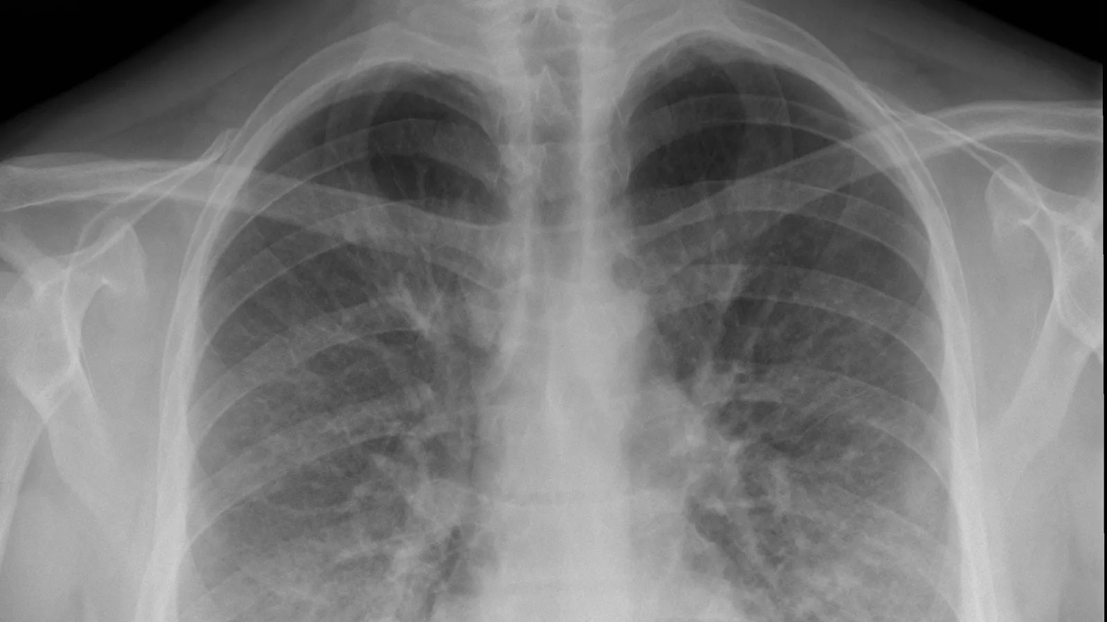
How To Know If You Have Evali . Healthy lungs are filled with air and appear dark. What are the signs and symptoms of evali? Rough criteria for patients with probable evali: Recent history of vaping (especially concerning if using thc oils or adulterated vape liquids). To be classified as evali, cases have to satisfy the following criteria: The following can happen suddenly or get worse. Having vaped or “dabbed” (inhaled a concentrated cannabis product) in the 90 days before symptoms started You may feel like you have the flu at first. Evali is considered in patients who have vaped or dabbed within 90 days of symptom onset, and have abnormal lung imaging in the absence of any.
from justicecounts.com
Having vaped or “dabbed” (inhaled a concentrated cannabis product) in the 90 days before symptoms started What are the signs and symptoms of evali? To be classified as evali, cases have to satisfy the following criteria: Recent history of vaping (especially concerning if using thc oils or adulterated vape liquids). Rough criteria for patients with probable evali: Healthy lungs are filled with air and appear dark. You may feel like you have the flu at first. The following can happen suddenly or get worse. Evali is considered in patients who have vaped or dabbed within 90 days of symptom onset, and have abnormal lung imaging in the absence of any.
EVALI ECigarette & Vaping Product Use Associated Lung Injury
How To Know If You Have Evali Rough criteria for patients with probable evali: You may feel like you have the flu at first. Recent history of vaping (especially concerning if using thc oils or adulterated vape liquids). Healthy lungs are filled with air and appear dark. Having vaped or “dabbed” (inhaled a concentrated cannabis product) in the 90 days before symptoms started The following can happen suddenly or get worse. Rough criteria for patients with probable evali: To be classified as evali, cases have to satisfy the following criteria: Evali is considered in patients who have vaped or dabbed within 90 days of symptom onset, and have abnormal lung imaging in the absence of any. What are the signs and symptoms of evali?
From abtc.ng
What are symptoms of EVALI? What are 6 symptoms of EVALI? ABTC How To Know If You Have Evali Rough criteria for patients with probable evali: Having vaped or “dabbed” (inhaled a concentrated cannabis product) in the 90 days before symptoms started You may feel like you have the flu at first. Healthy lungs are filled with air and appear dark. The following can happen suddenly or get worse. Recent history of vaping (especially concerning if using thc oils. How To Know If You Have Evali.
From www.choosingtherapy.com
What is Vaping? Side Effects & Risks How To Know If You Have Evali Healthy lungs are filled with air and appear dark. To be classified as evali, cases have to satisfy the following criteria: Recent history of vaping (especially concerning if using thc oils or adulterated vape liquids). Rough criteria for patients with probable evali: What are the signs and symptoms of evali? You may feel like you have the flu at first.. How To Know If You Have Evali.
From ai-care.id
Getting to know about EVALI symptoms, a disease caused by vape (e How To Know If You Have Evali Evali is considered in patients who have vaped or dabbed within 90 days of symptom onset, and have abnormal lung imaging in the absence of any. To be classified as evali, cases have to satisfy the following criteria: What are the signs and symptoms of evali? Healthy lungs are filled with air and appear dark. Having vaped or “dabbed” (inhaled. How To Know If You Have Evali.
From emottawablog.com
Ecigarette and Vaping Associated Lung Injury (EVALI) EMOttawa Blog How To Know If You Have Evali To be classified as evali, cases have to satisfy the following criteria: Evali is considered in patients who have vaped or dabbed within 90 days of symptom onset, and have abnormal lung imaging in the absence of any. The following can happen suddenly or get worse. Recent history of vaping (especially concerning if using thc oils or adulterated vape liquids).. How To Know If You Have Evali.
From www.onedose.io
What is Electronic Cigarette Disease (EVALI)? One Dose How To Know If You Have Evali Rough criteria for patients with probable evali: Recent history of vaping (especially concerning if using thc oils or adulterated vape liquids). The following can happen suddenly or get worse. You may feel like you have the flu at first. Evali is considered in patients who have vaped or dabbed within 90 days of symptom onset, and have abnormal lung imaging. How To Know If You Have Evali.
From coloradocannabistours.com
Vaping vs Smoking Weed Differences, Benefits, Effects & Safety Tips How To Know If You Have Evali Rough criteria for patients with probable evali: You may feel like you have the flu at first. Healthy lungs are filled with air and appear dark. What are the signs and symptoms of evali? Evali is considered in patients who have vaped or dabbed within 90 days of symptom onset, and have abnormal lung imaging in the absence of any.. How To Know If You Have Evali.
From www.klfy.com
EVALI newly identified lung disease linked to vaping How To Know If You Have Evali Rough criteria for patients with probable evali: Having vaped or “dabbed” (inhaled a concentrated cannabis product) in the 90 days before symptoms started Recent history of vaping (especially concerning if using thc oils or adulterated vape liquids). Healthy lungs are filled with air and appear dark. The following can happen suddenly or get worse. Evali is considered in patients who. How To Know If You Have Evali.
From tobaccoatlas.org
Ecigarette, or Vaping, Product UseAssociated Lung Injury (or EVALI How To Know If You Have Evali Recent history of vaping (especially concerning if using thc oils or adulterated vape liquids). Evali is considered in patients who have vaped or dabbed within 90 days of symptom onset, and have abnormal lung imaging in the absence of any. Healthy lungs are filled with air and appear dark. You may feel like you have the flu at first. To. How To Know If You Have Evali.
From glimp.de
EVALI Definition, Anzeichen und Symptome, Ursache, Behandlung und How To Know If You Have Evali Healthy lungs are filled with air and appear dark. You may feel like you have the flu at first. Having vaped or “dabbed” (inhaled a concentrated cannabis product) in the 90 days before symptoms started To be classified as evali, cases have to satisfy the following criteria: Rough criteria for patients with probable evali: The following can happen suddenly or. How To Know If You Have Evali.
From www.facebook.com
"EVALI" stands for... Cambria County Drug Coalition How To Know If You Have Evali What are the signs and symptoms of evali? Recent history of vaping (especially concerning if using thc oils or adulterated vape liquids). Healthy lungs are filled with air and appear dark. You may feel like you have the flu at first. The following can happen suddenly or get worse. Evali is considered in patients who have vaped or dabbed within. How To Know If You Have Evali.
From smokefreephilly.org
ATTN Ecigarette and Vaping Product UseAssociated Lung Injury (EVALI How To Know If You Have Evali Healthy lungs are filled with air and appear dark. Evali is considered in patients who have vaped or dabbed within 90 days of symptom onset, and have abnormal lung imaging in the absence of any. The following can happen suddenly or get worse. Recent history of vaping (especially concerning if using thc oils or adulterated vape liquids). What are the. How To Know If You Have Evali.
From thoitrangaction.com
What Are Symptoms Of Evali Recognizing The VapingRelated Illness How To Know If You Have Evali Evali is considered in patients who have vaped or dabbed within 90 days of symptom onset, and have abnormal lung imaging in the absence of any. What are the signs and symptoms of evali? Having vaped or “dabbed” (inhaled a concentrated cannabis product) in the 90 days before symptoms started To be classified as evali, cases have to satisfy the. How To Know If You Have Evali.
From dotcommagazine.com
EVALITop Ten Things You Need To Know. MagazineInfluencers How To Know If You Have Evali What are the signs and symptoms of evali? Recent history of vaping (especially concerning if using thc oils or adulterated vape liquids). Rough criteria for patients with probable evali: To be classified as evali, cases have to satisfy the following criteria: Healthy lungs are filled with air and appear dark. You may feel like you have the flu at first.. How To Know If You Have Evali.
From www.dhs.wisconsin.gov
Vaping and Lung Injury Investigation Wisconsin Department of Health How To Know If You Have Evali The following can happen suddenly or get worse. What are the signs and symptoms of evali? Evali is considered in patients who have vaped or dabbed within 90 days of symptom onset, and have abnormal lung imaging in the absence of any. Healthy lungs are filled with air and appear dark. Rough criteria for patients with probable evali: Having vaped. How To Know If You Have Evali.
From www.studypool.com
SOLUTION What is evali Studypool How To Know If You Have Evali Rough criteria for patients with probable evali: Recent history of vaping (especially concerning if using thc oils or adulterated vape liquids). To be classified as evali, cases have to satisfy the following criteria: You may feel like you have the flu at first. The following can happen suddenly or get worse. Healthy lungs are filled with air and appear dark.. How To Know If You Have Evali.
From www.youtube.com
The EVALI Vaping Deaths CASAA Explains YouTube How To Know If You Have Evali What are the signs and symptoms of evali? You may feel like you have the flu at first. Having vaped or “dabbed” (inhaled a concentrated cannabis product) in the 90 days before symptoms started Rough criteria for patients with probable evali: Recent history of vaping (especially concerning if using thc oils or adulterated vape liquids). To be classified as evali,. How To Know If You Have Evali.
From rebelem.com
ECigarette or Vaping Product UseAssociated Lung Injury (EVALI How To Know If You Have Evali Rough criteria for patients with probable evali: The following can happen suddenly or get worse. Recent history of vaping (especially concerning if using thc oils or adulterated vape liquids). You may feel like you have the flu at first. Having vaped or “dabbed” (inhaled a concentrated cannabis product) in the 90 days before symptoms started Evali is considered in patients. How To Know If You Have Evali.
From justicecounts.com
EVALI ECigarette & Vaping Product Use Associated Lung Injury How To Know If You Have Evali Recent history of vaping (especially concerning if using thc oils or adulterated vape liquids). Rough criteria for patients with probable evali: To be classified as evali, cases have to satisfy the following criteria: You may feel like you have the flu at first. Having vaped or “dabbed” (inhaled a concentrated cannabis product) in the 90 days before symptoms started Healthy. How To Know If You Have Evali.
From reference.medscape.com
Ecigarette or Vaping Product UseAssociated Lung Injury (EVALI) A How To Know If You Have Evali The following can happen suddenly or get worse. Having vaped or “dabbed” (inhaled a concentrated cannabis product) in the 90 days before symptoms started To be classified as evali, cases have to satisfy the following criteria: Recent history of vaping (especially concerning if using thc oils or adulterated vape liquids). What are the signs and symptoms of evali? Healthy lungs. How To Know If You Have Evali.
From www.ajronline.org
Pediatric SARS, H1N1, MERS, EVALI, and Now Coronavirus Disease (COVID How To Know If You Have Evali To be classified as evali, cases have to satisfy the following criteria: Recent history of vaping (especially concerning if using thc oils or adulterated vape liquids). Having vaped or “dabbed” (inhaled a concentrated cannabis product) in the 90 days before symptoms started Evali is considered in patients who have vaped or dabbed within 90 days of symptom onset, and have. How To Know If You Have Evali.
From www.globaltimes.cn
EVALI or COVID19? Global Times How To Know If You Have Evali Rough criteria for patients with probable evali: To be classified as evali, cases have to satisfy the following criteria: The following can happen suddenly or get worse. Recent history of vaping (especially concerning if using thc oils or adulterated vape liquids). You may feel like you have the flu at first. What are the signs and symptoms of evali? Healthy. How To Know If You Have Evali.
From dotcommagazine.com
EVALI Top Ten Powerful Things You Need To Know Magazine How To Know If You Have Evali Having vaped or “dabbed” (inhaled a concentrated cannabis product) in the 90 days before symptoms started To be classified as evali, cases have to satisfy the following criteria: What are the signs and symptoms of evali? You may feel like you have the flu at first. Rough criteria for patients with probable evali: Evali is considered in patients who have. How To Know If You Have Evali.
From kunduz.com
[ANSWERED] 2 points 13 EVALI cases have been reported to the CDC from How To Know If You Have Evali The following can happen suddenly or get worse. Evali is considered in patients who have vaped or dabbed within 90 days of symptom onset, and have abnormal lung imaging in the absence of any. What are the signs and symptoms of evali? You may feel like you have the flu at first. Healthy lungs are filled with air and appear. How To Know If You Have Evali.
From ai-care.id
Getting to know about EVALI symptoms, a disease caused by vape (e How To Know If You Have Evali Having vaped or “dabbed” (inhaled a concentrated cannabis product) in the 90 days before symptoms started The following can happen suddenly or get worse. What are the signs and symptoms of evali? To be classified as evali, cases have to satisfy the following criteria: Rough criteria for patients with probable evali: Recent history of vaping (especially concerning if using thc. How To Know If You Have Evali.
From www.myhealthyclick.com
CDC Close FollowUp for Patients with EVALI How To Know If You Have Evali Rough criteria for patients with probable evali: What are the signs and symptoms of evali? You may feel like you have the flu at first. The following can happen suddenly or get worse. To be classified as evali, cases have to satisfy the following criteria: Having vaped or “dabbed” (inhaled a concentrated cannabis product) in the 90 days before symptoms. How To Know If You Have Evali.
From www.ajronline.org
Pediatric SARS, H1N1, MERS, EVALI, and Now Coronavirus Disease (COVID How To Know If You Have Evali Having vaped or “dabbed” (inhaled a concentrated cannabis product) in the 90 days before symptoms started To be classified as evali, cases have to satisfy the following criteria: The following can happen suddenly or get worse. Rough criteria for patients with probable evali: Healthy lungs are filled with air and appear dark. Recent history of vaping (especially concerning if using. How To Know If You Have Evali.
From www.researchgate.net
Clinical Characteristics of Case Patients With EVALI Download How To Know If You Have Evali Recent history of vaping (especially concerning if using thc oils or adulterated vape liquids). Having vaped or “dabbed” (inhaled a concentrated cannabis product) in the 90 days before symptoms started To be classified as evali, cases have to satisfy the following criteria: Healthy lungs are filled with air and appear dark. What are the signs and symptoms of evali? The. How To Know If You Have Evali.
From healthjade.net
EVALI lung injury, causes, symptoms, diagnosis, treatment & prognosis How To Know If You Have Evali Healthy lungs are filled with air and appear dark. Having vaped or “dabbed” (inhaled a concentrated cannabis product) in the 90 days before symptoms started To be classified as evali, cases have to satisfy the following criteria: What are the signs and symptoms of evali? Rough criteria for patients with probable evali: Evali is considered in patients who have vaped. How To Know If You Have Evali.
From jetem.org
EVALI. CT Coronal 2, Annotated. JETem 2023 JETem How To Know If You Have Evali Rough criteria for patients with probable evali: The following can happen suddenly or get worse. You may feel like you have the flu at first. Evali is considered in patients who have vaped or dabbed within 90 days of symptom onset, and have abnormal lung imaging in the absence of any. To be classified as evali, cases have to satisfy. How To Know If You Have Evali.
From casaa.org
What You Should Know About Ecigarettes and EVALI CASAA How To Know If You Have Evali What are the signs and symptoms of evali? To be classified as evali, cases have to satisfy the following criteria: The following can happen suddenly or get worse. Having vaped or “dabbed” (inhaled a concentrated cannabis product) in the 90 days before symptoms started Evali is considered in patients who have vaped or dabbed within 90 days of symptom onset,. How To Know If You Have Evali.
From www.youtube.com
What is evali disease All you need to know currentaffairs2020 How To Know If You Have Evali What are the signs and symptoms of evali? The following can happen suddenly or get worse. Evali is considered in patients who have vaped or dabbed within 90 days of symptom onset, and have abnormal lung imaging in the absence of any. Healthy lungs are filled with air and appear dark. To be classified as evali, cases have to satisfy. How To Know If You Have Evali.
From www.oliveviewim.org
Morning Report Diagnosing EVALI, Exclude infection and other How To Know If You Have Evali Recent history of vaping (especially concerning if using thc oils or adulterated vape liquids). Having vaped or “dabbed” (inhaled a concentrated cannabis product) in the 90 days before symptoms started What are the signs and symptoms of evali? Evali is considered in patients who have vaped or dabbed within 90 days of symptom onset, and have abnormal lung imaging in. How To Know If You Have Evali.
From ai-care.id
Getting to know about EVALI symptoms, a disease caused by vape (e How To Know If You Have Evali Healthy lungs are filled with air and appear dark. Evali is considered in patients who have vaped or dabbed within 90 days of symptom onset, and have abnormal lung imaging in the absence of any. What are the signs and symptoms of evali? You may feel like you have the flu at first. Having vaped or “dabbed” (inhaled a concentrated. How To Know If You Have Evali.
From www.globaltimes.cn
Exclusive Some 2019 EVALI patients in the US may have been infected How To Know If You Have Evali To be classified as evali, cases have to satisfy the following criteria: Evali is considered in patients who have vaped or dabbed within 90 days of symptom onset, and have abnormal lung imaging in the absence of any. What are the signs and symptoms of evali? The following can happen suddenly or get worse. You may feel like you have. How To Know If You Have Evali.
From theconversation.com
Vapingrelated lung disease now has a name and a likely cause. 5 How To Know If You Have Evali To be classified as evali, cases have to satisfy the following criteria: What are the signs and symptoms of evali? Evali is considered in patients who have vaped or dabbed within 90 days of symptom onset, and have abnormal lung imaging in the absence of any. You may feel like you have the flu at first. Healthy lungs are filled. How To Know If You Have Evali.