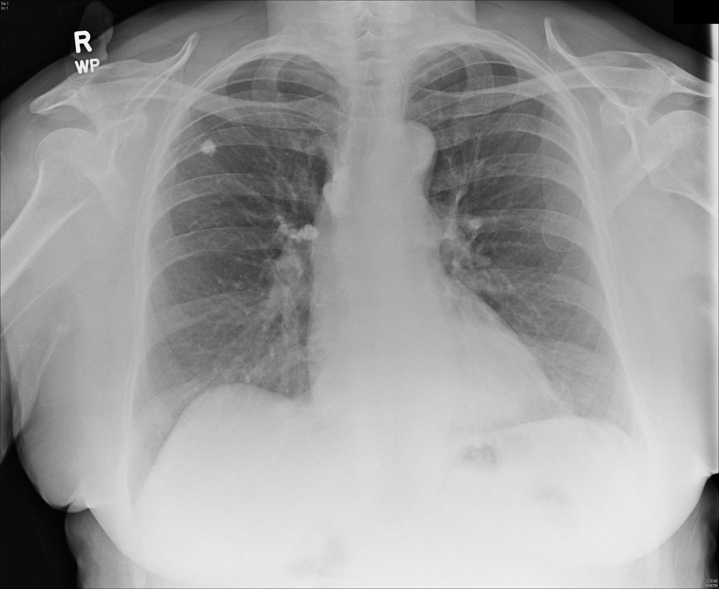
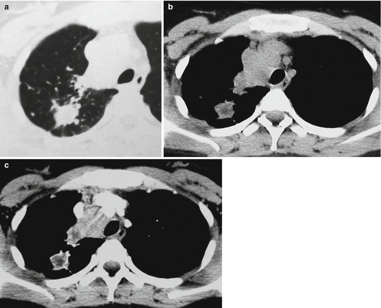
Old Tb Radiology . Chest radiographs are used to stratify for risk and to assess for asymptomatic active disease. Therefore, time from acquisition of infection to the development of clinical disease does not reliably predict the radiographic appearance of tb. In fact, the advances in molecular epidemiology in the 1990s have led to the discovery that the radiographic appearances of tb depends. Unfortunately, a history of infection with or exposure to tuberculosis may or may not be present, and evidence of active tuberculosis is present in less than 50% of cases. Sequelae of previous tuberculosis that is now inactive manifest characteristically as fibronodular opacities in the apical and upper lung zones. The list of possible causes include: Tb dna has been isolated from bone marrow, and it seems possible that bacteria remain dormant in the hypoxic environment of bone. Stability of radiographic findings for 6 months distinguishes inactive from active disease. Prior sarcoid prior exposure to silica dust Persons who have nodular or fibrotic lesions consistent with findings of old tuberculosis on chest radiograph and a positive tuberculin skin test. Old tb and other granulomatous conditions, e.g.
from www.cureus.com
In fact, the advances in molecular epidemiology in the 1990s have led to the discovery that the radiographic appearances of tb depends. Stability of radiographic findings for 6 months distinguishes inactive from active disease. Chest radiographs are used to stratify for risk and to assess for asymptomatic active disease. Sequelae of previous tuberculosis that is now inactive manifest characteristically as fibronodular opacities in the apical and upper lung zones. Therefore, time from acquisition of infection to the development of clinical disease does not reliably predict the radiographic appearance of tb. Prior sarcoid prior exposure to silica dust The list of possible causes include: Persons who have nodular or fibrotic lesions consistent with findings of old tuberculosis on chest radiograph and a positive tuberculin skin test. Old tb and other granulomatous conditions, e.g. Unfortunately, a history of infection with or exposure to tuberculosis may or may not be present, and evidence of active tuberculosis is present in less than 50% of cases.
Cureus Tuberculosis and Sarcoidosis Overlap A Clinical Challenge
Old Tb Radiology Old tb and other granulomatous conditions, e.g. Persons who have nodular or fibrotic lesions consistent with findings of old tuberculosis on chest radiograph and a positive tuberculin skin test. Therefore, time from acquisition of infection to the development of clinical disease does not reliably predict the radiographic appearance of tb. In fact, the advances in molecular epidemiology in the 1990s have led to the discovery that the radiographic appearances of tb depends. Stability of radiographic findings for 6 months distinguishes inactive from active disease. Chest radiographs are used to stratify for risk and to assess for asymptomatic active disease. Tb dna has been isolated from bone marrow, and it seems possible that bacteria remain dormant in the hypoxic environment of bone. Prior sarcoid prior exposure to silica dust Sequelae of previous tuberculosis that is now inactive manifest characteristically as fibronodular opacities in the apical and upper lung zones. Old tb and other granulomatous conditions, e.g. Unfortunately, a history of infection with or exposure to tuberculosis may or may not be present, and evidence of active tuberculosis is present in less than 50% of cases. The list of possible causes include:
From radiologycases.my
Pulmonary tuberculosis Radiology Cases Old Tb Radiology Persons who have nodular or fibrotic lesions consistent with findings of old tuberculosis on chest radiograph and a positive tuberculin skin test. Sequelae of previous tuberculosis that is now inactive manifest characteristically as fibronodular opacities in the apical and upper lung zones. The list of possible causes include: Stability of radiographic findings for 6 months distinguishes inactive from active disease.. Old Tb Radiology.
From www.irisclma.co
old tb醫學 Slobo Old Tb Radiology Tb dna has been isolated from bone marrow, and it seems possible that bacteria remain dormant in the hypoxic environment of bone. Stability of radiographic findings for 6 months distinguishes inactive from active disease. In fact, the advances in molecular epidemiology in the 1990s have led to the discovery that the radiographic appearances of tb depends. Chest radiographs are used. Old Tb Radiology.
From pubs.rsna.org
Pulmonary Tuberculosis Role of Radiology in Diagnosis and Management Old Tb Radiology Therefore, time from acquisition of infection to the development of clinical disease does not reliably predict the radiographic appearance of tb. The list of possible causes include: Tb dna has been isolated from bone marrow, and it seems possible that bacteria remain dormant in the hypoxic environment of bone. Sequelae of previous tuberculosis that is now inactive manifest characteristically as. Old Tb Radiology.
From lungs.thecommonvein.net
039LU TB Cavitation Pre and Post Rx Lungs Old Tb Radiology In fact, the advances in molecular epidemiology in the 1990s have led to the discovery that the radiographic appearances of tb depends. Therefore, time from acquisition of infection to the development of clinical disease does not reliably predict the radiographic appearance of tb. Old tb and other granulomatous conditions, e.g. Unfortunately, a history of infection with or exposure to tuberculosis. Old Tb Radiology.
From www.animalia-life.club
Tuberculosis Lung X Ray Old Tb Radiology Stability of radiographic findings for 6 months distinguishes inactive from active disease. Therefore, time from acquisition of infection to the development of clinical disease does not reliably predict the radiographic appearance of tb. The list of possible causes include: Chest radiographs are used to stratify for risk and to assess for asymptomatic active disease. Persons who have nodular or fibrotic. Old Tb Radiology.
From www.pinterest.com
Miliary TB Radiology imaging, Sonography school, Medical information Old Tb Radiology Tb dna has been isolated from bone marrow, and it seems possible that bacteria remain dormant in the hypoxic environment of bone. Unfortunately, a history of infection with or exposure to tuberculosis may or may not be present, and evidence of active tuberculosis is present in less than 50% of cases. Persons who have nodular or fibrotic lesions consistent with. Old Tb Radiology.
From www.dreamstime.com
Chest Xray of a Patient with Old TB Stock Photo Image of disease Old Tb Radiology Persons who have nodular or fibrotic lesions consistent with findings of old tuberculosis on chest radiograph and a positive tuberculin skin test. The list of possible causes include: Unfortunately, a history of infection with or exposure to tuberculosis may or may not be present, and evidence of active tuberculosis is present in less than 50% of cases. In fact, the. Old Tb Radiology.
From pubs.rsna.org
Pulmonary Tuberculosis Role of Radiology in Diagnosis and Management Old Tb Radiology Therefore, time from acquisition of infection to the development of clinical disease does not reliably predict the radiographic appearance of tb. Old tb and other granulomatous conditions, e.g. Sequelae of previous tuberculosis that is now inactive manifest characteristically as fibronodular opacities in the apical and upper lung zones. Unfortunately, a history of infection with or exposure to tuberculosis may or. Old Tb Radiology.
From journal.medizzy.com
Case Of Miliary Tuberculosis In 56YearOld Male Patient Old Tb Radiology Sequelae of previous tuberculosis that is now inactive manifest characteristically as fibronodular opacities in the apical and upper lung zones. Old tb and other granulomatous conditions, e.g. Persons who have nodular or fibrotic lesions consistent with findings of old tuberculosis on chest radiograph and a positive tuberculin skin test. The list of possible causes include: Tb dna has been isolated. Old Tb Radiology.
From www.ctchestreview.com
Tuberculosis CT Chest Review Old Tb Radiology Therefore, time from acquisition of infection to the development of clinical disease does not reliably predict the radiographic appearance of tb. Prior sarcoid prior exposure to silica dust Unfortunately, a history of infection with or exposure to tuberculosis may or may not be present, and evidence of active tuberculosis is present in less than 50% of cases. Sequelae of previous. Old Tb Radiology.
From www.ajronline.org
Pulmonary Tuberculosis UptoDate Imaging and Management AJR Old Tb Radiology The list of possible causes include: Persons who have nodular or fibrotic lesions consistent with findings of old tuberculosis on chest radiograph and a positive tuberculin skin test. Chest radiographs are used to stratify for risk and to assess for asymptomatic active disease. Sequelae of previous tuberculosis that is now inactive manifest characteristically as fibronodular opacities in the apical and. Old Tb Radiology.
From www.alamyimages.fr
Radiographie d'un patient atteint de tuberculose pulmonaire Photo Stock Old Tb Radiology Persons who have nodular or fibrotic lesions consistent with findings of old tuberculosis on chest radiograph and a positive tuberculin skin test. Old tb and other granulomatous conditions, e.g. The list of possible causes include: Tb dna has been isolated from bone marrow, and it seems possible that bacteria remain dormant in the hypoxic environment of bone. Stability of radiographic. Old Tb Radiology.
From www.youtube.com
Tuberculosis, Active TB , Chest x ray YouTube Old Tb Radiology Old tb and other granulomatous conditions, e.g. Tb dna has been isolated from bone marrow, and it seems possible that bacteria remain dormant in the hypoxic environment of bone. Persons who have nodular or fibrotic lesions consistent with findings of old tuberculosis on chest radiograph and a positive tuberculin skin test. Therefore, time from acquisition of infection to the development. Old Tb Radiology.
From radiopaedia.org
Pulmonary tuberculosis Image Old Tb Radiology Sequelae of previous tuberculosis that is now inactive manifest characteristically as fibronodular opacities in the apical and upper lung zones. The list of possible causes include: Stability of radiographic findings for 6 months distinguishes inactive from active disease. Persons who have nodular or fibrotic lesions consistent with findings of old tuberculosis on chest radiograph and a positive tuberculin skin test.. Old Tb Radiology.
From busy.org
HEALTH DEPARTMENT GUJRAT RADIOLOGY CHEST XRAY WITH REPORT T.B Old Tb Radiology Stability of radiographic findings for 6 months distinguishes inactive from active disease. In fact, the advances in molecular epidemiology in the 1990s have led to the discovery that the radiographic appearances of tb depends. Old tb and other granulomatous conditions, e.g. Unfortunately, a history of infection with or exposure to tuberculosis may or may not be present, and evidence of. Old Tb Radiology.
From www.merckmanuals.com
Tuberculosis (TB) Infectious Diseases Merck Manuals Professional Old Tb Radiology In fact, the advances in molecular epidemiology in the 1990s have led to the discovery that the radiographic appearances of tb depends. Prior sarcoid prior exposure to silica dust Chest radiographs are used to stratify for risk and to assess for asymptomatic active disease. Stability of radiographic findings for 6 months distinguishes inactive from active disease. Sequelae of previous tuberculosis. Old Tb Radiology.
From www.pinterest.es
Miliary tuberculosis Radiology Case Radiology Old Tb Radiology Old tb and other granulomatous conditions, e.g. Prior sarcoid prior exposure to silica dust Chest radiographs are used to stratify for risk and to assess for asymptomatic active disease. Tb dna has been isolated from bone marrow, and it seems possible that bacteria remain dormant in the hypoxic environment of bone. Unfortunately, a history of infection with or exposure to. Old Tb Radiology.
From www.slideshare.net
Radiology of Tuberculosis Old Tb Radiology In fact, the advances in molecular epidemiology in the 1990s have led to the discovery that the radiographic appearances of tb depends. Chest radiographs are used to stratify for risk and to assess for asymptomatic active disease. Persons who have nodular or fibrotic lesions consistent with findings of old tuberculosis on chest radiograph and a positive tuberculin skin test. Old. Old Tb Radiology.
From www.alamy.com
Pulmonary tuberculosis. Xray of the lungs of an 80yearold woman Old Tb Radiology Unfortunately, a history of infection with or exposure to tuberculosis may or may not be present, and evidence of active tuberculosis is present in less than 50% of cases. Sequelae of previous tuberculosis that is now inactive manifest characteristically as fibronodular opacities in the apical and upper lung zones. Old tb and other granulomatous conditions, e.g. The list of possible. Old Tb Radiology.
From radiologykey.com
Pulmonary Tuberculosis Radiology Key Old Tb Radiology The list of possible causes include: Persons who have nodular or fibrotic lesions consistent with findings of old tuberculosis on chest radiograph and a positive tuberculin skin test. Stability of radiographic findings for 6 months distinguishes inactive from active disease. In fact, the advances in molecular epidemiology in the 1990s have led to the discovery that the radiographic appearances of. Old Tb Radiology.
From pubs.rsna.org
Pulmonary Tuberculosis Role of Radiology in Diagnosis and Management Old Tb Radiology Persons who have nodular or fibrotic lesions consistent with findings of old tuberculosis on chest radiograph and a positive tuberculin skin test. Chest radiographs are used to stratify for risk and to assess for asymptomatic active disease. Stability of radiographic findings for 6 months distinguishes inactive from active disease. Sequelae of previous tuberculosis that is now inactive manifest characteristically as. Old Tb Radiology.
From www.cureus.com
Cureus Tuberculosis and Sarcoidosis Overlap A Clinical Challenge Old Tb Radiology Prior sarcoid prior exposure to silica dust Sequelae of previous tuberculosis that is now inactive manifest characteristically as fibronodular opacities in the apical and upper lung zones. In fact, the advances in molecular epidemiology in the 1990s have led to the discovery that the radiographic appearances of tb depends. Unfortunately, a history of infection with or exposure to tuberculosis may. Old Tb Radiology.
From radiopaedia.org
Miliary tuberculosis Image Old Tb Radiology Unfortunately, a history of infection with or exposure to tuberculosis may or may not be present, and evidence of active tuberculosis is present in less than 50% of cases. Persons who have nodular or fibrotic lesions consistent with findings of old tuberculosis on chest radiograph and a positive tuberculin skin test. Prior sarcoid prior exposure to silica dust Chest radiographs. Old Tb Radiology.
From www.ajronline.org
Pulmonary Tuberculosis UptoDate Imaging and Management AJR Old Tb Radiology Prior sarcoid prior exposure to silica dust In fact, the advances in molecular epidemiology in the 1990s have led to the discovery that the radiographic appearances of tb depends. Unfortunately, a history of infection with or exposure to tuberculosis may or may not be present, and evidence of active tuberculosis is present in less than 50% of cases. Therefore, time. Old Tb Radiology.
From museum.aarc.org
Pulmonary Tuberculosis Old Tb Radiology Stability of radiographic findings for 6 months distinguishes inactive from active disease. In fact, the advances in molecular epidemiology in the 1990s have led to the discovery that the radiographic appearances of tb depends. Prior sarcoid prior exposure to silica dust Unfortunately, a history of infection with or exposure to tuberculosis may or may not be present, and evidence of. Old Tb Radiology.
From pubs.rsna.org
Tuberculosis A Radiologic Review RadioGraphics Old Tb Radiology Therefore, time from acquisition of infection to the development of clinical disease does not reliably predict the radiographic appearance of tb. Sequelae of previous tuberculosis that is now inactive manifest characteristically as fibronodular opacities in the apical and upper lung zones. The list of possible causes include: Tb dna has been isolated from bone marrow, and it seems possible that. Old Tb Radiology.
From err.ersjournals.com
Pulmonary tuberculosis masquerading as metastatic lung disease Old Tb Radiology Stability of radiographic findings for 6 months distinguishes inactive from active disease. Sequelae of previous tuberculosis that is now inactive manifest characteristically as fibronodular opacities in the apical and upper lung zones. The list of possible causes include: Chest radiographs are used to stratify for risk and to assess for asymptomatic active disease. Old tb and other granulomatous conditions, e.g.. Old Tb Radiology.
From www.pinterest.com
Chest xray severe changes from chronic tuberculosis. radiologist Old Tb Radiology Sequelae of previous tuberculosis that is now inactive manifest characteristically as fibronodular opacities in the apical and upper lung zones. Prior sarcoid prior exposure to silica dust Chest radiographs are used to stratify for risk and to assess for asymptomatic active disease. Therefore, time from acquisition of infection to the development of clinical disease does not reliably predict the radiographic. Old Tb Radiology.
From www.learningradiology.com
LearningRadiology TB, tuberculosis Old Tb Radiology Chest radiographs are used to stratify for risk and to assess for asymptomatic active disease. Stability of radiographic findings for 6 months distinguishes inactive from active disease. Sequelae of previous tuberculosis that is now inactive manifest characteristically as fibronodular opacities in the apical and upper lung zones. The list of possible causes include: In fact, the advances in molecular epidemiology. Old Tb Radiology.
From www.sciencephoto.com
Tuberculosis of the lung, Xray Stock Image C026/1123 Science Old Tb Radiology Therefore, time from acquisition of infection to the development of clinical disease does not reliably predict the radiographic appearance of tb. Persons who have nodular or fibrotic lesions consistent with findings of old tuberculosis on chest radiograph and a positive tuberculin skin test. Chest radiographs are used to stratify for risk and to assess for asymptomatic active disease. In fact,. Old Tb Radiology.
From radiologycases.my
Tuberculous otomastoiditis as initial presentation of disseminated TB Old Tb Radiology Stability of radiographic findings for 6 months distinguishes inactive from active disease. Old tb and other granulomatous conditions, e.g. The list of possible causes include: Sequelae of previous tuberculosis that is now inactive manifest characteristically as fibronodular opacities in the apical and upper lung zones. In fact, the advances in molecular epidemiology in the 1990s have led to the discovery. Old Tb Radiology.
From www.shutterstock.com
Pulmonary Tuberculosis Tb Chest Xray Old Stock Photo (Edit Now) 1270720462 Old Tb Radiology Chest radiographs are used to stratify for risk and to assess for asymptomatic active disease. Unfortunately, a history of infection with or exposure to tuberculosis may or may not be present, and evidence of active tuberculosis is present in less than 50% of cases. Persons who have nodular or fibrotic lesions consistent with findings of old tuberculosis on chest radiograph. Old Tb Radiology.
From www.mdpi.com
Pathogens Free FullText Chest Imaging for Pulmonary TB—An Update Old Tb Radiology Stability of radiographic findings for 6 months distinguishes inactive from active disease. Chest radiographs are used to stratify for risk and to assess for asymptomatic active disease. Tb dna has been isolated from bone marrow, and it seems possible that bacteria remain dormant in the hypoxic environment of bone. Therefore, time from acquisition of infection to the development of clinical. Old Tb Radiology.
From www.mdpi.com
Diagnostics Free FullText The Diagnostic Deceiver Radiological Old Tb Radiology The list of possible causes include: Tb dna has been isolated from bone marrow, and it seems possible that bacteria remain dormant in the hypoxic environment of bone. Sequelae of previous tuberculosis that is now inactive manifest characteristically as fibronodular opacities in the apical and upper lung zones. Prior sarcoid prior exposure to silica dust Unfortunately, a history of infection. Old Tb Radiology.
From www.learningradiology.com
LearningRadiology Thoracoplasty, tb, ribs, thorax, wall, thoracic Old Tb Radiology Tb dna has been isolated from bone marrow, and it seems possible that bacteria remain dormant in the hypoxic environment of bone. Persons who have nodular or fibrotic lesions consistent with findings of old tuberculosis on chest radiograph and a positive tuberculin skin test. Sequelae of previous tuberculosis that is now inactive manifest characteristically as fibronodular opacities in the apical. Old Tb Radiology.