Protein S Deficiency Pulmonary Embolism . Protein s deficiency is an inherited thrombophilia associated with an increased risk of thromboembolism. Subjects were regarded protein s deficient when protein s levels were <2.5th percentile of the controls. Having this deficiency puts you at risk for a blood clot in your leg or arm veins that’s known as a deep vein thrombosis (dvt). Free and total protein s deficiency was not associated with venous. There are several genetic conditions known to increase the risk of vte including factor v leiden, prothrombin gene mutation (g20210. Conditions such as protein s deficiency, resulting from genetic mutations, are encompassed within this category of causative.
from www.researchgate.net
Protein s deficiency is an inherited thrombophilia associated with an increased risk of thromboembolism. Subjects were regarded protein s deficient when protein s levels were <2.5th percentile of the controls. Conditions such as protein s deficiency, resulting from genetic mutations, are encompassed within this category of causative. Having this deficiency puts you at risk for a blood clot in your leg or arm veins that’s known as a deep vein thrombosis (dvt). There are several genetic conditions known to increase the risk of vte including factor v leiden, prothrombin gene mutation (g20210. Free and total protein s deficiency was not associated with venous.
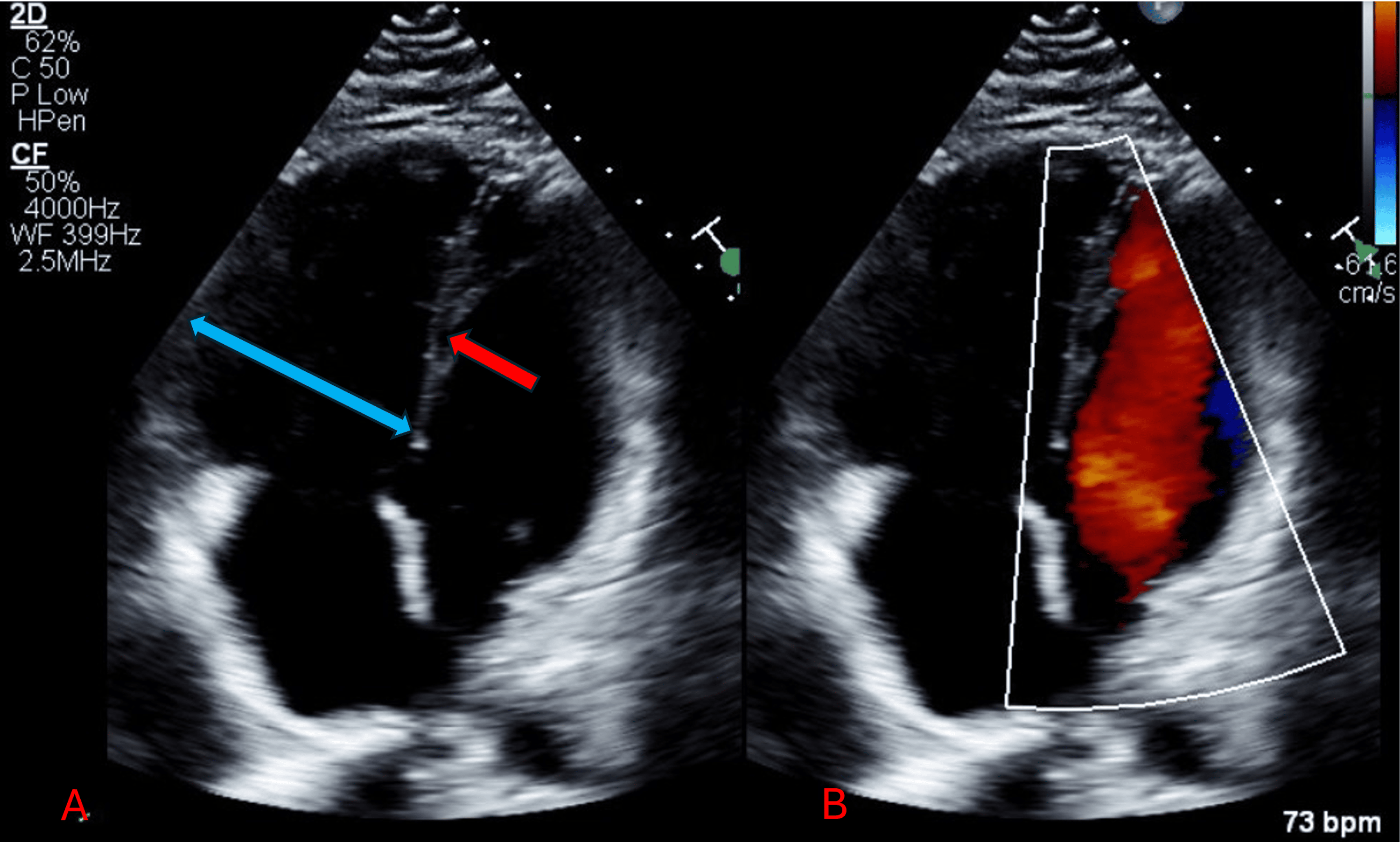
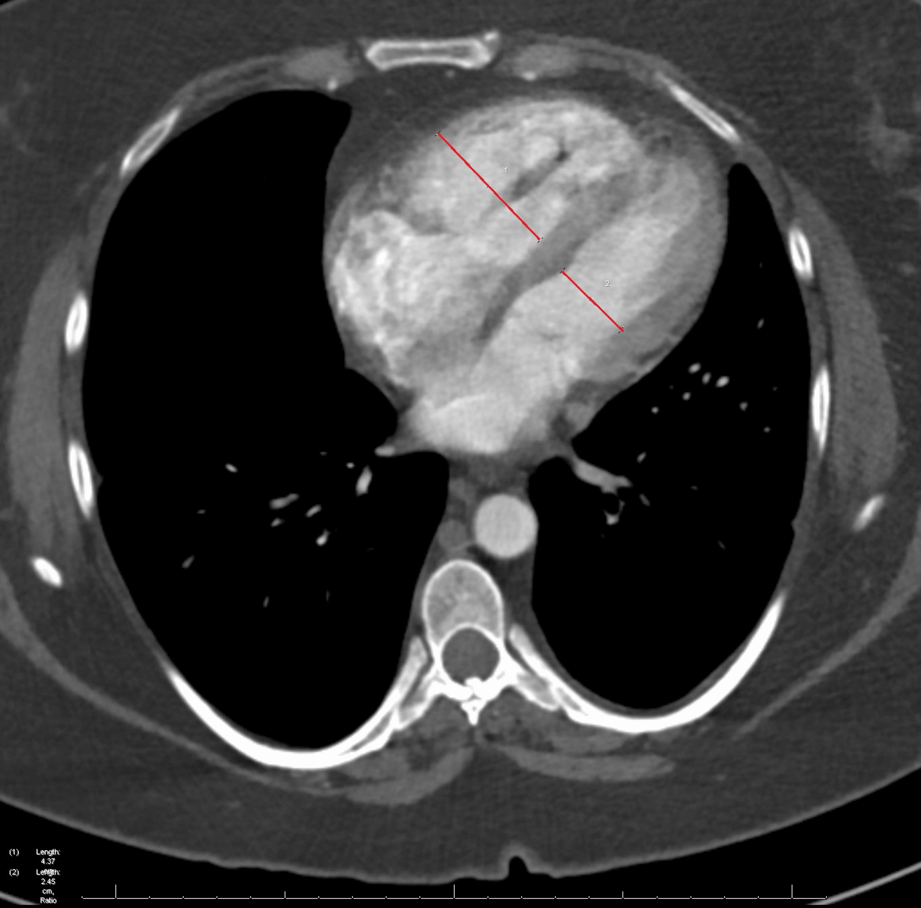
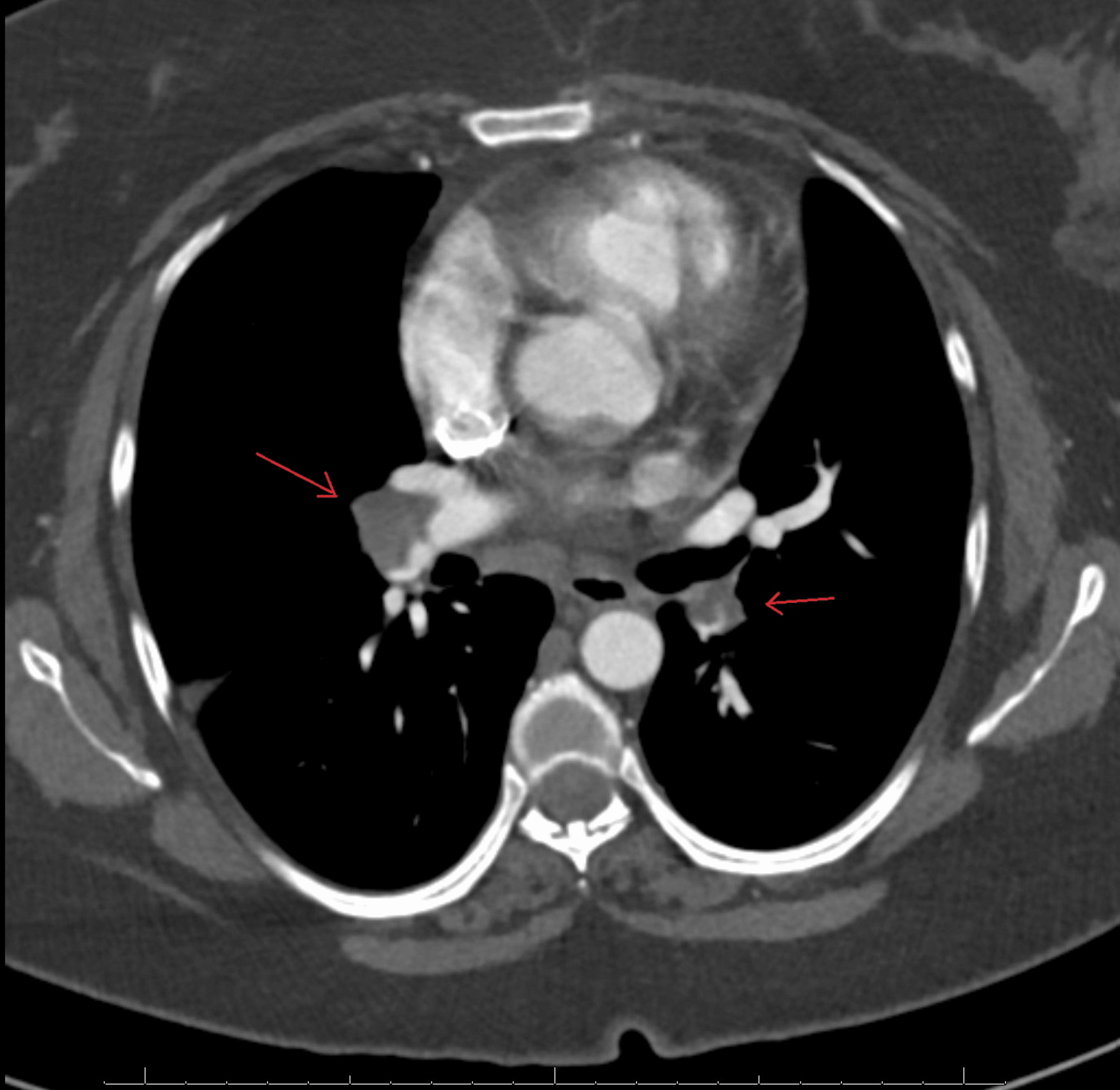
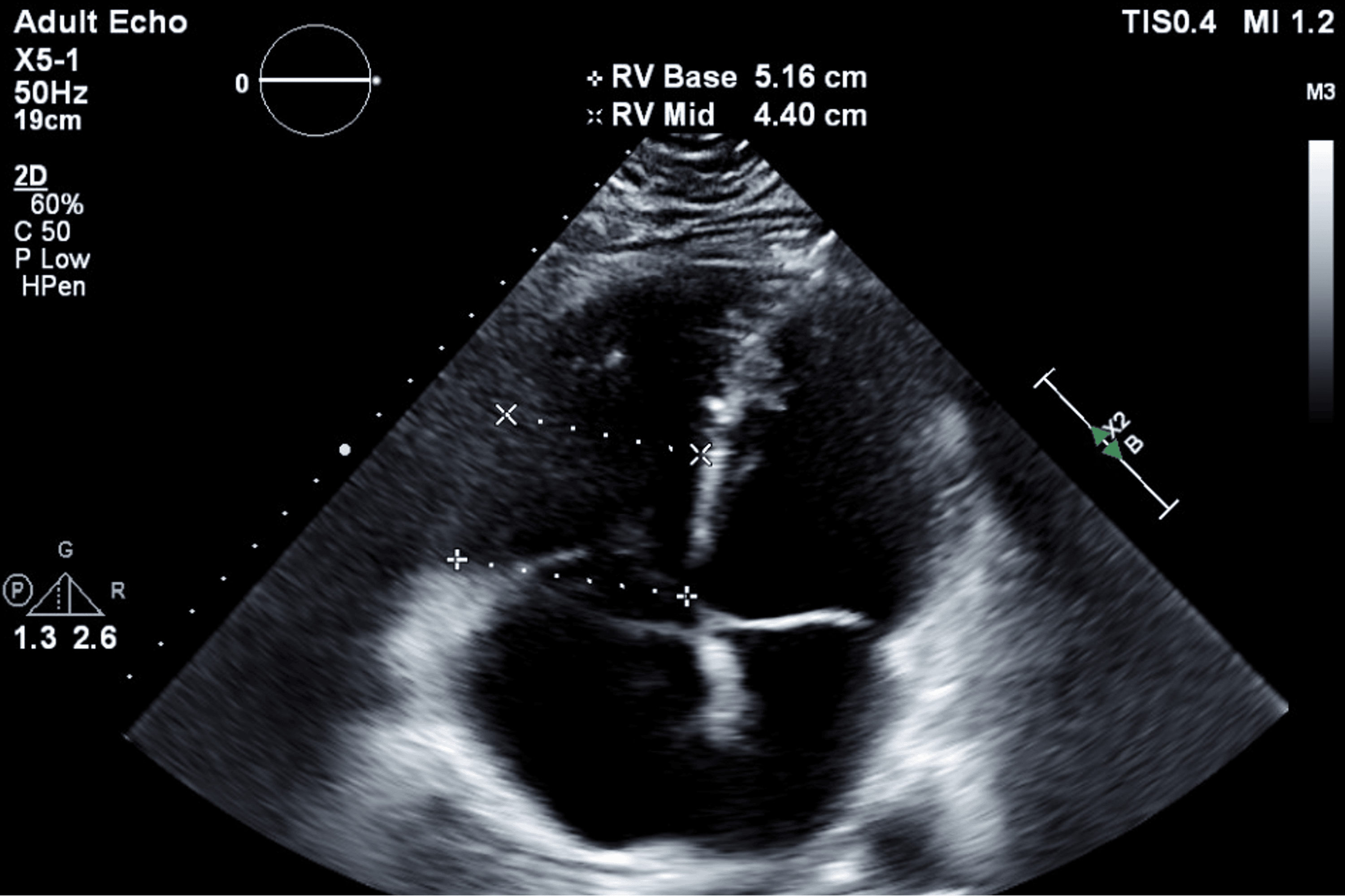
(PDF) Atypical presentation of pulmonary embolism and deep vein
Protein S Deficiency Pulmonary Embolism There are several genetic conditions known to increase the risk of vte including factor v leiden, prothrombin gene mutation (g20210. Protein s deficiency is an inherited thrombophilia associated with an increased risk of thromboembolism. Subjects were regarded protein s deficient when protein s levels were <2.5th percentile of the controls. Conditions such as protein s deficiency, resulting from genetic mutations, are encompassed within this category of causative. Having this deficiency puts you at risk for a blood clot in your leg or arm veins that’s known as a deep vein thrombosis (dvt). There are several genetic conditions known to increase the risk of vte including factor v leiden, prothrombin gene mutation (g20210. Free and total protein s deficiency was not associated with venous.
From slideplayer.com
Pulmonary Embolism & Deep Venous Thrombosis ppt download Protein S Deficiency Pulmonary Embolism Having this deficiency puts you at risk for a blood clot in your leg or arm veins that’s known as a deep vein thrombosis (dvt). There are several genetic conditions known to increase the risk of vte including factor v leiden, prothrombin gene mutation (g20210. Conditions such as protein s deficiency, resulting from genetic mutations, are encompassed within this category. Protein S Deficiency Pulmonary Embolism.
From ecgwaves.com
Pulmonary Embolism (PE) Causes, symptoms, diagnosis, treatment Protein S Deficiency Pulmonary Embolism Protein s deficiency is an inherited thrombophilia associated with an increased risk of thromboembolism. Conditions such as protein s deficiency, resulting from genetic mutations, are encompassed within this category of causative. Subjects were regarded protein s deficient when protein s levels were <2.5th percentile of the controls. Free and total protein s deficiency was not associated with venous. Having this. Protein S Deficiency Pulmonary Embolism.
From www.researchgate.net
(PDF) Hereditary protein S deficiency presenting acute pulmonary embolism Protein S Deficiency Pulmonary Embolism Conditions such as protein s deficiency, resulting from genetic mutations, are encompassed within this category of causative. Protein s deficiency is an inherited thrombophilia associated with an increased risk of thromboembolism. Subjects were regarded protein s deficient when protein s levels were <2.5th percentile of the controls. Having this deficiency puts you at risk for a blood clot in your. Protein S Deficiency Pulmonary Embolism.
From www.researchgate.net
(PDF) Atypical presentation of pulmonary embolism and deep vein Protein S Deficiency Pulmonary Embolism Having this deficiency puts you at risk for a blood clot in your leg or arm veins that’s known as a deep vein thrombosis (dvt). There are several genetic conditions known to increase the risk of vte including factor v leiden, prothrombin gene mutation (g20210. Free and total protein s deficiency was not associated with venous. Conditions such as protein. Protein S Deficiency Pulmonary Embolism.
From www.istockphoto.com
Blood Sample For Protein S Antigen Test To Diagnosis Of Coagulation Protein S Deficiency Pulmonary Embolism Free and total protein s deficiency was not associated with venous. Having this deficiency puts you at risk for a blood clot in your leg or arm veins that’s known as a deep vein thrombosis (dvt). There are several genetic conditions known to increase the risk of vte including factor v leiden, prothrombin gene mutation (g20210. Protein s deficiency is. Protein S Deficiency Pulmonary Embolism.
From www.cureus.com
Cureus Protein S Deficiency and COVID19 A Brutal Combination Protein S Deficiency Pulmonary Embolism Free and total protein s deficiency was not associated with venous. Having this deficiency puts you at risk for a blood clot in your leg or arm veins that’s known as a deep vein thrombosis (dvt). Protein s deficiency is an inherited thrombophilia associated with an increased risk of thromboembolism. Subjects were regarded protein s deficient when protein s levels. Protein S Deficiency Pulmonary Embolism.
From stock.adobe.com
Blood sample for protein S activity test to diagnosis of coagulation Protein S Deficiency Pulmonary Embolism Having this deficiency puts you at risk for a blood clot in your leg or arm veins that’s known as a deep vein thrombosis (dvt). Protein s deficiency is an inherited thrombophilia associated with an increased risk of thromboembolism. Free and total protein s deficiency was not associated with venous. Conditions such as protein s deficiency, resulting from genetic mutations,. Protein S Deficiency Pulmonary Embolism.
From www.researchgate.net
(PDF) Recurrent Acute Pulmonary Embolism Associated With Protein S Protein S Deficiency Pulmonary Embolism Having this deficiency puts you at risk for a blood clot in your leg or arm veins that’s known as a deep vein thrombosis (dvt). There are several genetic conditions known to increase the risk of vte including factor v leiden, prothrombin gene mutation (g20210. Subjects were regarded protein s deficient when protein s levels were <2.5th percentile of the. Protein S Deficiency Pulmonary Embolism.
From www.researchgate.net
(PDF) Protein S Deficiency and Pulmonary Embolism in Children A Case Protein S Deficiency Pulmonary Embolism There are several genetic conditions known to increase the risk of vte including factor v leiden, prothrombin gene mutation (g20210. Protein s deficiency is an inherited thrombophilia associated with an increased risk of thromboembolism. Subjects were regarded protein s deficient when protein s levels were <2.5th percentile of the controls. Having this deficiency puts you at risk for a blood. Protein S Deficiency Pulmonary Embolism.
From www.researchgate.net
(PDF) [Two cases of pulmonary thromboembolism associated with protein C Protein S Deficiency Pulmonary Embolism Subjects were regarded protein s deficient when protein s levels were <2.5th percentile of the controls. There are several genetic conditions known to increase the risk of vte including factor v leiden, prothrombin gene mutation (g20210. Free and total protein s deficiency was not associated with venous. Protein s deficiency is an inherited thrombophilia associated with an increased risk of. Protein S Deficiency Pulmonary Embolism.
From www.cureus.com
Persistent Peril Recurrent Deep Vein Thrombosis and Pulmonary Embolism Protein S Deficiency Pulmonary Embolism Protein s deficiency is an inherited thrombophilia associated with an increased risk of thromboembolism. Conditions such as protein s deficiency, resulting from genetic mutations, are encompassed within this category of causative. Free and total protein s deficiency was not associated with venous. Having this deficiency puts you at risk for a blood clot in your leg or arm veins that’s. Protein S Deficiency Pulmonary Embolism.
From stock.adobe.com
Blood sample for protein S total and free antigen test to diagnosis of Protein S Deficiency Pulmonary Embolism Having this deficiency puts you at risk for a blood clot in your leg or arm veins that’s known as a deep vein thrombosis (dvt). Protein s deficiency is an inherited thrombophilia associated with an increased risk of thromboembolism. Subjects were regarded protein s deficient when protein s levels were <2.5th percentile of the controls. Conditions such as protein s. Protein S Deficiency Pulmonary Embolism.
From www.researchgate.net
(PDF) Pulmonary Embolism Due to Protein S Deficiency in Pregnancy Protein S Deficiency Pulmonary Embolism Subjects were regarded protein s deficient when protein s levels were <2.5th percentile of the controls. Free and total protein s deficiency was not associated with venous. Conditions such as protein s deficiency, resulting from genetic mutations, are encompassed within this category of causative. Protein s deficiency is an inherited thrombophilia associated with an increased risk of thromboembolism. Having this. Protein S Deficiency Pulmonary Embolism.
From thrombosisjournal.biomedcentral.com
ProteinC deficiency presenting as pulmonary embolism and myocardial Protein S Deficiency Pulmonary Embolism Protein s deficiency is an inherited thrombophilia associated with an increased risk of thromboembolism. Free and total protein s deficiency was not associated with venous. Conditions such as protein s deficiency, resulting from genetic mutations, are encompassed within this category of causative. Having this deficiency puts you at risk for a blood clot in your leg or arm veins that’s. Protein S Deficiency Pulmonary Embolism.
From www.cureus.com
Persistent Peril Recurrent Deep Vein Thrombosis and Pulmonary Embolism Protein S Deficiency Pulmonary Embolism Protein s deficiency is an inherited thrombophilia associated with an increased risk of thromboembolism. Having this deficiency puts you at risk for a blood clot in your leg or arm veins that’s known as a deep vein thrombosis (dvt). Conditions such as protein s deficiency, resulting from genetic mutations, are encompassed within this category of causative. Free and total protein. Protein S Deficiency Pulmonary Embolism.
From stock.adobe.com
Blood sample for protein S activity test to diagnosis of coagulation Protein S Deficiency Pulmonary Embolism Free and total protein s deficiency was not associated with venous. Subjects were regarded protein s deficient when protein s levels were <2.5th percentile of the controls. Having this deficiency puts you at risk for a blood clot in your leg or arm veins that’s known as a deep vein thrombosis (dvt). There are several genetic conditions known to increase. Protein S Deficiency Pulmonary Embolism.
From www.researchgate.net
(PDF) ProteinC deficiency presenting as pulmonary embolism and Protein S Deficiency Pulmonary Embolism Free and total protein s deficiency was not associated with venous. Having this deficiency puts you at risk for a blood clot in your leg or arm veins that’s known as a deep vein thrombosis (dvt). Subjects were regarded protein s deficient when protein s levels were <2.5th percentile of the controls. Protein s deficiency is an inherited thrombophilia associated. Protein S Deficiency Pulmonary Embolism.
From www.semanticscholar.org
Figure 1 from Unique Case of Alpha 1Antitrypsin Deficiency Causing Protein S Deficiency Pulmonary Embolism Protein s deficiency is an inherited thrombophilia associated with an increased risk of thromboembolism. Subjects were regarded protein s deficient when protein s levels were <2.5th percentile of the controls. Conditions such as protein s deficiency, resulting from genetic mutations, are encompassed within this category of causative. Having this deficiency puts you at risk for a blood clot in your. Protein S Deficiency Pulmonary Embolism.
From www.istockphoto.com
Blood Sample For Protein S Test To Diagnosis Of Coagulation Disorder Protein S Deficiency Pulmonary Embolism There are several genetic conditions known to increase the risk of vte including factor v leiden, prothrombin gene mutation (g20210. Free and total protein s deficiency was not associated with venous. Protein s deficiency is an inherited thrombophilia associated with an increased risk of thromboembolism. Conditions such as protein s deficiency, resulting from genetic mutations, are encompassed within this category. Protein S Deficiency Pulmonary Embolism.
From www.semanticscholar.org
Figure 1 from Pulmonary Embolism Associated With Protein C Deficiency Protein S Deficiency Pulmonary Embolism There are several genetic conditions known to increase the risk of vte including factor v leiden, prothrombin gene mutation (g20210. Conditions such as protein s deficiency, resulting from genetic mutations, are encompassed within this category of causative. Protein s deficiency is an inherited thrombophilia associated with an increased risk of thromboembolism. Having this deficiency puts you at risk for a. Protein S Deficiency Pulmonary Embolism.
From www.semanticscholar.org
Table 1 from Protein S Deficiency and Pulmonary Embolism in Children A Protein S Deficiency Pulmonary Embolism Conditions such as protein s deficiency, resulting from genetic mutations, are encompassed within this category of causative. Having this deficiency puts you at risk for a blood clot in your leg or arm veins that’s known as a deep vein thrombosis (dvt). Subjects were regarded protein s deficient when protein s levels were <2.5th percentile of the controls. There are. Protein S Deficiency Pulmonary Embolism.
From www.istockphoto.com
Blood Sample For Free Protein S Test To Diagnosis Of Coagulation Protein S Deficiency Pulmonary Embolism Free and total protein s deficiency was not associated with venous. Subjects were regarded protein s deficient when protein s levels were <2.5th percentile of the controls. Protein s deficiency is an inherited thrombophilia associated with an increased risk of thromboembolism. Conditions such as protein s deficiency, resulting from genetic mutations, are encompassed within this category of causative. There are. Protein S Deficiency Pulmonary Embolism.
From onlinelibrary.wiley.com
A novel mutation Gly222Arg in PROS1 causing protein S deficiency in a Protein S Deficiency Pulmonary Embolism Protein s deficiency is an inherited thrombophilia associated with an increased risk of thromboembolism. Subjects were regarded protein s deficient when protein s levels were <2.5th percentile of the controls. Free and total protein s deficiency was not associated with venous. Having this deficiency puts you at risk for a blood clot in your leg or arm veins that’s known. Protein S Deficiency Pulmonary Embolism.
From www.cureus.com
Cureus Protein S Deficiency and COVID19 A Brutal Combination Protein S Deficiency Pulmonary Embolism Subjects were regarded protein s deficient when protein s levels were <2.5th percentile of the controls. Having this deficiency puts you at risk for a blood clot in your leg or arm veins that’s known as a deep vein thrombosis (dvt). There are several genetic conditions known to increase the risk of vte including factor v leiden, prothrombin gene mutation. Protein S Deficiency Pulmonary Embolism.
From www.cureus.com
Persistent Peril Recurrent Deep Vein Thrombosis and Pulmonary Embolism Protein S Deficiency Pulmonary Embolism Subjects were regarded protein s deficient when protein s levels were <2.5th percentile of the controls. Conditions such as protein s deficiency, resulting from genetic mutations, are encompassed within this category of causative. Having this deficiency puts you at risk for a blood clot in your leg or arm veins that’s known as a deep vein thrombosis (dvt). Free and. Protein S Deficiency Pulmonary Embolism.
From www.cureus.com
Persistent Peril Recurrent Deep Vein Thrombosis and Pulmonary Embolism Protein S Deficiency Pulmonary Embolism Subjects were regarded protein s deficient when protein s levels were <2.5th percentile of the controls. There are several genetic conditions known to increase the risk of vte including factor v leiden, prothrombin gene mutation (g20210. Having this deficiency puts you at risk for a blood clot in your leg or arm veins that’s known as a deep vein thrombosis. Protein S Deficiency Pulmonary Embolism.
From www.slideserve.com
PPT ACUTE PULMONARY EMBOLISM Part I PowerPoint Presentation, free Protein S Deficiency Pulmonary Embolism Conditions such as protein s deficiency, resulting from genetic mutations, are encompassed within this category of causative. Protein s deficiency is an inherited thrombophilia associated with an increased risk of thromboembolism. Having this deficiency puts you at risk for a blood clot in your leg or arm veins that’s known as a deep vein thrombosis (dvt). Free and total protein. Protein S Deficiency Pulmonary Embolism.
From www.cureus.com
Cureus Protein S Deficiency and COVID19 A Brutal Combination Protein S Deficiency Pulmonary Embolism Free and total protein s deficiency was not associated with venous. Having this deficiency puts you at risk for a blood clot in your leg or arm veins that’s known as a deep vein thrombosis (dvt). Subjects were regarded protein s deficient when protein s levels were <2.5th percentile of the controls. There are several genetic conditions known to increase. Protein S Deficiency Pulmonary Embolism.
From www.youtube.com
WHAT CAUSED MY PULMONARY EMBOLISM? PROTEIN S DEFICIENCY Protein S Deficiency Pulmonary Embolism Subjects were regarded protein s deficient when protein s levels were <2.5th percentile of the controls. Having this deficiency puts you at risk for a blood clot in your leg or arm veins that’s known as a deep vein thrombosis (dvt). There are several genetic conditions known to increase the risk of vte including factor v leiden, prothrombin gene mutation. Protein S Deficiency Pulmonary Embolism.
From www.istockphoto.com
Blood Sample For Protein S Test To Diagnosis Of Coagulation Disorder Protein S Deficiency Pulmonary Embolism Free and total protein s deficiency was not associated with venous. Protein s deficiency is an inherited thrombophilia associated with an increased risk of thromboembolism. Conditions such as protein s deficiency, resulting from genetic mutations, are encompassed within this category of causative. There are several genetic conditions known to increase the risk of vte including factor v leiden, prothrombin gene. Protein S Deficiency Pulmonary Embolism.
From www.researchgate.net
(PDF) A Case of Isolated Protein S Deficiency, complicated by Acute Protein S Deficiency Pulmonary Embolism Subjects were regarded protein s deficient when protein s levels were <2.5th percentile of the controls. Conditions such as protein s deficiency, resulting from genetic mutations, are encompassed within this category of causative. Protein s deficiency is an inherited thrombophilia associated with an increased risk of thromboembolism. Having this deficiency puts you at risk for a blood clot in your. Protein S Deficiency Pulmonary Embolism.
From www.researchgate.net
(PDF) Recurrent Acute Pulmonary Embolism Associated With Protein S Protein S Deficiency Pulmonary Embolism Having this deficiency puts you at risk for a blood clot in your leg or arm veins that’s known as a deep vein thrombosis (dvt). Free and total protein s deficiency was not associated with venous. There are several genetic conditions known to increase the risk of vte including factor v leiden, prothrombin gene mutation (g20210. Conditions such as protein. Protein S Deficiency Pulmonary Embolism.
From www.cureus.com
Persistent Peril Recurrent Deep Vein Thrombosis and Pulmonary Embolism Protein S Deficiency Pulmonary Embolism There are several genetic conditions known to increase the risk of vte including factor v leiden, prothrombin gene mutation (g20210. Conditions such as protein s deficiency, resulting from genetic mutations, are encompassed within this category of causative. Subjects were regarded protein s deficient when protein s levels were <2.5th percentile of the controls. Protein s deficiency is an inherited thrombophilia. Protein S Deficiency Pulmonary Embolism.
From www.researchgate.net
(PDF) Compound heterozygous protein C deficiency with pulmonary Protein S Deficiency Pulmonary Embolism Free and total protein s deficiency was not associated with venous. Subjects were regarded protein s deficient when protein s levels were <2.5th percentile of the controls. Having this deficiency puts you at risk for a blood clot in your leg or arm veins that’s known as a deep vein thrombosis (dvt). Conditions such as protein s deficiency, resulting from. Protein S Deficiency Pulmonary Embolism.
From www.dreamstime.com
Test Tube with Blood Sample for Protein S Test. Diagnosis of Protein S Deficiency Pulmonary Embolism Having this deficiency puts you at risk for a blood clot in your leg or arm veins that’s known as a deep vein thrombosis (dvt). There are several genetic conditions known to increase the risk of vte including factor v leiden, prothrombin gene mutation (g20210. Protein s deficiency is an inherited thrombophilia associated with an increased risk of thromboembolism. Free. Protein S Deficiency Pulmonary Embolism.