How Long Does It Take To Heal A Lisfranc Injury . How long does it take to recover from lisfranc injury? A minor lisfranc injury, such as a strain, may heal in as little as eight weeks, but most surgical repairs. Identify critical points for restoration of length for both medial and lateral columns. They can take a long time to heal and may also require surgery. Even a simple lisfranc injury is a severe injury that may take many months to heal and may require surgery to treat. For those experiencing strains or sprains, recovery could take six to. How long do lisfranc injuries take to heal? Learn about how a doctor will diagnose a lisfranc fracture, the available treatments, and how to prevent them and. Some milder lisfranc injuries can heal on their own. Lisfranc injury can be quite serious and require months to heal. With conservative treatment, even mild lisfranc injuries can take up to 8 weeks to heal. If surgery is recommended, a special boot is required for 3 months followed by a course of. It depends on exactly what was damaged and the severity. The midfoot is the middle region of the foot, where a cluster of. How long does it take to recover from a lisfranc injury?
from motusspt.com
The midfoot is the middle region of the foot, where a cluster of. If surgery is recommended, a special boot is required for 3 months followed by a course of. Even a simple lisfranc injury is a severe injury that may take many months to heal and may require surgery to treat. Learn about how a doctor will diagnose a lisfranc fracture, the available treatments, and how to prevent them and. How long does it take to recover from lisfranc injury? It depends on exactly what was damaged and the severity. Lisfranc injury can be quite serious and require months to heal. How long do lisfranc injuries take to heal? Identify critical points for restoration of length for both medial and lateral columns. Determine how to best reconstruct each injury.
Lisfranc Fracture Motus Physical Therapy
How Long Does It Take To Heal A Lisfranc Injury The midfoot is the middle region of the foot, where a cluster of. A minor lisfranc injury, such as a strain, may heal in as little as eight weeks, but most surgical repairs. It depends on exactly what was damaged and the severity. How long does it take to recover from a lisfranc injury? Even a simple lisfranc injury is a severe injury that may take many months to heal and may require surgery to treat. With conservative treatment, even mild lisfranc injuries can take up to 8 weeks to heal. For those experiencing strains or sprains, recovery could take six to. Identify critical points for restoration of length for both medial and lateral columns. If surgery is recommended, a special boot is required for 3 months followed by a course of. Learn about how a doctor will diagnose a lisfranc fracture, the available treatments, and how to prevent them and. Determine how to best reconstruct each injury. Some milder lisfranc injuries can heal on their own. They can take a long time to heal and may also require surgery. How long does it take to recover from lisfranc injury? Lisfranc injury can be quite serious and require months to heal. How long do lisfranc injuries take to heal?
From www.pinterest.com
How long does it take for a torn rotator cuff to heal without surgery How Long Does It Take To Heal A Lisfranc Injury Some milder lisfranc injuries can heal on their own. It depends on exactly what was damaged and the severity. How long does it take to recover from lisfranc injury? The midfoot is the middle region of the foot, where a cluster of. Determine how to best reconstruct each injury. For those experiencing strains or sprains, recovery could take six to.. How Long Does It Take To Heal A Lisfranc Injury.
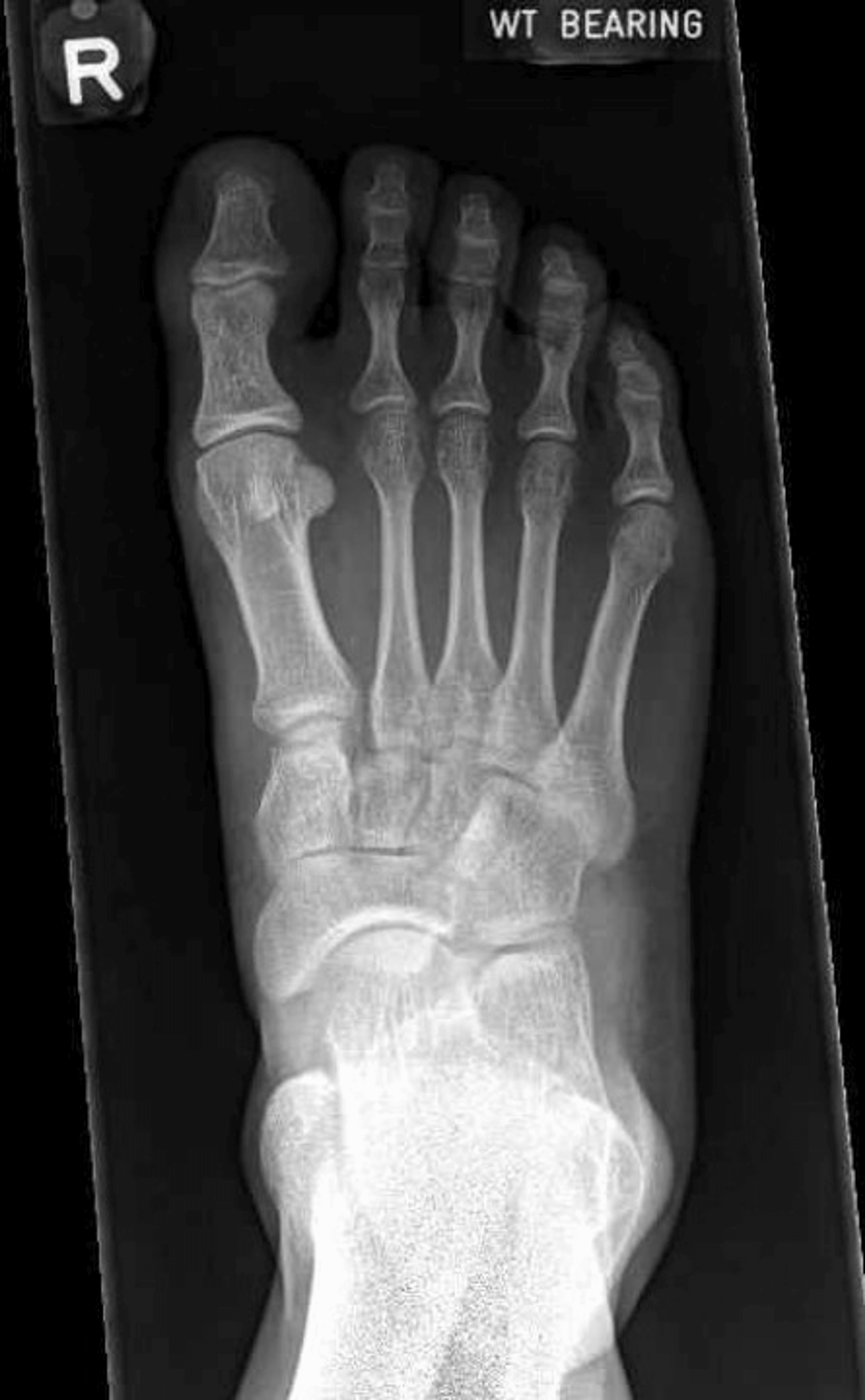
From orthoinfo.aaos.org
Lisfranc (Midfoot) Injury OrthoInfo AAOS How Long Does It Take To Heal A Lisfranc Injury Learn about how a doctor will diagnose a lisfranc fracture, the available treatments, and how to prevent them and. How long does it take to recover from a lisfranc injury? They can take a long time to heal and may also require surgery. The midfoot is the middle region of the foot, where a cluster of. How long does it. How Long Does It Take To Heal A Lisfranc Injury.
From www.brisbanephysiotherapy.com
Lisfranc Injuries and Physiotherapy Management Brisbane Physiotherapy How Long Does It Take To Heal A Lisfranc Injury Lisfranc injury can be quite serious and require months to heal. How long does it take to recover from lisfranc injury? A minor lisfranc injury, such as a strain, may heal in as little as eight weeks, but most surgical repairs. If surgery is recommended, a special boot is required for 3 months followed by a course of. Determine how. How Long Does It Take To Heal A Lisfranc Injury.
From loerkagkf.blob.core.windows.net
How Long Does It Take For A Surface Scratch To Heal at Pat Moore blog How Long Does It Take To Heal A Lisfranc Injury If surgery is recommended, a special boot is required for 3 months followed by a course of. Lisfranc injury can be quite serious and require months to heal. Even a simple lisfranc injury is a severe injury that may take many months to heal and may require surgery to treat. It depends on exactly what was damaged and the severity.. How Long Does It Take To Heal A Lisfranc Injury.
From www.talarmedical.com
Cam Newton has football fans asking what a Lisfranc sprain is and the How Long Does It Take To Heal A Lisfranc Injury How long does it take to recover from a lisfranc injury? Even a simple lisfranc injury is a severe injury that may take many months to heal and may require surgery to treat. Determine how to best reconstruct each injury. Some milder lisfranc injuries can heal on their own. With conservative treatment, even mild lisfranc injuries can take up to. How Long Does It Take To Heal A Lisfranc Injury.
From fivedockphysiotherapy.com.au
Lisfranc Injury How Long Does It Take To Heal A Lisfranc Injury Some milder lisfranc injuries can heal on their own. How long do lisfranc injuries take to heal? With conservative treatment, even mild lisfranc injuries can take up to 8 weeks to heal. Lisfranc injury can be quite serious and require months to heal. The midfoot is the middle region of the foot, where a cluster of. Learn about how a. How Long Does It Take To Heal A Lisfranc Injury.
From www.jfas.org
Lisfranc Injuries A Matter of Ligament Disruption The Journal of How Long Does It Take To Heal A Lisfranc Injury It depends on exactly what was damaged and the severity. With conservative treatment, even mild lisfranc injuries can take up to 8 weeks to heal. Learn about how a doctor will diagnose a lisfranc fracture, the available treatments, and how to prevent them and. Identify critical points for restoration of length for both medial and lateral columns. The midfoot is. How Long Does It Take To Heal A Lisfranc Injury.
From dxobreoak.blob.core.windows.net
Kt Tape For Lisfranc Injury at Franklin Long blog How Long Does It Take To Heal A Lisfranc Injury If surgery is recommended, a special boot is required for 3 months followed by a course of. For those experiencing strains or sprains, recovery could take six to. The midfoot is the middle region of the foot, where a cluster of. How long do lisfranc injuries take to heal? Some milder lisfranc injuries can heal on their own. It depends. How Long Does It Take To Heal A Lisfranc Injury.
From www.pinterest.com
How long does it take to heal torn ligaments in the foot? Sprained How Long Does It Take To Heal A Lisfranc Injury Determine how to best reconstruct each injury. Some milder lisfranc injuries can heal on their own. For those experiencing strains or sprains, recovery could take six to. They can take a long time to heal and may also require surgery. With conservative treatment, even mild lisfranc injuries can take up to 8 weeks to heal. If surgery is recommended, a. How Long Does It Take To Heal A Lisfranc Injury.
From fixdiagramdentitions.z21.web.core.windows.net
How To Identify A Sprained Ankle How Long Does It Take To Heal A Lisfranc Injury A minor lisfranc injury, such as a strain, may heal in as little as eight weeks, but most surgical repairs. It depends on exactly what was damaged and the severity. Determine how to best reconstruct each injury. Identify critical points for restoration of length for both medial and lateral columns. Some milder lisfranc injuries can heal on their own. How. How Long Does It Take To Heal A Lisfranc Injury.
From certifiedfoot.com
How to Heal a Ankle Injury using Sprain Ankle Treatment How Long Does It Take To Heal A Lisfranc Injury Determine how to best reconstruct each injury. Lisfranc injury can be quite serious and require months to heal. For those experiencing strains or sprains, recovery could take six to. Even a simple lisfranc injury is a severe injury that may take many months to heal and may require surgery to treat. If surgery is recommended, a special boot is required. How Long Does It Take To Heal A Lisfranc Injury.
From gpvoice.com.au
Foot injuries is that a Lisfranc injury? GP Voice How Long Does It Take To Heal A Lisfranc Injury Determine how to best reconstruct each injury. If surgery is recommended, a special boot is required for 3 months followed by a course of. The midfoot is the middle region of the foot, where a cluster of. It depends on exactly what was damaged and the severity. Some milder lisfranc injuries can heal on their own. How long does it. How Long Does It Take To Heal A Lisfranc Injury.
From motusspt.com
Lisfranc Fracture Motus Physical Therapy How Long Does It Take To Heal A Lisfranc Injury Some milder lisfranc injuries can heal on their own. How long do lisfranc injuries take to heal? How long does it take to recover from lisfranc injury? They can take a long time to heal and may also require surgery. Even a simple lisfranc injury is a severe injury that may take many months to heal and may require surgery. How Long Does It Take To Heal A Lisfranc Injury.
From celivnwp.blob.core.windows.net
How To Heal A Lisfranc Injury at Hazel Pacheco blog How Long Does It Take To Heal A Lisfranc Injury Determine how to best reconstruct each injury. Even a simple lisfranc injury is a severe injury that may take many months to heal and may require surgery to treat. The midfoot is the middle region of the foot, where a cluster of. Lisfranc injury can be quite serious and require months to heal. How long do lisfranc injuries take to. How Long Does It Take To Heal A Lisfranc Injury.
From afaig.com
How Long Does a Sprained Ankle Stay Swollen Grades & Tips How Long Does It Take To Heal A Lisfranc Injury Determine how to best reconstruct each injury. How long do lisfranc injuries take to heal? They can take a long time to heal and may also require surgery. Even a simple lisfranc injury is a severe injury that may take many months to heal and may require surgery to treat. Some milder lisfranc injuries can heal on their own. Learn. How Long Does It Take To Heal A Lisfranc Injury.
From www.reddit.com
Diagnosing a Lisfranc Injury r/orthopaedics How Long Does It Take To Heal A Lisfranc Injury Some milder lisfranc injuries can heal on their own. With conservative treatment, even mild lisfranc injuries can take up to 8 weeks to heal. For those experiencing strains or sprains, recovery could take six to. The midfoot is the middle region of the foot, where a cluster of. They can take a long time to heal and may also require. How Long Does It Take To Heal A Lisfranc Injury.
From footeducation.com
Lisfranc Injury FootEducation How Long Does It Take To Heal A Lisfranc Injury Some milder lisfranc injuries can heal on their own. The midfoot is the middle region of the foot, where a cluster of. How long do lisfranc injuries take to heal? A minor lisfranc injury, such as a strain, may heal in as little as eight weeks, but most surgical repairs. How long does it take to recover from lisfranc injury?. How Long Does It Take To Heal A Lisfranc Injury.
From fivedockphysiotherapy.com.au
Lisfranc Injury How Long Does It Take To Heal A Lisfranc Injury Some milder lisfranc injuries can heal on their own. It depends on exactly what was damaged and the severity. Even a simple lisfranc injury is a severe injury that may take many months to heal and may require surgery to treat. How long does it take to recover from a lisfranc injury? For those experiencing strains or sprains, recovery could. How Long Does It Take To Heal A Lisfranc Injury.
From www.cureus.com
Cureus Suspensory Device Fixation of Lisfranc Injuries in a Southeast How Long Does It Take To Heal A Lisfranc Injury Identify critical points for restoration of length for both medial and lateral columns. Even a simple lisfranc injury is a severe injury that may take many months to heal and may require surgery to treat. How long does it take to recover from lisfranc injury? How long do lisfranc injuries take to heal? They can take a long time to. How Long Does It Take To Heal A Lisfranc Injury.
From www.sportsinjuryclinic.net
Lisfranc Injury Symptoms, Causes and Treatment How Long Does It Take To Heal A Lisfranc Injury It depends on exactly what was damaged and the severity. The midfoot is the middle region of the foot, where a cluster of. Determine how to best reconstruct each injury. How long do lisfranc injuries take to heal? They can take a long time to heal and may also require surgery. How long does it take to recover from lisfranc. How Long Does It Take To Heal A Lisfranc Injury.
From medizzy.com
Lisfranc injury MEDizzy How Long Does It Take To Heal A Lisfranc Injury A minor lisfranc injury, such as a strain, may heal in as little as eight weeks, but most surgical repairs. With conservative treatment, even mild lisfranc injuries can take up to 8 weeks to heal. How long does it take to recover from a lisfranc injury? How long does it take to recover from lisfranc injury? The midfoot is the. How Long Does It Take To Heal A Lisfranc Injury.
From www.verywellhealth.com
Lisfranc Injury Definition, Symptoms, and More How Long Does It Take To Heal A Lisfranc Injury How long does it take to recover from a lisfranc injury? Lisfranc injury can be quite serious and require months to heal. How long does it take to recover from lisfranc injury? A minor lisfranc injury, such as a strain, may heal in as little as eight weeks, but most surgical repairs. If surgery is recommended, a special boot is. How Long Does It Take To Heal A Lisfranc Injury.
From www.mdpi.com
Medicina Free FullText Various Flexible Fixation Techniques Using How Long Does It Take To Heal A Lisfranc Injury How long does it take to recover from lisfranc injury? Some milder lisfranc injuries can heal on their own. If surgery is recommended, a special boot is required for 3 months followed by a course of. For those experiencing strains or sprains, recovery could take six to. Lisfranc injury can be quite serious and require months to heal. A minor. How Long Does It Take To Heal A Lisfranc Injury.
From www.findatopdoc.com
How long does it normally take for a cut to heal on the palm? How Long Does It Take To Heal A Lisfranc Injury With conservative treatment, even mild lisfranc injuries can take up to 8 weeks to heal. How long does it take to recover from lisfranc injury? How long do lisfranc injuries take to heal? They can take a long time to heal and may also require surgery. For those experiencing strains or sprains, recovery could take six to. Learn about how. How Long Does It Take To Heal A Lisfranc Injury.
From www.youtube.com
Lisfranc Injury Treatment & Recovery Time [Middle Foot Pain CURE How Long Does It Take To Heal A Lisfranc Injury Learn about how a doctor will diagnose a lisfranc fracture, the available treatments, and how to prevent them and. Identify critical points for restoration of length for both medial and lateral columns. How long do lisfranc injuries take to heal? They can take a long time to heal and may also require surgery. Some milder lisfranc injuries can heal on. How Long Does It Take To Heal A Lisfranc Injury.
From celivnwp.blob.core.windows.net
How To Heal A Lisfranc Injury at Hazel Pacheco blog How Long Does It Take To Heal A Lisfranc Injury With conservative treatment, even mild lisfranc injuries can take up to 8 weeks to heal. A minor lisfranc injury, such as a strain, may heal in as little as eight weeks, but most surgical repairs. Even a simple lisfranc injury is a severe injury that may take many months to heal and may require surgery to treat. Some milder lisfranc. How Long Does It Take To Heal A Lisfranc Injury.
From upswinghealth.com
Lisfranc Injury Upswing Health Upswing Health How Long Does It Take To Heal A Lisfranc Injury A minor lisfranc injury, such as a strain, may heal in as little as eight weeks, but most surgical repairs. Determine how to best reconstruct each injury. How long does it take to recover from a lisfranc injury? It depends on exactly what was damaged and the severity. With conservative treatment, even mild lisfranc injuries can take up to 8. How Long Does It Take To Heal A Lisfranc Injury.
From kinedarbois.fr
How Long Does a Sprained Ankle Stay Swollen? (+Tips) How Long Does It Take To Heal A Lisfranc Injury The midfoot is the middle region of the foot, where a cluster of. How long do lisfranc injuries take to heal? It depends on exactly what was damaged and the severity. A minor lisfranc injury, such as a strain, may heal in as little as eight weeks, but most surgical repairs. Lisfranc injury can be quite serious and require months. How Long Does It Take To Heal A Lisfranc Injury.
From rnvpodiatry.com
How Long Does Sprained Ankle Take to Heal? Dr. Verville How Long Does It Take To Heal A Lisfranc Injury Lisfranc injury can be quite serious and require months to heal. Even a simple lisfranc injury is a severe injury that may take many months to heal and may require surgery to treat. Learn about how a doctor will diagnose a lisfranc fracture, the available treatments, and how to prevent them and. Determine how to best reconstruct each injury. A. How Long Does It Take To Heal A Lisfranc Injury.
From healthjade.net
Lisfranc injury, lisfranc joint injury causes, symptoms, diagnosis How Long Does It Take To Heal A Lisfranc Injury A minor lisfranc injury, such as a strain, may heal in as little as eight weeks, but most surgical repairs. How long does it take to recover from lisfranc injury? How long do lisfranc injuries take to heal? Identify critical points for restoration of length for both medial and lateral columns. Learn about how a doctor will diagnose a lisfranc. How Long Does It Take To Heal A Lisfranc Injury.
From dailymedicalhealth.com
How Long Does A Broken Foot Take To Heal How Long Does It Take To Heal A Lisfranc Injury For those experiencing strains or sprains, recovery could take six to. How long do lisfranc injuries take to heal? Determine how to best reconstruct each injury. Lisfranc injury can be quite serious and require months to heal. The midfoot is the middle region of the foot, where a cluster of. Identify critical points for restoration of length for both medial. How Long Does It Take To Heal A Lisfranc Injury.
From www.youtube.com
How long does it take a stress fracture to heal? YouTube How Long Does It Take To Heal A Lisfranc Injury If surgery is recommended, a special boot is required for 3 months followed by a course of. It depends on exactly what was damaged and the severity. How long does it take to recover from a lisfranc injury? How long does it take to recover from lisfranc injury? Even a simple lisfranc injury is a severe injury that may take. How Long Does It Take To Heal A Lisfranc Injury.
From www.theinjurysource.com
Lisfranc Injury A Matter of a Few Millimeters How Long Does It Take To Heal A Lisfranc Injury It depends on exactly what was damaged and the severity. With conservative treatment, even mild lisfranc injuries can take up to 8 weeks to heal. The midfoot is the middle region of the foot, where a cluster of. Lisfranc injury can be quite serious and require months to heal. How long do lisfranc injuries take to heal? If surgery is. How Long Does It Take To Heal A Lisfranc Injury.
From lisfrancsurgery.blogspot.com
After LisFranc Surgery Bones fully healed!!! How Long Does It Take To Heal A Lisfranc Injury How long does it take to recover from lisfranc injury? The midfoot is the middle region of the foot, where a cluster of. Determine how to best reconstruct each injury. Some milder lisfranc injuries can heal on their own. How long does it take to recover from a lisfranc injury? With conservative treatment, even mild lisfranc injuries can take up. How Long Does It Take To Heal A Lisfranc Injury.
From www.reddit.com
How Lisfranc Injuries Affect Fantasy Football (Najee, Bateman) r How Long Does It Take To Heal A Lisfranc Injury Determine how to best reconstruct each injury. A minor lisfranc injury, such as a strain, may heal in as little as eight weeks, but most surgical repairs. For those experiencing strains or sprains, recovery could take six to. How long does it take to recover from lisfranc injury? The midfoot is the middle region of the foot, where a cluster. How Long Does It Take To Heal A Lisfranc Injury.