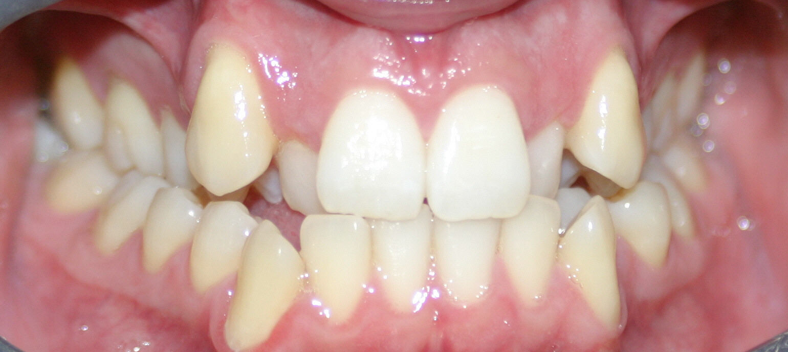
Crowded Teeth X Ray . malocclusion of teeth is typically diagnosed through routine dental exams. dental crowding, also referred as swarming, can be characterised as an. in dental crowding therapy, it is important to quantify the lack of space in the dental arch in order to choose an appropriate orthodontic. The primary causes of teeth crowding include teeth larger than the jaw or a jaw that is too small. crowded teeth can be prevented or corrected using braces if crowding is mild (less than 4 mm). Losing baby teeth too early can. Your dentist will examine your teeth and may perform dental x.
from www.holisticsmilecare.com
Your dentist will examine your teeth and may perform dental x. crowded teeth can be prevented or corrected using braces if crowding is mild (less than 4 mm). dental crowding, also referred as swarming, can be characterised as an. Losing baby teeth too early can. The primary causes of teeth crowding include teeth larger than the jaw or a jaw that is too small. in dental crowding therapy, it is important to quantify the lack of space in the dental arch in order to choose an appropriate orthodontic. malocclusion of teeth is typically diagnosed through routine dental exams.
What are Crowded Teeth? West Hollywood Holistic and Cosmetic Dental Care
Crowded Teeth X Ray crowded teeth can be prevented or corrected using braces if crowding is mild (less than 4 mm). dental crowding, also referred as swarming, can be characterised as an. in dental crowding therapy, it is important to quantify the lack of space in the dental arch in order to choose an appropriate orthodontic. The primary causes of teeth crowding include teeth larger than the jaw or a jaw that is too small. malocclusion of teeth is typically diagnosed through routine dental exams. crowded teeth can be prevented or corrected using braces if crowding is mild (less than 4 mm). Losing baby teeth too early can. Your dentist will examine your teeth and may perform dental x.
From faceteethsmile.com
Treatments for Crowded Teeth Face Teeth Smile Gerrards Cross Crowded Teeth X Ray crowded teeth can be prevented or corrected using braces if crowding is mild (less than 4 mm). The primary causes of teeth crowding include teeth larger than the jaw or a jaw that is too small. Your dentist will examine your teeth and may perform dental x. Losing baby teeth too early can. malocclusion of teeth is typically. Crowded Teeth X Ray.
From outstandingortho.com
Crowding Teeth Why It Happens & What to Do About It Crowded Teeth X Ray Your dentist will examine your teeth and may perform dental x. The primary causes of teeth crowding include teeth larger than the jaw or a jaw that is too small. Losing baby teeth too early can. dental crowding, also referred as swarming, can be characterised as an. malocclusion of teeth is typically diagnosed through routine dental exams. . Crowded Teeth X Ray.
From www.temeculafacialoralsurgery.com
Three Common Problems Caused by Wisdom Teeth Dr. Tsvetov Crowded Teeth X Ray Your dentist will examine your teeth and may perform dental x. Losing baby teeth too early can. malocclusion of teeth is typically diagnosed through routine dental exams. crowded teeth can be prevented or corrected using braces if crowding is mild (less than 4 mm). in dental crowding therapy, it is important to quantify the lack of space. Crowded Teeth X Ray.
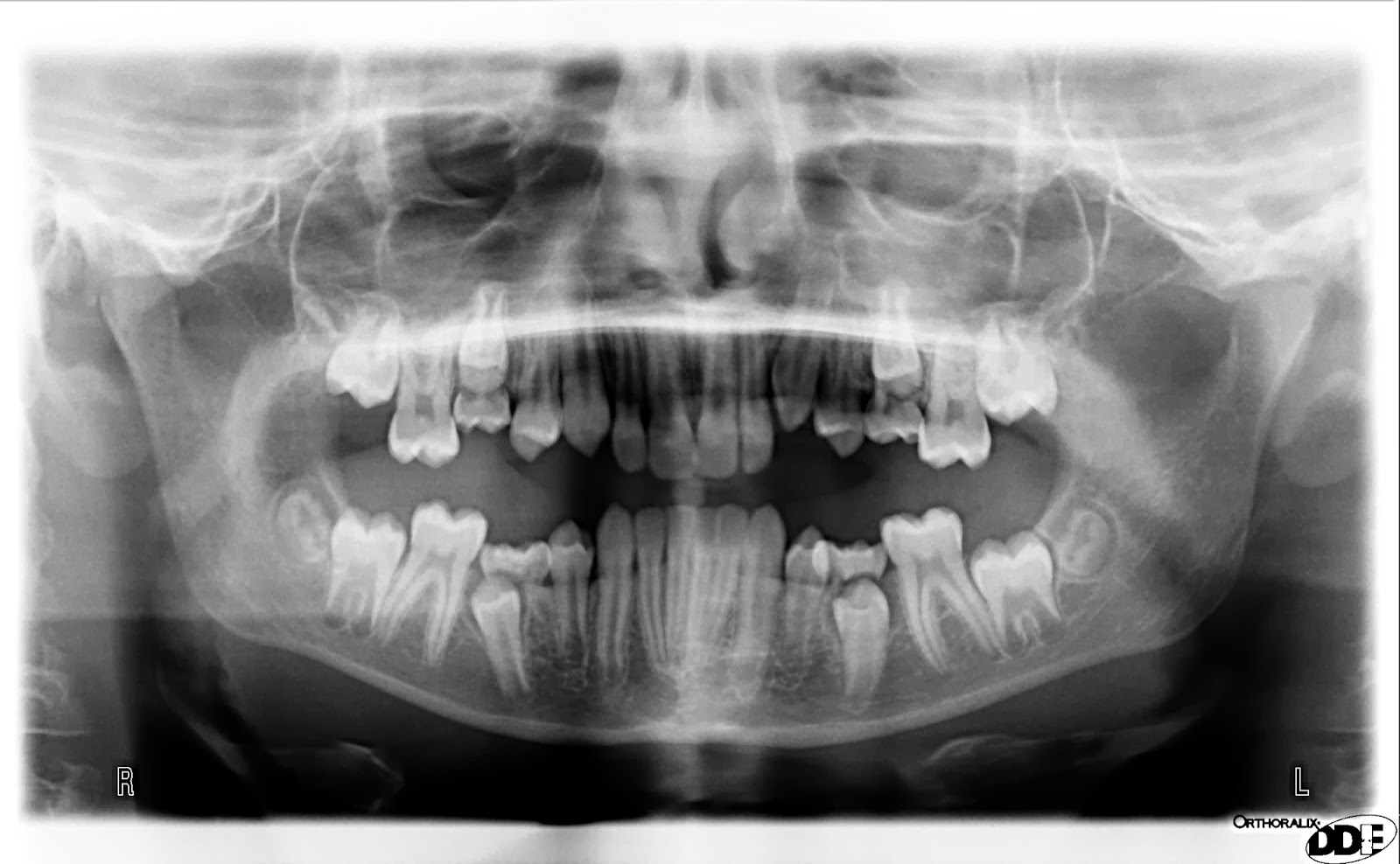
From dxopddjfe.blob.core.windows.net
Tooth Xray Images at Eugene Wong blog Crowded Teeth X Ray crowded teeth can be prevented or corrected using braces if crowding is mild (less than 4 mm). Your dentist will examine your teeth and may perform dental x. The primary causes of teeth crowding include teeth larger than the jaw or a jaw that is too small. Losing baby teeth too early can. malocclusion of teeth is typically. Crowded Teeth X Ray.
From lasrydentalclinic.com
Your Overcrowded Teeth Causes, Symptoms, and Solutions Crowded Teeth X Ray The primary causes of teeth crowding include teeth larger than the jaw or a jaw that is too small. Your dentist will examine your teeth and may perform dental x. dental crowding, also referred as swarming, can be characterised as an. malocclusion of teeth is typically diagnosed through routine dental exams. Losing baby teeth too early can. . Crowded Teeth X Ray.
From www.youtube.com
Invisalign Before and After Crowded Teeth YouTube Crowded Teeth X Ray dental crowding, also referred as swarming, can be characterised as an. crowded teeth can be prevented or corrected using braces if crowding is mild (less than 4 mm). malocclusion of teeth is typically diagnosed through routine dental exams. The primary causes of teeth crowding include teeth larger than the jaw or a jaw that is too small.. Crowded Teeth X Ray.
From radiopaedia.org
Image Crowded Teeth X Ray The primary causes of teeth crowding include teeth larger than the jaw or a jaw that is too small. in dental crowding therapy, it is important to quantify the lack of space in the dental arch in order to choose an appropriate orthodontic. Your dentist will examine your teeth and may perform dental x. malocclusion of teeth is. Crowded Teeth X Ray.
From www.dreamstime.com
Overcrowded Teeth, Abnormal Dental Occlusion. Medically Accurate Tooth Crowded Teeth X Ray malocclusion of teeth is typically diagnosed through routine dental exams. Losing baby teeth too early can. in dental crowding therapy, it is important to quantify the lack of space in the dental arch in order to choose an appropriate orthodontic. crowded teeth can be prevented or corrected using braces if crowding is mild (less than 4 mm).. Crowded Teeth X Ray.
From manhattanbridgeortho.com
Crowded Teeth Manhattan Bridge Orthodontics Crowded Teeth X Ray The primary causes of teeth crowding include teeth larger than the jaw or a jaw that is too small. Losing baby teeth too early can. malocclusion of teeth is typically diagnosed through routine dental exams. in dental crowding therapy, it is important to quantify the lack of space in the dental arch in order to choose an appropriate. Crowded Teeth X Ray.
From patch.com
Crowded teeth can lead to tooth loss in adults. Glenview, IL Patch Crowded Teeth X Ray crowded teeth can be prevented or corrected using braces if crowding is mild (less than 4 mm). in dental crowding therapy, it is important to quantify the lack of space in the dental arch in order to choose an appropriate orthodontic. Your dentist will examine your teeth and may perform dental x. malocclusion of teeth is typically. Crowded Teeth X Ray.
From www.reamerfamilydentistry.com
Reamer Family Dentistry Blog Why Do We Take Dental Xrays? Crowded Teeth X Ray Your dentist will examine your teeth and may perform dental x. crowded teeth can be prevented or corrected using braces if crowding is mild (less than 4 mm). malocclusion of teeth is typically diagnosed through routine dental exams. The primary causes of teeth crowding include teeth larger than the jaw or a jaw that is too small. Losing. Crowded Teeth X Ray.
From drrandallmcvey.com
Understanding Crowded Teeth Dr. McVey Read Now Crowded Teeth X Ray Your dentist will examine your teeth and may perform dental x. The primary causes of teeth crowding include teeth larger than the jaw or a jaw that is too small. in dental crowding therapy, it is important to quantify the lack of space in the dental arch in order to choose an appropriate orthodontic. malocclusion of teeth is. Crowded Teeth X Ray.
From kerryannmorgan.com
Supernumerary Teeth & Surgery Crowded Teeth X Ray dental crowding, also referred as swarming, can be characterised as an. malocclusion of teeth is typically diagnosed through routine dental exams. The primary causes of teeth crowding include teeth larger than the jaw or a jaw that is too small. in dental crowding therapy, it is important to quantify the lack of space in the dental arch. Crowded Teeth X Ray.
From www.nwph.net
Causes of Crowded Teeth and How You Can Straighten Them Crowded Teeth X Ray dental crowding, also referred as swarming, can be characterised as an. The primary causes of teeth crowding include teeth larger than the jaw or a jaw that is too small. Losing baby teeth too early can. malocclusion of teeth is typically diagnosed through routine dental exams. crowded teeth can be prevented or corrected using braces if crowding. Crowded Teeth X Ray.
From wetherbyortho.blogspot.co.uk
Wetherby Orthodontics, Our Blog Submerging deciduous teeth and the Crowded Teeth X Ray malocclusion of teeth is typically diagnosed through routine dental exams. in dental crowding therapy, it is important to quantify the lack of space in the dental arch in order to choose an appropriate orthodontic. The primary causes of teeth crowding include teeth larger than the jaw or a jaw that is too small. Your dentist will examine your. Crowded Teeth X Ray.
From www.animalia-life.club
Crowded Teeth Crowded Teeth X Ray dental crowding, also referred as swarming, can be characterised as an. in dental crowding therapy, it is important to quantify the lack of space in the dental arch in order to choose an appropriate orthodontic. crowded teeth can be prevented or corrected using braces if crowding is mild (less than 4 mm). Your dentist will examine your. Crowded Teeth X Ray.
From lifestylesmiles.com.au
Crowded Teeth Causes and Treatment Options Crowded Teeth X Ray dental crowding, also referred as swarming, can be characterised as an. in dental crowding therapy, it is important to quantify the lack of space in the dental arch in order to choose an appropriate orthodontic. The primary causes of teeth crowding include teeth larger than the jaw or a jaw that is too small. Your dentist will examine. Crowded Teeth X Ray.
From loveablesmiles.com
Crowded Teeth and Your Overall Health Loveable Smiles Dentistry Crowded Teeth X Ray in dental crowding therapy, it is important to quantify the lack of space in the dental arch in order to choose an appropriate orthodontic. crowded teeth can be prevented or corrected using braces if crowding is mild (less than 4 mm). Your dentist will examine your teeth and may perform dental x. Losing baby teeth too early can.. Crowded Teeth X Ray.
From drjameswaters.blogspot.com
James R. Waters, DDS, MSD, PA Crowded teeth can lead to early tooth loss. Crowded Teeth X Ray malocclusion of teeth is typically diagnosed through routine dental exams. dental crowding, also referred as swarming, can be characterised as an. in dental crowding therapy, it is important to quantify the lack of space in the dental arch in order to choose an appropriate orthodontic. The primary causes of teeth crowding include teeth larger than the jaw. Crowded Teeth X Ray.
From www.woodhilldentalspecialties.com
Ways We Can Help With Teeth Crowding • Woodhill Dental Specialties Crowded Teeth X Ray The primary causes of teeth crowding include teeth larger than the jaw or a jaw that is too small. Losing baby teeth too early can. malocclusion of teeth is typically diagnosed through routine dental exams. crowded teeth can be prevented or corrected using braces if crowding is mild (less than 4 mm). Your dentist will examine your teeth. Crowded Teeth X Ray.
From www.holisticsmilecare.com
What are Crowded Teeth? West Hollywood Holistic and Cosmetic Dental Care Crowded Teeth X Ray in dental crowding therapy, it is important to quantify the lack of space in the dental arch in order to choose an appropriate orthodontic. The primary causes of teeth crowding include teeth larger than the jaw or a jaw that is too small. dental crowding, also referred as swarming, can be characterised as an. Losing baby teeth too. Crowded Teeth X Ray.
From shutterstock.com
Panoramic XRay Of Crowding Teeth Stock Photo 204889417 Shutterstock Crowded Teeth X Ray The primary causes of teeth crowding include teeth larger than the jaw or a jaw that is too small. malocclusion of teeth is typically diagnosed through routine dental exams. in dental crowding therapy, it is important to quantify the lack of space in the dental arch in order to choose an appropriate orthodontic. Your dentist will examine your. Crowded Teeth X Ray.
From createsmiles.com
CrowdedTeeth CreateSmiles by Dr. Brad Lockhart Tustin Dentist Crowded Teeth X Ray The primary causes of teeth crowding include teeth larger than the jaw or a jaw that is too small. in dental crowding therapy, it is important to quantify the lack of space in the dental arch in order to choose an appropriate orthodontic. malocclusion of teeth is typically diagnosed through routine dental exams. Your dentist will examine your. Crowded Teeth X Ray.
From sweettoothkids.com
Dental XRays The Whole Tooth Pediatric Dental Blog Crowded Teeth X Ray dental crowding, also referred as swarming, can be characterised as an. The primary causes of teeth crowding include teeth larger than the jaw or a jaw that is too small. Losing baby teeth too early can. crowded teeth can be prevented or corrected using braces if crowding is mild (less than 4 mm). in dental crowding therapy,. Crowded Teeth X Ray.
From www.forbesorthodontics.com
Adult Overcrowding Forbes Orthodontics Crowded Teeth X Ray Your dentist will examine your teeth and may perform dental x. The primary causes of teeth crowding include teeth larger than the jaw or a jaw that is too small. malocclusion of teeth is typically diagnosed through routine dental exams. crowded teeth can be prevented or corrected using braces if crowding is mild (less than 4 mm). Losing. Crowded Teeth X Ray.
From lasrydentalclinic.com
Your Overcrowded Teeth Causes, Symptoms, and Solutions Crowded Teeth X Ray dental crowding, also referred as swarming, can be characterised as an. malocclusion of teeth is typically diagnosed through routine dental exams. The primary causes of teeth crowding include teeth larger than the jaw or a jaw that is too small. crowded teeth can be prevented or corrected using braces if crowding is mild (less than 4 mm).. Crowded Teeth X Ray.
From smile2impress.com
Crowded teeth All you need to know 🦷 Crowded Teeth X Ray Losing baby teeth too early can. dental crowding, also referred as swarming, can be characterised as an. crowded teeth can be prevented or corrected using braces if crowding is mild (less than 4 mm). malocclusion of teeth is typically diagnosed through routine dental exams. Your dentist will examine your teeth and may perform dental x. The primary. Crowded Teeth X Ray.
From www.woodhilldentalspecialties.com
Ways We Can Help With Teeth Crowding • Woodhill Dental Specialties Crowded Teeth X Ray in dental crowding therapy, it is important to quantify the lack of space in the dental arch in order to choose an appropriate orthodontic. Losing baby teeth too early can. Your dentist will examine your teeth and may perform dental x. dental crowding, also referred as swarming, can be characterised as an. crowded teeth can be prevented. Crowded Teeth X Ray.
From holisticdentalinstitute.com
What happens if I don’t have my wisdom teeth removed? Crowded Teeth X Ray in dental crowding therapy, it is important to quantify the lack of space in the dental arch in order to choose an appropriate orthodontic. The primary causes of teeth crowding include teeth larger than the jaw or a jaw that is too small. malocclusion of teeth is typically diagnosed through routine dental exams. crowded teeth can be. Crowded Teeth X Ray.
From checkyourfact.com
FACT CHECK Does This Picture Show An XRay Of A Toddler’s Teeth Crowded Teeth X Ray dental crowding, also referred as swarming, can be characterised as an. The primary causes of teeth crowding include teeth larger than the jaw or a jaw that is too small. Your dentist will examine your teeth and may perform dental x. in dental crowding therapy, it is important to quantify the lack of space in the dental arch. Crowded Teeth X Ray.
From www.youtube.com
Video correction of crowded teeth YouTube Crowded Teeth X Ray crowded teeth can be prevented or corrected using braces if crowding is mild (less than 4 mm). The primary causes of teeth crowding include teeth larger than the jaw or a jaw that is too small. malocclusion of teeth is typically diagnosed through routine dental exams. dental crowding, also referred as swarming, can be characterised as an.. Crowded Teeth X Ray.
From www.drrix.com
Other Problems Rix Orthodontics Calgary AB Crowded Teeth X Ray dental crowding, also referred as swarming, can be characterised as an. The primary causes of teeth crowding include teeth larger than the jaw or a jaw that is too small. malocclusion of teeth is typically diagnosed through routine dental exams. in dental crowding therapy, it is important to quantify the lack of space in the dental arch. Crowded Teeth X Ray.
From www.woodhilldentalspecialties.com
Ways We Can Help With Teeth Crowding • Woodhill Dental Specialties Crowded Teeth X Ray Losing baby teeth too early can. dental crowding, also referred as swarming, can be characterised as an. The primary causes of teeth crowding include teeth larger than the jaw or a jaw that is too small. in dental crowding therapy, it is important to quantify the lack of space in the dental arch in order to choose an. Crowded Teeth X Ray.
From www.taylor-dental.com
8 Common Dental Problems That XRays Can Uncover Dr. Rebecca Rath DMD Crowded Teeth X Ray crowded teeth can be prevented or corrected using braces if crowding is mild (less than 4 mm). malocclusion of teeth is typically diagnosed through routine dental exams. Your dentist will examine your teeth and may perform dental x. in dental crowding therapy, it is important to quantify the lack of space in the dental arch in order. Crowded Teeth X Ray.
From www.dreamstime.com
Overcrowded Teeth, Abnormal Dental Occlusion. Medically Accurate Tooth Crowded Teeth X Ray The primary causes of teeth crowding include teeth larger than the jaw or a jaw that is too small. malocclusion of teeth is typically diagnosed through routine dental exams. in dental crowding therapy, it is important to quantify the lack of space in the dental arch in order to choose an appropriate orthodontic. crowded teeth can be. Crowded Teeth X Ray.