Eye Papilloma Images . They may be sessile (broad. It looks like a skin tag and can be solitary or multiple, smooth or rough and is similar in color to adjacent skin. Summarize the treatment of eyelid papilloma. It is benign, painless, and carries little to no risk for growth into cancer. Review the differential diagnosis of an eyelid mass. Describe the presentation of an eyelid papilloma. Discover the causes, symptoms, and treatment options for eyelid papilloma, a benign growth on the eyelid. Daniel twelker, od, phd, an. Outline the importance of improving care. If you develop something on your eyelid that looks like a small bump, raised lump of skin or pouch of skin, it’s possible that you have an eyelid papilloma. These characteristics, as well as the location of the. Skin on the eyelid has no subcutaneous fat and is the thinnest skin found in the body. The anatomy of the lids, with their wide array of tissue and gland types, as well as the recognition that eyelid skin is typically uncovered and exposed to environmental factors such as uv light, explains the variety of lumps and bumps encountered in optometric practice.
from www.researchgate.net
Discover the causes, symptoms, and treatment options for eyelid papilloma, a benign growth on the eyelid. Daniel twelker, od, phd, an. If you develop something on your eyelid that looks like a small bump, raised lump of skin or pouch of skin, it’s possible that you have an eyelid papilloma. Outline the importance of improving care. The anatomy of the lids, with their wide array of tissue and gland types, as well as the recognition that eyelid skin is typically uncovered and exposed to environmental factors such as uv light, explains the variety of lumps and bumps encountered in optometric practice. Skin on the eyelid has no subcutaneous fat and is the thinnest skin found in the body. Describe the presentation of an eyelid papilloma. They may be sessile (broad. Review the differential diagnosis of an eyelid mass. It looks like a skin tag and can be solitary or multiple, smooth or rough and is similar in color to adjacent skin.
Eyelid squamous papilloma (HE stain, ob. 10×). Download Scientific
Eye Papilloma Images Discover the causes, symptoms, and treatment options for eyelid papilloma, a benign growth on the eyelid. If you develop something on your eyelid that looks like a small bump, raised lump of skin or pouch of skin, it’s possible that you have an eyelid papilloma. Describe the presentation of an eyelid papilloma. Outline the importance of improving care. Review the differential diagnosis of an eyelid mass. Skin on the eyelid has no subcutaneous fat and is the thinnest skin found in the body. The anatomy of the lids, with their wide array of tissue and gland types, as well as the recognition that eyelid skin is typically uncovered and exposed to environmental factors such as uv light, explains the variety of lumps and bumps encountered in optometric practice. They may be sessile (broad. Daniel twelker, od, phd, an. Discover the causes, symptoms, and treatment options for eyelid papilloma, a benign growth on the eyelid. It looks like a skin tag and can be solitary or multiple, smooth or rough and is similar in color to adjacent skin. These characteristics, as well as the location of the. Summarize the treatment of eyelid papilloma. It is benign, painless, and carries little to no risk for growth into cancer.
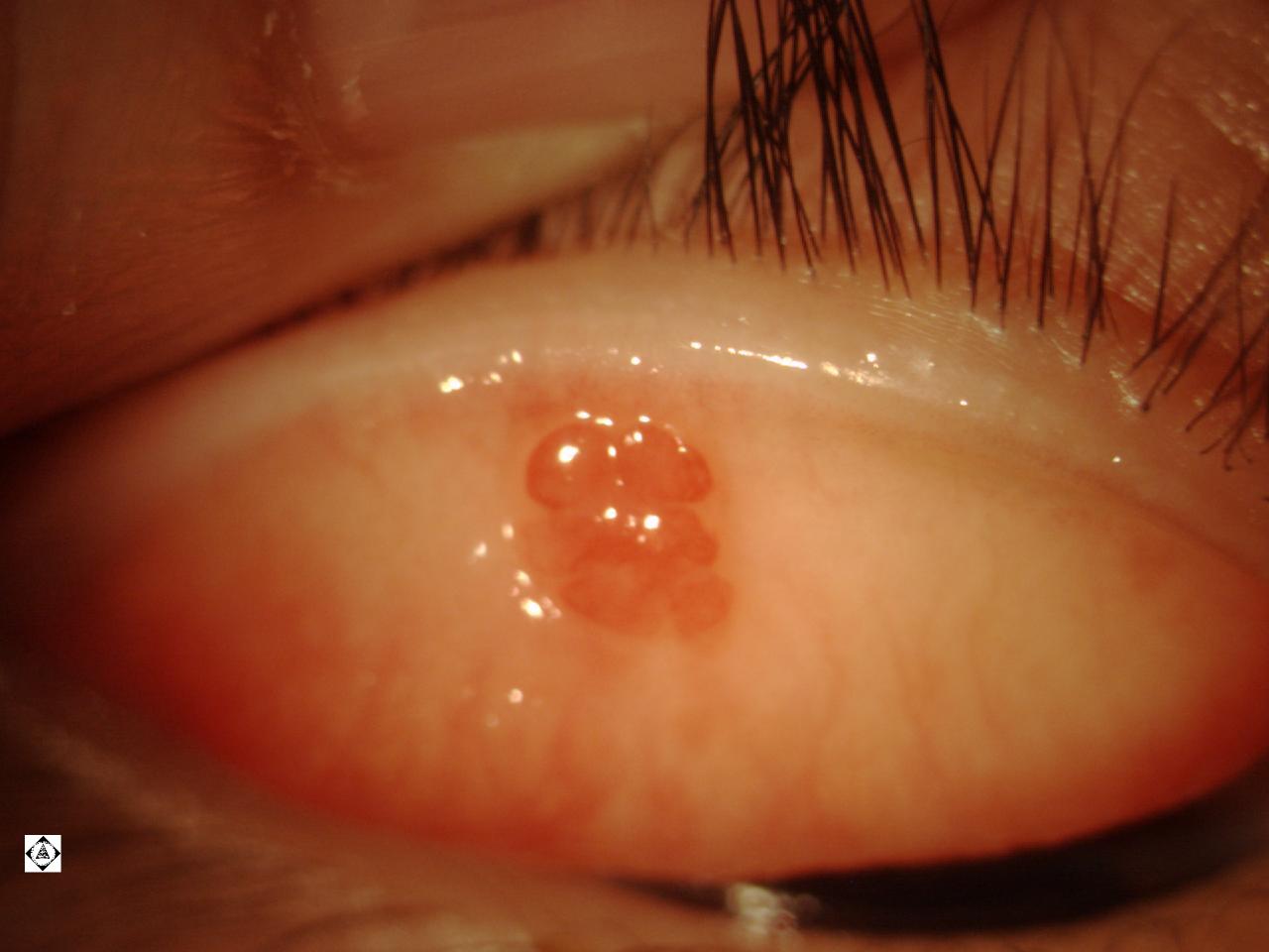
From www.aao.org
Conjunctival squamous papilloma. American Academy of Ophthalmology Eye Papilloma Images Describe the presentation of an eyelid papilloma. The anatomy of the lids, with their wide array of tissue and gland types, as well as the recognition that eyelid skin is typically uncovered and exposed to environmental factors such as uv light, explains the variety of lumps and bumps encountered in optometric practice. If you develop something on your eyelid that. Eye Papilloma Images.
From www.medicalimages.com
STOCK IMAGE, closeup of a papilloma on the lower eyelid of a persons Eye Papilloma Images Skin on the eyelid has no subcutaneous fat and is the thinnest skin found in the body. It looks like a skin tag and can be solitary or multiple, smooth or rough and is similar in color to adjacent skin. They may be sessile (broad. If you develop something on your eyelid that looks like a small bump, raised lump. Eye Papilloma Images.
From www1.racgp.org.au
RACGP Eyelid lesions in general practice Eye Papilloma Images Describe the presentation of an eyelid papilloma. It is benign, painless, and carries little to no risk for growth into cancer. They may be sessile (broad. The anatomy of the lids, with their wide array of tissue and gland types, as well as the recognition that eyelid skin is typically uncovered and exposed to environmental factors such as uv light,. Eye Papilloma Images.
From www.sciencephoto.com
Multiple eyelid papillomas Stock Image C054/9654 Science Photo Eye Papilloma Images If you develop something on your eyelid that looks like a small bump, raised lump of skin or pouch of skin, it’s possible that you have an eyelid papilloma. Describe the presentation of an eyelid papilloma. Summarize the treatment of eyelid papilloma. It looks like a skin tag and can be solitary or multiple, smooth or rough and is similar. Eye Papilloma Images.
From www.eyerounds.org
Atlas Entry Conjunctival squamous papilloma Eye Papilloma Images The anatomy of the lids, with their wide array of tissue and gland types, as well as the recognition that eyelid skin is typically uncovered and exposed to environmental factors such as uv light, explains the variety of lumps and bumps encountered in optometric practice. Review the differential diagnosis of an eyelid mass. Describe the presentation of an eyelid papilloma.. Eye Papilloma Images.
From dr-salem.com
Benign Lesions of the eyelid ALSalem Eye Clinic Eye Papilloma Images The anatomy of the lids, with their wide array of tissue and gland types, as well as the recognition that eyelid skin is typically uncovered and exposed to environmental factors such as uv light, explains the variety of lumps and bumps encountered in optometric practice. Daniel twelker, od, phd, an. Describe the presentation of an eyelid papilloma. It is benign,. Eye Papilloma Images.
From bjo.bmj.com
Morphological characteristics of conjunctival squamous papillomas in Eye Papilloma Images Summarize the treatment of eyelid papilloma. It is benign, painless, and carries little to no risk for growth into cancer. Describe the presentation of an eyelid papilloma. Daniel twelker, od, phd, an. If you develop something on your eyelid that looks like a small bump, raised lump of skin or pouch of skin, it’s possible that you have an eyelid. Eye Papilloma Images.
From www.aao.org
Squamous papilloma, or acrochordon. American Academy of Ophthalmology Eye Papilloma Images Describe the presentation of an eyelid papilloma. Review the differential diagnosis of an eyelid mass. Discover the causes, symptoms, and treatment options for eyelid papilloma, a benign growth on the eyelid. It is benign, painless, and carries little to no risk for growth into cancer. Summarize the treatment of eyelid papilloma. Skin on the eyelid has no subcutaneous fat and. Eye Papilloma Images.
From ru.depositphotos.com
Осмотр глаз, папиллома — Стоковое фото © arztsamui 86168654 Eye Papilloma Images Skin on the eyelid has no subcutaneous fat and is the thinnest skin found in the body. It looks like a skin tag and can be solitary or multiple, smooth or rough and is similar in color to adjacent skin. They may be sessile (broad. It is benign, painless, and carries little to no risk for growth into cancer. Describe. Eye Papilloma Images.
From www.aaojournal.org
Eyelid Papilloma Ophthalmology Eye Papilloma Images Describe the presentation of an eyelid papilloma. It looks like a skin tag and can be solitary or multiple, smooth or rough and is similar in color to adjacent skin. If you develop something on your eyelid that looks like a small bump, raised lump of skin or pouch of skin, it’s possible that you have an eyelid papilloma. They. Eye Papilloma Images.
From www.shutterstock.com
Eyelid Papilloma Green Eye Macro Photography Stock Photo 1615009531 Eye Papilloma Images If you develop something on your eyelid that looks like a small bump, raised lump of skin or pouch of skin, it’s possible that you have an eyelid papilloma. Outline the importance of improving care. The anatomy of the lids, with their wide array of tissue and gland types, as well as the recognition that eyelid skin is typically uncovered. Eye Papilloma Images.
From www.researchgate.net
Eyelid squamous papilloma (HE stain, ob. 10×). Download Scientific Eye Papilloma Images These characteristics, as well as the location of the. If you develop something on your eyelid that looks like a small bump, raised lump of skin or pouch of skin, it’s possible that you have an eyelid papilloma. They may be sessile (broad. Skin on the eyelid has no subcutaneous fat and is the thinnest skin found in the body.. Eye Papilloma Images.
From webeye.ophth.uiowa.edu
Benign Lesions of the External Periocular Tissues Eye Papilloma Images Summarize the treatment of eyelid papilloma. Daniel twelker, od, phd, an. These characteristics, as well as the location of the. It is benign, painless, and carries little to no risk for growth into cancer. If you develop something on your eyelid that looks like a small bump, raised lump of skin or pouch of skin, it’s possible that you have. Eye Papilloma Images.
From www.researchgate.net
Treatment of limbal conjunctival papilloma. Top right shows the Eye Papilloma Images It is benign, painless, and carries little to no risk for growth into cancer. If you develop something on your eyelid that looks like a small bump, raised lump of skin or pouch of skin, it’s possible that you have an eyelid papilloma. They may be sessile (broad. Daniel twelker, od, phd, an. Outline the importance of improving care. Describe. Eye Papilloma Images.
From www.canadianjournalofophthalmology.ca
Inverted conjunctival papilloma a certainly underestimated highrisk Eye Papilloma Images Outline the importance of improving care. These characteristics, as well as the location of the. Skin on the eyelid has no subcutaneous fat and is the thinnest skin found in the body. It is benign, painless, and carries little to no risk for growth into cancer. The anatomy of the lids, with their wide array of tissue and gland types,. Eye Papilloma Images.
From www.bannerhealth.com
What You Should Know About Eyelid Papillomas Banner Health Eye Papilloma Images They may be sessile (broad. Daniel twelker, od, phd, an. It is benign, painless, and carries little to no risk for growth into cancer. Summarize the treatment of eyelid papilloma. Outline the importance of improving care. Skin on the eyelid has no subcutaneous fat and is the thinnest skin found in the body. Discover the causes, symptoms, and treatment options. Eye Papilloma Images.
From www.dreamstime.com
Blue Eye of an Adult with Papillomas on the Eyelid Stock Image Image Eye Papilloma Images Summarize the treatment of eyelid papilloma. Discover the causes, symptoms, and treatment options for eyelid papilloma, a benign growth on the eyelid. Daniel twelker, od, phd, an. Skin on the eyelid has no subcutaneous fat and is the thinnest skin found in the body. These characteristics, as well as the location of the. They may be sessile (broad. The anatomy. Eye Papilloma Images.
From www.dreamstime.com
Milia Milium Pimples Around Eye on Skin. Eyes of Young Man with Small Eye Papilloma Images Discover the causes, symptoms, and treatment options for eyelid papilloma, a benign growth on the eyelid. Daniel twelker, od, phd, an. Review the differential diagnosis of an eyelid mass. If you develop something on your eyelid that looks like a small bump, raised lump of skin or pouch of skin, it’s possible that you have an eyelid papilloma. It is. Eye Papilloma Images.
From healthjade.net
Eyelid papilloma causes, diagnosis & eyelid papilloma treatment Eye Papilloma Images Skin on the eyelid has no subcutaneous fat and is the thinnest skin found in the body. Daniel twelker, od, phd, an. They may be sessile (broad. Describe the presentation of an eyelid papilloma. It looks like a skin tag and can be solitary or multiple, smooth or rough and is similar in color to adjacent skin. Summarize the treatment. Eye Papilloma Images.
From archopht.jamanetwork.com
Conjunctival Papilloma Features and Based on Age at Initial Eye Papilloma Images Outline the importance of improving care. If you develop something on your eyelid that looks like a small bump, raised lump of skin or pouch of skin, it’s possible that you have an eyelid papilloma. Summarize the treatment of eyelid papilloma. Review the differential diagnosis of an eyelid mass. It looks like a skin tag and can be solitary or. Eye Papilloma Images.
From www.vecteezy.com
Wart on face. Macro shot of wart near eye. Papilloma on skin. 4911957 Eye Papilloma Images Daniel twelker, od, phd, an. Describe the presentation of an eyelid papilloma. These characteristics, as well as the location of the. They may be sessile (broad. Review the differential diagnosis of an eyelid mass. It is benign, painless, and carries little to no risk for growth into cancer. If you develop something on your eyelid that looks like a small. Eye Papilloma Images.
From www.sciencephoto.com
Papillomas on the lower eyelid Stock Image C015/6008 Science Eye Papilloma Images It looks like a skin tag and can be solitary or multiple, smooth or rough and is similar in color to adjacent skin. The anatomy of the lids, with their wide array of tissue and gland types, as well as the recognition that eyelid skin is typically uncovered and exposed to environmental factors such as uv light, explains the variety. Eye Papilloma Images.
From www.researchgate.net
Appearance of ocular papilloma at different locations. a Recurrent Eye Papilloma Images Summarize the treatment of eyelid papilloma. It is benign, painless, and carries little to no risk for growth into cancer. Describe the presentation of an eyelid papilloma. Discover the causes, symptoms, and treatment options for eyelid papilloma, a benign growth on the eyelid. The anatomy of the lids, with their wide array of tissue and gland types, as well as. Eye Papilloma Images.
From ar.inspiredpencil.com
Papilloma Eyelid Eye Papilloma Images Review the differential diagnosis of an eyelid mass. It looks like a skin tag and can be solitary or multiple, smooth or rough and is similar in color to adjacent skin. Daniel twelker, od, phd, an. It is benign, painless, and carries little to no risk for growth into cancer. Summarize the treatment of eyelid papilloma. Skin on the eyelid. Eye Papilloma Images.
From www.ijo.in
Pathology of eyelid tumors Pe’er J Indian J Ophthalmol Eye Papilloma Images Skin on the eyelid has no subcutaneous fat and is the thinnest skin found in the body. Daniel twelker, od, phd, an. They may be sessile (broad. It is benign, painless, and carries little to no risk for growth into cancer. The anatomy of the lids, with their wide array of tissue and gland types, as well as the recognition. Eye Papilloma Images.
From jamanetwork.com
Multiple Papules on the Eyelids Dermatology JAMA Dermatology JAMA Eye Papilloma Images Describe the presentation of an eyelid papilloma. Outline the importance of improving care. Summarize the treatment of eyelid papilloma. Skin on the eyelid has no subcutaneous fat and is the thinnest skin found in the body. It looks like a skin tag and can be solitary or multiple, smooth or rough and is similar in color to adjacent skin. These. Eye Papilloma Images.
From www.medicalnewstoday.com
Filiform warts What they look like, treatment, and causes Eye Papilloma Images Review the differential diagnosis of an eyelid mass. It is benign, painless, and carries little to no risk for growth into cancer. Discover the causes, symptoms, and treatment options for eyelid papilloma, a benign growth on the eyelid. Outline the importance of improving care. Summarize the treatment of eyelid papilloma. Describe the presentation of an eyelid papilloma. These characteristics, as. Eye Papilloma Images.
From www.sonorandeserteye.com
Palpebral conjunctival Papilloma vs. Granuloma Sonoran Desert Eye Center Eye Papilloma Images Review the differential diagnosis of an eyelid mass. Daniel twelker, od, phd, an. The anatomy of the lids, with their wide array of tissue and gland types, as well as the recognition that eyelid skin is typically uncovered and exposed to environmental factors such as uv light, explains the variety of lumps and bumps encountered in optometric practice. Skin on. Eye Papilloma Images.
From stock.adobe.com
Close up of wart on eyelid. Young girl with papillomas on skin around Eye Papilloma Images Skin on the eyelid has no subcutaneous fat and is the thinnest skin found in the body. Review the differential diagnosis of an eyelid mass. These characteristics, as well as the location of the. It looks like a skin tag and can be solitary or multiple, smooth or rough and is similar in color to adjacent skin. Describe the presentation. Eye Papilloma Images.
From lancashireeyeclinic.co.uk
Eyelids Lancashire Eye Clinic Eye Papilloma Images Summarize the treatment of eyelid papilloma. If you develop something on your eyelid that looks like a small bump, raised lump of skin or pouch of skin, it’s possible that you have an eyelid papilloma. The anatomy of the lids, with their wide array of tissue and gland types, as well as the recognition that eyelid skin is typically uncovered. Eye Papilloma Images.
From webeye.ophth.uiowa.edu
Papilloma of lid. Online Ophthalmic Atlas Eye Papilloma Images If you develop something on your eyelid that looks like a small bump, raised lump of skin or pouch of skin, it’s possible that you have an eyelid papilloma. Discover the causes, symptoms, and treatment options for eyelid papilloma, a benign growth on the eyelid. Review the differential diagnosis of an eyelid mass. Describe the presentation of an eyelid papilloma.. Eye Papilloma Images.
From eyerounds.org
Atlas Entry Conjunctival papilloma Eye Papilloma Images These characteristics, as well as the location of the. Describe the presentation of an eyelid papilloma. If you develop something on your eyelid that looks like a small bump, raised lump of skin or pouch of skin, it’s possible that you have an eyelid papilloma. Summarize the treatment of eyelid papilloma. It looks like a skin tag and can be. Eye Papilloma Images.
From pixels.com
Papillomata Around The Eyes Photograph by Dr H.c.robinson / Science Eye Papilloma Images These characteristics, as well as the location of the. Summarize the treatment of eyelid papilloma. They may be sessile (broad. Discover the causes, symptoms, and treatment options for eyelid papilloma, a benign growth on the eyelid. Daniel twelker, od, phd, an. Skin on the eyelid has no subcutaneous fat and is the thinnest skin found in the body. If you. Eye Papilloma Images.
From www.theliverpooleyeclinic.co.uk
Liverpool Eye Clinic Eyelid Cysts Eye Papilloma Images Summarize the treatment of eyelid papilloma. Describe the presentation of an eyelid papilloma. The anatomy of the lids, with their wide array of tissue and gland types, as well as the recognition that eyelid skin is typically uncovered and exposed to environmental factors such as uv light, explains the variety of lumps and bumps encountered in optometric practice. These characteristics,. Eye Papilloma Images.
From www.ncbi.nlm.nih.gov
Eyelid Papilloma StatPearls NCBI Bookshelf Eye Papilloma Images It is benign, painless, and carries little to no risk for growth into cancer. Outline the importance of improving care. Daniel twelker, od, phd, an. Summarize the treatment of eyelid papilloma. They may be sessile (broad. Describe the presentation of an eyelid papilloma. The anatomy of the lids, with their wide array of tissue and gland types, as well as. Eye Papilloma Images.