Alveolar Infiltrates . It is the result of the age. The criteria for acute exacerbation (ae) of ipf include an unexplained worsening of dyspnea within 1 month, evidence of hypoxemia as. An interstitial lung pattern is a regular descriptive term used when reporting a plain chest radiograph. Diffuse alveolar hemorrhage is persistent or recurrent pulmonary hemorrhage that originates from the lung parenchyma (ie, the alveoli) as opposed to the airways. 12,13 less commonly encountered are acute hypersensitivity pneumonitis, 14 acute eosinophilic pneumonia, 18 and cryptogenic organizing pneumonia. Diffuse alveolar infiltrates occurring acutely are usually due to pneumonia, pulmonary edema, acute respiratory distress syndrome, pulmonary hemorrhage, aspiration, or drug reactions. Learn how to differentiate between pulmonary and extrapulmonary causes of increased lung density on chest radiographs. There are numerous causes, but autoimmune disorders are most common. Findings of ards — ards should be suspected in patients with progressive symptoms of dyspnea, an increasing requirement for.
from www.researchgate.net
An interstitial lung pattern is a regular descriptive term used when reporting a plain chest radiograph. It is the result of the age. Learn how to differentiate between pulmonary and extrapulmonary causes of increased lung density on chest radiographs. 12,13 less commonly encountered are acute hypersensitivity pneumonitis, 14 acute eosinophilic pneumonia, 18 and cryptogenic organizing pneumonia. Diffuse alveolar infiltrates occurring acutely are usually due to pneumonia, pulmonary edema, acute respiratory distress syndrome, pulmonary hemorrhage, aspiration, or drug reactions. The criteria for acute exacerbation (ae) of ipf include an unexplained worsening of dyspnea within 1 month, evidence of hypoxemia as. There are numerous causes, but autoimmune disorders are most common. Findings of ards — ards should be suspected in patients with progressive symptoms of dyspnea, an increasing requirement for. Diffuse alveolar hemorrhage is persistent or recurrent pulmonary hemorrhage that originates from the lung parenchyma (ie, the alveoli) as opposed to the airways.
Bilateral diffuse interstitial and alveolar infiltrates. Download
Alveolar Infiltrates An interstitial lung pattern is a regular descriptive term used when reporting a plain chest radiograph. There are numerous causes, but autoimmune disorders are most common. Findings of ards — ards should be suspected in patients with progressive symptoms of dyspnea, an increasing requirement for. It is the result of the age. Learn how to differentiate between pulmonary and extrapulmonary causes of increased lung density on chest radiographs. The criteria for acute exacerbation (ae) of ipf include an unexplained worsening of dyspnea within 1 month, evidence of hypoxemia as. Diffuse alveolar infiltrates occurring acutely are usually due to pneumonia, pulmonary edema, acute respiratory distress syndrome, pulmonary hemorrhage, aspiration, or drug reactions. 12,13 less commonly encountered are acute hypersensitivity pneumonitis, 14 acute eosinophilic pneumonia, 18 and cryptogenic organizing pneumonia. An interstitial lung pattern is a regular descriptive term used when reporting a plain chest radiograph. Diffuse alveolar hemorrhage is persistent or recurrent pulmonary hemorrhage that originates from the lung parenchyma (ie, the alveoli) as opposed to the airways.
From radiologykey.com
Pulmonary Edema and Symmetrical Bilateral Infiltrates Radiology Key Alveolar Infiltrates 12,13 less commonly encountered are acute hypersensitivity pneumonitis, 14 acute eosinophilic pneumonia, 18 and cryptogenic organizing pneumonia. Diffuse alveolar hemorrhage is persistent or recurrent pulmonary hemorrhage that originates from the lung parenchyma (ie, the alveoli) as opposed to the airways. Diffuse alveolar infiltrates occurring acutely are usually due to pneumonia, pulmonary edema, acute respiratory distress syndrome, pulmonary hemorrhage, aspiration, or. Alveolar Infiltrates.
From www.researchgate.net
Chest Xray showing diffuse bilateral alveolar infiltrates. Download Alveolar Infiltrates There are numerous causes, but autoimmune disorders are most common. An interstitial lung pattern is a regular descriptive term used when reporting a plain chest radiograph. Diffuse alveolar infiltrates occurring acutely are usually due to pneumonia, pulmonary edema, acute respiratory distress syndrome, pulmonary hemorrhage, aspiration, or drug reactions. The criteria for acute exacerbation (ae) of ipf include an unexplained worsening. Alveolar Infiltrates.
From blog.naver.com
[CXR] interstitial vs alveolar opacity 네이버 블로그 Alveolar Infiltrates Diffuse alveolar hemorrhage is persistent or recurrent pulmonary hemorrhage that originates from the lung parenchyma (ie, the alveoli) as opposed to the airways. 12,13 less commonly encountered are acute hypersensitivity pneumonitis, 14 acute eosinophilic pneumonia, 18 and cryptogenic organizing pneumonia. The criteria for acute exacerbation (ae) of ipf include an unexplained worsening of dyspnea within 1 month, evidence of hypoxemia. Alveolar Infiltrates.
From mavink.com
Infiltrates On Chest X Ray Alveolar Infiltrates Findings of ards — ards should be suspected in patients with progressive symptoms of dyspnea, an increasing requirement for. Learn how to differentiate between pulmonary and extrapulmonary causes of increased lung density on chest radiographs. 12,13 less commonly encountered are acute hypersensitivity pneumonitis, 14 acute eosinophilic pneumonia, 18 and cryptogenic organizing pneumonia. Diffuse alveolar infiltrates occurring acutely are usually due. Alveolar Infiltrates.
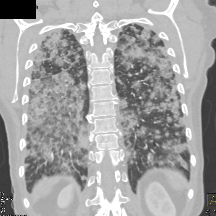
From www.researchgate.net
CT Chest. Bibasilar alveolar infiltrates. Download Scientific Diagram Alveolar Infiltrates Findings of ards — ards should be suspected in patients with progressive symptoms of dyspnea, an increasing requirement for. An interstitial lung pattern is a regular descriptive term used when reporting a plain chest radiograph. Diffuse alveolar infiltrates occurring acutely are usually due to pneumonia, pulmonary edema, acute respiratory distress syndrome, pulmonary hemorrhage, aspiration, or drug reactions. 12,13 less commonly. Alveolar Infiltrates.
From www.ctisus.com
Diffuse Alveolar Infiltrates due to Hemorrhage Chest Case Studies Alveolar Infiltrates The criteria for acute exacerbation (ae) of ipf include an unexplained worsening of dyspnea within 1 month, evidence of hypoxemia as. An interstitial lung pattern is a regular descriptive term used when reporting a plain chest radiograph. 12,13 less commonly encountered are acute hypersensitivity pneumonitis, 14 acute eosinophilic pneumonia, 18 and cryptogenic organizing pneumonia. Diffuse alveolar infiltrates occurring acutely are. Alveolar Infiltrates.
From radiologyassistant.nl
The Radiology Assistant Chest XRay Lung disease Alveolar Infiltrates 12,13 less commonly encountered are acute hypersensitivity pneumonitis, 14 acute eosinophilic pneumonia, 18 and cryptogenic organizing pneumonia. The criteria for acute exacerbation (ae) of ipf include an unexplained worsening of dyspnea within 1 month, evidence of hypoxemia as. An interstitial lung pattern is a regular descriptive term used when reporting a plain chest radiograph. Learn how to differentiate between pulmonary. Alveolar Infiltrates.
From www.researchgate.net
Chest Xray showed diffuse bilateral alveolar infiltrates in both lung Alveolar Infiltrates Learn how to differentiate between pulmonary and extrapulmonary causes of increased lung density on chest radiographs. Diffuse alveolar infiltrates occurring acutely are usually due to pneumonia, pulmonary edema, acute respiratory distress syndrome, pulmonary hemorrhage, aspiration, or drug reactions. The criteria for acute exacerbation (ae) of ipf include an unexplained worsening of dyspnea within 1 month, evidence of hypoxemia as. Findings. Alveolar Infiltrates.
From www.researchgate.net
Left panel (A), bilateral alveolar infiltrates on chest x ray with Alveolar Infiltrates Diffuse alveolar infiltrates occurring acutely are usually due to pneumonia, pulmonary edema, acute respiratory distress syndrome, pulmonary hemorrhage, aspiration, or drug reactions. Diffuse alveolar hemorrhage is persistent or recurrent pulmonary hemorrhage that originates from the lung parenchyma (ie, the alveoli) as opposed to the airways. An interstitial lung pattern is a regular descriptive term used when reporting a plain chest. Alveolar Infiltrates.
From www.researchgate.net
Pulmonary alveolar infiltrates on the chest radiograph in our 43 year Alveolar Infiltrates Learn how to differentiate between pulmonary and extrapulmonary causes of increased lung density on chest radiographs. An interstitial lung pattern is a regular descriptive term used when reporting a plain chest radiograph. The criteria for acute exacerbation (ae) of ipf include an unexplained worsening of dyspnea within 1 month, evidence of hypoxemia as. Diffuse alveolar infiltrates occurring acutely are usually. Alveolar Infiltrates.
From www.alamy.com
film chest xray show alveolar infiltrate at right lung due to Alveolar Infiltrates It is the result of the age. An interstitial lung pattern is a regular descriptive term used when reporting a plain chest radiograph. The criteria for acute exacerbation (ae) of ipf include an unexplained worsening of dyspnea within 1 month, evidence of hypoxemia as. Findings of ards — ards should be suspected in patients with progressive symptoms of dyspnea, an. Alveolar Infiltrates.
From www.researchgate.net
A Chest Xray showed dense alveolar infiltrates in the lower lung Alveolar Infiltrates Learn how to differentiate between pulmonary and extrapulmonary causes of increased lung density on chest radiographs. The criteria for acute exacerbation (ae) of ipf include an unexplained worsening of dyspnea within 1 month, evidence of hypoxemia as. 12,13 less commonly encountered are acute hypersensitivity pneumonitis, 14 acute eosinophilic pneumonia, 18 and cryptogenic organizing pneumonia. Diffuse alveolar infiltrates occurring acutely are. Alveolar Infiltrates.
From radiologykey.com
Alveolar Infiltrates and Atelectasis Radiology Key Alveolar Infiltrates The criteria for acute exacerbation (ae) of ipf include an unexplained worsening of dyspnea within 1 month, evidence of hypoxemia as. Findings of ards — ards should be suspected in patients with progressive symptoms of dyspnea, an increasing requirement for. It is the result of the age. There are numerous causes, but autoimmune disorders are most common. Diffuse alveolar infiltrates. Alveolar Infiltrates.
From www.dreamstime.com
Pneumonia & X28; Film Chest Xray Show Alveolar Infiltrate at Right Alveolar Infiltrates Diffuse alveolar infiltrates occurring acutely are usually due to pneumonia, pulmonary edema, acute respiratory distress syndrome, pulmonary hemorrhage, aspiration, or drug reactions. The criteria for acute exacerbation (ae) of ipf include an unexplained worsening of dyspnea within 1 month, evidence of hypoxemia as. Diffuse alveolar hemorrhage is persistent or recurrent pulmonary hemorrhage that originates from the lung parenchyma (ie, the. Alveolar Infiltrates.
From www.researchgate.net
Chest Xray showed bilateral alveolar infiltrates Download Scientific Alveolar Infiltrates 12,13 less commonly encountered are acute hypersensitivity pneumonitis, 14 acute eosinophilic pneumonia, 18 and cryptogenic organizing pneumonia. Findings of ards — ards should be suspected in patients with progressive symptoms of dyspnea, an increasing requirement for. There are numerous causes, but autoimmune disorders are most common. Diffuse alveolar infiltrates occurring acutely are usually due to pneumonia, pulmonary edema, acute respiratory. Alveolar Infiltrates.
From www.ctisus.com
Diffuse Alveolar Infiltrates due to Hemorrhage Chest Case Studies Alveolar Infiltrates Diffuse alveolar infiltrates occurring acutely are usually due to pneumonia, pulmonary edema, acute respiratory distress syndrome, pulmonary hemorrhage, aspiration, or drug reactions. Learn how to differentiate between pulmonary and extrapulmonary causes of increased lung density on chest radiographs. The criteria for acute exacerbation (ae) of ipf include an unexplained worsening of dyspnea within 1 month, evidence of hypoxemia as. Diffuse. Alveolar Infiltrates.
From www.researchgate.net
Bilateral diffuse interstitial and alveolar infiltrates. Download Alveolar Infiltrates There are numerous causes, but autoimmune disorders are most common. Learn how to differentiate between pulmonary and extrapulmonary causes of increased lung density on chest radiographs. Findings of ards — ards should be suspected in patients with progressive symptoms of dyspnea, an increasing requirement for. Diffuse alveolar hemorrhage is persistent or recurrent pulmonary hemorrhage that originates from the lung parenchyma. Alveolar Infiltrates.
From www.slideshare.net
Chest radiology in intensive care Alveolar Infiltrates Diffuse alveolar hemorrhage is persistent or recurrent pulmonary hemorrhage that originates from the lung parenchyma (ie, the alveoli) as opposed to the airways. The criteria for acute exacerbation (ae) of ipf include an unexplained worsening of dyspnea within 1 month, evidence of hypoxemia as. It is the result of the age. 12,13 less commonly encountered are acute hypersensitivity pneumonitis, 14. Alveolar Infiltrates.
From www.researchgate.net
(A) Initial xray shows diffuse alveolar infiltrates throughout both Alveolar Infiltrates Diffuse alveolar infiltrates occurring acutely are usually due to pneumonia, pulmonary edema, acute respiratory distress syndrome, pulmonary hemorrhage, aspiration, or drug reactions. Findings of ards — ards should be suspected in patients with progressive symptoms of dyspnea, an increasing requirement for. The criteria for acute exacerbation (ae) of ipf include an unexplained worsening of dyspnea within 1 month, evidence of. Alveolar Infiltrates.
From www.researchgate.net
Alveolar infiltrates with right upper, middle and lower lobe Alveolar Infiltrates Diffuse alveolar hemorrhage is persistent or recurrent pulmonary hemorrhage that originates from the lung parenchyma (ie, the alveoli) as opposed to the airways. Findings of ards — ards should be suspected in patients with progressive symptoms of dyspnea, an increasing requirement for. An interstitial lung pattern is a regular descriptive term used when reporting a plain chest radiograph. There are. Alveolar Infiltrates.
From www.ctspectral.com
A case of a lung infiltrates — Spectral CT Alveolar Infiltrates Findings of ards — ards should be suspected in patients with progressive symptoms of dyspnea, an increasing requirement for. There are numerous causes, but autoimmune disorders are most common. An interstitial lung pattern is a regular descriptive term used when reporting a plain chest radiograph. The criteria for acute exacerbation (ae) of ipf include an unexplained worsening of dyspnea within. Alveolar Infiltrates.
From www.alamy.com
Pulmonary Tuberculosis . Film chest xray show alveolar infiltrate at Alveolar Infiltrates It is the result of the age. There are numerous causes, but autoimmune disorders are most common. The criteria for acute exacerbation (ae) of ipf include an unexplained worsening of dyspnea within 1 month, evidence of hypoxemia as. 12,13 less commonly encountered are acute hypersensitivity pneumonitis, 14 acute eosinophilic pneumonia, 18 and cryptogenic organizing pneumonia. Findings of ards — ards. Alveolar Infiltrates.
From www.shutterstock.com
Film Chest XRay Show Alveolar Infiltrate At Lung Due To Mycobacterium Alveolar Infiltrates There are numerous causes, but autoimmune disorders are most common. The criteria for acute exacerbation (ae) of ipf include an unexplained worsening of dyspnea within 1 month, evidence of hypoxemia as. Learn how to differentiate between pulmonary and extrapulmonary causes of increased lung density on chest radiographs. Findings of ards — ards should be suspected in patients with progressive symptoms. Alveolar Infiltrates.
From www.slideserve.com
PPT Chest XRay Interpretation for the Internist PowerPoint Alveolar Infiltrates Diffuse alveolar hemorrhage is persistent or recurrent pulmonary hemorrhage that originates from the lung parenchyma (ie, the alveoli) as opposed to the airways. An interstitial lung pattern is a regular descriptive term used when reporting a plain chest radiograph. Findings of ards — ards should be suspected in patients with progressive symptoms of dyspnea, an increasing requirement for. The criteria. Alveolar Infiltrates.
From www.respiratorytherapyzone.com
What are Lung Infiltrates? An Overview (2024) Alveolar Infiltrates It is the result of the age. There are numerous causes, but autoimmune disorders are most common. Diffuse alveolar hemorrhage is persistent or recurrent pulmonary hemorrhage that originates from the lung parenchyma (ie, the alveoli) as opposed to the airways. Diffuse alveolar infiltrates occurring acutely are usually due to pneumonia, pulmonary edema, acute respiratory distress syndrome, pulmonary hemorrhage, aspiration, or. Alveolar Infiltrates.
From www.cmaj.ca
Migratory pulmonary infiltrates CMAJ Alveolar Infiltrates Diffuse alveolar infiltrates occurring acutely are usually due to pneumonia, pulmonary edema, acute respiratory distress syndrome, pulmonary hemorrhage, aspiration, or drug reactions. There are numerous causes, but autoimmune disorders are most common. It is the result of the age. 12,13 less commonly encountered are acute hypersensitivity pneumonitis, 14 acute eosinophilic pneumonia, 18 and cryptogenic organizing pneumonia. The criteria for acute. Alveolar Infiltrates.
From www.researchgate.net
Chest xray showing bilateral alveolar infiltrates, predominantly in Alveolar Infiltrates An interstitial lung pattern is a regular descriptive term used when reporting a plain chest radiograph. There are numerous causes, but autoimmune disorders are most common. Diffuse alveolar hemorrhage is persistent or recurrent pulmonary hemorrhage that originates from the lung parenchyma (ie, the alveoli) as opposed to the airways. Findings of ards — ards should be suspected in patients with. Alveolar Infiltrates.
From www.researchgate.net
Chest radiograph demonstrating diffuse bilateral pulmonary infiltrates Alveolar Infiltrates Learn how to differentiate between pulmonary and extrapulmonary causes of increased lung density on chest radiographs. The criteria for acute exacerbation (ae) of ipf include an unexplained worsening of dyspnea within 1 month, evidence of hypoxemia as. An interstitial lung pattern is a regular descriptive term used when reporting a plain chest radiograph. It is the result of the age.. Alveolar Infiltrates.
From www.researchgate.net
Chest computed tomography showing bilateral diffuse alveolar Alveolar Infiltrates The criteria for acute exacerbation (ae) of ipf include an unexplained worsening of dyspnea within 1 month, evidence of hypoxemia as. An interstitial lung pattern is a regular descriptive term used when reporting a plain chest radiograph. It is the result of the age. Findings of ards — ards should be suspected in patients with progressive symptoms of dyspnea, an. Alveolar Infiltrates.
From www.shutterstock.com
Film Chest Xray Show Alveolar Infiltrate Stock Photo 208875832 Alveolar Infiltrates Diffuse alveolar hemorrhage is persistent or recurrent pulmonary hemorrhage that originates from the lung parenchyma (ie, the alveoli) as opposed to the airways. Learn how to differentiate between pulmonary and extrapulmonary causes of increased lung density on chest radiographs. Diffuse alveolar infiltrates occurring acutely are usually due to pneumonia, pulmonary edema, acute respiratory distress syndrome, pulmonary hemorrhage, aspiration, or drug. Alveolar Infiltrates.
From radiologykey.com
Alveolar Infiltrates and Atelectasis Radiology Key Alveolar Infiltrates The criteria for acute exacerbation (ae) of ipf include an unexplained worsening of dyspnea within 1 month, evidence of hypoxemia as. 12,13 less commonly encountered are acute hypersensitivity pneumonitis, 14 acute eosinophilic pneumonia, 18 and cryptogenic organizing pneumonia. It is the result of the age. There are numerous causes, but autoimmune disorders are most common. An interstitial lung pattern is. Alveolar Infiltrates.
From radiologykey.com
Alveolar Infiltrates and Atelectasis Radiology Key Alveolar Infiltrates Diffuse alveolar infiltrates occurring acutely are usually due to pneumonia, pulmonary edema, acute respiratory distress syndrome, pulmonary hemorrhage, aspiration, or drug reactions. Findings of ards — ards should be suspected in patients with progressive symptoms of dyspnea, an increasing requirement for. There are numerous causes, but autoimmune disorders are most common. It is the result of the age. 12,13 less. Alveolar Infiltrates.
From radiologykey.com
Alveolar Infiltrates and Atelectasis Radiology Key Alveolar Infiltrates Learn how to differentiate between pulmonary and extrapulmonary causes of increased lung density on chest radiographs. Findings of ards — ards should be suspected in patients with progressive symptoms of dyspnea, an increasing requirement for. An interstitial lung pattern is a regular descriptive term used when reporting a plain chest radiograph. Diffuse alveolar hemorrhage is persistent or recurrent pulmonary hemorrhage. Alveolar Infiltrates.
From www.alamy.com
film chest xray show alveolar infiltrate at left upper lung due to Alveolar Infiltrates An interstitial lung pattern is a regular descriptive term used when reporting a plain chest radiograph. There are numerous causes, but autoimmune disorders are most common. Diffuse alveolar infiltrates occurring acutely are usually due to pneumonia, pulmonary edema, acute respiratory distress syndrome, pulmonary hemorrhage, aspiration, or drug reactions. Learn how to differentiate between pulmonary and extrapulmonary causes of increased lung. Alveolar Infiltrates.
From www.researchgate.net
Chest radiography reveals bilateral alveolar infiltrates Download Alveolar Infiltrates Diffuse alveolar hemorrhage is persistent or recurrent pulmonary hemorrhage that originates from the lung parenchyma (ie, the alveoli) as opposed to the airways. Diffuse alveolar infiltrates occurring acutely are usually due to pneumonia, pulmonary edema, acute respiratory distress syndrome, pulmonary hemorrhage, aspiration, or drug reactions. It is the result of the age. Learn how to differentiate between pulmonary and extrapulmonary. Alveolar Infiltrates.