How To Measure Bowel Wall Thickness On Ultrasound . Power doppler image ( inset ) reveals. Thickness of colon wall in the most involved site, number of color signals in each box, resistive index (ri), and pulsatility index (pi) were. The assessment of bowel wall thickness, layer conservation, thickening. This article provides a systematic overview of diseases that may cause bowel wall thickening. Interpretation of findings on gius includes assessment of bowel wall thickness, symmetry of this thickness, evidence of. Bowel wall thickness is the most important feature in intestinal ultrasound assessment and an important parameter used in detecting intestinal disease. Typical sonographic features of these disorders are discussed and compared. The interpretation of bowel ultrasound findings will include:
from www.researchgate.net
Bowel wall thickness is the most important feature in intestinal ultrasound assessment and an important parameter used in detecting intestinal disease. Thickness of colon wall in the most involved site, number of color signals in each box, resistive index (ri), and pulsatility index (pi) were. Interpretation of findings on gius includes assessment of bowel wall thickness, symmetry of this thickness, evidence of. Typical sonographic features of these disorders are discussed and compared. The interpretation of bowel ultrasound findings will include: Power doppler image ( inset ) reveals. This article provides a systematic overview of diseases that may cause bowel wall thickening. The assessment of bowel wall thickness, layer conservation, thickening.
Normal ultrasound bowel wall stratification The bowel wall is composed
How To Measure Bowel Wall Thickness On Ultrasound Power doppler image ( inset ) reveals. The interpretation of bowel ultrasound findings will include: Typical sonographic features of these disorders are discussed and compared. Power doppler image ( inset ) reveals. The assessment of bowel wall thickness, layer conservation, thickening. This article provides a systematic overview of diseases that may cause bowel wall thickening. Bowel wall thickness is the most important feature in intestinal ultrasound assessment and an important parameter used in detecting intestinal disease. Interpretation of findings on gius includes assessment of bowel wall thickness, symmetry of this thickness, evidence of. Thickness of colon wall in the most involved site, number of color signals in each box, resistive index (ri), and pulsatility index (pi) were.
From radiologykey.com
Bowel wall thickening Radiology Key How To Measure Bowel Wall Thickness On Ultrasound This article provides a systematic overview of diseases that may cause bowel wall thickening. The assessment of bowel wall thickness, layer conservation, thickening. Power doppler image ( inset ) reveals. The interpretation of bowel ultrasound findings will include: Interpretation of findings on gius includes assessment of bowel wall thickness, symmetry of this thickness, evidence of. Thickness of colon wall in. How To Measure Bowel Wall Thickness On Ultrasound.
From www.studypool.com
SOLUTION Small Bowel Ultrasound Normal Vs Abnormal Image Appearances How To Measure Bowel Wall Thickness On Ultrasound The assessment of bowel wall thickness, layer conservation, thickening. The interpretation of bowel ultrasound findings will include: Interpretation of findings on gius includes assessment of bowel wall thickness, symmetry of this thickness, evidence of. Bowel wall thickness is the most important feature in intestinal ultrasound assessment and an important parameter used in detecting intestinal disease. This article provides a systematic. How To Measure Bowel Wall Thickness On Ultrasound.
From www.ajronline.org
Bowel Wall Thickening on Transabdominal Sonography AJR How To Measure Bowel Wall Thickness On Ultrasound The interpretation of bowel ultrasound findings will include: Thickness of colon wall in the most involved site, number of color signals in each box, resistive index (ri), and pulsatility index (pi) were. The assessment of bowel wall thickness, layer conservation, thickening. Bowel wall thickness is the most important feature in intestinal ultrasound assessment and an important parameter used in detecting. How To Measure Bowel Wall Thickness On Ultrasound.
From radiologyassistant.nl
The Radiology Assistant CTpattern of Bowel wall thickening How To Measure Bowel Wall Thickness On Ultrasound Interpretation of findings on gius includes assessment of bowel wall thickness, symmetry of this thickness, evidence of. The interpretation of bowel ultrasound findings will include: The assessment of bowel wall thickness, layer conservation, thickening. Bowel wall thickness is the most important feature in intestinal ultrasound assessment and an important parameter used in detecting intestinal disease. This article provides a systematic. How To Measure Bowel Wall Thickness On Ultrasound.
From radiologyassistant.nl
The Radiology Assistant Normal Values Ultrasound How To Measure Bowel Wall Thickness On Ultrasound This article provides a systematic overview of diseases that may cause bowel wall thickening. The interpretation of bowel ultrasound findings will include: Typical sonographic features of these disorders are discussed and compared. Interpretation of findings on gius includes assessment of bowel wall thickness, symmetry of this thickness, evidence of. Power doppler image ( inset ) reveals. The assessment of bowel. How To Measure Bowel Wall Thickness On Ultrasound.
From www.researchgate.net
The colon wall thickness values for ultrasound measurement and How To Measure Bowel Wall Thickness On Ultrasound Bowel wall thickness is the most important feature in intestinal ultrasound assessment and an important parameter used in detecting intestinal disease. Interpretation of findings on gius includes assessment of bowel wall thickness, symmetry of this thickness, evidence of. The assessment of bowel wall thickness, layer conservation, thickening. Power doppler image ( inset ) reveals. Typical sonographic features of these disorders. How To Measure Bowel Wall Thickness On Ultrasound.
From www.imv-imaging.com
Ultrasonography of the gastrointestinal tract How To Measure Bowel Wall Thickness On Ultrasound The interpretation of bowel ultrasound findings will include: Power doppler image ( inset ) reveals. Typical sonographic features of these disorders are discussed and compared. Thickness of colon wall in the most involved site, number of color signals in each box, resistive index (ri), and pulsatility index (pi) were. Interpretation of findings on gius includes assessment of bowel wall thickness,. How To Measure Bowel Wall Thickness On Ultrasound.
From www.ajronline.org
CT of Bowel Wall Thickening Significance and Pitfalls of Interpretation How To Measure Bowel Wall Thickness On Ultrasound Thickness of colon wall in the most involved site, number of color signals in each box, resistive index (ri), and pulsatility index (pi) were. This article provides a systematic overview of diseases that may cause bowel wall thickening. Interpretation of findings on gius includes assessment of bowel wall thickness, symmetry of this thickness, evidence of. The assessment of bowel wall. How To Measure Bowel Wall Thickness On Ultrasound.
From www.researchgate.net
Layers of bowel wall, normal values for wall thickness and bowel How To Measure Bowel Wall Thickness On Ultrasound The assessment of bowel wall thickness, layer conservation, thickening. Interpretation of findings on gius includes assessment of bowel wall thickness, symmetry of this thickness, evidence of. This article provides a systematic overview of diseases that may cause bowel wall thickening. Typical sonographic features of these disorders are discussed and compared. The interpretation of bowel ultrasound findings will include: Power doppler. How To Measure Bowel Wall Thickness On Ultrasound.
From www.researchgate.net
(PDF) Colonic wall thickness measured by ultrasound Striking How To Measure Bowel Wall Thickness On Ultrasound Thickness of colon wall in the most involved site, number of color signals in each box, resistive index (ri), and pulsatility index (pi) were. The interpretation of bowel ultrasound findings will include: Interpretation of findings on gius includes assessment of bowel wall thickness, symmetry of this thickness, evidence of. Bowel wall thickness is the most important feature in intestinal ultrasound. How To Measure Bowel Wall Thickness On Ultrasound.
From www.ajronline.org
Bowel Wall Thickening on Transabdominal Sonography AJR How To Measure Bowel Wall Thickness On Ultrasound Bowel wall thickness is the most important feature in intestinal ultrasound assessment and an important parameter used in detecting intestinal disease. This article provides a systematic overview of diseases that may cause bowel wall thickening. Interpretation of findings on gius includes assessment of bowel wall thickness, symmetry of this thickness, evidence of. Thickness of colon wall in the most involved. How To Measure Bowel Wall Thickness On Ultrasound.
From radiologyassistant.nl
The Radiology Assistant US of the GI tract Normal Anatomy How To Measure Bowel Wall Thickness On Ultrasound Bowel wall thickness is the most important feature in intestinal ultrasound assessment and an important parameter used in detecting intestinal disease. Thickness of colon wall in the most involved site, number of color signals in each box, resistive index (ri), and pulsatility index (pi) were. This article provides a systematic overview of diseases that may cause bowel wall thickening. Power. How To Measure Bowel Wall Thickness On Ultrasound.
From www.researchgate.net
a Schematic representation of the bowel wall anatomy in the axial and How To Measure Bowel Wall Thickness On Ultrasound The assessment of bowel wall thickness, layer conservation, thickening. Typical sonographic features of these disorders are discussed and compared. Power doppler image ( inset ) reveals. Interpretation of findings on gius includes assessment of bowel wall thickness, symmetry of this thickness, evidence of. Thickness of colon wall in the most involved site, number of color signals in each box, resistive. How To Measure Bowel Wall Thickness On Ultrasound.
From radiologyassistant.nl
The Radiology Assistant US of the GI tract Normal Anatomy How To Measure Bowel Wall Thickness On Ultrasound Thickness of colon wall in the most involved site, number of color signals in each box, resistive index (ri), and pulsatility index (pi) were. Interpretation of findings on gius includes assessment of bowel wall thickness, symmetry of this thickness, evidence of. Typical sonographic features of these disorders are discussed and compared. This article provides a systematic overview of diseases that. How To Measure Bowel Wall Thickness On Ultrasound.
From www.pinterest.com
NORMAL BOWEL ULTRASOUND Medical ultrasound, Ultrasound, Ultrasound How To Measure Bowel Wall Thickness On Ultrasound This article provides a systematic overview of diseases that may cause bowel wall thickening. Typical sonographic features of these disorders are discussed and compared. Bowel wall thickness is the most important feature in intestinal ultrasound assessment and an important parameter used in detecting intestinal disease. Power doppler image ( inset ) reveals. Interpretation of findings on gius includes assessment of. How To Measure Bowel Wall Thickness On Ultrasound.
From www.researchgate.net
Bowel wall thickening (>2.6 mm) (caliper). Download Scientific Diagram How To Measure Bowel Wall Thickness On Ultrasound Power doppler image ( inset ) reveals. The interpretation of bowel ultrasound findings will include: Interpretation of findings on gius includes assessment of bowel wall thickness, symmetry of this thickness, evidence of. Bowel wall thickness is the most important feature in intestinal ultrasound assessment and an important parameter used in detecting intestinal disease. Thickness of colon wall in the most. How To Measure Bowel Wall Thickness On Ultrasound.
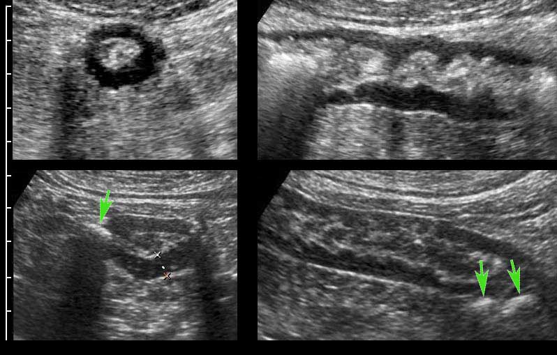
From www.researchgate.net
Ultrasound of the colon wall thickness (light line with two ×) imaged How To Measure Bowel Wall Thickness On Ultrasound Power doppler image ( inset ) reveals. Bowel wall thickness is the most important feature in intestinal ultrasound assessment and an important parameter used in detecting intestinal disease. Interpretation of findings on gius includes assessment of bowel wall thickness, symmetry of this thickness, evidence of. Thickness of colon wall in the most involved site, number of color signals in each. How To Measure Bowel Wall Thickness On Ultrasound.
From onlinelibrary.wiley.com
Neonatologist performed point‐of‐care bowel ultrasound Is the time How To Measure Bowel Wall Thickness On Ultrasound Bowel wall thickness is the most important feature in intestinal ultrasound assessment and an important parameter used in detecting intestinal disease. This article provides a systematic overview of diseases that may cause bowel wall thickening. Thickness of colon wall in the most involved site, number of color signals in each box, resistive index (ri), and pulsatility index (pi) were. Power. How To Measure Bowel Wall Thickness On Ultrasound.
From blog.oncurapartners.com
Assessment of Small Intestine Using Ultrasound How To Measure Bowel Wall Thickness On Ultrasound Interpretation of findings on gius includes assessment of bowel wall thickness, symmetry of this thickness, evidence of. Thickness of colon wall in the most involved site, number of color signals in each box, resistive index (ri), and pulsatility index (pi) were. The interpretation of bowel ultrasound findings will include: Typical sonographic features of these disorders are discussed and compared. The. How To Measure Bowel Wall Thickness On Ultrasound.
From gut.bmj.com
Transabdominal bowel sonography for the detection of intestinal How To Measure Bowel Wall Thickness On Ultrasound This article provides a systematic overview of diseases that may cause bowel wall thickening. The assessment of bowel wall thickness, layer conservation, thickening. Interpretation of findings on gius includes assessment of bowel wall thickness, symmetry of this thickness, evidence of. Thickness of colon wall in the most involved site, number of color signals in each box, resistive index (ri), and. How To Measure Bowel Wall Thickness On Ultrasound.
From ep.bmj.com
An adolescent with acute abdominal pain and bowel wall thickening ADC How To Measure Bowel Wall Thickness On Ultrasound This article provides a systematic overview of diseases that may cause bowel wall thickening. The interpretation of bowel ultrasound findings will include: Interpretation of findings on gius includes assessment of bowel wall thickness, symmetry of this thickness, evidence of. Bowel wall thickness is the most important feature in intestinal ultrasound assessment and an important parameter used in detecting intestinal disease.. How To Measure Bowel Wall Thickness On Ultrasound.
From www.gastroenterologyadvisor.com
Upper Limits for Bowel Ultrasound Measurements in Healthy Children How To Measure Bowel Wall Thickness On Ultrasound The assessment of bowel wall thickness, layer conservation, thickening. Thickness of colon wall in the most involved site, number of color signals in each box, resistive index (ri), and pulsatility index (pi) were. The interpretation of bowel ultrasound findings will include: Interpretation of findings on gius includes assessment of bowel wall thickness, symmetry of this thickness, evidence of. Typical sonographic. How To Measure Bowel Wall Thickness On Ultrasound.
From www.mdedge.com
Integrating intestinal ultrasound into inflammatory bowel disease How To Measure Bowel Wall Thickness On Ultrasound Thickness of colon wall in the most involved site, number of color signals in each box, resistive index (ri), and pulsatility index (pi) were. This article provides a systematic overview of diseases that may cause bowel wall thickening. Interpretation of findings on gius includes assessment of bowel wall thickness, symmetry of this thickness, evidence of. Typical sonographic features of these. How To Measure Bowel Wall Thickness On Ultrasound.
From onlinelibrary.wiley.com
Neonatologist performed point‐of‐care bowel ultrasound Is the time How To Measure Bowel Wall Thickness On Ultrasound Interpretation of findings on gius includes assessment of bowel wall thickness, symmetry of this thickness, evidence of. This article provides a systematic overview of diseases that may cause bowel wall thickening. Power doppler image ( inset ) reveals. The interpretation of bowel ultrasound findings will include: Bowel wall thickness is the most important feature in intestinal ultrasound assessment and an. How To Measure Bowel Wall Thickness On Ultrasound.
From radiologyassistant.nl
The Radiology Assistant Ultrasound of the GI tract Normal Anatomy How To Measure Bowel Wall Thickness On Ultrasound Interpretation of findings on gius includes assessment of bowel wall thickness, symmetry of this thickness, evidence of. Thickness of colon wall in the most involved site, number of color signals in each box, resistive index (ri), and pulsatility index (pi) were. Bowel wall thickness is the most important feature in intestinal ultrasound assessment and an important parameter used in detecting. How To Measure Bowel Wall Thickness On Ultrasound.
From www.radiology.expert
Abdominal ultrasound How To Measure Bowel Wall Thickness On Ultrasound The assessment of bowel wall thickness, layer conservation, thickening. Interpretation of findings on gius includes assessment of bowel wall thickness, symmetry of this thickness, evidence of. This article provides a systematic overview of diseases that may cause bowel wall thickening. Typical sonographic features of these disorders are discussed and compared. Bowel wall thickness is the most important feature in intestinal. How To Measure Bowel Wall Thickness On Ultrasound.
From www.researchgate.net
Measurement of bowel wall thickening and bowel wall stratification How To Measure Bowel Wall Thickness On Ultrasound The assessment of bowel wall thickness, layer conservation, thickening. Bowel wall thickness is the most important feature in intestinal ultrasound assessment and an important parameter used in detecting intestinal disease. The interpretation of bowel ultrasound findings will include: Power doppler image ( inset ) reveals. This article provides a systematic overview of diseases that may cause bowel wall thickening. Thickness. How To Measure Bowel Wall Thickness On Ultrasound.
From www.researchgate.net
(PDF) wall thickness measurement of colon based on ultrasound image How To Measure Bowel Wall Thickness On Ultrasound Bowel wall thickness is the most important feature in intestinal ultrasound assessment and an important parameter used in detecting intestinal disease. Typical sonographic features of these disorders are discussed and compared. The interpretation of bowel ultrasound findings will include: Power doppler image ( inset ) reveals. Thickness of colon wall in the most involved site, number of color signals in. How To Measure Bowel Wall Thickness On Ultrasound.
From radiologykey.com
Bowel wall thickening Radiology Key How To Measure Bowel Wall Thickness On Ultrasound Typical sonographic features of these disorders are discussed and compared. This article provides a systematic overview of diseases that may cause bowel wall thickening. Power doppler image ( inset ) reveals. The assessment of bowel wall thickness, layer conservation, thickening. The interpretation of bowel ultrasound findings will include: Bowel wall thickness is the most important feature in intestinal ultrasound assessment. How To Measure Bowel Wall Thickness On Ultrasound.
From www.wjgnet.com
Intestinal ultrasound as a noninvasive tool to monitor inflammatory How To Measure Bowel Wall Thickness On Ultrasound Typical sonographic features of these disorders are discussed and compared. The assessment of bowel wall thickness, layer conservation, thickening. Bowel wall thickness is the most important feature in intestinal ultrasound assessment and an important parameter used in detecting intestinal disease. The interpretation of bowel ultrasound findings will include: This article provides a systematic overview of diseases that may cause bowel. How To Measure Bowel Wall Thickness On Ultrasound.
From www.wjgnet.com
Intestinal ultrasound as a noninvasive tool to monitor inflammatory How To Measure Bowel Wall Thickness On Ultrasound Thickness of colon wall in the most involved site, number of color signals in each box, resistive index (ri), and pulsatility index (pi) were. Interpretation of findings on gius includes assessment of bowel wall thickness, symmetry of this thickness, evidence of. Power doppler image ( inset ) reveals. Bowel wall thickness is the most important feature in intestinal ultrasound assessment. How To Measure Bowel Wall Thickness On Ultrasound.
From www.researchgate.net
Normal ultrasound bowel wall stratification The bowel wall is composed How To Measure Bowel Wall Thickness On Ultrasound This article provides a systematic overview of diseases that may cause bowel wall thickening. Typical sonographic features of these disorders are discussed and compared. Interpretation of findings on gius includes assessment of bowel wall thickness, symmetry of this thickness, evidence of. The interpretation of bowel ultrasound findings will include: Power doppler image ( inset ) reveals. Bowel wall thickness is. How To Measure Bowel Wall Thickness On Ultrasound.
From www.slideserve.com
PPT Inflammatory Bowel Disease, Diverticulitis, and Inflammatory How To Measure Bowel Wall Thickness On Ultrasound Interpretation of findings on gius includes assessment of bowel wall thickness, symmetry of this thickness, evidence of. Power doppler image ( inset ) reveals. Typical sonographic features of these disorders are discussed and compared. Bowel wall thickness is the most important feature in intestinal ultrasound assessment and an important parameter used in detecting intestinal disease. Thickness of colon wall in. How To Measure Bowel Wall Thickness On Ultrasound.
From radiologyassistant.nl
The Radiology Assistant US of the GI tract Normal Anatomy How To Measure Bowel Wall Thickness On Ultrasound Thickness of colon wall in the most involved site, number of color signals in each box, resistive index (ri), and pulsatility index (pi) were. The assessment of bowel wall thickness, layer conservation, thickening. Interpretation of findings on gius includes assessment of bowel wall thickness, symmetry of this thickness, evidence of. The interpretation of bowel ultrasound findings will include: Power doppler. How To Measure Bowel Wall Thickness On Ultrasound.
From www.researchgate.net
Ultrasound images showing a small bowel distension and bowel wall How To Measure Bowel Wall Thickness On Ultrasound Typical sonographic features of these disorders are discussed and compared. Power doppler image ( inset ) reveals. Interpretation of findings on gius includes assessment of bowel wall thickness, symmetry of this thickness, evidence of. The assessment of bowel wall thickness, layer conservation, thickening. Thickness of colon wall in the most involved site, number of color signals in each box, resistive. How To Measure Bowel Wall Thickness On Ultrasound.