Recombinant Gag Proteins . Gag processing is a highly ordered multistep sequential process that triggers the morphological rearrangement of viral protein structure, which is known as maturation. Several previous reports have clearly demonstrated the strong effectiveness of human immunodeficiency virus (hiv) gag polyprotein. Expression of a retroviral gag protein in mammalian cells leads to the assembly of virus. Recombinant gag and mintt (mintt contained a fragment of hr2, the mper, the gp41. Purification of retroviral gag protein and studying its solution state and assembly properties might provide insights into retroviral assembly. As first shown by campbell and vogt ( 1 ), retroviral gag proteins expressed in bacteria can be readily.
from www.researchgate.net
Several previous reports have clearly demonstrated the strong effectiveness of human immunodeficiency virus (hiv) gag polyprotein. Expression of a retroviral gag protein in mammalian cells leads to the assembly of virus. Gag processing is a highly ordered multistep sequential process that triggers the morphological rearrangement of viral protein structure, which is known as maturation. Recombinant gag and mintt (mintt contained a fragment of hr2, the mper, the gp41. As first shown by campbell and vogt ( 1 ), retroviral gag proteins expressed in bacteria can be readily. Purification of retroviral gag protein and studying its solution state and assembly properties might provide insights into retroviral assembly.
Scheme of the different NDVs expressing HIV Gag protein
Recombinant Gag Proteins Expression of a retroviral gag protein in mammalian cells leads to the assembly of virus. Recombinant gag and mintt (mintt contained a fragment of hr2, the mper, the gp41. Gag processing is a highly ordered multistep sequential process that triggers the morphological rearrangement of viral protein structure, which is known as maturation. Several previous reports have clearly demonstrated the strong effectiveness of human immunodeficiency virus (hiv) gag polyprotein. Expression of a retroviral gag protein in mammalian cells leads to the assembly of virus. Purification of retroviral gag protein and studying its solution state and assembly properties might provide insights into retroviral assembly. As first shown by campbell and vogt ( 1 ), retroviral gag proteins expressed in bacteria can be readily.
From everonlife.com
Protein Everon Life Sciences Recombinant Gag Proteins Purification of retroviral gag protein and studying its solution state and assembly properties might provide insights into retroviral assembly. As first shown by campbell and vogt ( 1 ), retroviral gag proteins expressed in bacteria can be readily. Expression of a retroviral gag protein in mammalian cells leads to the assembly of virus. Several previous reports have clearly demonstrated the. Recombinant Gag Proteins.
From www.researchgate.net
Immunoprecipitation of Gag proteins with antiRSV and antiMHR Recombinant Gag Proteins Gag processing is a highly ordered multistep sequential process that triggers the morphological rearrangement of viral protein structure, which is known as maturation. Recombinant gag and mintt (mintt contained a fragment of hr2, the mper, the gp41. Purification of retroviral gag protein and studying its solution state and assembly properties might provide insights into retroviral assembly. Several previous reports have. Recombinant Gag Proteins.
From www.researchgate.net
Binding of proteins to GAGs. ELISA plates (96 wells) were Recombinant Gag Proteins Several previous reports have clearly demonstrated the strong effectiveness of human immunodeficiency virus (hiv) gag polyprotein. Recombinant gag and mintt (mintt contained a fragment of hr2, the mper, the gp41. Expression of a retroviral gag protein in mammalian cells leads to the assembly of virus. Purification of retroviral gag protein and studying its solution state and assembly properties might provide. Recombinant Gag Proteins.
From www.researchgate.net
Scheme of the different NDVs expressing HIV Gag protein Recombinant Gag Proteins Several previous reports have clearly demonstrated the strong effectiveness of human immunodeficiency virus (hiv) gag polyprotein. As first shown by campbell and vogt ( 1 ), retroviral gag proteins expressed in bacteria can be readily. Purification of retroviral gag protein and studying its solution state and assembly properties might provide insights into retroviral assembly. Gag processing is a highly ordered. Recombinant Gag Proteins.
From www.researchgate.net
(PDF) Development of inhouse ELISA based on gag proteins Recombinant Gag Proteins As first shown by campbell and vogt ( 1 ), retroviral gag proteins expressed in bacteria can be readily. Expression of a retroviral gag protein in mammalian cells leads to the assembly of virus. Purification of retroviral gag protein and studying its solution state and assembly properties might provide insights into retroviral assembly. Recombinant gag and mintt (mintt contained a. Recombinant Gag Proteins.
From www.researchgate.net
Expression of HIV1 gag protein in baculovirus AcCAGgag Recombinant Gag Proteins Gag processing is a highly ordered multistep sequential process that triggers the morphological rearrangement of viral protein structure, which is known as maturation. As first shown by campbell and vogt ( 1 ), retroviral gag proteins expressed in bacteria can be readily. Purification of retroviral gag protein and studying its solution state and assembly properties might provide insights into retroviral. Recombinant Gag Proteins.
From journals.asm.org
TNPO3Mediated Nuclear Entry of the Rous Virus Gag Protein Is Recombinant Gag Proteins Expression of a retroviral gag protein in mammalian cells leads to the assembly of virus. Purification of retroviral gag protein and studying its solution state and assembly properties might provide insights into retroviral assembly. Recombinant gag and mintt (mintt contained a fragment of hr2, the mper, the gp41. Gag processing is a highly ordered multistep sequential process that triggers the. Recombinant Gag Proteins.
From genomax.com.sg
Proteins Genomax Recombinant Gag Proteins Purification of retroviral gag protein and studying its solution state and assembly properties might provide insights into retroviral assembly. Several previous reports have clearly demonstrated the strong effectiveness of human immunodeficiency virus (hiv) gag polyprotein. As first shown by campbell and vogt ( 1 ), retroviral gag proteins expressed in bacteria can be readily. Expression of a retroviral gag protein. Recombinant Gag Proteins.
From www.researchgate.net
MVV gag proteins. (A) The predicted amino acid sequences of Recombinant Gag Proteins Several previous reports have clearly demonstrated the strong effectiveness of human immunodeficiency virus (hiv) gag polyprotein. Expression of a retroviral gag protein in mammalian cells leads to the assembly of virus. Gag processing is a highly ordered multistep sequential process that triggers the morphological rearrangement of viral protein structure, which is known as maturation. Purification of retroviral gag protein and. Recombinant Gag Proteins.
From www.rndsystems.com
HIV1 Gag p24 Histag Protein, CF 11243HV100 R&D Systems Recombinant Gag Proteins Recombinant gag and mintt (mintt contained a fragment of hr2, the mper, the gp41. Expression of a retroviral gag protein in mammalian cells leads to the assembly of virus. As first shown by campbell and vogt ( 1 ), retroviral gag proteins expressed in bacteria can be readily. Several previous reports have clearly demonstrated the strong effectiveness of human immunodeficiency. Recombinant Gag Proteins.
From www.cell.com
Improved alpharetrovirusbased Gag.MS2 particles for efficient and Recombinant Gag Proteins As first shown by campbell and vogt ( 1 ), retroviral gag proteins expressed in bacteria can be readily. Several previous reports have clearly demonstrated the strong effectiveness of human immunodeficiency virus (hiv) gag polyprotein. Gag processing is a highly ordered multistep sequential process that triggers the morphological rearrangement of viral protein structure, which is known as maturation. Purification of. Recombinant Gag Proteins.
From epitogenx.com
Proteins EpitogenX Recombinant Gag Proteins Gag processing is a highly ordered multistep sequential process that triggers the morphological rearrangement of viral protein structure, which is known as maturation. Purification of retroviral gag protein and studying its solution state and assembly properties might provide insights into retroviral assembly. Expression of a retroviral gag protein in mammalian cells leads to the assembly of virus. As first shown. Recombinant Gag Proteins.
From www.researchgate.net
a Translation of HIV Gag and Pol genes produces two large polyproteins Recombinant Gag Proteins Purification of retroviral gag protein and studying its solution state and assembly properties might provide insights into retroviral assembly. Gag processing is a highly ordered multistep sequential process that triggers the morphological rearrangement of viral protein structure, which is known as maturation. Several previous reports have clearly demonstrated the strong effectiveness of human immunodeficiency virus (hiv) gag polyprotein. As first. Recombinant Gag Proteins.
From www.researchgate.net
Azidoxyloside 1 hijacks GAG biosynthesis to produce GAGs Recombinant Gag Proteins Recombinant gag and mintt (mintt contained a fragment of hr2, the mper, the gp41. Several previous reports have clearly demonstrated the strong effectiveness of human immunodeficiency virus (hiv) gag polyprotein. Gag processing is a highly ordered multistep sequential process that triggers the morphological rearrangement of viral protein structure, which is known as maturation. Expression of a retroviral gag protein in. Recombinant Gag Proteins.
From www.mdpi.com
IJMS Free FullText The HIV1 Gag Protein Displays Extensive Recombinant Gag Proteins Expression of a retroviral gag protein in mammalian cells leads to the assembly of virus. As first shown by campbell and vogt ( 1 ), retroviral gag proteins expressed in bacteria can be readily. Several previous reports have clearly demonstrated the strong effectiveness of human immunodeficiency virus (hiv) gag polyprotein. Purification of retroviral gag protein and studying its solution state. Recombinant Gag Proteins.
From blog.crownbio.com
Introduction to Proteins Recombinant Gag Proteins Purification of retroviral gag protein and studying its solution state and assembly properties might provide insights into retroviral assembly. Recombinant gag and mintt (mintt contained a fragment of hr2, the mper, the gp41. Several previous reports have clearly demonstrated the strong effectiveness of human immunodeficiency virus (hiv) gag polyprotein. As first shown by campbell and vogt ( 1 ), retroviral. Recombinant Gag Proteins.
From www.researchgate.net
Manifold actions of GAGs on Wnt signaling. Several Wnt activators and Recombinant Gag Proteins Recombinant gag and mintt (mintt contained a fragment of hr2, the mper, the gp41. Purification of retroviral gag protein and studying its solution state and assembly properties might provide insights into retroviral assembly. Several previous reports have clearly demonstrated the strong effectiveness of human immunodeficiency virus (hiv) gag polyprotein. Expression of a retroviral gag protein in mammalian cells leads to. Recombinant Gag Proteins.
From www.slideserve.com
PPT Introduction to Retroviruses PowerPoint Presentation ID6150791 Recombinant Gag Proteins Several previous reports have clearly demonstrated the strong effectiveness of human immunodeficiency virus (hiv) gag polyprotein. Recombinant gag and mintt (mintt contained a fragment of hr2, the mper, the gp41. Expression of a retroviral gag protein in mammalian cells leads to the assembly of virus. As first shown by campbell and vogt ( 1 ), retroviral gag proteins expressed in. Recombinant Gag Proteins.
From www.researchgate.net
The E163 protein is a GAG binding protein. (A) Alignment of the amino Recombinant Gag Proteins Several previous reports have clearly demonstrated the strong effectiveness of human immunodeficiency virus (hiv) gag polyprotein. Recombinant gag and mintt (mintt contained a fragment of hr2, the mper, the gp41. Gag processing is a highly ordered multistep sequential process that triggers the morphological rearrangement of viral protein structure, which is known as maturation. Purification of retroviral gag protein and studying. Recombinant Gag Proteins.
From www.researchgate.net
Structure of the Gag protein and MGag chimeras. (A) Structure of the Recombinant Gag Proteins As first shown by campbell and vogt ( 1 ), retroviral gag proteins expressed in bacteria can be readily. Several previous reports have clearly demonstrated the strong effectiveness of human immunodeficiency virus (hiv) gag polyprotein. Purification of retroviral gag protein and studying its solution state and assembly properties might provide insights into retroviral assembly. Recombinant gag and mintt (mintt contained. Recombinant Gag Proteins.
From www.researchgate.net
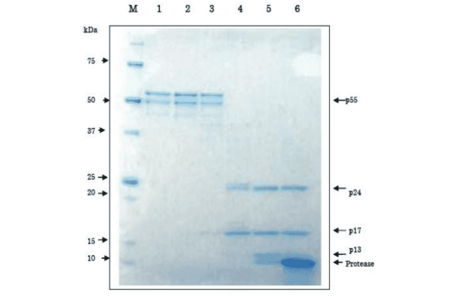
SDSpolyacrylamide gel images from purification of Recombinant Gag Proteins Several previous reports have clearly demonstrated the strong effectiveness of human immunodeficiency virus (hiv) gag polyprotein. As first shown by campbell and vogt ( 1 ), retroviral gag proteins expressed in bacteria can be readily. Expression of a retroviral gag protein in mammalian cells leads to the assembly of virus. Recombinant gag and mintt (mintt contained a fragment of hr2,. Recombinant Gag Proteins.
From www.researchgate.net
Strategies for modifying the Gag protein for mRNA delivery by VLPs. A Recombinant Gag Proteins Several previous reports have clearly demonstrated the strong effectiveness of human immunodeficiency virus (hiv) gag polyprotein. Expression of a retroviral gag protein in mammalian cells leads to the assembly of virus. As first shown by campbell and vogt ( 1 ), retroviral gag proteins expressed in bacteria can be readily. Recombinant gag and mintt (mintt contained a fragment of hr2,. Recombinant Gag Proteins.
From www.spandidos-publications.com
An albumin‑binding domain and targeting peptide‑based Recombinant Gag Proteins As first shown by campbell and vogt ( 1 ), retroviral gag proteins expressed in bacteria can be readily. Recombinant gag and mintt (mintt contained a fragment of hr2, the mper, the gp41. Several previous reports have clearly demonstrated the strong effectiveness of human immunodeficiency virus (hiv) gag polyprotein. Purification of retroviral gag protein and studying its solution state and. Recombinant Gag Proteins.
From www.youtube.com
GAG Protein Interaction YouTube Recombinant Gag Proteins Recombinant gag and mintt (mintt contained a fragment of hr2, the mper, the gp41. As first shown by campbell and vogt ( 1 ), retroviral gag proteins expressed in bacteria can be readily. Purification of retroviral gag protein and studying its solution state and assembly properties might provide insights into retroviral assembly. Gag processing is a highly ordered multistep sequential. Recombinant Gag Proteins.
From www.researchgate.net
Overview of protein purification and analysis. (A Recombinant Gag Proteins Gag processing is a highly ordered multistep sequential process that triggers the morphological rearrangement of viral protein structure, which is known as maturation. Several previous reports have clearly demonstrated the strong effectiveness of human immunodeficiency virus (hiv) gag polyprotein. Expression of a retroviral gag protein in mammalian cells leads to the assembly of virus. Recombinant gag and mintt (mintt contained. Recombinant Gag Proteins.
From www.pnas.org
Directionality of nucleocytoplasmic transport of the retroviral gag Recombinant Gag Proteins Gag processing is a highly ordered multistep sequential process that triggers the morphological rearrangement of viral protein structure, which is known as maturation. Expression of a retroviral gag protein in mammalian cells leads to the assembly of virus. Several previous reports have clearly demonstrated the strong effectiveness of human immunodeficiency virus (hiv) gag polyprotein. Purification of retroviral gag protein and. Recombinant Gag Proteins.
From journal.frontiersin.org
Frontiers New insights into retroviral GagGag and Gagmembrane Recombinant Gag Proteins Gag processing is a highly ordered multistep sequential process that triggers the morphological rearrangement of viral protein structure, which is known as maturation. Expression of a retroviral gag protein in mammalian cells leads to the assembly of virus. Recombinant gag and mintt (mintt contained a fragment of hr2, the mper, the gp41. Purification of retroviral gag protein and studying its. Recombinant Gag Proteins.
From www.researchgate.net
Expression of Pr77 GagHis6tag fusion protein from AK7 in Recombinant Gag Proteins Purification of retroviral gag protein and studying its solution state and assembly properties might provide insights into retroviral assembly. Expression of a retroviral gag protein in mammalian cells leads to the assembly of virus. Several previous reports have clearly demonstrated the strong effectiveness of human immunodeficiency virus (hiv) gag polyprotein. Gag processing is a highly ordered multistep sequential process that. Recombinant Gag Proteins.
From www.lubio.ch
Proteins Recombinant Gag Proteins Several previous reports have clearly demonstrated the strong effectiveness of human immunodeficiency virus (hiv) gag polyprotein. Expression of a retroviral gag protein in mammalian cells leads to the assembly of virus. Purification of retroviral gag protein and studying its solution state and assembly properties might provide insights into retroviral assembly. As first shown by campbell and vogt ( 1 ),. Recombinant Gag Proteins.
From www.researchgate.net
Bovine lentivirus gag constructs used to produce proteins Recombinant Gag Proteins Purification of retroviral gag protein and studying its solution state and assembly properties might provide insights into retroviral assembly. Gag processing is a highly ordered multistep sequential process that triggers the morphological rearrangement of viral protein structure, which is known as maturation. Recombinant gag and mintt (mintt contained a fragment of hr2, the mper, the gp41. As first shown by. Recombinant Gag Proteins.
From www.bioexplorer.net
Proteins Definition History, Methods & Applications Recombinant Gag Proteins Gag processing is a highly ordered multistep sequential process that triggers the morphological rearrangement of viral protein structure, which is known as maturation. Purification of retroviral gag protein and studying its solution state and assembly properties might provide insights into retroviral assembly. Recombinant gag and mintt (mintt contained a fragment of hr2, the mper, the gp41. Expression of a retroviral. Recombinant Gag Proteins.
From bioservuk.com
2019 nCoV/COVID19 RBD domain of spike protein (S Recombinant Gag Proteins Recombinant gag and mintt (mintt contained a fragment of hr2, the mper, the gp41. Expression of a retroviral gag protein in mammalian cells leads to the assembly of virus. Purification of retroviral gag protein and studying its solution state and assembly properties might provide insights into retroviral assembly. Gag processing is a highly ordered multistep sequential process that triggers the. Recombinant Gag Proteins.
From www.researchgate.net
(A) Use of the selected GAGderived peptides and GAG protein for the Recombinant Gag Proteins Expression of a retroviral gag protein in mammalian cells leads to the assembly of virus. Gag processing is a highly ordered multistep sequential process that triggers the morphological rearrangement of viral protein structure, which is known as maturation. Purification of retroviral gag protein and studying its solution state and assembly properties might provide insights into retroviral assembly. Recombinant gag and. Recombinant Gag Proteins.
From www.researchgate.net
Expression of a FIV fulllength Pr50 Gag His6tag fusion Recombinant Gag Proteins Expression of a retroviral gag protein in mammalian cells leads to the assembly of virus. As first shown by campbell and vogt ( 1 ), retroviral gag proteins expressed in bacteria can be readily. Several previous reports have clearly demonstrated the strong effectiveness of human immunodeficiency virus (hiv) gag polyprotein. Purification of retroviral gag protein and studying its solution state. Recombinant Gag Proteins.
From www.antibodies.com
HIV1 Gag p55 Proteína (A469) Recombinant Gag Proteins Recombinant gag and mintt (mintt contained a fragment of hr2, the mper, the gp41. Expression of a retroviral gag protein in mammalian cells leads to the assembly of virus. Gag processing is a highly ordered multistep sequential process that triggers the morphological rearrangement of viral protein structure, which is known as maturation. Several previous reports have clearly demonstrated the strong. Recombinant Gag Proteins.