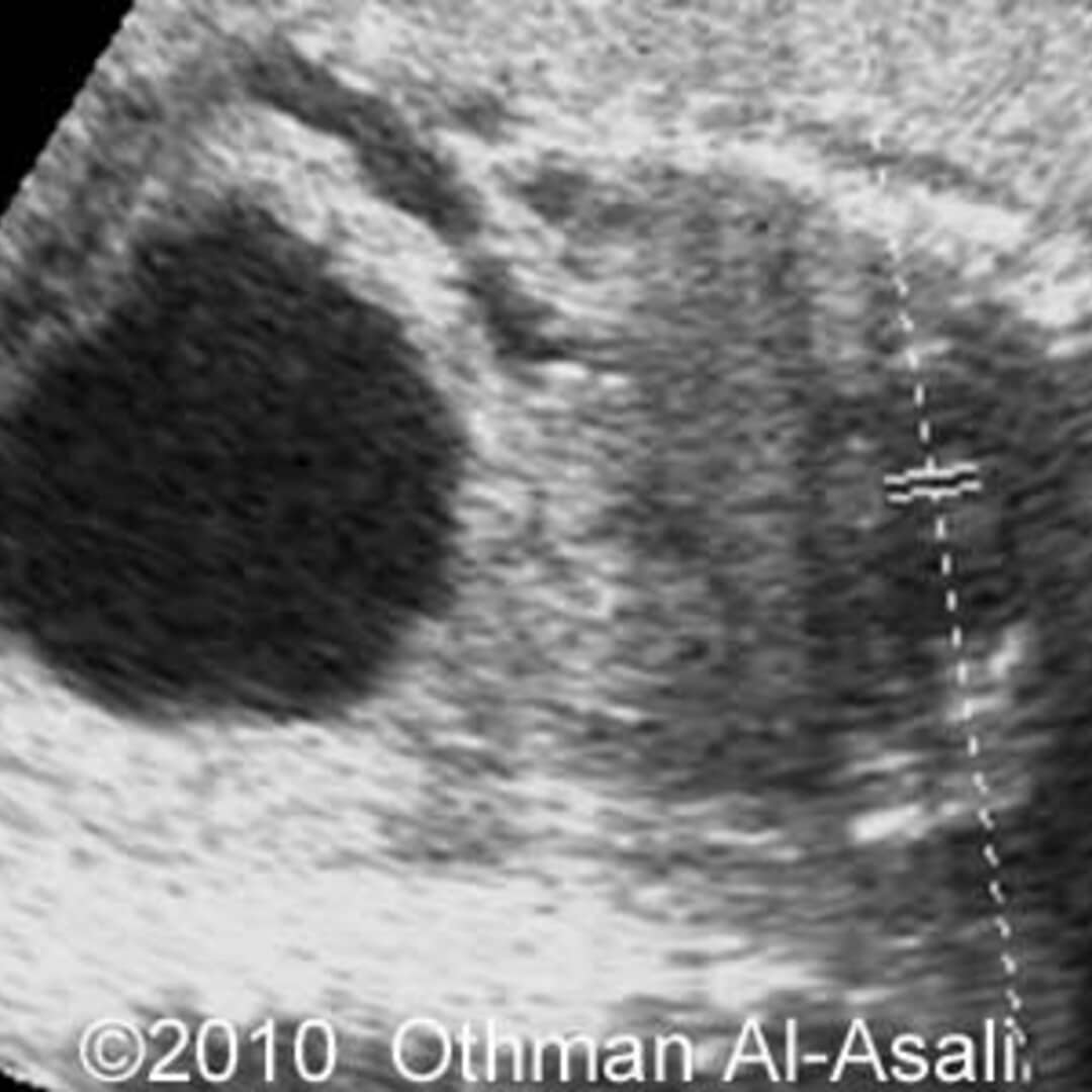
Keyhole Sign In Posterior Urethral Valve . Ultrasound examination shows a dilated, thick. bernardes ls, aksnes g, saada j, masse v, elie c, dumez y, et al. the most common cause of fetal bladder outlet obstruction is posterior urethral valves. keyhole sign in posterior urethral valve. ultrasound plays an important role in characterizing this condition, revealing a classic configuration known as. It refers to the appearance of the proximal. posterior urethral valves are a rare congenital disorder affecting the male urinary tract, characterized by abnormal membranous folds in the. the keyhole sign is an ultrasonographic sign seen in boys with posterior urethral valves. How specific is it for the diagnosis of posterior. Hydronephrosis in a male fetus can be an indicator for several different possible diagnoses, including posterior urethral valves.
from tri-giac-la-gi-vi-du.blogspot.com
the most common cause of fetal bladder outlet obstruction is posterior urethral valves. How specific is it for the diagnosis of posterior. posterior urethral valves are a rare congenital disorder affecting the male urinary tract, characterized by abnormal membranous folds in the. It refers to the appearance of the proximal. keyhole sign in posterior urethral valve. Ultrasound examination shows a dilated, thick. ultrasound plays an important role in characterizing this condition, revealing a classic configuration known as. bernardes ls, aksnes g, saada j, masse v, elie c, dumez y, et al. the keyhole sign is an ultrasonographic sign seen in boys with posterior urethral valves. Hydronephrosis in a male fetus can be an indicator for several different possible diagnoses, including posterior urethral valves.
[Download 46+] Get Posterior Urethral Valve Keyhole Sign Background jpg
Keyhole Sign In Posterior Urethral Valve the most common cause of fetal bladder outlet obstruction is posterior urethral valves. ultrasound plays an important role in characterizing this condition, revealing a classic configuration known as. Hydronephrosis in a male fetus can be an indicator for several different possible diagnoses, including posterior urethral valves. the most common cause of fetal bladder outlet obstruction is posterior urethral valves. the keyhole sign is an ultrasonographic sign seen in boys with posterior urethral valves. bernardes ls, aksnes g, saada j, masse v, elie c, dumez y, et al. It refers to the appearance of the proximal. posterior urethral valves are a rare congenital disorder affecting the male urinary tract, characterized by abnormal membranous folds in the. Ultrasound examination shows a dilated, thick. How specific is it for the diagnosis of posterior. keyhole sign in posterior urethral valve.
From medizzy.com
Posterior Urethral Valve MEDizzy Keyhole Sign In Posterior Urethral Valve the keyhole sign is an ultrasonographic sign seen in boys with posterior urethral valves. bernardes ls, aksnes g, saada j, masse v, elie c, dumez y, et al. Hydronephrosis in a male fetus can be an indicator for several different possible diagnoses, including posterior urethral valves. ultrasound plays an important role in characterizing this condition, revealing a. Keyhole Sign In Posterior Urethral Valve.
From www.animalia-life.club
Posterior Urethral Valves Diagram Keyhole Sign In Posterior Urethral Valve posterior urethral valves are a rare congenital disorder affecting the male urinary tract, characterized by abnormal membranous folds in the. Hydronephrosis in a male fetus can be an indicator for several different possible diagnoses, including posterior urethral valves. the most common cause of fetal bladder outlet obstruction is posterior urethral valves. keyhole sign in posterior urethral valve.. Keyhole Sign In Posterior Urethral Valve.
From radiopaedia.org
Posterior urethral valves Image Keyhole Sign In Posterior Urethral Valve How specific is it for the diagnosis of posterior. the keyhole sign is an ultrasonographic sign seen in boys with posterior urethral valves. bernardes ls, aksnes g, saada j, masse v, elie c, dumez y, et al. Hydronephrosis in a male fetus can be an indicator for several different possible diagnoses, including posterior urethral valves. the most. Keyhole Sign In Posterior Urethral Valve.
From www.semanticscholar.org
Figure 3 from Fetal MRI Urography and Antenatal Diagnosis of Posterior Keyhole Sign In Posterior Urethral Valve posterior urethral valves are a rare congenital disorder affecting the male urinary tract, characterized by abnormal membranous folds in the. ultrasound plays an important role in characterizing this condition, revealing a classic configuration known as. How specific is it for the diagnosis of posterior. the keyhole sign is an ultrasonographic sign seen in boys with posterior urethral. Keyhole Sign In Posterior Urethral Valve.
From www.scribd.com
Posterior Urethral Valves (PUV) _ Children's Hospital of Philadelphia Keyhole Sign In Posterior Urethral Valve Hydronephrosis in a male fetus can be an indicator for several different possible diagnoses, including posterior urethral valves. the most common cause of fetal bladder outlet obstruction is posterior urethral valves. ultrasound plays an important role in characterizing this condition, revealing a classic configuration known as. keyhole sign in posterior urethral valve. How specific is it for. Keyhole Sign In Posterior Urethral Valve.
From thefetus.net
📃 Posterior urethral valves Keyhole Sign In Posterior Urethral Valve It refers to the appearance of the proximal. keyhole sign in posterior urethral valve. Ultrasound examination shows a dilated, thick. How specific is it for the diagnosis of posterior. the most common cause of fetal bladder outlet obstruction is posterior urethral valves. the keyhole sign is an ultrasonographic sign seen in boys with posterior urethral valves. . Keyhole Sign In Posterior Urethral Valve.
From www.villageinframe.com
Keyhole Sign Radiology A Pictures Of Hole 2018 Keyhole Sign In Posterior Urethral Valve ultrasound plays an important role in characterizing this condition, revealing a classic configuration known as. the keyhole sign is an ultrasonographic sign seen in boys with posterior urethral valves. the most common cause of fetal bladder outlet obstruction is posterior urethral valves. How specific is it for the diagnosis of posterior. Hydronephrosis in a male fetus can. Keyhole Sign In Posterior Urethral Valve.
From radiopaedia.org
Image Keyhole Sign In Posterior Urethral Valve posterior urethral valves are a rare congenital disorder affecting the male urinary tract, characterized by abnormal membranous folds in the. the keyhole sign is an ultrasonographic sign seen in boys with posterior urethral valves. How specific is it for the diagnosis of posterior. keyhole sign in posterior urethral valve. ultrasound plays an important role in characterizing. Keyhole Sign In Posterior Urethral Valve.
From kidney.thecommonvein.net
IF Finding Sign Keyhole Sign Kidney Keyhole Sign In Posterior Urethral Valve Ultrasound examination shows a dilated, thick. It refers to the appearance of the proximal. posterior urethral valves are a rare congenital disorder affecting the male urinary tract, characterized by abnormal membranous folds in the. keyhole sign in posterior urethral valve. bernardes ls, aksnes g, saada j, masse v, elie c, dumez y, et al. the keyhole. Keyhole Sign In Posterior Urethral Valve.
From www.youtube.com
Posterior Urethral Valve (PUV) Explained YouTube Keyhole Sign In Posterior Urethral Valve bernardes ls, aksnes g, saada j, masse v, elie c, dumez y, et al. the keyhole sign is an ultrasonographic sign seen in boys with posterior urethral valves. It refers to the appearance of the proximal. How specific is it for the diagnosis of posterior. posterior urethral valves are a rare congenital disorder affecting the male urinary. Keyhole Sign In Posterior Urethral Valve.
From www.imagejournals.org
Antenatal Urinoma Revealing a Posterior Urethral Valve International Keyhole Sign In Posterior Urethral Valve ultrasound plays an important role in characterizing this condition, revealing a classic configuration known as. Ultrasound examination shows a dilated, thick. keyhole sign in posterior urethral valve. the keyhole sign is an ultrasonographic sign seen in boys with posterior urethral valves. How specific is it for the diagnosis of posterior. Hydronephrosis in a male fetus can be. Keyhole Sign In Posterior Urethral Valve.
From www.osmosis.org
Posterior urethral valves Video, Anatomy & Definition Osmosis Keyhole Sign In Posterior Urethral Valve bernardes ls, aksnes g, saada j, masse v, elie c, dumez y, et al. It refers to the appearance of the proximal. the keyhole sign is an ultrasonographic sign seen in boys with posterior urethral valves. posterior urethral valves are a rare congenital disorder affecting the male urinary tract, characterized by abnormal membranous folds in the. . Keyhole Sign In Posterior Urethral Valve.
From www.animalia-life.club
Posterior Urethral Valves Diagram Keyhole Sign In Posterior Urethral Valve keyhole sign in posterior urethral valve. It refers to the appearance of the proximal. bernardes ls, aksnes g, saada j, masse v, elie c, dumez y, et al. the keyhole sign is an ultrasonographic sign seen in boys with posterior urethral valves. How specific is it for the diagnosis of posterior. the most common cause of. Keyhole Sign In Posterior Urethral Valve.
From www.slideserve.com
PPT OLIGOHYDRAMNIOS PowerPoint Presentation, free download ID3255422 Keyhole Sign In Posterior Urethral Valve posterior urethral valves are a rare congenital disorder affecting the male urinary tract, characterized by abnormal membranous folds in the. the most common cause of fetal bladder outlet obstruction is posterior urethral valves. How specific is it for the diagnosis of posterior. Hydronephrosis in a male fetus can be an indicator for several different possible diagnoses, including posterior. Keyhole Sign In Posterior Urethral Valve.
From radiopaedia.org
Posterior urethral valve (perineal ultrasound) Image Keyhole Sign In Posterior Urethral Valve the keyhole sign is an ultrasonographic sign seen in boys with posterior urethral valves. ultrasound plays an important role in characterizing this condition, revealing a classic configuration known as. posterior urethral valves are a rare congenital disorder affecting the male urinary tract, characterized by abnormal membranous folds in the. the most common cause of fetal bladder. Keyhole Sign In Posterior Urethral Valve.
From thefetus.net
📃 Posterior urethral valve with bladder rupture and urinary ascites Keyhole Sign In Posterior Urethral Valve Ultrasound examination shows a dilated, thick. keyhole sign in posterior urethral valve. Hydronephrosis in a male fetus can be an indicator for several different possible diagnoses, including posterior urethral valves. How specific is it for the diagnosis of posterior. posterior urethral valves are a rare congenital disorder affecting the male urinary tract, characterized by abnormal membranous folds in. Keyhole Sign In Posterior Urethral Valve.
From www.chop.edu
Posterior Urethral Valves (PUV) Children's Hospital of Philadelphia Keyhole Sign In Posterior Urethral Valve posterior urethral valves are a rare congenital disorder affecting the male urinary tract, characterized by abnormal membranous folds in the. Ultrasound examination shows a dilated, thick. ultrasound plays an important role in characterizing this condition, revealing a classic configuration known as. It refers to the appearance of the proximal. the keyhole sign is an ultrasonographic sign seen. Keyhole Sign In Posterior Urethral Valve.
From vi-du-ve-phep-nhan-hoa.blogspot.com
[View 18+] View Ultrasound Images Of Posterior Urethral Valves Pictures cdr Keyhole Sign In Posterior Urethral Valve keyhole sign in posterior urethral valve. bernardes ls, aksnes g, saada j, masse v, elie c, dumez y, et al. Hydronephrosis in a male fetus can be an indicator for several different possible diagnoses, including posterior urethral valves. the keyhole sign is an ultrasonographic sign seen in boys with posterior urethral valves. the most common cause. Keyhole Sign In Posterior Urethral Valve.
From fallingwithstyleineugene.blogspot.com
Key Hole Sign In Posterior Urethral Valve / The 'keyhole sign Keyhole Sign In Posterior Urethral Valve ultrasound plays an important role in characterizing this condition, revealing a classic configuration known as. Ultrasound examination shows a dilated, thick. It refers to the appearance of the proximal. How specific is it for the diagnosis of posterior. keyhole sign in posterior urethral valve. the most common cause of fetal bladder outlet obstruction is posterior urethral valves.. Keyhole Sign In Posterior Urethral Valve.
From tri-giac-la-gi-vi-du.blogspot.com
[Download 46+] Get Posterior Urethral Valve Keyhole Sign Background jpg Keyhole Sign In Posterior Urethral Valve the keyhole sign is an ultrasonographic sign seen in boys with posterior urethral valves. ultrasound plays an important role in characterizing this condition, revealing a classic configuration known as. the most common cause of fetal bladder outlet obstruction is posterior urethral valves. Ultrasound examination shows a dilated, thick. How specific is it for the diagnosis of posterior.. Keyhole Sign In Posterior Urethral Valve.
From thefetus.net
📃 Posterior urethral valve syndrome Keyhole Sign In Posterior Urethral Valve bernardes ls, aksnes g, saada j, masse v, elie c, dumez y, et al. Hydronephrosis in a male fetus can be an indicator for several different possible diagnoses, including posterior urethral valves. the keyhole sign is an ultrasonographic sign seen in boys with posterior urethral valves. How specific is it for the diagnosis of posterior. ultrasound plays. Keyhole Sign In Posterior Urethral Valve.
From fallingwithstyleineugene.blogspot.com
Key Hole Sign In Posterior Urethral Valve / The 'keyhole sign Keyhole Sign In Posterior Urethral Valve the keyhole sign is an ultrasonographic sign seen in boys with posterior urethral valves. bernardes ls, aksnes g, saada j, masse v, elie c, dumez y, et al. ultrasound plays an important role in characterizing this condition, revealing a classic configuration known as. Ultrasound examination shows a dilated, thick. Hydronephrosis in a male fetus can be an. Keyhole Sign In Posterior Urethral Valve.
From www.studypool.com
SOLUTION Posterior urethral valve Studypool Keyhole Sign In Posterior Urethral Valve It refers to the appearance of the proximal. Hydronephrosis in a male fetus can be an indicator for several different possible diagnoses, including posterior urethral valves. keyhole sign in posterior urethral valve. the most common cause of fetal bladder outlet obstruction is posterior urethral valves. the keyhole sign is an ultrasonographic sign seen in boys with posterior. Keyhole Sign In Posterior Urethral Valve.
From fallingwithstyleineugene.blogspot.com
Key Hole Sign In Posterior Urethral Valve / The 'keyhole sign Keyhole Sign In Posterior Urethral Valve Hydronephrosis in a male fetus can be an indicator for several different possible diagnoses, including posterior urethral valves. ultrasound plays an important role in characterizing this condition, revealing a classic configuration known as. It refers to the appearance of the proximal. Ultrasound examination shows a dilated, thick. How specific is it for the diagnosis of posterior. bernardes ls,. Keyhole Sign In Posterior Urethral Valve.
From ar.inspiredpencil.com
Posterior Urethral Valves Ultrasound Keyhole Sign In Posterior Urethral Valve the most common cause of fetal bladder outlet obstruction is posterior urethral valves. ultrasound plays an important role in characterizing this condition, revealing a classic configuration known as. posterior urethral valves are a rare congenital disorder affecting the male urinary tract, characterized by abnormal membranous folds in the. It refers to the appearance of the proximal. . Keyhole Sign In Posterior Urethral Valve.
From ar.inspiredpencil.com
Posterior Urethral Valves Ultrasound Keyhole Sign In Posterior Urethral Valve Ultrasound examination shows a dilated, thick. bernardes ls, aksnes g, saada j, masse v, elie c, dumez y, et al. the most common cause of fetal bladder outlet obstruction is posterior urethral valves. It refers to the appearance of the proximal. keyhole sign in posterior urethral valve. How specific is it for the diagnosis of posterior. Hydronephrosis. Keyhole Sign In Posterior Urethral Valve.
From kidney.thecommonvein.net
Posterior Urethral Valves Kidney Keyhole Sign In Posterior Urethral Valve It refers to the appearance of the proximal. bernardes ls, aksnes g, saada j, masse v, elie c, dumez y, et al. Ultrasound examination shows a dilated, thick. the keyhole sign is an ultrasonographic sign seen in boys with posterior urethral valves. Hydronephrosis in a male fetus can be an indicator for several different possible diagnoses, including posterior. Keyhole Sign In Posterior Urethral Valve.
From sac-zara-matelasse-noir.blogspot.com
[Get 21+] Download Posterior Urethral Valve Keyhole Sign Mcu Background PNG Keyhole Sign In Posterior Urethral Valve the keyhole sign is an ultrasonographic sign seen in boys with posterior urethral valves. How specific is it for the diagnosis of posterior. ultrasound plays an important role in characterizing this condition, revealing a classic configuration known as. Hydronephrosis in a male fetus can be an indicator for several different possible diagnoses, including posterior urethral valves. the. Keyhole Sign In Posterior Urethral Valve.
From obgyn.onlinelibrary.wiley.com
Keyhole sign how specific is it for the diagnosis of posterior Keyhole Sign In Posterior Urethral Valve ultrasound plays an important role in characterizing this condition, revealing a classic configuration known as. It refers to the appearance of the proximal. the keyhole sign is an ultrasonographic sign seen in boys with posterior urethral valves. How specific is it for the diagnosis of posterior. the most common cause of fetal bladder outlet obstruction is posterior. Keyhole Sign In Posterior Urethral Valve.
From www.mathewsopenaccess.com
Posterior Urethral Valve Keyhole Sign In Posterior Urethral Valve Ultrasound examination shows a dilated, thick. bernardes ls, aksnes g, saada j, masse v, elie c, dumez y, et al. ultrasound plays an important role in characterizing this condition, revealing a classic configuration known as. It refers to the appearance of the proximal. How specific is it for the diagnosis of posterior. the most common cause of. Keyhole Sign In Posterior Urethral Valve.
From www.indianradiology.com
Posterior Urethral ValveAntenatal Ultrasound Sumer's Radiology Blog Keyhole Sign In Posterior Urethral Valve Hydronephrosis in a male fetus can be an indicator for several different possible diagnoses, including posterior urethral valves. keyhole sign in posterior urethral valve. ultrasound plays an important role in characterizing this condition, revealing a classic configuration known as. posterior urethral valves are a rare congenital disorder affecting the male urinary tract, characterized by abnormal membranous folds. Keyhole Sign In Posterior Urethral Valve.
From www.researchgate.net
Keyhole sign in posterior urethral valve Request PDF Keyhole Sign In Posterior Urethral Valve posterior urethral valves are a rare congenital disorder affecting the male urinary tract, characterized by abnormal membranous folds in the. the keyhole sign is an ultrasonographic sign seen in boys with posterior urethral valves. How specific is it for the diagnosis of posterior. ultrasound plays an important role in characterizing this condition, revealing a classic configuration known. Keyhole Sign In Posterior Urethral Valve.
From www.youtube.com
Posterior Urethral Valves YouTube Keyhole Sign In Posterior Urethral Valve bernardes ls, aksnes g, saada j, masse v, elie c, dumez y, et al. Ultrasound examination shows a dilated, thick. the most common cause of fetal bladder outlet obstruction is posterior urethral valves. the keyhole sign is an ultrasonographic sign seen in boys with posterior urethral valves. posterior urethral valves are a rare congenital disorder affecting. Keyhole Sign In Posterior Urethral Valve.
From www.academia.edu
(PDF) Keyhole sign how specific is it for the diagnosis of posterior Keyhole Sign In Posterior Urethral Valve keyhole sign in posterior urethral valve. bernardes ls, aksnes g, saada j, masse v, elie c, dumez y, et al. ultrasound plays an important role in characterizing this condition, revealing a classic configuration known as. It refers to the appearance of the proximal. Hydronephrosis in a male fetus can be an indicator for several different possible diagnoses,. Keyhole Sign In Posterior Urethral Valve.
From milosne-zatracenie.blogspot.com
Key Hole Sign In Posterior Urethral Valve / 17 weeks male fetus on Keyhole Sign In Posterior Urethral Valve the keyhole sign is an ultrasonographic sign seen in boys with posterior urethral valves. ultrasound plays an important role in characterizing this condition, revealing a classic configuration known as. posterior urethral valves are a rare congenital disorder affecting the male urinary tract, characterized by abnormal membranous folds in the. It refers to the appearance of the proximal.. Keyhole Sign In Posterior Urethral Valve.