Talus Bone Open Fracture . You might also need a ct scan to help your surgeon decide if you need. Common causes include motor vehicle collisions, falls from a significant height, and sports injuries. Pins or screws may be needed, as well as treatment of the damaged muscles and other. A talus fracture is a painful break of one of the major bones of the ankle. It can cause significant swelling and bruising. A talus fracture is a break in one of the bones that forms the ankle. Diagnosis is made clinically by assessing the size and nature of the external wound as well as. Talus fractures usually hurt a lot. Fractures of the talar neck are difficult injuries. Open fractures are fractures with direct communication to the external environment. Talus fractures (other than neck) are rare fractures of the talus that comprise of talar body fractures, lateral process fractures, posterior. The first step is to put your foot in a splint to keep it from moving, which can help with the pain. Surgery to treat an open talus fracture often involves much more than lining up the broken pieces of bone. Get checked out by a healthcare provider if you think you have a talus fracture. While complications are frequent, the exact incidence is unclear from the\ഠliterature.
from journals.sagepub.com
Surgery to treat an open talus fracture often involves much more than lining up the broken pieces of bone. Fractures of the talar neck are difficult injuries. While complications are frequent, the exact incidence is unclear from the\ഠliterature. Diagnosis is made clinically by assessing the size and nature of the external wound as well as. It can cause significant swelling and bruising. Open fractures are fractures with direct communication to the external environment. Get checked out by a healthcare provider if you think you have a talus fracture. Talus fractures usually hurt a lot. Talus fractures (other than neck) are rare fractures of the talus that comprise of talar body fractures, lateral process fractures, posterior. A talus fracture is a break in one of the bones that forms the ankle.
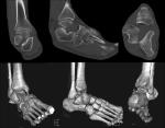
Fractures of the Talus Current Concepts Andrew M. Schwartz, William
Talus Bone Open Fracture Get checked out by a healthcare provider if you think you have a talus fracture. Pins or screws may be needed, as well as treatment of the damaged muscles and other. Open fractures are fractures with direct communication to the external environment. Fractures of the talar neck are difficult injuries. Diagnosis is made clinically by assessing the size and nature of the external wound as well as. Get checked out by a healthcare provider if you think you have a talus fracture. A talus fracture is a painful break of one of the major bones of the ankle. Common causes include motor vehicle collisions, falls from a significant height, and sports injuries. A talus fracture is a break in one of the bones that forms the ankle. Talus fractures (other than neck) are rare fractures of the talus that comprise of talar body fractures, lateral process fractures, posterior. The first step is to put your foot in a splint to keep it from moving, which can help with the pain. While complications are frequent, the exact incidence is unclear from the\ഠliterature. You might also need a ct scan to help your surgeon decide if you need. Talus fractures usually hurt a lot. It can cause significant swelling and bruising. Surgery to treat an open talus fracture often involves much more than lining up the broken pieces of bone.
From www.orthopaedicsurgeon.com.sg
Ankle Fracture Specialist 🩺Singapore Sports & Orthopaedic Surgeon Talus Bone Open Fracture A talus fracture is a break in one of the bones that forms the ankle. A talus fracture is a painful break of one of the major bones of the ankle. Open fractures are fractures with direct communication to the external environment. Talus fractures usually hurt a lot. Talus fractures (other than neck) are rare fractures of the talus that. Talus Bone Open Fracture.
From www.adelaideankle.com.au
Tatus Fractures Dr Ben Beamond Adelaide Talus Bone Open Fracture Open fractures are fractures with direct communication to the external environment. Surgery to treat an open talus fracture often involves much more than lining up the broken pieces of bone. Talus fractures (other than neck) are rare fractures of the talus that comprise of talar body fractures, lateral process fractures, posterior. While complications are frequent, the exact incidence is unclear. Talus Bone Open Fracture.
From orthopaedicprinciples.com
Talus Fractures — Talus Bone Open Fracture Pins or screws may be needed, as well as treatment of the damaged muscles and other. Surgery to treat an open talus fracture often involves much more than lining up the broken pieces of bone. Fractures of the talar neck are difficult injuries. Common causes include motor vehicle collisions, falls from a significant height, and sports injuries. A talus fracture. Talus Bone Open Fracture.
From orthoinfo.aaos.org
Talus Fractures OrthoInfo AAOS Talus Bone Open Fracture Talus fractures (other than neck) are rare fractures of the talus that comprise of talar body fractures, lateral process fractures, posterior. Fractures of the talar neck are difficult injuries. Get checked out by a healthcare provider if you think you have a talus fracture. It can cause significant swelling and bruising. While complications are frequent, the exact incidence is unclear. Talus Bone Open Fracture.
From footeducation.com
Talar Body Fracture FootEducation Talus Bone Open Fracture The first step is to put your foot in a splint to keep it from moving, which can help with the pain. Open fractures are fractures with direct communication to the external environment. Diagnosis is made clinically by assessing the size and nature of the external wound as well as. A talus fracture is a painful break of one of. Talus Bone Open Fracture.
From journals.sagepub.com
Fractures of the Talus Current Concepts Andrew M. Schwartz, William Talus Bone Open Fracture You might also need a ct scan to help your surgeon decide if you need. Diagnosis is made clinically by assessing the size and nature of the external wound as well as. Talus fractures usually hurt a lot. It can cause significant swelling and bruising. Talus fractures (other than neck) are rare fractures of the talus that comprise of talar. Talus Bone Open Fracture.
From pubs.rsna.org
Talar Fractures and Dislocations A Radiologist’s Guide to Timely Talus Bone Open Fracture Diagnosis is made clinically by assessing the size and nature of the external wound as well as. Talus fractures (other than neck) are rare fractures of the talus that comprise of talar body fractures, lateral process fractures, posterior. Get checked out by a healthcare provider if you think you have a talus fracture. Surgery to treat an open talus fracture. Talus Bone Open Fracture.
From emj.bmj.com
Fracture of lateral process of the talus presenting as ankle pain Talus Bone Open Fracture A talus fracture is a break in one of the bones that forms the ankle. Pins or screws may be needed, as well as treatment of the damaged muscles and other. It can cause significant swelling and bruising. A talus fracture is a painful break of one of the major bones of the ankle. While complications are frequent, the exact. Talus Bone Open Fracture.
From orthoinfo.aaos.org
Talus Fractures OrthoInfo AAOS Talus Bone Open Fracture Common causes include motor vehicle collisions, falls from a significant height, and sports injuries. Open fractures are fractures with direct communication to the external environment. While complications are frequent, the exact incidence is unclear from the\ഠliterature. It can cause significant swelling and bruising. A talus fracture is a break in one of the bones that forms the ankle. Talus fractures. Talus Bone Open Fracture.
From pubs.rsna.org
Talar Fractures and Dislocations A Radiologist’s Guide to Timely Talus Bone Open Fracture Open fractures are fractures with direct communication to the external environment. Surgery to treat an open talus fracture often involves much more than lining up the broken pieces of bone. You might also need a ct scan to help your surgeon decide if you need. A talus fracture is a painful break of one of the major bones of the. Talus Bone Open Fracture.
From narodnatribuna.info
Talar Fractures Talus Bone Open Fracture Common causes include motor vehicle collisions, falls from a significant height, and sports injuries. A talus fracture is a painful break of one of the major bones of the ankle. Pins or screws may be needed, as well as treatment of the damaged muscles and other. Diagnosis is made clinically by assessing the size and nature of the external wound. Talus Bone Open Fracture.
From faculty.washington.edu
Hawkins Classification of Talar Fractures UW Emergency Radiology Talus Bone Open Fracture Get checked out by a healthcare provider if you think you have a talus fracture. Surgery to treat an open talus fracture often involves much more than lining up the broken pieces of bone. You might also need a ct scan to help your surgeon decide if you need. A talus fracture is a break in one of the bones. Talus Bone Open Fracture.
From pubs.rsna.org
Talar Fractures and Dislocations A Radiologist’s Guide to Timely Talus Bone Open Fracture A talus fracture is a painful break of one of the major bones of the ankle. Common causes include motor vehicle collisions, falls from a significant height, and sports injuries. You might also need a ct scan to help your surgeon decide if you need. Talus fractures usually hurt a lot. Pins or screws may be needed, as well as. Talus Bone Open Fracture.
From www.boneschool.com
Talar Body Fracture The Bone School Talus Bone Open Fracture It can cause significant swelling and bruising. While complications are frequent, the exact incidence is unclear from the\ഠliterature. Talus fractures (other than neck) are rare fractures of the talus that comprise of talar body fractures, lateral process fractures, posterior. A talus fracture is a break in one of the bones that forms the ankle. Surgery to treat an open talus. Talus Bone Open Fracture.
From casereports.bmj.com
Talus fracture in a 4yearold child BMJ Case Reports Talus Bone Open Fracture It can cause significant swelling and bruising. Fractures of the talar neck are difficult injuries. Common causes include motor vehicle collisions, falls from a significant height, and sports injuries. You might also need a ct scan to help your surgeon decide if you need. A talus fracture is a break in one of the bones that forms the ankle. Diagnosis. Talus Bone Open Fracture.
From www.youtube.com
Talus fractures 4 process fractures and dislocations (OTA lecture Talus Bone Open Fracture Fractures of the talar neck are difficult injuries. A talus fracture is a painful break of one of the major bones of the ankle. A talus fracture is a break in one of the bones that forms the ankle. Common causes include motor vehicle collisions, falls from a significant height, and sports injuries. You might also need a ct scan. Talus Bone Open Fracture.
From ar.inspiredpencil.com
Talus Bone Fracture Talus Bone Open Fracture The first step is to put your foot in a splint to keep it from moving, which can help with the pain. Common causes include motor vehicle collisions, falls from a significant height, and sports injuries. You might also need a ct scan to help your surgeon decide if you need. Open fractures are fractures with direct communication to the. Talus Bone Open Fracture.
From clinmedjournals.org
Case Report Concurrent Sustentaculum Tali and Lateral Talar Body Talus Bone Open Fracture It can cause significant swelling and bruising. A talus fracture is a break in one of the bones that forms the ankle. You might also need a ct scan to help your surgeon decide if you need. Talus fractures usually hurt a lot. Open fractures are fractures with direct communication to the external environment. A talus fracture is a painful. Talus Bone Open Fracture.
From footeducation.com
Lateral Talar Process Fractures FootEducation Talus Bone Open Fracture A talus fracture is a painful break of one of the major bones of the ankle. You might also need a ct scan to help your surgeon decide if you need. Talus fractures (other than neck) are rare fractures of the talus that comprise of talar body fractures, lateral process fractures, posterior. Get checked out by a healthcare provider if. Talus Bone Open Fracture.
From drsteinlauf.com
Talus Fractures Doctor Steinlauf Talus Bone Open Fracture Common causes include motor vehicle collisions, falls from a significant height, and sports injuries. A talus fracture is a painful break of one of the major bones of the ankle. Talus fractures (other than neck) are rare fractures of the talus that comprise of talar body fractures, lateral process fractures, posterior. Surgery to treat an open talus fracture often involves. Talus Bone Open Fracture.
From www.podiatric.theclinics.com
Fractures of the Talus A Comprehensive Review Clinics in Podiatric Talus Bone Open Fracture Get checked out by a healthcare provider if you think you have a talus fracture. Surgery to treat an open talus fracture often involves much more than lining up the broken pieces of bone. Pins or screws may be needed, as well as treatment of the damaged muscles and other. It can cause significant swelling and bruising. You might also. Talus Bone Open Fracture.
From teachmeorthopedics.info
Talus Fractures Open Reduction Internal Fixation TeachMe Orthopedics Talus Bone Open Fracture Get checked out by a healthcare provider if you think you have a talus fracture. Common causes include motor vehicle collisions, falls from a significant height, and sports injuries. Fractures of the talar neck are difficult injuries. A talus fracture is a break in one of the bones that forms the ankle. While complications are frequent, the exact incidence is. Talus Bone Open Fracture.
From www.researchgate.net
PostORPP CT scan showing the talar body fracture through the talar Talus Bone Open Fracture Pins or screws may be needed, as well as treatment of the damaged muscles and other. A talus fracture is a painful break of one of the major bones of the ankle. Surgery to treat an open talus fracture often involves much more than lining up the broken pieces of bone. It can cause significant swelling and bruising. Fractures of. Talus Bone Open Fracture.
From medmovie.com
Talus Fracture in the Foot Talus Bone Open Fracture The first step is to put your foot in a splint to keep it from moving, which can help with the pain. You might also need a ct scan to help your surgeon decide if you need. A talus fracture is a painful break of one of the major bones of the ankle. Diagnosis is made clinically by assessing the. Talus Bone Open Fracture.
From www.rch.org.au
Clinical Practice Guidelines Talus Fractures Emergency Department Talus Bone Open Fracture Open fractures are fractures with direct communication to the external environment. Talus fractures (other than neck) are rare fractures of the talus that comprise of talar body fractures, lateral process fractures, posterior. Get checked out by a healthcare provider if you think you have a talus fracture. Diagnosis is made clinically by assessing the size and nature of the external. Talus Bone Open Fracture.
From www.cureus.com
Cureus of a Reimplanted Talus After a Total Open Extrusion Talus Bone Open Fracture Get checked out by a healthcare provider if you think you have a talus fracture. Common causes include motor vehicle collisions, falls from a significant height, and sports injuries. Open fractures are fractures with direct communication to the external environment. Pins or screws may be needed, as well as treatment of the damaged muscles and other. Talus fractures usually hurt. Talus Bone Open Fracture.
From healthjade.net
Talus fracture causes, types, symptoms, complications, diagnosis Talus Bone Open Fracture The first step is to put your foot in a splint to keep it from moving, which can help with the pain. You might also need a ct scan to help your surgeon decide if you need. While complications are frequent, the exact incidence is unclear from the\ഠliterature. Talus fractures (other than neck) are rare fractures of the talus that. Talus Bone Open Fracture.
From footeducation.com
Lateral Talar Process Fractures FootEducation Talus Bone Open Fracture Fractures of the talar neck are difficult injuries. The first step is to put your foot in a splint to keep it from moving, which can help with the pain. Pins or screws may be needed, as well as treatment of the damaged muscles and other. A talus fracture is a painful break of one of the major bones of. Talus Bone Open Fracture.
From mavink.com
Dorsal Talar Avulsion Fracture Talus Bone Open Fracture Get checked out by a healthcare provider if you think you have a talus fracture. Fractures of the talar neck are difficult injuries. A talus fracture is a break in one of the bones that forms the ankle. Talus fractures usually hurt a lot. A talus fracture is a painful break of one of the major bones of the ankle.. Talus Bone Open Fracture.
From james-mccormack.com
Talus Fracture How to treat a Talus Fracture by a Foot Specialist Talus Bone Open Fracture While complications are frequent, the exact incidence is unclear from the\ഠliterature. A talus fracture is a painful break of one of the major bones of the ankle. The first step is to put your foot in a splint to keep it from moving, which can help with the pain. A talus fracture is a break in one of the bones. Talus Bone Open Fracture.
From healthjade.net
Talus fracture causes, types, symptoms, complications, diagnosis Talus Bone Open Fracture Common causes include motor vehicle collisions, falls from a significant height, and sports injuries. A talus fracture is a painful break of one of the major bones of the ankle. A talus fracture is a break in one of the bones that forms the ankle. Surgery to treat an open talus fracture often involves much more than lining up the. Talus Bone Open Fracture.
From pubs.rsna.org
Talar Fractures and Dislocations A Radiologist’s Guide to Timely Talus Bone Open Fracture While complications are frequent, the exact incidence is unclear from the\ഠliterature. Talus fractures (other than neck) are rare fractures of the talus that comprise of talar body fractures, lateral process fractures, posterior. A talus fracture is a break in one of the bones that forms the ankle. Get checked out by a healthcare provider if you think you have a. Talus Bone Open Fracture.
From pubs.rsna.org
Talar Fractures and Dislocations A Radiologist’s Guide to Timely Talus Bone Open Fracture A talus fracture is a painful break of one of the major bones of the ankle. A talus fracture is a break in one of the bones that forms the ankle. The first step is to put your foot in a splint to keep it from moving, which can help with the pain. Diagnosis is made clinically by assessing the. Talus Bone Open Fracture.
From faoj.org
Coronal plane talar body fracture associated with subtalar and Talus Bone Open Fracture You might also need a ct scan to help your surgeon decide if you need. Fractures of the talar neck are difficult injuries. While complications are frequent, the exact incidence is unclear from the\ഠliterature. Talus fractures usually hurt a lot. Open fractures are fractures with direct communication to the external environment. Surgery to treat an open talus fracture often involves. Talus Bone Open Fracture.
From james-mccormack.com
Talus Fracture How to treat a Talus Fracture by a Foot Specialist Talus Bone Open Fracture A talus fracture is a break in one of the bones that forms the ankle. Get checked out by a healthcare provider if you think you have a talus fracture. Common causes include motor vehicle collisions, falls from a significant height, and sports injuries. Pins or screws may be needed, as well as treatment of the damaged muscles and other.. Talus Bone Open Fracture.