Short Cervix Things To Avoid . Since the goal is to keep your “bun in the oven” as long as possible, it’s important to get a short cervix diagnosed and treated to prevent cervical insufficiency — the early. Health care providers may recommend a few different methods to help avoid premature birth. For a cervix that’s under 25 millimeters long, progesterone hormone therapy can help prevent premature birth and reduce complications if. For some women, a doctor may recommend a cerclage. Have you been diagnosed with a short cervix during pregnancy? Here are some things to avoid if you have a short cervix: Learn what to expect when diagnosed and how you might. Lifting heavy objects can strain your pelvic area and put pressure on. Regular prenatal care makes it possible for a health care provider to. But if you have a very short cervix, 20 mm (0.8 in.) or less, your doctor may offer you medicine to help prevent preterm birth. There are generally two treatment options for a short cervix.
from www.carnegieimaging.com
There are generally two treatment options for a short cervix. Lifting heavy objects can strain your pelvic area and put pressure on. For some women, a doctor may recommend a cerclage. For a cervix that’s under 25 millimeters long, progesterone hormone therapy can help prevent premature birth and reduce complications if. Learn what to expect when diagnosed and how you might. Regular prenatal care makes it possible for a health care provider to. Here are some things to avoid if you have a short cervix: Health care providers may recommend a few different methods to help avoid premature birth. Since the goal is to keep your “bun in the oven” as long as possible, it’s important to get a short cervix diagnosed and treated to prevent cervical insufficiency — the early. Have you been diagnosed with a short cervix during pregnancy?
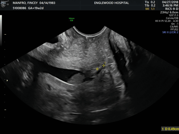
"At Your Cervix" Screening & Treatment of a Shortened Cervix during
Short Cervix Things To Avoid But if you have a very short cervix, 20 mm (0.8 in.) or less, your doctor may offer you medicine to help prevent preterm birth. Here are some things to avoid if you have a short cervix: There are generally two treatment options for a short cervix. But if you have a very short cervix, 20 mm (0.8 in.) or less, your doctor may offer you medicine to help prevent preterm birth. Learn what to expect when diagnosed and how you might. For a cervix that’s under 25 millimeters long, progesterone hormone therapy can help prevent premature birth and reduce complications if. Health care providers may recommend a few different methods to help avoid premature birth. Regular prenatal care makes it possible for a health care provider to. Have you been diagnosed with a short cervix during pregnancy? For some women, a doctor may recommend a cerclage. Lifting heavy objects can strain your pelvic area and put pressure on. Since the goal is to keep your “bun in the oven” as long as possible, it’s important to get a short cervix diagnosed and treated to prevent cervical insufficiency — the early.
From www.withpower.com
Arabin Pessary for Short Cervix Clinical Trial 2023 Power Short Cervix Things To Avoid But if you have a very short cervix, 20 mm (0.8 in.) or less, your doctor may offer you medicine to help prevent preterm birth. Health care providers may recommend a few different methods to help avoid premature birth. Lifting heavy objects can strain your pelvic area and put pressure on. Have you been diagnosed with a short cervix during. Short Cervix Things To Avoid.
From www.obgyn.theclinics.com
The Short Cervix Obstetrics and Gynecology Clinics Short Cervix Things To Avoid Here are some things to avoid if you have a short cervix: Since the goal is to keep your “bun in the oven” as long as possible, it’s important to get a short cervix diagnosed and treated to prevent cervical insufficiency — the early. Learn what to expect when diagnosed and how you might. Regular prenatal care makes it possible. Short Cervix Things To Avoid.
From www.youtube.com
cervix short cervix in twin pregnancy Short cervix Short Cervix Things To Avoid Health care providers may recommend a few different methods to help avoid premature birth. But if you have a very short cervix, 20 mm (0.8 in.) or less, your doctor may offer you medicine to help prevent preterm birth. Lifting heavy objects can strain your pelvic area and put pressure on. Learn what to expect when diagnosed and how you. Short Cervix Things To Avoid.
From www.twiniversity.com
What is a Shortened Cervix? Twiniversity 1 Parenting Twins Site Short Cervix Things To Avoid Have you been diagnosed with a short cervix during pregnancy? Learn what to expect when diagnosed and how you might. Health care providers may recommend a few different methods to help avoid premature birth. For a cervix that’s under 25 millimeters long, progesterone hormone therapy can help prevent premature birth and reduce complications if. For some women, a doctor may. Short Cervix Things To Avoid.
From www.twiniversity.com
What Is A Shortened Cervix? Twiniversity Short Cervix Things To Avoid Regular prenatal care makes it possible for a health care provider to. Lifting heavy objects can strain your pelvic area and put pressure on. But if you have a very short cervix, 20 mm (0.8 in.) or less, your doctor may offer you medicine to help prevent preterm birth. Here are some things to avoid if you have a short. Short Cervix Things To Avoid.
From www.youtube.com
What is Short Cervix/ Cervical Dr. Asha Gavade Umang Short Cervix Things To Avoid Since the goal is to keep your “bun in the oven” as long as possible, it’s important to get a short cervix diagnosed and treated to prevent cervical insufficiency — the early. There are generally two treatment options for a short cervix. But if you have a very short cervix, 20 mm (0.8 in.) or less, your doctor may offer. Short Cervix Things To Avoid.
From www.youtube.com
Cervical length measurement transabdominal/transvaginal ultrasound Short Cervix Things To Avoid Regular prenatal care makes it possible for a health care provider to. Lifting heavy objects can strain your pelvic area and put pressure on. For some women, a doctor may recommend a cerclage. Have you been diagnosed with a short cervix during pregnancy? Since the goal is to keep your “bun in the oven” as long as possible, it’s important. Short Cervix Things To Avoid.
From www.youtube.com
How to prevent short cervix during pregnancy YouTube Short Cervix Things To Avoid Regular prenatal care makes it possible for a health care provider to. Here are some things to avoid if you have a short cervix: Learn what to expect when diagnosed and how you might. For a cervix that’s under 25 millimeters long, progesterone hormone therapy can help prevent premature birth and reduce complications if. Health care providers may recommend a. Short Cervix Things To Avoid.
From infertility.about.com
How to Check Your Cervical Mucus and Detect Ovulation Short Cervix Things To Avoid Since the goal is to keep your “bun in the oven” as long as possible, it’s important to get a short cervix diagnosed and treated to prevent cervical insufficiency — the early. For a cervix that’s under 25 millimeters long, progesterone hormone therapy can help prevent premature birth and reduce complications if. There are generally two treatment options for a. Short Cervix Things To Avoid.
From www.twiniversity.com
What is a Shortened Cervix? Twiniversity 1 Parenting Twins Site Short Cervix Things To Avoid Have you been diagnosed with a short cervix during pregnancy? Lifting heavy objects can strain your pelvic area and put pressure on. Since the goal is to keep your “bun in the oven” as long as possible, it’s important to get a short cervix diagnosed and treated to prevent cervical insufficiency — the early. Learn what to expect when diagnosed. Short Cervix Things To Avoid.
From www.cloudninecare.com
Cervical Short Cervix Things To Avoid Lifting heavy objects can strain your pelvic area and put pressure on. There are generally two treatment options for a short cervix. Health care providers may recommend a few different methods to help avoid premature birth. But if you have a very short cervix, 20 mm (0.8 in.) or less, your doctor may offer you medicine to help prevent preterm. Short Cervix Things To Avoid.
From www.youtube.com
short cervix during pregnancy in tamil/cervix dilation/karupai vai Short Cervix Things To Avoid Have you been diagnosed with a short cervix during pregnancy? For some women, a doctor may recommend a cerclage. Learn what to expect when diagnosed and how you might. Health care providers may recommend a few different methods to help avoid premature birth. Here are some things to avoid if you have a short cervix: Since the goal is to. Short Cervix Things To Avoid.
From drngkailyn.com
Short cervix Risk factors, Diagnosis and Treatment Short Cervix Things To Avoid Regular prenatal care makes it possible for a health care provider to. But if you have a very short cervix, 20 mm (0.8 in.) or less, your doctor may offer you medicine to help prevent preterm birth. For some women, a doctor may recommend a cerclage. Learn what to expect when diagnosed and how you might. Health care providers may. Short Cervix Things To Avoid.
From www.slideshare.net
New Progesterone Guideline for Preterm labor and incidental shortened… Short Cervix Things To Avoid Lifting heavy objects can strain your pelvic area and put pressure on. Since the goal is to keep your “bun in the oven” as long as possible, it’s important to get a short cervix diagnosed and treated to prevent cervical insufficiency — the early. Regular prenatal care makes it possible for a health care provider to. There are generally two. Short Cervix Things To Avoid.
From www.youtube.com
Prevent Premature & Preterm Birth From Short Cervix, Cervical Short Cervix Things To Avoid Health care providers may recommend a few different methods to help avoid premature birth. For a cervix that’s under 25 millimeters long, progesterone hormone therapy can help prevent premature birth and reduce complications if. Regular prenatal care makes it possible for a health care provider to. But if you have a very short cervix, 20 mm (0.8 in.) or less,. Short Cervix Things To Avoid.
From www.peanut-app.io
Things to Avoid with a Short Cervix During Pregnancy Peanut Short Cervix Things To Avoid Regular prenatal care makes it possible for a health care provider to. There are generally two treatment options for a short cervix. But if you have a very short cervix, 20 mm (0.8 in.) or less, your doctor may offer you medicine to help prevent preterm birth. Since the goal is to keep your “bun in the oven” as long. Short Cervix Things To Avoid.
From www.youtube.com
Cervix ; How short is too short? YouTube Short Cervix Things To Avoid For a cervix that’s under 25 millimeters long, progesterone hormone therapy can help prevent premature birth and reduce complications if. For some women, a doctor may recommend a cerclage. Here are some things to avoid if you have a short cervix: Health care providers may recommend a few different methods to help avoid premature birth. Since the goal is to. Short Cervix Things To Avoid.
From www.bigstockphoto.com
Short Cervix Pregnancy Image & Photo (Free Trial) Bigstock Short Cervix Things To Avoid Regular prenatal care makes it possible for a health care provider to. Learn what to expect when diagnosed and how you might. For a cervix that’s under 25 millimeters long, progesterone hormone therapy can help prevent premature birth and reduce complications if. Health care providers may recommend a few different methods to help avoid premature birth. For some women, a. Short Cervix Things To Avoid.
From exoducwwf.blob.core.windows.net
Short Cervix In Second Pregnancy at Gayla Holding blog Short Cervix Things To Avoid For a cervix that’s under 25 millimeters long, progesterone hormone therapy can help prevent premature birth and reduce complications if. Learn what to expect when diagnosed and how you might. Have you been diagnosed with a short cervix during pregnancy? Here are some things to avoid if you have a short cervix: Regular prenatal care makes it possible for a. Short Cervix Things To Avoid.
From shunchild.com
Preventing Short Cervix During Pregnancy Tips And Strategies ShunChild Short Cervix Things To Avoid For some women, a doctor may recommend a cerclage. Health care providers may recommend a few different methods to help avoid premature birth. Since the goal is to keep your “bun in the oven” as long as possible, it’s important to get a short cervix diagnosed and treated to prevent cervical insufficiency — the early. Learn what to expect when. Short Cervix Things To Avoid.
From www.novahospital.co.in
Things not to do after Cervical Cerclage Nova Hospital Short Cervix Things To Avoid Health care providers may recommend a few different methods to help avoid premature birth. Lifting heavy objects can strain your pelvic area and put pressure on. Have you been diagnosed with a short cervix during pregnancy? Here are some things to avoid if you have a short cervix: For some women, a doctor may recommend a cerclage. Regular prenatal care. Short Cervix Things To Avoid.
From fyohrkokg.blob.core.windows.net
Short Cervix No Cerclage at Michael Proctor blog Short Cervix Things To Avoid But if you have a very short cervix, 20 mm (0.8 in.) or less, your doctor may offer you medicine to help prevent preterm birth. Since the goal is to keep your “bun in the oven” as long as possible, it’s important to get a short cervix diagnosed and treated to prevent cervical insufficiency — the early. For a cervix. Short Cervix Things To Avoid.
From www.wikihow.com
How to Prevent Cervix 11 Steps (with Pictures) Short Cervix Things To Avoid Regular prenatal care makes it possible for a health care provider to. Health care providers may recommend a few different methods to help avoid premature birth. For some women, a doctor may recommend a cerclage. Lifting heavy objects can strain your pelvic area and put pressure on. There are generally two treatment options for a short cervix. Learn what to. Short Cervix Things To Avoid.
From obgyn.onlinelibrary.wiley.com
Very short cervix in low‐risk asymptomatic singleton pregnancies Short Cervix Things To Avoid Lifting heavy objects can strain your pelvic area and put pressure on. Here are some things to avoid if you have a short cervix: Have you been diagnosed with a short cervix during pregnancy? Since the goal is to keep your “bun in the oven” as long as possible, it’s important to get a short cervix diagnosed and treated to. Short Cervix Things To Avoid.
From ledmain.com
Short Cervix During Pregnancy Causes And Treatment Ledmain Short Cervix Things To Avoid Learn what to expect when diagnosed and how you might. But if you have a very short cervix, 20 mm (0.8 in.) or less, your doctor may offer you medicine to help prevent preterm birth. Regular prenatal care makes it possible for a health care provider to. For a cervix that’s under 25 millimeters long, progesterone hormone therapy can help. Short Cervix Things To Avoid.
From www.carnegieimaging.com
"At Your Cervix" Screening & Treatment of a Shortened Cervix during Short Cervix Things To Avoid Learn what to expect when diagnosed and how you might. But if you have a very short cervix, 20 mm (0.8 in.) or less, your doctor may offer you medicine to help prevent preterm birth. There are generally two treatment options for a short cervix. Regular prenatal care makes it possible for a health care provider to. Lifting heavy objects. Short Cervix Things To Avoid.
From healthjade.net
Cervix Effaced, Short, Soft, and Low cervix Short Cervix Things To Avoid Lifting heavy objects can strain your pelvic area and put pressure on. For a cervix that’s under 25 millimeters long, progesterone hormone therapy can help prevent premature birth and reduce complications if. Learn what to expect when diagnosed and how you might. Regular prenatal care makes it possible for a health care provider to. Health care providers may recommend a. Short Cervix Things To Avoid.
From www.twiniversity.com
What is a Shortened Cervix? Twiniversity 1 Parenting Twins Site Short Cervix Things To Avoid Regular prenatal care makes it possible for a health care provider to. Since the goal is to keep your “bun in the oven” as long as possible, it’s important to get a short cervix diagnosed and treated to prevent cervical insufficiency — the early. Health care providers may recommend a few different methods to help avoid premature birth. There are. Short Cervix Things To Avoid.
From medicaldialogues.in
Cervical Pessary may not Prevent Preterm Birth among individuals with Short Cervix Things To Avoid There are generally two treatment options for a short cervix. But if you have a very short cervix, 20 mm (0.8 in.) or less, your doctor may offer you medicine to help prevent preterm birth. For some women, a doctor may recommend a cerclage. Lifting heavy objects can strain your pelvic area and put pressure on. Here are some things. Short Cervix Things To Avoid.
From www.battistaillustration.com
Shortening of the cervix Battista Illustration Short Cervix Things To Avoid Lifting heavy objects can strain your pelvic area and put pressure on. For some women, a doctor may recommend a cerclage. Since the goal is to keep your “bun in the oven” as long as possible, it’s important to get a short cervix diagnosed and treated to prevent cervical insufficiency — the early. For a cervix that’s under 25 millimeters. Short Cervix Things To Avoid.
From www.trialexhibitsinc.com
Ultrasound of a Short Cervix TrialQuest Inc. Short Cervix Things To Avoid Lifting heavy objects can strain your pelvic area and put pressure on. Health care providers may recommend a few different methods to help avoid premature birth. Learn what to expect when diagnosed and how you might. Here are some things to avoid if you have a short cervix: But if you have a very short cervix, 20 mm (0.8 in.). Short Cervix Things To Avoid.
From kidoneo.com
What To Avoid With A Short Cervix? Short Cervix Things To Avoid Have you been diagnosed with a short cervix during pregnancy? For a cervix that’s under 25 millimeters long, progesterone hormone therapy can help prevent premature birth and reduce complications if. Health care providers may recommend a few different methods to help avoid premature birth. Here are some things to avoid if you have a short cervix: Since the goal is. Short Cervix Things To Avoid.
From healthfulwoman.com
"Short cervix, cerclage, and PPROM" with Kristin MayleHasson Short Cervix Things To Avoid There are generally two treatment options for a short cervix. But if you have a very short cervix, 20 mm (0.8 in.) or less, your doctor may offer you medicine to help prevent preterm birth. For a cervix that’s under 25 millimeters long, progesterone hormone therapy can help prevent premature birth and reduce complications if. Have you been diagnosed with. Short Cervix Things To Avoid.
From www.semanticscholar.org
Figure 2 from Use of an Arabin pessary to prevent preterm birth in Short Cervix Things To Avoid For a cervix that’s under 25 millimeters long, progesterone hormone therapy can help prevent premature birth and reduce complications if. Health care providers may recommend a few different methods to help avoid premature birth. Have you been diagnosed with a short cervix during pregnancy? There are generally two treatment options for a short cervix. For some women, a doctor may. Short Cervix Things To Avoid.
From www.youtube.com
How Does Short Cervix Affect Pregnancy? Dr Chandana Galidevara Short Cervix Things To Avoid Lifting heavy objects can strain your pelvic area and put pressure on. For some women, a doctor may recommend a cerclage. For a cervix that’s under 25 millimeters long, progesterone hormone therapy can help prevent premature birth and reduce complications if. There are generally two treatment options for a short cervix. But if you have a very short cervix, 20. Short Cervix Things To Avoid.