Optics Optical Coherence Tomography . Optical coherence tomography (oct) is a non. Optical coherence tomography (oct) is a noninvasive imaging method that uses reflected light to create pictures of the back of. Optical coherence tomography (oct), first demonstrated in 1991 (ref. This study covers all aspects. Oct utilizes a concept known as interferometry to.
from www.slideshare.net
Oct utilizes a concept known as interferometry to. Optical coherence tomography (oct) is a noninvasive imaging method that uses reflected light to create pictures of the back of. Optical coherence tomography (oct) is a non. Optical coherence tomography (oct), first demonstrated in 1991 (ref. This study covers all aspects.
Optical Coherence Tomography principle and uses in ophthalmology
Optics Optical Coherence Tomography Oct utilizes a concept known as interferometry to. Optical coherence tomography (oct) is a noninvasive imaging method that uses reflected light to create pictures of the back of. Optical coherence tomography (oct), first demonstrated in 1991 (ref. Optical coherence tomography (oct) is a non. This study covers all aspects. Oct utilizes a concept known as interferometry to.
From www.researchgate.net
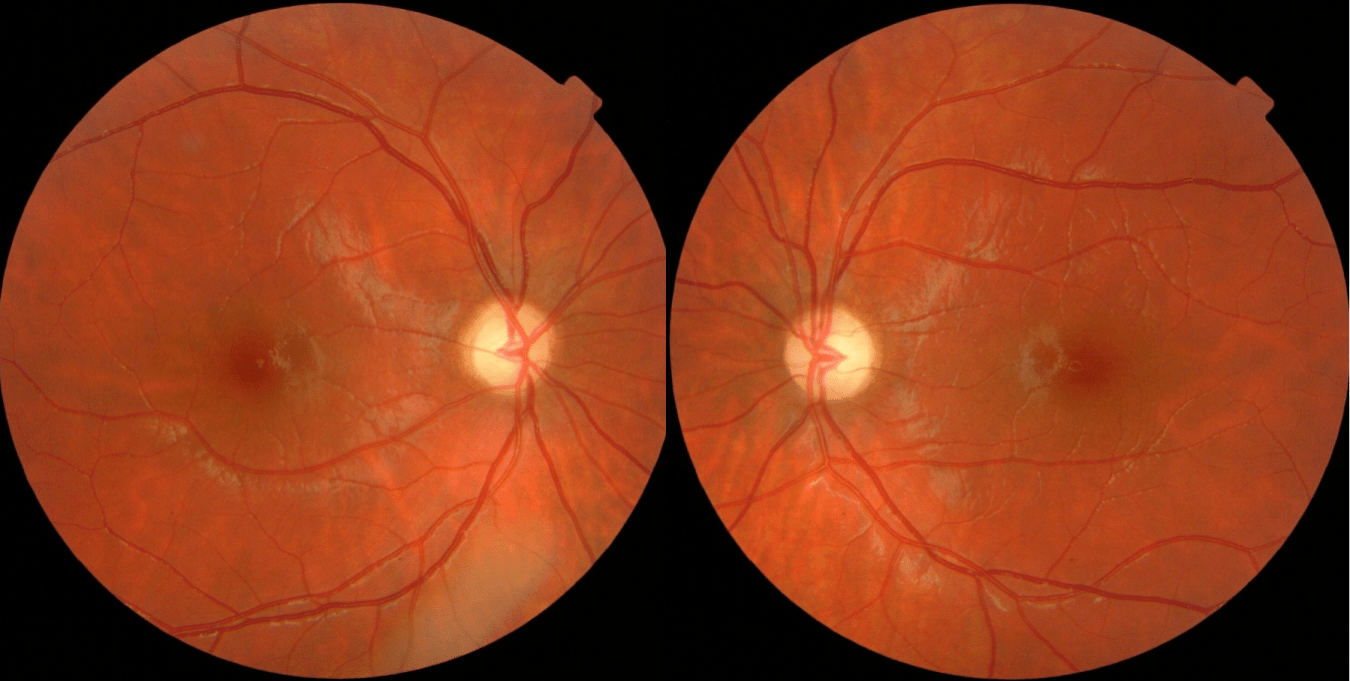
Optic discs appearance and optical coherence tomography (OCT) findings Optics Optical Coherence Tomography This study covers all aspects. Optical coherence tomography (oct) is a noninvasive imaging method that uses reflected light to create pictures of the back of. Optical coherence tomography (oct), first demonstrated in 1991 (ref. Optical coherence tomography (oct) is a non. Oct utilizes a concept known as interferometry to. Optics Optical Coherence Tomography.
From neupsykey.com
Optical coherence tomography and visual in acute optic Optics Optical Coherence Tomography This study covers all aspects. Optical coherence tomography (oct), first demonstrated in 1991 (ref. Optical coherence tomography (oct) is a noninvasive imaging method that uses reflected light to create pictures of the back of. Optical coherence tomography (oct) is a non. Oct utilizes a concept known as interferometry to. Optics Optical Coherence Tomography.
From www.researchgate.net
Optical coherence tomography (OCT) segmentation, electroretinogram Optics Optical Coherence Tomography Optical coherence tomography (oct) is a non. This study covers all aspects. Optical coherence tomography (oct) is a noninvasive imaging method that uses reflected light to create pictures of the back of. Oct utilizes a concept known as interferometry to. Optical coherence tomography (oct), first demonstrated in 1991 (ref. Optics Optical Coherence Tomography.
From www.frontiersin.org
Frontiers Functional Optical Coherence Tomography for Intrinsic Optics Optical Coherence Tomography Optical coherence tomography (oct) is a noninvasive imaging method that uses reflected light to create pictures of the back of. Optical coherence tomography (oct), first demonstrated in 1991 (ref. This study covers all aspects. Oct utilizes a concept known as interferometry to. Optical coherence tomography (oct) is a non. Optics Optical Coherence Tomography.
From www.alamy.com
Optical coherence tomography eye exam using a Topcon OCT1000 medical Optics Optical Coherence Tomography Optical coherence tomography (oct), first demonstrated in 1991 (ref. Optical coherence tomography (oct) is a noninvasive imaging method that uses reflected light to create pictures of the back of. Optical coherence tomography (oct) is a non. This study covers all aspects. Oct utilizes a concept known as interferometry to. Optics Optical Coherence Tomography.
From bios.bme.duke.edu
DualAxis Optical Coherence Tomography (DAOCT) Biomedical Optics Optical Coherence Tomography This study covers all aspects. Optical coherence tomography (oct), first demonstrated in 1991 (ref. Optical coherence tomography (oct) is a noninvasive imaging method that uses reflected light to create pictures of the back of. Oct utilizes a concept known as interferometry to. Optical coherence tomography (oct) is a non. Optics Optical Coherence Tomography.
From www.researchgate.net
Schematic of the optical coherence tomography (OCT) from the left. (A Optics Optical Coherence Tomography Optical coherence tomography (oct) is a noninvasive imaging method that uses reflected light to create pictures of the back of. Optical coherence tomography (oct) is a non. Optical coherence tomography (oct), first demonstrated in 1991 (ref. Oct utilizes a concept known as interferometry to. This study covers all aspects. Optics Optical Coherence Tomography.
From www.aao.org
Optical coherence tomography American Academy of Ophthalmology Optics Optical Coherence Tomography Optical coherence tomography (oct) is a noninvasive imaging method that uses reflected light to create pictures of the back of. Oct utilizes a concept known as interferometry to. This study covers all aspects. Optical coherence tomography (oct) is a non. Optical coherence tomography (oct), first demonstrated in 1991 (ref. Optics Optical Coherence Tomography.
From www.aao.org
Optical coherence tomography American Academy of Ophthalmology Optics Optical Coherence Tomography Optical coherence tomography (oct) is a noninvasive imaging method that uses reflected light to create pictures of the back of. Optical coherence tomography (oct), first demonstrated in 1991 (ref. Optical coherence tomography (oct) is a non. Oct utilizes a concept known as interferometry to. This study covers all aspects. Optics Optical Coherence Tomography.
From www.researchgate.net
Diagram of optical coherence tomography. Download Scientific Diagram Optics Optical Coherence Tomography Optical coherence tomography (oct) is a non. Oct utilizes a concept known as interferometry to. This study covers all aspects. Optical coherence tomography (oct), first demonstrated in 1991 (ref. Optical coherence tomography (oct) is a noninvasive imaging method that uses reflected light to create pictures of the back of. Optics Optical Coherence Tomography.
From www.ophthalmologyscience.org
Evaluation of Foveal Cone and Müller Cells in Epiretinal Membrane using Optics Optical Coherence Tomography Optical coherence tomography (oct), first demonstrated in 1991 (ref. Optical coherence tomography (oct) is a noninvasive imaging method that uses reflected light to create pictures of the back of. Optical coherence tomography (oct) is a non. Oct utilizes a concept known as interferometry to. This study covers all aspects. Optics Optical Coherence Tomography.
From www.lighttrans.com
Working Principle of Optical Coherence Tomography Optics Optical Coherence Tomography Oct utilizes a concept known as interferometry to. Optical coherence tomography (oct), first demonstrated in 1991 (ref. This study covers all aspects. Optical coherence tomography (oct) is a noninvasive imaging method that uses reflected light to create pictures of the back of. Optical coherence tomography (oct) is a non. Optics Optical Coherence Tomography.
From www.wikidoc.org
Optical coherence tomography wikidoc Optics Optical Coherence Tomography Optical coherence tomography (oct), first demonstrated in 1991 (ref. Optical coherence tomography (oct) is a noninvasive imaging method that uses reflected light to create pictures of the back of. Oct utilizes a concept known as interferometry to. Optical coherence tomography (oct) is a non. This study covers all aspects. Optics Optical Coherence Tomography.
From www.researchgate.net
Optical coherence tomography angiography parameters. (A) 3 3 3mm 2 en Optics Optical Coherence Tomography This study covers all aspects. Optical coherence tomography (oct) is a noninvasive imaging method that uses reflected light to create pictures of the back of. Optical coherence tomography (oct), first demonstrated in 1991 (ref. Oct utilizes a concept known as interferometry to. Optical coherence tomography (oct) is a non. Optics Optical Coherence Tomography.
From www.midwesteyeassociates.com
Ocular Coherence Tomography (OCT) Midwest Eye Associates Advanced Optics Optical Coherence Tomography Oct utilizes a concept known as interferometry to. Optical coherence tomography (oct) is a noninvasive imaging method that uses reflected light to create pictures of the back of. Optical coherence tomography (oct) is a non. This study covers all aspects. Optical coherence tomography (oct), first demonstrated in 1991 (ref. Optics Optical Coherence Tomography.
From www.intechopen.com
Optical Coherence Tomography in NeuroOphthalmology IntechOpen Optics Optical Coherence Tomography Optical coherence tomography (oct) is a non. Optical coherence tomography (oct), first demonstrated in 1991 (ref. This study covers all aspects. Oct utilizes a concept known as interferometry to. Optical coherence tomography (oct) is a noninvasive imaging method that uses reflected light to create pictures of the back of. Optics Optical Coherence Tomography.
From eyemantra.in
What is Optical Coherence Tomography (OCT) EyeMantra Optics Optical Coherence Tomography Optical coherence tomography (oct) is a noninvasive imaging method that uses reflected light to create pictures of the back of. Oct utilizes a concept known as interferometry to. This study covers all aspects. Optical coherence tomography (oct) is a non. Optical coherence tomography (oct), first demonstrated in 1991 (ref. Optics Optical Coherence Tomography.
From www.researchgate.net
Adaptive optics optical coherence tomography (AOOCT) for assessing Optics Optical Coherence Tomography Oct utilizes a concept known as interferometry to. Optical coherence tomography (oct) is a non. Optical coherence tomography (oct), first demonstrated in 1991 (ref. Optical coherence tomography (oct) is a noninvasive imaging method that uses reflected light to create pictures of the back of. This study covers all aspects. Optics Optical Coherence Tomography.
From www.aao.org
Optical coherence tomography American Academy of Ophthalmology Optics Optical Coherence Tomography Optical coherence tomography (oct) is a noninvasive imaging method that uses reflected light to create pictures of the back of. Oct utilizes a concept known as interferometry to. This study covers all aspects. Optical coherence tomography (oct) is a non. Optical coherence tomography (oct), first demonstrated in 1991 (ref. Optics Optical Coherence Tomography.
From phys.org
Optical coherence tomography (OCT) longer wavelengths can improve Optics Optical Coherence Tomography Optical coherence tomography (oct) is a noninvasive imaging method that uses reflected light to create pictures of the back of. Optical coherence tomography (oct), first demonstrated in 1991 (ref. Oct utilizes a concept known as interferometry to. Optical coherence tomography (oct) is a non. This study covers all aspects. Optics Optical Coherence Tomography.
From www.aao.org
Optical coherence tomography (OCT) American Academy of Ophthalmology Optics Optical Coherence Tomography Optical coherence tomography (oct) is a noninvasive imaging method that uses reflected light to create pictures of the back of. Optical coherence tomography (oct) is a non. Oct utilizes a concept known as interferometry to. This study covers all aspects. Optical coherence tomography (oct), first demonstrated in 1991 (ref. Optics Optical Coherence Tomography.
From www.hyvisionstar.com
OSE2000 OCT Optical Coherence Tomography Optics Optical Coherence Tomography Optical coherence tomography (oct), first demonstrated in 1991 (ref. Oct utilizes a concept known as interferometry to. This study covers all aspects. Optical coherence tomography (oct) is a non. Optical coherence tomography (oct) is a noninvasive imaging method that uses reflected light to create pictures of the back of. Optics Optical Coherence Tomography.
From lunainc.com
Optical Coherence Tomography Luna Optics Optical Coherence Tomography This study covers all aspects. Optical coherence tomography (oct) is a non. Oct utilizes a concept known as interferometry to. Optical coherence tomography (oct) is a noninvasive imaging method that uses reflected light to create pictures of the back of. Optical coherence tomography (oct), first demonstrated in 1991 (ref. Optics Optical Coherence Tomography.
From www.researchgate.net
Optical coherence tomography angiography VD maps. A. Optical coherence Optics Optical Coherence Tomography Optical coherence tomography (oct) is a non. Optical coherence tomography (oct), first demonstrated in 1991 (ref. This study covers all aspects. Oct utilizes a concept known as interferometry to. Optical coherence tomography (oct) is a noninvasive imaging method that uses reflected light to create pictures of the back of. Optics Optical Coherence Tomography.
From www.researchgate.net
Schematic of the spectraldomain optical coherence tomography (OCT Optics Optical Coherence Tomography Optical coherence tomography (oct) is a non. Oct utilizes a concept known as interferometry to. Optical coherence tomography (oct) is a noninvasive imaging method that uses reflected light to create pictures of the back of. This study covers all aspects. Optical coherence tomography (oct), first demonstrated in 1991 (ref. Optics Optical Coherence Tomography.
From www.researchgate.net
Optical coherence tomography (OCT) images from 3 locations, including Optics Optical Coherence Tomography This study covers all aspects. Optical coherence tomography (oct) is a noninvasive imaging method that uses reflected light to create pictures of the back of. Optical coherence tomography (oct), first demonstrated in 1991 (ref. Optical coherence tomography (oct) is a non. Oct utilizes a concept known as interferometry to. Optics Optical Coherence Tomography.
From www.aao.org
What Is Optical Coherence Tomography? American Academy of Ophthalmology Optics Optical Coherence Tomography This study covers all aspects. Oct utilizes a concept known as interferometry to. Optical coherence tomography (oct), first demonstrated in 1991 (ref. Optical coherence tomography (oct) is a non. Optical coherence tomography (oct) is a noninvasive imaging method that uses reflected light to create pictures of the back of. Optics Optical Coherence Tomography.
From www.slideshare.net
Optical Coherence Tomography principle and uses in ophthalmology Optics Optical Coherence Tomography Oct utilizes a concept known as interferometry to. This study covers all aspects. Optical coherence tomography (oct) is a noninvasive imaging method that uses reflected light to create pictures of the back of. Optical coherence tomography (oct) is a non. Optical coherence tomography (oct), first demonstrated in 1991 (ref. Optics Optical Coherence Tomography.
From www.researchgate.net
Adaptive opticsoptical coherence tomography (AOOCT) image of a human Optics Optical Coherence Tomography Optical coherence tomography (oct) is a non. Optical coherence tomography (oct) is a noninvasive imaging method that uses reflected light to create pictures of the back of. Oct utilizes a concept known as interferometry to. Optical coherence tomography (oct), first demonstrated in 1991 (ref. This study covers all aspects. Optics Optical Coherence Tomography.
From www.optikmedikal.com
Optical Coherence Tomography 3D OCT1 (TypeMaestro2) Optik Medikal Optics Optical Coherence Tomography Optical coherence tomography (oct) is a non. This study covers all aspects. Oct utilizes a concept known as interferometry to. Optical coherence tomography (oct), first demonstrated in 1991 (ref. Optical coherence tomography (oct) is a noninvasive imaging method that uses reflected light to create pictures of the back of. Optics Optical Coherence Tomography.
From www.alamy.com
An optician carrying out an eye test using a Optical Coherence Optics Optical Coherence Tomography Optical coherence tomography (oct) is a noninvasive imaging method that uses reflected light to create pictures of the back of. Optical coherence tomography (oct) is a non. Optical coherence tomography (oct), first demonstrated in 1991 (ref. This study covers all aspects. Oct utilizes a concept known as interferometry to. Optics Optical Coherence Tomography.
From louisiana-eyecare.com
Optical Coherence Tomography Louisiana Eye Care Denham Springs, LA Optics Optical Coherence Tomography This study covers all aspects. Oct utilizes a concept known as interferometry to. Optical coherence tomography (oct) is a noninvasive imaging method that uses reflected light to create pictures of the back of. Optical coherence tomography (oct) is a non. Optical coherence tomography (oct), first demonstrated in 1991 (ref. Optics Optical Coherence Tomography.
From www.spiedigitallibrary.org
Adaptive optics optical coherence tomography for in vivo mouse retinal Optics Optical Coherence Tomography Oct utilizes a concept known as interferometry to. Optical coherence tomography (oct), first demonstrated in 1991 (ref. This study covers all aspects. Optical coherence tomography (oct) is a non. Optical coherence tomography (oct) is a noninvasive imaging method that uses reflected light to create pictures of the back of. Optics Optical Coherence Tomography.
From www.researchgate.net
Typical optical coherence tomography (OCT) report (patient number 2, a Optics Optical Coherence Tomography Optical coherence tomography (oct) is a noninvasive imaging method that uses reflected light to create pictures of the back of. Oct utilizes a concept known as interferometry to. This study covers all aspects. Optical coherence tomography (oct) is a non. Optical coherence tomography (oct), first demonstrated in 1991 (ref. Optics Optical Coherence Tomography.
From www.researchgate.net
Optical coherence tomography of the optic nerve in both eyes Optics Optical Coherence Tomography Oct utilizes a concept known as interferometry to. This study covers all aspects. Optical coherence tomography (oct), first demonstrated in 1991 (ref. Optical coherence tomography (oct) is a non. Optical coherence tomography (oct) is a noninvasive imaging method that uses reflected light to create pictures of the back of. Optics Optical Coherence Tomography.