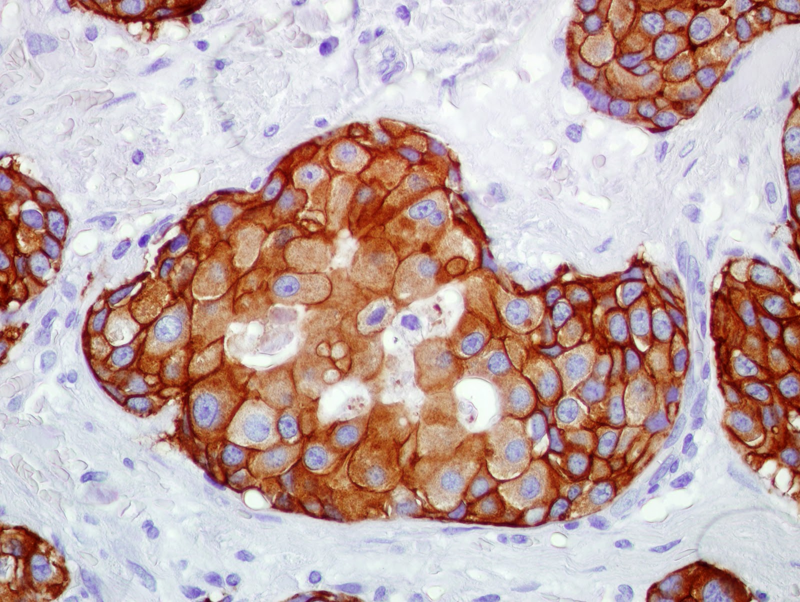
Que Es Her2 Positivo . el her2 (receptor 2 del factor de crecimiento epidérmico humano) es un gen que puede influir en la aparición del cáncer de mama. el her2 es una proteína que participa en el crecimiento celular y que puede estar amplificada en el cáncer de mama. entre un 15 y 20 por ciento de los cánceres de seno presentan niveles más elevados de la proteína her2, los cuales son referidos. si los resultados de la prueba indican 3+, el cáncer es her2 positivo, por lo que la persona podría beneficiarse de. Las pruebas de her2 ayudan a determinar el. ¿qué es el her2 en cáncer de mama? Her2 son las siglas utilizadas en inglés para referirse al receptor 2 del factor de crecimiento epidérmico humano. los cánceres de seno her2+ tienden a crecer rápidamente y pueden reaparecer con mayor frecuencia. Este gen es el encargado de producir una proteína que se encuentra en la superficie total del seno.
from www.youtube.com
Her2 son las siglas utilizadas en inglés para referirse al receptor 2 del factor de crecimiento epidérmico humano. Las pruebas de her2 ayudan a determinar el. entre un 15 y 20 por ciento de los cánceres de seno presentan niveles más elevados de la proteína her2, los cuales son referidos. los cánceres de seno her2+ tienden a crecer rápidamente y pueden reaparecer con mayor frecuencia. el her2 (receptor 2 del factor de crecimiento epidérmico humano) es un gen que puede influir en la aparición del cáncer de mama. ¿qué es el her2 en cáncer de mama? Este gen es el encargado de producir una proteína que se encuentra en la superficie total del seno. si los resultados de la prueba indican 3+, el cáncer es her2 positivo, por lo que la persona podría beneficiarse de. el her2 es una proteína que participa en el crecimiento celular y que puede estar amplificada en el cáncer de mama.
HER2/neupositive Breast Cancer pathology, diagnosis, cause, symptoms
Que Es Her2 Positivo los cánceres de seno her2+ tienden a crecer rápidamente y pueden reaparecer con mayor frecuencia. Las pruebas de her2 ayudan a determinar el. Her2 son las siglas utilizadas en inglés para referirse al receptor 2 del factor de crecimiento epidérmico humano. si los resultados de la prueba indican 3+, el cáncer es her2 positivo, por lo que la persona podría beneficiarse de. los cánceres de seno her2+ tienden a crecer rápidamente y pueden reaparecer con mayor frecuencia. el her2 (receptor 2 del factor de crecimiento epidérmico humano) es un gen que puede influir en la aparición del cáncer de mama. ¿qué es el her2 en cáncer de mama? entre un 15 y 20 por ciento de los cánceres de seno presentan niveles más elevados de la proteína her2, los cuales son referidos. el her2 es una proteína que participa en el crecimiento celular y que puede estar amplificada en el cáncer de mama. Este gen es el encargado de producir una proteína que se encuentra en la superficie total del seno.
From www.oncotarget.com
HER2 splice variants in breast cancer investigating their impact on Que Es Her2 Positivo si los resultados de la prueba indican 3+, el cáncer es her2 positivo, por lo que la persona podría beneficiarse de. Her2 son las siglas utilizadas en inglés para referirse al receptor 2 del factor de crecimiento epidérmico humano. Las pruebas de her2 ayudan a determinar el. el her2 (receptor 2 del factor de crecimiento epidérmico humano) es. Que Es Her2 Positivo.
From www.quironsalud.es
Tratamiento del cáncer de mama Que Es Her2 Positivo los cánceres de seno her2+ tienden a crecer rápidamente y pueden reaparecer con mayor frecuencia. el her2 es una proteína que participa en el crecimiento celular y que puede estar amplificada en el cáncer de mama. ¿qué es el her2 en cáncer de mama? el her2 (receptor 2 del factor de crecimiento epidérmico humano) es un. Que Es Her2 Positivo.
From www.histopat.es
Protocolo de estudio del gen HER2 (ERBB2) en el cáncer de mama Que Es Her2 Positivo el her2 (receptor 2 del factor de crecimiento epidérmico humano) es un gen que puede influir en la aparición del cáncer de mama. Este gen es el encargado de producir una proteína que se encuentra en la superficie total del seno. los cánceres de seno her2+ tienden a crecer rápidamente y pueden reaparecer con mayor frecuencia. ¿qué. Que Es Her2 Positivo.
From www.analisisclinico.es
Pruebas De Marcadores Tumorales Gen HER2/NEU (CERBB2) En Parafina Que Es Her2 Positivo Las pruebas de her2 ayudan a determinar el. Her2 son las siglas utilizadas en inglés para referirse al receptor 2 del factor de crecimiento epidérmico humano. el her2 es una proteína que participa en el crecimiento celular y que puede estar amplificada en el cáncer de mama. el her2 (receptor 2 del factor de crecimiento epidérmico humano) es. Que Es Her2 Positivo.
From newsnetwork.mayoclinic.org
Investigadores de Mayo Clinic identifican posible método nuevo para Que Es Her2 Positivo Las pruebas de her2 ayudan a determinar el. el her2 es una proteína que participa en el crecimiento celular y que puede estar amplificada en el cáncer de mama. Her2 son las siglas utilizadas en inglés para referirse al receptor 2 del factor de crecimiento epidérmico humano. los cánceres de seno her2+ tienden a crecer rápidamente y pueden. Que Es Her2 Positivo.
From magazine.medlineplus.gov
Nuevo tratamiento aprobado para el cáncer de seno HER2positivo NIH Que Es Her2 Positivo los cánceres de seno her2+ tienden a crecer rápidamente y pueden reaparecer con mayor frecuencia. ¿qué es el her2 en cáncer de mama? si los resultados de la prueba indican 3+, el cáncer es her2 positivo, por lo que la persona podría beneficiarse de. el her2 (receptor 2 del factor de crecimiento epidérmico humano) es un. Que Es Her2 Positivo.
From www.researchgate.net
(PDF) Cáncer de mama HER2positivo Terapias Sistémicas Actuales y Que Es Her2 Positivo los cánceres de seno her2+ tienden a crecer rápidamente y pueden reaparecer con mayor frecuencia. el her2 (receptor 2 del factor de crecimiento epidérmico humano) es un gen que puede influir en la aparición del cáncer de mama. si los resultados de la prueba indican 3+, el cáncer es her2 positivo, por lo que la persona podría. Que Es Her2 Positivo.
From www.researchgate.net
(PDF) Supervivencia de pacientes con cáncer mamario temprano HER2 Que Es Her2 Positivo los cánceres de seno her2+ tienden a crecer rápidamente y pueden reaparecer con mayor frecuencia. el her2 (receptor 2 del factor de crecimiento epidérmico humano) es un gen que puede influir en la aparición del cáncer de mama. entre un 15 y 20 por ciento de los cánceres de seno presentan niveles más elevados de la proteína. Que Es Her2 Positivo.
From www.cancertreatmentreviews.com
Biomarkers for HER2positive metastatic breast cancer Beyond hormone Que Es Her2 Positivo ¿qué es el her2 en cáncer de mama? los cánceres de seno her2+ tienden a crecer rápidamente y pueden reaparecer con mayor frecuencia. el her2 (receptor 2 del factor de crecimiento epidérmico humano) es un gen que puede influir en la aparición del cáncer de mama. si los resultados de la prueba indican 3+, el cáncer. Que Es Her2 Positivo.
From www.gruposolti.org
Taller para pacientes Conociendo el cáncer de mama HER2 positivo SOLTI Que Es Her2 Positivo Her2 son las siglas utilizadas en inglés para referirse al receptor 2 del factor de crecimiento epidérmico humano. ¿qué es el her2 en cáncer de mama? Este gen es el encargado de producir una proteína que se encuentra en la superficie total del seno. los cánceres de seno her2+ tienden a crecer rápidamente y pueden reaparecer con mayor. Que Es Her2 Positivo.
From smeo.org.mx
SIMPOSIO SATÉLITE CÁNCER DE MAMA METASTÁSICO HER2 POSITIVO UNA Que Es Her2 Positivo Este gen es el encargado de producir una proteína que se encuentra en la superficie total del seno. los cánceres de seno her2+ tienden a crecer rápidamente y pueden reaparecer con mayor frecuencia. ¿qué es el her2 en cáncer de mama? entre un 15 y 20 por ciento de los cánceres de seno presentan niveles más elevados. Que Es Her2 Positivo.
From www.ajicam.org
Taller de cáncer de mama HER2 positivo Asociación Jiennense del Que Es Her2 Positivo el her2 es una proteína que participa en el crecimiento celular y que puede estar amplificada en el cáncer de mama. Her2 son las siglas utilizadas en inglés para referirse al receptor 2 del factor de crecimiento epidérmico humano. el her2 (receptor 2 del factor de crecimiento epidérmico humano) es un gen que puede influir en la aparición. Que Es Her2 Positivo.
From plenilunia.com
Lanzan nueva alternativa para tratar cáncer de mama HER2 positivo en Que Es Her2 Positivo ¿qué es el her2 en cáncer de mama? Her2 son las siglas utilizadas en inglés para referirse al receptor 2 del factor de crecimiento epidérmico humano. si los resultados de la prueba indican 3+, el cáncer es her2 positivo, por lo que la persona podría beneficiarse de. Las pruebas de her2 ayudan a determinar el. Este gen es. Que Es Her2 Positivo.
From www.youtube.com
Como é identificada a cura no câncer de mama HER2 positivo? YouTube Que Es Her2 Positivo si los resultados de la prueba indican 3+, el cáncer es her2 positivo, por lo que la persona podría beneficiarse de. Este gen es el encargado de producir una proteína que se encuentra en la superficie total del seno. ¿qué es el her2 en cáncer de mama? Las pruebas de her2 ayudan a determinar el. el her2. Que Es Her2 Positivo.
From cancerher2.com
La técnica FISH se consolida en la valoración del oncogen HER2 en Que Es Her2 Positivo entre un 15 y 20 por ciento de los cánceres de seno presentan niveles más elevados de la proteína her2, los cuales son referidos. Este gen es el encargado de producir una proteína que se encuentra en la superficie total del seno. ¿qué es el her2 en cáncer de mama? si los resultados de la prueba indican. Que Es Her2 Positivo.
From dokumen.tips
(PDF) Cáncer de mama HER2 positivo · en el uso de sustancias Que Es Her2 Positivo los cánceres de seno her2+ tienden a crecer rápidamente y pueden reaparecer con mayor frecuencia. ¿qué es el her2 en cáncer de mama? Her2 son las siglas utilizadas en inglés para referirse al receptor 2 del factor de crecimiento epidérmico humano. Este gen es el encargado de producir una proteína que se encuentra en la superficie total del. Que Es Her2 Positivo.
From www.savalnet.com.py
Ciencia y Medicina Progresos Médicos Que Es Her2 Positivo el her2 es una proteína que participa en el crecimiento celular y que puede estar amplificada en el cáncer de mama. ¿qué es el her2 en cáncer de mama? Her2 son las siglas utilizadas en inglés para referirse al receptor 2 del factor de crecimiento epidérmico humano. Las pruebas de her2 ayudan a determinar el. los cánceres. Que Es Her2 Positivo.
From www.youtube.com
CÁNCER DE MAMA HER2 POSITIVO LA NUEVA ERA EN EL TRATAMIENTO SMEO2015 Que Es Her2 Positivo el her2 (receptor 2 del factor de crecimiento epidérmico humano) es un gen que puede influir en la aparición del cáncer de mama. si los resultados de la prueba indican 3+, el cáncer es her2 positivo, por lo que la persona podría beneficiarse de. los cánceres de seno her2+ tienden a crecer rápidamente y pueden reaparecer con. Que Es Her2 Positivo.
From www.youtube.com
Video 5 HER2 Positivo Cáncer de mama YouTube Que Es Her2 Positivo ¿qué es el her2 en cáncer de mama? Las pruebas de her2 ayudan a determinar el. los cánceres de seno her2+ tienden a crecer rápidamente y pueden reaparecer con mayor frecuencia. Her2 son las siglas utilizadas en inglés para referirse al receptor 2 del factor de crecimiento epidérmico humano. Este gen es el encargado de producir una proteína. Que Es Her2 Positivo.
From www.scielo.cl
Cáncer de mama Her2positivo Terapias sistémicas actuales y Que Es Her2 Positivo el her2 es una proteína que participa en el crecimiento celular y que puede estar amplificada en el cáncer de mama. entre un 15 y 20 por ciento de los cánceres de seno presentan niveles más elevados de la proteína her2, los cuales son referidos. los cánceres de seno her2+ tienden a crecer rápidamente y pueden reaparecer. Que Es Her2 Positivo.
From www.researchgate.net
(PDF) Resultados de trastuzumab adyuvante en pacientes con cáncer de Que Es Her2 Positivo el her2 (receptor 2 del factor de crecimiento epidérmico humano) es un gen que puede influir en la aparición del cáncer de mama. ¿qué es el her2 en cáncer de mama? si los resultados de la prueba indican 3+, el cáncer es her2 positivo, por lo que la persona podría beneficiarse de. Her2 son las siglas utilizadas. Que Es Her2 Positivo.
From medicinabasica.com
Tratamiento del cáncer de mama positivo para HER2 metastásico Que Es Her2 Positivo el her2 (receptor 2 del factor de crecimiento epidérmico humano) es un gen que puede influir en la aparición del cáncer de mama. el her2 es una proteína que participa en el crecimiento celular y que puede estar amplificada en el cáncer de mama. los cánceres de seno her2+ tienden a crecer rápidamente y pueden reaparecer con. Que Es Her2 Positivo.
From www.pmfarma.com
Trastuzumab deruxtecán está disponible desde hoy en España para el Que Es Her2 Positivo los cánceres de seno her2+ tienden a crecer rápidamente y pueden reaparecer con mayor frecuencia. entre un 15 y 20 por ciento de los cánceres de seno presentan niveles más elevados de la proteína her2, los cuales son referidos. el her2 (receptor 2 del factor de crecimiento epidérmico humano) es un gen que puede influir en la. Que Es Her2 Positivo.
From saladeprensa.usal.es
Identificada una nueva diana para tratamiento de cáncer de mama HER2 Que Es Her2 Positivo entre un 15 y 20 por ciento de los cánceres de seno presentan niveles más elevados de la proteína her2, los cuales son referidos. si los resultados de la prueba indican 3+, el cáncer es her2 positivo, por lo que la persona podría beneficiarse de. el her2 es una proteína que participa en el crecimiento celular y. Que Es Her2 Positivo.
From escuelaparticulararrayan.cl
Todo lo que necesitas saber sobre Luminal B Her2 Positivo Tratamientos Que Es Her2 Positivo entre un 15 y 20 por ciento de los cánceres de seno presentan niveles más elevados de la proteína her2, los cuales son referidos. los cánceres de seno her2+ tienden a crecer rápidamente y pueden reaparecer con mayor frecuencia. si los resultados de la prueba indican 3+, el cáncer es her2 positivo, por lo que la persona. Que Es Her2 Positivo.
From studylib.es
Tratamiento del cáncer de mama HER2 positivo en estadio temprano Que Es Her2 Positivo entre un 15 y 20 por ciento de los cánceres de seno presentan niveles más elevados de la proteína her2, los cuales son referidos. Las pruebas de her2 ayudan a determinar el. el her2 (receptor 2 del factor de crecimiento epidérmico humano) es un gen que puede influir en la aparición del cáncer de mama. ¿qué es. Que Es Her2 Positivo.
From laboratoriodepatologiaortega.blogspot.com
LABORATORIO DE INMUNOHISTOQUÍMICA Que Es Her2 Positivo si los resultados de la prueba indican 3+, el cáncer es her2 positivo, por lo que la persona podría beneficiarse de. el her2 es una proteína que participa en el crecimiento celular y que puede estar amplificada en el cáncer de mama. Las pruebas de her2 ayudan a determinar el. el her2 (receptor 2 del factor de. Que Es Her2 Positivo.
From www.biopat.es
Protocolo de estudio del gen HER2 (ERBB2) en el cáncer de mama Biopat Que Es Her2 Positivo entre un 15 y 20 por ciento de los cánceres de seno presentan niveles más elevados de la proteína her2, los cuales son referidos. ¿qué es el her2 en cáncer de mama? si los resultados de la prueba indican 3+, el cáncer es her2 positivo, por lo que la persona podría beneficiarse de. el her2 (receptor. Que Es Her2 Positivo.
From www.youtube.com
HER2/neupositive Breast Cancer pathology, diagnosis, cause, symptoms Que Es Her2 Positivo el her2 (receptor 2 del factor de crecimiento epidérmico humano) es un gen que puede influir en la aparición del cáncer de mama. ¿qué es el her2 en cáncer de mama? los cánceres de seno her2+ tienden a crecer rápidamente y pueden reaparecer con mayor frecuencia. si los resultados de la prueba indican 3+, el cáncer. Que Es Her2 Positivo.
From dascoisasquetenhoaprendido.com.br
Câncer de Mama entenda o que significa HER 2 positivo Que Es Her2 Positivo Este gen es el encargado de producir una proteína que se encuentra en la superficie total del seno. entre un 15 y 20 por ciento de los cánceres de seno presentan niveles más elevados de la proteína her2, los cuales son referidos. los cánceres de seno her2+ tienden a crecer rápidamente y pueden reaparecer con mayor frecuencia. Her2. Que Es Her2 Positivo.
From www.youtube.com
Post ASCO Qué significa la clasificación "HER2 low" e implicaciones Que Es Her2 Positivo Este gen es el encargado de producir una proteína que se encuentra en la superficie total del seno. ¿qué es el her2 en cáncer de mama? entre un 15 y 20 por ciento de los cánceres de seno presentan niveles más elevados de la proteína her2, los cuales son referidos. el her2 es una proteína que participa. Que Es Her2 Positivo.
From www.amgen.es
La proteína HER2 Cáncer de mama Amgen España Que Es Her2 Positivo ¿qué es el her2 en cáncer de mama? entre un 15 y 20 por ciento de los cánceres de seno presentan niveles más elevados de la proteína her2, los cuales son referidos. Las pruebas de her2 ayudan a determinar el. el her2 (receptor 2 del factor de crecimiento epidérmico humano) es un gen que puede influir en. Que Es Her2 Positivo.
From www.rtve.es
Identificada una nueva forma de tratar el cáncer de mama Que Es Her2 Positivo el her2 (receptor 2 del factor de crecimiento epidérmico humano) es un gen que puede influir en la aparición del cáncer de mama. entre un 15 y 20 por ciento de los cánceres de seno presentan niveles más elevados de la proteína her2, los cuales son referidos. Este gen es el encargado de producir una proteína que se. Que Es Her2 Positivo.
From www.youtube.com
Qué es el cáncer de mama positivo para her2 YouTube Que Es Her2 Positivo el her2 es una proteína que participa en el crecimiento celular y que puede estar amplificada en el cáncer de mama. el her2 (receptor 2 del factor de crecimiento epidérmico humano) es un gen que puede influir en la aparición del cáncer de mama. Las pruebas de her2 ayudan a determinar el. si los resultados de la. Que Es Her2 Positivo.
From www.slideserve.com
PPT Avançando o tratamento de pacientes com câncer de mama inicial Que Es Her2 Positivo entre un 15 y 20 por ciento de los cánceres de seno presentan niveles más elevados de la proteína her2, los cuales son referidos. el her2 (receptor 2 del factor de crecimiento epidérmico humano) es un gen que puede influir en la aparición del cáncer de mama. Las pruebas de her2 ayudan a determinar el. si los. Que Es Her2 Positivo.