Baby Rattly Chest After Cold . Some children cough, wheeze, get breathless or have a rattly chest during or after a cold. Bronchiolitis is a common chest infection that affects babies and children under 2. A chest infection is worse than a heavy cold and is extremely common, affecting about a third of babies in their first year. You might also hear a rattling. Bronchitis affects the bronchial tubes, while pneumonia affects the lung air sacs. Bronchitis symptoms are pretty distinct: The lingering congestion and mucus. The rattling in your chest. When these symptoms hit, you probably have a feeling that it’s something. Check if you have a chest infection. It is likely to be a virus, in which case your tot should rest at home until. Without treatment, bronchitis can become pneumonia. A wheezy episode during or after a cold is. When to see a doctor. Babies often grunt or make sighing sounds as they breathe, but wheezing is something different.
from www.cureus.com
A chest infection is worse than a heavy cold and is extremely common, affecting about a third of babies in their first year. Bronchitis affects the bronchial tubes, while pneumonia affects the lung air sacs. Without treatment, bronchitis can become pneumonia. Symptoms of bronchitis can be similar to a cold or flu. The rattling in your chest. Bronchiolitis is a common chest infection that affects babies and children under 2. It's usually mild and can be treated at home, but it can be serious. The lingering congestion and mucus. Bronchitis symptoms are pretty distinct: You might also hear a rattling.
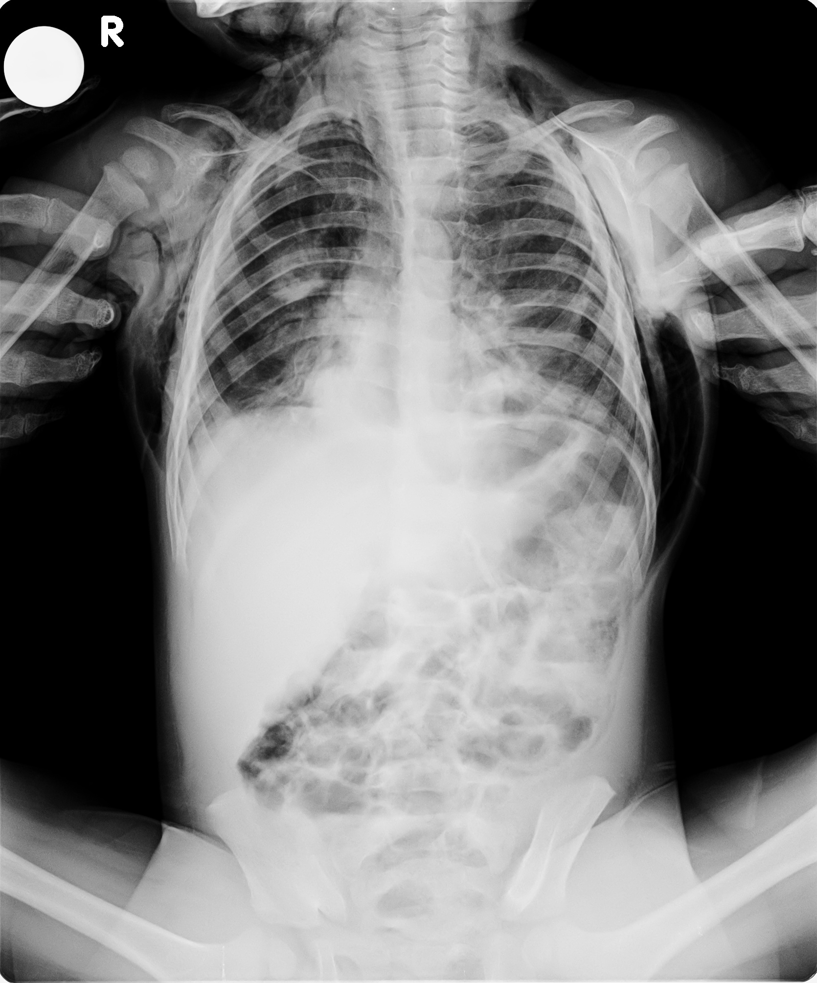
Unexpected Presentation of Tracheoesophageal Fistula During Intubation
Baby Rattly Chest After Cold The rattling in your chest. A chest infection is worse than a heavy cold and is extremely common, affecting about a third of babies in their first year. When to see a doctor. You might also hear a rattling. A wheezy episode during or after a cold is. Bronchiolitis is a common chest infection that affects babies and children under 2. Without treatment, bronchitis can become pneumonia. The rattling in your chest. The lingering congestion and mucus. Some children cough, wheeze, get breathless or have a rattly chest during or after a cold. Some chest infections are mild and clear up on their own, but others can be severe and life threatening. Check if you have a chest infection. Babies often grunt or make sighing sounds as they breathe, but wheezing is something different. Bronchitis affects the bronchial tubes, while pneumonia affects the lung air sacs. Symptoms of bronchitis can be similar to a cold or flu. Bronchitis symptoms are pretty distinct:
From www.littlereefandfriends.co.nz
Mushie Silicone Baby Rattle Dried Thyme Little Reef and Friends Baby Rattly Chest After Cold A chest infection is worse than a heavy cold and is extremely common, affecting about a third of babies in their first year. Some chest infections are mild and clear up on their own, but others can be severe and life threatening. When to see a doctor. Bronchitis symptoms are pretty distinct: Some children cough, wheeze, get breathless or have. Baby Rattly Chest After Cold.
From exoilmzow.blob.core.windows.net
Rattle In Chest When Lying Down at Barbara Kerrick blog Baby Rattly Chest After Cold Bronchitis symptoms are pretty distinct: When these symptoms hit, you probably have a feeling that it’s something. Babies often grunt or make sighing sounds as they breathe, but wheezing is something different. It is likely to be a virus, in which case your tot should rest at home until. A chest infection is worse than a heavy cold and is. Baby Rattly Chest After Cold.
From exozcbtgi.blob.core.windows.net
Rattle In My Baby's Chest at James Trudel blog Baby Rattly Chest After Cold A chest infection is worse than a heavy cold and is extremely common, affecting about a third of babies in their first year. When these symptoms hit, you probably have a feeling that it’s something. Check if you have a chest infection. Some children cough, wheeze, get breathless or have a rattly chest during or after a cold. The rattling. Baby Rattly Chest After Cold.
From www.youtube.com
Infant Respiratory Rate Assessment Pediatric Nursing Skills Newborn Baby Rattly Chest After Cold You might also hear a rattling. A wheezy episode during or after a cold is. It is likely to be a virus, in which case your tot should rest at home until. When to see a doctor. Babies often grunt or make sighing sounds as they breathe, but wheezing is something different. Check if you have a chest infection. A. Baby Rattly Chest After Cold.
From klaiyqced.blob.core.windows.net
Rattling In Chest Cough at Lynn Cavazos blog Baby Rattly Chest After Cold Without treatment, bronchitis can become pneumonia. Some children cough, wheeze, get breathless or have a rattly chest during or after a cold. Check if you have a chest infection. You might also hear a rattling. A chest infection is worse than a heavy cold and is extremely common, affecting about a third of babies in their first year. When to. Baby Rattly Chest After Cold.
From www.pinterest.com
Information on Cold Symptoms and Rattling in a Newborn's Chest Cold Baby Rattly Chest After Cold Bronchitis affects the bronchial tubes, while pneumonia affects the lung air sacs. Without treatment, bronchitis can become pneumonia. Symptoms of bronchitis can be similar to a cold or flu. Bronchiolitis is a common chest infection that affects babies and children under 2. When to see a doctor. Some children cough, wheeze, get breathless or have a rattly chest during or. Baby Rattly Chest After Cold.
From www.youtube.com
How to treat colds in babies YouTube Baby Rattly Chest After Cold When to see a doctor. A wheezy episode during or after a cold is. Symptoms of bronchitis can be similar to a cold or flu. Check if you have a chest infection. When these symptoms hit, you probably have a feeling that it’s something. A chest infection is worse than a heavy cold and is extremely common, affecting about a. Baby Rattly Chest After Cold.
From www.agefotostock.com
Baby rattle, Stock Photo, Picture And Rights Managed Image. Pic. ODI Baby Rattly Chest After Cold Bronchiolitis is a common chest infection that affects babies and children under 2. Check if you have a chest infection. Babies often grunt or make sighing sounds as they breathe, but wheezing is something different. A wheezy episode during or after a cold is. Some chest infections are mild and clear up on their own, but others can be severe. Baby Rattly Chest After Cold.
From klamandmv.blob.core.windows.net
Rattle In Chest After Pneumonia at Lynda Brandon blog Baby Rattly Chest After Cold It is likely to be a virus, in which case your tot should rest at home until. When these symptoms hit, you probably have a feeling that it’s something. It is usually a consistent noise that happens during most breaths in or out. Without treatment, bronchitis can become pneumonia. The rattling in your chest. Bronchiolitis is a common chest infection. Baby Rattly Chest After Cold.
From www.cureus.com
Cureus Positive Impact of Inpatient Respiratory Rehabilitation in a Baby Rattly Chest After Cold A chest infection is worse than a heavy cold and is extremely common, affecting about a third of babies in their first year. The lingering congestion and mucus. The rattling in your chest. Bronchiolitis is a common chest infection that affects babies and children under 2. Some chest infections are mild and clear up on their own, but others can. Baby Rattly Chest After Cold.
From www.pinterest.com
How to provide comfort and healing to your baby using safe home Baby Rattly Chest After Cold The lingering congestion and mucus. The rattling in your chest. A wheezy episode during or after a cold is. Bronchitis symptoms are pretty distinct: When to see a doctor. Symptoms of bronchitis can be similar to a cold or flu. Babies often grunt or make sighing sounds as they breathe, but wheezing is something different. Some chest infections are mild. Baby Rattly Chest After Cold.
From thebusinesstimes.co.uk
Newborn baby given devastating diagnosis after being taken to A&E for Baby Rattly Chest After Cold It is likely to be a virus, in which case your tot should rest at home until. Some children cough, wheeze, get breathless or have a rattly chest during or after a cold. Bronchiolitis is a common chest infection that affects babies and children under 2. When to see a doctor. Babies often grunt or make sighing sounds as they. Baby Rattly Chest After Cold.
From www.cureus.com
Unexpected Presentation of Tracheoesophageal Fistula During Intubation Baby Rattly Chest After Cold Symptoms of bronchitis can be similar to a cold or flu. A chest infection is worse than a heavy cold and is extremely common, affecting about a third of babies in their first year. Check if you have a chest infection. Without treatment, bronchitis can become pneumonia. The rattling in your chest. Bronchitis affects the bronchial tubes, while pneumonia affects. Baby Rattly Chest After Cold.
From www.pinterest.com
7 Home Remedies for Baby Cough and Chest Congestion Baby cough Baby Rattly Chest After Cold Check if you have a chest infection. It is usually a consistent noise that happens during most breaths in or out. When these symptoms hit, you probably have a feeling that it’s something. When to see a doctor. Some children cough, wheeze, get breathless or have a rattly chest during or after a cold. You might also hear a rattling.. Baby Rattly Chest After Cold.
From www.vecteezy.com
Cold Symptoms Kids Flat Infographic Poster 481718 Vector Art at Vecteezy Baby Rattly Chest After Cold When these symptoms hit, you probably have a feeling that it’s something. Bronchitis affects the bronchial tubes, while pneumonia affects the lung air sacs. Bronchiolitis is a common chest infection that affects babies and children under 2. Symptoms of bronchitis can be similar to a cold or flu. Babies often grunt or make sighing sounds as they breathe, but wheezing. Baby Rattly Chest After Cold.
From www.pexels.com
Kostenloses Foto zum Thema baby, baby ratte, babyratten Baby Rattly Chest After Cold Bronchiolitis is a common chest infection that affects babies and children under 2. The lingering congestion and mucus. Some chest infections are mild and clear up on their own, but others can be severe and life threatening. When to see a doctor. Babies often grunt or make sighing sounds as they breathe, but wheezing is something different. When these symptoms. Baby Rattly Chest After Cold.
From itchythroatcough.blogspot.com
Itchy Throat Cough Rattling Chest Cough Baby Rattly Chest After Cold It is usually a consistent noise that happens during most breaths in or out. Bronchitis symptoms are pretty distinct: A chest infection is worse than a heavy cold and is extremely common, affecting about a third of babies in their first year. The rattling in your chest. Some chest infections are mild and clear up on their own, but others. Baby Rattly Chest After Cold.
From klaedqohm.blob.core.windows.net
What To Give Baby For Allergic Reaction Rash at Kent Shadwick blog Baby Rattly Chest After Cold Bronchitis affects the bronchial tubes, while pneumonia affects the lung air sacs. When to see a doctor. Bronchitis symptoms are pretty distinct: Some chest infections are mild and clear up on their own, but others can be severe and life threatening. A chest infection is worse than a heavy cold and is extremely common, affecting about a third of babies. Baby Rattly Chest After Cold.
From exyhllnhn.blob.core.windows.net
Baby's Chest Feels Cold At Night at Maria Collier blog Baby Rattly Chest After Cold It is usually a consistent noise that happens during most breaths in or out. Babies often grunt or make sighing sounds as they breathe, but wheezing is something different. Symptoms of bronchitis can be similar to a cold or flu. The lingering congestion and mucus. Check if you have a chest infection. It is likely to be a virus, in. Baby Rattly Chest After Cold.
From www.verywellhealth.com
The Common Cold in Babies What to Know Baby Rattly Chest After Cold When to see a doctor. Symptoms of bronchitis can be similar to a cold or flu. A wheezy episode during or after a cold is. Bronchitis symptoms are pretty distinct: It's usually mild and can be treated at home, but it can be serious. Bronchitis affects the bronchial tubes, while pneumonia affects the lung air sacs. When these symptoms hit,. Baby Rattly Chest After Cold.
From www.pediatriconcall.com
Subcutaneous Emphysema And Spontaneous Pneumomediastinum In A Toddler Baby Rattly Chest After Cold Some chest infections are mild and clear up on their own, but others can be severe and life threatening. Bronchiolitis is a common chest infection that affects babies and children under 2. A chest infection is worse than a heavy cold and is extremely common, affecting about a third of babies in their first year. The rattling in your chest.. Baby Rattly Chest After Cold.
From dxocgdamg.blob.core.windows.net
What Does It Mean When Someone Is Rattling at Raymond Silva blog Baby Rattly Chest After Cold Some children cough, wheeze, get breathless or have a rattly chest during or after a cold. It's usually mild and can be treated at home, but it can be serious. Babies often grunt or make sighing sounds as they breathe, but wheezing is something different. Some chest infections are mild and clear up on their own, but others can be. Baby Rattly Chest After Cold.
From medshun.com
The Difference Between Chest Rattle In Bronchitis And Pneumonia What Baby Rattly Chest After Cold When these symptoms hit, you probably have a feeling that it’s something. When to see a doctor. The lingering congestion and mucus. Without treatment, bronchitis can become pneumonia. You might also hear a rattling. Bronchiolitis is a common chest infection that affects babies and children under 2. Bronchitis affects the bronchial tubes, while pneumonia affects the lung air sacs. A. Baby Rattly Chest After Cold.
From exozcbtgi.blob.core.windows.net
Rattle In My Baby's Chest at James Trudel blog Baby Rattly Chest After Cold It is likely to be a virus, in which case your tot should rest at home until. A chest infection is worse than a heavy cold and is extremely common, affecting about a third of babies in their first year. You might also hear a rattling. Bronchitis symptoms are pretty distinct: It's usually mild and can be treated at home,. Baby Rattly Chest After Cold.
From www.youtube.com
Fatherhood Baby has a Chest Cold 3112012 YouTube Baby Rattly Chest After Cold A wheezy episode during or after a cold is. Symptoms of bronchitis can be similar to a cold or flu. Bronchiolitis is a common chest infection that affects babies and children under 2. It is likely to be a virus, in which case your tot should rest at home until. It is usually a consistent noise that happens during most. Baby Rattly Chest After Cold.
From editorialge.com
Cold Icy Feeling Inside Chest Causes, Treatments with Perfect Remedies Baby Rattly Chest After Cold When to see a doctor. It's usually mild and can be treated at home, but it can be serious. Bronchitis symptoms are pretty distinct: It is usually a consistent noise that happens during most breaths in or out. A wheezy episode during or after a cold is. The rattling in your chest. Without treatment, bronchitis can become pneumonia. Bronchiolitis is. Baby Rattly Chest After Cold.
From projectnursery.com
How to Conquer Your Baby’s Cold like a SuperMom Project Nursery Baby Rattly Chest After Cold Bronchitis affects the bronchial tubes, while pneumonia affects the lung air sacs. You might also hear a rattling. Some children cough, wheeze, get breathless or have a rattly chest during or after a cold. When to see a doctor. Without treatment, bronchitis can become pneumonia. The rattling in your chest. A chest infection is worse than a heavy cold and. Baby Rattly Chest After Cold.
From loecmmwow.blob.core.windows.net
Breathing Rattle In Chest at Lillian Cearley blog Baby Rattly Chest After Cold Check if you have a chest infection. The rattling in your chest. Bronchiolitis is a common chest infection that affects babies and children under 2. Bronchitis affects the bronchial tubes, while pneumonia affects the lung air sacs. You might also hear a rattling. Without treatment, bronchitis can become pneumonia. Some chest infections are mild and clear up on their own,. Baby Rattly Chest After Cold.
From www.the-sun.com
Mum shares heartbreaking photo of baby girl after 'rattly cough' turned Baby Rattly Chest After Cold Bronchitis affects the bronchial tubes, while pneumonia affects the lung air sacs. Bronchitis symptoms are pretty distinct: The rattling in your chest. A chest infection is worse than a heavy cold and is extremely common, affecting about a third of babies in their first year. It is likely to be a virus, in which case your tot should rest at. Baby Rattly Chest After Cold.
From cricnca.com
Baby Rashes Types, Symptoms & More (2022) Baby Rattly Chest After Cold The rattling in your chest. It's usually mild and can be treated at home, but it can be serious. A wheezy episode during or after a cold is. The lingering congestion and mucus. When these symptoms hit, you probably have a feeling that it’s something. Check if you have a chest infection. You might also hear a rattling. It is. Baby Rattly Chest After Cold.
From www.emedihealth.com
Chest Congestion Causes, Symptoms, and Treatments Baby Rattly Chest After Cold Bronchiolitis is a common chest infection that affects babies and children under 2. It is likely to be a virus, in which case your tot should rest at home until. Bronchitis symptoms are pretty distinct: It is usually a consistent noise that happens during most breaths in or out. The lingering congestion and mucus. A chest infection is worse than. Baby Rattly Chest After Cold.
From de.depositphotos.com
Niedliche BabyRatte Stockfotografie lizenzfreie Fotos © goinyk Baby Rattly Chest After Cold The lingering congestion and mucus. Without treatment, bronchitis can become pneumonia. You might also hear a rattling. Bronchitis affects the bronchial tubes, while pneumonia affects the lung air sacs. It is usually a consistent noise that happens during most breaths in or out. The rattling in your chest. Bronchiolitis is a common chest infection that affects babies and children under. Baby Rattly Chest After Cold.
From klamkappc.blob.core.windows.net
Newborn With Cold Symptoms at Ruth Nielsen blog Baby Rattly Chest After Cold A wheezy episode during or after a cold is. Check if you have a chest infection. Without treatment, bronchitis can become pneumonia. When these symptoms hit, you probably have a feeling that it’s something. Some chest infections are mild and clear up on their own, but others can be severe and life threatening. The lingering congestion and mucus. Bronchitis affects. Baby Rattly Chest After Cold.
From itchythroatcough.blogspot.com
Itchy Throat Cough Rattly Chest Cough Baby Rattly Chest After Cold Some chest infections are mild and clear up on their own, but others can be severe and life threatening. A chest infection is worse than a heavy cold and is extremely common, affecting about a third of babies in their first year. When to see a doctor. The rattling in your chest. Babies often grunt or make sighing sounds as. Baby Rattly Chest After Cold.
From www.pinterest.com
Baby Coughing at Night? Every Day Above Dirt is a Good Day Baby Baby Rattly Chest After Cold When to see a doctor. It's usually mild and can be treated at home, but it can be serious. When these symptoms hit, you probably have a feeling that it’s something. A chest infection is worse than a heavy cold and is extremely common, affecting about a third of babies in their first year. You might also hear a rattling.. Baby Rattly Chest After Cold.