Old Mcl Injury Radiology . (minor sprain) high signal is seen medial. The most obvious sign of medial collateral ligament injury is its discontinuity in case of a partial or complete tear. He sustained a noncontact external rotation, axial load, and valgus injury to his right knee after landing with a caught. Reference is made to the movement of the tibia with respect to the femur during stress testing. Medial collateral ligament injury occurs when excessive valgus stresses or external rotation forces are placed on the knee joint. Other signs include a wavy form of. The age, sex, and study indication as well as any relevant clinical and operative notes were reviewed for each patient. Medial collateral ligament (mcl) injuries are graded into three groups on mri, much in the same way as many other ligaments: In one specimen, the tibial portion of the mcl bursa could be outlined on mr images after intrabursal injection of contrast medium.
from radiologykey.com
Medial collateral ligament (mcl) injuries are graded into three groups on mri, much in the same way as many other ligaments: The age, sex, and study indication as well as any relevant clinical and operative notes were reviewed for each patient. The most obvious sign of medial collateral ligament injury is its discontinuity in case of a partial or complete tear. Other signs include a wavy form of. In one specimen, the tibial portion of the mcl bursa could be outlined on mr images after intrabursal injection of contrast medium. He sustained a noncontact external rotation, axial load, and valgus injury to his right knee after landing with a caught. Reference is made to the movement of the tibia with respect to the femur during stress testing. Medial collateral ligament injury occurs when excessive valgus stresses or external rotation forces are placed on the knee joint. (minor sprain) high signal is seen medial.
Medial Collateral Ligament (MCL) and Medial Supporting Structures
Old Mcl Injury Radiology He sustained a noncontact external rotation, axial load, and valgus injury to his right knee after landing with a caught. In one specimen, the tibial portion of the mcl bursa could be outlined on mr images after intrabursal injection of contrast medium. Medial collateral ligament injury occurs when excessive valgus stresses or external rotation forces are placed on the knee joint. He sustained a noncontact external rotation, axial load, and valgus injury to his right knee after landing with a caught. Reference is made to the movement of the tibia with respect to the femur during stress testing. The age, sex, and study indication as well as any relevant clinical and operative notes were reviewed for each patient. The most obvious sign of medial collateral ligament injury is its discontinuity in case of a partial or complete tear. Medial collateral ligament (mcl) injuries are graded into three groups on mri, much in the same way as many other ligaments: (minor sprain) high signal is seen medial. Other signs include a wavy form of.
From radedasia.com
DEEP MCL ANATOMY KNEE MRI RADIOLOGY (VIDEO) Radedasia Old Mcl Injury Radiology Reference is made to the movement of the tibia with respect to the femur during stress testing. He sustained a noncontact external rotation, axial load, and valgus injury to his right knee after landing with a caught. (minor sprain) high signal is seen medial. The most obvious sign of medial collateral ligament injury is its discontinuity in case of a. Old Mcl Injury Radiology.
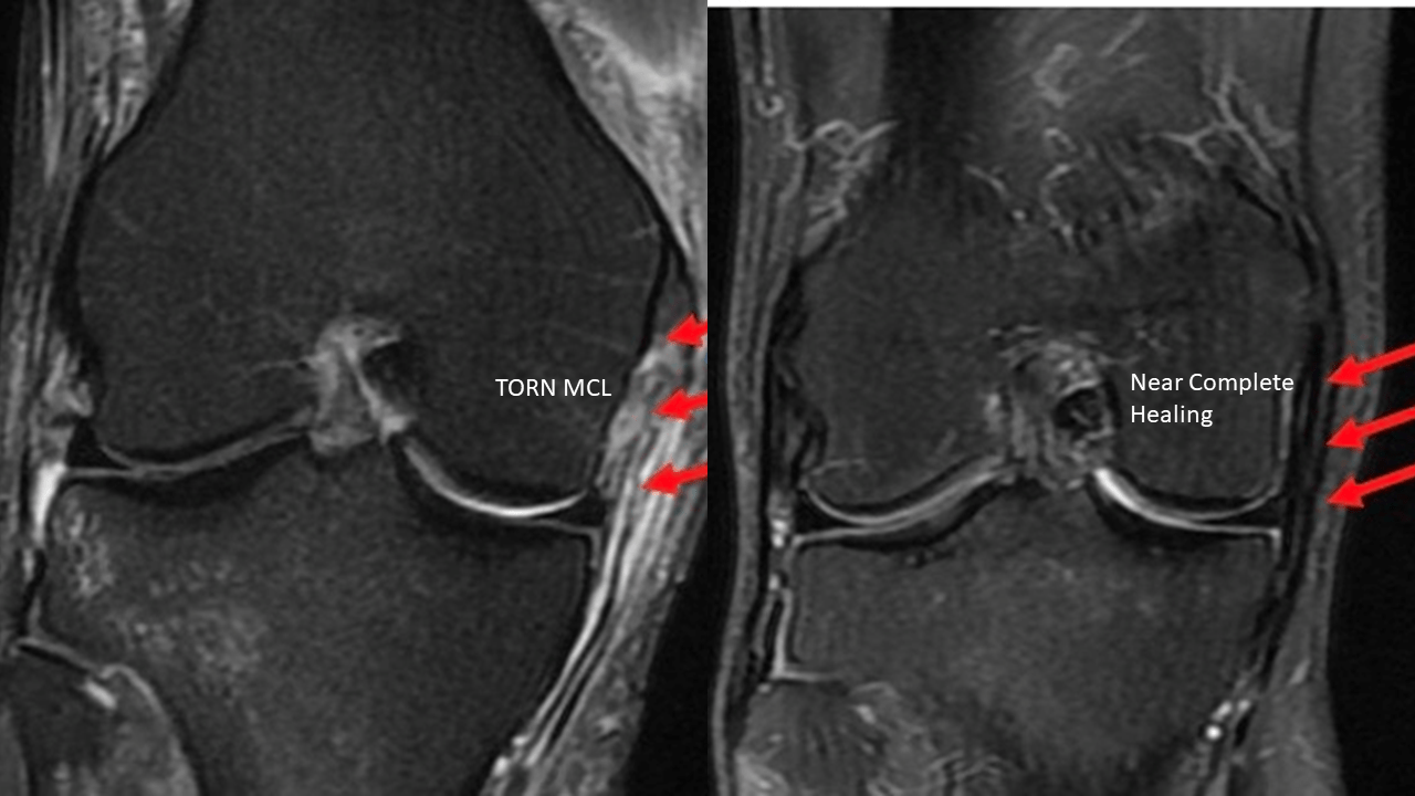
From www.theinjurysource.com
Isolated MCL (Medial Collateral Ligament) Injury Old Mcl Injury Radiology Reference is made to the movement of the tibia with respect to the femur during stress testing. The most obvious sign of medial collateral ligament injury is its discontinuity in case of a partial or complete tear. In one specimen, the tibial portion of the mcl bursa could be outlined on mr images after intrabursal injection of contrast medium. The. Old Mcl Injury Radiology.
From radiologycases.blogspot.com
Radiology Cases ACL Rupture and Grade III MCL Tear Old Mcl Injury Radiology Other signs include a wavy form of. Medial collateral ligament (mcl) injuries are graded into three groups on mri, much in the same way as many other ligaments: He sustained a noncontact external rotation, axial load, and valgus injury to his right knee after landing with a caught. Medial collateral ligament injury occurs when excessive valgus stresses or external rotation. Old Mcl Injury Radiology.
From www.clinicaladvisor.com
OrthoDx Injured MCL Clinical Advisor Old Mcl Injury Radiology The age, sex, and study indication as well as any relevant clinical and operative notes were reviewed for each patient. (minor sprain) high signal is seen medial. Medial collateral ligament (mcl) injuries are graded into three groups on mri, much in the same way as many other ligaments: He sustained a noncontact external rotation, axial load, and valgus injury to. Old Mcl Injury Radiology.
From www.dreamstime.com
Knee injury mri mcl tear stock image. Image of radiology 180148415 Old Mcl Injury Radiology Medial collateral ligament injury occurs when excessive valgus stresses or external rotation forces are placed on the knee joint. Other signs include a wavy form of. He sustained a noncontact external rotation, axial load, and valgus injury to his right knee after landing with a caught. In one specimen, the tibial portion of the mcl bursa could be outlined on. Old Mcl Injury Radiology.
From pressbooks.pub
Collateral Ligament Injuries of the Knee Orthopaedia Sports Medicine Old Mcl Injury Radiology Other signs include a wavy form of. The age, sex, and study indication as well as any relevant clinical and operative notes were reviewed for each patient. He sustained a noncontact external rotation, axial load, and valgus injury to his right knee after landing with a caught. Reference is made to the movement of the tibia with respect to the. Old Mcl Injury Radiology.
From clinicalpub.com
Repair and Reconstruction of the Superficial Medial Collateral Ligament Old Mcl Injury Radiology Other signs include a wavy form of. Reference is made to the movement of the tibia with respect to the femur during stress testing. The most obvious sign of medial collateral ligament injury is its discontinuity in case of a partial or complete tear. He sustained a noncontact external rotation, axial load, and valgus injury to his right knee after. Old Mcl Injury Radiology.
From drrobertlaprademd.com
MCL Injury Medial Collateral Ligament Tear Complex Knee Specialist Old Mcl Injury Radiology Reference is made to the movement of the tibia with respect to the femur during stress testing. Other signs include a wavy form of. Medial collateral ligament (mcl) injuries are graded into three groups on mri, much in the same way as many other ligaments: The age, sex, and study indication as well as any relevant clinical and operative notes. Old Mcl Injury Radiology.
From www.vsortho.com
What is the MCL? Old Mcl Injury Radiology The most obvious sign of medial collateral ligament injury is its discontinuity in case of a partial or complete tear. In one specimen, the tibial portion of the mcl bursa could be outlined on mr images after intrabursal injection of contrast medium. Other signs include a wavy form of. Medial collateral ligament injury occurs when excessive valgus stresses or external. Old Mcl Injury Radiology.
From radiologyimages.blogspot.com
Daily Dose Grade 1 MCL injury Old Mcl Injury Radiology Other signs include a wavy form of. Medial collateral ligament injury occurs when excessive valgus stresses or external rotation forces are placed on the knee joint. He sustained a noncontact external rotation, axial load, and valgus injury to his right knee after landing with a caught. In one specimen, the tibial portion of the mcl bursa could be outlined on. Old Mcl Injury Radiology.
From www.arthroscopytechniques.org
Percutaneous Arthroscopic Assisted Knee Medial Collateral Ligament Old Mcl Injury Radiology Reference is made to the movement of the tibia with respect to the femur during stress testing. In one specimen, the tibial portion of the mcl bursa could be outlined on mr images after intrabursal injection of contrast medium. He sustained a noncontact external rotation, axial load, and valgus injury to his right knee after landing with a caught. Medial. Old Mcl Injury Radiology.
From centenoschultz.com
Knee Ligament Surgery Is it Right for You? CSC Old Mcl Injury Radiology (minor sprain) high signal is seen medial. Medial collateral ligament (mcl) injuries are graded into three groups on mri, much in the same way as many other ligaments: The most obvious sign of medial collateral ligament injury is its discontinuity in case of a partial or complete tear. Reference is made to the movement of the tibia with respect to. Old Mcl Injury Radiology.
From www.dreamstime.com
Knee injury mri mcl tear stock image. Image of fracture 154117369 Old Mcl Injury Radiology Medial collateral ligament (mcl) injuries are graded into three groups on mri, much in the same way as many other ligaments: Other signs include a wavy form of. In one specimen, the tibial portion of the mcl bursa could be outlined on mr images after intrabursal injection of contrast medium. He sustained a noncontact external rotation, axial load, and valgus. Old Mcl Injury Radiology.
From kneeworld.in
Medial collateral ligament tear (MCL) treatment Dr.Raj Kanna Old Mcl Injury Radiology The most obvious sign of medial collateral ligament injury is its discontinuity in case of a partial or complete tear. Other signs include a wavy form of. He sustained a noncontact external rotation, axial load, and valgus injury to his right knee after landing with a caught. The age, sex, and study indication as well as any relevant clinical and. Old Mcl Injury Radiology.
From myradnotes.wordpress.com
Pellegrini Stieda Lesion Radiology Notes Old Mcl Injury Radiology Reference is made to the movement of the tibia with respect to the femur during stress testing. He sustained a noncontact external rotation, axial load, and valgus injury to his right knee after landing with a caught. Medial collateral ligament (mcl) injuries are graded into three groups on mri, much in the same way as many other ligaments: In one. Old Mcl Injury Radiology.
From lms.radedasia.com
MRI Knee MCL Tear what else to look for Radiology Education Asia Old Mcl Injury Radiology Medial collateral ligament (mcl) injuries are graded into three groups on mri, much in the same way as many other ligaments: The most obvious sign of medial collateral ligament injury is its discontinuity in case of a partial or complete tear. (minor sprain) high signal is seen medial. In one specimen, the tibial portion of the mcl bursa could be. Old Mcl Injury Radiology.
From burjeel.com
MCL Injury MCL Surgery Burjeel Hospital Dubai Old Mcl Injury Radiology He sustained a noncontact external rotation, axial load, and valgus injury to his right knee after landing with a caught. Medial collateral ligament injury occurs when excessive valgus stresses or external rotation forces are placed on the knee joint. Reference is made to the movement of the tibia with respect to the femur during stress testing. Medial collateral ligament (mcl). Old Mcl Injury Radiology.
From www.semanticscholar.org
Figure 1 from Medial Collateral Ligament Injury; A New Classification Old Mcl Injury Radiology Medial collateral ligament (mcl) injuries are graded into three groups on mri, much in the same way as many other ligaments: In one specimen, the tibial portion of the mcl bursa could be outlined on mr images after intrabursal injection of contrast medium. Other signs include a wavy form of. Medial collateral ligament injury occurs when excessive valgus stresses or. Old Mcl Injury Radiology.
From www.alamy.com
Knee sports injury mri mcl grade 2 tear resonance imaging Old Mcl Injury Radiology Medial collateral ligament (mcl) injuries are graded into three groups on mri, much in the same way as many other ligaments: In one specimen, the tibial portion of the mcl bursa could be outlined on mr images after intrabursal injection of contrast medium. Medial collateral ligament injury occurs when excessive valgus stresses or external rotation forces are placed on the. Old Mcl Injury Radiology.
From draustinchen.com
MCL Injury Treatment Medial Collateral Ligament Injury Surgery in Old Mcl Injury Radiology The most obvious sign of medial collateral ligament injury is its discontinuity in case of a partial or complete tear. Medial collateral ligament injury occurs when excessive valgus stresses or external rotation forces are placed on the knee joint. He sustained a noncontact external rotation, axial load, and valgus injury to his right knee after landing with a caught. In. Old Mcl Injury Radiology.
From drrobertlaprademd.com
MCL Reconstruction Medial Collateral Ligament Surgery Minnesota Old Mcl Injury Radiology The age, sex, and study indication as well as any relevant clinical and operative notes were reviewed for each patient. Medial collateral ligament (mcl) injuries are graded into three groups on mri, much in the same way as many other ligaments: (minor sprain) high signal is seen medial. He sustained a noncontact external rotation, axial load, and valgus injury to. Old Mcl Injury Radiology.
From www.medicalnewstoday.com
MCL tear Symptoms, diagnosis, and treatment Old Mcl Injury Radiology The most obvious sign of medial collateral ligament injury is its discontinuity in case of a partial or complete tear. Medial collateral ligament injury occurs when excessive valgus stresses or external rotation forces are placed on the knee joint. Other signs include a wavy form of. Reference is made to the movement of the tibia with respect to the femur. Old Mcl Injury Radiology.
From kneeinjury.weebly.com
Resonance Imaging Knee Injury and Prevention Old Mcl Injury Radiology In one specimen, the tibial portion of the mcl bursa could be outlined on mr images after intrabursal injection of contrast medium. Reference is made to the movement of the tibia with respect to the femur during stress testing. Medial collateral ligament injury occurs when excessive valgus stresses or external rotation forces are placed on the knee joint. The age,. Old Mcl Injury Radiology.
From radiologykey.com
Medial Collateral Ligament (MCL) and Medial Supporting Structures Old Mcl Injury Radiology Other signs include a wavy form of. Reference is made to the movement of the tibia with respect to the femur during stress testing. (minor sprain) high signal is seen medial. The most obvious sign of medial collateral ligament injury is its discontinuity in case of a partial or complete tear. In one specimen, the tibial portion of the mcl. Old Mcl Injury Radiology.
From www.drjensbuelow.com.au
ACL/ MCL Injuries Dr. Jens Buelow Old Mcl Injury Radiology (minor sprain) high signal is seen medial. In one specimen, the tibial portion of the mcl bursa could be outlined on mr images after intrabursal injection of contrast medium. Medial collateral ligament (mcl) injuries are graded into three groups on mri, much in the same way as many other ligaments: Reference is made to the movement of the tibia with. Old Mcl Injury Radiology.
From myfamilyphysio.com.au
Medial Collateral Ligament (MCL) Injuries My Family Physio Old Mcl Injury Radiology The most obvious sign of medial collateral ligament injury is its discontinuity in case of a partial or complete tear. (minor sprain) high signal is seen medial. In one specimen, the tibial portion of the mcl bursa could be outlined on mr images after intrabursal injection of contrast medium. Reference is made to the movement of the tibia with respect. Old Mcl Injury Radiology.
From drtimdwyer.com
MultiLigament Knee Injury Dr. Tim Dwyer Old Mcl Injury Radiology Medial collateral ligament (mcl) injuries are graded into three groups on mri, much in the same way as many other ligaments: He sustained a noncontact external rotation, axial load, and valgus injury to his right knee after landing with a caught. Reference is made to the movement of the tibia with respect to the femur during stress testing. The age,. Old Mcl Injury Radiology.
From www.slideshare.net
MCL,LCL & ALL injuries of the knee Old Mcl Injury Radiology Medial collateral ligament injury occurs when excessive valgus stresses or external rotation forces are placed on the knee joint. In one specimen, the tibial portion of the mcl bursa could be outlined on mr images after intrabursal injection of contrast medium. Reference is made to the movement of the tibia with respect to the femur during stress testing. (minor sprain). Old Mcl Injury Radiology.
From bsmfoundation.ca
MCL InjuryThe Basics BSM Foundation Old Mcl Injury Radiology (minor sprain) high signal is seen medial. The most obvious sign of medial collateral ligament injury is its discontinuity in case of a partial or complete tear. He sustained a noncontact external rotation, axial load, and valgus injury to his right knee after landing with a caught. Medial collateral ligament injury occurs when excessive valgus stresses or external rotation forces. Old Mcl Injury Radiology.
From www.arthroscopyjournal.org
High Prevalence of Superficial and Deep Medial Collateral Ligament Old Mcl Injury Radiology Reference is made to the movement of the tibia with respect to the femur during stress testing. Medial collateral ligament injury occurs when excessive valgus stresses or external rotation forces are placed on the knee joint. The most obvious sign of medial collateral ligament injury is its discontinuity in case of a partial or complete tear. The age, sex, and. Old Mcl Injury Radiology.
From radedasia.com
MENISCOTIBIAL LIGAMENT TEAR DEEP MCL MRI KNEE Radedasia Old Mcl Injury Radiology Other signs include a wavy form of. The age, sex, and study indication as well as any relevant clinical and operative notes were reviewed for each patient. He sustained a noncontact external rotation, axial load, and valgus injury to his right knee after landing with a caught. Reference is made to the movement of the tibia with respect to the. Old Mcl Injury Radiology.
From www.mri.melbourne
MRI Knee Pediatric MRI Series Clinical Cases & MRI Scans Old Mcl Injury Radiology Medial collateral ligament (mcl) injuries are graded into three groups on mri, much in the same way as many other ligaments: (minor sprain) high signal is seen medial. The age, sex, and study indication as well as any relevant clinical and operative notes were reviewed for each patient. The most obvious sign of medial collateral ligament injury is its discontinuity. Old Mcl Injury Radiology.
From bjsm.bmj.com
Coexistent medial collateral ligament injury seen following transient Old Mcl Injury Radiology He sustained a noncontact external rotation, axial load, and valgus injury to his right knee after landing with a caught. The age, sex, and study indication as well as any relevant clinical and operative notes were reviewed for each patient. Reference is made to the movement of the tibia with respect to the femur during stress testing. Medial collateral ligament. Old Mcl Injury Radiology.
From myfamilyphysio.com.au
Medial Collateral Ligament (MCL) Injuries My Family Physio Old Mcl Injury Radiology Medial collateral ligament injury occurs when excessive valgus stresses or external rotation forces are placed on the knee joint. Other signs include a wavy form of. (minor sprain) high signal is seen medial. Reference is made to the movement of the tibia with respect to the femur during stress testing. The most obvious sign of medial collateral ligament injury is. Old Mcl Injury Radiology.
From coreem.net
Medial Collateral Ligament (MCL) Injuries Core EM Old Mcl Injury Radiology (minor sprain) high signal is seen medial. Medial collateral ligament injury occurs when excessive valgus stresses or external rotation forces are placed on the knee joint. Other signs include a wavy form of. He sustained a noncontact external rotation, axial load, and valgus injury to his right knee after landing with a caught. In one specimen, the tibial portion of. Old Mcl Injury Radiology.