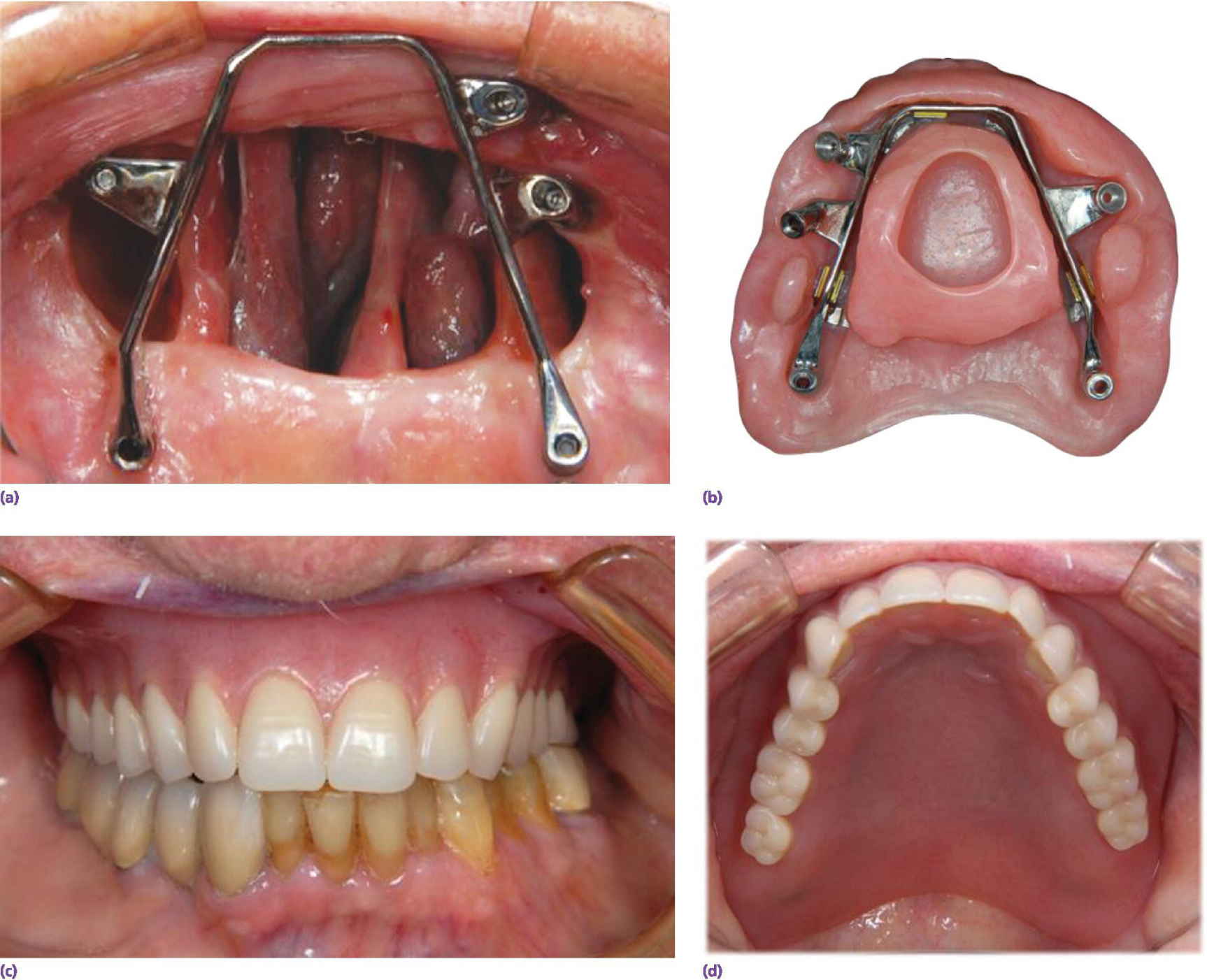
Dental Implant-Supported Connecting Bar . See a case report with before and after photos, radiographs, and steps of the procedure. There are several methods of implanting an overdenture, but the two most widely used are the clip bar and direct attachment methods. This treatment involves the strategic placement of within the Studies have shown that patient satisfaction was equivalent between patients wearing a complete implant‐supported. A bar may be a hader or dolder bar that engages clips, or it may have locator or Learn how to fabricate a removable denture connected to implants with a bar assembly and hader clips.
from pantheradental.com
Studies have shown that patient satisfaction was equivalent between patients wearing a complete implant‐supported. See a case report with before and after photos, radiographs, and steps of the procedure. Learn how to fabricate a removable denture connected to implants with a bar assembly and hader clips. This treatment involves the strategic placement of within the There are several methods of implanting an overdenture, but the two most widely used are the clip bar and direct attachment methods. A bar may be a hader or dolder bar that engages clips, or it may have locator or
Metal Implant Bar Panthera Dental
Dental Implant-Supported Connecting Bar Learn how to fabricate a removable denture connected to implants with a bar assembly and hader clips. Studies have shown that patient satisfaction was equivalent between patients wearing a complete implant‐supported. This treatment involves the strategic placement of within the Learn how to fabricate a removable denture connected to implants with a bar assembly and hader clips. There are several methods of implanting an overdenture, but the two most widely used are the clip bar and direct attachment methods. A bar may be a hader or dolder bar that engages clips, or it may have locator or See a case report with before and after photos, radiographs, and steps of the procedure.
From joiuchxrj.blob.core.windows.net
Bone Defect Dental at Leah Grubb blog Dental Implant-Supported Connecting Bar Learn how to fabricate a removable denture connected to implants with a bar assembly and hader clips. See a case report with before and after photos, radiographs, and steps of the procedure. A bar may be a hader or dolder bar that engages clips, or it may have locator or There are several methods of implanting an overdenture, but the. Dental Implant-Supported Connecting Bar.
From www.youtube.com
All on 4 implant bar supported denture YouTube Dental Implant-Supported Connecting Bar This treatment involves the strategic placement of within the Learn how to fabricate a removable denture connected to implants with a bar assembly and hader clips. Studies have shown that patient satisfaction was equivalent between patients wearing a complete implant‐supported. A bar may be a hader or dolder bar that engages clips, or it may have locator or See a. Dental Implant-Supported Connecting Bar.
From www.lohuddental.com
Scarsdale Advanced Dental Dental Implant Overdenture In Scarsdale Dental Implant-Supported Connecting Bar This treatment involves the strategic placement of within the See a case report with before and after photos, radiographs, and steps of the procedure. A bar may be a hader or dolder bar that engages clips, or it may have locator or Studies have shown that patient satisfaction was equivalent between patients wearing a complete implant‐supported. Learn how to fabricate. Dental Implant-Supported Connecting Bar.
From www.mdpi.com
Materials Free FullText Analytical Modeling of the Interaction of Dental Implant-Supported Connecting Bar A bar may be a hader or dolder bar that engages clips, or it may have locator or Studies have shown that patient satisfaction was equivalent between patients wearing a complete implant‐supported. Learn how to fabricate a removable denture connected to implants with a bar assembly and hader clips. There are several methods of implanting an overdenture, but the two. Dental Implant-Supported Connecting Bar.
From www.alamy.com
Bar retained removable overdenture installation supported by implants Dental Implant-Supported Connecting Bar See a case report with before and after photos, radiographs, and steps of the procedure. Learn how to fabricate a removable denture connected to implants with a bar assembly and hader clips. This treatment involves the strategic placement of within the A bar may be a hader or dolder bar that engages clips, or it may have locator or There. Dental Implant-Supported Connecting Bar.
From www.perionh.com
Implant Supported Dentures Salem, NH Dr. Charles Burliss Dental Implant-Supported Connecting Bar There are several methods of implanting an overdenture, but the two most widely used are the clip bar and direct attachment methods. This treatment involves the strategic placement of within the A bar may be a hader or dolder bar that engages clips, or it may have locator or See a case report with before and after photos, radiographs, and. Dental Implant-Supported Connecting Bar.
From www.archangelimplants.com
Fixed Detachable Implant Prosthesis (OD4 & RP4 Implant Overdenture Dental Implant-Supported Connecting Bar This treatment involves the strategic placement of within the Learn how to fabricate a removable denture connected to implants with a bar assembly and hader clips. There are several methods of implanting an overdenture, but the two most widely used are the clip bar and direct attachment methods. Studies have shown that patient satisfaction was equivalent between patients wearing a. Dental Implant-Supported Connecting Bar.
From www.implantcenterofmiami.com
Dental Implant Supported Connecting Bar Get the Support You Need Dental Implant-Supported Connecting Bar This treatment involves the strategic placement of within the Studies have shown that patient satisfaction was equivalent between patients wearing a complete implant‐supported. A bar may be a hader or dolder bar that engages clips, or it may have locator or There are several methods of implanting an overdenture, but the two most widely used are the clip bar and. Dental Implant-Supported Connecting Bar.
From www.implantcenterofmiami.com
Dental Implant Supported Connecting Bar Get the Support You Need Dental Implant-Supported Connecting Bar There are several methods of implanting an overdenture, but the two most widely used are the clip bar and direct attachment methods. Learn how to fabricate a removable denture connected to implants with a bar assembly and hader clips. This treatment involves the strategic placement of within the Studies have shown that patient satisfaction was equivalent between patients wearing a. Dental Implant-Supported Connecting Bar.
From stonerockdentalcare.com
implant supported denture StoneRock Dental Care Dental Implant-Supported Connecting Bar Studies have shown that patient satisfaction was equivalent between patients wearing a complete implant‐supported. Learn how to fabricate a removable denture connected to implants with a bar assembly and hader clips. There are several methods of implanting an overdenture, but the two most widely used are the clip bar and direct attachment methods. This treatment involves the strategic placement of. Dental Implant-Supported Connecting Bar.
From www.rsfdentist.com
Dental Implants Del Mar and Rancho Santa Fe Dental Implant-Supported Connecting Bar This treatment involves the strategic placement of within the Learn how to fabricate a removable denture connected to implants with a bar assembly and hader clips. A bar may be a hader or dolder bar that engages clips, or it may have locator or See a case report with before and after photos, radiographs, and steps of the procedure. Studies. Dental Implant-Supported Connecting Bar.
From pantheradental.com
Metal Implant Bar Panthera Dental Dental Implant-Supported Connecting Bar There are several methods of implanting an overdenture, but the two most widely used are the clip bar and direct attachment methods. Learn how to fabricate a removable denture connected to implants with a bar assembly and hader clips. Studies have shown that patient satisfaction was equivalent between patients wearing a complete implant‐supported. See a case report with before and. Dental Implant-Supported Connecting Bar.
From keysdentalspecialists.com
ImplantSupported Overdenture Keys Dental Specialists Dental Implant-Supported Connecting Bar There are several methods of implanting an overdenture, but the two most widely used are the clip bar and direct attachment methods. A bar may be a hader or dolder bar that engages clips, or it may have locator or Studies have shown that patient satisfaction was equivalent between patients wearing a complete implant‐supported. See a case report with before. Dental Implant-Supported Connecting Bar.
From edisonmed.com
It's Time To Raise The Bar for All On 4 Implants EM™ Dental Implant Dental Implant-Supported Connecting Bar See a case report with before and after photos, radiographs, and steps of the procedure. Studies have shown that patient satisfaction was equivalent between patients wearing a complete implant‐supported. This treatment involves the strategic placement of within the A bar may be a hader or dolder bar that engages clips, or it may have locator or There are several methods. Dental Implant-Supported Connecting Bar.
From burbankdental.com
When To Choose Smart1® Implant BarSupported Dentures Dental Implant-Supported Connecting Bar A bar may be a hader or dolder bar that engages clips, or it may have locator or This treatment involves the strategic placement of within the See a case report with before and after photos, radiographs, and steps of the procedure. Studies have shown that patient satisfaction was equivalent between patients wearing a complete implant‐supported. There are several methods. Dental Implant-Supported Connecting Bar.
From www.vdsclinic.com
Implant Overdentures Permanent Dentures in Vancouver BC VDSC Dental Implant-Supported Connecting Bar A bar may be a hader or dolder bar that engages clips, or it may have locator or Learn how to fabricate a removable denture connected to implants with a bar assembly and hader clips. Studies have shown that patient satisfaction was equivalent between patients wearing a complete implant‐supported. See a case report with before and after photos, radiographs, and. Dental Implant-Supported Connecting Bar.
From adsdentallab.en.made-in-china.com
Full Service Implant Supported Denture Implant Bar Dental Implant Ads Dental Implant-Supported Connecting Bar See a case report with before and after photos, radiographs, and steps of the procedure. A bar may be a hader or dolder bar that engages clips, or it may have locator or Studies have shown that patient satisfaction was equivalent between patients wearing a complete implant‐supported. Learn how to fabricate a removable denture connected to implants with a bar. Dental Implant-Supported Connecting Bar.
From megagen.co.uk
BarRetained Removable Overdentures (4 implants) Megagen Dental Implant-Supported Connecting Bar See a case report with before and after photos, radiographs, and steps of the procedure. Studies have shown that patient satisfaction was equivalent between patients wearing a complete implant‐supported. There are several methods of implanting an overdenture, but the two most widely used are the clip bar and direct attachment methods. Learn how to fabricate a removable denture connected to. Dental Implant-Supported Connecting Bar.
From www.drbharat.agravat.com
Metal bar supported denture with immediate loading 4 dental Implant Dental Implant-Supported Connecting Bar Studies have shown that patient satisfaction was equivalent between patients wearing a complete implant‐supported. A bar may be a hader or dolder bar that engages clips, or it may have locator or Learn how to fabricate a removable denture connected to implants with a bar assembly and hader clips. There are several methods of implanting an overdenture, but the two. Dental Implant-Supported Connecting Bar.
From ar.inspiredpencil.com
Implant Supported Dentures Maxillary Dental Implant-Supported Connecting Bar There are several methods of implanting an overdenture, but the two most widely used are the clip bar and direct attachment methods. This treatment involves the strategic placement of within the A bar may be a hader or dolder bar that engages clips, or it may have locator or Learn how to fabricate a removable denture connected to implants with. Dental Implant-Supported Connecting Bar.
From www.youtube.com
*NEW Dental Implant Milled Bar Overdenture Female Stud Attachments Dental Implant-Supported Connecting Bar There are several methods of implanting an overdenture, but the two most widely used are the clip bar and direct attachment methods. This treatment involves the strategic placement of within the Learn how to fabricate a removable denture connected to implants with a bar assembly and hader clips. A bar may be a hader or dolder bar that engages clips,. Dental Implant-Supported Connecting Bar.
From www.wiandlab.com
Arizona Denture Labs Implant Supported Denture Restorations Dental Implant-Supported Connecting Bar This treatment involves the strategic placement of within the Studies have shown that patient satisfaction was equivalent between patients wearing a complete implant‐supported. A bar may be a hader or dolder bar that engages clips, or it may have locator or There are several methods of implanting an overdenture, but the two most widely used are the clip bar and. Dental Implant-Supported Connecting Bar.
From pantheradental.com
Metal Implant Bar Panthera Dental Dental Implant-Supported Connecting Bar There are several methods of implanting an overdenture, but the two most widely used are the clip bar and direct attachment methods. Studies have shown that patient satisfaction was equivalent between patients wearing a complete implant‐supported. A bar may be a hader or dolder bar that engages clips, or it may have locator or See a case report with before. Dental Implant-Supported Connecting Bar.
From schaumburgtoothdoctor.com
Overdentures Implant Supported Dentures in Schaumburg, IL Schaumburg Dental Implant-Supported Connecting Bar This treatment involves the strategic placement of within the Studies have shown that patient satisfaction was equivalent between patients wearing a complete implant‐supported. There are several methods of implanting an overdenture, but the two most widely used are the clip bar and direct attachment methods. Learn how to fabricate a removable denture connected to implants with a bar assembly and. Dental Implant-Supported Connecting Bar.
From www.indiamart.com
Metal and Plastic Surface Cleaning Implant Overdenture Model, For Dental Implant-Supported Connecting Bar This treatment involves the strategic placement of within the A bar may be a hader or dolder bar that engages clips, or it may have locator or Learn how to fabricate a removable denture connected to implants with a bar assembly and hader clips. See a case report with before and after photos, radiographs, and steps of the procedure. There. Dental Implant-Supported Connecting Bar.
From www.wiandlab.com
CAD/CAM Implant Bar Design in Arizona Titanium Dental Implant Bars Dental Implant-Supported Connecting Bar A bar may be a hader or dolder bar that engages clips, or it may have locator or Learn how to fabricate a removable denture connected to implants with a bar assembly and hader clips. This treatment involves the strategic placement of within the There are several methods of implanting an overdenture, but the two most widely used are the. Dental Implant-Supported Connecting Bar.
From www.pearlfectiondentistry.com
Frequently Asked Questions About Dental Implants and Implant Supported Dental Implant-Supported Connecting Bar Learn how to fabricate a removable denture connected to implants with a bar assembly and hader clips. Studies have shown that patient satisfaction was equivalent between patients wearing a complete implant‐supported. A bar may be a hader or dolder bar that engages clips, or it may have locator or This treatment involves the strategic placement of within the There are. Dental Implant-Supported Connecting Bar.
From www.adcteam.com
Dental Implants Valdosta, GA Implant Dentistry Advanced Dental Care Dental Implant-Supported Connecting Bar A bar may be a hader or dolder bar that engages clips, or it may have locator or There are several methods of implanting an overdenture, but the two most widely used are the clip bar and direct attachment methods. See a case report with before and after photos, radiographs, and steps of the procedure. Studies have shown that patient. Dental Implant-Supported Connecting Bar.
From www.riverwalkdentaldevine.com
Difference between implantsupported crown and abutment crown? Dental Implant-Supported Connecting Bar There are several methods of implanting an overdenture, but the two most widely used are the clip bar and direct attachment methods. Learn how to fabricate a removable denture connected to implants with a bar assembly and hader clips. Studies have shown that patient satisfaction was equivalent between patients wearing a complete implant‐supported. This treatment involves the strategic placement of. Dental Implant-Supported Connecting Bar.
From www.odontologiavirtual.com
PDF Implant Supported Overdenture Attachments A Review Dental Implant-Supported Connecting Bar Studies have shown that patient satisfaction was equivalent between patients wearing a complete implant‐supported. There are several methods of implanting an overdenture, but the two most widely used are the clip bar and direct attachment methods. Learn how to fabricate a removable denture connected to implants with a bar assembly and hader clips. This treatment involves the strategic placement of. Dental Implant-Supported Connecting Bar.
From sfdental.en.made-in-china.com
China Hybrid Implant Supported Dentures / Tooth Supported Overdenture Dental Implant-Supported Connecting Bar Learn how to fabricate a removable denture connected to implants with a bar assembly and hader clips. A bar may be a hader or dolder bar that engages clips, or it may have locator or There are several methods of implanting an overdenture, but the two most widely used are the clip bar and direct attachment methods. Studies have shown. Dental Implant-Supported Connecting Bar.
From www.foleyandleoralsurgery.com
Bar Attachment Dentures Foley & Le Oral Surgery Dental Implant-Supported Connecting Bar Studies have shown that patient satisfaction was equivalent between patients wearing a complete implant‐supported. See a case report with before and after photos, radiographs, and steps of the procedure. There are several methods of implanting an overdenture, but the two most widely used are the clip bar and direct attachment methods. This treatment involves the strategic placement of within the. Dental Implant-Supported Connecting Bar.
From www.withersperio.com
Implant Supported Dentures Fairfax, VA Dr. Withers Dental Implant-Supported Connecting Bar This treatment involves the strategic placement of within the Learn how to fabricate a removable denture connected to implants with a bar assembly and hader clips. See a case report with before and after photos, radiographs, and steps of the procedure. Studies have shown that patient satisfaction was equivalent between patients wearing a complete implant‐supported. There are several methods of. Dental Implant-Supported Connecting Bar.
From paradigmmodels.com
IM08 Hader Bar Paradigm Dental Models Dental Implant-Supported Connecting Bar This treatment involves the strategic placement of within the A bar may be a hader or dolder bar that engages clips, or it may have locator or Studies have shown that patient satisfaction was equivalent between patients wearing a complete implant‐supported. See a case report with before and after photos, radiographs, and steps of the procedure. There are several methods. Dental Implant-Supported Connecting Bar.
From www.arrowhead-dental.com
Benefits of Dental Implant Supported Dentures Arrowhead Dental Dental Implant-Supported Connecting Bar See a case report with before and after photos, radiographs, and steps of the procedure. Studies have shown that patient satisfaction was equivalent between patients wearing a complete implant‐supported. This treatment involves the strategic placement of within the A bar may be a hader or dolder bar that engages clips, or it may have locator or Learn how to fabricate. Dental Implant-Supported Connecting Bar.