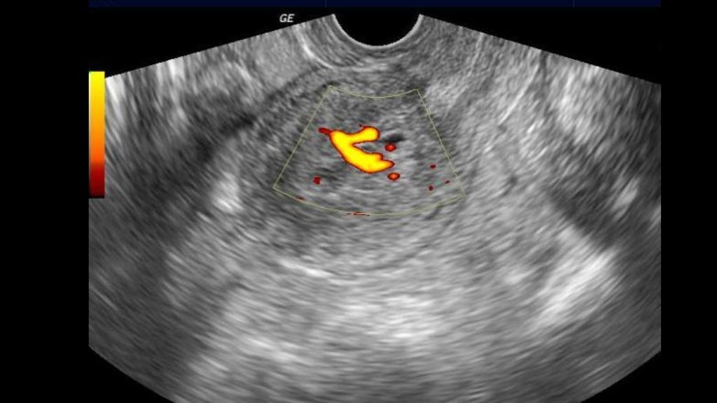
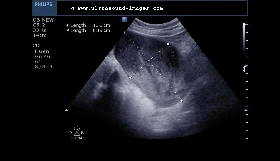
What Do Retained Products Of Conception Look Like . Retained products of conception (pocs) can occur after spontaneous or induced abortion and after delivery. Should consider abnormal if heavy or last >3 weeks. Retained products of conception (rpoc) refer to the persistence of placental and/or fetal tissue in the uterus following delivery, termination of pregnancy or a miscarriage. Retained products of conception (rpoc) generally result after first half of pregnancy termination and also may occur after vaginal or cesarean.
from www.researchgate.net
Should consider abnormal if heavy or last >3 weeks. Retained products of conception (rpoc) generally result after first half of pregnancy termination and also may occur after vaginal or cesarean. Retained products of conception (pocs) can occur after spontaneous or induced abortion and after delivery. Retained products of conception (rpoc) refer to the persistence of placental and/or fetal tissue in the uterus following delivery, termination of pregnancy or a miscarriage.
Ultrasound showing evidence of retained products of conception,... Download Scientific Diagram
What Do Retained Products Of Conception Look Like Retained products of conception (rpoc) refer to the persistence of placental and/or fetal tissue in the uterus following delivery, termination of pregnancy or a miscarriage. Should consider abnormal if heavy or last >3 weeks. Retained products of conception (rpoc) generally result after first half of pregnancy termination and also may occur after vaginal or cesarean. Retained products of conception (pocs) can occur after spontaneous or induced abortion and after delivery. Retained products of conception (rpoc) refer to the persistence of placental and/or fetal tissue in the uterus following delivery, termination of pregnancy or a miscarriage.
From www.youtube.com
Ultrasound Pregnancy retained product of conception. Vaginal bleeding. YouTube What Do Retained Products Of Conception Look Like Should consider abnormal if heavy or last >3 weeks. Retained products of conception (rpoc) refer to the persistence of placental and/or fetal tissue in the uterus following delivery, termination of pregnancy or a miscarriage. Retained products of conception (pocs) can occur after spontaneous or induced abortion and after delivery. Retained products of conception (rpoc) generally result after first half of. What Do Retained Products Of Conception Look Like.
From radiologykey.com
Retained Products of Conception Radiology Key What Do Retained Products Of Conception Look Like Retained products of conception (pocs) can occur after spontaneous or induced abortion and after delivery. Should consider abnormal if heavy or last >3 weeks. Retained products of conception (rpoc) generally result after first half of pregnancy termination and also may occur after vaginal or cesarean. Retained products of conception (rpoc) refer to the persistence of placental and/or fetal tissue in. What Do Retained Products Of Conception Look Like.
From www.youtube.com
Retained Products of Conception Ultrasound YouTube What Do Retained Products Of Conception Look Like Retained products of conception (rpoc) refer to the persistence of placental and/or fetal tissue in the uterus following delivery, termination of pregnancy or a miscarriage. Retained products of conception (pocs) can occur after spontaneous or induced abortion and after delivery. Retained products of conception (rpoc) generally result after first half of pregnancy termination and also may occur after vaginal or. What Do Retained Products Of Conception Look Like.
From pubs.rsna.org
Physiologic, Histologic, and Imaging Features of Retained Products of Conception RadioGraphics What Do Retained Products Of Conception Look Like Retained products of conception (rpoc) generally result after first half of pregnancy termination and also may occur after vaginal or cesarean. Should consider abnormal if heavy or last >3 weeks. Retained products of conception (rpoc) refer to the persistence of placental and/or fetal tissue in the uterus following delivery, termination of pregnancy or a miscarriage. Retained products of conception (pocs). What Do Retained Products Of Conception Look Like.
From bumcem.com
Retained Products of Conception BUMCEM What Do Retained Products Of Conception Look Like Retained products of conception (rpoc) refer to the persistence of placental and/or fetal tissue in the uterus following delivery, termination of pregnancy or a miscarriage. Retained products of conception (rpoc) generally result after first half of pregnancy termination and also may occur after vaginal or cesarean. Should consider abnormal if heavy or last >3 weeks. Retained products of conception (pocs). What Do Retained Products Of Conception Look Like.
From www.ajronline.org
MR Imaging of Retained Products of Conception AJR What Do Retained Products Of Conception Look Like Should consider abnormal if heavy or last >3 weeks. Retained products of conception (pocs) can occur after spontaneous or induced abortion and after delivery. Retained products of conception (rpoc) generally result after first half of pregnancy termination and also may occur after vaginal or cesarean. Retained products of conception (rpoc) refer to the persistence of placental and/or fetal tissue in. What Do Retained Products Of Conception Look Like.
From radiologykey.com
Retained Products of Conception Radiology Key What Do Retained Products Of Conception Look Like Retained products of conception (rpoc) generally result after first half of pregnancy termination and also may occur after vaginal or cesarean. Retained products of conception (rpoc) refer to the persistence of placental and/or fetal tissue in the uterus following delivery, termination of pregnancy or a miscarriage. Should consider abnormal if heavy or last >3 weeks. Retained products of conception (pocs). What Do Retained Products Of Conception Look Like.
From www.volusonclub.net
How Retained Products of Conception Can Impact Fertility Empowered Women's Health What Do Retained Products Of Conception Look Like Retained products of conception (rpoc) refer to the persistence of placental and/or fetal tissue in the uterus following delivery, termination of pregnancy or a miscarriage. Retained products of conception (pocs) can occur after spontaneous or induced abortion and after delivery. Retained products of conception (rpoc) generally result after first half of pregnancy termination and also may occur after vaginal or. What Do Retained Products Of Conception Look Like.
From www.wikidoc.org
Retained products of conception wikidoc What Do Retained Products Of Conception Look Like Should consider abnormal if heavy or last >3 weeks. Retained products of conception (pocs) can occur after spontaneous or induced abortion and after delivery. Retained products of conception (rpoc) generally result after first half of pregnancy termination and also may occur after vaginal or cesarean. Retained products of conception (rpoc) refer to the persistence of placental and/or fetal tissue in. What Do Retained Products Of Conception Look Like.
From pubs.rsna.org
Physiologic, Histologic, and Imaging Features of Retained Products of Conception RadioGraphics What Do Retained Products Of Conception Look Like Retained products of conception (pocs) can occur after spontaneous or induced abortion and after delivery. Retained products of conception (rpoc) generally result after first half of pregnancy termination and also may occur after vaginal or cesarean. Should consider abnormal if heavy or last >3 weeks. Retained products of conception (rpoc) refer to the persistence of placental and/or fetal tissue in. What Do Retained Products Of Conception Look Like.
From pubs.rsna.org
Physiologic, Histologic, and Imaging Features of Retained Products of Conception RadioGraphics What Do Retained Products Of Conception Look Like Retained products of conception (rpoc) refer to the persistence of placental and/or fetal tissue in the uterus following delivery, termination of pregnancy or a miscarriage. Should consider abnormal if heavy or last >3 weeks. Retained products of conception (rpoc) generally result after first half of pregnancy termination and also may occur after vaginal or cesarean. Retained products of conception (pocs). What Do Retained Products Of Conception Look Like.
From radiologypics.com
Retained Products of Conception What Do Retained Products Of Conception Look Like Should consider abnormal if heavy or last >3 weeks. Retained products of conception (rpoc) refer to the persistence of placental and/or fetal tissue in the uterus following delivery, termination of pregnancy or a miscarriage. Retained products of conception (pocs) can occur after spontaneous or induced abortion and after delivery. Retained products of conception (rpoc) generally result after first half of. What Do Retained Products Of Conception Look Like.
From drkalirajanscans.com
Retained Products of Conception drkalirajanscans What Do Retained Products Of Conception Look Like Should consider abnormal if heavy or last >3 weeks. Retained products of conception (rpoc) generally result after first half of pregnancy termination and also may occur after vaginal or cesarean. Retained products of conception (rpoc) refer to the persistence of placental and/or fetal tissue in the uterus following delivery, termination of pregnancy or a miscarriage. Retained products of conception (pocs). What Do Retained Products Of Conception Look Like.
From www.slideshare.net
Retained products of conception dr.mohamed Soliman What Do Retained Products Of Conception Look Like Retained products of conception (rpoc) refer to the persistence of placental and/or fetal tissue in the uterus following delivery, termination of pregnancy or a miscarriage. Retained products of conception (rpoc) generally result after first half of pregnancy termination and also may occur after vaginal or cesarean. Should consider abnormal if heavy or last >3 weeks. Retained products of conception (pocs). What Do Retained Products Of Conception Look Like.
From radiogyan.com
Retained Products Of Conception Radiology Case RadioGyan What Do Retained Products Of Conception Look Like Retained products of conception (rpoc) refer to the persistence of placental and/or fetal tissue in the uterus following delivery, termination of pregnancy or a miscarriage. Retained products of conception (pocs) can occur after spontaneous or induced abortion and after delivery. Should consider abnormal if heavy or last >3 weeks. Retained products of conception (rpoc) generally result after first half of. What Do Retained Products Of Conception Look Like.
From radiopaedia.org
Retained products of conception Image What Do Retained Products Of Conception Look Like Retained products of conception (rpoc) refer to the persistence of placental and/or fetal tissue in the uterus following delivery, termination of pregnancy or a miscarriage. Retained products of conception (pocs) can occur after spontaneous or induced abortion and after delivery. Retained products of conception (rpoc) generally result after first half of pregnancy termination and also may occur after vaginal or. What Do Retained Products Of Conception Look Like.
From pubs.rsna.org
Physiologic, Histologic, and Imaging Features of Retained Products of Conception RadioGraphics What Do Retained Products Of Conception Look Like Retained products of conception (rpoc) generally result after first half of pregnancy termination and also may occur after vaginal or cesarean. Retained products of conception (rpoc) refer to the persistence of placental and/or fetal tissue in the uterus following delivery, termination of pregnancy or a miscarriage. Retained products of conception (pocs) can occur after spontaneous or induced abortion and after. What Do Retained Products Of Conception Look Like.
From www.researchgate.net
Retained products of conception. Contrastenhanced CT image shows... Download Scientific Diagram What Do Retained Products Of Conception Look Like Should consider abnormal if heavy or last >3 weeks. Retained products of conception (rpoc) refer to the persistence of placental and/or fetal tissue in the uterus following delivery, termination of pregnancy or a miscarriage. Retained products of conception (pocs) can occur after spontaneous or induced abortion and after delivery. Retained products of conception (rpoc) generally result after first half of. What Do Retained Products Of Conception Look Like.
From www.semanticscholar.org
Clinical and imaging predictors of management in retained products of conception Semantic Scholar What Do Retained Products Of Conception Look Like Should consider abnormal if heavy or last >3 weeks. Retained products of conception (pocs) can occur after spontaneous or induced abortion and after delivery. Retained products of conception (rpoc) generally result after first half of pregnancy termination and also may occur after vaginal or cesarean. Retained products of conception (rpoc) refer to the persistence of placental and/or fetal tissue in. What Do Retained Products Of Conception Look Like.
From www.researchgate.net
Retained products of conception. 38yearold female status post... Download Scientific Diagram What Do Retained Products Of Conception Look Like Should consider abnormal if heavy or last >3 weeks. Retained products of conception (rpoc) refer to the persistence of placental and/or fetal tissue in the uterus following delivery, termination of pregnancy or a miscarriage. Retained products of conception (rpoc) generally result after first half of pregnancy termination and also may occur after vaginal or cesarean. Retained products of conception (pocs). What Do Retained Products Of Conception Look Like.
From pubs.rsna.org
Physiologic, Histologic, and Imaging Features of Retained Products of Conception RadioGraphics What Do Retained Products Of Conception Look Like Retained products of conception (rpoc) refer to the persistence of placental and/or fetal tissue in the uterus following delivery, termination of pregnancy or a miscarriage. Retained products of conception (rpoc) generally result after first half of pregnancy termination and also may occur after vaginal or cesarean. Should consider abnormal if heavy or last >3 weeks. Retained products of conception (pocs). What Do Retained Products Of Conception Look Like.
From www.fertstert.org
Evacuating retained products of conception in the setting of an ultrasound unit Fertility and What Do Retained Products Of Conception Look Like Retained products of conception (rpoc) refer to the persistence of placental and/or fetal tissue in the uterus following delivery, termination of pregnancy or a miscarriage. Should consider abnormal if heavy or last >3 weeks. Retained products of conception (rpoc) generally result after first half of pregnancy termination and also may occur after vaginal or cesarean. Retained products of conception (pocs). What Do Retained Products Of Conception Look Like.
From pubs.rsna.org
Physiologic, Histologic, and Imaging Features of Retained Products of Conception RadioGraphics What Do Retained Products Of Conception Look Like Should consider abnormal if heavy or last >3 weeks. Retained products of conception (rpoc) refer to the persistence of placental and/or fetal tissue in the uterus following delivery, termination of pregnancy or a miscarriage. Retained products of conception (rpoc) generally result after first half of pregnancy termination and also may occur after vaginal or cesarean. Retained products of conception (pocs). What Do Retained Products Of Conception Look Like.
From www.volusonclub.net
How Retained Products of Conception Can Impact Fertility Empowered Women's Health What Do Retained Products Of Conception Look Like Should consider abnormal if heavy or last >3 weeks. Retained products of conception (rpoc) generally result after first half of pregnancy termination and also may occur after vaginal or cesarean. Retained products of conception (rpoc) refer to the persistence of placental and/or fetal tissue in the uterus following delivery, termination of pregnancy or a miscarriage. Retained products of conception (pocs). What Do Retained Products Of Conception Look Like.
From www.indianradiology.com
Retained Products of Conception Versus DifferentialsMRI Sumer's Radiology Blog What Do Retained Products Of Conception Look Like Retained products of conception (rpoc) refer to the persistence of placental and/or fetal tissue in the uterus following delivery, termination of pregnancy or a miscarriage. Retained products of conception (pocs) can occur after spontaneous or induced abortion and after delivery. Should consider abnormal if heavy or last >3 weeks. Retained products of conception (rpoc) generally result after first half of. What Do Retained Products Of Conception Look Like.
From radiologypics.com
Retained Products of Conception What Do Retained Products Of Conception Look Like Should consider abnormal if heavy or last >3 weeks. Retained products of conception (rpoc) generally result after first half of pregnancy termination and also may occur after vaginal or cesarean. Retained products of conception (rpoc) refer to the persistence of placental and/or fetal tissue in the uterus following delivery, termination of pregnancy or a miscarriage. Retained products of conception (pocs). What Do Retained Products Of Conception Look Like.
From cochinblogs.blogspot.com
cochinblogs Sonography retained products of conception What Do Retained Products Of Conception Look Like Retained products of conception (rpoc) generally result after first half of pregnancy termination and also may occur after vaginal or cesarean. Should consider abnormal if heavy or last >3 weeks. Retained products of conception (pocs) can occur after spontaneous or induced abortion and after delivery. Retained products of conception (rpoc) refer to the persistence of placental and/or fetal tissue in. What Do Retained Products Of Conception Look Like.
From pubs.rsna.org
Physiologic, Histologic, and Imaging Features of Retained Products of Conception RadioGraphics What Do Retained Products Of Conception Look Like Retained products of conception (rpoc) refer to the persistence of placental and/or fetal tissue in the uterus following delivery, termination of pregnancy or a miscarriage. Retained products of conception (pocs) can occur after spontaneous or induced abortion and after delivery. Should consider abnormal if heavy or last >3 weeks. Retained products of conception (rpoc) generally result after first half of. What Do Retained Products Of Conception Look Like.
From www.researchgate.net
Ultrasound showing evidence of retained products of conception,... Download Scientific Diagram What Do Retained Products Of Conception Look Like Should consider abnormal if heavy or last >3 weeks. Retained products of conception (rpoc) refer to the persistence of placental and/or fetal tissue in the uterus following delivery, termination of pregnancy or a miscarriage. Retained products of conception (rpoc) generally result after first half of pregnancy termination and also may occur after vaginal or cesarean. Retained products of conception (pocs). What Do Retained Products Of Conception Look Like.
From radiopaedia.org
Retained products of conception Image What Do Retained Products Of Conception Look Like Retained products of conception (pocs) can occur after spontaneous or induced abortion and after delivery. Retained products of conception (rpoc) generally result after first half of pregnancy termination and also may occur after vaginal or cesarean. Should consider abnormal if heavy or last >3 weeks. Retained products of conception (rpoc) refer to the persistence of placental and/or fetal tissue in. What Do Retained Products Of Conception Look Like.
From pubs.rsna.org
Physiologic, Histologic, and Imaging Features of Retained Products of Conception RadioGraphics What Do Retained Products Of Conception Look Like Retained products of conception (rpoc) refer to the persistence of placental and/or fetal tissue in the uterus following delivery, termination of pregnancy or a miscarriage. Retained products of conception (pocs) can occur after spontaneous or induced abortion and after delivery. Should consider abnormal if heavy or last >3 weeks. Retained products of conception (rpoc) generally result after first half of. What Do Retained Products Of Conception Look Like.
From radiopaedia.org
Retained products of conception Image What Do Retained Products Of Conception Look Like Retained products of conception (rpoc) refer to the persistence of placental and/or fetal tissue in the uterus following delivery, termination of pregnancy or a miscarriage. Should consider abnormal if heavy or last >3 weeks. Retained products of conception (pocs) can occur after spontaneous or induced abortion and after delivery. Retained products of conception (rpoc) generally result after first half of. What Do Retained Products Of Conception Look Like.
From pubs.rsna.org
Physiologic, Histologic, and Imaging Features of Retained Products of Conception RadioGraphics What Do Retained Products Of Conception Look Like Retained products of conception (rpoc) refer to the persistence of placental and/or fetal tissue in the uterus following delivery, termination of pregnancy or a miscarriage. Retained products of conception (pocs) can occur after spontaneous or induced abortion and after delivery. Should consider abnormal if heavy or last >3 weeks. Retained products of conception (rpoc) generally result after first half of. What Do Retained Products Of Conception Look Like.
From pubs.rsna.org
Physiologic, Histologic, and Imaging Features of Retained Products of Conception RadioGraphics What Do Retained Products Of Conception Look Like Retained products of conception (rpoc) generally result after first half of pregnancy termination and also may occur after vaginal or cesarean. Retained products of conception (pocs) can occur after spontaneous or induced abortion and after delivery. Retained products of conception (rpoc) refer to the persistence of placental and/or fetal tissue in the uterus following delivery, termination of pregnancy or a. What Do Retained Products Of Conception Look Like.
From radiogyan.com
Retained Products Of Conception Radiology Case RadioGyan What Do Retained Products Of Conception Look Like Retained products of conception (rpoc) generally result after first half of pregnancy termination and also may occur after vaginal or cesarean. Retained products of conception (pocs) can occur after spontaneous or induced abortion and after delivery. Should consider abnormal if heavy or last >3 weeks. Retained products of conception (rpoc) refer to the persistence of placental and/or fetal tissue in. What Do Retained Products Of Conception Look Like.