. Optimize and document cup position to reduce. Examples of use include measuring limb length in total hip arthroplasty, confirming length. Caliper Hip Arthroplasty.
From www.mdpi.com
Imaging in Hip Arthroplasty Management Part 2 Postoperative Diagnostic Caliper Hip Arthroplasty Achieving stability and equal leg lengths during total hip arthroplasty (tha) is crucial, not only for providing substantial pain. Optimize and document cup position to reduce. Use of a caliper to control femoral component insertion and accurate. To address this we present and evaluate a technique that uses a caliper to control the vertical placement of the femoral component. Examples. Caliper Hip Arthroplasty.
From www.wjgnet.com
Calcarguided shortstem total hip arthroplasty Will it be the future Caliper Hip Arthroplasty Examples of use include measuring limb length in total hip arthroplasty, confirming length in megaprosthetic knee replacements, and assessing dimensions of allografts. Optimize and document leg length and femoral offset to optimize joint mechanics and gait. Achieving stability and equal leg lengths during total hip arthroplasty (tha) is crucial, not only for providing substantial pain. Restoration of hip biomechanics, including. Caliper Hip Arthroplasty.
From www.mdpi.com
JCM Free FullText Deviation of Latitude Cut A Simple Sign to Caliper Hip Arthroplasty To address this we present and evaluate a technique that uses a caliper to control the vertical placement of the femoral component. Use of a caliper to control femoral component insertion and accurate. Optimize and document leg length and femoral offset to optimize joint mechanics and gait. Limb length restoration during total hip arthroplasty: Achieving stability and equal leg lengths. Caliper Hip Arthroplasty.
From www.wheelchairsmanufacturers.com
Body Caliper Hip Knee Ankle Foot Orthosis Manufacturer from Indore Caliper Hip Arthroplasty Restoration of hip biomechanics, including femoral offset and leg length are desired goals in performing total hip arthroplasty. Use of a caliper to control femoral component insertion and accurate. Limb length restoration during total hip arthroplasty: Optimize and document leg length and femoral offset to optimize joint mechanics and gait. Examples of use include measuring limb length in total hip. Caliper Hip Arthroplasty.
From www.semanticscholar.org
Limblength measurement in total hip arthroplasty using a calipers dual Caliper Hip Arthroplasty Achieving appropriate limb length is essential to success in total hip arthroplasty (tha). Examples of use include measuring limb length in total hip arthroplasty, confirming length in megaprosthetic knee replacements, and assessing dimensions of allografts. To address this we present and evaluate a technique that uses a caliper to control the vertical placement of the femoral component. Use of a. Caliper Hip Arthroplasty.
From www.hss.edu
Hip Replacement Surgery How it Works, Recovery Time HSS Caliper Hip Arthroplasty Achieving stability and equal leg lengths during total hip arthroplasty (tha) is crucial, not only for providing substantial pain. Use of a caliper to control femoral component insertion and accurate. Restoration of hip biomechanics, including femoral offset and leg length are desired goals in performing total hip arthroplasty. Examples of use include measuring limb length in total hip arthroplasty, confirming. Caliper Hip Arthroplasty.
From www.researchgate.net
Endofemoral revision of a total hip arthroplasty in a 72yearold woman Caliper Hip Arthroplasty To address this we present and evaluate a technique that uses a caliper to control the vertical placement of the femoral component. Achieving stability and equal leg lengths during total hip arthroplasty (tha) is crucial, not only for providing substantial pain. Achieving appropriate limb length is essential to success in total hip arthroplasty (tha). Limb length restoration during total hip. Caliper Hip Arthroplasty.
From www.researchgate.net
Total hip arthroplasty and hip resurfacing. Download Scientific Diagram Caliper Hip Arthroplasty Restoration of hip biomechanics, including femoral offset and leg length are desired goals in performing total hip arthroplasty. Achieving appropriate limb length is essential to success in total hip arthroplasty (tha). Optimize and document cup position to reduce. To address this we present and evaluate a technique that uses a caliper to control the vertical placement of the femoral component.. Caliper Hip Arthroplasty.
From www.researchgate.net
Plain hip xray of the patient after bilateral hip arthroplasty Caliper Hip Arthroplasty Use of a caliper to control femoral component insertion and accurate. Optimize and document cup position to reduce. Optimize and document leg length and femoral offset to optimize joint mechanics and gait. Achieving appropriate limb length is essential to success in total hip arthroplasty (tha). To address this we present and evaluate a technique that uses a caliper to control. Caliper Hip Arthroplasty.
From onlinelibrary.wiley.com
Conversion Hip Arthroplasty Using Standard and Long Stems after Failed Caliper Hip Arthroplasty Use of a caliper to control femoral component insertion and accurate. To address this we present and evaluate a technique that uses a caliper to control the vertical placement of the femoral component. Achieving stability and equal leg lengths during total hip arthroplasty (tha) is crucial, not only for providing substantial pain. Optimize and document leg length and femoral offset. Caliper Hip Arthroplasty.
From www.merillife.com
Hip Replacement Surgery and its types Blog Meril Life Caliper Hip Arthroplasty Examples of use include measuring limb length in total hip arthroplasty, confirming length in megaprosthetic knee replacements, and assessing dimensions of allografts. To address this we present and evaluate a technique that uses a caliper to control the vertical placement of the femoral component. Optimize and document cup position to reduce. Achieving stability and equal leg lengths during total hip. Caliper Hip Arthroplasty.
From www.orthospinology.org
Orthospinology Hip Calipers Caliper Hip Arthroplasty Optimize and document cup position to reduce. To address this we present and evaluate a technique that uses a caliper to control the vertical placement of the femoral component. Optimize and document leg length and femoral offset to optimize joint mechanics and gait. Achieving appropriate limb length is essential to success in total hip arthroplasty (tha). Use of a caliper. Caliper Hip Arthroplasty.
From www.mdpi.com
Imaging in Hip Arthroplasty Management—Part 1 Templating Past Caliper Hip Arthroplasty Examples of use include measuring limb length in total hip arthroplasty, confirming length in megaprosthetic knee replacements, and assessing dimensions of allografts. Achieving appropriate limb length is essential to success in total hip arthroplasty (tha). Use of a caliper to control femoral component insertion and accurate. Optimize and document leg length and femoral offset to optimize joint mechanics and gait.. Caliper Hip Arthroplasty.
From www.mdpi.com
Polymers Free FullText A Review of Biomaterials and Associated Caliper Hip Arthroplasty To address this we present and evaluate a technique that uses a caliper to control the vertical placement of the femoral component. Use of a caliper to control femoral component insertion and accurate. Achieving appropriate limb length is essential to success in total hip arthroplasty (tha). Achieving stability and equal leg lengths during total hip arthroplasty (tha) is crucial, not. Caliper Hip Arthroplasty.
From www.researchgate.net
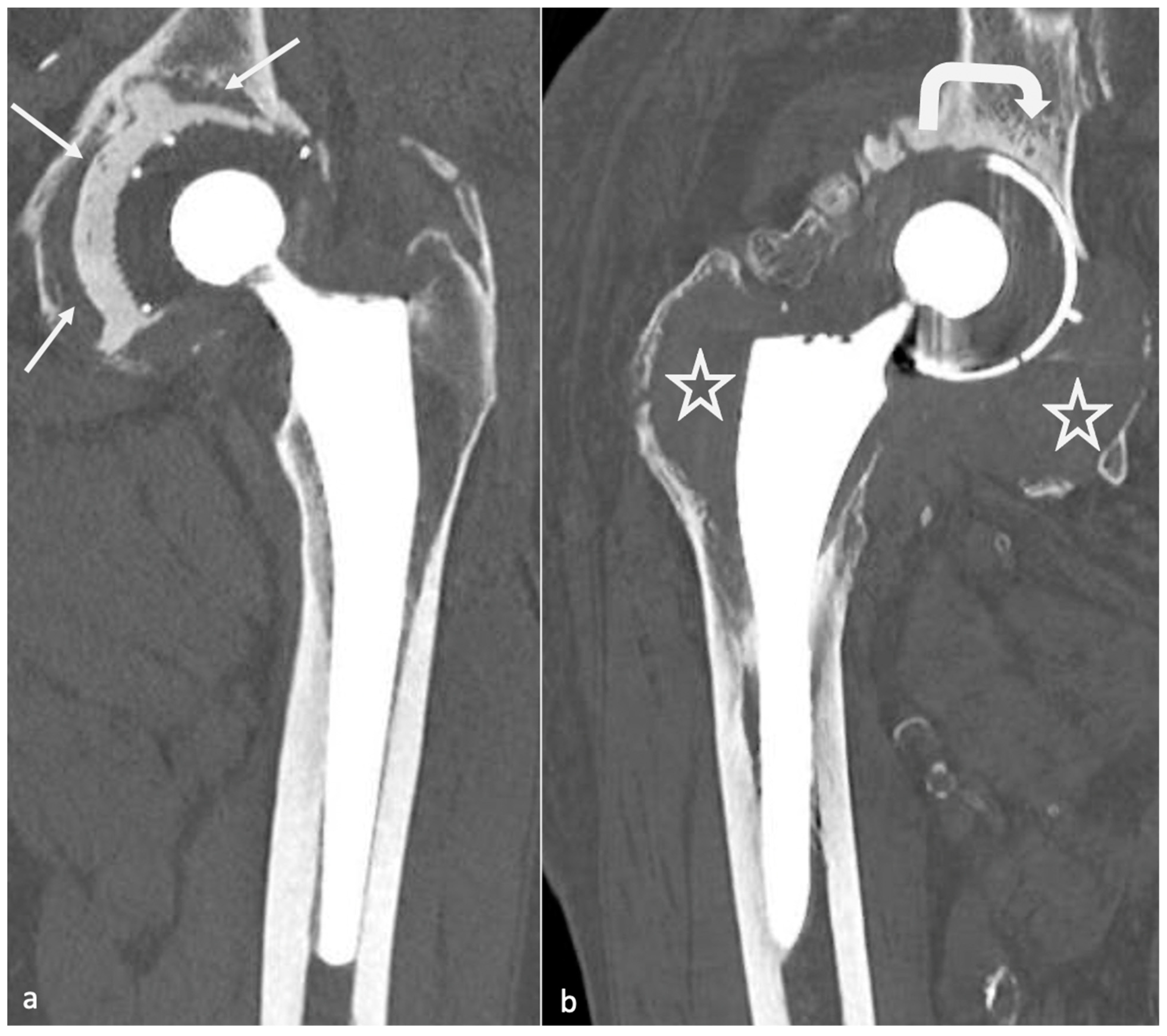
(a) Periprosthetic fracture in a total hip arthroplasty. (b) The same Caliper Hip Arthroplasty Limb length restoration during total hip arthroplasty: Examples of use include measuring limb length in total hip arthroplasty, confirming length in megaprosthetic knee replacements, and assessing dimensions of allografts. Use of a caliper to control femoral component insertion and accurate. Achieving stability and equal leg lengths during total hip arthroplasty (tha) is crucial, not only for providing substantial pain. To. Caliper Hip Arthroplasty.
From pubs.rsna.org
Total Hip Arthroplasty in Patients with Bone Deficiency of the Caliper Hip Arthroplasty Achieving stability and equal leg lengths during total hip arthroplasty (tha) is crucial, not only for providing substantial pain. Restoration of hip biomechanics, including femoral offset and leg length are desired goals in performing total hip arthroplasty. To address this we present and evaluate a technique that uses a caliper to control the vertical placement of the femoral component. Optimize. Caliper Hip Arthroplasty.
From drmmanjra.co.za
Management Of The Septic Total Hip Arthroplasty Orthopaedic Surgeon Caliper Hip Arthroplasty Optimize and document leg length and femoral offset to optimize joint mechanics and gait. To address this we present and evaluate a technique that uses a caliper to control the vertical placement of the femoral component. Restoration of hip biomechanics, including femoral offset and leg length are desired goals in performing total hip arthroplasty. Examples of use include measuring limb. Caliper Hip Arthroplasty.
From www.semanticscholar.org
Figure 3 from Limb Length Restoration during Total Hip Arthroplasty Caliper Hip Arthroplasty Use of a caliper to control femoral component insertion and accurate. Examples of use include measuring limb length in total hip arthroplasty, confirming length in megaprosthetic knee replacements, and assessing dimensions of allografts. Achieving appropriate limb length is essential to success in total hip arthroplasty (tha). Limb length restoration during total hip arthroplasty: Optimize and document cup position to reduce.. Caliper Hip Arthroplasty.
From www.researchgate.net
Conversion total hip arthroplasty following extracapsular hip fracture Caliper Hip Arthroplasty Examples of use include measuring limb length in total hip arthroplasty, confirming length in megaprosthetic knee replacements, and assessing dimensions of allografts. Limb length restoration during total hip arthroplasty: Restoration of hip biomechanics, including femoral offset and leg length are desired goals in performing total hip arthroplasty. Use of a caliper to control femoral component insertion and accurate. Optimize and. Caliper Hip Arthroplasty.
From www.cureus.com
Cureus Accuracy of Total Hip Arthroplasty Templating Using Set Caliper Hip Arthroplasty To address this we present and evaluate a technique that uses a caliper to control the vertical placement of the femoral component. Optimize and document leg length and femoral offset to optimize joint mechanics and gait. Optimize and document cup position to reduce. Use of a caliper to control femoral component insertion and accurate. Limb length restoration during total hip. Caliper Hip Arthroplasty.
From www.wjgnet.com
Pseudotumor recurrence in a postrevision total hip arthroplasty with Caliper Hip Arthroplasty To address this we present and evaluate a technique that uses a caliper to control the vertical placement of the femoral component. Achieving appropriate limb length is essential to success in total hip arthroplasty (tha). Achieving stability and equal leg lengths during total hip arthroplasty (tha) is crucial, not only for providing substantial pain. Examples of use include measuring limb. Caliper Hip Arthroplasty.
From www.mdpi.com
Imaging in Hip Arthroplasty Management Part 2 Postoperative Diagnostic Caliper Hip Arthroplasty To address this we present and evaluate a technique that uses a caliper to control the vertical placement of the femoral component. Achieving appropriate limb length is essential to success in total hip arthroplasty (tha). Limb length restoration during total hip arthroplasty: Optimize and document leg length and femoral offset to optimize joint mechanics and gait. Use of a caliper. Caliper Hip Arthroplasty.
From www.alamy.com
An Xray reveals both hip joints with TOTAL HIP ARTHROPLASTY Caliper Hip Arthroplasty Optimize and document cup position to reduce. Achieving appropriate limb length is essential to success in total hip arthroplasty (tha). Restoration of hip biomechanics, including femoral offset and leg length are desired goals in performing total hip arthroplasty. Achieving stability and equal leg lengths during total hip arthroplasty (tha) is crucial, not only for providing substantial pain. Optimize and document. Caliper Hip Arthroplasty.
From www.mdpi.com
JCM Free FullText Femoral Anteversion in Total Hip Arthroplasty Caliper Hip Arthroplasty Restoration of hip biomechanics, including femoral offset and leg length are desired goals in performing total hip arthroplasty. Optimize and document leg length and femoral offset to optimize joint mechanics and gait. Achieving appropriate limb length is essential to success in total hip arthroplasty (tha). Optimize and document cup position to reduce. Achieving stability and equal leg lengths during total. Caliper Hip Arthroplasty.
From www.mdpi.com
Imaging in Hip Arthroplasty Management Part 2 Postoperative Diagnostic Caliper Hip Arthroplasty Limb length restoration during total hip arthroplasty: Optimize and document cup position to reduce. Achieving stability and equal leg lengths during total hip arthroplasty (tha) is crucial, not only for providing substantial pain. To address this we present and evaluate a technique that uses a caliper to control the vertical placement of the femoral component. Examples of use include measuring. Caliper Hip Arthroplasty.
From orthopaedicprinciples.com
Hip Arthroplasty Complications and Salvage — Caliper Hip Arthroplasty Optimize and document cup position to reduce. Achieving appropriate limb length is essential to success in total hip arthroplasty (tha). Achieving stability and equal leg lengths during total hip arthroplasty (tha) is crucial, not only for providing substantial pain. Restoration of hip biomechanics, including femoral offset and leg length are desired goals in performing total hip arthroplasty. Optimize and document. Caliper Hip Arthroplasty.
From mindthegraph.com
Post traumatic hip total hip arthroplasty bone Caliper Hip Arthroplasty Examples of use include measuring limb length in total hip arthroplasty, confirming length in megaprosthetic knee replacements, and assessing dimensions of allografts. Optimize and document cup position to reduce. Use of a caliper to control femoral component insertion and accurate. Restoration of hip biomechanics, including femoral offset and leg length are desired goals in performing total hip arthroplasty. Achieving stability. Caliper Hip Arthroplasty.
From www.youtube.com
Radiographic analysis of prosthetic hip YouTube Caliper Hip Arthroplasty Optimize and document leg length and femoral offset to optimize joint mechanics and gait. Achieving appropriate limb length is essential to success in total hip arthroplasty (tha). Examples of use include measuring limb length in total hip arthroplasty, confirming length in megaprosthetic knee replacements, and assessing dimensions of allografts. Use of a caliper to control femoral component insertion and accurate.. Caliper Hip Arthroplasty.
From www.semanticscholar.org
Figure 3 from Limb Length Restoration during Total Hip Arthroplasty Caliper Hip Arthroplasty Examples of use include measuring limb length in total hip arthroplasty, confirming length in megaprosthetic knee replacements, and assessing dimensions of allografts. Optimize and document leg length and femoral offset to optimize joint mechanics and gait. Use of a caliper to control femoral component insertion and accurate. Optimize and document cup position to reduce. Restoration of hip biomechanics, including femoral. Caliper Hip Arthroplasty.
From www.researchgate.net
An 82yearold woman underwent total hip arthroplasty due to Caliper Hip Arthroplasty Optimize and document cup position to reduce. Use of a caliper to control femoral component insertion and accurate. Achieving appropriate limb length is essential to success in total hip arthroplasty (tha). To address this we present and evaluate a technique that uses a caliper to control the vertical placement of the femoral component. Limb length restoration during total hip arthroplasty:. Caliper Hip Arthroplasty.
From orthopaedics-art.com
Hip arthroplasty in Cancun Orthopaedics Art Caliper Hip Arthroplasty Limb length restoration during total hip arthroplasty: Optimize and document leg length and femoral offset to optimize joint mechanics and gait. Use of a caliper to control femoral component insertion and accurate. Optimize and document cup position to reduce. Restoration of hip biomechanics, including femoral offset and leg length are desired goals in performing total hip arthroplasty. Achieving appropriate limb. Caliper Hip Arthroplasty.