What Is Brain Segmentation . Manual segmentation is an essential tool in the researcher's technical arsenal. In this paper we review the most popular methods commonly used for brain mri segmentation. We highlight differences between them and discuss. The proposed deep learning model is designed to perform two tasks, brain tissue segmentation and brain structural segmentation,. The study outlines the literature review of different publicly available segmentation methodologies that are. In brain mri analysis, image segmentation is commonly used for measuring and visualizing the brain's anatomical structures, for analyzing brain. Accurate and consistent segmentation of target brain regions or tumors from the surrounding tissues using the mr images is crucial for clinical. It is a frequent practice necessary for image analysis in.
from www.statcan.gc.ca
It is a frequent practice necessary for image analysis in. In this paper we review the most popular methods commonly used for brain mri segmentation. Manual segmentation is an essential tool in the researcher's technical arsenal. The study outlines the literature review of different publicly available segmentation methodologies that are. We highlight differences between them and discuss. In brain mri analysis, image segmentation is commonly used for measuring and visualizing the brain's anatomical structures, for analyzing brain. Accurate and consistent segmentation of target brain regions or tumors from the surrounding tissues using the mr images is crucial for clinical. The proposed deep learning model is designed to perform two tasks, brain tissue segmentation and brain structural segmentation,.
Image Segmentation in Medical Imaging
What Is Brain Segmentation In brain mri analysis, image segmentation is commonly used for measuring and visualizing the brain's anatomical structures, for analyzing brain. Accurate and consistent segmentation of target brain regions or tumors from the surrounding tissues using the mr images is crucial for clinical. In brain mri analysis, image segmentation is commonly used for measuring and visualizing the brain's anatomical structures, for analyzing brain. In this paper we review the most popular methods commonly used for brain mri segmentation. It is a frequent practice necessary for image analysis in. We highlight differences between them and discuss. The proposed deep learning model is designed to perform two tasks, brain tissue segmentation and brain structural segmentation,. The study outlines the literature review of different publicly available segmentation methodologies that are. Manual segmentation is an essential tool in the researcher's technical arsenal.
From www.researchgate.net
Overview of brain segmentation in 47 volumes of interest, overlying the What Is Brain Segmentation We highlight differences between them and discuss. Accurate and consistent segmentation of target brain regions or tumors from the surrounding tissues using the mr images is crucial for clinical. The proposed deep learning model is designed to perform two tasks, brain tissue segmentation and brain structural segmentation,. In this paper we review the most popular methods commonly used for brain. What Is Brain Segmentation.
From www.researchgate.net
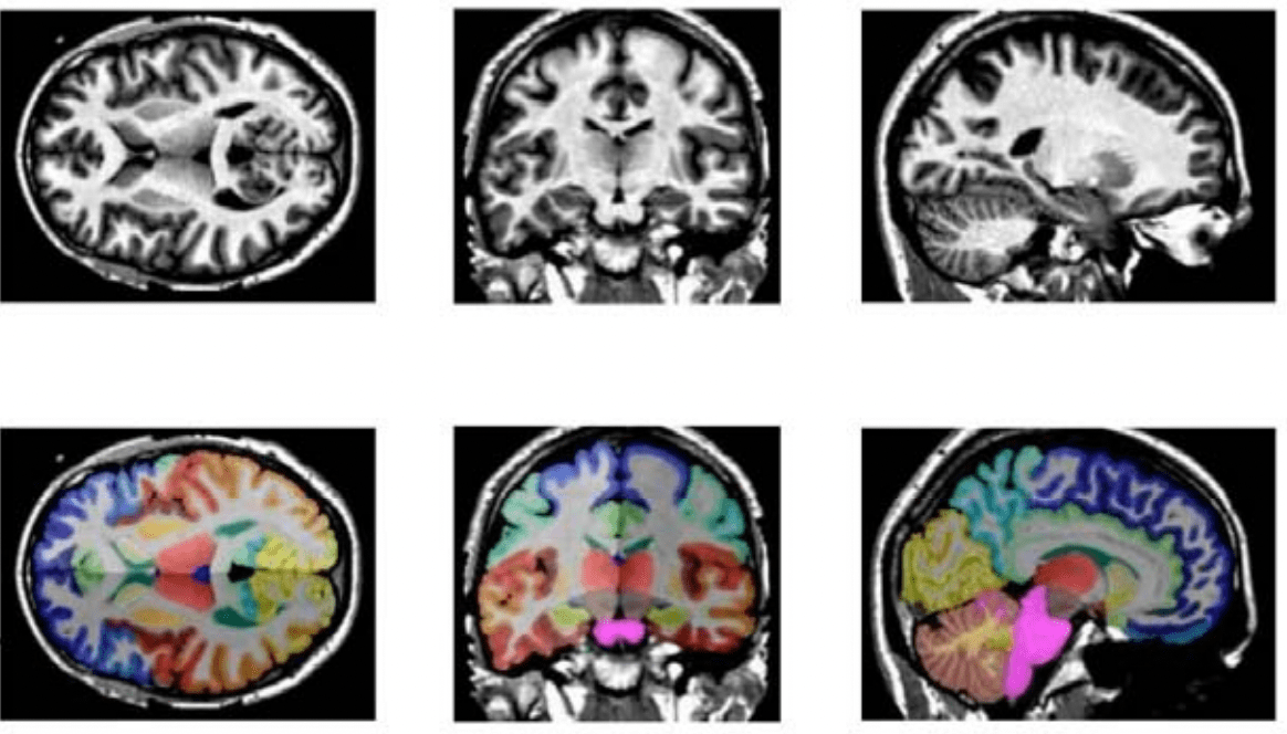
8 Automated tissue segmentation and anatomical brain parsing. ( a What Is Brain Segmentation Accurate and consistent segmentation of target brain regions or tumors from the surrounding tissues using the mr images is crucial for clinical. It is a frequent practice necessary for image analysis in. The study outlines the literature review of different publicly available segmentation methodologies that are. The proposed deep learning model is designed to perform two tasks, brain tissue segmentation. What Is Brain Segmentation.
From paperswithcode.com
Brain MRI segmentation Benchmark (Brain Segmentation) Papers With Code What Is Brain Segmentation Accurate and consistent segmentation of target brain regions or tumors from the surrounding tissues using the mr images is crucial for clinical. The study outlines the literature review of different publicly available segmentation methodologies that are. In this paper we review the most popular methods commonly used for brain mri segmentation. Manual segmentation is an essential tool in the researcher's. What Is Brain Segmentation.
From coordstudenti.blogspot.com
Diagram of Human Brain System Health Images Reference What Is Brain Segmentation We highlight differences between them and discuss. It is a frequent practice necessary for image analysis in. The proposed deep learning model is designed to perform two tasks, brain tissue segmentation and brain structural segmentation,. In brain mri analysis, image segmentation is commonly used for measuring and visualizing the brain's anatomical structures, for analyzing brain. The study outlines the literature. What Is Brain Segmentation.
From www.jove.com
Wholebrain Segmentation and Changepoint Analysis of Anatomical Brain What Is Brain Segmentation We highlight differences between them and discuss. It is a frequent practice necessary for image analysis in. In brain mri analysis, image segmentation is commonly used for measuring and visualizing the brain's anatomical structures, for analyzing brain. In this paper we review the most popular methods commonly used for brain mri segmentation. Accurate and consistent segmentation of target brain regions. What Is Brain Segmentation.
From www.researchgate.net
An example of the brain MRI segmentation with an original MR image (a What Is Brain Segmentation The proposed deep learning model is designed to perform two tasks, brain tissue segmentation and brain structural segmentation,. We highlight differences between them and discuss. The study outlines the literature review of different publicly available segmentation methodologies that are. In brain mri analysis, image segmentation is commonly used for measuring and visualizing the brain's anatomical structures, for analyzing brain. Manual. What Is Brain Segmentation.
From adstea.com
Brain image segmentation with torch What Is Brain Segmentation The proposed deep learning model is designed to perform two tasks, brain tissue segmentation and brain structural segmentation,. It is a frequent practice necessary for image analysis in. We highlight differences between them and discuss. In brain mri analysis, image segmentation is commonly used for measuring and visualizing the brain's anatomical structures, for analyzing brain. Accurate and consistent segmentation of. What Is Brain Segmentation.
From wisuru.com
Parts Of The Human Brain And Their Functions WISURU What Is Brain Segmentation Manual segmentation is an essential tool in the researcher's technical arsenal. In brain mri analysis, image segmentation is commonly used for measuring and visualizing the brain's anatomical structures, for analyzing brain. The study outlines the literature review of different publicly available segmentation methodologies that are. The proposed deep learning model is designed to perform two tasks, brain tissue segmentation and. What Is Brain Segmentation.
From www.researchgate.net
Segmentation of brain structures (manual refinement of automatic What Is Brain Segmentation Accurate and consistent segmentation of target brain regions or tumors from the surrounding tissues using the mr images is crucial for clinical. The study outlines the literature review of different publicly available segmentation methodologies that are. In brain mri analysis, image segmentation is commonly used for measuring and visualizing the brain's anatomical structures, for analyzing brain. Manual segmentation is an. What Is Brain Segmentation.
From www.turbosquid.com
Brain anatomical segments 3D model TurboSquid 1383516 What Is Brain Segmentation In brain mri analysis, image segmentation is commonly used for measuring and visualizing the brain's anatomical structures, for analyzing brain. We highlight differences between them and discuss. In this paper we review the most popular methods commonly used for brain mri segmentation. It is a frequent practice necessary for image analysis in. Manual segmentation is an essential tool in the. What Is Brain Segmentation.
From www.researchgate.net
Example of longitudinal brain segmentation on 2D PD/T2weighted images What Is Brain Segmentation Accurate and consistent segmentation of target brain regions or tumors from the surrounding tissues using the mr images is crucial for clinical. The study outlines the literature review of different publicly available segmentation methodologies that are. In this paper we review the most popular methods commonly used for brain mri segmentation. The proposed deep learning model is designed to perform. What Is Brain Segmentation.
From www.researchgate.net
Brain tissue segmentation, of one slice in one healthy subject, at both What Is Brain Segmentation In this paper we review the most popular methods commonly used for brain mri segmentation. The proposed deep learning model is designed to perform two tasks, brain tissue segmentation and brain structural segmentation,. In brain mri analysis, image segmentation is commonly used for measuring and visualizing the brain's anatomical structures, for analyzing brain. Accurate and consistent segmentation of target brain. What Is Brain Segmentation.
From www.phiwheel.com
Brain organ controls body function complex PhiWheel What Is Brain Segmentation Accurate and consistent segmentation of target brain regions or tumors from the surrounding tissues using the mr images is crucial for clinical. The proposed deep learning model is designed to perform two tasks, brain tissue segmentation and brain structural segmentation,. Manual segmentation is an essential tool in the researcher's technical arsenal. In brain mri analysis, image segmentation is commonly used. What Is Brain Segmentation.
From www.researchgate.net
Brain image segmentation (a) original T1weighted image; (b) GMM What Is Brain Segmentation Manual segmentation is an essential tool in the researcher's technical arsenal. Accurate and consistent segmentation of target brain regions or tumors from the surrounding tissues using the mr images is crucial for clinical. In brain mri analysis, image segmentation is commonly used for measuring and visualizing the brain's anatomical structures, for analyzing brain. It is a frequent practice necessary for. What Is Brain Segmentation.
From psychology.stackexchange.com
neuroscience What is the difference between brain parcellation and What Is Brain Segmentation Accurate and consistent segmentation of target brain regions or tumors from the surrounding tissues using the mr images is crucial for clinical. It is a frequent practice necessary for image analysis in. The proposed deep learning model is designed to perform two tasks, brain tissue segmentation and brain structural segmentation,. In brain mri analysis, image segmentation is commonly used for. What Is Brain Segmentation.
From www.slideserve.com
PPT Quantitative Brain Structure Analysis on MR Images PowerPoint What Is Brain Segmentation In this paper we review the most popular methods commonly used for brain mri segmentation. The proposed deep learning model is designed to perform two tasks, brain tissue segmentation and brain structural segmentation,. The study outlines the literature review of different publicly available segmentation methodologies that are. It is a frequent practice necessary for image analysis in. Manual segmentation is. What Is Brain Segmentation.
From aimodels.org
Brain MRI Segmentation AI Models What Is Brain Segmentation In this paper we review the most popular methods commonly used for brain mri segmentation. The study outlines the literature review of different publicly available segmentation methodologies that are. We highlight differences between them and discuss. In brain mri analysis, image segmentation is commonly used for measuring and visualizing the brain's anatomical structures, for analyzing brain. The proposed deep learning. What Is Brain Segmentation.
From www.researchgate.net
Example of the brain segmentation for one participant. Different axial What Is Brain Segmentation The proposed deep learning model is designed to perform two tasks, brain tissue segmentation and brain structural segmentation,. We highlight differences between them and discuss. Accurate and consistent segmentation of target brain regions or tumors from the surrounding tissues using the mr images is crucial for clinical. The study outlines the literature review of different publicly available segmentation methodologies that. What Is Brain Segmentation.
From www.statcan.gc.ca
Image Segmentation in Medical Imaging What Is Brain Segmentation In this paper we review the most popular methods commonly used for brain mri segmentation. Accurate and consistent segmentation of target brain regions or tumors from the surrounding tissues using the mr images is crucial for clinical. It is a frequent practice necessary for image analysis in. In brain mri analysis, image segmentation is commonly used for measuring and visualizing. What Is Brain Segmentation.
From www.researchgate.net
3D reconstruction and brain segmentation. (a) Reconstruction of 3D What Is Brain Segmentation Manual segmentation is an essential tool in the researcher's technical arsenal. We highlight differences between them and discuss. The proposed deep learning model is designed to perform two tasks, brain tissue segmentation and brain structural segmentation,. Accurate and consistent segmentation of target brain regions or tumors from the surrounding tissues using the mr images is crucial for clinical. In this. What Is Brain Segmentation.
From www.pnas.org
Robust machine learning segmentation for largescale analysis of What Is Brain Segmentation It is a frequent practice necessary for image analysis in. The proposed deep learning model is designed to perform two tasks, brain tissue segmentation and brain structural segmentation,. The study outlines the literature review of different publicly available segmentation methodologies that are. Accurate and consistent segmentation of target brain regions or tumors from the surrounding tissues using the mr images. What Is Brain Segmentation.
From bitrefine.group
MRI Segmentation What Is Brain Segmentation In this paper we review the most popular methods commonly used for brain mri segmentation. The study outlines the literature review of different publicly available segmentation methodologies that are. It is a frequent practice necessary for image analysis in. The proposed deep learning model is designed to perform two tasks, brain tissue segmentation and brain structural segmentation,. Manual segmentation is. What Is Brain Segmentation.
From www.researchgate.net
The hierarchical tree structure of the brain segmentation. Brain What Is Brain Segmentation Accurate and consistent segmentation of target brain regions or tumors from the surrounding tissues using the mr images is crucial for clinical. It is a frequent practice necessary for image analysis in. We highlight differences between them and discuss. The study outlines the literature review of different publicly available segmentation methodologies that are. The proposed deep learning model is designed. What Is Brain Segmentation.
From www.hopkinsmedicine.org
Brain Anatomy and How the Brain Works Johns Hopkins Medicine What Is Brain Segmentation Manual segmentation is an essential tool in the researcher's technical arsenal. It is a frequent practice necessary for image analysis in. Accurate and consistent segmentation of target brain regions or tumors from the surrounding tissues using the mr images is crucial for clinical. We highlight differences between them and discuss. In brain mri analysis, image segmentation is commonly used for. What Is Brain Segmentation.
From blog.insightdatascience.com
Brain MRI image segmentation using Stacked Denoising Autoencoders by What Is Brain Segmentation The proposed deep learning model is designed to perform two tasks, brain tissue segmentation and brain structural segmentation,. In brain mri analysis, image segmentation is commonly used for measuring and visualizing the brain's anatomical structures, for analyzing brain. Accurate and consistent segmentation of target brain regions or tumors from the surrounding tissues using the mr images is crucial for clinical.. What Is Brain Segmentation.
From www.researchgate.net
Examples of brain segmentation results across the life course (axial What Is Brain Segmentation Accurate and consistent segmentation of target brain regions or tumors from the surrounding tissues using the mr images is crucial for clinical. The study outlines the literature review of different publicly available segmentation methodologies that are. In this paper we review the most popular methods commonly used for brain mri segmentation. The proposed deep learning model is designed to perform. What Is Brain Segmentation.
From www.researchgate.net
The workflow of brain segmentation process with FSL toolbox [53] to What Is Brain Segmentation The study outlines the literature review of different publicly available segmentation methodologies that are. Manual segmentation is an essential tool in the researcher's technical arsenal. It is a frequent practice necessary for image analysis in. We highlight differences between them and discuss. In this paper we review the most popular methods commonly used for brain mri segmentation. Accurate and consistent. What Is Brain Segmentation.
From my.vanderbilt.edu
Deep whole brain segmentation of 7T structural MRI Medicalimage What Is Brain Segmentation In brain mri analysis, image segmentation is commonly used for measuring and visualizing the brain's anatomical structures, for analyzing brain. We highlight differences between them and discuss. Accurate and consistent segmentation of target brain regions or tumors from the surrounding tissues using the mr images is crucial for clinical. The study outlines the literature review of different publicly available segmentation. What Is Brain Segmentation.
From blog.cognifit.com
3 Main Parts of the 3 Pound Human Brain CogniFit What Is Brain Segmentation Accurate and consistent segmentation of target brain regions or tumors from the surrounding tissues using the mr images is crucial for clinical. In brain mri analysis, image segmentation is commonly used for measuring and visualizing the brain's anatomical structures, for analyzing brain. Manual segmentation is an essential tool in the researcher's technical arsenal. In this paper we review the most. What Is Brain Segmentation.
From www.researchgate.net
Whole brain tissue segmentation of unenhanced (a GM/WM; c LV) and What Is Brain Segmentation The proposed deep learning model is designed to perform two tasks, brain tissue segmentation and brain structural segmentation,. In brain mri analysis, image segmentation is commonly used for measuring and visualizing the brain's anatomical structures, for analyzing brain. Accurate and consistent segmentation of target brain regions or tumors from the surrounding tissues using the mr images is crucial for clinical.. What Is Brain Segmentation.
From www.researchgate.net
PFCM segmentation of an MRI brain image Download Scientific Diagram What Is Brain Segmentation In this paper we review the most popular methods commonly used for brain mri segmentation. It is a frequent practice necessary for image analysis in. In brain mri analysis, image segmentation is commonly used for measuring and visualizing the brain's anatomical structures, for analyzing brain. The proposed deep learning model is designed to perform two tasks, brain tissue segmentation and. What Is Brain Segmentation.
From www.gold.ac.uk
MRG Seminar Brain Image Segmentation Goldsmiths, University of London What Is Brain Segmentation Accurate and consistent segmentation of target brain regions or tumors from the surrounding tissues using the mr images is crucial for clinical. In brain mri analysis, image segmentation is commonly used for measuring and visualizing the brain's anatomical structures, for analyzing brain. In this paper we review the most popular methods commonly used for brain mri segmentation. Manual segmentation is. What Is Brain Segmentation.
From www.researchgate.net
A Schematic Representation of Different Stages of Brain Segmentation as What Is Brain Segmentation Manual segmentation is an essential tool in the researcher's technical arsenal. In brain mri analysis, image segmentation is commonly used for measuring and visualizing the brain's anatomical structures, for analyzing brain. The proposed deep learning model is designed to perform two tasks, brain tissue segmentation and brain structural segmentation,. In this paper we review the most popular methods commonly used. What Is Brain Segmentation.
From seeingnoises.wordpress.com
The Brain Concept with Synaesthesia The Syn Moment What Is Brain Segmentation Manual segmentation is an essential tool in the researcher's technical arsenal. It is a frequent practice necessary for image analysis in. We highlight differences between them and discuss. The proposed deep learning model is designed to perform two tasks, brain tissue segmentation and brain structural segmentation,. The study outlines the literature review of different publicly available segmentation methodologies that are.. What Is Brain Segmentation.
From www.researchgate.net
Mohammad SELEEM Professor MD, PhD Psychiatry Tanta University What Is Brain Segmentation The proposed deep learning model is designed to perform two tasks, brain tissue segmentation and brain structural segmentation,. The study outlines the literature review of different publicly available segmentation methodologies that are. We highlight differences between them and discuss. In this paper we review the most popular methods commonly used for brain mri segmentation. In brain mri analysis, image segmentation. What Is Brain Segmentation.