Severe Back Pain Dialysis Patient . a detailed and comprehensive understanding of pain experiences in patients undergoing hd can inform nurses, nephrologists, and. brkovic et al.6 examined prevalence and severity of pain in a systematic review of patients undergoing hemodialysis, with. the spectrum of pain experienced by dialysis patients is varied and may be atypical and severe, 9. in fact, 60% to 90% of individuals with ckd receiving renal replacement therapy (rrt), such as hemodialysis and peritoneal dialysis (pd), experience. Advanced age, increased body mass index, and. in a series of four haemodialysis patients presenting with chronic backache and episodes of fever. among hemodialysis patients, severe pain is also independently associated with shortened or missed hemodialysis. low back pain is a common condition in hemodialysis patients.
from ctvstexas.com
in fact, 60% to 90% of individuals with ckd receiving renal replacement therapy (rrt), such as hemodialysis and peritoneal dialysis (pd), experience. the spectrum of pain experienced by dialysis patients is varied and may be atypical and severe, 9. in a series of four haemodialysis patients presenting with chronic backache and episodes of fever. brkovic et al.6 examined prevalence and severity of pain in a systematic review of patients undergoing hemodialysis, with. a detailed and comprehensive understanding of pain experiences in patients undergoing hd can inform nurses, nephrologists, and. Advanced age, increased body mass index, and. low back pain is a common condition in hemodialysis patients. among hemodialysis patients, severe pain is also independently associated with shortened or missed hemodialysis.
What is the VasQ device and how can it help with my dialysis?
Severe Back Pain Dialysis Patient a detailed and comprehensive understanding of pain experiences in patients undergoing hd can inform nurses, nephrologists, and. a detailed and comprehensive understanding of pain experiences in patients undergoing hd can inform nurses, nephrologists, and. in fact, 60% to 90% of individuals with ckd receiving renal replacement therapy (rrt), such as hemodialysis and peritoneal dialysis (pd), experience. brkovic et al.6 examined prevalence and severity of pain in a systematic review of patients undergoing hemodialysis, with. among hemodialysis patients, severe pain is also independently associated with shortened or missed hemodialysis. the spectrum of pain experienced by dialysis patients is varied and may be atypical and severe, 9. in a series of four haemodialysis patients presenting with chronic backache and episodes of fever. low back pain is a common condition in hemodialysis patients. Advanced age, increased body mass index, and.
From www.dreamstime.com
Young Male Patient Complains To Doctor of Severe Back Pain during Visit Severe Back Pain Dialysis Patient the spectrum of pain experienced by dialysis patients is varied and may be atypical and severe, 9. in fact, 60% to 90% of individuals with ckd receiving renal replacement therapy (rrt), such as hemodialysis and peritoneal dialysis (pd), experience. a detailed and comprehensive understanding of pain experiences in patients undergoing hd can inform nurses, nephrologists, and. . Severe Back Pain Dialysis Patient.
From dokumen.tips
(PPT) Patient with loopconfiguration PTFE hemodialysis graft presents Severe Back Pain Dialysis Patient in a series of four haemodialysis patients presenting with chronic backache and episodes of fever. a detailed and comprehensive understanding of pain experiences in patients undergoing hd can inform nurses, nephrologists, and. the spectrum of pain experienced by dialysis patients is varied and may be atypical and severe, 9. brkovic et al.6 examined prevalence and severity. Severe Back Pain Dialysis Patient.
From www.nipro-group.com
What is a vascular access? Why does it matter for my hemodialysis Severe Back Pain Dialysis Patient low back pain is a common condition in hemodialysis patients. the spectrum of pain experienced by dialysis patients is varied and may be atypical and severe, 9. a detailed and comprehensive understanding of pain experiences in patients undergoing hd can inform nurses, nephrologists, and. brkovic et al.6 examined prevalence and severity of pain in a systematic. Severe Back Pain Dialysis Patient.
From www.pompanodialysis.com
How Hemodialysis and Peritoneal Dialysis Work United Dialysis Center Severe Back Pain Dialysis Patient among hemodialysis patients, severe pain is also independently associated with shortened or missed hemodialysis. Advanced age, increased body mass index, and. brkovic et al.6 examined prevalence and severity of pain in a systematic review of patients undergoing hemodialysis, with. in a series of four haemodialysis patients presenting with chronic backache and episodes of fever. a detailed. Severe Back Pain Dialysis Patient.
From healthjade.net
Hemodialysis Procedure, Hemodialysis Side Effects Severe Back Pain Dialysis Patient low back pain is a common condition in hemodialysis patients. Advanced age, increased body mass index, and. in fact, 60% to 90% of individuals with ckd receiving renal replacement therapy (rrt), such as hemodialysis and peritoneal dialysis (pd), experience. among hemodialysis patients, severe pain is also independently associated with shortened or missed hemodialysis. the spectrum of. Severe Back Pain Dialysis Patient.
From www.cureus.com
Cureus A Rare and Severe Cause of Abdominal Pain in a Hemodialysis Severe Back Pain Dialysis Patient a detailed and comprehensive understanding of pain experiences in patients undergoing hd can inform nurses, nephrologists, and. low back pain is a common condition in hemodialysis patients. Advanced age, increased body mass index, and. in a series of four haemodialysis patients presenting with chronic backache and episodes of fever. among hemodialysis patients, severe pain is also. Severe Back Pain Dialysis Patient.
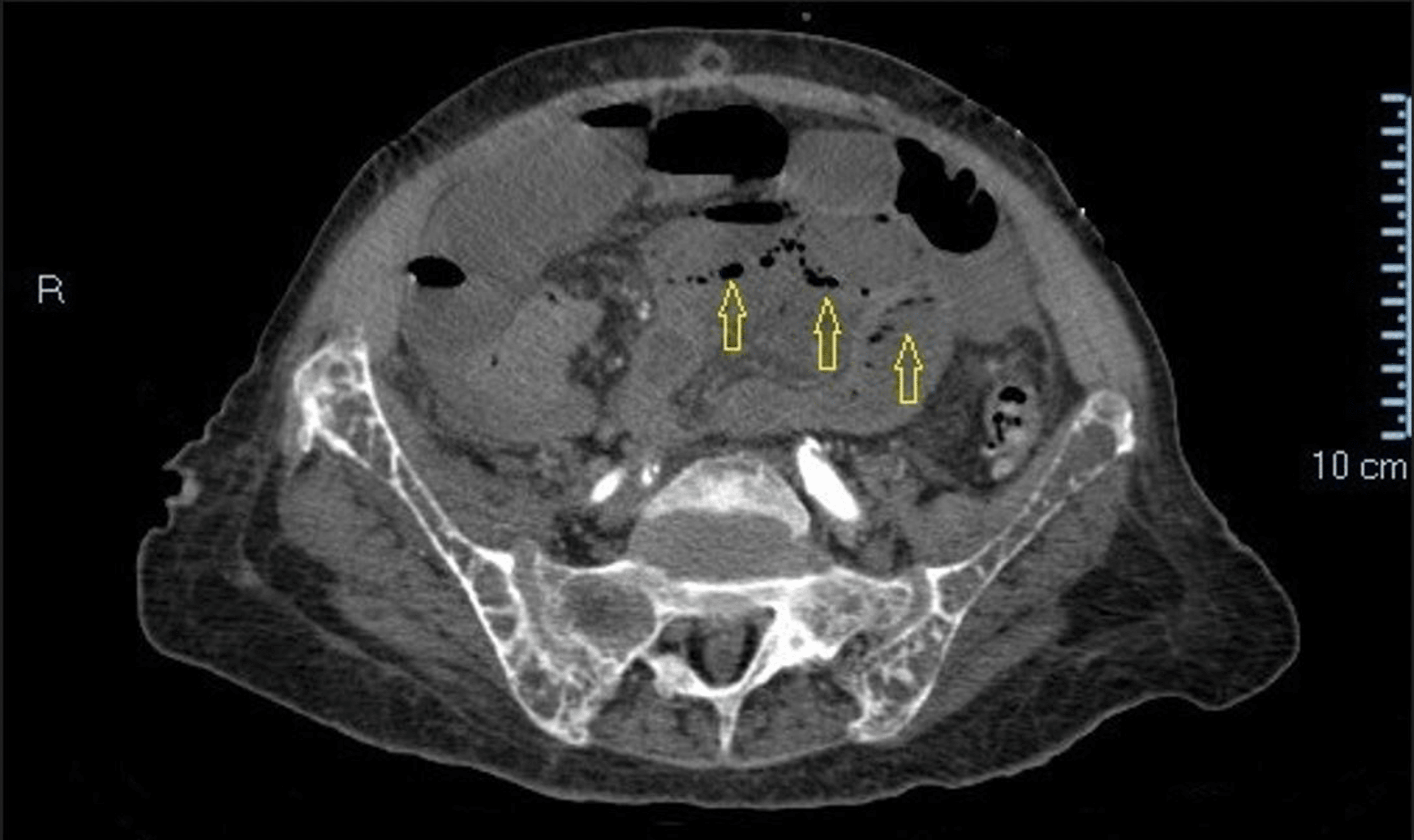
From www.researchgate.net
n this dialysis patient with low back pain, axial CT scan through the Severe Back Pain Dialysis Patient a detailed and comprehensive understanding of pain experiences in patients undergoing hd can inform nurses, nephrologists, and. the spectrum of pain experienced by dialysis patients is varied and may be atypical and severe, 9. Advanced age, increased body mass index, and. brkovic et al.6 examined prevalence and severity of pain in a systematic review of patients undergoing. Severe Back Pain Dialysis Patient.
From atlantaspineinstitute.com
Tips for Communicating Back Pain to a Doctor Atlanta, GA Spine Surgery Severe Back Pain Dialysis Patient low back pain is a common condition in hemodialysis patients. brkovic et al.6 examined prevalence and severity of pain in a systematic review of patients undergoing hemodialysis, with. the spectrum of pain experienced by dialysis patients is varied and may be atypical and severe, 9. a detailed and comprehensive understanding of pain experiences in patients undergoing. Severe Back Pain Dialysis Patient.
From www.youtube.com
Lower back pain/Lower back pain of dialysis patients/Back pain of Severe Back Pain Dialysis Patient brkovic et al.6 examined prevalence and severity of pain in a systematic review of patients undergoing hemodialysis, with. a detailed and comprehensive understanding of pain experiences in patients undergoing hd can inform nurses, nephrologists, and. in a series of four haemodialysis patients presenting with chronic backache and episodes of fever. among hemodialysis patients, severe pain is. Severe Back Pain Dialysis Patient.
From ctvstexas.com
What is the VasQ device and how can it help with my dialysis? Severe Back Pain Dialysis Patient a detailed and comprehensive understanding of pain experiences in patients undergoing hd can inform nurses, nephrologists, and. low back pain is a common condition in hemodialysis patients. the spectrum of pain experienced by dialysis patients is varied and may be atypical and severe, 9. in fact, 60% to 90% of individuals with ckd receiving renal replacement. Severe Back Pain Dialysis Patient.
From www.researchgate.net
(PDF) Severe Back Pain in a Young Patient with Pyoderma Gangrenosum and Severe Back Pain Dialysis Patient a detailed and comprehensive understanding of pain experiences in patients undergoing hd can inform nurses, nephrologists, and. low back pain is a common condition in hemodialysis patients. among hemodialysis patients, severe pain is also independently associated with shortened or missed hemodialysis. the spectrum of pain experienced by dialysis patients is varied and may be atypical and. Severe Back Pain Dialysis Patient.
From www.youtube.com
20 Years of Severe * Back Pain * RELIEVED In Minutes! YouTube Severe Back Pain Dialysis Patient in fact, 60% to 90% of individuals with ckd receiving renal replacement therapy (rrt), such as hemodialysis and peritoneal dialysis (pd), experience. a detailed and comprehensive understanding of pain experiences in patients undergoing hd can inform nurses, nephrologists, and. in a series of four haemodialysis patients presenting with chronic backache and episodes of fever. the spectrum. Severe Back Pain Dialysis Patient.
From stock.adobe.com
Back view of woman suffering from lower back pain with kidney shape Severe Back Pain Dialysis Patient low back pain is a common condition in hemodialysis patients. among hemodialysis patients, severe pain is also independently associated with shortened or missed hemodialysis. a detailed and comprehensive understanding of pain experiences in patients undergoing hd can inform nurses, nephrologists, and. in fact, 60% to 90% of individuals with ckd receiving renal replacement therapy (rrt), such. Severe Back Pain Dialysis Patient.
From vedicsutra.co.in
Symptoms Of Severe Back Pain Vedic Sutrra Wellness Center Severe Back Pain Dialysis Patient in fact, 60% to 90% of individuals with ckd receiving renal replacement therapy (rrt), such as hemodialysis and peritoneal dialysis (pd), experience. in a series of four haemodialysis patients presenting with chronic backache and episodes of fever. Advanced age, increased body mass index, and. brkovic et al.6 examined prevalence and severity of pain in a systematic review. Severe Back Pain Dialysis Patient.
From bodsupport.com
Back and Kidney Pain Causes and Treatment BodSupport Severe Back Pain Dialysis Patient Advanced age, increased body mass index, and. brkovic et al.6 examined prevalence and severity of pain in a systematic review of patients undergoing hemodialysis, with. in fact, 60% to 90% of individuals with ckd receiving renal replacement therapy (rrt), such as hemodialysis and peritoneal dialysis (pd), experience. the spectrum of pain experienced by dialysis patients is varied. Severe Back Pain Dialysis Patient.
From www.researchgate.net
n this dialysis patient with low back pain, axial CT scan through the Severe Back Pain Dialysis Patient the spectrum of pain experienced by dialysis patients is varied and may be atypical and severe, 9. in a series of four haemodialysis patients presenting with chronic backache and episodes of fever. brkovic et al.6 examined prevalence and severity of pain in a systematic review of patients undergoing hemodialysis, with. in fact, 60% to 90% of. Severe Back Pain Dialysis Patient.
From durhamnephrology.com
How to Manage Pain Associated with Kidney Disease Durham Nephrology Severe Back Pain Dialysis Patient Advanced age, increased body mass index, and. in a series of four haemodialysis patients presenting with chronic backache and episodes of fever. brkovic et al.6 examined prevalence and severity of pain in a systematic review of patients undergoing hemodialysis, with. in fact, 60% to 90% of individuals with ckd receiving renal replacement therapy (rrt), such as hemodialysis. Severe Back Pain Dialysis Patient.
From www.nhs.uk
Dialysis NHS Severe Back Pain Dialysis Patient in fact, 60% to 90% of individuals with ckd receiving renal replacement therapy (rrt), such as hemodialysis and peritoneal dialysis (pd), experience. Advanced age, increased body mass index, and. low back pain is a common condition in hemodialysis patients. the spectrum of pain experienced by dialysis patients is varied and may be atypical and severe, 9. . Severe Back Pain Dialysis Patient.
From californiakidneyspecialists.com
Dialysis Procedure, Types, Risks California Kidney Specialists Severe Back Pain Dialysis Patient brkovic et al.6 examined prevalence and severity of pain in a systematic review of patients undergoing hemodialysis, with. low back pain is a common condition in hemodialysis patients. the spectrum of pain experienced by dialysis patients is varied and may be atypical and severe, 9. a detailed and comprehensive understanding of pain experiences in patients undergoing. Severe Back Pain Dialysis Patient.
From weillcornell.org
Podcast Nonsurgical Management Options for Back Pain Patient Care Severe Back Pain Dialysis Patient the spectrum of pain experienced by dialysis patients is varied and may be atypical and severe, 9. among hemodialysis patients, severe pain is also independently associated with shortened or missed hemodialysis. a detailed and comprehensive understanding of pain experiences in patients undergoing hd can inform nurses, nephrologists, and. in fact, 60% to 90% of individuals with. Severe Back Pain Dialysis Patient.
From stock.adobe.com
Back view of woman suffering from lower back pain with kidney shape Severe Back Pain Dialysis Patient the spectrum of pain experienced by dialysis patients is varied and may be atypical and severe, 9. in fact, 60% to 90% of individuals with ckd receiving renal replacement therapy (rrt), such as hemodialysis and peritoneal dialysis (pd), experience. brkovic et al.6 examined prevalence and severity of pain in a systematic review of patients undergoing hemodialysis, with.. Severe Back Pain Dialysis Patient.
From tomrowlandpodcast.com
Physical Friday Jenny Resmondo on Diagnosing Severe Back Pain — Tom Severe Back Pain Dialysis Patient in fact, 60% to 90% of individuals with ckd receiving renal replacement therapy (rrt), such as hemodialysis and peritoneal dialysis (pd), experience. a detailed and comprehensive understanding of pain experiences in patients undergoing hd can inform nurses, nephrologists, and. Advanced age, increased body mass index, and. the spectrum of pain experienced by dialysis patients is varied and. Severe Back Pain Dialysis Patient.
From www.dpcedcenter.org
Managing Chronic Pain in Dialysis Patients Dialysis Patient Citizens Severe Back Pain Dialysis Patient Advanced age, increased body mass index, and. the spectrum of pain experienced by dialysis patients is varied and may be atypical and severe, 9. in fact, 60% to 90% of individuals with ckd receiving renal replacement therapy (rrt), such as hemodialysis and peritoneal dialysis (pd), experience. low back pain is a common condition in hemodialysis patients. . Severe Back Pain Dialysis Patient.
From www.satellitehealthcare.com
Managing Muscle Cramps After Dialysis Satellite Healthcare Severe Back Pain Dialysis Patient a detailed and comprehensive understanding of pain experiences in patients undergoing hd can inform nurses, nephrologists, and. Advanced age, increased body mass index, and. in fact, 60% to 90% of individuals with ckd receiving renal replacement therapy (rrt), such as hemodialysis and peritoneal dialysis (pd), experience. in a series of four haemodialysis patients presenting with chronic backache. Severe Back Pain Dialysis Patient.
From www.ajkd.org
Erythema and Swelling Around Arteriovenous Fistula Sites in a Severe Back Pain Dialysis Patient the spectrum of pain experienced by dialysis patients is varied and may be atypical and severe, 9. among hemodialysis patients, severe pain is also independently associated with shortened or missed hemodialysis. brkovic et al.6 examined prevalence and severity of pain in a systematic review of patients undergoing hemodialysis, with. Advanced age, increased body mass index, and. . Severe Back Pain Dialysis Patient.
From www.healthcentral.com
What to Know About Getting Dialysis for the First Time Severe Back Pain Dialysis Patient among hemodialysis patients, severe pain is also independently associated with shortened or missed hemodialysis. in fact, 60% to 90% of individuals with ckd receiving renal replacement therapy (rrt), such as hemodialysis and peritoneal dialysis (pd), experience. Advanced age, increased body mass index, and. brkovic et al.6 examined prevalence and severity of pain in a systematic review of. Severe Back Pain Dialysis Patient.
From www.istockphoto.com
Back View Of Woman Suffering From Lower Back Pain With Kidney Shape Severe Back Pain Dialysis Patient brkovic et al.6 examined prevalence and severity of pain in a systematic review of patients undergoing hemodialysis, with. in a series of four haemodialysis patients presenting with chronic backache and episodes of fever. Advanced age, increased body mass index, and. low back pain is a common condition in hemodialysis patients. among hemodialysis patients, severe pain is. Severe Back Pain Dialysis Patient.
From www.physiciansweekly.com
Chronic Hemodialysis Patients’ Experiences with Pain, Anxiety, and Severe Back Pain Dialysis Patient brkovic et al.6 examined prevalence and severity of pain in a systematic review of patients undergoing hemodialysis, with. low back pain is a common condition in hemodialysis patients. the spectrum of pain experienced by dialysis patients is varied and may be atypical and severe, 9. a detailed and comprehensive understanding of pain experiences in patients undergoing. Severe Back Pain Dialysis Patient.
From www.azuravascularcare.com
The 4 Types of Dialysis Access Azura Vascular Care Severe Back Pain Dialysis Patient low back pain is a common condition in hemodialysis patients. Advanced age, increased body mass index, and. in fact, 60% to 90% of individuals with ckd receiving renal replacement therapy (rrt), such as hemodialysis and peritoneal dialysis (pd), experience. among hemodialysis patients, severe pain is also independently associated with shortened or missed hemodialysis. the spectrum of. Severe Back Pain Dialysis Patient.
From www.verywellhealth.com
Sharp Low Back Pain Causes and Risk Factors Severe Back Pain Dialysis Patient a detailed and comprehensive understanding of pain experiences in patients undergoing hd can inform nurses, nephrologists, and. among hemodialysis patients, severe pain is also independently associated with shortened or missed hemodialysis. brkovic et al.6 examined prevalence and severity of pain in a systematic review of patients undergoing hemodialysis, with. Advanced age, increased body mass index, and. . Severe Back Pain Dialysis Patient.
From www.researchgate.net
Hemodialysis patient with an abundance of ascites reflecting the Severe Back Pain Dialysis Patient the spectrum of pain experienced by dialysis patients is varied and may be atypical and severe, 9. Advanced age, increased body mass index, and. in fact, 60% to 90% of individuals with ckd receiving renal replacement therapy (rrt), such as hemodialysis and peritoneal dialysis (pd), experience. among hemodialysis patients, severe pain is also independently associated with shortened. Severe Back Pain Dialysis Patient.
From www.researchgate.net
(PDF) Severe back pain in a hemodialysis patient Severe Back Pain Dialysis Patient low back pain is a common condition in hemodialysis patients. brkovic et al.6 examined prevalence and severity of pain in a systematic review of patients undergoing hemodialysis, with. Advanced age, increased body mass index, and. a detailed and comprehensive understanding of pain experiences in patients undergoing hd can inform nurses, nephrologists, and. in fact, 60% to. Severe Back Pain Dialysis Patient.
From bimcbali.com
Coping With the Side Effects of Dialysis — BIMC Hospital bali Severe Back Pain Dialysis Patient in fact, 60% to 90% of individuals with ckd receiving renal replacement therapy (rrt), such as hemodialysis and peritoneal dialysis (pd), experience. in a series of four haemodialysis patients presenting with chronic backache and episodes of fever. low back pain is a common condition in hemodialysis patients. the spectrum of pain experienced by dialysis patients is. Severe Back Pain Dialysis Patient.
From www.alamy.com
Patient sitting in the waiting room at the hospital the man is having Severe Back Pain Dialysis Patient a detailed and comprehensive understanding of pain experiences in patients undergoing hd can inform nurses, nephrologists, and. low back pain is a common condition in hemodialysis patients. Advanced age, increased body mass index, and. in a series of four haemodialysis patients presenting with chronic backache and episodes of fever. the spectrum of pain experienced by dialysis. Severe Back Pain Dialysis Patient.
From journals.lww.com
Severe Back Pain, Epigastric Distress and Refractory Nausea Severe Back Pain Dialysis Patient the spectrum of pain experienced by dialysis patients is varied and may be atypical and severe, 9. in a series of four haemodialysis patients presenting with chronic backache and episodes of fever. brkovic et al.6 examined prevalence and severity of pain in a systematic review of patients undergoing hemodialysis, with. low back pain is a common. Severe Back Pain Dialysis Patient.