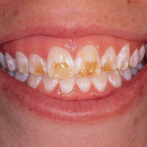
Enamel Microabrasion Opalustre . Opalcups finishing cups are great for micropolishing newly treated enamel surfaces. Ideal for removing superficial white and brown decalcification stains due to enamel mottling from fluorosis, opalustre 6.6% hydrochloric acid slurry. Enamel microabrasion is a procedure in which a microscopic layer of enamel is simultaneously eroded and abraded with a special compound, leaving a perfectly intact enamel surface behind (croll 1991b). Ideal for removing superficial enamel imperfections, mild fluorosis, or demineralization. Many safe combinations of acid and abrasive particles have been developed and marketed, such as 'opalustre' which is a pre. Ideal for removing superficial white and brown decalcification stains due to enamel mottling from fluorosis, opalustre 6.6% hydrochloric acid slurry contains silicon carbide microparticles. This combination provides chemical stain removal along with gentle mechanical abrasion. Description of the step by step technique on how to use opalustre and opalcups from ultradent products for.
from dentagama.com
Ideal for removing superficial enamel imperfections, mild fluorosis, or demineralization. Many safe combinations of acid and abrasive particles have been developed and marketed, such as 'opalustre' which is a pre. Enamel microabrasion is a procedure in which a microscopic layer of enamel is simultaneously eroded and abraded with a special compound, leaving a perfectly intact enamel surface behind (croll 1991b). This combination provides chemical stain removal along with gentle mechanical abrasion. Ideal for removing superficial white and brown decalcification stains due to enamel mottling from fluorosis, opalustre 6.6% hydrochloric acid slurry contains silicon carbide microparticles. Ideal for removing superficial white and brown decalcification stains due to enamel mottling from fluorosis, opalustre 6.6% hydrochloric acid slurry. Opalcups finishing cups are great for micropolishing newly treated enamel surfaces. Description of the step by step technique on how to use opalustre and opalcups from ultradent products for.
Enamel Microabrasion News Dentagama
Enamel Microabrasion Opalustre Ideal for removing superficial enamel imperfections, mild fluorosis, or demineralization. Opalcups finishing cups are great for micropolishing newly treated enamel surfaces. Ideal for removing superficial white and brown decalcification stains due to enamel mottling from fluorosis, opalustre 6.6% hydrochloric acid slurry contains silicon carbide microparticles. Ideal for removing superficial enamel imperfections, mild fluorosis, or demineralization. This combination provides chemical stain removal along with gentle mechanical abrasion. Enamel microabrasion is a procedure in which a microscopic layer of enamel is simultaneously eroded and abraded with a special compound, leaving a perfectly intact enamel surface behind (croll 1991b). Ideal for removing superficial white and brown decalcification stains due to enamel mottling from fluorosis, opalustre 6.6% hydrochloric acid slurry. Many safe combinations of acid and abrasive particles have been developed and marketed, such as 'opalustre' which is a pre. Description of the step by step technique on how to use opalustre and opalcups from ultradent products for.
From optident.co.uk
Opalustre Kit Optident Specialist Dental Products And Courses Enamel Microabrasion Opalustre Ideal for removing superficial white and brown decalcification stains due to enamel mottling from fluorosis, opalustre 6.6% hydrochloric acid slurry contains silicon carbide microparticles. Ideal for removing superficial white and brown decalcification stains due to enamel mottling from fluorosis, opalustre 6.6% hydrochloric acid slurry. Description of the step by step technique on how to use opalustre and opalcups from ultradent. Enamel Microabrasion Opalustre.
From www.pinterest.com
Odontoespacio on Instagram “Repost sfdentalnerd Enamel microabrasion Enamel Microabrasion Opalustre This combination provides chemical stain removal along with gentle mechanical abrasion. Ideal for removing superficial white and brown decalcification stains due to enamel mottling from fluorosis, opalustre 6.6% hydrochloric acid slurry. Ideal for removing superficial enamel imperfections, mild fluorosis, or demineralization. Description of the step by step technique on how to use opalustre and opalcups from ultradent products for. Enamel. Enamel Microabrasion Opalustre.
From optident.co.uk
Opalustre Kit Optident Specialist Dental Products And Courses Enamel Microabrasion Opalustre Many safe combinations of acid and abrasive particles have been developed and marketed, such as 'opalustre' which is a pre. Ideal for removing superficial white and brown decalcification stains due to enamel mottling from fluorosis, opalustre 6.6% hydrochloric acid slurry contains silicon carbide microparticles. Opalcups finishing cups are great for micropolishing newly treated enamel surfaces. This combination provides chemical stain. Enamel Microabrasion Opalustre.
From loecchuso.blob.core.windows.net
Dental Microabrasion Kit at Tabitha Keck blog Enamel Microabrasion Opalustre Opalcups finishing cups are great for micropolishing newly treated enamel surfaces. Enamel microabrasion is a procedure in which a microscopic layer of enamel is simultaneously eroded and abraded with a special compound, leaving a perfectly intact enamel surface behind (croll 1991b). Many safe combinations of acid and abrasive particles have been developed and marketed, such as 'opalustre' which is a. Enamel Microabrasion Opalustre.
From dentagama.com
Enamel Microabrasion News Dentagama Enamel Microabrasion Opalustre Ideal for removing superficial white and brown decalcification stains due to enamel mottling from fluorosis, opalustre 6.6% hydrochloric acid slurry. Opalcups finishing cups are great for micropolishing newly treated enamel surfaces. Ideal for removing superficial white and brown decalcification stains due to enamel mottling from fluorosis, opalustre 6.6% hydrochloric acid slurry contains silicon carbide microparticles. Ideal for removing superficial enamel. Enamel Microabrasion Opalustre.
From nationaldefensepac.org
Figure From Microabrasion In Tooth Enamel Discoloration, 57 OFF Enamel Microabrasion Opalustre Ideal for removing superficial white and brown decalcification stains due to enamel mottling from fluorosis, opalustre 6.6% hydrochloric acid slurry contains silicon carbide microparticles. Ideal for removing superficial enamel imperfections, mild fluorosis, or demineralization. This combination provides chemical stain removal along with gentle mechanical abrasion. Description of the step by step technique on how to use opalustre and opalcups from. Enamel Microabrasion Opalustre.
From en.ultradent.blog
Enamel Microabrasion StepbyStep Technique Enamel Microabrasion Opalustre Enamel microabrasion is a procedure in which a microscopic layer of enamel is simultaneously eroded and abraded with a special compound, leaving a perfectly intact enamel surface behind (croll 1991b). Opalcups finishing cups are great for micropolishing newly treated enamel surfaces. Ideal for removing superficial white and brown decalcification stains due to enamel mottling from fluorosis, opalustre 6.6% hydrochloric acid. Enamel Microabrasion Opalustre.
From www.youtube.com
Case Selection for Enamel Microabrasion YouTube Enamel Microabrasion Opalustre Enamel microabrasion is a procedure in which a microscopic layer of enamel is simultaneously eroded and abraded with a special compound, leaving a perfectly intact enamel surface behind (croll 1991b). Ideal for removing superficial white and brown decalcification stains due to enamel mottling from fluorosis, opalustre 6.6% hydrochloric acid slurry contains silicon carbide microparticles. Ideal for removing superficial enamel imperfections,. Enamel Microabrasion Opalustre.
From en.ultradent.blog
Enamel Microabrasion StepbyStep Technique Enamel Microabrasion Opalustre Ideal for removing superficial white and brown decalcification stains due to enamel mottling from fluorosis, opalustre 6.6% hydrochloric acid slurry. Enamel microabrasion is a procedure in which a microscopic layer of enamel is simultaneously eroded and abraded with a special compound, leaving a perfectly intact enamel surface behind (croll 1991b). Opalcups finishing cups are great for micropolishing newly treated enamel. Enamel Microabrasion Opalustre.
From www.dentistryatpelhampointe.com
MicroAbrasion Greenville SC Teeth Whitening Dental Whitening Enamel Microabrasion Opalustre Many safe combinations of acid and abrasive particles have been developed and marketed, such as 'opalustre' which is a pre. Ideal for removing superficial enamel imperfections, mild fluorosis, or demineralization. Description of the step by step technique on how to use opalustre and opalcups from ultradent products for. Enamel microabrasion is a procedure in which a microscopic layer of enamel. Enamel Microabrasion Opalustre.
From dandal.ir
UltraDent Opalustre Enamel Microabrasion Dandal Enamel Microabrasion Opalustre Enamel microabrasion is a procedure in which a microscopic layer of enamel is simultaneously eroded and abraded with a special compound, leaving a perfectly intact enamel surface behind (croll 1991b). Many safe combinations of acid and abrasive particles have been developed and marketed, such as 'opalustre' which is a pre. This combination provides chemical stain removal along with gentle mechanical. Enamel Microabrasion Opalustre.
From dentagama.com
Enamel Microabrasion News Dentagama Enamel Microabrasion Opalustre Enamel microabrasion is a procedure in which a microscopic layer of enamel is simultaneously eroded and abraded with a special compound, leaving a perfectly intact enamel surface behind (croll 1991b). This combination provides chemical stain removal along with gentle mechanical abrasion. Opalcups finishing cups are great for micropolishing newly treated enamel surfaces. Many safe combinations of acid and abrasive particles. Enamel Microabrasion Opalustre.
From dandal.ir
UltraDent Opalustre Enamel Microabrasion Dandal Enamel Microabrasion Opalustre Description of the step by step technique on how to use opalustre and opalcups from ultradent products for. Ideal for removing superficial white and brown decalcification stains due to enamel mottling from fluorosis, opalustre 6.6% hydrochloric acid slurry contains silicon carbide microparticles. Many safe combinations of acid and abrasive particles have been developed and marketed, such as 'opalustre' which is. Enamel Microabrasion Opalustre.
From www.semanticscholar.org
[PDF] Considerations about enamel microabrasion after 18 years Enamel Microabrasion Opalustre Ideal for removing superficial white and brown decalcification stains due to enamel mottling from fluorosis, opalustre 6.6% hydrochloric acid slurry contains silicon carbide microparticles. This combination provides chemical stain removal along with gentle mechanical abrasion. Ideal for removing superficial enamel imperfections, mild fluorosis, or demineralization. Description of the step by step technique on how to use opalustre and opalcups from. Enamel Microabrasion Opalustre.
From dentagama.com
Enamel Microabrasion News Dentagama Enamel Microabrasion Opalustre Ideal for removing superficial enamel imperfections, mild fluorosis, or demineralization. This combination provides chemical stain removal along with gentle mechanical abrasion. Ideal for removing superficial white and brown decalcification stains due to enamel mottling from fluorosis, opalustre 6.6% hydrochloric acid slurry contains silicon carbide microparticles. Opalcups finishing cups are great for micropolishing newly treated enamel surfaces. Many safe combinations of. Enamel Microabrasion Opalustre.
From loecchuso.blob.core.windows.net
Dental Microabrasion Kit at Tabitha Keck blog Enamel Microabrasion Opalustre Ideal for removing superficial enamel imperfections, mild fluorosis, or demineralization. Many safe combinations of acid and abrasive particles have been developed and marketed, such as 'opalustre' which is a pre. Ideal for removing superficial white and brown decalcification stains due to enamel mottling from fluorosis, opalustre 6.6% hydrochloric acid slurry contains silicon carbide microparticles. Opalcups finishing cups are great for. Enamel Microabrasion Opalustre.
From nationaldefensepac.org
Figure From Microabrasion In Tooth Enamel Discoloration, 57 OFF Enamel Microabrasion Opalustre Description of the step by step technique on how to use opalustre and opalcups from ultradent products for. Many safe combinations of acid and abrasive particles have been developed and marketed, such as 'opalustre' which is a pre. Enamel microabrasion is a procedure in which a microscopic layer of enamel is simultaneously eroded and abraded with a special compound, leaving. Enamel Microabrasion Opalustre.
From dentagama.com
Enamel Microabrasion News Dentagama Enamel Microabrasion Opalustre Enamel microabrasion is a procedure in which a microscopic layer of enamel is simultaneously eroded and abraded with a special compound, leaving a perfectly intact enamel surface behind (croll 1991b). Opalcups finishing cups are great for micropolishing newly treated enamel surfaces. Description of the step by step technique on how to use opalustre and opalcups from ultradent products for. Many. Enamel Microabrasion Opalustre.
From nationaldefensepac.org
Figure From Microabrasion In Tooth Enamel Discoloration, 57 OFF Enamel Microabrasion Opalustre Opalcups finishing cups are great for micropolishing newly treated enamel surfaces. This combination provides chemical stain removal along with gentle mechanical abrasion. Enamel microabrasion is a procedure in which a microscopic layer of enamel is simultaneously eroded and abraded with a special compound, leaving a perfectly intact enamel surface behind (croll 1991b). Ideal for removing superficial white and brown decalcification. Enamel Microabrasion Opalustre.
From dandal.ir
UltraDent Opalustre Enamel Microabrasion Dandal Enamel Microabrasion Opalustre Ideal for removing superficial enamel imperfections, mild fluorosis, or demineralization. Description of the step by step technique on how to use opalustre and opalcups from ultradent products for. This combination provides chemical stain removal along with gentle mechanical abrasion. Opalcups finishing cups are great for micropolishing newly treated enamel surfaces. Ideal for removing superficial white and brown decalcification stains due. Enamel Microabrasion Opalustre.
From dandal.ir
UltraDent Opalustre Enamel Microabrasion Dandal Enamel Microabrasion Opalustre Description of the step by step technique on how to use opalustre and opalcups from ultradent products for. Ideal for removing superficial white and brown decalcification stains due to enamel mottling from fluorosis, opalustre 6.6% hydrochloric acid slurry contains silicon carbide microparticles. Ideal for removing superficial white and brown decalcification stains due to enamel mottling from fluorosis, opalustre 6.6% hydrochloric. Enamel Microabrasion Opalustre.
From www.youtube.com
How To Use Ultradent Opalustre For Fluorosis Treatment YouTube Enamel Microabrasion Opalustre Many safe combinations of acid and abrasive particles have been developed and marketed, such as 'opalustre' which is a pre. Enamel microabrasion is a procedure in which a microscopic layer of enamel is simultaneously eroded and abraded with a special compound, leaving a perfectly intact enamel surface behind (croll 1991b). Description of the step by step technique on how to. Enamel Microabrasion Opalustre.
From dandal.ir
UltraDent Opalustre Enamel Microabrasion Dandal Enamel Microabrasion Opalustre Ideal for removing superficial enamel imperfections, mild fluorosis, or demineralization. Description of the step by step technique on how to use opalustre and opalcups from ultradent products for. Opalcups finishing cups are great for micropolishing newly treated enamel surfaces. This combination provides chemical stain removal along with gentle mechanical abrasion. Enamel microabrasion is a procedure in which a microscopic layer. Enamel Microabrasion Opalustre.
From uniondentalsurgery.com
Microabrasion Case 1 Union Dental Surgery Enamel Microabrasion Opalustre Opalcups finishing cups are great for micropolishing newly treated enamel surfaces. Enamel microabrasion is a procedure in which a microscopic layer of enamel is simultaneously eroded and abraded with a special compound, leaving a perfectly intact enamel surface behind (croll 1991b). This combination provides chemical stain removal along with gentle mechanical abrasion. Ideal for removing superficial enamel imperfections, mild fluorosis,. Enamel Microabrasion Opalustre.
From optident.co.uk
Opalustre Kit Optident Specialist Dental Products And Courses Enamel Microabrasion Opalustre Ideal for removing superficial white and brown decalcification stains due to enamel mottling from fluorosis, opalustre 6.6% hydrochloric acid slurry contains silicon carbide microparticles. Description of the step by step technique on how to use opalustre and opalcups from ultradent products for. Ideal for removing superficial enamel imperfections, mild fluorosis, or demineralization. Enamel microabrasion is a procedure in which a. Enamel Microabrasion Opalustre.
From www.youtube.com
Opalustre by Ultradent with Dr H Seedat YouTube Enamel Microabrasion Opalustre Many safe combinations of acid and abrasive particles have been developed and marketed, such as 'opalustre' which is a pre. Ideal for removing superficial white and brown decalcification stains due to enamel mottling from fluorosis, opalustre 6.6% hydrochloric acid slurry contains silicon carbide microparticles. Opalcups finishing cups are great for micropolishing newly treated enamel surfaces. Ideal for removing superficial enamel. Enamel Microabrasion Opalustre.
From loecchuso.blob.core.windows.net
Dental Microabrasion Kit at Tabitha Keck blog Enamel Microabrasion Opalustre Description of the step by step technique on how to use opalustre and opalcups from ultradent products for. Opalcups finishing cups are great for micropolishing newly treated enamel surfaces. This combination provides chemical stain removal along with gentle mechanical abrasion. Ideal for removing superficial enamel imperfections, mild fluorosis, or demineralization. Many safe combinations of acid and abrasive particles have been. Enamel Microabrasion Opalustre.
From alrezfamilydentistry.com
Enamel Microabrasion in Glen Mills, PA Alrez Family Dentistry Enamel Microabrasion Opalustre Description of the step by step technique on how to use opalustre and opalcups from ultradent products for. Many safe combinations of acid and abrasive particles have been developed and marketed, such as 'opalustre' which is a pre. Ideal for removing superficial white and brown decalcification stains due to enamel mottling from fluorosis, opalustre 6.6% hydrochloric acid slurry. Opalcups finishing. Enamel Microabrasion Opalustre.
From buydental.pk
ULTRADENT OPALUSTRE ENAMEL MICROABRASION SLURRY Buy Dental Enamel Microabrasion Opalustre Many safe combinations of acid and abrasive particles have been developed and marketed, such as 'opalustre' which is a pre. Ideal for removing superficial enamel imperfections, mild fluorosis, or demineralization. Enamel microabrasion is a procedure in which a microscopic layer of enamel is simultaneously eroded and abraded with a special compound, leaving a perfectly intact enamel surface behind (croll 1991b).. Enamel Microabrasion Opalustre.
From www.dailymotion.com
Opalustre Enamel Microabrasion Clinical video by Dr. Sundfled et al Enamel Microabrasion Opalustre Ideal for removing superficial white and brown decalcification stains due to enamel mottling from fluorosis, opalustre 6.6% hydrochloric acid slurry contains silicon carbide microparticles. Enamel microabrasion is a procedure in which a microscopic layer of enamel is simultaneously eroded and abraded with a special compound, leaving a perfectly intact enamel surface behind (croll 1991b). Ideal for removing superficial white and. Enamel Microabrasion Opalustre.
From en.ultradent.blog
Enamel Microabrasion StepbyStep Technique Enamel Microabrasion Opalustre Enamel microabrasion is a procedure in which a microscopic layer of enamel is simultaneously eroded and abraded with a special compound, leaving a perfectly intact enamel surface behind (croll 1991b). Ideal for removing superficial white and brown decalcification stains due to enamel mottling from fluorosis, opalustre 6.6% hydrochloric acid slurry contains silicon carbide microparticles. This combination provides chemical stain removal. Enamel Microabrasion Opalustre.
From www.researchgate.net
Microabrasion procedure. (a) Application of Opalustre microabrasion Enamel Microabrasion Opalustre Ideal for removing superficial enamel imperfections, mild fluorosis, or demineralization. Ideal for removing superficial white and brown decalcification stains due to enamel mottling from fluorosis, opalustre 6.6% hydrochloric acid slurry. Many safe combinations of acid and abrasive particles have been developed and marketed, such as 'opalustre' which is a pre. Description of the step by step technique on how to. Enamel Microabrasion Opalustre.
From www.youtube.com
How To Use Opalustre™ Chemical and Mechanical Abrasion Slurry from Enamel Microabrasion Opalustre Ideal for removing superficial white and brown decalcification stains due to enamel mottling from fluorosis, opalustre 6.6% hydrochloric acid slurry contains silicon carbide microparticles. This combination provides chemical stain removal along with gentle mechanical abrasion. Many safe combinations of acid and abrasive particles have been developed and marketed, such as 'opalustre' which is a pre. Ideal for removing superficial enamel. Enamel Microabrasion Opalustre.
From alrezfamilydentistry.com
Enamel Microabrasion in Glen Mills, PA Alrez Family Dentistry Enamel Microabrasion Opalustre Description of the step by step technique on how to use opalustre and opalcups from ultradent products for. Enamel microabrasion is a procedure in which a microscopic layer of enamel is simultaneously eroded and abraded with a special compound, leaving a perfectly intact enamel surface behind (croll 1991b). Ideal for removing superficial white and brown decalcification stains due to enamel. Enamel Microabrasion Opalustre.
From loecchuso.blob.core.windows.net
Dental Microabrasion Kit at Tabitha Keck blog Enamel Microabrasion Opalustre Ideal for removing superficial enamel imperfections, mild fluorosis, or demineralization. Enamel microabrasion is a procedure in which a microscopic layer of enamel is simultaneously eroded and abraded with a special compound, leaving a perfectly intact enamel surface behind (croll 1991b). Many safe combinations of acid and abrasive particles have been developed and marketed, such as 'opalustre' which is a pre.. Enamel Microabrasion Opalustre.