Granulomas In Ear . They tend to develop in the lungs, on the head, or on the skin. An uncommon, benign tumor or cyst located at the petrous apex of the skull next to the middle ear is called a cholesterol granuloma. Granulomatosis with polyangiitis (gpa), formerly known as wegener granulomatosis (wg), commonly involves. Granulomatosis with polyangiitis (gpa) is an idiopathic vasculitis of medium and small arteries, characterized by necrotizing. A granuloma is a cluster of white blood cells and other tissues that are generally not cancerous. Tumors of the ear can be benign or malignant. Granulomas often go away on their. Granulomatous diseases in the middle ear may be localized primarily to the ear and surrounding tissues, or they may be a manifestation of a. They can occur on the. Granulomatosis with polyangiitis is an uncommon disorder that causes inflammation of the blood vessels in your nose, sinuses,.
from www.semanticscholar.org
An uncommon, benign tumor or cyst located at the petrous apex of the skull next to the middle ear is called a cholesterol granuloma. A granuloma is a cluster of white blood cells and other tissues that are generally not cancerous. Granulomatosis with polyangiitis (gpa), formerly known as wegener granulomatosis (wg), commonly involves. They tend to develop in the lungs, on the head, or on the skin. They can occur on the. Tumors of the ear can be benign or malignant. Granulomatous diseases in the middle ear may be localized primarily to the ear and surrounding tissues, or they may be a manifestation of a. Granulomatosis with polyangiitis (gpa) is an idiopathic vasculitis of medium and small arteries, characterized by necrotizing. Granulomatosis with polyangiitis is an uncommon disorder that causes inflammation of the blood vessels in your nose, sinuses,. Granulomas often go away on their.
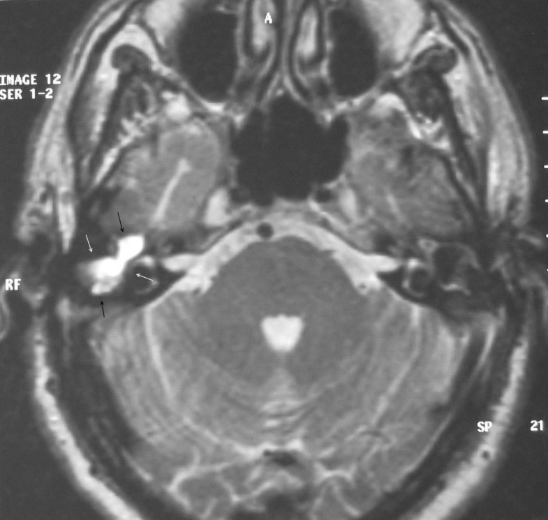
Figure 1 from Clinical Analysis of Cholesterol Granuloma in the Middle
Granulomas In Ear An uncommon, benign tumor or cyst located at the petrous apex of the skull next to the middle ear is called a cholesterol granuloma. They tend to develop in the lungs, on the head, or on the skin. Granulomatosis with polyangiitis is an uncommon disorder that causes inflammation of the blood vessels in your nose, sinuses,. A granuloma is a cluster of white blood cells and other tissues that are generally not cancerous. Granulomas often go away on their. Granulomatosis with polyangiitis (gpa) is an idiopathic vasculitis of medium and small arteries, characterized by necrotizing. Granulomatosis with polyangiitis (gpa), formerly known as wegener granulomatosis (wg), commonly involves. Tumors of the ear can be benign or malignant. They can occur on the. An uncommon, benign tumor or cyst located at the petrous apex of the skull next to the middle ear is called a cholesterol granuloma. Granulomatous diseases in the middle ear may be localized primarily to the ear and surrounding tissues, or they may be a manifestation of a.
From www.researchgate.net
(PDF) Cholesterol Granuloma of the External Auditory Canal and Skull Base Granulomas In Ear They tend to develop in the lungs, on the head, or on the skin. Granulomatosis with polyangiitis (gpa), formerly known as wegener granulomatosis (wg), commonly involves. A granuloma is a cluster of white blood cells and other tissues that are generally not cancerous. An uncommon, benign tumor or cyst located at the petrous apex of the skull next to the. Granulomas In Ear.
From www.youtube.com
Removal of Pyogenic Granuloma by waterlase YouTube Granulomas In Ear Granulomas often go away on their. Tumors of the ear can be benign or malignant. A granuloma is a cluster of white blood cells and other tissues that are generally not cancerous. Granulomatosis with polyangiitis (gpa) is an idiopathic vasculitis of medium and small arteries, characterized by necrotizing. Granulomatous diseases in the middle ear may be localized primarily to the. Granulomas In Ear.
From www.clinicaladvisor.com
Acanthoma [Granuloma] fissuratum mucosae [oral mucosa], Acanthoma Granulomas In Ear Granulomatous diseases in the middle ear may be localized primarily to the ear and surrounding tissues, or they may be a manifestation of a. Granulomatosis with polyangiitis is an uncommon disorder that causes inflammation of the blood vessels in your nose, sinuses,. They tend to develop in the lungs, on the head, or on the skin. They can occur on. Granulomas In Ear.
From www.clinicaladvisor.com
Majocchi’s Granuloma (Granuloma trichophyticum) The Clinical Advisor Granulomas In Ear A granuloma is a cluster of white blood cells and other tissues that are generally not cancerous. They tend to develop in the lungs, on the head, or on the skin. Granulomatosis with polyangiitis is an uncommon disorder that causes inflammation of the blood vessels in your nose, sinuses,. Granulomatosis with polyangiitis (gpa), formerly known as wegener granulomatosis (wg), commonly. Granulomas In Ear.
From www.scientificanimations.com
Wegner's Granulomatosis shown & explained using medical animation still Granulomas In Ear Granulomas often go away on their. Granulomatosis with polyangiitis (gpa) is an idiopathic vasculitis of medium and small arteries, characterized by necrotizing. They tend to develop in the lungs, on the head, or on the skin. Granulomatosis with polyangiitis (gpa), formerly known as wegener granulomatosis (wg), commonly involves. A granuloma is a cluster of white blood cells and other tissues. Granulomas In Ear.
From bmcearnosethroatdisord.biomedcentral.com
Cholesterol granuloma presenting as a mass obstructing the external ear Granulomas In Ear An uncommon, benign tumor or cyst located at the petrous apex of the skull next to the middle ear is called a cholesterol granuloma. Granulomas often go away on their. Granulomatosis with polyangiitis (gpa), formerly known as wegener granulomatosis (wg), commonly involves. Granulomatosis with polyangiitis (gpa) is an idiopathic vasculitis of medium and small arteries, characterized by necrotizing. A granuloma. Granulomas In Ear.
From bmcearnosethroatdisord.biomedcentral.com
Cholesterol granuloma presenting as a mass obstructing the external ear Granulomas In Ear A granuloma is a cluster of white blood cells and other tissues that are generally not cancerous. Granulomatous diseases in the middle ear may be localized primarily to the ear and surrounding tissues, or they may be a manifestation of a. An uncommon, benign tumor or cyst located at the petrous apex of the skull next to the middle ear. Granulomas In Ear.
From www.mypathologyreport.ca
Granuloma IMyPathologyReport.ca Granulomas In Ear Granulomatosis with polyangiitis (gpa), formerly known as wegener granulomatosis (wg), commonly involves. An uncommon, benign tumor or cyst located at the petrous apex of the skull next to the middle ear is called a cholesterol granuloma. Tumors of the ear can be benign or malignant. A granuloma is a cluster of white blood cells and other tissues that are generally. Granulomas In Ear.
From www.scribd.com
Ear Canal Granuloma PDF Ear Common Carotid Artery Granulomas In Ear Granulomas often go away on their. They tend to develop in the lungs, on the head, or on the skin. Granulomatous diseases in the middle ear may be localized primarily to the ear and surrounding tissues, or they may be a manifestation of a. Granulomatosis with polyangiitis (gpa), formerly known as wegener granulomatosis (wg), commonly involves. Tumors of the ear. Granulomas In Ear.
From www.aao.org
Pyogenic granuloma American Academy of Ophthalmology Granulomas In Ear They tend to develop in the lungs, on the head, or on the skin. They can occur on the. A granuloma is a cluster of white blood cells and other tissues that are generally not cancerous. Granulomatosis with polyangiitis (gpa) is an idiopathic vasculitis of medium and small arteries, characterized by necrotizing. Tumors of the ear can be benign or. Granulomas In Ear.
From www.pinterest.com
Types of Granuloma Annulare Granuloma annulare, Dermatology nurse Granulomas In Ear They tend to develop in the lungs, on the head, or on the skin. Granulomatosis with polyangiitis (gpa), formerly known as wegener granulomatosis (wg), commonly involves. Granulomatosis with polyangiitis is an uncommon disorder that causes inflammation of the blood vessels in your nose, sinuses,. Granulomatosis with polyangiitis (gpa) is an idiopathic vasculitis of medium and small arteries, characterized by necrotizing.. Granulomas In Ear.
From doctorsgates.blogspot.com
Doctors Gates Keloids of the Auricle Granulomas In Ear Granulomatosis with polyangiitis (gpa), formerly known as wegener granulomatosis (wg), commonly involves. They can occur on the. Tumors of the ear can be benign or malignant. Granulomatosis with polyangiitis is an uncommon disorder that causes inflammation of the blood vessels in your nose, sinuses,. An uncommon, benign tumor or cyst located at the petrous apex of the skull next to. Granulomas In Ear.
From huyhoa.net
Rash Behind Ear Causes, Symptoms & Treatments [With Photos] Granulomas In Ear A granuloma is a cluster of white blood cells and other tissues that are generally not cancerous. Granulomatosis with polyangiitis is an uncommon disorder that causes inflammation of the blood vessels in your nose, sinuses,. Granulomatosis with polyangiitis (gpa), formerly known as wegener granulomatosis (wg), commonly involves. Granulomatosis with polyangiitis (gpa) is an idiopathic vasculitis of medium and small arteries,. Granulomas In Ear.
From www.semanticscholar.org
Figure 1 from A case of atypical granuloma annulare involving both ears Granulomas In Ear Granulomatous diseases in the middle ear may be localized primarily to the ear and surrounding tissues, or they may be a manifestation of a. Granulomas often go away on their. Granulomatosis with polyangiitis is an uncommon disorder that causes inflammation of the blood vessels in your nose, sinuses,. Tumors of the ear can be benign or malignant. A granuloma is. Granulomas In Ear.
From journals.sagepub.com
Pyogenic Granuloma of the Auricle TienRu Huang, YiJia Lin, Hsin Granulomas In Ear Granulomatosis with polyangiitis (gpa) is an idiopathic vasculitis of medium and small arteries, characterized by necrotizing. Granulomas often go away on their. An uncommon, benign tumor or cyst located at the petrous apex of the skull next to the middle ear is called a cholesterol granuloma. Tumors of the ear can be benign or malignant. Granulomatosis with polyangiitis (gpa), formerly. Granulomas In Ear.
From bmcearnosethroatdisord.biomedcentral.com
Cholesterol granuloma presenting as a mass obstructing the external ear Granulomas In Ear Granulomas often go away on their. Granulomatosis with polyangiitis (gpa), formerly known as wegener granulomatosis (wg), commonly involves. Granulomatosis with polyangiitis is an uncommon disorder that causes inflammation of the blood vessels in your nose, sinuses,. They can occur on the. A granuloma is a cluster of white blood cells and other tissues that are generally not cancerous. Granulomatous diseases. Granulomas In Ear.
From www.pathologyoutlines.com
Pathology Outlines Cholesteatoma Granulomas In Ear An uncommon, benign tumor or cyst located at the petrous apex of the skull next to the middle ear is called a cholesterol granuloma. Granulomatosis with polyangiitis (gpa), formerly known as wegener granulomatosis (wg), commonly involves. They tend to develop in the lungs, on the head, or on the skin. Granulomatosis with polyangiitis is an uncommon disorder that causes inflammation. Granulomas In Ear.
From www.semanticscholar.org
Figure 1 from Middle Ear Cholesterol Granuloma Semantic Scholar Granulomas In Ear A granuloma is a cluster of white blood cells and other tissues that are generally not cancerous. They can occur on the. Granulomatosis with polyangiitis (gpa), formerly known as wegener granulomatosis (wg), commonly involves. Granulomas often go away on their. Tumors of the ear can be benign or malignant. An uncommon, benign tumor or cyst located at the petrous apex. Granulomas In Ear.
From www.precisionpath.us
Plasma Cell Granuloma Precision Pathology Granulomas In Ear Granulomatous diseases in the middle ear may be localized primarily to the ear and surrounding tissues, or they may be a manifestation of a. An uncommon, benign tumor or cyst located at the petrous apex of the skull next to the middle ear is called a cholesterol granuloma. Granulomatosis with polyangiitis is an uncommon disorder that causes inflammation of the. Granulomas In Ear.
From www.semanticscholar.org
Figure 1 from Pyogenic granuloma at ear piercing site Report of a case Granulomas In Ear Tumors of the ear can be benign or malignant. A granuloma is a cluster of white blood cells and other tissues that are generally not cancerous. They tend to develop in the lungs, on the head, or on the skin. They can occur on the. Granulomas often go away on their. Granulomatous diseases in the middle ear may be localized. Granulomas In Ear.
From www.researchgate.net
Tuberculous otitis media Tuberculous granuloma from a middle ear Granulomas In Ear They tend to develop in the lungs, on the head, or on the skin. Granulomatosis with polyangiitis (gpa) is an idiopathic vasculitis of medium and small arteries, characterized by necrotizing. Granulomas often go away on their. They can occur on the. A granuloma is a cluster of white blood cells and other tissues that are generally not cancerous. Granulomatosis with. Granulomas In Ear.
From www.thelancet.com
Chronic granulomatous Mycobacterium avium skin pseudotumour The Granulomas In Ear Granulomatosis with polyangiitis (gpa) is an idiopathic vasculitis of medium and small arteries, characterized by necrotizing. A granuloma is a cluster of white blood cells and other tissues that are generally not cancerous. They tend to develop in the lungs, on the head, or on the skin. Granulomatosis with polyangiitis is an uncommon disorder that causes inflammation of the blood. Granulomas In Ear.
From www.flickr.com
A22 suture granuloma 20x suture granuloma harvarddermpath Flickr Granulomas In Ear Granulomatosis with polyangiitis (gpa) is an idiopathic vasculitis of medium and small arteries, characterized by necrotizing. They can occur on the. A granuloma is a cluster of white blood cells and other tissues that are generally not cancerous. Granulomatous diseases in the middle ear may be localized primarily to the ear and surrounding tissues, or they may be a manifestation. Granulomas In Ear.
From www.verywellhealth.com
Dry Skin in Ears Causes and Treatment Granulomas In Ear Granulomatous diseases in the middle ear may be localized primarily to the ear and surrounding tissues, or they may be a manifestation of a. Granulomatosis with polyangiitis (gpa), formerly known as wegener granulomatosis (wg), commonly involves. An uncommon, benign tumor or cyst located at the petrous apex of the skull next to the middle ear is called a cholesterol granuloma.. Granulomas In Ear.
From www.semanticscholar.org
Figure 1 from Clinical Analysis of Cholesterol Granuloma in the Middle Granulomas In Ear They can occur on the. Granulomatosis with polyangiitis (gpa) is an idiopathic vasculitis of medium and small arteries, characterized by necrotizing. Tumors of the ear can be benign or malignant. A granuloma is a cluster of white blood cells and other tissues that are generally not cancerous. An uncommon, benign tumor or cyst located at the petrous apex of the. Granulomas In Ear.
From bmcearnosethroatdisord.biomedcentral.com
Cholesterol granuloma presenting as a mass obstructing the external ear Granulomas In Ear A granuloma is a cluster of white blood cells and other tissues that are generally not cancerous. Tumors of the ear can be benign or malignant. An uncommon, benign tumor or cyst located at the petrous apex of the skull next to the middle ear is called a cholesterol granuloma. Granulomas often go away on their. Granulomatosis with polyangiitis is. Granulomas In Ear.
From www.researchgate.net
Histological microscopy indicates that there are numerous granulomas Granulomas In Ear They tend to develop in the lungs, on the head, or on the skin. Granulomas often go away on their. Tumors of the ear can be benign or malignant. Granulomatosis with polyangiitis (gpa) is an idiopathic vasculitis of medium and small arteries, characterized by necrotizing. They can occur on the. Granulomatous diseases in the middle ear may be localized primarily. Granulomas In Ear.
From www.alamy.com
Cholesterol granuloma, light micrograph. Cholesterol granulomas are Granulomas In Ear They tend to develop in the lungs, on the head, or on the skin. Granulomatosis with polyangiitis is an uncommon disorder that causes inflammation of the blood vessels in your nose, sinuses,. Granulomatosis with polyangiitis (gpa) is an idiopathic vasculitis of medium and small arteries, characterized by necrotizing. An uncommon, benign tumor or cyst located at the petrous apex of. Granulomas In Ear.
From www.youtube.com
OET SPEAKING ROLEPLAY Nursing Ear Piercing/granuloma oet Granulomas In Ear Granulomatosis with polyangiitis (gpa), formerly known as wegener granulomatosis (wg), commonly involves. They tend to develop in the lungs, on the head, or on the skin. Granulomatosis with polyangiitis is an uncommon disorder that causes inflammation of the blood vessels in your nose, sinuses,. They can occur on the. Granulomatous diseases in the middle ear may be localized primarily to. Granulomas In Ear.
From jamanetwork.com
Congenital Giant Cell Granuloma of the Temporal Bone JAMA Granulomas In Ear They can occur on the. An uncommon, benign tumor or cyst located at the petrous apex of the skull next to the middle ear is called a cholesterol granuloma. They tend to develop in the lungs, on the head, or on the skin. Granulomatosis with polyangiitis is an uncommon disorder that causes inflammation of the blood vessels in your nose,. Granulomas In Ear.
From www.researchgate.net
A, Few linear granulomas, composed of lymphocytes, plasma cells, and Granulomas In Ear Granulomas often go away on their. Granulomatosis with polyangiitis is an uncommon disorder that causes inflammation of the blood vessels in your nose, sinuses,. Granulomatosis with polyangiitis (gpa), formerly known as wegener granulomatosis (wg), commonly involves. Granulomatous diseases in the middle ear may be localized primarily to the ear and surrounding tissues, or they may be a manifestation of a.. Granulomas In Ear.
From www.cambridge.org
The ultrastructure of cholesterol granuloma of the middle ear an Granulomas In Ear Granulomas often go away on their. Tumors of the ear can be benign or malignant. Granulomatosis with polyangiitis is an uncommon disorder that causes inflammation of the blood vessels in your nose, sinuses,. An uncommon, benign tumor or cyst located at the petrous apex of the skull next to the middle ear is called a cholesterol granuloma. Granulomatous diseases in. Granulomas In Ear.
From iv.iiarjournals.org
Huge Cholesterol Granuloma of the Middle Ear Extending to Middle Granulomas In Ear Tumors of the ear can be benign or malignant. Granulomas often go away on their. Granulomatosis with polyangiitis is an uncommon disorder that causes inflammation of the blood vessels in your nose, sinuses,. Granulomatous diseases in the middle ear may be localized primarily to the ear and surrounding tissues, or they may be a manifestation of a. They can occur. Granulomas In Ear.
From iv.iiarjournals.org
Huge Cholesterol Granuloma of the Middle Ear Extending to Middle Granulomas In Ear An uncommon, benign tumor or cyst located at the petrous apex of the skull next to the middle ear is called a cholesterol granuloma. They tend to develop in the lungs, on the head, or on the skin. Granulomatosis with polyangiitis (gpa) is an idiopathic vasculitis of medium and small arteries, characterized by necrotizing. Granulomas often go away on their.. Granulomas In Ear.
From iv.iiarjournals.org
Huge Cholesterol Granuloma of the Middle Ear Extending to Middle Granulomas In Ear They can occur on the. An uncommon, benign tumor or cyst located at the petrous apex of the skull next to the middle ear is called a cholesterol granuloma. Tumors of the ear can be benign or malignant. Granulomatosis with polyangiitis (gpa), formerly known as wegener granulomatosis (wg), commonly involves. They tend to develop in the lungs, on the head,. Granulomas In Ear.