Pulmonary Thrombectomy Anesthesia . Pulmonary thromboendarterectomy (pte) is the mainstay of therapy for patients with chronic thromboembolic pulmonary hypertension (cteph). This section provides a comprehensive procedural report for pulmonary artery thrombectomy and thrombolysis. This operation leads to major clinical improvement and is a potential cure for a large majority for patients suffering from cteph [1]. Surgery puts patients at increased risk for pulmonary embolism (pe). The purpose of this narrative review is to provide guidance to anesthesiologists for the assessment and management of patients having catheter.
from www.jvir.org
Surgery puts patients at increased risk for pulmonary embolism (pe). This section provides a comprehensive procedural report for pulmonary artery thrombectomy and thrombolysis. This operation leads to major clinical improvement and is a potential cure for a large majority for patients suffering from cteph [1]. The purpose of this narrative review is to provide guidance to anesthesiologists for the assessment and management of patients having catheter. Pulmonary thromboendarterectomy (pte) is the mainstay of therapy for patients with chronic thromboembolic pulmonary hypertension (cteph).
LargeBore Aspiration Thrombectomy versus CatheterDirected
Pulmonary Thrombectomy Anesthesia Pulmonary thromboendarterectomy (pte) is the mainstay of therapy for patients with chronic thromboembolic pulmonary hypertension (cteph). Pulmonary thromboendarterectomy (pte) is the mainstay of therapy for patients with chronic thromboembolic pulmonary hypertension (cteph). The purpose of this narrative review is to provide guidance to anesthesiologists for the assessment and management of patients having catheter. Surgery puts patients at increased risk for pulmonary embolism (pe). This section provides a comprehensive procedural report for pulmonary artery thrombectomy and thrombolysis. This operation leads to major clinical improvement and is a potential cure for a large majority for patients suffering from cteph [1].
From www.researchgate.net
(PDF) Anesthetic management of right atrial mass removal and pulmonary Pulmonary Thrombectomy Anesthesia The purpose of this narrative review is to provide guidance to anesthesiologists for the assessment and management of patients having catheter. This section provides a comprehensive procedural report for pulmonary artery thrombectomy and thrombolysis. Surgery puts patients at increased risk for pulmonary embolism (pe). Pulmonary thromboendarterectomy (pte) is the mainstay of therapy for patients with chronic thromboembolic pulmonary hypertension (cteph).. Pulmonary Thrombectomy Anesthesia.
From mavink.com
Pulmonary Thrombectomy Procedure Pulmonary Thrombectomy Anesthesia This operation leads to major clinical improvement and is a potential cure for a large majority for patients suffering from cteph [1]. This section provides a comprehensive procedural report for pulmonary artery thrombectomy and thrombolysis. Pulmonary thromboendarterectomy (pte) is the mainstay of therapy for patients with chronic thromboembolic pulmonary hypertension (cteph). The purpose of this narrative review is to provide. Pulmonary Thrombectomy Anesthesia.
From jnis.bmj.com
Evolution of thrombectomy approaches and devices for acute stroke a Pulmonary Thrombectomy Anesthesia This operation leads to major clinical improvement and is a potential cure for a large majority for patients suffering from cteph [1]. The purpose of this narrative review is to provide guidance to anesthesiologists for the assessment and management of patients having catheter. Surgery puts patients at increased risk for pulmonary embolism (pe). Pulmonary thromboendarterectomy (pte) is the mainstay of. Pulmonary Thrombectomy Anesthesia.
From www.jcvaonline.com
Case 1—2010 Pulmonary Thrombectomy in an Adult With Fontan Circulation Pulmonary Thrombectomy Anesthesia This section provides a comprehensive procedural report for pulmonary artery thrombectomy and thrombolysis. Surgery puts patients at increased risk for pulmonary embolism (pe). The purpose of this narrative review is to provide guidance to anesthesiologists for the assessment and management of patients having catheter. Pulmonary thromboendarterectomy (pte) is the mainstay of therapy for patients with chronic thromboembolic pulmonary hypertension (cteph).. Pulmonary Thrombectomy Anesthesia.
From www.youtube.com
Pulmonary Embolism Thrombectomy Devices The Basics YouTube Pulmonary Thrombectomy Anesthesia This section provides a comprehensive procedural report for pulmonary artery thrombectomy and thrombolysis. Surgery puts patients at increased risk for pulmonary embolism (pe). Pulmonary thromboendarterectomy (pte) is the mainstay of therapy for patients with chronic thromboembolic pulmonary hypertension (cteph). This operation leads to major clinical improvement and is a potential cure for a large majority for patients suffering from cteph. Pulmonary Thrombectomy Anesthesia.
From www.cureus.com
Cureus Mechanical Thrombectomy for Submassive Pulmonary Embolism in Pulmonary Thrombectomy Anesthesia This section provides a comprehensive procedural report for pulmonary artery thrombectomy and thrombolysis. The purpose of this narrative review is to provide guidance to anesthesiologists for the assessment and management of patients having catheter. Surgery puts patients at increased risk for pulmonary embolism (pe). This operation leads to major clinical improvement and is a potential cure for a large majority. Pulmonary Thrombectomy Anesthesia.
From www.researchgate.net
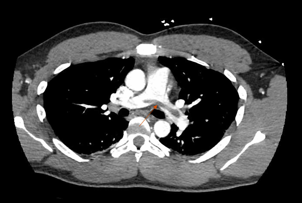
e A CT pulmonary angiogram demonstrating thrombi in right and left Pulmonary Thrombectomy Anesthesia This section provides a comprehensive procedural report for pulmonary artery thrombectomy and thrombolysis. The purpose of this narrative review is to provide guidance to anesthesiologists for the assessment and management of patients having catheter. Surgery puts patients at increased risk for pulmonary embolism (pe). This operation leads to major clinical improvement and is a potential cure for a large majority. Pulmonary Thrombectomy Anesthesia.
From americanjir.com
Percutaneous pulmonary thrombectomy in hemodynamically unstable Pulmonary Thrombectomy Anesthesia This operation leads to major clinical improvement and is a potential cure for a large majority for patients suffering from cteph [1]. Pulmonary thromboendarterectomy (pte) is the mainstay of therapy for patients with chronic thromboembolic pulmonary hypertension (cteph). Surgery puts patients at increased risk for pulmonary embolism (pe). This section provides a comprehensive procedural report for pulmonary artery thrombectomy and. Pulmonary Thrombectomy Anesthesia.
From www.surgical.theclinics.com
Pulmonary Embolism Surgical Clinics Pulmonary Thrombectomy Anesthesia Surgery puts patients at increased risk for pulmonary embolism (pe). The purpose of this narrative review is to provide guidance to anesthesiologists for the assessment and management of patients having catheter. This operation leads to major clinical improvement and is a potential cure for a large majority for patients suffering from cteph [1]. Pulmonary thromboendarterectomy (pte) is the mainstay of. Pulmonary Thrombectomy Anesthesia.
From www.hmpgloballearningnetwork.com
Management of Submassive Pulmonary Embolism With Aspiration Thrombectomy Pulmonary Thrombectomy Anesthesia Pulmonary thromboendarterectomy (pte) is the mainstay of therapy for patients with chronic thromboembolic pulmonary hypertension (cteph). Surgery puts patients at increased risk for pulmonary embolism (pe). The purpose of this narrative review is to provide guidance to anesthesiologists for the assessment and management of patients having catheter. This section provides a comprehensive procedural report for pulmonary artery thrombectomy and thrombolysis.. Pulmonary Thrombectomy Anesthesia.
From www.jcvaonline.com
Percutaneous VacuumAssisted Thrombectomy for Right Atrial Mass Pulmonary Thrombectomy Anesthesia This section provides a comprehensive procedural report for pulmonary artery thrombectomy and thrombolysis. Surgery puts patients at increased risk for pulmonary embolism (pe). This operation leads to major clinical improvement and is a potential cure for a large majority for patients suffering from cteph [1]. The purpose of this narrative review is to provide guidance to anesthesiologists for the assessment. Pulmonary Thrombectomy Anesthesia.
From www.jvir.org
LargeBore Aspiration Thrombectomy versus CatheterDirected Pulmonary Thrombectomy Anesthesia This operation leads to major clinical improvement and is a potential cure for a large majority for patients suffering from cteph [1]. This section provides a comprehensive procedural report for pulmonary artery thrombectomy and thrombolysis. Pulmonary thromboendarterectomy (pte) is the mainstay of therapy for patients with chronic thromboembolic pulmonary hypertension (cteph). Surgery puts patients at increased risk for pulmonary embolism. Pulmonary Thrombectomy Anesthesia.
From www.optechtcs.com
Operative Technique in Pulmonary Thromboendarterectomy Operative Pulmonary Thrombectomy Anesthesia Pulmonary thromboendarterectomy (pte) is the mainstay of therapy for patients with chronic thromboembolic pulmonary hypertension (cteph). This operation leads to major clinical improvement and is a potential cure for a large majority for patients suffering from cteph [1]. Surgery puts patients at increased risk for pulmonary embolism (pe). The purpose of this narrative review is to provide guidance to anesthesiologists. Pulmonary Thrombectomy Anesthesia.
From healthjade.net
Thrombectomy definition, mechanical & surgical thrombectomy Pulmonary Thrombectomy Anesthesia Pulmonary thromboendarterectomy (pte) is the mainstay of therapy for patients with chronic thromboembolic pulmonary hypertension (cteph). This section provides a comprehensive procedural report for pulmonary artery thrombectomy and thrombolysis. This operation leads to major clinical improvement and is a potential cure for a large majority for patients suffering from cteph [1]. Surgery puts patients at increased risk for pulmonary embolism. Pulmonary Thrombectomy Anesthesia.
From www.researchgate.net
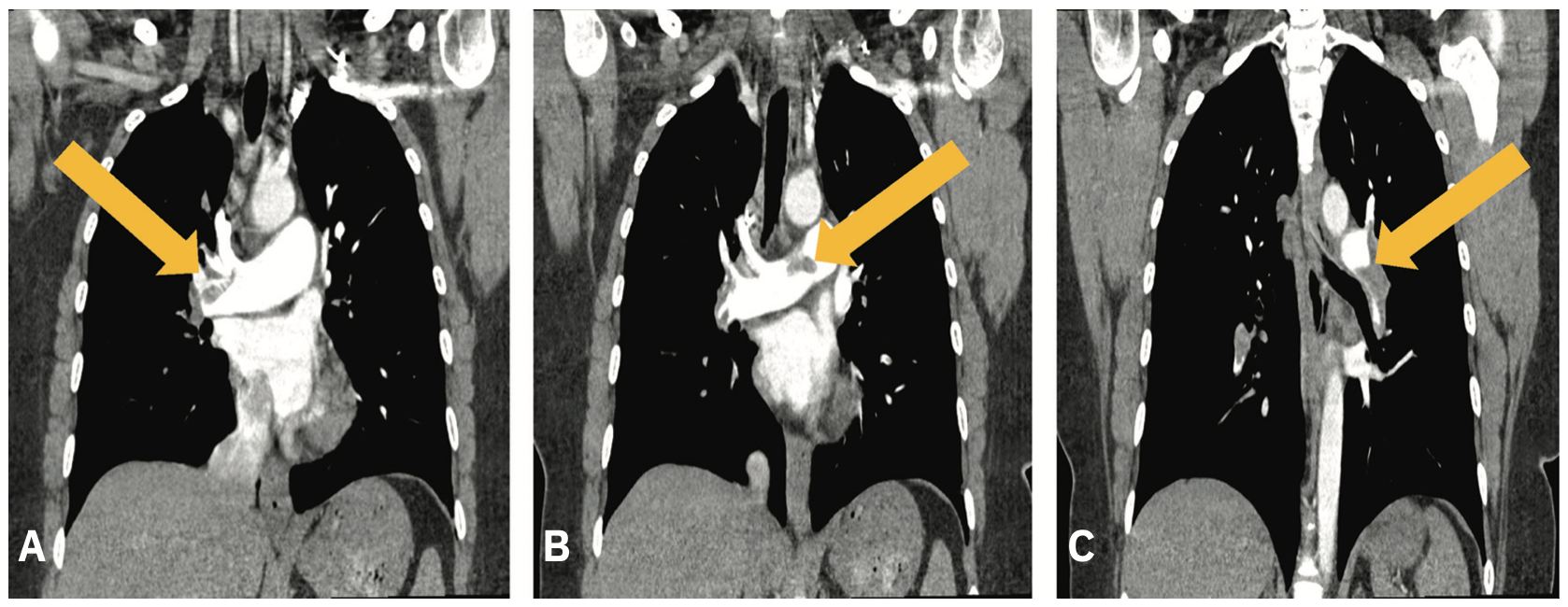
Pulmonary artery thrombectomy (A) The right panel shows the Triever20 Pulmonary Thrombectomy Anesthesia Surgery puts patients at increased risk for pulmonary embolism (pe). This section provides a comprehensive procedural report for pulmonary artery thrombectomy and thrombolysis. This operation leads to major clinical improvement and is a potential cure for a large majority for patients suffering from cteph [1]. Pulmonary thromboendarterectomy (pte) is the mainstay of therapy for patients with chronic thromboembolic pulmonary hypertension. Pulmonary Thrombectomy Anesthesia.
From www.researchgate.net
(PDF) Thrombectomy for pulmonary embolism under general anesthesia and Pulmonary Thrombectomy Anesthesia This section provides a comprehensive procedural report for pulmonary artery thrombectomy and thrombolysis. Surgery puts patients at increased risk for pulmonary embolism (pe). Pulmonary thromboendarterectomy (pte) is the mainstay of therapy for patients with chronic thromboembolic pulmonary hypertension (cteph). This operation leads to major clinical improvement and is a potential cure for a large majority for patients suffering from cteph. Pulmonary Thrombectomy Anesthesia.
From www.jcvaonline.com
Percutaneous VacuumAssisted Thrombectomy for Right Atrial Mass Pulmonary Thrombectomy Anesthesia This operation leads to major clinical improvement and is a potential cure for a large majority for patients suffering from cteph [1]. This section provides a comprehensive procedural report for pulmonary artery thrombectomy and thrombolysis. Pulmonary thromboendarterectomy (pte) is the mainstay of therapy for patients with chronic thromboembolic pulmonary hypertension (cteph). Surgery puts patients at increased risk for pulmonary embolism. Pulmonary Thrombectomy Anesthesia.
From www.medscape.com
Anesthesia as Safe as Conscious Sedation in Stroke Thrombectomy Pulmonary Thrombectomy Anesthesia This section provides a comprehensive procedural report for pulmonary artery thrombectomy and thrombolysis. Pulmonary thromboendarterectomy (pte) is the mainstay of therapy for patients with chronic thromboembolic pulmonary hypertension (cteph). The purpose of this narrative review is to provide guidance to anesthesiologists for the assessment and management of patients having catheter. This operation leads to major clinical improvement and is a. Pulmonary Thrombectomy Anesthesia.
From www.penumbrainc.com
Neuro Thrombectomy Procedure Penumbra Inc Pulmonary Thrombectomy Anesthesia Surgery puts patients at increased risk for pulmonary embolism (pe). Pulmonary thromboendarterectomy (pte) is the mainstay of therapy for patients with chronic thromboembolic pulmonary hypertension (cteph). This section provides a comprehensive procedural report for pulmonary artery thrombectomy and thrombolysis. This operation leads to major clinical improvement and is a potential cure for a large majority for patients suffering from cteph. Pulmonary Thrombectomy Anesthesia.
From www.jacc.org
Pulmonary Embolism Complicated With Cardiopulmonary Arrest Treated With Pulmonary Thrombectomy Anesthesia This section provides a comprehensive procedural report for pulmonary artery thrombectomy and thrombolysis. This operation leads to major clinical improvement and is a potential cure for a large majority for patients suffering from cteph [1]. Surgery puts patients at increased risk for pulmonary embolism (pe). The purpose of this narrative review is to provide guidance to anesthesiologists for the assessment. Pulmonary Thrombectomy Anesthesia.
From www.jvir.org
VacuumAssisted Thrombectomy of Massive Pulmonary Embolism Journal of Pulmonary Thrombectomy Anesthesia Surgery puts patients at increased risk for pulmonary embolism (pe). This operation leads to major clinical improvement and is a potential cure for a large majority for patients suffering from cteph [1]. This section provides a comprehensive procedural report for pulmonary artery thrombectomy and thrombolysis. Pulmonary thromboendarterectomy (pte) is the mainstay of therapy for patients with chronic thromboembolic pulmonary hypertension. Pulmonary Thrombectomy Anesthesia.
From www.semanticscholar.org
Figure 2 from AngioscopyGuided Selective Pulmonary Thrombectomy and Pulmonary Thrombectomy Anesthesia Pulmonary thromboendarterectomy (pte) is the mainstay of therapy for patients with chronic thromboembolic pulmonary hypertension (cteph). Surgery puts patients at increased risk for pulmonary embolism (pe). This operation leads to major clinical improvement and is a potential cure for a large majority for patients suffering from cteph [1]. This section provides a comprehensive procedural report for pulmonary artery thrombectomy and. Pulmonary Thrombectomy Anesthesia.
From mavink.com
Pulmonary Thrombectomy Procedure Pulmonary Thrombectomy Anesthesia This section provides a comprehensive procedural report for pulmonary artery thrombectomy and thrombolysis. Pulmonary thromboendarterectomy (pte) is the mainstay of therapy for patients with chronic thromboembolic pulmonary hypertension (cteph). The purpose of this narrative review is to provide guidance to anesthesiologists for the assessment and management of patients having catheter. Surgery puts patients at increased risk for pulmonary embolism (pe).. Pulmonary Thrombectomy Anesthesia.
From www.backtable.com
Endovascular Treatment of Pulmonary Embolism and the Use of Mechanical Pulmonary Thrombectomy Anesthesia The purpose of this narrative review is to provide guidance to anesthesiologists for the assessment and management of patients having catheter. Surgery puts patients at increased risk for pulmonary embolism (pe). This operation leads to major clinical improvement and is a potential cure for a large majority for patients suffering from cteph [1]. Pulmonary thromboendarterectomy (pte) is the mainstay of. Pulmonary Thrombectomy Anesthesia.
From www.cureus.com
Cureus Mechanical Thrombectomy for Submassive Pulmonary Embolism in Pulmonary Thrombectomy Anesthesia Pulmonary thromboendarterectomy (pte) is the mainstay of therapy for patients with chronic thromboembolic pulmonary hypertension (cteph). This operation leads to major clinical improvement and is a potential cure for a large majority for patients suffering from cteph [1]. This section provides a comprehensive procedural report for pulmonary artery thrombectomy and thrombolysis. The purpose of this narrative review is to provide. Pulmonary Thrombectomy Anesthesia.
From www.researchgate.net
Catheterdirected mechanical aspiration thrombectomy procedure. (A Pulmonary Thrombectomy Anesthesia Surgery puts patients at increased risk for pulmonary embolism (pe). This section provides a comprehensive procedural report for pulmonary artery thrombectomy and thrombolysis. This operation leads to major clinical improvement and is a potential cure for a large majority for patients suffering from cteph [1]. The purpose of this narrative review is to provide guidance to anesthesiologists for the assessment. Pulmonary Thrombectomy Anesthesia.
From citoday.com
Pulmonary Thrombectomy for Acute PE Cardiac Interventions Today Pulmonary Thrombectomy Anesthesia Pulmonary thromboendarterectomy (pte) is the mainstay of therapy for patients with chronic thromboembolic pulmonary hypertension (cteph). The purpose of this narrative review is to provide guidance to anesthesiologists for the assessment and management of patients having catheter. This section provides a comprehensive procedural report for pulmonary artery thrombectomy and thrombolysis. Surgery puts patients at increased risk for pulmonary embolism (pe).. Pulmonary Thrombectomy Anesthesia.
From www.jvir.org
Safety and Efficacy of Acute Pulmonary Embolism Treated via LargeBore Pulmonary Thrombectomy Anesthesia Pulmonary thromboendarterectomy (pte) is the mainstay of therapy for patients with chronic thromboembolic pulmonary hypertension (cteph). The purpose of this narrative review is to provide guidance to anesthesiologists for the assessment and management of patients having catheter. This operation leads to major clinical improvement and is a potential cure for a large majority for patients suffering from cteph [1]. Surgery. Pulmonary Thrombectomy Anesthesia.
From www.jcvaonline.com
Case 1—2010 Pulmonary Thrombectomy in an Adult With Fontan Circulation Pulmonary Thrombectomy Anesthesia Surgery puts patients at increased risk for pulmonary embolism (pe). This operation leads to major clinical improvement and is a potential cure for a large majority for patients suffering from cteph [1]. This section provides a comprehensive procedural report for pulmonary artery thrombectomy and thrombolysis. The purpose of this narrative review is to provide guidance to anesthesiologists for the assessment. Pulmonary Thrombectomy Anesthesia.
From www.jacc.org
Similarities and Differences Between Primary Percutaneous Coronary Pulmonary Thrombectomy Anesthesia This section provides a comprehensive procedural report for pulmonary artery thrombectomy and thrombolysis. Surgery puts patients at increased risk for pulmonary embolism (pe). Pulmonary thromboendarterectomy (pte) is the mainstay of therapy for patients with chronic thromboembolic pulmonary hypertension (cteph). This operation leads to major clinical improvement and is a potential cure for a large majority for patients suffering from cteph. Pulmonary Thrombectomy Anesthesia.
From mavink.com
Pulmonary Thrombectomy Procedure Pulmonary Thrombectomy Anesthesia The purpose of this narrative review is to provide guidance to anesthesiologists for the assessment and management of patients having catheter. Pulmonary thromboendarterectomy (pte) is the mainstay of therapy for patients with chronic thromboembolic pulmonary hypertension (cteph). Surgery puts patients at increased risk for pulmonary embolism (pe). This operation leads to major clinical improvement and is a potential cure for. Pulmonary Thrombectomy Anesthesia.
From www.jvir.org
Largebore Suction Thrombectomy Therapy for Massive Pulmonary Embolism Pulmonary Thrombectomy Anesthesia This operation leads to major clinical improvement and is a potential cure for a large majority for patients suffering from cteph [1]. Surgery puts patients at increased risk for pulmonary embolism (pe). This section provides a comprehensive procedural report for pulmonary artery thrombectomy and thrombolysis. The purpose of this narrative review is to provide guidance to anesthesiologists for the assessment. Pulmonary Thrombectomy Anesthesia.
From www.tctmd.com
Percutaneous Mechanical Thrombectomy in Acute Pulmonary Embolism Pulmonary Thrombectomy Anesthesia Surgery puts patients at increased risk for pulmonary embolism (pe). Pulmonary thromboendarterectomy (pte) is the mainstay of therapy for patients with chronic thromboembolic pulmonary hypertension (cteph). The purpose of this narrative review is to provide guidance to anesthesiologists for the assessment and management of patients having catheter. This section provides a comprehensive procedural report for pulmonary artery thrombectomy and thrombolysis.. Pulmonary Thrombectomy Anesthesia.
From www.cureus.com
Percutaneous Mechanical Pulmonary Thrombectomy in a Patient With Pulmonary Thrombectomy Anesthesia This section provides a comprehensive procedural report for pulmonary artery thrombectomy and thrombolysis. Surgery puts patients at increased risk for pulmonary embolism (pe). The purpose of this narrative review is to provide guidance to anesthesiologists for the assessment and management of patients having catheter. This operation leads to major clinical improvement and is a potential cure for a large majority. Pulmonary Thrombectomy Anesthesia.
From www.optechtcs.com
Operative Technique in Pulmonary Thromboendarterectomy Operative Pulmonary Thrombectomy Anesthesia This section provides a comprehensive procedural report for pulmonary artery thrombectomy and thrombolysis. Pulmonary thromboendarterectomy (pte) is the mainstay of therapy for patients with chronic thromboembolic pulmonary hypertension (cteph). Surgery puts patients at increased risk for pulmonary embolism (pe). This operation leads to major clinical improvement and is a potential cure for a large majority for patients suffering from cteph. Pulmonary Thrombectomy Anesthesia.