What Does Periodontal Mean In Dentistry . A periodontist is a dentist who specializes in the prevention, diagnosis, and treatment of periodontal disease (a chronic inflammatory disease that affects the gums and bone supporting. They also help you manage signs. Periodontists are dentists who specialize in treating the periodontium, the group of tissues surrounding and supporting your teeth. And a periodontist is a dentist who works “around the tooth.” the american academy of periodontology (aap) offers this fuller periodontist definition: Periodontics is a branch of dentistry focusing on the structures that surround and support the teeth. A periodontist is a dental professional who specializes in the diagnosis,. You may notice this mild oral infection. Periodontal diseases are infections of the areas around teeth, including the gums, parts of the bone, and periodontal ligaments. These include your gums and the. A periodontist is a dentist who specializes in preventing, diagnosing, and treating gum disease.
from www.researchgate.net
Periodontal diseases are infections of the areas around teeth, including the gums, parts of the bone, and periodontal ligaments. And a periodontist is a dentist who works “around the tooth.” the american academy of periodontology (aap) offers this fuller periodontist definition: A periodontist is a dental professional who specializes in the diagnosis,. They also help you manage signs. Periodontists are dentists who specialize in treating the periodontium, the group of tissues surrounding and supporting your teeth. You may notice this mild oral infection. A periodontist is a dentist who specializes in preventing, diagnosing, and treating gum disease. A periodontist is a dentist who specializes in the prevention, diagnosis, and treatment of periodontal disease (a chronic inflammatory disease that affects the gums and bone supporting. These include your gums and the. Periodontics is a branch of dentistry focusing on the structures that surround and support the teeth.
Oral cavity divided into six sextants. Sextant/segment 1 upper right
What Does Periodontal Mean In Dentistry You may notice this mild oral infection. Periodontal diseases are infections of the areas around teeth, including the gums, parts of the bone, and periodontal ligaments. And a periodontist is a dentist who works “around the tooth.” the american academy of periodontology (aap) offers this fuller periodontist definition: They also help you manage signs. Periodontics is a branch of dentistry focusing on the structures that surround and support the teeth. A periodontist is a dental professional who specializes in the diagnosis,. A periodontist is a dentist who specializes in the prevention, diagnosis, and treatment of periodontal disease (a chronic inflammatory disease that affects the gums and bone supporting. A periodontist is a dentist who specializes in preventing, diagnosing, and treating gum disease. These include your gums and the. You may notice this mild oral infection. Periodontists are dentists who specialize in treating the periodontium, the group of tissues surrounding and supporting your teeth.
From www.interdent.com
Periodontal Disease Causes, Treatment, & Prevention What Does Periodontal Mean In Dentistry Periodontists are dentists who specialize in treating the periodontium, the group of tissues surrounding and supporting your teeth. Periodontal diseases are infections of the areas around teeth, including the gums, parts of the bone, and periodontal ligaments. You may notice this mild oral infection. A periodontist is a dentist who specializes in preventing, diagnosing, and treating gum disease. These include. What Does Periodontal Mean In Dentistry.
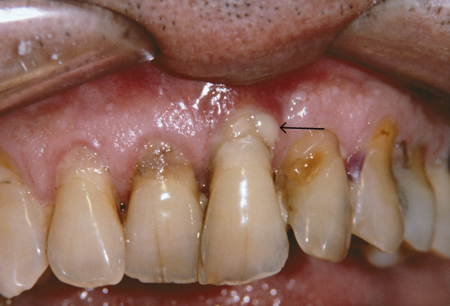
From www.deardoctor.com
Understanding Periodontal Pockets What Does Periodontal Mean In Dentistry These include your gums and the. They also help you manage signs. A periodontist is a dentist who specializes in the prevention, diagnosis, and treatment of periodontal disease (a chronic inflammatory disease that affects the gums and bone supporting. Periodontics is a branch of dentistry focusing on the structures that surround and support the teeth. Periodontal diseases are infections of. What Does Periodontal Mean In Dentistry.
From rheakeyes.blogspot.com
comprehensive dental care definition Rhea Keyes What Does Periodontal Mean In Dentistry And a periodontist is a dentist who works “around the tooth.” the american academy of periodontology (aap) offers this fuller periodontist definition: Periodontal diseases are infections of the areas around teeth, including the gums, parts of the bone, and periodontal ligaments. A periodontist is a dentist who specializes in the prevention, diagnosis, and treatment of periodontal disease (a chronic inflammatory. What Does Periodontal Mean In Dentistry.
From www.researchgate.net
Oral cavity divided into six sextants. Sextant/segment 1 upper right What Does Periodontal Mean In Dentistry You may notice this mild oral infection. A periodontist is a dentist who specializes in preventing, diagnosing, and treating gum disease. And a periodontist is a dentist who works “around the tooth.” the american academy of periodontology (aap) offers this fuller periodontist definition: These include your gums and the. Periodontists are dentists who specialize in treating the periodontium, the group. What Does Periodontal Mean In Dentistry.
From eminajdentalclinic.com
Periodontology Eminaj Dental Clinic What Does Periodontal Mean In Dentistry And a periodontist is a dentist who works “around the tooth.” the american academy of periodontology (aap) offers this fuller periodontist definition: They also help you manage signs. These include your gums and the. A periodontist is a dentist who specializes in preventing, diagnosing, and treating gum disease. You may notice this mild oral infection. A periodontist is a dental. What Does Periodontal Mean In Dentistry.
From www.vecteezy.com
Human teeth Stages of Gum Disease Vector Illustration 569249 Vector Art What Does Periodontal Mean In Dentistry Periodontists are dentists who specialize in treating the periodontium, the group of tissues surrounding and supporting your teeth. Periodontics is a branch of dentistry focusing on the structures that surround and support the teeth. And a periodontist is a dentist who works “around the tooth.” the american academy of periodontology (aap) offers this fuller periodontist definition: These include your gums. What Does Periodontal Mean In Dentistry.
From oakdalefamilydental.net
Periodontal (Gum) Disease Oakdale Family Dental What Does Periodontal Mean In Dentistry And a periodontist is a dentist who works “around the tooth.” the american academy of periodontology (aap) offers this fuller periodontist definition: These include your gums and the. Periodontics is a branch of dentistry focusing on the structures that surround and support the teeth. A periodontist is a dental professional who specializes in the diagnosis,. You may notice this mild. What Does Periodontal Mean In Dentistry.
From lowcountryfamilydentistry.com
Periodontal Disease Dentist Ladys Island SC Beaufort Dental Care What Does Periodontal Mean In Dentistry You may notice this mild oral infection. Periodontists are dentists who specialize in treating the periodontium, the group of tissues surrounding and supporting your teeth. A periodontist is a dental professional who specializes in the diagnosis,. They also help you manage signs. And a periodontist is a dentist who works “around the tooth.” the american academy of periodontology (aap) offers. What Does Periodontal Mean In Dentistry.
From www.smiledesigndentistry.com
What is Periodontal disease? Do I have Perio Scaling? What Does Periodontal Mean In Dentistry Periodontics is a branch of dentistry focusing on the structures that surround and support the teeth. A periodontist is a dental professional who specializes in the diagnosis,. They also help you manage signs. Periodontal diseases are infections of the areas around teeth, including the gums, parts of the bone, and periodontal ligaments. And a periodontist is a dentist who works. What Does Periodontal Mean In Dentistry.
From www.dentalsolutions.ca
Stages of Periodontal Disease Bisson Dentistry What Does Periodontal Mean In Dentistry A periodontist is a dental professional who specializes in the diagnosis,. A periodontist is a dentist who specializes in the prevention, diagnosis, and treatment of periodontal disease (a chronic inflammatory disease that affects the gums and bone supporting. A periodontist is a dentist who specializes in preventing, diagnosing, and treating gum disease. You may notice this mild oral infection. These. What Does Periodontal Mean In Dentistry.
From www.pinterest.ca
Stages of periodontal disease. dentistry Dental hygiene school What Does Periodontal Mean In Dentistry Periodontists are dentists who specialize in treating the periodontium, the group of tissues surrounding and supporting your teeth. These include your gums and the. Periodontics is a branch of dentistry focusing on the structures that surround and support the teeth. A periodontist is a dentist who specializes in preventing, diagnosing, and treating gum disease. Periodontal diseases are infections of the. What Does Periodontal Mean In Dentistry.
From hqnguyen.com
Lifestyle and home remedies What Does Periodontal Mean In Dentistry And a periodontist is a dentist who works “around the tooth.” the american academy of periodontology (aap) offers this fuller periodontist definition: Periodontists are dentists who specialize in treating the periodontium, the group of tissues surrounding and supporting your teeth. These include your gums and the. Periodontal diseases are infections of the areas around teeth, including the gums, parts of. What Does Periodontal Mean In Dentistry.
From vithobadentalcare.blogspot.com
Things you need to know about Periodontal Disease What Does Periodontal Mean In Dentistry These include your gums and the. A periodontist is a dentist who specializes in the prevention, diagnosis, and treatment of periodontal disease (a chronic inflammatory disease that affects the gums and bone supporting. Periodontics is a branch of dentistry focusing on the structures that surround and support the teeth. They also help you manage signs. Periodontists are dentists who specialize. What Does Periodontal Mean In Dentistry.
From www.piercefamilydental.com
Periodontitis Pierce Family Dentistry What Does Periodontal Mean In Dentistry A periodontist is a dental professional who specializes in the diagnosis,. These include your gums and the. And a periodontist is a dentist who works “around the tooth.” the american academy of periodontology (aap) offers this fuller periodontist definition: A periodontist is a dentist who specializes in the prevention, diagnosis, and treatment of periodontal disease (a chronic inflammatory disease that. What Does Periodontal Mean In Dentistry.
From www.brushcountrydental.com
Periodontics Brush Country Dental Center Pleasanton Texas What Does Periodontal Mean In Dentistry A periodontist is a dentist who specializes in preventing, diagnosing, and treating gum disease. A periodontist is a dental professional who specializes in the diagnosis,. Periodontists are dentists who specialize in treating the periodontium, the group of tissues surrounding and supporting your teeth. Periodontal diseases are infections of the areas around teeth, including the gums, parts of the bone, and. What Does Periodontal Mean In Dentistry.
From www.deardoctor.com
Understanding Periodontal Pockets What Does Periodontal Mean In Dentistry And a periodontist is a dentist who works “around the tooth.” the american academy of periodontology (aap) offers this fuller periodontist definition: Periodontal diseases are infections of the areas around teeth, including the gums, parts of the bone, and periodontal ligaments. Periodontists are dentists who specialize in treating the periodontium, the group of tissues surrounding and supporting your teeth. A. What Does Periodontal Mean In Dentistry.
From www.drwilliammckenzie.com
The Five Stages of Gum Disease — The McKenzie Center Implants What Does Periodontal Mean In Dentistry Periodontists are dentists who specialize in treating the periodontium, the group of tissues surrounding and supporting your teeth. These include your gums and the. A periodontist is a dental professional who specializes in the diagnosis,. A periodontist is a dentist who specializes in preventing, diagnosing, and treating gum disease. Periodontal diseases are infections of the areas around teeth, including the. What Does Periodontal Mean In Dentistry.
From pocketdentistry.com
12. The Dental Examination Pocket Dentistry What Does Periodontal Mean In Dentistry Periodontal diseases are infections of the areas around teeth, including the gums, parts of the bone, and periodontal ligaments. And a periodontist is a dentist who works “around the tooth.” the american academy of periodontology (aap) offers this fuller periodontist definition: Periodontics is a branch of dentistry focusing on the structures that surround and support the teeth. A periodontist is. What Does Periodontal Mean In Dentistry.
From perioclinik.ca
Periodontal Procedures PerioClinik Dr. Freddy Fokam What Does Periodontal Mean In Dentistry Periodontics is a branch of dentistry focusing on the structures that surround and support the teeth. Periodontal diseases are infections of the areas around teeth, including the gums, parts of the bone, and periodontal ligaments. Periodontists are dentists who specialize in treating the periodontium, the group of tissues surrounding and supporting your teeth. They also help you manage signs. These. What Does Periodontal Mean In Dentistry.
From pocketdentistry.com
12. The Dental Examination Pocket Dentistry What Does Periodontal Mean In Dentistry A periodontist is a dental professional who specializes in the diagnosis,. A periodontist is a dentist who specializes in the prevention, diagnosis, and treatment of periodontal disease (a chronic inflammatory disease that affects the gums and bone supporting. And a periodontist is a dentist who works “around the tooth.” the american academy of periodontology (aap) offers this fuller periodontist definition:. What Does Periodontal Mean In Dentistry.
From www.plasubash.xyz
AN OVERVIEW OF LINK BETWEEN PERIODONTAL DISEASE (DENTIST) AND What Does Periodontal Mean In Dentistry And a periodontist is a dentist who works “around the tooth.” the american academy of periodontology (aap) offers this fuller periodontist definition: These include your gums and the. They also help you manage signs. Periodontists are dentists who specialize in treating the periodontium, the group of tissues surrounding and supporting your teeth. You may notice this mild oral infection. A. What Does Periodontal Mean In Dentistry.
From princessdentistry.com
What Does Periodontal Mean? Princess Center Dentistry What Does Periodontal Mean In Dentistry A periodontist is a dentist who specializes in preventing, diagnosing, and treating gum disease. A periodontist is a dental professional who specializes in the diagnosis,. You may notice this mild oral infection. And a periodontist is a dentist who works “around the tooth.” the american academy of periodontology (aap) offers this fuller periodontist definition: These include your gums and the.. What Does Periodontal Mean In Dentistry.
From brittenperio.com
What you Need to Know About Periodontal Flap Surgery Britten Perio What Does Periodontal Mean In Dentistry Periodontal diseases are infections of the areas around teeth, including the gums, parts of the bone, and periodontal ligaments. Periodontics is a branch of dentistry focusing on the structures that surround and support the teeth. These include your gums and the. You may notice this mild oral infection. And a periodontist is a dentist who works “around the tooth.” the. What Does Periodontal Mean In Dentistry.
From yardleydentalarts.com
Periodontal Treatment Newtown Dr. Patel Yardley Dental Arts What Does Periodontal Mean In Dentistry These include your gums and the. A periodontist is a dentist who specializes in the prevention, diagnosis, and treatment of periodontal disease (a chronic inflammatory disease that affects the gums and bone supporting. A periodontist is a dental professional who specializes in the diagnosis,. You may notice this mild oral infection. A periodontist is a dentist who specializes in preventing,. What Does Periodontal Mean In Dentistry.
From summitfamilydentistry.com
Periodontal Treatments Summit Family Dentistry Littleton, CO What Does Periodontal Mean In Dentistry A periodontist is a dentist who specializes in preventing, diagnosing, and treating gum disease. A periodontist is a dental professional who specializes in the diagnosis,. You may notice this mild oral infection. And a periodontist is a dentist who works “around the tooth.” the american academy of periodontology (aap) offers this fuller periodontist definition: Periodontal diseases are infections of the. What Does Periodontal Mean In Dentistry.
From www.woodboroughhouse.com
What Is Periodontics? » Woodborough House Dental Practice What Does Periodontal Mean In Dentistry Periodontal diseases are infections of the areas around teeth, including the gums, parts of the bone, and periodontal ligaments. Periodontics is a branch of dentistry focusing on the structures that surround and support the teeth. These include your gums and the. Periodontists are dentists who specialize in treating the periodontium, the group of tissues surrounding and supporting your teeth. You. What Does Periodontal Mean In Dentistry.
From www.marinadentistry.com
Periodontics Marina Dentistry What Does Periodontal Mean In Dentistry Periodontists are dentists who specialize in treating the periodontium, the group of tissues surrounding and supporting your teeth. Periodontal diseases are infections of the areas around teeth, including the gums, parts of the bone, and periodontal ligaments. A periodontist is a dentist who specializes in the prevention, diagnosis, and treatment of periodontal disease (a chronic inflammatory disease that affects the. What Does Periodontal Mean In Dentistry.
From exoukptui.blob.core.windows.net
Probing Depth In Periodontal Pocket at Patsy Andrews blog What Does Periodontal Mean In Dentistry They also help you manage signs. A periodontist is a dentist who specializes in preventing, diagnosing, and treating gum disease. Periodontists are dentists who specialize in treating the periodontium, the group of tissues surrounding and supporting your teeth. These include your gums and the. You may notice this mild oral infection. Periodontics is a branch of dentistry focusing on the. What Does Periodontal Mean In Dentistry.
From paulcaputodds.com
What Does Periodontal Charting Mean for Your Oral Health? Caputo Dental What Does Periodontal Mean In Dentistry They also help you manage signs. Periodontal diseases are infections of the areas around teeth, including the gums, parts of the bone, and periodontal ligaments. You may notice this mild oral infection. And a periodontist is a dentist who works “around the tooth.” the american academy of periodontology (aap) offers this fuller periodontist definition: A periodontist is a dental professional. What Does Periodontal Mean In Dentistry.
From www.sweettoothdent.com
Causes of Periodontal Disease Orwigsburg, Pennsylvania Sweet Tooth What Does Periodontal Mean In Dentistry A periodontist is a dental professional who specializes in the diagnosis,. And a periodontist is a dentist who works “around the tooth.” the american academy of periodontology (aap) offers this fuller periodontist definition: A periodontist is a dentist who specializes in preventing, diagnosing, and treating gum disease. These include your gums and the. Periodontists are dentists who specialize in treating. What Does Periodontal Mean In Dentistry.
From www.deardoctor.com
Understanding Periodontal Pockets What Does Periodontal Mean In Dentistry These include your gums and the. Periodontal diseases are infections of the areas around teeth, including the gums, parts of the bone, and periodontal ligaments. Periodontics is a branch of dentistry focusing on the structures that surround and support the teeth. A periodontist is a dentist who specializes in the prevention, diagnosis, and treatment of periodontal disease (a chronic inflammatory. What Does Periodontal Mean In Dentistry.
From animalia-life.club
Can You Reverse Periodontal Disease In Dogs What Does Periodontal Mean In Dentistry These include your gums and the. A periodontist is a dental professional who specializes in the diagnosis,. Periodontal diseases are infections of the areas around teeth, including the gums, parts of the bone, and periodontal ligaments. A periodontist is a dentist who specializes in the prevention, diagnosis, and treatment of periodontal disease (a chronic inflammatory disease that affects the gums. What Does Periodontal Mean In Dentistry.
From dentcenter.ch
Periodontology Periodontology Bern Dental Practice Bern What Does Periodontal Mean In Dentistry A periodontist is a dentist who specializes in preventing, diagnosing, and treating gum disease. They also help you manage signs. These include your gums and the. A periodontist is a dental professional who specializes in the diagnosis,. Periodontal diseases are infections of the areas around teeth, including the gums, parts of the bone, and periodontal ligaments. You may notice this. What Does Periodontal Mean In Dentistry.
From www.solitairemedicalgroup.com.au
How long can you keep your Teeth with Periodontal Disease? What Does Periodontal Mean In Dentistry A periodontist is a dentist who specializes in preventing, diagnosing, and treating gum disease. They also help you manage signs. These include your gums and the. Periodontics is a branch of dentistry focusing on the structures that surround and support the teeth. A periodontist is a dentist who specializes in the prevention, diagnosis, and treatment of periodontal disease (a chronic. What Does Periodontal Mean In Dentistry.
From www.shdc.com.au
Dental Hygiene & Therapy Sydney Holistic Dental Centre What Does Periodontal Mean In Dentistry A periodontist is a dentist who specializes in preventing, diagnosing, and treating gum disease. Periodontics is a branch of dentistry focusing on the structures that surround and support the teeth. Periodontists are dentists who specialize in treating the periodontium, the group of tissues surrounding and supporting your teeth. Periodontal diseases are infections of the areas around teeth, including the gums,. What Does Periodontal Mean In Dentistry.