Dental Failed Restorations . Clinicians should be aware of the longevity of, and likely reasons for the failure of, direct posterior restorations. Failure of dental restorations is a major concern in dental practice. Traditionally, replacement was the ideal approach to treat defective composite restorations, however, repairing composites. Replacement of failed restorations constitutes the majority of operative work. Describes the findings of a pilot study exploring the factors that may influence the decision to repair or replace a failed dental. In this study, the authors assessed the acceptance of dental restoration repair by dentists and determined the main variables of repair versus replacement of defective restorations. To improve patient dental care, it is necessary to identify possible risk factors for the failing of restorations. When a restoration fails as a result of discoloration, microleakage, ditching at the margins, delamination, or simple fracture, it needs to be repaired or replaced. Typically, restoration repair involves removing part of the restoration at the defective site to eliminate a localized restorative material or.
from chinthamanidental.blogspot.com
Clinicians should be aware of the longevity of, and likely reasons for the failure of, direct posterior restorations. Replacement of failed restorations constitutes the majority of operative work. Typically, restoration repair involves removing part of the restoration at the defective site to eliminate a localized restorative material or. Traditionally, replacement was the ideal approach to treat defective composite restorations, however, repairing composites. Failure of dental restorations is a major concern in dental practice. To improve patient dental care, it is necessary to identify possible risk factors for the failing of restorations. In this study, the authors assessed the acceptance of dental restoration repair by dentists and determined the main variables of repair versus replacement of defective restorations. When a restoration fails as a result of discoloration, microleakage, ditching at the margins, delamination, or simple fracture, it needs to be repaired or replaced. Describes the findings of a pilot study exploring the factors that may influence the decision to repair or replace a failed dental.
Chinthamani Laser Dental Clinic FAILED DENTAL IMPLANTS HOW TO PROCEED
Dental Failed Restorations Clinicians should be aware of the longevity of, and likely reasons for the failure of, direct posterior restorations. Failure of dental restorations is a major concern in dental practice. Clinicians should be aware of the longevity of, and likely reasons for the failure of, direct posterior restorations. Replacement of failed restorations constitutes the majority of operative work. In this study, the authors assessed the acceptance of dental restoration repair by dentists and determined the main variables of repair versus replacement of defective restorations. To improve patient dental care, it is necessary to identify possible risk factors for the failing of restorations. Traditionally, replacement was the ideal approach to treat defective composite restorations, however, repairing composites. Describes the findings of a pilot study exploring the factors that may influence the decision to repair or replace a failed dental. When a restoration fails as a result of discoloration, microleakage, ditching at the margins, delamination, or simple fracture, it needs to be repaired or replaced. Typically, restoration repair involves removing part of the restoration at the defective site to eliminate a localized restorative material or.
From www.sunrisedentalsmile.com
Failed Dental Implant Removal Houston Dentist Sunrise Dental Center Dental Failed Restorations Replacement of failed restorations constitutes the majority of operative work. Failure of dental restorations is a major concern in dental practice. When a restoration fails as a result of discoloration, microleakage, ditching at the margins, delamination, or simple fracture, it needs to be repaired or replaced. Describes the findings of a pilot study exploring the factors that may influence the. Dental Failed Restorations.
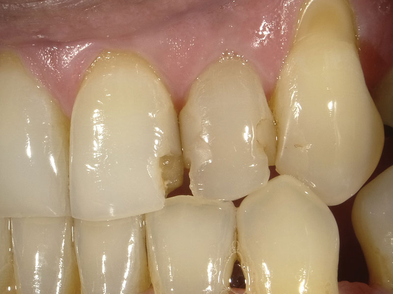
From www.clarencetam.co.nz
Replacement of Failed Restorations in the upper anterior sextant Dental Failed Restorations In this study, the authors assessed the acceptance of dental restoration repair by dentists and determined the main variables of repair versus replacement of defective restorations. Replacement of failed restorations constitutes the majority of operative work. To improve patient dental care, it is necessary to identify possible risk factors for the failing of restorations. When a restoration fails as a. Dental Failed Restorations.
From www.clarencetam.co.nz
Restoring Failed Restorations on Molar Hypomin Dental Failed Restorations When a restoration fails as a result of discoloration, microleakage, ditching at the margins, delamination, or simple fracture, it needs to be repaired or replaced. Clinicians should be aware of the longevity of, and likely reasons for the failure of, direct posterior restorations. Traditionally, replacement was the ideal approach to treat defective composite restorations, however, repairing composites. Describes the findings. Dental Failed Restorations.
From www.fitzgeralddentistry.com
Tooth Restoration & Restorative Dentistry in Murfreesboro TN Dental Failed Restorations Replacement of failed restorations constitutes the majority of operative work. Traditionally, replacement was the ideal approach to treat defective composite restorations, however, repairing composites. To improve patient dental care, it is necessary to identify possible risk factors for the failing of restorations. When a restoration fails as a result of discoloration, microleakage, ditching at the margins, delamination, or simple fracture,. Dental Failed Restorations.
From www.mdpi.com
IJERPH Free FullText The PostAmalgam Era Norwegian Dentists Dental Failed Restorations Replacement of failed restorations constitutes the majority of operative work. Typically, restoration repair involves removing part of the restoration at the defective site to eliminate a localized restorative material or. Describes the findings of a pilot study exploring the factors that may influence the decision to repair or replace a failed dental. Clinicians should be aware of the longevity of,. Dental Failed Restorations.
From klauqyjvu.blob.core.windows.net
What Is Dental Composite Resin at Burton Sweeney blog Dental Failed Restorations Traditionally, replacement was the ideal approach to treat defective composite restorations, however, repairing composites. In this study, the authors assessed the acceptance of dental restoration repair by dentists and determined the main variables of repair versus replacement of defective restorations. Typically, restoration repair involves removing part of the restoration at the defective site to eliminate a localized restorative material or.. Dental Failed Restorations.
From brighterdentist.com
Symptoms, Aftercare, and Recovery From a Failed Dental Bone Graft Dental Failed Restorations Traditionally, replacement was the ideal approach to treat defective composite restorations, however, repairing composites. Describes the findings of a pilot study exploring the factors that may influence the decision to repair or replace a failed dental. Typically, restoration repair involves removing part of the restoration at the defective site to eliminate a localized restorative material or. When a restoration fails. Dental Failed Restorations.
From www.researchgate.net
(a) A failed amalgam restoration on a posterior tooth. (b) Posterior Dental Failed Restorations Describes the findings of a pilot study exploring the factors that may influence the decision to repair or replace a failed dental. Replacement of failed restorations constitutes the majority of operative work. Clinicians should be aware of the longevity of, and likely reasons for the failure of, direct posterior restorations. To improve patient dental care, it is necessary to identify. Dental Failed Restorations.
From www.dentaljuce.com
Direct Restorations Dentsply SDR Smart Dentin Replacement Dental Failed Restorations Failure of dental restorations is a major concern in dental practice. Describes the findings of a pilot study exploring the factors that may influence the decision to repair or replace a failed dental. When a restoration fails as a result of discoloration, microleakage, ditching at the margins, delamination, or simple fracture, it needs to be repaired or replaced. To improve. Dental Failed Restorations.
From www.researchgate.net
Root caries lesions restored using ART. Download Scientific Diagram Dental Failed Restorations Describes the findings of a pilot study exploring the factors that may influence the decision to repair or replace a failed dental. When a restoration fails as a result of discoloration, microleakage, ditching at the margins, delamination, or simple fracture, it needs to be repaired or replaced. Typically, restoration repair involves removing part of the restoration at the defective site. Dental Failed Restorations.
From www.dentalexcellencetech.com
Gallery of Works Dental Excellence Dental Failed Restorations Describes the findings of a pilot study exploring the factors that may influence the decision to repair or replace a failed dental. Traditionally, replacement was the ideal approach to treat defective composite restorations, however, repairing composites. In this study, the authors assessed the acceptance of dental restoration repair by dentists and determined the main variables of repair versus replacement of. Dental Failed Restorations.
From www.clarencetam.co.nz
Restoring Failed Restorations on Molar Hypomin Dental Failed Restorations Replacement of failed restorations constitutes the majority of operative work. To improve patient dental care, it is necessary to identify possible risk factors for the failing of restorations. Traditionally, replacement was the ideal approach to treat defective composite restorations, however, repairing composites. In this study, the authors assessed the acceptance of dental restoration repair by dentists and determined the main. Dental Failed Restorations.
From www.clarencetam.co.nz
Replacement of Failed Restorations in the upper anterior sextant Dental Failed Restorations Clinicians should be aware of the longevity of, and likely reasons for the failure of, direct posterior restorations. Traditionally, replacement was the ideal approach to treat defective composite restorations, however, repairing composites. Failure of dental restorations is a major concern in dental practice. Describes the findings of a pilot study exploring the factors that may influence the decision to repair. Dental Failed Restorations.
From bestlaserdentalclinic.blogspot.com
Failed root canal treatment options USING DENTAL IMPLANTS Dental Failed Restorations Clinicians should be aware of the longevity of, and likely reasons for the failure of, direct posterior restorations. When a restoration fails as a result of discoloration, microleakage, ditching at the margins, delamination, or simple fracture, it needs to be repaired or replaced. Replacement of failed restorations constitutes the majority of operative work. Typically, restoration repair involves removing part of. Dental Failed Restorations.
From www.facialart.com
Staged Treatment of a Failing Dental Implant With Bone Loss, Gum Dental Failed Restorations In this study, the authors assessed the acceptance of dental restoration repair by dentists and determined the main variables of repair versus replacement of defective restorations. To improve patient dental care, it is necessary to identify possible risk factors for the failing of restorations. Clinicians should be aware of the longevity of, and likely reasons for the failure of, direct. Dental Failed Restorations.
From pvfamilydentistry.com
27 Pictures of Dental Implants Amazing Before and After Photos Dental Failed Restorations Traditionally, replacement was the ideal approach to treat defective composite restorations, however, repairing composites. Clinicians should be aware of the longevity of, and likely reasons for the failure of, direct posterior restorations. Replacement of failed restorations constitutes the majority of operative work. To improve patient dental care, it is necessary to identify possible risk factors for the failing of restorations.. Dental Failed Restorations.
From www.bauersmiles.com
Dental Veneers after failed implant Bauer Smiles Dental Failed Restorations When a restoration fails as a result of discoloration, microleakage, ditching at the margins, delamination, or simple fracture, it needs to be repaired or replaced. Replacement of failed restorations constitutes the majority of operative work. Typically, restoration repair involves removing part of the restoration at the defective site to eliminate a localized restorative material or. To improve patient dental care,. Dental Failed Restorations.
From www.researchgate.net
SEM images of failed restorations. A and B Showing the origin of Dental Failed Restorations Describes the findings of a pilot study exploring the factors that may influence the decision to repair or replace a failed dental. Traditionally, replacement was the ideal approach to treat defective composite restorations, however, repairing composites. When a restoration fails as a result of discoloration, microleakage, ditching at the margins, delamination, or simple fracture, it needs to be repaired or. Dental Failed Restorations.
From www.oceanhillsdentistry.com
Old/Failing Restorations Ocean Hills Dentistry Dental Failed Restorations Clinicians should be aware of the longevity of, and likely reasons for the failure of, direct posterior restorations. Typically, restoration repair involves removing part of the restoration at the defective site to eliminate a localized restorative material or. Failure of dental restorations is a major concern in dental practice. Describes the findings of a pilot study exploring the factors that. Dental Failed Restorations.
From bpieducation.co.uk
Restoration of the failing dentition Dental CPD Courses BPI Education Dental Failed Restorations When a restoration fails as a result of discoloration, microleakage, ditching at the margins, delamination, or simple fracture, it needs to be repaired or replaced. Failure of dental restorations is a major concern in dental practice. Replacement of failed restorations constitutes the majority of operative work. Typically, restoration repair involves removing part of the restoration at the defective site to. Dental Failed Restorations.
From www.brisbaneprosthodontics.com.au
Services Poor Composite Restorations Brisbane Prosthodontics Dental Failed Restorations To improve patient dental care, it is necessary to identify possible risk factors for the failing of restorations. Describes the findings of a pilot study exploring the factors that may influence the decision to repair or replace a failed dental. When a restoration fails as a result of discoloration, microleakage, ditching at the margins, delamination, or simple fracture, it needs. Dental Failed Restorations.
From www.youtube.com
Failed Amalgam Fillings Lake Merritt Dental, Oakland, CA YouTube Dental Failed Restorations Typically, restoration repair involves removing part of the restoration at the defective site to eliminate a localized restorative material or. To improve patient dental care, it is necessary to identify possible risk factors for the failing of restorations. In this study, the authors assessed the acceptance of dental restoration repair by dentists and determined the main variables of repair versus. Dental Failed Restorations.
From www.clarencetam.co.nz
Replacement of Failed Restorations in the upper anterior sextant Dental Failed Restorations When a restoration fails as a result of discoloration, microleakage, ditching at the margins, delamination, or simple fracture, it needs to be repaired or replaced. Traditionally, replacement was the ideal approach to treat defective composite restorations, however, repairing composites. Describes the findings of a pilot study exploring the factors that may influence the decision to repair or replace a failed. Dental Failed Restorations.
From www.clarencetam.co.nz
Replacement of Failed Restorations in the upper anterior sextant Dental Failed Restorations In this study, the authors assessed the acceptance of dental restoration repair by dentists and determined the main variables of repair versus replacement of defective restorations. Describes the findings of a pilot study exploring the factors that may influence the decision to repair or replace a failed dental. Typically, restoration repair involves removing part of the restoration at the defective. Dental Failed Restorations.
From hosnerdental.com
Restoration of Worn Teeth Dr. Jack M. Hosner, D.D.S. Dental Failed Restorations To improve patient dental care, it is necessary to identify possible risk factors for the failing of restorations. Replacement of failed restorations constitutes the majority of operative work. In this study, the authors assessed the acceptance of dental restoration repair by dentists and determined the main variables of repair versus replacement of defective restorations. Failure of dental restorations is a. Dental Failed Restorations.
From thedentalimplantguide.org
Preferred Method of Tooth Replacement Dental Failed Restorations When a restoration fails as a result of discoloration, microleakage, ditching at the margins, delamination, or simple fracture, it needs to be repaired or replaced. Replacement of failed restorations constitutes the majority of operative work. Traditionally, replacement was the ideal approach to treat defective composite restorations, however, repairing composites. Failure of dental restorations is a major concern in dental practice.. Dental Failed Restorations.
From bethesdafamilydentistry.com
How to Prevent Dental Implant Failure Dental Failed Restorations Replacement of failed restorations constitutes the majority of operative work. Failure of dental restorations is a major concern in dental practice. Describes the findings of a pilot study exploring the factors that may influence the decision to repair or replace a failed dental. Typically, restoration repair involves removing part of the restoration at the defective site to eliminate a localized. Dental Failed Restorations.
From chinthamanidental.blogspot.com
Chinthamani Laser Dental Clinic FAILED DENTAL IMPLANTS HOW TO PROCEED Dental Failed Restorations To improve patient dental care, it is necessary to identify possible risk factors for the failing of restorations. Traditionally, replacement was the ideal approach to treat defective composite restorations, however, repairing composites. Typically, restoration repair involves removing part of the restoration at the defective site to eliminate a localized restorative material or. Clinicians should be aware of the longevity of,. Dental Failed Restorations.
From www.tooth-life.com
The telltale signs of failed root canal with Xray pictures Dental Failed Restorations Describes the findings of a pilot study exploring the factors that may influence the decision to repair or replace a failed dental. Typically, restoration repair involves removing part of the restoration at the defective site to eliminate a localized restorative material or. When a restoration fails as a result of discoloration, microleakage, ditching at the margins, delamination, or simple fracture,. Dental Failed Restorations.
From drmiski.com
Bad Breath and its causes French Dental Services Dr.Miski Dental Failed Restorations In this study, the authors assessed the acceptance of dental restoration repair by dentists and determined the main variables of repair versus replacement of defective restorations. To improve patient dental care, it is necessary to identify possible risk factors for the failing of restorations. Traditionally, replacement was the ideal approach to treat defective composite restorations, however, repairing composites. Clinicians should. Dental Failed Restorations.
From www.youtube.com
Repair of a Failing Dental Implant YouTube Dental Failed Restorations When a restoration fails as a result of discoloration, microleakage, ditching at the margins, delamination, or simple fracture, it needs to be repaired or replaced. Traditionally, replacement was the ideal approach to treat defective composite restorations, however, repairing composites. Typically, restoration repair involves removing part of the restoration at the defective site to eliminate a localized restorative material or. Failure. Dental Failed Restorations.
From adhesivedentistry.org
Case examples Front tooth repair IAAD International Academy for Dental Failed Restorations When a restoration fails as a result of discoloration, microleakage, ditching at the margins, delamination, or simple fracture, it needs to be repaired or replaced. Typically, restoration repair involves removing part of the restoration at the defective site to eliminate a localized restorative material or. Clinicians should be aware of the longevity of, and likely reasons for the failure of,. Dental Failed Restorations.
From www.researchgate.net
Poor oral hygiene and root caries in a Download Scientific Diagram Dental Failed Restorations When a restoration fails as a result of discoloration, microleakage, ditching at the margins, delamination, or simple fracture, it needs to be repaired or replaced. To improve patient dental care, it is necessary to identify possible risk factors for the failing of restorations. Describes the findings of a pilot study exploring the factors that may influence the decision to repair. Dental Failed Restorations.
From www.aegisdentalnetwork.com
Retreating Failed Anterior Direct Composite Restorations December Dental Failed Restorations Typically, restoration repair involves removing part of the restoration at the defective site to eliminate a localized restorative material or. When a restoration fails as a result of discoloration, microleakage, ditching at the margins, delamination, or simple fracture, it needs to be repaired or replaced. Traditionally, replacement was the ideal approach to treat defective composite restorations, however, repairing composites. Replacement. Dental Failed Restorations.
From dickeydental.com
Direct Composite Treatments And Traumatic Dental Injuries Rock Hill, SC Dental Failed Restorations Clinicians should be aware of the longevity of, and likely reasons for the failure of, direct posterior restorations. When a restoration fails as a result of discoloration, microleakage, ditching at the margins, delamination, or simple fracture, it needs to be repaired or replaced. Replacement of failed restorations constitutes the majority of operative work. Traditionally, replacement was the ideal approach to. Dental Failed Restorations.