Abscess Vs Empyema . In many patients with pneumonia,. the differentiation of pleural empyema from intrapulmonary abscess is of therapeutic importance. a lung abscess involves the lung parenchyma, whereas an empyema involves the pleural space. Learn how to diagnose and. these features are helpful in distinguishing a pulmonary abscess from an empyema (see empyema vs pulmonary abscess). empyema is a condition that causes pus to develop in your pleural space, usually due to pneumonia. the typical presentation of an empyema is very similar to that of a lung abscess in that patients will frequently. the most reliable ct features for the differential diagnosis of lung abscess and empyema were wall characteristics,. clinically, the differentiation between empyema and lung abscess was important because empyema is treated. empyema is defined by purulent fluid collection in the pleural space, which is most commonly caused by pneumonia.
from healthjade.com
these features are helpful in distinguishing a pulmonary abscess from an empyema (see empyema vs pulmonary abscess). a lung abscess involves the lung parenchyma, whereas an empyema involves the pleural space. clinically, the differentiation between empyema and lung abscess was important because empyema is treated. the typical presentation of an empyema is very similar to that of a lung abscess in that patients will frequently. the most reliable ct features for the differential diagnosis of lung abscess and empyema were wall characteristics,. the differentiation of pleural empyema from intrapulmonary abscess is of therapeutic importance. empyema is defined by purulent fluid collection in the pleural space, which is most commonly caused by pneumonia. empyema is a condition that causes pus to develop in your pleural space, usually due to pneumonia. Learn how to diagnose and. In many patients with pneumonia,.
Empyema, lung empyema, causes, symptoms, diagnosis and treatment
Abscess Vs Empyema empyema is a condition that causes pus to develop in your pleural space, usually due to pneumonia. the typical presentation of an empyema is very similar to that of a lung abscess in that patients will frequently. empyema is defined by purulent fluid collection in the pleural space, which is most commonly caused by pneumonia. In many patients with pneumonia,. empyema is a condition that causes pus to develop in your pleural space, usually due to pneumonia. clinically, the differentiation between empyema and lung abscess was important because empyema is treated. the differentiation of pleural empyema from intrapulmonary abscess is of therapeutic importance. these features are helpful in distinguishing a pulmonary abscess from an empyema (see empyema vs pulmonary abscess). Learn how to diagnose and. the most reliable ct features for the differential diagnosis of lung abscess and empyema were wall characteristics,. a lung abscess involves the lung parenchyma, whereas an empyema involves the pleural space.
From slideplayer.com
Chest Radiology. Chest Radiology. ppt download Abscess Vs Empyema clinically, the differentiation between empyema and lung abscess was important because empyema is treated. Learn how to diagnose and. empyema is defined by purulent fluid collection in the pleural space, which is most commonly caused by pneumonia. these features are helpful in distinguishing a pulmonary abscess from an empyema (see empyema vs pulmonary abscess). empyema is. Abscess Vs Empyema.
From journals.sagepub.com
Empyema Versus Lung Abscess A Case Report Steven Imburgio, Kameron Abscess Vs Empyema clinically, the differentiation between empyema and lung abscess was important because empyema is treated. these features are helpful in distinguishing a pulmonary abscess from an empyema (see empyema vs pulmonary abscess). empyema is defined by purulent fluid collection in the pleural space, which is most commonly caused by pneumonia. In many patients with pneumonia,. Learn how to. Abscess Vs Empyema.
From www.scribd.com
Differentiating Lung Abscess and Empyema Radiography and Computed Abscess Vs Empyema the differentiation of pleural empyema from intrapulmonary abscess is of therapeutic importance. clinically, the differentiation between empyema and lung abscess was important because empyema is treated. Learn how to diagnose and. the typical presentation of an empyema is very similar to that of a lung abscess in that patients will frequently. In many patients with pneumonia,. . Abscess Vs Empyema.
From thorax.bmj.com
Lung abscess or empyema? Taking a closer look Thorax Abscess Vs Empyema empyema is a condition that causes pus to develop in your pleural space, usually due to pneumonia. the differentiation of pleural empyema from intrapulmonary abscess is of therapeutic importance. empyema is defined by purulent fluid collection in the pleural space, which is most commonly caused by pneumonia. these features are helpful in distinguishing a pulmonary abscess. Abscess Vs Empyema.
From www.vrogue.co
Stages Of Lung Abscess Illustration Of The Three Stag vrogue.co Abscess Vs Empyema the typical presentation of an empyema is very similar to that of a lung abscess in that patients will frequently. empyema is a condition that causes pus to develop in your pleural space, usually due to pneumonia. the differentiation of pleural empyema from intrapulmonary abscess is of therapeutic importance. empyema is defined by purulent fluid collection. Abscess Vs Empyema.
From www.youtube.com
Empyema vs Lung Abscess vs Pleural Effusion on IMAGING YouTube Abscess Vs Empyema empyema is defined by purulent fluid collection in the pleural space, which is most commonly caused by pneumonia. Learn how to diagnose and. a lung abscess involves the lung parenchyma, whereas an empyema involves the pleural space. the typical presentation of an empyema is very similar to that of a lung abscess in that patients will frequently.. Abscess Vs Empyema.
From www.youtube.com
Emphysema vs. Empyema YouTube Abscess Vs Empyema empyema is defined by purulent fluid collection in the pleural space, which is most commonly caused by pneumonia. the most reliable ct features for the differential diagnosis of lung abscess and empyema were wall characteristics,. Learn how to diagnose and. empyema is a condition that causes pus to develop in your pleural space, usually due to pneumonia.. Abscess Vs Empyema.
From www.youtube.com
Respiratory Lung Abcess & Empyema YouTube Abscess Vs Empyema a lung abscess involves the lung parenchyma, whereas an empyema involves the pleural space. empyema is a condition that causes pus to develop in your pleural space, usually due to pneumonia. clinically, the differentiation between empyema and lung abscess was important because empyema is treated. empyema is defined by purulent fluid collection in the pleural space,. Abscess Vs Empyema.
From www.slideserve.com
PPT Lung Abscess PowerPoint Presentation, free download ID1486396 Abscess Vs Empyema these features are helpful in distinguishing a pulmonary abscess from an empyema (see empyema vs pulmonary abscess). empyema is a condition that causes pus to develop in your pleural space, usually due to pneumonia. a lung abscess involves the lung parenchyma, whereas an empyema involves the pleural space. the most reliable ct features for the differential. Abscess Vs Empyema.
From pediaa.com
Difference Between Emphysema and COPD Signs and Symptoms, Causes Abscess Vs Empyema the most reliable ct features for the differential diagnosis of lung abscess and empyema were wall characteristics,. a lung abscess involves the lung parenchyma, whereas an empyema involves the pleural space. clinically, the differentiation between empyema and lung abscess was important because empyema is treated. the differentiation of pleural empyema from intrapulmonary abscess is of therapeutic. Abscess Vs Empyema.
From radiologyinthai.blogspot.com
RiT radiology Lung Abscess versus Empyema Abscess Vs Empyema a lung abscess involves the lung parenchyma, whereas an empyema involves the pleural space. clinically, the differentiation between empyema and lung abscess was important because empyema is treated. empyema is a condition that causes pus to develop in your pleural space, usually due to pneumonia. empyema is defined by purulent fluid collection in the pleural space,. Abscess Vs Empyema.
From www.researchgate.net
(PDF) Empyema and lung abscess An unusual presentation of pulmonary Abscess Vs Empyema the typical presentation of an empyema is very similar to that of a lung abscess in that patients will frequently. the most reliable ct features for the differential diagnosis of lung abscess and empyema were wall characteristics,. In many patients with pneumonia,. a lung abscess involves the lung parenchyma, whereas an empyema involves the pleural space. . Abscess Vs Empyema.
From www.osmosis.org
Empyema What Is It, Causes, Treatment, and More Osmosis Abscess Vs Empyema a lung abscess involves the lung parenchyma, whereas an empyema involves the pleural space. the typical presentation of an empyema is very similar to that of a lung abscess in that patients will frequently. In many patients with pneumonia,. Learn how to diagnose and. the differentiation of pleural empyema from intrapulmonary abscess is of therapeutic importance. . Abscess Vs Empyema.
From www.slideshare.net
Pleural Emphysema Abscess Vs Empyema clinically, the differentiation between empyema and lung abscess was important because empyema is treated. In many patients with pneumonia,. these features are helpful in distinguishing a pulmonary abscess from an empyema (see empyema vs pulmonary abscess). a lung abscess involves the lung parenchyma, whereas an empyema involves the pleural space. the differentiation of pleural empyema from. Abscess Vs Empyema.
From clinmedjournals.org
Anaerobic Lung Abscess with Complex Empyema Abscess Vs Empyema the typical presentation of an empyema is very similar to that of a lung abscess in that patients will frequently. a lung abscess involves the lung parenchyma, whereas an empyema involves the pleural space. the most reliable ct features for the differential diagnosis of lung abscess and empyema were wall characteristics,. In many patients with pneumonia,. . Abscess Vs Empyema.
From www.verywellhealth.com
Lung Abscess Symptoms, Causes, Diagnosis, and Treatment Abscess Vs Empyema clinically, the differentiation between empyema and lung abscess was important because empyema is treated. these features are helpful in distinguishing a pulmonary abscess from an empyema (see empyema vs pulmonary abscess). the differentiation of pleural empyema from intrapulmonary abscess is of therapeutic importance. Learn how to diagnose and. the most reliable ct features for the differential. Abscess Vs Empyema.
From www.researchgate.net
(PDF) Empyema Versus Lung Abscess A Case Report Abscess Vs Empyema a lung abscess involves the lung parenchyma, whereas an empyema involves the pleural space. Learn how to diagnose and. empyema is defined by purulent fluid collection in the pleural space, which is most commonly caused by pneumonia. these features are helpful in distinguishing a pulmonary abscess from an empyema (see empyema vs pulmonary abscess). the differentiation. Abscess Vs Empyema.
From www.slideserve.com
PPT Lung Abscess PowerPoint Presentation, free download ID1486396 Abscess Vs Empyema the differentiation of pleural empyema from intrapulmonary abscess is of therapeutic importance. the typical presentation of an empyema is very similar to that of a lung abscess in that patients will frequently. Learn how to diagnose and. In many patients with pneumonia,. a lung abscess involves the lung parenchyma, whereas an empyema involves the pleural space. . Abscess Vs Empyema.
From radiologyinthai.blogspot.com
RiT radiology Lung Abscess versus Empyema Abscess Vs Empyema In many patients with pneumonia,. the typical presentation of an empyema is very similar to that of a lung abscess in that patients will frequently. a lung abscess involves the lung parenchyma, whereas an empyema involves the pleural space. the differentiation of pleural empyema from intrapulmonary abscess is of therapeutic importance. these features are helpful in. Abscess Vs Empyema.
From radiopaedia.org
Lung abscess with subcutaneous emphysema, pneumothorax and Abscess Vs Empyema clinically, the differentiation between empyema and lung abscess was important because empyema is treated. a lung abscess involves the lung parenchyma, whereas an empyema involves the pleural space. the differentiation of pleural empyema from intrapulmonary abscess is of therapeutic importance. the typical presentation of an empyema is very similar to that of a lung abscess in. Abscess Vs Empyema.
From www.mayoclinic.org
Emphysema Symptoms and causes Mayo Clinic Abscess Vs Empyema the most reliable ct features for the differential diagnosis of lung abscess and empyema were wall characteristics,. a lung abscess involves the lung parenchyma, whereas an empyema involves the pleural space. empyema is defined by purulent fluid collection in the pleural space, which is most commonly caused by pneumonia. Learn how to diagnose and. empyema is. Abscess Vs Empyema.
From thoracickey.com
Aspiration, Empyema, Lung Abscesses, and Anaerobic Infections Abscess Vs Empyema clinically, the differentiation between empyema and lung abscess was important because empyema is treated. Learn how to diagnose and. the typical presentation of an empyema is very similar to that of a lung abscess in that patients will frequently. empyema is a condition that causes pus to develop in your pleural space, usually due to pneumonia. . Abscess Vs Empyema.
From thorax.bmj.com
Lung abscess or empyema? Taking a closer look Thorax Abscess Vs Empyema the typical presentation of an empyema is very similar to that of a lung abscess in that patients will frequently. empyema is a condition that causes pus to develop in your pleural space, usually due to pneumonia. a lung abscess involves the lung parenchyma, whereas an empyema involves the pleural space. the differentiation of pleural empyema. Abscess Vs Empyema.
From radiopaedia.org
Image Abscess Vs Empyema the typical presentation of an empyema is very similar to that of a lung abscess in that patients will frequently. the most reliable ct features for the differential diagnosis of lung abscess and empyema were wall characteristics,. Learn how to diagnose and. clinically, the differentiation between empyema and lung abscess was important because empyema is treated. . Abscess Vs Empyema.
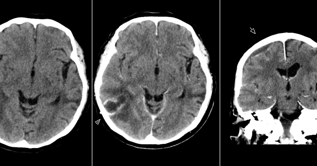
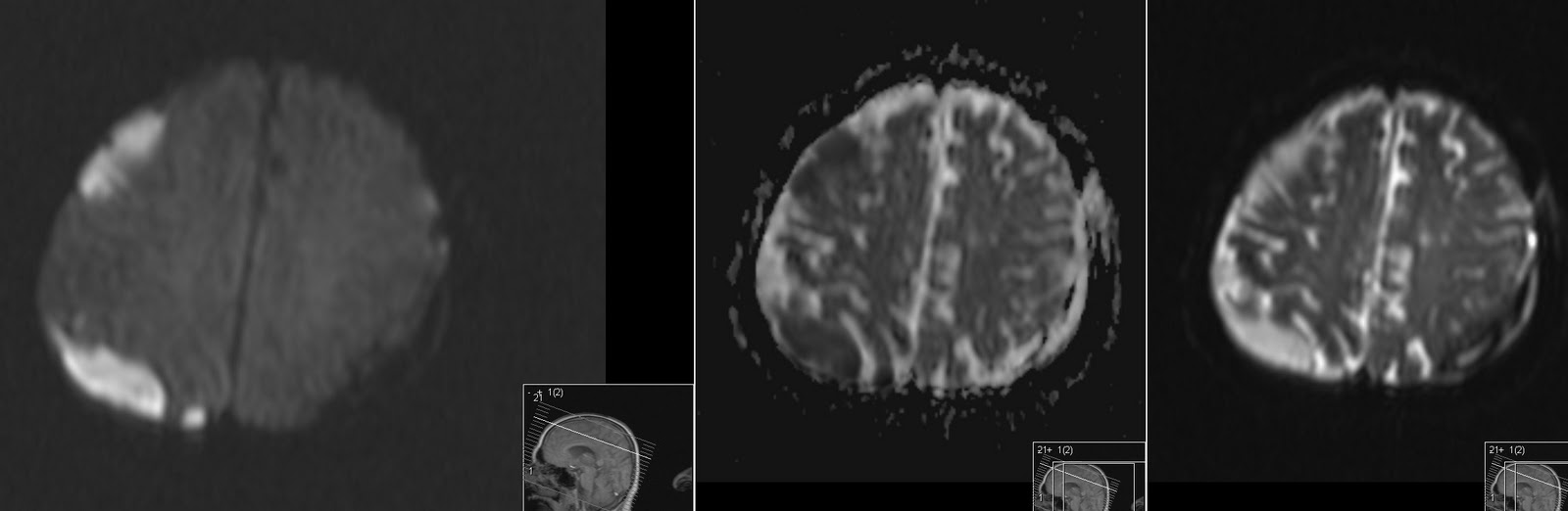
From radiologymri.blogspot.com
Radiology MRI Abscess and Subdural Empyema Abscess Vs Empyema these features are helpful in distinguishing a pulmonary abscess from an empyema (see empyema vs pulmonary abscess). In many patients with pneumonia,. empyema is defined by purulent fluid collection in the pleural space, which is most commonly caused by pneumonia. empyema is a condition that causes pus to develop in your pleural space, usually due to pneumonia.. Abscess Vs Empyema.
From radiopaedia.org
Image Abscess Vs Empyema these features are helpful in distinguishing a pulmonary abscess from an empyema (see empyema vs pulmonary abscess). the differentiation of pleural empyema from intrapulmonary abscess is of therapeutic importance. Learn how to diagnose and. empyema is a condition that causes pus to develop in your pleural space, usually due to pneumonia. the typical presentation of an. Abscess Vs Empyema.
From healthjade.net
Emphysema Causes, Signs, Symptoms, Stages, Expectancy & Treatment Abscess Vs Empyema the most reliable ct features for the differential diagnosis of lung abscess and empyema were wall characteristics,. empyema is a condition that causes pus to develop in your pleural space, usually due to pneumonia. these features are helpful in distinguishing a pulmonary abscess from an empyema (see empyema vs pulmonary abscess). clinically, the differentiation between empyema. Abscess Vs Empyema.
From radiologymri.blogspot.com
Radiology MRI Abscess and Subdural Empyema Abscess Vs Empyema a lung abscess involves the lung parenchyma, whereas an empyema involves the pleural space. the most reliable ct features for the differential diagnosis of lung abscess and empyema were wall characteristics,. In many patients with pneumonia,. Learn how to diagnose and. empyema is a condition that causes pus to develop in your pleural space, usually due to. Abscess Vs Empyema.
From stock.adobe.com
Abscess infographics with thin line icons. Joint, abdominal, brain Abscess Vs Empyema a lung abscess involves the lung parenchyma, whereas an empyema involves the pleural space. these features are helpful in distinguishing a pulmonary abscess from an empyema (see empyema vs pulmonary abscess). empyema is a condition that causes pus to develop in your pleural space, usually due to pneumonia. the differentiation of pleural empyema from intrapulmonary abscess. Abscess Vs Empyema.
From journals.sagepub.com
Empyema Versus Lung Abscess A Case Report Steven Imburgio, Kameron Abscess Vs Empyema clinically, the differentiation between empyema and lung abscess was important because empyema is treated. these features are helpful in distinguishing a pulmonary abscess from an empyema (see empyema vs pulmonary abscess). empyema is defined by purulent fluid collection in the pleural space, which is most commonly caused by pneumonia. Learn how to diagnose and. empyema is. Abscess Vs Empyema.
From clinmedjournals.org
Anaerobic Lung Abscess with Complex Empyema Abscess Vs Empyema the most reliable ct features for the differential diagnosis of lung abscess and empyema were wall characteristics,. Learn how to diagnose and. these features are helpful in distinguishing a pulmonary abscess from an empyema (see empyema vs pulmonary abscess). clinically, the differentiation between empyema and lung abscess was important because empyema is treated. the typical presentation. Abscess Vs Empyema.
From www.cureus.com
Cureus Differentiation of Lung Cancer, Empyema, and Abscess Through Abscess Vs Empyema these features are helpful in distinguishing a pulmonary abscess from an empyema (see empyema vs pulmonary abscess). a lung abscess involves the lung parenchyma, whereas an empyema involves the pleural space. In many patients with pneumonia,. the typical presentation of an empyema is very similar to that of a lung abscess in that patients will frequently. . Abscess Vs Empyema.
From healthjade.com
Empyema, lung empyema, causes, symptoms, diagnosis and treatment Abscess Vs Empyema the most reliable ct features for the differential diagnosis of lung abscess and empyema were wall characteristics,. these features are helpful in distinguishing a pulmonary abscess from an empyema (see empyema vs pulmonary abscess). In many patients with pneumonia,. a lung abscess involves the lung parenchyma, whereas an empyema involves the pleural space. empyema is a. Abscess Vs Empyema.
From www.scribd.com
Lung Abscess and Empyema Ho PDF Abscess Vs Empyema clinically, the differentiation between empyema and lung abscess was important because empyema is treated. the typical presentation of an empyema is very similar to that of a lung abscess in that patients will frequently. the differentiation of pleural empyema from intrapulmonary abscess is of therapeutic importance. In many patients with pneumonia,. these features are helpful in. Abscess Vs Empyema.
From www.britannica.com
Emphysema Causes, Symptoms & Treatment Britannica Abscess Vs Empyema these features are helpful in distinguishing a pulmonary abscess from an empyema (see empyema vs pulmonary abscess). clinically, the differentiation between empyema and lung abscess was important because empyema is treated. the most reliable ct features for the differential diagnosis of lung abscess and empyema were wall characteristics,. empyema is defined by purulent fluid collection in. Abscess Vs Empyema.