What Is A Post Space In Dentistry . First, the opportunity presents to bond a fiber post and resin. Make sure to leave at least 4 to. in endodontic restoration, the purpose of a post is to retain the core. a post and core crown is a type of dental restoration required where there is an inadequate amount of sound tooth tissue. after the preparation is completed, the space that exists inside the root canal, called the post space, is available to place the post. the paradigm shift from traditional rigid post cementation provides 2 advantages. a dental post is cemented inside the prepared root canal space of a tooth that has had endodontic (root canal) treatment. Posts can be used to retain amalgam, metal, and composite cores and help strengthen the.
from www.lava-elite.com
a post and core crown is a type of dental restoration required where there is an inadequate amount of sound tooth tissue. after the preparation is completed, the space that exists inside the root canal, called the post space, is available to place the post. the paradigm shift from traditional rigid post cementation provides 2 advantages. First, the opportunity presents to bond a fiber post and resin. in endodontic restoration, the purpose of a post is to retain the core. Posts can be used to retain amalgam, metal, and composite cores and help strengthen the. Make sure to leave at least 4 to. a dental post is cemented inside the prepared root canal space of a tooth that has had endodontic (root canal) treatment.
Cementation Procedure for Lava Crowns and Bridges
What Is A Post Space In Dentistry a dental post is cemented inside the prepared root canal space of a tooth that has had endodontic (root canal) treatment. Make sure to leave at least 4 to. the paradigm shift from traditional rigid post cementation provides 2 advantages. Posts can be used to retain amalgam, metal, and composite cores and help strengthen the. First, the opportunity presents to bond a fiber post and resin. a dental post is cemented inside the prepared root canal space of a tooth that has had endodontic (root canal) treatment. after the preparation is completed, the space that exists inside the root canal, called the post space, is available to place the post. a post and core crown is a type of dental restoration required where there is an inadequate amount of sound tooth tissue. in endodontic restoration, the purpose of a post is to retain the core.
From leeannbrady.com
Post Wedging Interproximal Composites Lee Ann Brady DMD What Is A Post Space In Dentistry Posts can be used to retain amalgam, metal, and composite cores and help strengthen the. Make sure to leave at least 4 to. a post and core crown is a type of dental restoration required where there is an inadequate amount of sound tooth tissue. the paradigm shift from traditional rigid post cementation provides 2 advantages. in. What Is A Post Space In Dentistry.
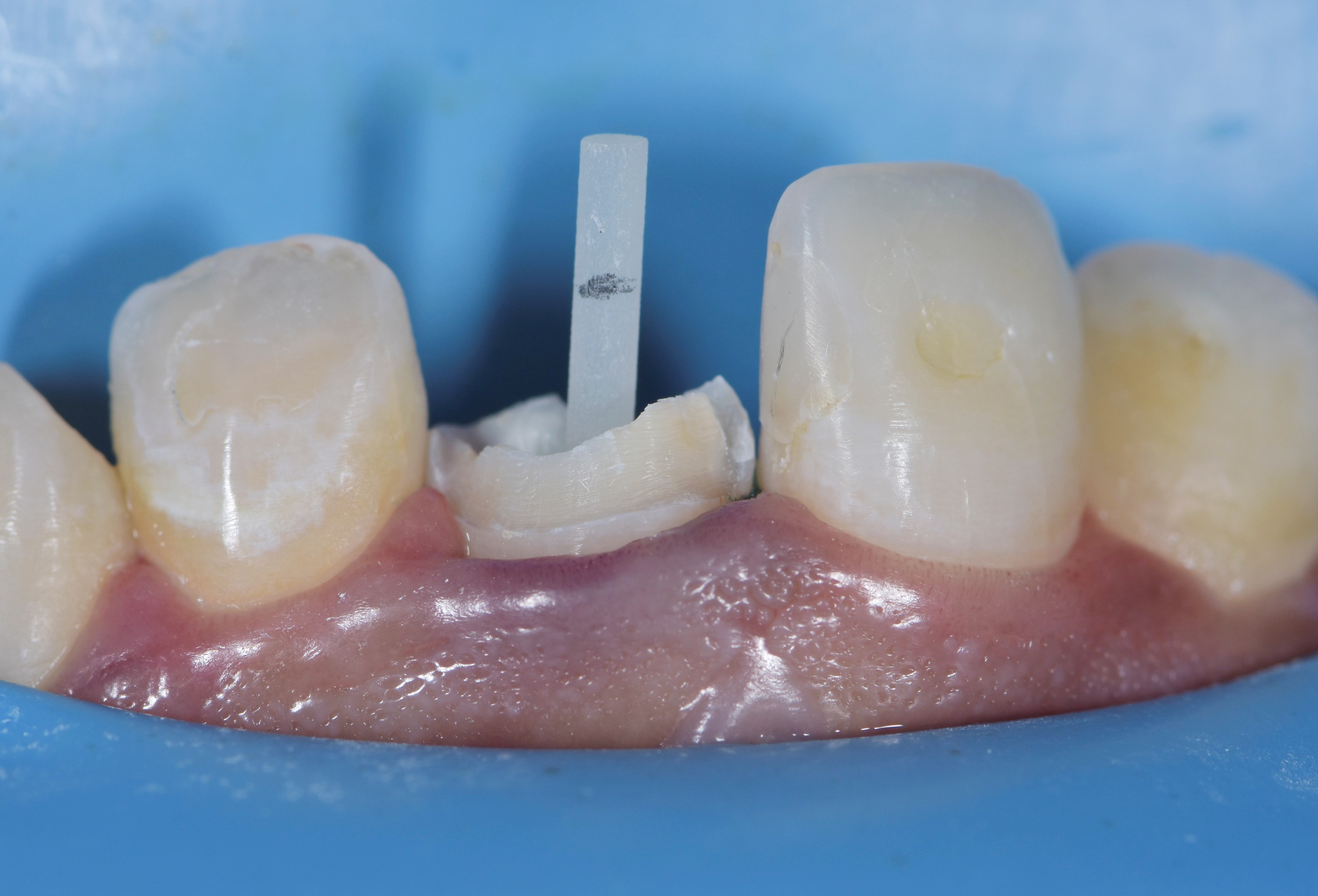
From www.semanticscholar.org
Figure 5 from Integrating esthetic dentistry and space closure in What Is A Post Space In Dentistry Make sure to leave at least 4 to. Posts can be used to retain amalgam, metal, and composite cores and help strengthen the. the paradigm shift from traditional rigid post cementation provides 2 advantages. after the preparation is completed, the space that exists inside the root canal, called the post space, is available to place the post. . What Is A Post Space In Dentistry.
From www.pinterest.es
A space maintainer is a device cemented to one tooth with an arm that What Is A Post Space In Dentistry Posts can be used to retain amalgam, metal, and composite cores and help strengthen the. after the preparation is completed, the space that exists inside the root canal, called the post space, is available to place the post. a dental post is cemented inside the prepared root canal space of a tooth that has had endodontic (root canal). What Is A Post Space In Dentistry.
From mydentistpasadena.com
The Veneer Procedure Explained In 3 Basic Stages Pasadena Dentist What Is A Post Space In Dentistry after the preparation is completed, the space that exists inside the root canal, called the post space, is available to place the post. the paradigm shift from traditional rigid post cementation provides 2 advantages. Posts can be used to retain amalgam, metal, and composite cores and help strengthen the. in endodontic restoration, the purpose of a post. What Is A Post Space In Dentistry.
From southgablesdental.com
Dental Crowns & Dental Bridges in Coral Gables South Gables Dental What Is A Post Space In Dentistry in endodontic restoration, the purpose of a post is to retain the core. a post and core crown is a type of dental restoration required where there is an inadequate amount of sound tooth tissue. Posts can be used to retain amalgam, metal, and composite cores and help strengthen the. First, the opportunity presents to bond a fiber. What Is A Post Space In Dentistry.
From teethwall.blogspot.com
24+ Dental Charting Of Teeth Background Teeth Walls Collection For What Is A Post Space In Dentistry First, the opportunity presents to bond a fiber post and resin. the paradigm shift from traditional rigid post cementation provides 2 advantages. after the preparation is completed, the space that exists inside the root canal, called the post space, is available to place the post. in endodontic restoration, the purpose of a post is to retain the. What Is A Post Space In Dentistry.
From www.pinterest.com
Diastema Also know as spacing or gaps between teeth. Can be a result of What Is A Post Space In Dentistry a post and core crown is a type of dental restoration required where there is an inadequate amount of sound tooth tissue. First, the opportunity presents to bond a fiber post and resin. Posts can be used to retain amalgam, metal, and composite cores and help strengthen the. after the preparation is completed, the space that exists inside. What Is A Post Space In Dentistry.
From dentagama.com
What is biological width in dentistry? News Dentagama What Is A Post Space In Dentistry in endodontic restoration, the purpose of a post is to retain the core. a dental post is cemented inside the prepared root canal space of a tooth that has had endodontic (root canal) treatment. First, the opportunity presents to bond a fiber post and resin. after the preparation is completed, the space that exists inside the root. What Is A Post Space In Dentistry.
From jamilian.net
استخدام حافظة المسافة للأطفال الدکتور جمیلیان What Is A Post Space In Dentistry after the preparation is completed, the space that exists inside the root canal, called the post space, is available to place the post. in endodontic restoration, the purpose of a post is to retain the core. a dental post is cemented inside the prepared root canal space of a tooth that has had endodontic (root canal) treatment.. What Is A Post Space In Dentistry.
From www.midentalclinic.com
What is a PostCore? Mi DENTAL What Is A Post Space In Dentistry a dental post is cemented inside the prepared root canal space of a tooth that has had endodontic (root canal) treatment. Make sure to leave at least 4 to. First, the opportunity presents to bond a fiber post and resin. in endodontic restoration, the purpose of a post is to retain the core. a post and core. What Is A Post Space In Dentistry.
From protrusive.co.uk
What We Ought To Know About Full Arch Implant Dentistry PDP093 What Is A Post Space In Dentistry a post and core crown is a type of dental restoration required where there is an inadequate amount of sound tooth tissue. a dental post is cemented inside the prepared root canal space of a tooth that has had endodontic (root canal) treatment. after the preparation is completed, the space that exists inside the root canal, called. What Is A Post Space In Dentistry.
From kidsworldpediatricdental.com
Space Maintainers Kids World Pediatric Dentistry What Is A Post Space In Dentistry in endodontic restoration, the purpose of a post is to retain the core. the paradigm shift from traditional rigid post cementation provides 2 advantages. First, the opportunity presents to bond a fiber post and resin. a post and core crown is a type of dental restoration required where there is an inadequate amount of sound tooth tissue.. What Is A Post Space In Dentistry.
From www.youtube.com
Dental Post Cementation and Core BuildUp with Cosmecore YouTube What Is A Post Space In Dentistry a post and core crown is a type of dental restoration required where there is an inadequate amount of sound tooth tissue. Posts can be used to retain amalgam, metal, and composite cores and help strengthen the. in endodontic restoration, the purpose of a post is to retain the core. Make sure to leave at least 4 to.. What Is A Post Space In Dentistry.
From www.youtube.com
How to make custom made post and core for dental students YouTube What Is A Post Space In Dentistry a post and core crown is a type of dental restoration required where there is an inadequate amount of sound tooth tissue. the paradigm shift from traditional rigid post cementation provides 2 advantages. Make sure to leave at least 4 to. First, the opportunity presents to bond a fiber post and resin. Posts can be used to retain. What Is A Post Space In Dentistry.
From www.ingeniousdentistry.com
Case Study Bar Overdenture Ingenious Dentistry What Is A Post Space In Dentistry the paradigm shift from traditional rigid post cementation provides 2 advantages. a dental post is cemented inside the prepared root canal space of a tooth that has had endodontic (root canal) treatment. Posts can be used to retain amalgam, metal, and composite cores and help strengthen the. Make sure to leave at least 4 to. a post. What Is A Post Space In Dentistry.
From jooinn.com
Free photo Dental prosthesis Dental, Teeth Free Download Jooinn What Is A Post Space In Dentistry a post and core crown is a type of dental restoration required where there is an inadequate amount of sound tooth tissue. First, the opportunity presents to bond a fiber post and resin. a dental post is cemented inside the prepared root canal space of a tooth that has had endodontic (root canal) treatment. in endodontic restoration,. What Is A Post Space In Dentistry.
From uttamdentalclinic.com
Uncategorized Uttam Dental Clinic What Is A Post Space In Dentistry First, the opportunity presents to bond a fiber post and resin. a post and core crown is a type of dental restoration required where there is an inadequate amount of sound tooth tissue. Posts can be used to retain amalgam, metal, and composite cores and help strengthen the. a dental post is cemented inside the prepared root canal. What Is A Post Space In Dentistry.
From westcoastinternational.com
Dental Occlusion / Anterior Guidance Part 2 What Is A Post Space In Dentistry Posts can be used to retain amalgam, metal, and composite cores and help strengthen the. First, the opportunity presents to bond a fiber post and resin. a post and core crown is a type of dental restoration required where there is an inadequate amount of sound tooth tissue. the paradigm shift from traditional rigid post cementation provides 2. What Is A Post Space In Dentistry.
From www.semanticscholar.org
Figure 1 from Clinical Success of Fiberreinforced Composite Resin as a What Is A Post Space In Dentistry a post and core crown is a type of dental restoration required where there is an inadequate amount of sound tooth tissue. Make sure to leave at least 4 to. First, the opportunity presents to bond a fiber post and resin. a dental post is cemented inside the prepared root canal space of a tooth that has had. What Is A Post Space In Dentistry.
From www.youtube.com
Post & Core post preparation procedure in endodontic & prosthodontics What Is A Post Space In Dentistry Posts can be used to retain amalgam, metal, and composite cores and help strengthen the. a dental post is cemented inside the prepared root canal space of a tooth that has had endodontic (root canal) treatment. after the preparation is completed, the space that exists inside the root canal, called the post space, is available to place the. What Is A Post Space In Dentistry.
From compassionendodontics.com
3D Imaging (CBCT) Compassion Endodontics What Is A Post Space In Dentistry in endodontic restoration, the purpose of a post is to retain the core. First, the opportunity presents to bond a fiber post and resin. after the preparation is completed, the space that exists inside the root canal, called the post space, is available to place the post. a post and core crown is a type of dental. What Is A Post Space In Dentistry.
From brittenperio.com
What you Need to Know About Periodontal Flap Surgery Britten Perio What Is A Post Space In Dentistry a post and core crown is a type of dental restoration required where there is an inadequate amount of sound tooth tissue. First, the opportunity presents to bond a fiber post and resin. Posts can be used to retain amalgam, metal, and composite cores and help strengthen the. Make sure to leave at least 4 to. after the. What Is A Post Space In Dentistry.
From www.gm-dental.co.uk
Cantilever Tooth Bridge GM Dental Rochester What Is A Post Space In Dentistry Make sure to leave at least 4 to. after the preparation is completed, the space that exists inside the root canal, called the post space, is available to place the post. a dental post is cemented inside the prepared root canal space of a tooth that has had endodontic (root canal) treatment. the paradigm shift from traditional. What Is A Post Space In Dentistry.
From www.smilemore.ph
Root Canal Treatment Dentist near me Smile More Dental Clinic What Is A Post Space In Dentistry in endodontic restoration, the purpose of a post is to retain the core. Posts can be used to retain amalgam, metal, and composite cores and help strengthen the. a post and core crown is a type of dental restoration required where there is an inadequate amount of sound tooth tissue. Make sure to leave at least 4 to.. What Is A Post Space In Dentistry.
From www.slideshare.net
6.restoration of the endodontically treated tooth What Is A Post Space In Dentistry a post and core crown is a type of dental restoration required where there is an inadequate amount of sound tooth tissue. Posts can be used to retain amalgam, metal, and composite cores and help strengthen the. Make sure to leave at least 4 to. First, the opportunity presents to bond a fiber post and resin. after the. What Is A Post Space In Dentistry.
From askadentist.com
Post Space Ask A Dentist What Is A Post Space In Dentistry Make sure to leave at least 4 to. the paradigm shift from traditional rigid post cementation provides 2 advantages. First, the opportunity presents to bond a fiber post and resin. Posts can be used to retain amalgam, metal, and composite cores and help strengthen the. a post and core crown is a type of dental restoration required where. What Is A Post Space In Dentistry.
From pubs.rsna.org
Dental Emergencies A Practical Guide RadioGraphics What Is A Post Space In Dentistry a post and core crown is a type of dental restoration required where there is an inadequate amount of sound tooth tissue. in endodontic restoration, the purpose of a post is to retain the core. after the preparation is completed, the space that exists inside the root canal, called the post space, is available to place the. What Is A Post Space In Dentistry.
From www.researchgate.net
(PDF) Restoration of endodontically treated teeth The seven keys to What Is A Post Space In Dentistry First, the opportunity presents to bond a fiber post and resin. the paradigm shift from traditional rigid post cementation provides 2 advantages. Posts can be used to retain amalgam, metal, and composite cores and help strengthen the. Make sure to leave at least 4 to. in endodontic restoration, the purpose of a post is to retain the core.. What Is A Post Space In Dentistry.
From decisionsindentistry.com
Uncovering the Mystery Decisions in Dentistry What Is A Post Space In Dentistry Make sure to leave at least 4 to. after the preparation is completed, the space that exists inside the root canal, called the post space, is available to place the post. the paradigm shift from traditional rigid post cementation provides 2 advantages. in endodontic restoration, the purpose of a post is to retain the core. a. What Is A Post Space In Dentistry.
From www.dentalestheticszak.com
Inverse injection of composite over a fiber post Dental Esthetics What Is A Post Space In Dentistry Posts can be used to retain amalgam, metal, and composite cores and help strengthen the. in endodontic restoration, the purpose of a post is to retain the core. after the preparation is completed, the space that exists inside the root canal, called the post space, is available to place the post. a dental post is cemented inside. What Is A Post Space In Dentistry.
From pocketdentistry.com
12 Cement‐Retained Implant Restorations Problems and Solutions What Is A Post Space In Dentistry in endodontic restoration, the purpose of a post is to retain the core. after the preparation is completed, the space that exists inside the root canal, called the post space, is available to place the post. First, the opportunity presents to bond a fiber post and resin. Posts can be used to retain amalgam, metal, and composite cores. What Is A Post Space In Dentistry.
From endodontics.styleitaliano.org
Guidelines for the correct selection and optimal luting of fiber posts What Is A Post Space In Dentistry in endodontic restoration, the purpose of a post is to retain the core. a post and core crown is a type of dental restoration required where there is an inadequate amount of sound tooth tissue. a dental post is cemented inside the prepared root canal space of a tooth that has had endodontic (root canal) treatment. . What Is A Post Space In Dentistry.
From www.lava-elite.com
Cementation Procedure for Lava Crowns and Bridges What Is A Post Space In Dentistry the paradigm shift from traditional rigid post cementation provides 2 advantages. First, the opportunity presents to bond a fiber post and resin. a dental post is cemented inside the prepared root canal space of a tooth that has had endodontic (root canal) treatment. Posts can be used to retain amalgam, metal, and composite cores and help strengthen the.. What Is A Post Space In Dentistry.
From www.clinicalresearchdental.com
Cosmedent CosmeCore Core BuildUp Material Clinical Research Dental What Is A Post Space In Dentistry a post and core crown is a type of dental restoration required where there is an inadequate amount of sound tooth tissue. Posts can be used to retain amalgam, metal, and composite cores and help strengthen the. the paradigm shift from traditional rigid post cementation provides 2 advantages. a dental post is cemented inside the prepared root. What Is A Post Space In Dentistry.
From www.westernu.edu
About the College Student Clubs, Dental Simulation Lab What Is A Post Space In Dentistry Make sure to leave at least 4 to. in endodontic restoration, the purpose of a post is to retain the core. a dental post is cemented inside the prepared root canal space of a tooth that has had endodontic (root canal) treatment. the paradigm shift from traditional rigid post cementation provides 2 advantages. after the preparation. What Is A Post Space In Dentistry.